Instrument-Free Point-of-Care Diagnostic for Leishmania Parasites
Abstract
1. Introduction
2. Materials and Methods
2.1. Propagation of Parasites and Use as Targets
2.2. Parasite Lysis
2.3. Recombinase Polymerase Amplification [RPA]
2.4. CRISPR
2.5. Detection
3. Results
3.1. Summary
3.2. Identification of Target Sequence for Detection
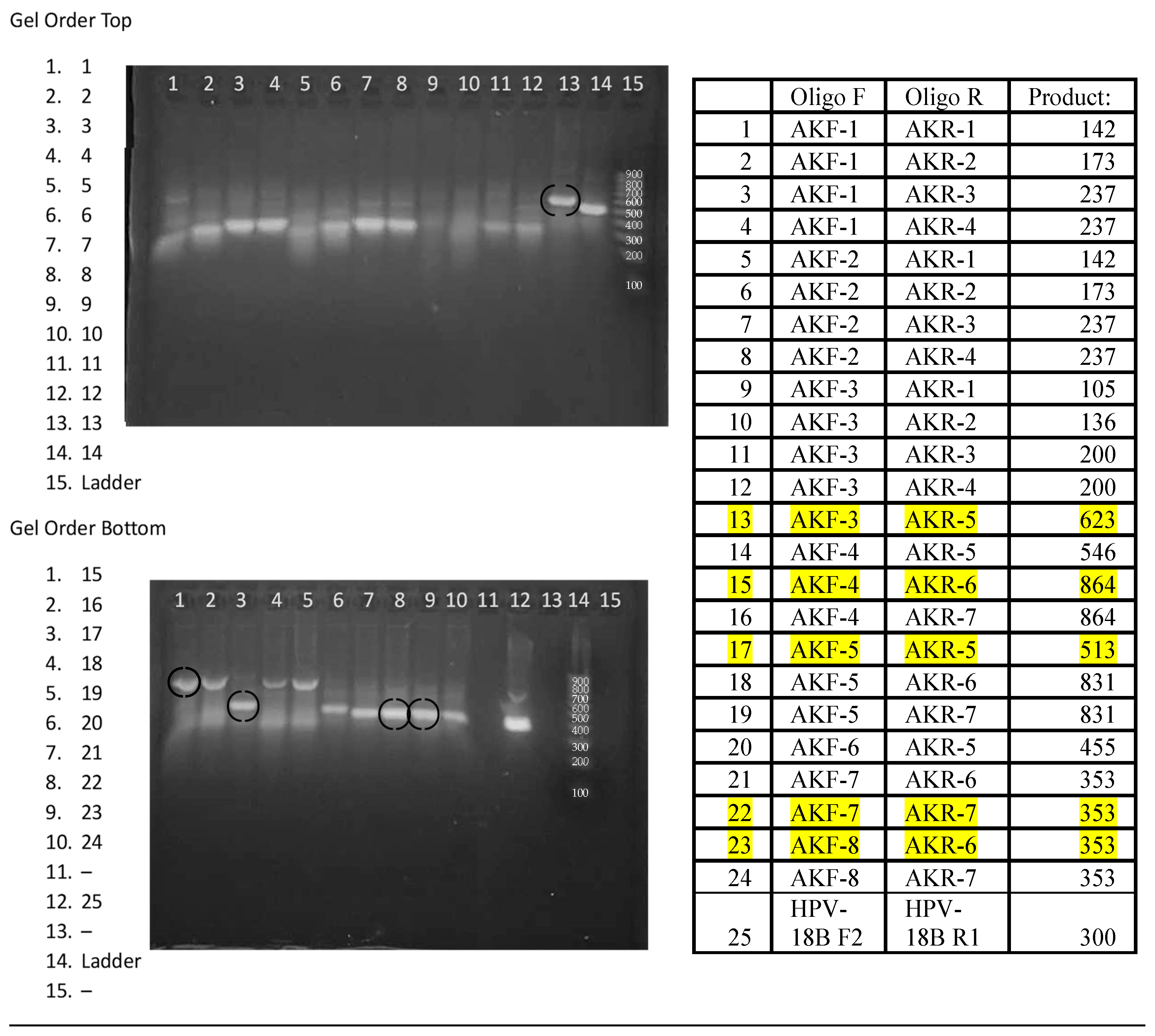
3.3. Design and Testing of RPA Primers
3.4. Selection of RPA Primer Pairs
3.5. Parasite Lysis for RPA
3.6. Threshold of RPA Amplification
3.7. Variation of Time and Temperature for RPA
3.8. Two-Step Integrated CRISPR Detection
3.9. Two-Step Integrated RPA–CRISPR Optimization
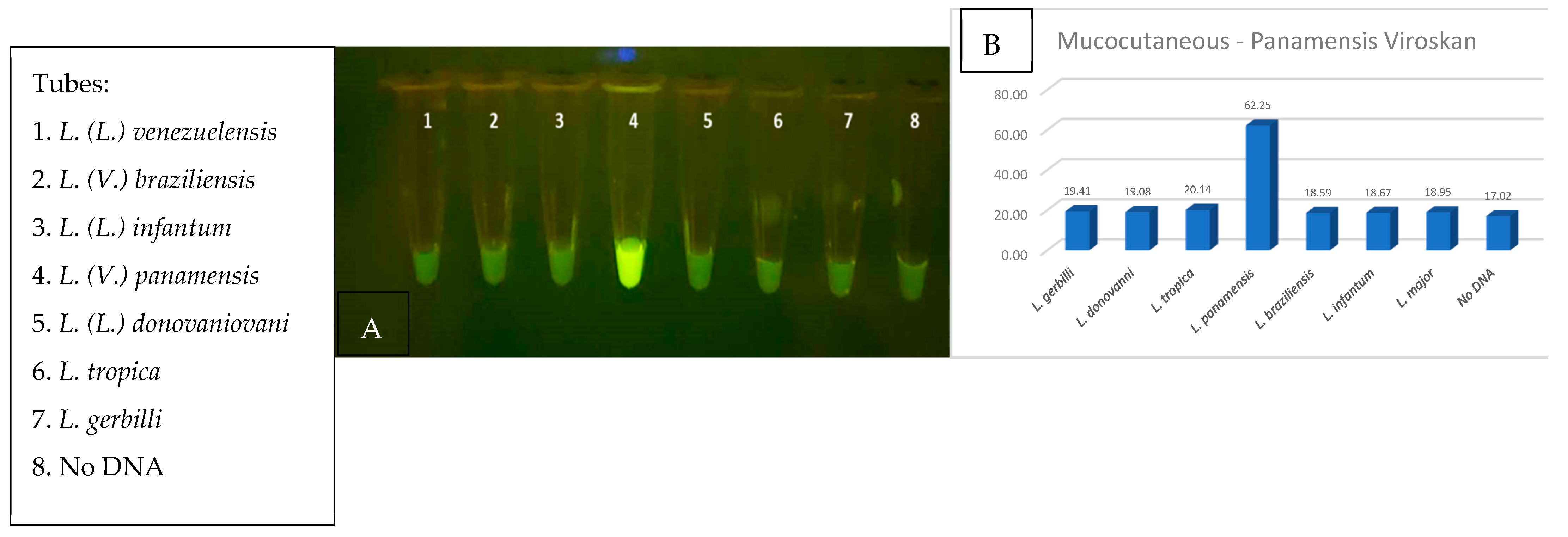
3.10. CRISPR Specificity
4. Discussion
5. Conclusions
6. Patents
Author Contributions
Funding
Institutional Review Board Statement
Informed Consent Statement
Data Availability Statement
Acknowledgments
Conflicts of Interest
References
- de Vries, H.J.C.; Schallig, H.D. Cutaneous Leishmaniasis: A 2022 Updated Narrative Review into Diagnosis and Management Developments. Am. J. Clin. Dermatol. 2022, 23, 823–840. [Google Scholar] [CrossRef] [PubMed] [PubMed Central]
- Pan American Health Organization (PAHO). Leishmaniasis: Epidemiological Report for the Americas. No. 12 (December 2023). Available online: https://www.paho.org/en/documents/leishmaniasis-epidemiological-report-americas-no12-december-2023 (accessed on 28 March 2024).
- Tamiru, H.F.; Mashalla, Y.J.; Mohammed, R.; Tshweneagae, G.T. Cutaneous leishmaniasis a neglected tropical disease: Community knowledge, attitude and practices in an endemic area, Northwest Ethiopia. BMC Infect. Dis. 2019, 19, 855. [Google Scholar] [CrossRef] [PubMed] [PubMed Central]
- Tolentino, N.; Pinheiro, G.R.G.; Ottino, J.; de Oliveira, A.R.; Coelho, C.M.; Tinoco, H.P.; Fujiwara, R.T.; Santos, R.L.; Ribeiro, V.M. Serological evidence of Leishmania infection by employing ELISA and rapid tests in captive felids and canids in Brazil. Vet. Parasitol. Reg. Stud. Rep. 2019, 17, 100308. [Google Scholar] [CrossRef] [PubMed]
- CDC: Clinical Care of Leishmaniasis. CDC. Available online: https://www.cdc.gov/leishmaniasis/hcp/clinical-care/index.html#:~:text=For%20pentavalent%20antimonial%20 (accessed on 13 March 2024).
- Masmoudi, A.; Hariz, W.; Marrekchi, S.; Amouri, M.; Turki, H. Old World cutaneous leishmaniasis: Diagnosis and treatment. J. Dermatol. Case Rep. 2013, 7, 31–41. [Google Scholar] [CrossRef] [PubMed] [PubMed Central]
- van Griensven, J.; Diro, E. Visceral Leishmaniasis: Recent Advances in Diagnostics and Treatment Regimens. Infect. Dis. Clin. N. Am. 2019, 33, 79–99. [Google Scholar] [CrossRef] [PubMed]
- Scarpini, S.; Dondi, A.; Totaro, C.; Biagi, C.; Melchionda, F.; Zama, D.; Pierantoni, L.; Gennari, M.; Campagna, C.; Prete, A.; et al. Visceral Leishmaniasis: Epidemiology, Diagnosis, and Treatment Regimens in Different Geographical Areas with a Focus on Pediatrics. Microorganisms 2022, 10, 1887. [Google Scholar] [CrossRef] [PubMed] [PubMed Central]
- Zijlstra, E.E. The immunology of post-kala-azar dermal leishmaniasis (PKDL). Parasites Vectors 2016, 9, 464. [Google Scholar] [CrossRef] [PubMed] [PubMed Central]
- Cabrera, R.E.; Verduguez-Orellana, A.; Tordoya-Titichoca, I.J.; Sejas, C.; Ledezma, R.; Álvarez, I.; Limachi-Choque, J.; Ortuño-Gutiérrez, N.; Córdova Rojas, M.; Guzman-Rivero, M. Intralesional Meglumine Antimoniate: Safe, Feasible and Effective Therapy for Cutaneous Leishmaniasis in Bolivia. Trop. Med. Infect. Dis. 2022, 7, 286. [Google Scholar] [CrossRef]
- McGwire, B.S.; Satoskar, A.R. Leishmaniasis: Clinical syndromes and treatment. QJM 2014, 107, 7–14. [Google Scholar] [CrossRef] [PubMed] [PubMed Central]
- World Health Organization: The Global Health Observatory—Leishmaniasis (Neglected Tropical Diseases). 2024. Available online: https://www.who.int/data/gho/data/themes/topics/gho-ntd-leishmaniasis (accessed on 9 September 2024).
- Pinart, M.; Rueda, J.R.; Romero, G.A.; Pinzón-Flórez, C.E.; Osorio-Arango, K.; Silveira Maia-Elkhoury, A.N.; Reveiz, L.; Elias, V.M.; Tweed, J.A. Interventions for American cutaneous and mucocutaneous leishmaniasis. Cochrane Database Syst. Rev. 2020, 8, CD004834. [Google Scholar] [CrossRef] [PubMed] [PubMed Central]
- Lainson, R.; Shaw, J.J.; Silveira, F.T.; de Souza, A.A.; Braga, R.R.; Ishikawa, E.A. The dermal leishmaniases of Brazil, with special reference to the eco-epidemiology of the disease in Amazonia. Mem. Inst. Oswaldo Cruz 1994, 89, 435–443. [Google Scholar] [CrossRef] [PubMed]
- Soto, J.; Soto, P.; Ajata, A.; Rivero, D.; Luque, C.; Tintaya, C.; Berman, J. Miltefosine Combined with Intralesional Pentamidine for Leishmania braziliensis Cutaneous Leishmaniasis in Bolivia. Am. J. Trop. Med. Hyg. 2018, 99, 1153–1155. [Google Scholar] [CrossRef] [PubMed] [PubMed Central]
- Barbosa, D.S.; Geiger, S.; Fujiwana, R.; (Department of Parasitology, Institute of Biological Sciences, Federal University of Minas Gerais (UFMG), Belo Horizonte, Brazil). Personal Communications, 2024.
- Okwor, I.; Uzonna, J. Social and Economic Burden of Human Leishmaniasis. Am. J. Trop. Med. Hyg. 2016, 94, 489–493. [Google Scholar] [CrossRef] [PubMed] [PubMed Central]
- Shmueli, M.; Ben-Shimol, S. Review of Leishmaniasis Treatment: Can We See the Forest through the Trees? Pharmacy 2024, 12, 30. [Google Scholar] [CrossRef] [PubMed] [PubMed Central]
- Soeiro, M.N.C.; Sales-Junior, P.A.; Pereira, V.R.A.; Vannier-Santos, M.A.; Murta, S.M.F.; Sousa, A.S.; Sangenis, L.H.C.; Moreno, A.M.H.; Boechat, N.; Branco, F.S.C.; et al. Drug screening and development cascade for Chagas disease: An update of in vitro and in vivo experimental models. Mem. Inst. Oswaldo Cruz 2024, 119, e240057. [Google Scholar] [CrossRef] [PubMed] [PubMed Central]
- Adams, E.R.; Jacquet, D.; Schoone, G.; Gidwani, K.; Boelaert, M.; Cunningham, J. Leishmaniasis direct agglutination test: Using pictorials as training materials to reduce inter-reader variability and improve accuracy. PLoS Neglected Trop. Dis. 2012, 6, e1946. [Google Scholar] [CrossRef] [PubMed] [PubMed Central]
- Bi, K.; Li, X.; Zhang, R.; Zheng, X.; Wang, F.; Zou, Y.; Wang, L. Clinical and laboratory characterization of cutaneous leishmaniasis in Chinese migrant workers returned from Iraq. PLoS Neglected Trop. Dis. 2024, 18, e0012006. [Google Scholar] [CrossRef] [PubMed] [PubMed Central]
- Akhoundi, M.; Downing, T.; Votýpka, J.; Kuhls, K.; Lukeš, J.; Cannet, A.; Ravel, C.; Marty, P.; Delaunay, P.; Kasbari, M.; et al. Leishmania infections: Molecular targets and diagnosis. Mol. Asp. Med. 2017, 57, 1–29. [Google Scholar] [CrossRef] [PubMed]
- Sarnoff, R.; Desai, J.; Desjeux, P.; Mittal, A.; Topno, R.; Siddiqui, N.A.; Pandey, A.; Sur, D.; Das, P. The economic impact of visceral leishmaniasis on rural households in one endemic district of Bihar, India. Trop. Med. Int. Health 2010, 15 (Suppl. S2), 42–49. [Google Scholar] [CrossRef] [PubMed]
- Khoury, F.; Campos, J.E. A Difficult-To-Diagnose Case of American Tegumentary Leishmaniasis. Cureus 2023, 15, e44971. [Google Scholar] [CrossRef] [PubMed] [PubMed Central]
- Grogl, M.; Joya, C.A.; Saenz, M.; Quispe, A.; Rosales, L.A.; Santos, R.D.P.; De Los Santos, M.B.; Donovan, N.; Ransom, J.H.; Ramos, A.; et al. Evaluation of a diagnostic device, CL Detect rapid test for the diagnosis of new world cutaneous leishmaniasis in Peru. PLoS Neglected Trop. Dis. 2023, 17, e0011054. [Google Scholar] [CrossRef] [PubMed] [PubMed Central]
- Weigle, K.A.; Labrada, L.A.; Lozano, C.; Santrich, C.; Barker, D.C. PCR-based diagnosis of acute and chronic cutaneous leishmaniasis caused by Leishmania (Viannia). J. Clin. Microbiol. 2002, 40, 601–606. [Google Scholar] [CrossRef] [PubMed] [PubMed Central]
- Gebremeskele, B.T.; Adane, G.; Adem, M.; Tajebe, F. Diagnostic performance of CL Detect rapid-immunochromatographic test for cutaneous leishmaniasis: A systematic review and meta-analysis. Syst. Rev. 2023, 12, 240. [Google Scholar] [CrossRef] [PubMed] [PubMed Central]
- Lamm, R.; Alves, C.; Perrotta, G.; Murphy, M.; Messina, C.; Sanchez, J.F.; Perez, E.; Rosales, L.A.; Lescano, A.G.; Smith, E.; et al. Prevalence of and Factors Associated with Negative Microscopic Diagnosis of Cutaneous Leishmaniasis in Rural Peru. Am. J. Trop. Med. Hyg. 2018, 99, 331–337. [Google Scholar] [CrossRef] [PubMed] [PubMed Central]
- Kaufer, A.; Ellis, J.; Stark, D. Identification of Clinical Infections of Leishmania Imported into Australia: Revising Speciation with Polymerase Chain Reaction-RFLP of the Kinetoplast Maxicircle. Am. J. Trop. Med. Hyg. 2019, 101, 590–601. [Google Scholar] [CrossRef] [PubMed] [PubMed Central]
- Foulet, F.; Botterel, F.; Buffet, P.; Morizot, G.; Rivollet, D.; Deniau, M.; Pratlong, F.; Costa, J.M.; Bretagne, S. Detection and identification of Leishmania species from clinical specimens by using a real-time PCR assay and sequencing of the cytochrome B gene. J. Clin. Microbiol. 2007, 45, 2110–2115. [Google Scholar] [CrossRef] [PubMed] [PubMed Central]
- eBioMedicine. Leishmania: An urgent need for new treatments. EBioMedicine 2023, 87, 104440. [Google Scholar] [CrossRef] [PubMed] [PubMed Central]
- Aronson, N.; Herwaldt, B.L.; Libman, M.; Pearson, R.; Lopez-Velez, R.; Weina, P.; Carvalho, E.; Ephros, M.; Jeronimo, S.; Magill, A. Diagnosis and Treatment of Leishmaniasis: Clinical Practice Guidelines by the Infectious Diseases Society of America (IDSA) and the American Society of Tropical Medicine and Hygiene (ASTMH). Am. J. Trop. Med. Hyg. 2017, 96, 24–45. [Google Scholar] [CrossRef] [PubMed] [PubMed Central]
- Bao, M.; Zhang, S.; Ten Pas, C.; Dollery, S.J.; Bushnell, R.V.; Yuqing, F.N.U.; Liu, R.; Lu, G.; Tobin, G.J.; Du, K. Computer vision enabled funnel adapted sensing tube (FAST) for power-free and pipette-free nucleic acid detection. Lab. Chip. 2022, 22, 4849–4859. [Google Scholar] [CrossRef] [PubMed]
- Bao, M.; Dollery, S.J.; Yuqing, F.; Tobin, G.J.; Du, K. Micropillar enhanced FRET-CRISPR biosensor for nucleic acid detection. Lab. Chip. 2023, 24, 47–55. [Google Scholar] [CrossRef] [PubMed] [PubMed Central]
- Bao, M.; Waitkus, J.; Liu, L.; Chang, Y.; Xu, Z.; Qin, P.; Chen, J.; Du, K. Micro- and nanosystems for the detection of hemorrhagic fever viruses. Lab. Chip. 2023, 23, 4173–4200. [Google Scholar] [CrossRef] [PubMed]
- Dollery, S.J.; Du, K.; Bao, M.; Zhang, S.; Liu, R.; Wiggins, T.J.; Tobin, G.J. Multichambered Device for Detecting Pathogens/Molecules and Methods of Using Same. PCT Patent Application No. 63/406,156, 13 September 2023. [Google Scholar]
- Liu, L.; Xu, Z.; Awayda, K.; Dollery, S.J.; Bao, M.; Fan, J.; Cormier, D.; O’Connell, M.R.; Tobin, G.J.; Du, K. Gold Nanoparticle-Labeled CRISPR-Cas13a Assay for the Sensitive Solid-State Nanopore Molecular Counting. Adv. Mater. Technol. 2022, 7, 2101550. [Google Scholar] [CrossRef] [PubMed]
- Liu, L.; Duan, J.J.; Wei, X.Y.; Hu, H.; Wang, Y.B.; Jia, P.P.; Pei, D.S. Generation and application of a novel high-throughput detection based on RPA-CRISPR technique to sensitively monitor pathogenic microorganisms in the environment. Sci. Total Environ. 2022, 838 Pt 2, 156048. [Google Scholar] [CrossRef] [PubMed]
- Waitkus, J.; Chang, Y.; Liu, L.; Puttaswamy, S.V.; Chung, T.; Vargas, A.M.M.; Dollery, S.J.; O’Connell, M.R.; Cai, H.; Tobin, G.J.; et al. Gold nanoparticle enabled localized surface plasmon resonance on unique gold nanomushroom structures for on-chip CRISPR-Cas13a sensing. Adv. Mater. Interfaces 2022, in press. [CrossRef]
- Vargas-Parada, L. Kinetoplastids and Their Networks of Interlocked DNA. Nat. Educ. 2010, 3, 63. [Google Scholar]
- Lukes, J.; Guilbride, D.L.; Votýpka, J.; Zíková, A.; Benne, R.; Englund, P.T. Kinetoplast DNA network: Evolution of an improbable structure. Eukaryot. Cell 2002, 1, 495–502. [Google Scholar] [CrossRef] [PubMed] [PubMed Central]
- Carpenter, L.R.; Englund, P.T. Kinetoplast maxicircle DNA replication in Crithidia fasciculata and Trypanosoma brucei. Mol. Cell Biol. 1995, 15, 6794–6803. [Google Scholar] [CrossRef] [PubMed] [PubMed Central]
- Trager, W. The development of Leishmania donovani in vitro at 37 degree C; effects of the kind of serum. J. Exp. Med. 1953, 97, 177–188. [Google Scholar] [CrossRef] [PubMed] [PubMed Central]
- Ando, T.; Bhamidimarri, S.P.; Brending, N.; Colin-York, H.; Collinson, L.; De Jonge, N.; de Pablo, P.J.; Debroye, E.; Eggeling, C.; Franck, C.; et al. The 2018 correlative microscopy techniques roadmap. J. Phys. D Appl. Phys. 2018, 51, 443001. [Google Scholar] [CrossRef] [PubMed] [PubMed Central]
- Ceccarelli, M.; Galluzzi, L.; Migliazzo, A.; Magnani, M. Detection and characterization of Leishmania (Leishmania) and Leishmania (Viannia) by SYBR green-based real-time PCR and high resolution melt analysis targeting kinetoplast minicircle DNA. PLoS ONE 2014, 9, e88845. [Google Scholar] [CrossRef] [PubMed] [PubMed Central]
- Cavalcanti, D.P.; de Souza, W. The Kinetoplast of Trypanosomatids: From Early Studies of Electron Microscopy to Recent Advances in Atomic Force Microscopy. Scanning 2018, 2018, 9603051. [Google Scholar] [CrossRef] [PubMed] [PubMed Central]
- Gonçalves, C.S.; Ávila, A.R.; de Souza, W.; Motta, M.C.M.; Cavalcanti, D.P. Revisiting the Trypanosoma cruzi metacyclogenesis: Morphological and ultrastructural analyses during cell differentiation. Parasites Vectors 2018, 11, 83. [Google Scholar] [CrossRef] [PubMed] [PubMed Central]
- Camacho, E.; Rastrojo, A.; Sanchiz, Á.; González-de la Fuente, S.; Aguado, B.; Requena, J.M. Leishmania Mitochondrial Genomes: Maxicircle Structure and Heterogeneity of Minicircles. Genes 2019, 10, 758. [Google Scholar] [CrossRef] [PubMed] [PubMed Central]
- Mousavi, T.; Shokohi, S.; Abdi, J.; Naserifar, R.; Ahmadi, M.; Mirzaei, A. Determination of genetic diversity of Leishmania species using mini-circle kDNA, in Iran-Iraq countries border. Trop. Parasitol. 2018, 8, 77–82. [Google Scholar] [CrossRef] [PubMed] [PubMed Central]
- Torres-Guerrero, E.; Quintanilla-Cedillo, M.R.; Ruiz-Esmenjaud, J.; Arenas, R. Leishmaniasis: A review. F1000Research 2017, 6, 750. [Google Scholar] [CrossRef] [PubMed] [PubMed Central]
- Reveiz, L.; Maia-Elkhoury, A.N.; Nicholls, R.S.; Romero, G.A.; Yadon, Z.E. Interventions for American cutaneous and mucocutaneous leishmaniasis: A systematic review update. PLoS ONE 2013, 8, e61843. [Google Scholar] [CrossRef] [PubMed] [PubMed Central]














| Primer Name | Nucleotide Sequence | Length | Nt. Location in PSC1 Kinetoplast ACC#BK010875 |
|---|---|---|---|
| F1 | GGCAAGTCCTACTCTCCTTTACAAAG | 26 | 1808..1838 |
| F2 | GGCAAGTCCTACTCTCCTTTACAAAGAGAAC | 31 | 1808..1833 |
| F3 | TTGTATGTTTGATTGGGGCAATACT | 25 | 1851..1875 |
| F4 | AGGTTCGAGCAGGTTAACAAGC | 22 | 1922..1943 |
| F5 | ATGTGTTTCATCGTCTACTTATTGC | 25 | 1955..1979 |
| F6 | TTCGTTAGTTGGGTTAAAATCGTTG | 25 | 2012..2036 |
| F7 | GATGCCAGCCGTTGCGGTAATTTCTATGC | 29 | 2417..2445 |
| F8 | GATGCCAGCCGTTGCGGTAATTTC | 24 | 2417..2440 |
| R1 | ATTAATGCTTGTTAACCTGCTCGAAC | 26 | rev:1924..1949 |
| R2 | TAGCAATAAGTAGACGATGAAACAC | 25 | rev:1957..1981 |
| R3 | TGCTTTACAACGATTTTAACCCAAC | 25 | rev:2019..2043 |
| R4 | TGCTTTACAACGATTTTAACCCAACTAACG | 30 | rev:2014..2043 |
| R5 | TAAAAGCATAGAAATTACCGCAACG | 25 | rev:2426..2450 |
| R6 | GTTGTCTTTATTACAAAGAATGGTGGGCAAC | 31 | rev:2738..2768 |
| R7 | GTTGTCTTTATTACAAAGAATGGTG | 25 | rev:2744..2768 |
| Guide Name | Nucleotide Target Sequence | Length | Location on Maxicircle |
|---|---|---|---|
| All-1 | TTTACAACGATTTTAACCCAACTAA | 25 (21 + PAM) | rev:2016..2040 |
| All-2 | TTTAGGAATAGTTAATAATAATTTA | 25 (21 + PAM) | 2284..2308 |
| All-3 | TTTGACAACATGATAAGGATTATAA | 25 (21 + PAM) | 2629..2653 |
| All-4 | TTTATAAAATAAATGTATAATATTT | 25 (21 + PAM) | rev:2450..2474 |
| MC-1 | TTTAAAAATATAAAAGTCAATTGTT | 25 (21 + PAM) | 2138..2161 |
| MC-2 | TTTATATTATTTTATATTATTTTAT | 25 (21 + PAM) | 2178..2201 |
Disclaimer/Publisher’s Note: The statements, opinions and data contained in all publications are solely those of the individual author(s) and contributor(s) and not of MDPI and/or the editor(s). MDPI and/or the editor(s) disclaim responsibility for any injury to people or property resulting from any ideas, methods, instructions or products referred to in the content. |
© 2024 by the authors. Licensee MDPI, Basel, Switzerland. This article is an open access article distributed under the terms and conditions of the Creative Commons Attribution (CC BY) license (https://creativecommons.org/licenses/by/4.0/).
Share and Cite
Wiggins, T.J.; Peng, R.; Bushnell, R.V.; Tobin, J.K.; MacLeod, D.A.; Du, K.; Tobin, G.J.; Dollery, S.J. Instrument-Free Point-of-Care Diagnostic for Leishmania Parasites. Diagnostics 2024, 14, 2744. https://doi.org/10.3390/diagnostics14232744
Wiggins TJ, Peng R, Bushnell RV, Tobin JK, MacLeod DA, Du K, Tobin GJ, Dollery SJ. Instrument-Free Point-of-Care Diagnostic for Leishmania Parasites. Diagnostics. 2024; 14(23):2744. https://doi.org/10.3390/diagnostics14232744
Chicago/Turabian StyleWiggins, Taralyn J., Ruonan Peng, Ruth V. Bushnell, John K. Tobin, David A. MacLeod, Ke Du, Gregory J. Tobin, and Stephen J. Dollery. 2024. "Instrument-Free Point-of-Care Diagnostic for Leishmania Parasites" Diagnostics 14, no. 23: 2744. https://doi.org/10.3390/diagnostics14232744
APA StyleWiggins, T. J., Peng, R., Bushnell, R. V., Tobin, J. K., MacLeod, D. A., Du, K., Tobin, G. J., & Dollery, S. J. (2024). Instrument-Free Point-of-Care Diagnostic for Leishmania Parasites. Diagnostics, 14(23), 2744. https://doi.org/10.3390/diagnostics14232744

