PCOS Influences the Expression of AMHRII in the Endometrium of AEH During the Reproductive Age
Abstract
1. Background
2. Methods
2.1. Inclusion and Exclusion Criteria for Study Subjects
2.1.1. Inclusion Criteria for PCOS Subjects
2.1.2. Exclusion Criteria for PCOS Subjects
2.1.3. Inclusion and Exclusion Criteria for Non-PCOS Subjects
2.2. The Paired Sampling Method of the Subjects
2.3. Immunohistochemical Detection of Endometrial AMHR2 Protein
2.4. Statistical and Analytical Methods
3. Results
3.1. The Basic Information of the Research Object
3.1.1. Characteristics of PCOS Subjects
3.1.2. Characteristic of Non-PCOS Subjects
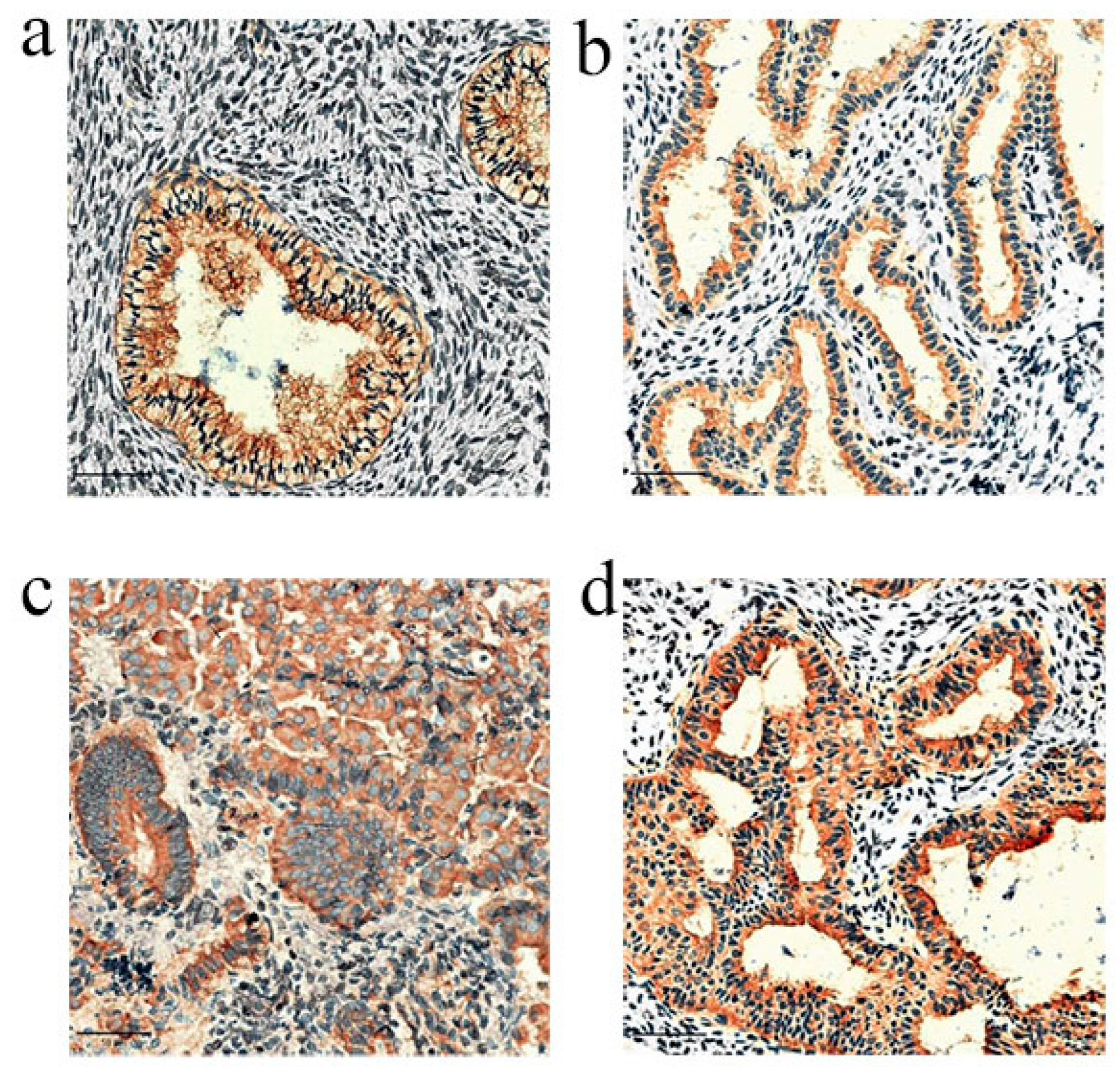
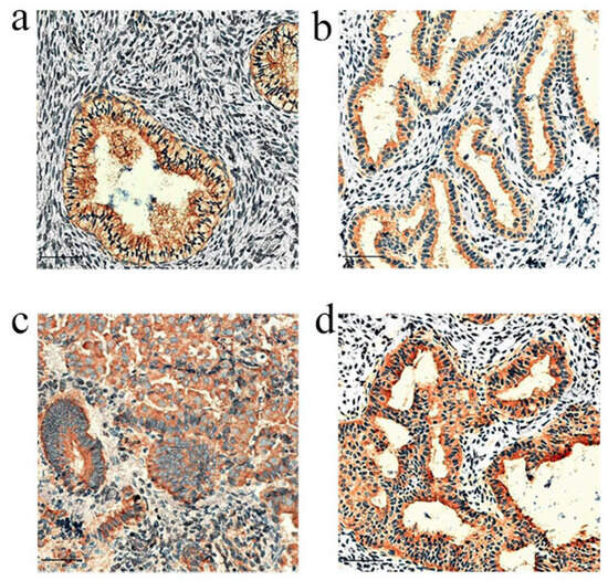
3.2. Changes in AMHR2 Expression in AEH Endometrial Specimens of PCOS
3.3. Changes in AMHR2 Expression in AEH Endometrial Specimens of Non-PCOS
3.4. AMHR2 in Endometrium of PCOS and Non-PCOS and Its Comparison
4. Discussion
4.1. The Expression of AMHR2 in the Endometrium of Reproductive Women and Its Role in the Pathogenesis of EPLs
4.2. The Expression of AMHR2 in the Endometrium Dominated by High Levels of Serum AMH in Reproductive Women with PCOS and EPLs
4.3. Innovations and Limitations
5. Conclusions
Supplementary Materials
Author Contributions
Funding
Institutional Review Board Statement
Informed Consent Statement
Data Availability Statement
Conflicts of Interest
Abbreviations
References
- Ring, K.L.; Mills, A.M.; Modesitt, S.C. Endometrial Hyperplasia. Obstet. Gynecol. 2022, 140, 1061–1075. [Google Scholar] [CrossRef] [PubMed]
- WHO Classification of Tumours Editorial Board. Female Genital Organ Tumours, 5th ed.; International Agency for Research on Cancer IARC: Lyon, France, 2020. [Google Scholar]
- Lacey, J.V., Jr.; Sherman, M.E.; Rush, B.B.; Ronnett, B.M.; Ioffe, O.B.; Duggan, M.A.; Glass, A.G.; Richesson, D.A.; Chatterjee, N.; Langholz, B. Absolute risk of endometrial carcinoma during 20-year follow-up among women with endometrial hyperplasia. J. Clin. Oncol. 2010, 28, 788–792. [Google Scholar] [CrossRef] [PubMed]
- Giannella, L.; Grelloni, C.; Bernardi, M.; Cicoli, C.; Lavezzo, F.; Sartini, G.; Natalini, L.; Bordini, M.; Petrini, M.; Petrucci, J.; et al. Atypical Endometrial Hyperplasia and Concurrent Cancer: A Comprehensive Overview on a Challenging Clinical Condition. Cancers 2024, 16, 914. [Google Scholar] [CrossRef] [PubMed]
- Weenen, C.; Laven, J.S.; Von Bergh, A.R.; Cranfield, M.; Groome, N.P.; Visser, J.A.; Kramer, P.; Fauser, B.C.; Themmen, A.P. Anti-Mullerian hormone expression pattern in the human ovary: Potential implications for initial and cyclic follicle recruitment. Mol. Hum. Reprod. 2004, 10, 77–83. [Google Scholar] [CrossRef] [PubMed]
- Mullen, R.D.; Behringer, R.R. Molecular Genetics of Mullerian Duct Formation, Regression and Differentiation. Sex Dev. 2014, 8, 281–296. [Google Scholar] [CrossRef] [PubMed]
- Van Houten, E.L.; Themmen, A.P.; Visser, J.A. Anti-Mullerian hormone (AMH): Regulator and marker of ovarian function. Ann. Endocrinol. 2010, 71, 191–197. [Google Scholar] [CrossRef]
- Kim, S.I.; Yoon, J.H.; Hur, S.Y. Functional profiles of Mullerian inhibiting substance/anti-Mullerian hormone (MIS/AMH) in primarily cultured endometrial cancer cells. J. Cancer 2021, 12, 6289–6300. [Google Scholar] [CrossRef] [PubMed]
- Clarke, T.R.; Hoshiya, Y.; Yi, S.E.; Liu, X.; Lyons, K.M.; Donahoe, P.K. Mullerian inhibiting substance signaling uses a bone morphogenetic protein (BMP)-like pathway mediated by ALK2 and induces SMAD6 expression. Mol. Endocrinol. 2001, 15, 946–959. [Google Scholar] [CrossRef]
- di Clemente, N.; Wilson, C.; Faure, E.; Boussin, L.; Carmillo, P.; Tizard, R.; Picard, J.Y.; Vigier, B.; Josso, N.; Cate, R. Cloning, expression, and alternative splicing of the receptor for anti-Mullerian hormone. Mol. Endocrinol. 1994, 8, 1006–1020. [Google Scholar] [PubMed]
- De Kat, A.C.; Van Der Schouw, Y.T.; Eijkemans, M.J.C.; Herber-Gast, G.C.; Visser, J.A.; Verschuren, W.M.M.; Broekmans, F.J.M. Back to the basics of ovarian aging: A population-based study on longitudinal anti-Müllerian hormone decline. BMC Med. 2016, 14, 151. [Google Scholar] [CrossRef]
- Bakkum-Gamez, J.N.; Aletti, G.; Lewis, K.A.; Keeney, G.L.; Thomas, B.M.; Navarro-Teulon, I.; Cliby, W.A. Müllerian inhibiting substance type II receptor (MISIIR): A novel, tissue-specific target expressed by gynecologic cancers. Gynecol. Oncol. 2008, 108, 141–148. [Google Scholar] [CrossRef] [PubMed]
- Kim, S.M.; Kim, Y.O.; Lee, M.K.; Chung, Y.J.; Jeung, I.C.; Kim, M.R.; Kim, J.H. Mullerian inhibiting substance/anti-Mullerian hormone type II receptor protein and mRNA expression in the healthy and cancerous endometria. Oncol. Lett. 2019, 17, 532–538. [Google Scholar] [PubMed]
- Gowkielewicz, M.; Lipka, A.; Majewska, M.; Piotrowska, A.; Szadurska-Noga, M.; Nowakowski, J.J.; Wiszpolska, M.; Dzięgiel, P.; Wasniewski, T.; Majewski, M.K.; et al. Anti-Mullerian Hormone Type II Receptor Expression in Endometrial Cancer Tissue. Cells 2020, 9, 12. [Google Scholar] [CrossRef]
- Garg, D.; Tal, R. The role of AMH in the pathophysiology of polycystic ovarian syndrome. Reprod. Biomed. Online 2016, 33, 15–28. [Google Scholar] [CrossRef]
- Du, J.; Ruan, X.; Jin, F.; Li, Y.; Cheng, J.; Gu, M.; Mueck, A.O. Abnormalities of early folliculogenesis and serum anti-Mullerian hormone in chinese patients with polycystic ovary syndrome. J. Ovarian Res. 2021, 14, 7. [Google Scholar] [CrossRef]
- Yin, W.; Falconer, H.; Yin, L.; Xu, L.; Ye, W. Association Between Polycystic Ovary Syndrome and Cancer Risk. JAMA Oncol. 2019, 5, 106–107. [Google Scholar] [CrossRef] [PubMed]
- Meczekalski, B.; Pérez-Roncero, G.R.; López-Baena, M.T.; Chedraui, P.; Pérez-López, F.R. The polycystic ovary syndrome and gynecological cancer risk. Gynecol. Endocrinol. 2020, 36, 289–293. [Google Scholar] [CrossRef] [PubMed]
- Li, Z.; Wang, Y.H.; Wang, L.L.; Hu, D.T.; Teng, Y.; Zhang, T.Y.; Yan, Z.Y.; Wang, F.; Zou, Y.F. Polycystic ovary syndrome and the risk of endometrial, ovarian and breast cancer: An updated meta-analysis. Scott. Med. J. 2022, 67, 109–120. [Google Scholar] [CrossRef] [PubMed]
- Yao, Y.; Shi, L.; Zhu, X. Serum Anti-Mullerian Hormone Levels Might Indicate Premenopausal Endometrial Lesions. Diagnostics 2023, 13, 3301. [Google Scholar] [CrossRef] [PubMed]
- The Rotterdam ESHRE/ASRM-Sponsored PCOS Consensus Workshop Group. Revised 2003 consensus on diagnostic criteria and long-term health risks related to polycystic ovary syndrome (PCOS). Hum. Reprod. 2004, 19, 41–47. [Google Scholar] [CrossRef]
- Lizneva, D.; Suturina, L.; Walker, W.; Brakta, S.; Gavrilova-Jordan, L.; Azziz, R. Criteria, prevalence, and phenotypes of polycystic ovary syndrome. Fertil. Steril. 2016, 106, 6–15. [Google Scholar] [CrossRef] [PubMed]
- Eshre Guideline Group on POI; Webber, L.; Davies, M.; Anderson, R.; Bartlett, J.; Braat, D.; Cartwright, B.; Cifkova, R.; de Muinck Keizer-Schrama, S.; Hogervorst, E.; et al. ESHRE Guideline: Management of women with premature ovarian insufficiency. Hum. Reprod. 2016, 31, 926–937. [Google Scholar] [CrossRef]
- Chen, Z.J.; Tian, Q.J.; Qiao, J. Chinese expert consensus on premature ovarian insufficiency. Zhonghua Fu Chan Ke Za Zhi 2017, 52, 577–581. [Google Scholar] [PubMed]
- Practice Committee of the American Society for Reproductive Medicine. Testing and interpreting measures of ovarian reserve: A committee opinion. Fertil. Steril. 2020, 114, 1151–1157. [Google Scholar]
- Ferraretti, A.; La Marca, A.; Fauser, B.C.J.M.; Tarlatzis, B.; Nargund, G.; Gianaroli, L. ESHRE consensus on the definition of ‘poor response’ to ovarian stimulation for in vitro fertilization: The Bologna criteria. Hum. Reprod. 2011, 26, 1616–1624. [Google Scholar] [CrossRef] [PubMed]
- Wu, X.-Q.; Kong, R.; Tian, L.; Gong, F.; Hu, L.-L.; Sun, Y.-P.; Chen, X.-N.; Zhu, Y.-M.; Hu, Y.-J.; Sun, W.; et al. A consensus of poor ovarian response. Sheng Zhi Yu Bi Yun 2015, 35, 71–79. [Google Scholar]
- Wang, R. Application conditions of propensity score matching and implementation of SPSS software. Shanghai Yi Yao 2022, 43, 59–62. [Google Scholar]
- Hao, D.-D.; Yin, Q.; Zhang, X.-M.; Wei, X.-C.; Miao, Z.-L.; Wang, Y.-X. Expression of anti-müllerian hormone type II receptor and its gene methylation in rat model of PCOS. Sheng Zhi Yi Xue Za Zhi 2016, 25, 832–837. [Google Scholar]
- Wang, J.; Dicken, C.; Lustbader, J.W.; Tortoriello, D.V. Evidence for a Mullerian-inhibiting substance autocrine/paracrine system in adult human endometrium. Fertil. Steril. 2009, 91, 1195–1203. [Google Scholar] [CrossRef]
- Paulson, M.; Sahlin, L.; Hirschberg, A.L. Endometrial expression of anti-Mullerian hormone and its type II receptor in women with polycystic ovary syndrome. Reprod. Biomed. Online 2020, 41, 128–137. [Google Scholar] [CrossRef]
- Fu, Y.X.; Yang, H.M.; OuYang, X.E.; Hu, R.; Hu, T.; Wang, F.M. Assessment of Anti-Mullerian Hormone and Anti-Mullerian Hormone Type II Receptor Variants in Women with Repeated Implantation Failures. Reprod. Sci. 2021, 28, 406–415. [Google Scholar] [CrossRef]
- Kim, S.Y.; Moon, H.M.; Lee, M.K.; Chung, Y.J.; Song, J.Y.; Cho, H.H.; Kim, M.R.; Kim, J.H. The expression of Mullerian inhibiting substance/anti-Mullerian hormone type II receptor in myoma and adenomyosis. Obstet. Gynecol. Sci. 2018, 61, 127–134. [Google Scholar] [CrossRef] [PubMed]
- Carrarelli, P.; Rocha, A.L.L.; Belmonte, G.; Zupi, E.; Abrão, M.S.; Arcuri, F.; Piomboni, P.; Petraglia, F. Increased expression of antimullerian hormone and its receptor in endometriosis. Fertil. Steril. 2014, 101, 1353–1358. [Google Scholar] [CrossRef] [PubMed]
- Signorile, P.G.; Petraglia, F.; Baldi, A. Anti-mullerian hormone is expressed by endometriosis tissues and induces cell cycle arrest and apoptosis in endometriosis cells. J. Exp. Clin. Cancer Res. 2014, 33, 9. [Google Scholar] [CrossRef][Green Version]
- Renaud, E.J.; MacLaughlin, D.T.; Oliva, E.; Rueda, B.R.; Donahoe, P.K. Endometrial cancer is a receptor-mediated target for Mullerian Inhibiting Substance. Proc. Natl. Acad. Sci. USA 2005, 102, 111–116. [Google Scholar] [CrossRef] [PubMed]
- Chung, Y.J.; Kim, H.J.; Park, S.H.; Yoon, J.H.; Kim, M.R.; Nam, S.W.; MacLaughlin, D.T.; Donahoe, P.K.; Kim, J.H. Transcriptome analysis reveals that Mullerian inhibiting substance regulates signaling pathways that contribute to endometrial carcinogenesis. Int. J. Oncol. 2015, 46, 2039–2046. [Google Scholar] [CrossRef]
- Gao, Y.; Li, S.; Li, Q.L. Uterine epithelial cell proliferation and endometrial hyperplasia: Evidence from a mouse model. Mol. Hum. Reprod. 2014, 20, 776–786. [Google Scholar] [CrossRef] [PubMed]
- Hirschhorn, T.; di Clemente, N.; Amsalem, A.R.; Pepinsky, R.B.; Picard, J.Y.; Smorodinsky, N.I.; Cate, R.L.; Ehrlich, M. Constitutive negative regulation in the processing of the anti-Mullerian hormone receptor II. J. Cell Sci. 2015, 128, 1352–1364. [Google Scholar] [CrossRef] [PubMed]
- Chauvin, M.; Meinsohn, M.-C.; Dasari, S.; May, P.; Iyer, S.; Nguyen, N.; Oliva, E.; Lucchini, Z.; Nagykery, N.; Kashiwagi, A.; et al. Cancer-associated mesothelial cells are regulated by the anti-Müllerian hormone axis. Cell Rep. 2023, 42, 112730. [Google Scholar] [CrossRef]
- Pigny, P.; Merlen, E.; Robert, Y.; Cortet-Rudelli, C.; Decanter, C.; Jonard, S.; Dewailly, D. Elevated serum level of anti-Mullerian hormone in patients with polycystic ovary syndrome: Relationship to the ovarian follicle excess and to the follicular arrest. J. Clin. Endocrinol. Metab. 2003, 88, 5957–5962. [Google Scholar] [CrossRef] [PubMed]
- Zadehmodarres, S.; Heidar, Z.; Razzaghi, Z.; Ebrahimi, L.; Soltanzadeh, K.; Abed, F. Anti-mullerian hormon level and polycystic ovarian syndrome diagnosis. Iran. J. Reprod. Med. 2015, 13, 227–230. [Google Scholar] [PubMed]
- Song, J.; Park, Y.; Cho, H.W.; Lee, S.G.; Kim, S.; Lim, J.B. Age-group-specific reference intervals for anti-Müllerian hormone and its diagnostic performance for polycystic ovary syndrome in a Korean population. J. Clin. Lab. Anal. 2021, 35, e23861. [Google Scholar] [CrossRef] [PubMed]
- Navaratnarajah, R.; Pillay, O.C.; Hardiman, P. Polycystic ovary syndrome and endometrial cancer. Semin. Reprod. Med. 2008, 26, 62–71. [Google Scholar] [CrossRef] [PubMed]
- Hardiman, P.; Pillay, O.C.; Atiomo, W. Polycystic ovary syndrome and endometrial carcinoma. Lancet 2003, 361, 1810–1812. [Google Scholar] [CrossRef]
- Tokmak, A.; Kokanali, M.K.; Guzel, A.I.; Kara, A.; Topcu, H.O.; Cavkaytar, S. Polycystic ovary syndrome and risk of endometrial cancer: A mini-review. Asian Pac. J. Cancer Prev. 2014, 15, 7011–7014. [Google Scholar] [CrossRef]
- Chittenden, B.; Fullerton, G.; Maheshwari, A.; Bhattacharya, S. Polycystic ovary syndrome and the risk of gynaecological cancer: A systematic review. Reprod. Biomed. Online 2009, 19, 398–405. [Google Scholar] [CrossRef] [PubMed]
- Howard, J.A.; Hart, K.N.; Thompson, T.B. Molecular Mechanisms of AMH Signaling. Front. Endocrinol. 2022, 13, 927824. [Google Scholar] [CrossRef] [PubMed]
- Gorsic, L.K.; Dapas, M.; Legro, R.S.; Hayes, M.G.; Urbanek, M. Functional Genetic Variation in the Anti-Mullerian Hormone Pathway in Women With Polycystic Ovary Syndrome. J. Clin. Endocrinol. Metab. 2019, 104, 2855–2874. [Google Scholar] [CrossRef]
- Zhong, X.; Jin, F.; Huang, C.; Du, M.; Gao, M.; Wei, X. DNA methylation of AMHRII and INSR gene is associated with the pathogenesis of Polycystic Ovary Syndrome (PCOS). Technol. Health Care 2021, 29, S11–S25. [Google Scholar] [CrossRef]
- Khalenko, V.V.; Guiglia, R.A.; Alioto, M. Are women with PCOS more at risk for endometrial cancer? What approach for such patients? Acta Biomed. 2023, 94, e2023081. [Google Scholar]
- Lu, L.; Luo, J.; Deng, J.; Huang, C.; Li, C. Polycystic ovary syndrome is associated with a higher risk of premalignant and malignant endometrial polyps in premenopausal women: A retrospective study in a tertiary teaching hospital. BMC Womens Health 2023, 23, 127. [Google Scholar] [CrossRef]
- Reijnen, C.; IntHout, J.; Massuger, L.F.; Strobbe, F.; Küsters-Vandevelde, H.V.; Haldorsen, I.S.; Snijders, M.P.; Pijnenborg, J.M. Diagnostic Accuracy of Clinical Biomarkers for Preoperative Prediction of Lymph Node Metastasis in Endometrial Carcinoma: A Systematic Review and Meta-Analysis. Oncologist 2019, 24, e880–e890. [Google Scholar] [CrossRef]
- Okamura, Y.; Saito, F.; Takaishi, K.; Motohara, T.; Honda, R.; Ohba, T.; Katabuchi, H. Polycystic ovary syndrome: Early diagnosis and intervention are necessary for fertility preservation in young women with endometrial cancer under 35 years of age. Reprod. Med. Biol. 2017, 16, 67–71. [Google Scholar] [CrossRef] [PubMed]
- Expert Panel of Endocrinol Subgroup CMA Obstet Gyneocol. Chinese guideline for diagnosis and management of polycystic ovary syndrome. Zhonghua Fu Chan Ke Za Zhi 2018, 53, 2–6. [Google Scholar]
- Teede, H.J.; Misso, M.L.; Costello, M.F.; Dokras, A.; Laven, J.; Moran, L.; Piltonen, T.; Norman, R.J.; International PCOS Network. Recommendations from the international evidence-based guideline for the assessment and management of polycystic ovary syndrome. Clin. Endocrinol. 2018, 89, 251–268. [Google Scholar] [CrossRef] [PubMed]
- Escobar-Morreale, H.F. Polycystic ovary syndrome: Definition, aetiology, diagnosis and treatment. Nat. Rev. Endocrinol. 2018, 14, 270–284. [Google Scholar] [CrossRef] [PubMed]
- Azziz, R. Polycystic Ovary Syndrome. Obstet. Gynecol. 2018, 132, 321–336. [Google Scholar] [CrossRef] [PubMed]
- Park, B.; Lee, H.; Park, S.; Lee, E.S.; Lee, J.J.; Lee, Y.; Seo, J.H. Trend changes and factor analysis of endometrial hyperplasia in patients with polycystic ovarian syndrome based on the Korean National Health Insurance Database. BMC Womens Health 2022, 22, 439. [Google Scholar] [CrossRef]



| Characteristics | PCOS-AEH Group | PCOS Control Group | p Value * | ||
|---|---|---|---|---|---|
| Number of Samples | M (P25, P75) or n (%) | Number of Samples | M (P25, P75) or n (%) | ||
| History of gestation | 9 | 0 (0.0%) | 9 | 0 (0.0%) | >0.05 |
| BMI (kg/m2) | 9 | 25.47 ± 3.51 | 9 | 23.63 ± 4.64 | >0.05 |
| PCOS phenotype | 9 | 9 | >0.05 | ||
| A | 3 | 3 (33.3%) | 3 | 3 (33.3%) | |
| B | 2 | 2 (22.2%) | 2 | 2 (22.2%) | |
| C | 2 | 2 (22.2%) | 2 | 2 (22.2%) | |
| D | 2 | 2 (22.2%) | 2 | 2 (22.2%) | |
| Hypertension | 9 | 0 (0.0%) | 9 | 0 (0.0%) | >0.05 |
| Diabetes | 9 | 0 (0.0%) | 9 | 0 (0.0%) | >0.05 |
| Characteristics | Non-PCOS-AEH Group | Non-PCOS-Control Group | p Value * | ||
|---|---|---|---|---|---|
| Number of Samples | M (P25, P75) or n (%) | Number of Samples | M (P25, P75) or n (%) | ||
| Age (years old) | 9 | 36.11 ± 4.91 | 9 | 32.22 ± 7.00 | >0.05 |
| BMI (kg/m2) | 9 | 23.65 ± 2.74 | 9 | 23.38 ± 3.61 | >0.05 |
| CEA (ng/mL) | 9 | 1.26 ± 0.70 | 9 | 1.31 ± 0.86 | >0.05 |
| Menstrual regularity | 9 | 4 (44.4%) | 9 | 4 (44.4%) | >0.05 |
| History of dysmenorrhea | 9 | 1 (11.1%) | 9 | 1 (11.1%) | >0.05 |
| Hypertension | 9 | 0 (0.0%) | 9 | 0 (0.0%) | >0.05 |
| Diabetes | 9 | 0 (0.0%) | 9 | 0 (0.0%) | >0.05 |
| Characteristics | Atypical Endometrial Hyperplasia | Normal Endometrium | ||||
|---|---|---|---|---|---|---|
| PCOS (n = 9) | Non-PCOS (n = 9) | p Value * | PCOS (n = 9) | Non-PCOS (n = 9) | p Value * | |
| M (P25, P75) or n (%) | M (P25, P75) or n (%) | M (P25, P75) or n (%) | M (P25, P75) or n (%) | |||
| Age (years old) | 35.67 ± 3.87 | 36.11 ± 4.91 | >0.05 | 30.78 ± 4.32 | 32.22 ± 7.00 | >0.05 |
| BMI (kg/m2) | 25.47 ± 3.51 | 23.65 ± 2.74 | >0.05 | 23.63 ± 4.64 | 23.38 ± 3.61 | >0.05 |
| History of gestation | 2 (22.2%) | 2 (22.2%) | >0.05 | 2 (22.2%) | 2 (22.2%) | >0.05 |
| CEA (ng/mL) | 1.50 ± 0.88 | 1.26 ± 0.70 | >0.05 | 1.38 ± 0.82 | 1.31 ± 0.86 | >0.05 |
| Menstrual regularity | 4 (44.4%) | 4 (44.4%) | >0.05 | 4 (44.4%) | 4 (44.4%) | >0.05 |
| History of dysmenorrhea | 1 (11.1%) | 1 (11.1%) | >0.05 | 1 (11.1%) | 1 (11.1%) | >0.05 |
| Hypertension | 0 (0.0%) | 0 (0.0%) | >0.05 | 0 (0.0%) | 0 (0.0%) | >0.05 |
| Diabetes | 0 (0.0%) | 0 (0.0%) | >0.05 | 0 (0.0%) | 0 (0.0%) | >0.05 |
Disclaimer/Publisher’s Note: The statements, opinions and data contained in all publications are solely those of the individual author(s) and contributor(s) and not of MDPI and/or the editor(s). MDPI and/or the editor(s) disclaim responsibility for any injury to people or property resulting from any ideas, methods, instructions or products referred to in the content. |
© 2024 by the authors. Licensee MDPI, Basel, Switzerland. This article is an open access article distributed under the terms and conditions of the Creative Commons Attribution (CC BY) license (https://creativecommons.org/licenses/by/4.0/).
Share and Cite
Yao, Y.; Zhu, S.; Zhu, X. PCOS Influences the Expression of AMHRII in the Endometrium of AEH During the Reproductive Age. Diagnostics 2024, 14, 2872. https://doi.org/10.3390/diagnostics14242872
Yao Y, Zhu S, Zhu X. PCOS Influences the Expression of AMHRII in the Endometrium of AEH During the Reproductive Age. Diagnostics. 2024; 14(24):2872. https://doi.org/10.3390/diagnostics14242872
Chicago/Turabian StyleYao, Yingsha, Shulan Zhu, and Xiaoming Zhu. 2024. "PCOS Influences the Expression of AMHRII in the Endometrium of AEH During the Reproductive Age" Diagnostics 14, no. 24: 2872. https://doi.org/10.3390/diagnostics14242872
APA StyleYao, Y., Zhu, S., & Zhu, X. (2024). PCOS Influences the Expression of AMHRII in the Endometrium of AEH During the Reproductive Age. Diagnostics, 14(24), 2872. https://doi.org/10.3390/diagnostics14242872

