Enhanced Positioning Strategies to Reduce Pneumothorax in CT-Guided Lung Biopsies
Abstract
1. Introduction
2. Materials and Methods
2.1. Baseline Evaluation and Biopsy Technique
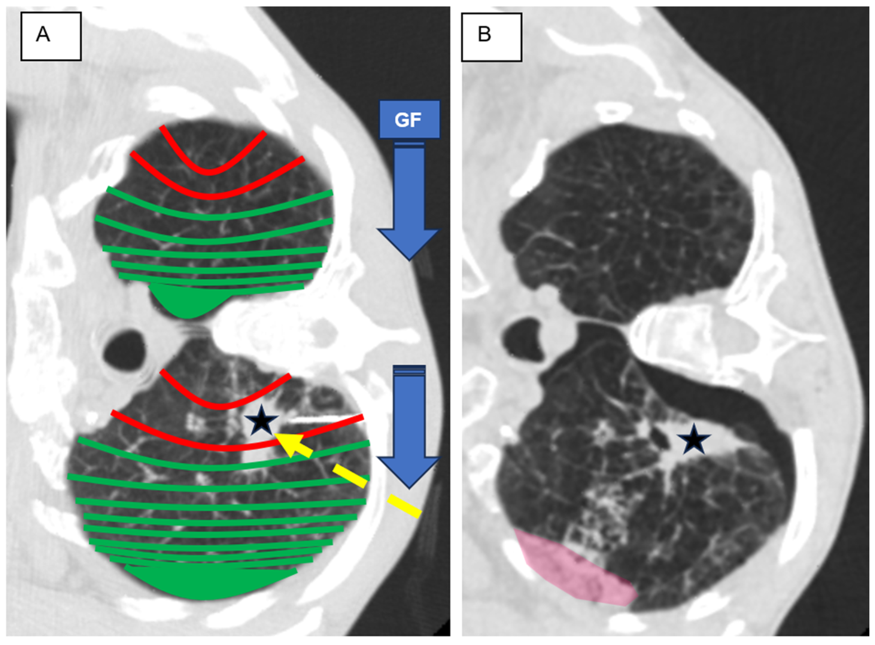
2.2. Differentiation Between Biopsy in Dependent and Non-Dependent Areas of the Lung
2.3. Procedures and Patient Groups
2.4. Statistical Analysis
3. Results
3.1. Study Population
3.2. Pneumothorax After CT-Guided Lung Biopsy
3.3. Association Lesion Characteristics and Technical Parameters with the Occurrence of Pneumothorax
3.4. Performance Metrics of Positional Variants to Prevent a Pneumothorax
4. Discussion
5. Conclusions
Author Contributions
Funding
Institutional Review Board Statement
Informed Consent Statement
Data Availability Statement
Conflicts of Interest
References
- Akulian, J.; Yarmus, L.; Feller-Kopman, D. The evaluation and clinical application of pleural physiology. Clin. Chest Med. 2013, 34, 11–19. [Google Scholar] [CrossRef] [PubMed]
- Feller-Kopman, D.; Parker, M.J.; Schwartzstein, R.M. Assessment of pleural pressure in the evaluation of pleural effusions. Chest 2009, 135, 201–209. [Google Scholar] [CrossRef] [PubMed]
- Zielinska-Krawczyk, M.; Krenke, R.; Grabczak, E.M.; Light, R.W. Pleural manometry–historical background, rationale for use and methods of measurement. Respir. Med. 2018, 136, 21–28. [Google Scholar] [CrossRef] [PubMed]
- Khan, M.; Straub, R.; Moghaddam, S.; Maataoui, A.; Gurung, J.; Wagner, T.; Ackermann, H.; Thalhammer, A.; Vogl, T.; Jacobi, V. Variables affecting the risk of pneumothorax and intrapulmonal hemorrhage in CT-guided transthoracic biopsy. Eur. Radiol. 2008, 18, 1356–1363. [Google Scholar] [CrossRef]
- Asai, N.; Kawamura, Y.; Yamazaki, I.; Sogawa, K.; Ohkuni, Y.; O’uchi, T.; Kubo, A.; Yamaguchi, E.; Kaneko, N. Is emphysema a risk factor for pneumothorax in CT-guided lung biopsy? Springerplus 2013, 2, 196. [Google Scholar] [CrossRef]
- Cassel, D.; Birnberg, F. Preventing pneumothorax after lung biopsy: The roll-over technique. Radiology 1990, 174, 282. [Google Scholar] [CrossRef]
- Collings, C.L.; Westcott, J.L.; Banson, N.L.; Lange, R.C. Pneumothorax and dependent versus nondependent patient position after needle biopsy of the lung. Radiology 1999, 210, 59–64. [Google Scholar] [CrossRef] [PubMed]
- Covey, A.M.; Gandhi, R.; Brody, L.A.; Getrajdman, G.; Thaler, H.T.; Brown, K.T. Factors associated with pneumothorax and pneumothorax requiring treatment after percutaneous lung biopsy in 443 consecutive patients. J. Vasc. Interv. Radiol. 2004, 15, 479–483. [Google Scholar] [CrossRef]
- Klein, J.S.; Salomon, G.; Stewart, E.A. Transthoracic needle biopsy with a coaxially placed 20-gauge automated cutting needle: Results in 122 patients. Radiology 1996, 198, 715–720. [Google Scholar] [CrossRef]
- Klein, J.S.; Zarka, M.A. Transthoracic needle biopsy. Radiol. Clin. North Am. 2000, 38, 235–266. [Google Scholar] [CrossRef]
- Li, Y.; Du, Y.; Luo, T.; Yang, H.; Yu, J.; Xu, X.; Zheng, H.; Li, B. Usefulness of normal saline for sealing the needle track after CT-guided lung biopsy. Clin. Radiol. 2015, 70, 1192–1197. [Google Scholar] [CrossRef] [PubMed]
- Moore, E.H.; LeBlanc, J.; Montesi, S.A.; Richardson, M.L.; Shepard, J.; McLoud, T.C. Effect of patient positioning after needle aspiration lung biopsy. Radiology 1991, 181, 385–387. [Google Scholar] [CrossRef] [PubMed]
- Swischuk, J.L.; Castaneda, F.; Patel, J.C.; Li, R.; Fraser, K.W.; Brady, T.M.; Bertino, R.E. Percutaneous transthoracic needle biopsy of the lung: Review of 612 lesions. J. Vasc. Interv. Radiol. 1998, 9, 347–352. [Google Scholar] [CrossRef] [PubMed]
- Tomiyama, N.; Yasuhara, Y.; Nakajima, Y.; Adachi, S.; Arai, Y.; Kusumoto, M.; Eguchi, K.; Kuriyama, K.; Sakai, F.; Noguchi, M. CT-guided needle biopsy of lung lesions: A survey of severe complication based on 9783 biopsies in Japan. Eur. J. Radiol. 2006, 59, 60–64. [Google Scholar] [CrossRef]
- Westcott, J.; Rao, N.; Colley, D. Transthoracic needle biopsy of small pulmonary nodules. Radiology 1997, 202, 97–103. [Google Scholar] [CrossRef]
- Brönnimann, M.P.; Kulagowska, J.; Gebauer, B.; Auer, T.A.; Collettini, F.; Schnapauff, D.; Magyar, C.T.; Komarek, A.; Krokidis, M.; Heverhagen, J.T. Fluoroscopic-Guided vs. Multislice Computed Tomography (CT) Biopsy Mode-Guided Percutaneous Radiologic Gastrostomy (PRG)—Comparison of Interventional Parameters and Billing. Diagnostics 2024, 14, 1662. [Google Scholar] [CrossRef]
- Brönnimann, M.P.; Tarca, M.; Segger, L.; Kulagowska, J.; Fleckenstein, F.N.; Gebauer, B.; Fehrenbach, U.; Collettini, F.; Heverhagen, J.T.; Auer, T.A. Comparative Analysis of CT Fluoroscopy Modes and Gastropexy Techniques in CT-Guided Percutaneous Radiologic Gastrostomy. Tomography 2024, 10, 1754–1766. [Google Scholar] [CrossRef]
- Gurley, M.B.; Richli, W.R.; Waugh, K.A. Outpatient management of pneumothorax after fine-needle aspiration: Economic advantages for the hospital and patient. Radiology 1998, 209, 717–722. [Google Scholar] [CrossRef]
- Lee, S.; Ruchalski, K.; Pomykala, K.; Ryan, T.; Genshaft, S.; Abtin, F.; Sayre, J.; Suh, R. CT-Guided Lung Biopsy: Reduction of Patient Recovery Time and Cost with Use of A Hydrogel Plug. J. Radiol. Med. Imaging 2021, 4, 1038. [Google Scholar]
- Leger, T.; Jerjir, N.; Gregory, J.; Bennani, S.; Freche, G.; Revel, M.-P.; Chassagnon, G. Does ipsilateral-dependent positioning during percutaneous lung biopsy decrease the risk of pneumothorax? Am. J. Roentgenol. 2019, 212, 461–466. [Google Scholar] [CrossRef]
- Lokhandwala, T.; Bittoni, M.A.; Dann, R.A.; D’Souza, A.O.; Johnson, M.; Nagy, R.J.; Lanman, R.B.; Merritt, R.E.; Carbone, D.P. Costs of diagnostic assessment for lung cancer: A medicare claims analysis. Clin Lung Canc 2017, 18, e27–e34. [Google Scholar] [CrossRef] [PubMed]
- O’Neill, A.C.; McCarthy, C.; Ridge, C.A.; Mitchell, P.; Hanrahan, E.; Butler, M.; Keane, M.P.; Dodd, J.D. Rapid needle-out patient-rollover time after percutaneous CT-guided transthoracic biopsy of lung nodules: Effect on pneumothorax rate. Radiology 2012, 262, 314–319. [Google Scholar] [CrossRef]
- Shaham, D. Semi-invasive and invasive procedures for the diagnosis and staging of lung cancer I: Percutaneous transthoracic needle biopsy. Radiol Clin 2000, 38, 525–534. [Google Scholar] [CrossRef]
- Milner, L.; Ryan, K.; Gullo, J. Fatal intrathoracic hemorrhage after percutaneous aspiration lung biopsy. Am. J. Roentgenol. 1979, 132, 280–281. [Google Scholar] [CrossRef]
- Drumm, O.; Joyce, E.A.; de Blacam, C.; Gleeson, T.; Kavanagh, J.; McCarthy, E.; McDermott, R.; Beddy, P. CT-guided lung biopsy: Effect of biopsy-side down position on pneumothorax and chest tube placement. Radiology 2019, 292, 190–196. [Google Scholar] [CrossRef]
- Najafi, A.; Al Ahmar, M.; Bonnet, B.; Delpla, A.; Kobe, A.; Madani, K.; Roux, C.; Deschamps, F.; de Baère, T.; Tselikas, L. The PEARL approach for CT-guided lung biopsy: Assessment of complication rate. Radiology 2022, 302, 473–480. [Google Scholar] [CrossRef] [PubMed]
- Zidulka, A.; Braidy, T.F.; Rizzi, M.C.; Shiner, R.J. Position may stop pneumothorax progression in dogs. Am. Rev. Respir. Dis. 1982, 126, 51–53. [Google Scholar]
- Brönnimann, M.P.; Christe, A.; Heverhagen, J.T.; Gebauer, B.; Auer, T.A.; Schnapauff, D.; Collettini, F.; Schroeder, C.; Dorn, P.; Ebner, L. Pneumothorax risk reduction during CT-guided lung biopsy–Effect of fluid application to the pleura before lung puncture and the gravitational effect of pleural pressure. Eur. J. Radiol. 2024, 176, 111529. [Google Scholar] [CrossRef] [PubMed]
- Kinoshita, F.; Kato, T.; Sugiura, K.; Nishimura, M.; Kinoshita, T.; Hashimoto, M.; Kaminoh, T.; Ogawa, T. CT-guided transthoracic needle biopsy using a puncture site-down positioning technique. Am. J. Roentgenol. 2006, 187, 926–932. [Google Scholar] [CrossRef]
- Huo, Y.R.; Chan, M.V.; Habib, A.-R.; Lui, I.; Ridley, L. Pneumothorax rates in CT-Guided lung biopsies: A comprehensive systematic review and meta-analysis of risk factors. The British journal of radiology 2020, 93, 20190866. [Google Scholar] [CrossRef]
- Ashraf, H.; Krag-Andersen, S.; Naqibullah, M.; Minddal, V.; Nørgaard, A.; Naur, T.M.H.; Myschetzky, P.S.; Clementsen, P.F. Computer tomography guided lung biopsy using interactive breath-hold control: A randomized study. Ann. Transl. Med. 2017, 5, 253. [Google Scholar] [CrossRef] [PubMed]
- Stenqvist, O.; Gattinoni, L.; Hedenstierna, G. What’s new in respiratory physiology? The expanding chest wall revisited! Intensive Care Med. 2015, 41, 1110–1113. [Google Scholar] [CrossRef]
- Chowdhury, M.Z.I.; Turin, T.C. Variable selection strategies and its importance in clinical prediction modelling. Fam. Med. Community Health 2020, 8, e000262. [Google Scholar] [CrossRef] [PubMed]
- Harrell, F.E. Regression Modeling Strategies: With Applications to Linear Models, Logistic Regression, and Survival Analysis; Springer: Berlin/Heidelberg, Germany, 2001; Volume 608. [Google Scholar]
- Cohen, J. Quantitative methods in psychology: A power primer. Psychol. Bull. 1992, 112, 155–159. [Google Scholar] [CrossRef]
- Lee, D.S.; Bak, S.H.; Jeon, Y.H.; Kwon, S.O.; Kim, W.J. Perilesional emphysema as a predictor of risk of complications from computed tomography-guided transthoracic lung biopsy. Jpn. J. Radiol. 2019, 37, 808–816. [Google Scholar] [CrossRef]
- Zhang, H.; Liao, M.; Zhu, D.; Chen, J.; Wang, Y. Lung radiodensity along the needle passage is a quantitative predictor of pneumothorax after CT-guided percutaneous core needle biopsy. Clin. Radiol. 2018, 73, 319.e311–319.e317. [Google Scholar] [CrossRef]
- Theilig, D.; Petschelt, D.; Mayerhofer, A.; Hamm, B.; Gebauer, B.; Geisel, D. Impact of quantitative pulmonary emphysema score on the rate of pneumothorax and chest tube insertion in CT-guided lung biopsies. Scientific Reports 2020, 10, 10978. [Google Scholar] [CrossRef]
- Anderson, C.L.V.; Crespo, J.C.A.; Lie, T.H. Risk of pneumothorax not increased by obstructive lung disease in percutaneous needle biopsy. Chest 1994, 105, 1705–1708. [Google Scholar] [CrossRef] [PubMed]
- Yeow, K.-M.; Su, I.-H.; Pan, K.-T.; Tsay, P.-K.; Lui, K.-W.; Cheung, Y.-C.; Chou, A.S.-B. Risk factors of pneumothorax and bleeding: Multivariate analysis of 660 CT-guided coaxial cutting needle lung biopsies. Chest 2004, 126, 748–754. [Google Scholar] [CrossRef]
- Wiener, R.S.; Schwartz, L.M.; Woloshin, S.; Welch, H.G. Population-based risk for complications after transthoracic needle lung biopsy of a pulmonary nodule: An analysis of discharge records. Ann. Intern. Med. 2011, 155, 137–144. [Google Scholar] [CrossRef]
- Vatrella, A.; Galderisi, A.; Nicoletta, C.; Maglio, A.; Cortese, A.; Di Crescenzo, R.M.; Ieni, A.; Crisci, A.; Di Crescenzo, V. Age as a risk factor in the occurrence of pneumothorax after transthoracic fine needle biopsy: Our experience. Int. J. Surg. 2014, 12, S29–S32. [Google Scholar] [CrossRef] [PubMed]
- Goetz, A.; Poschenrieder, F.; Steer, F.G.; Zeman, F.; Lange, T.J.; Thurn, S.; Greiner, B.; Stroszczynski, C.; Uller, W.; Hamer, O. Intravenous Opioid Medication with Piritramide Reduces the Risk of Pneumothorax During CT-Guided Percutaneous Core Biopsy of the Lung. Cardiovasc. Interv. Radiol. 2024, 47, 621–631. [Google Scholar] [CrossRef] [PubMed]







| Survey of Lung Biopsies | |||||||||
|---|---|---|---|---|---|---|---|---|---|
| Parameter | All (n = 144) | No Pneumothorax (n = 70) | Pneumothorax (n = 74) | p-Value | φ | CC | |||
| Female | 58 | 40% | 33 | 47% | 25 | 34% | 0.127 | ||
| Age (y) | 65.9 | ±13.15 | 64.19 | ±14.87 | 67.54 | ±11.16 | 0.217 | ||
| Lesion Size (mm) | 27.2 | ±20.06 | 28.79 | ±19.49 | 25.62 | ±20.60 | 0.148 | ||
| Patient Position | 0.051 | <0.01 | |||||||
| Supine | 55 | 38% | 27 | 39% | 28 | 38% | |||
| Lateral | 46 | 32% | 28 | 40% | 18 | 24% | |||
| Prone | 42 | 29% | 15 | 21% | 27 | 36% | |||
| L DA M | 64 | 44% | 45 | 64% | 19 | 26% | <0.001 * | −0.388 | <0.01 |
| LD BSD | 20 | 14% | 18 | 26% | 2 | 3% | <0.001 * | −0.333 | <0.01 |
| AR DA M | 56 | 39% | 42 | 60% | 14 | 19% | <0.001 * | −0.421 | |
| General Emphysema | 53 | 37% | 18 | 26% | 35 | 47% | 0.009 * | 0.224 | |
| Emphysema LAR | 40 | 28% | 13 | 19% | 27 | 36% | 0.025 * | 0.200 | <0.01 |
| Lesion Location | 0.924 | ||||||||
| UL | 65 | 45% | 31 | 44% | 34 | 46% | |||
| LL | 72 | 50% | 35 | 50% | 37 | 50% | |||
| ML/L | 7 | 5% | 4 | 6% | 3 | 4% | |||
| Needle Size | <0.001 * | ||||||||
| 18 G | 101 | 70% | 40 | 57% | 61 | 82% | |||
| 20 G | 43 | 30% | 30 | 43% | 13 | 18% | |||
| Biopsy System | 0.002 | ||||||||
| side-cut | 77 | 53% | 50 | 71% | 25 | 34% | |||
| full-core | 43 | 30% | 15 | 21% | 28 | 38% | |||
| Number of Samples (n) | 0.865 | ||||||||
| 1 and 2 | 27 | 19% | 14 | 20% | 13 | 18% | |||
| 3 | 64 | 44% | 32 | 46% | 32 | 43% | |||
| 4 | 34 | 24% | 15 | 21% | 19 | 26% | |||
| 5 | 17 | 12% | 9 | 13% | 8 | 11% | |||
| Procedure Time (min) | 26.3 | ±8.00 | 24.89 | ±7.49 | 27.59 | ±8.30 | 0.055 | ||
| Biopsy Angle (degree) | 63.8 | ±18.33 | 65.2 | ±18.26 | 62.43 | ±18.43 | 0.369 | ||
| Distance SL (mm) | 59.7 | ±20.54 | 62.5 | ±22.05 | 56.96 | ±18.76 | 0.159 | ||
| Distance PL (mm) | 14.9 | ±14.96 | 14.6 | ±13.90 | 15.14 | ±15.99 | 0.774 | ||
| Pathological Findings | 0.822 | ||||||||
| Primary Lung Cancer | 41 | 36% | 20 | 32% | 21 | 40% | |||
| Metastasis | 54 | 47% | 28 | 45% | 26 | 49% | |||
| Benignity | 45 | 39% | 21 | 34% | 24 | 45% | |||
| NUR | 4 | 3% | 1 | 2% | 3 | 6% | |||
| Variable | B | S.E. | Wald Test | df | p-Value | Odds Ratio | 95% CI | |
|---|---|---|---|---|---|---|---|---|
| − | + | |||||||
| Procedure Time (min) | 0.02 | 0.029 | 0.705 | 1 | 0.401 | 1.024 | 0.968 | 1.084 |
| AR DA M | −1.78 | 0.461 | 14.955 | 1 | <0.001 * | 0.168 | 0.068 | 0.415 |
| General Emphysema | 1.01 | 0.477 | 4.47 | 1 | 0.034 | 2.72 | 1.076 | 6.986 |
| Biopsy System | −0.57 | 0.511 | 1.258 | 1 | 0.262 | 0.564 | 0.207 | 1.535 |
| Needle Size | 0.54 | 0.528 | 1.059 | 1 | 0.303 | 1.722 | 0.612 | 4.85 |
| Positional Variant | AUC | Sensitivity | Specificity | False-Negative | False-Positive |
|---|---|---|---|---|---|
| AR DA M | 0.705 | 60% | 81.10% | 40% (28/70) | 18.9% (14/74) |
| L DA M | 0.693 | 64.30% | 74.30% | 35.7% (25/70) | 25.7% (19/74) |
| L LD BSD | 0.615 | 25.70% | 97.30% | 74.3% (52/70) | 2.7% (2/74) |
Disclaimer/Publisher’s Note: The statements, opinions and data contained in all publications are solely those of the individual author(s) and contributor(s) and not of MDPI and/or the editor(s). MDPI and/or the editor(s) disclaim responsibility for any injury to people or property resulting from any ideas, methods, instructions or products referred to in the content. |
© 2024 by the authors. Licensee MDPI, Basel, Switzerland. This article is an open access article distributed under the terms and conditions of the Creative Commons Attribution (CC BY) license (https://creativecommons.org/licenses/by/4.0/).
Share and Cite
Brönnimann, M.P.; Manser, L.; Maurer, M.H.; Gebauer, B.; Auer, T.A.; Schnapauff, D.; Collettini, F.; Nguyen, T.-L.; Komarek, A.; Krokidis, M.E.; et al. Enhanced Positioning Strategies to Reduce Pneumothorax in CT-Guided Lung Biopsies. Diagnostics 2024, 14, 2639. https://doi.org/10.3390/diagnostics14232639
Brönnimann MP, Manser L, Maurer MH, Gebauer B, Auer TA, Schnapauff D, Collettini F, Nguyen T-L, Komarek A, Krokidis ME, et al. Enhanced Positioning Strategies to Reduce Pneumothorax in CT-Guided Lung Biopsies. Diagnostics. 2024; 14(23):2639. https://doi.org/10.3390/diagnostics14232639
Chicago/Turabian StyleBrönnimann, Michael P., Leonie Manser, Martin H. Maurer, Bernhard Gebauer, Timo A. Auer, Dirk Schnapauff, Federico Collettini, Thanh-Long Nguyen, Alois Komarek, Miltiadis E. Krokidis, and et al. 2024. "Enhanced Positioning Strategies to Reduce Pneumothorax in CT-Guided Lung Biopsies" Diagnostics 14, no. 23: 2639. https://doi.org/10.3390/diagnostics14232639
APA StyleBrönnimann, M. P., Manser, L., Maurer, M. H., Gebauer, B., Auer, T. A., Schnapauff, D., Collettini, F., Nguyen, T.-L., Komarek, A., Krokidis, M. E., & Heverhagen, J. T. (2024). Enhanced Positioning Strategies to Reduce Pneumothorax in CT-Guided Lung Biopsies. Diagnostics, 14(23), 2639. https://doi.org/10.3390/diagnostics14232639

