Validation of Ultrasound Measurement of Vastus Lateralis for Appendicular Skeletal Muscle Mass in Chronic Kidney Disease Patients with Hemodialysis
Abstract
1. Introduction
2. Materials and Methods
2.1. Subjects
2.2. Standardization of Assessment Procedures
2.3. Dual-Energy X-Ray Absorptiometry (DXA) Measurement
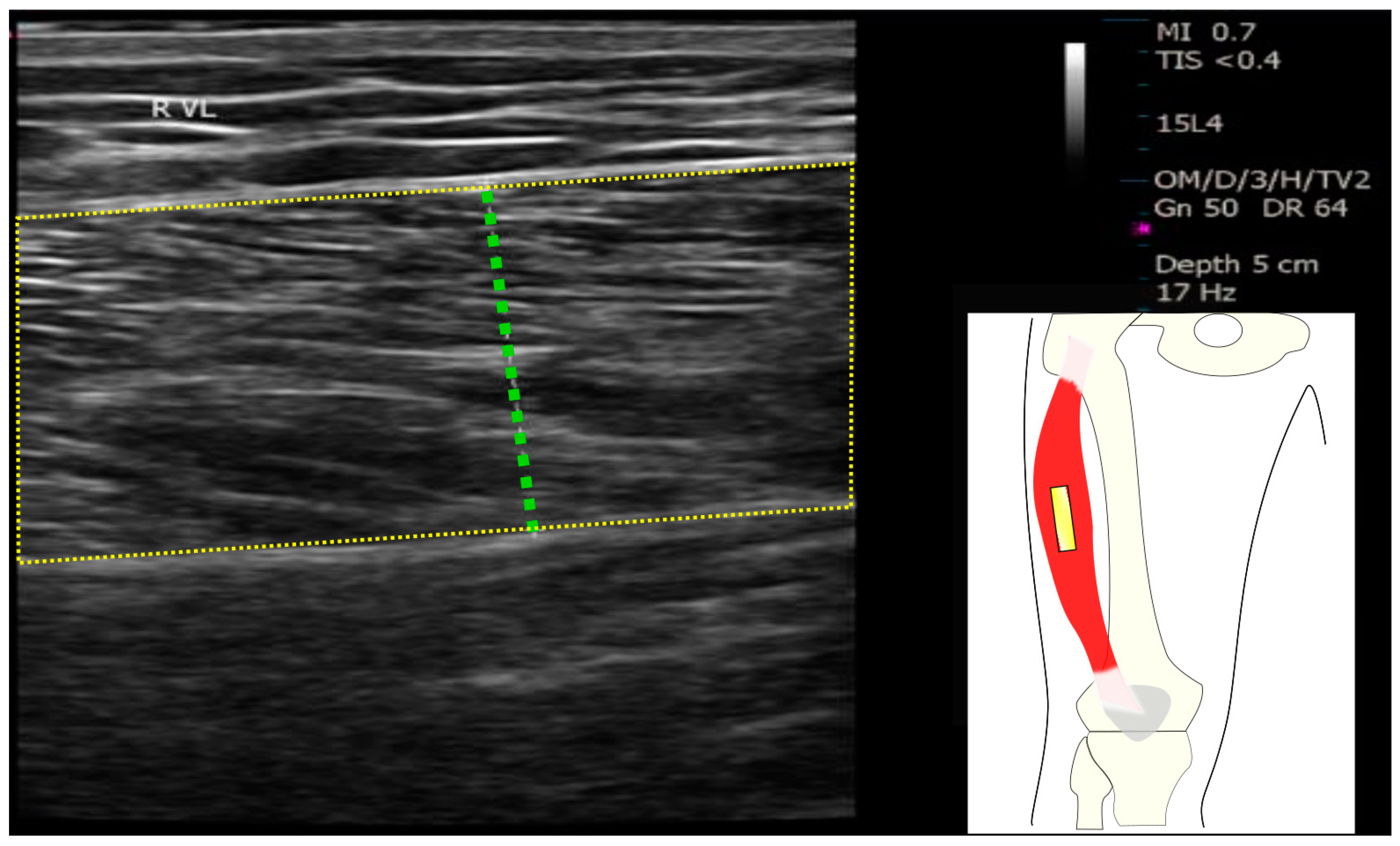
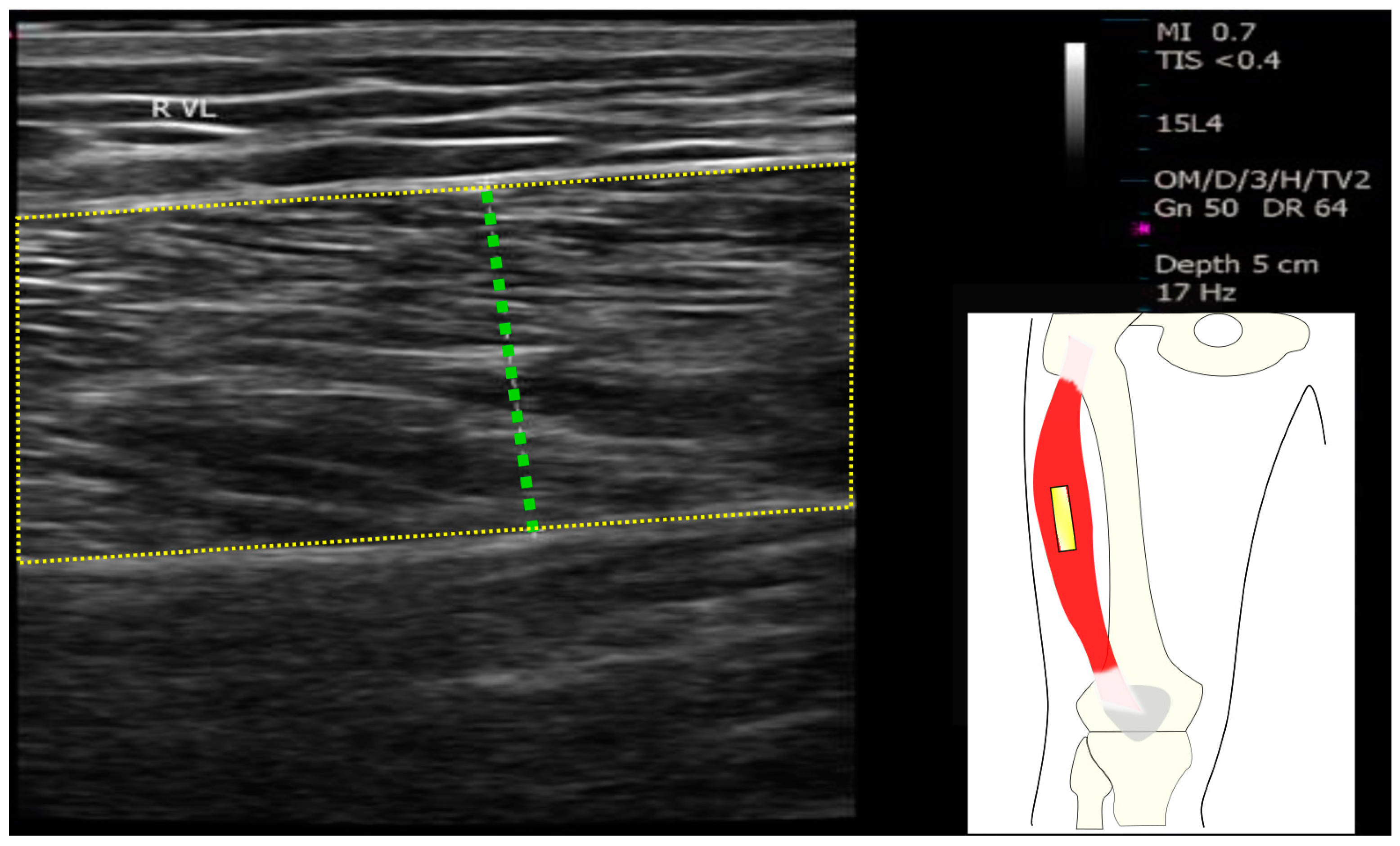
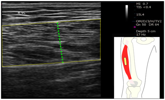
2.4. Muscle Ultrasound Measurements
2.5. Biochemical Tests
2.6. Physical Performance
2.7. Sarcopenia Evaluation
2.8. Statistical Analysis
3. Results
3.1. Predictive Model of Muscle Mass
3.2. Validation of US-Derived Muscle Mass
3.3. Accuracy of Diagnosing Sarcopenia
4. Discussion
5. Conclusions
Author Contributions
Funding
Institutional Review Board Statement
Informed Consent Statement
Data Availability Statement
Conflicts of Interest
References
- Chatzipetrou, V.; Bégin, M.-J.; Hars, M.; Trombetti, A. Sarcopenia in Chronic Kidney Disease: A Scoping Review of Prevalence, Risk Factors, Association with Outcomes, and Treatment. Calcif. Tissue Int. 2022, 110, 1–31. [Google Scholar] [CrossRef] [PubMed]
- Troutman, A.D.; Arroyo, E.; Lim, K.; Moorthi, R.N.; Avin, K.G. Skeletal Muscle Complications in Chronic Kidney Disease. Curr. Osteoporos. Rep. 2022, 20, 410–421. [Google Scholar] [CrossRef] [PubMed]
- Kittiskulnam, P.; Chertow, G.M.; Carrero, J.J.; Delgado, C.; Kaysen, G.A.; Johansen, K.L. Sarcopenia and Its Individual Criteria Are Associated, in Part, with Mortality among Patients on Hemodialysis. Kidney Int. 2017, 92, 238–247. [Google Scholar] [CrossRef]
- Bataille, S.; Serveaux, M.; Carreno, E.; Pedinielli, N.; Darmon, P.; Robert, A. The Diagnosis of Sarcopenia Is Mainly Driven by Muscle Mass in Hemodialysis Patients. Clin. Nutr. 2017, 36, 1654–1660. [Google Scholar] [CrossRef] [PubMed]
- Zhou, Y.; Hellberg, M.; Svensson, P.; Höglund, P.; Clyne, N. Sarcopenia and Relationships between Muscle Mass, Measured Glomerular Filtration Rate and Physical Function in Patients with Chronic Kidney Disease Stages 3–5. Nephrol. Dial. Transplant. 2018, 33, 342–348. [Google Scholar] [CrossRef]
- Wilkinson, T.J.; Gore, E.F.; Vadaszy, N.; Nixon, D.G.D.; Watson, E.L.; Smith, A.C. Utility of Ultrasound as a Valid and Accurate Diagnostic Tool for Sarcopenia: Sex-Specific Cutoff Values in Chronic Kidney Disease. J. Ultrasound Med. 2021, 40, 457–467. [Google Scholar] [CrossRef]
- Duarte, M.P.; Almeida, L.S.; Neri, S.G.R.; Oliveira, J.S.; Wilkinson, T.J.; Ribeiro, H.S.; Lima, R.M. Prevalence of Sarcopenia in Patients with Chronic Kidney Disease: A Global Systematic Review and Meta-Analysis. J. Cachexia Sarcopenia Muscle 2024, 15, 501–512. [Google Scholar] [CrossRef]
- Leonard, M.B.; Wehrli, F.W.; Ziolkowski, S.L.; Billig, E.; Long, J.; Nickolas, T.L.; Magland, J.F.; Nihtianova, S.; Zemel, B.S.; Herskovitz, R.; et al. A Multi-Imaging Modality Study of Bone Density, Bone Structure and the Muscle-Bone Unit in End-Stage Renal Disease. Bone 2019, 127, 271–279. [Google Scholar] [CrossRef]
- Carrero, J.J.; Johansen, K.L.; Lindholm, B.; Stenvinkel, P.; Cuppari, L.; Avesani, C.M. Screening for Muscle Wasting and Dysfunction in Patients with Chronic Kidney Disease. Kidney Int. 2016, 90, 53–66. [Google Scholar] [CrossRef]
- Naruse, M.; Trappe, S.; Trappe, T.A. Human Skeletal Muscle Size with Ultrasound Imaging: A Comprehensive Review. J. Appl. Physiol. 2022, 132, 1267–1279. [Google Scholar] [CrossRef]
- Van den Broeck, J.; Buzzatti, L.; Jager-Wittenaar, H.; Perkisas, S.; Scafoglieri, A. The Validity of Ultrasound-Derived Equation Models to Predict Whole-Body Muscle Mass: A Systematic Review. Clin. Nutr. ESPEN 2021, 46, 133–141. [Google Scholar] [CrossRef] [PubMed]
- Chen, Y.-L.; Liu, P.-T.; Chiang, H.K.; Lee, S.-H.; Lo, Y.-L.; Yang, Y.-C.; Chiou, H.-J. Ultrasound Measurement of Rectus Femoris Muscle Parameters for Discriminating Sarcopenia in Community-Dwelling Adults. J. Ultrasound Med. 2022, 41, 2269–2277. [Google Scholar] [CrossRef] [PubMed]
- de Souza, V.A.; Oliveira, D.; Cupolilo, E.N.; Miranda, C.S.; Colugnati, F.A.B.; Mansur, H.N.; Fernandes, N.M.d.S.; Bastos, M.G. Rectus Femoris Muscle Mass Evaluation by Ultrasound: Facilitating Sarcopenia Diagnosis in Pre-Dialysis Chronic Kidney Disease Stages. Clinics 2018, 73, e392. [Google Scholar] [CrossRef]
- Matsuzawa, R.; Yamamoto, S.; Suzuki, Y.; Imamura, K.; Harada, M.; Matsunaga, A.; Tamaki, A.; Fukui, T.; Shimokado, K. The Clinical Applicability of Ultrasound Technique for Diagnosis of Sarcopenia in Hemodialysis Patients. Clin. Nutr. 2021, 40, 1161–1167. [Google Scholar] [CrossRef]
- Rao, N.S.; Chandra, A.; Saran, S.; Lohiya, A. Ultrasound for Thigh Muscle Thickness Is a Valuable Tool in the Diagnosis of Sarcopenia in Indian Patients with Predialysis Chronic Kidney Disease. Osteoporos. Sarcopenia 2022, 8, 80–85. [Google Scholar] [CrossRef]
- Wilkinson, T.J.; Nixon, D.G.D.; Richler-Potts, D.; Neale, J.; Song, Y.; Smith, A.C. Identification of the Most Clinically Useful Skeletal Muscle Mass Indices Pertinent to Sarcopenia and Physical Performance in Chronic Kidney Disease. Nephrology 2020, 25, 467–474. [Google Scholar] [CrossRef]
- Battaglia, Y.; Ullo, I.; Massarenti, S.; Esposito, P.; Prencipe, M.; Ciancio, G.; Provenzano, M.; Fiorini, F.; Andreucci, M.; Storari, A.; et al. Ultrasonography of Quadriceps Femoris Muscle and Subcutaneous Fat Tissue and Body Composition by BIVA in Chronic Dialysis Patients. Nutrients 2020, 12, 1388. [Google Scholar] [CrossRef]
- Wu, J.; Luo, H.; Ren, S.; Shen, L.; Cheng, D.; Wang, N. Enhanced Echo Intensity of Skeletal Muscle Is Associated with Poor Physical Function in Hemodialysis Patients: A Cross-Sectional Study. BMC Nephrol. 2022, 23, 186. [Google Scholar] [CrossRef] [PubMed]
- Ticinesi, A.; Narici, M.V.; Lauretani, F.; Nouvenne, A.; Colizzi, E.; Mantovani, M.; Corsonello, A.; Landi, F.; Meschi, T.; Maggio, M. Assessing Sarcopenia with Vastus Lateralis Muscle Ultrasound: An Operative Protocol. Aging Clin. Exp. Res. 2018, 30, 1437–1443. [Google Scholar] [CrossRef]
- Podsiadlo, D.; Richardson, S. The Timed “Up & Go”: A Test of Basic Functional Mobility for Frail Elderly Persons. J. Am. Geriatr. Soc. 1991, 39, 142–148. [Google Scholar] [CrossRef]
- Chen, L.-K.; Woo, J.; Assantachai, P.; Auyeung, T.-W.; Chou, M.-Y.; Iijima, K.; Jang, H.C.; Kang, L.; Kim, M.; Kim, S.; et al. Asian Working Group for Sarcopenia: 2019 Consensus Update on Sarcopenia Diagnosis and Treatment. J. Am. Med. Dir. Assoc. 2020, 21, 300–307.e2. [Google Scholar] [CrossRef] [PubMed]
- Cruz-Jentoft, A.J.; Bahat, G.; Bauer, J.; Boirie, Y.; Bruyère, O.; Cederholm, T.; Cooper, C.; Landi, F.; Rolland, Y.; Sayer, A.A.; et al. Sarcopenia: Revised European Consensus on Definition and Diagnosis. Age Ageing 2019, 48, 16–31. [Google Scholar] [CrossRef] [PubMed]
- Studenski, S.A.; Peters, K.W.; Alley, D.E.; Cawthon, P.M.; McLean, R.R.; Harris, T.B.; Ferrucci, L.; Guralnik, J.M.; Fragala, M.S.; Kenny, A.M.; et al. The FNIH Sarcopenia Project: Rationale, Study Description, Conference Recommendations, and Final Estimates. J. Gerontol. A Biol. Sci. Med. Sci. 2014, 69, 547–558. [Google Scholar] [CrossRef] [PubMed]
- Bunce, C. Correlation, Agreement, and Bland–Altman Analysis: Statistical Analysis of Method Comparison Studies. Am. J. Ophthalmol. 2009, 148, 4–6. [Google Scholar] [CrossRef]
- Lin, L.I.-K. A Concordance Correlation Coefficient to Evaluate Reproducibility. Biometrics 1989, 45, 255–268. [Google Scholar] [CrossRef]
- Giles, L.S.; Webster, K.E.; McClelland, J.A.; Cook, J. Can Ultrasound Measurements of Muscle Thickness Be Used to Measure the Size of Individual Quadriceps Muscles in People with Patellofemoral Pain? Phys. Ther. Sport 2015, 16, 45–52. [Google Scholar] [CrossRef]
- Geneen, L.J.; Kinsella, J.; Zanotto, T.; Naish, P.F.; Mercer, T.H. Validity and Reliability of High-Resolution Ultrasound Imaging for the Assessment of Regional Body Composition in Stage 5 Chronic Kidney Disease Patients Undergoing Continuous Ambulatory Peritoneal Dialysis. Perit. Dial. Int. 2021, 42, 57–64. [Google Scholar] [CrossRef]
- Raj, I.S.; Bird, S.R.; Shield, A.J. Reliability of Ultrasonographic Measurement of the Architecture of the Vastus Lateralis and Gastrocnemius Medialis Muscles in Older Adults. Clin. Physiol. Funct. Imaging 2012, 32, 65–70. [Google Scholar] [CrossRef]
- Abe, T.; Thiebaud, R.S.; Loenneke, J.P.; Young, K.C. Prediction and Validation of DXA-Derived Appendicular Lean Soft Tissue Mass by Ultrasound in Older Adults. AGE 2015, 37, 114. [Google Scholar] [CrossRef]
- Paris, M.T.; Lafleur, B.; Dubin, J.A.; Mourtzakis, M. Development of a Bedside Viable Ultrasound Protocol to Quantify Appendicular Lean Tissue Mass. J. Cachexia Sarcopenia Muscle 2017, 8, 713–726. [Google Scholar] [CrossRef]
- Barbosa-Silva, T.G.; Gonzalez, M.C.; Bielemann, R.M.; Santos, L.P.; Costa, C.d.S.; Menezes, A.M.B. 2 + 2 (+2) = 4: A New Approach for Appendicular Muscle Mass Assessment by Ultrasound. Nutrition 2021, 83, 111056. [Google Scholar] [CrossRef] [PubMed]
- Janssen, I.; Heymsfield, S.B.; Baumgartner, R.N.; Ross, R. Estimation of Skeletal Muscle Mass by Bioelectrical Impedance Analysis. J. Appl. Physiol. 2000, 89, 465–471. [Google Scholar] [CrossRef] [PubMed]
- Betz, T.M.; Wehrstein, M.; Preisner, F.; Bendszus, M.; Friedmann-Bette, B. Reliability and Validity of a Standardised Ultrasound Examination Protocol to Quantify Vastus Lateralis Muscle. J. Rehabil. Med. 2021, 53, 2809. [Google Scholar] [CrossRef] [PubMed]
- Yu, M.-D.; Zhang, H.-Z.; Zhang, Y.; Yang, S.-P.; Lin, M.; Zhang, Y.-M.; Wu, J.-B.; Hong, F.-Y.; Chen, W.-X. Relationship between Chronic Kidney Disease and Sarcopenia. Sci. Rep. 2021, 11, 20523. [Google Scholar] [CrossRef] [PubMed]
- Rosa, C.S.C.; Ribeiro, H.S.; Vogt, B.P.; Sakkas, G.K.; Monteiro, H.L. Sarcopenia Diagnosis in Patients Receiving Hemodialysis: Agreement among Different Consensuses. Nutr. Clin. Pract. 2022, 37, 1348–1355. [Google Scholar] [CrossRef]
- Cheema, B.; Abas, H.; Smith, B.; O’sullivan, A.J.; Chan, M.; Patwardhan, A.; Kelly, J.; Gillin, A.; Pang, G.; Lloyd, B.; et al. Investigation of Skeletal Muscle Quantity and Quality in End-Stage Renal Disease. Nephrology 2010, 15, 454–463. [Google Scholar] [CrossRef]
- Ismail, C.; Zabal, J.; Hernandez, H.J.; Woletz, P.; Manning, H.; Teixeira, C.; DiPietro, L.; Blackman, M.R.; Harris-Love, M.O. Diagnostic Ultrasound Estimates of Muscle Mass and Muscle Quality Discriminate between Women with and without Sarcopenia. Front. Physiol. 2015, 6, 302. [Google Scholar] [CrossRef]
- Avesani, C.M.; de Abreu, A.M.; Ribeiro, H.S.; Brismar, T.B.; Stenvinkel, P.; Sabatino, A.; Lindholm, B. Muscle Fat Infiltration in Chronic Kidney Disease: A Marker Related to Muscle Quality, Muscle Strength and Sarcopenia. J. Nephrol. 2023, 36, 895–910. [Google Scholar] [CrossRef]
- Wilkinson, T.J.; Gould, D.W.; Nixon, D.G.D.; Watson, E.L.; Smith, A.C. Quality over Quantity? Association of Skeletal Muscle Myosteatosis and Myofibrosis on Physical Function in Chronic Kidney Disease. Nephrol. Dial. Transplant. 2019, 34, 1344–1353. [Google Scholar] [CrossRef]
- Yang, Q.; Zhang, C.; Zhang, Z.; Su, B. Muscle Ultrasound to Diagnose Sarcopenia in Chronic Kidney Disease: A Systematic Review and Bayesian Bivariate Meta-Analysis. BMC Nephrol. 2024, 25, 12. [Google Scholar] [CrossRef]
- Krase, A.A.; Terzis, G.; Giannaki, C.D.; Stasinaki, A.N.; Wilkinson, T.J.; Smith, A.C.; Zorz, C.; Karatzaferi, C.; Stefanidis, I.; Sakkas, G.K. Seven Months of Aerobic Intradialytic Exercise Training Can Prevent Muscle Loss in Haemodialysis Patients: An Ultrasonography Study. Int. Urol. Nephrol. 2022, 54, 447–456. [Google Scholar] [CrossRef] [PubMed]
- Dam, T.-T.; Peters, K.W.; Fragala, M.; Cawthon, P.M.; Harris, T.B.; McLean, R.; Shardell, M.; Alley, D.E.; Kenny, A.; Ferrucci, L.; et al. An Evidence-Based Comparison of Operational Criteria for the Presence of Sarcopenia. J. Gerontol. Ser. A 2014, 69, 584–590. [Google Scholar] [CrossRef] [PubMed]
- Yoowannakul, S.; Tangvoraphonkchai, K.; Vongsanim, S.; Mohamed, A.; Davenport, A. Differences in the Prevalence of Sarcopenia in Haemodialysis Patients: The Effects of Gender and Ethnicity. J. Hum. Nutr. Diet. 2018, 31, 689–696. [Google Scholar] [CrossRef] [PubMed]
- Leinig, C.; Pecoits-Filho, R.; Nascimento, M.M.; Gonçalves, S.; Riella, M.C.; Martins, C. Association between Body Mass Index and Body Fat in Chronic Kidney Disease Stages 3 to 5, Hemodialysis, and Peritoneal Dialysis Patients. J. Ren. Nutr. 2008, 18, 424–429. [Google Scholar] [CrossRef]




| Variables | Overall (N = 46) | Female (n = 21) | Male (n = 25) | p Value |
|---|---|---|---|---|
| Age (years) | 67.3 (11.0) | 67.5 (10.4) | 67.0 (11.7) | 0.883 |
| Height (cm) | 160.3 (9.1) | 152.7 (5.6) | 166.6 (6.0) | <0.001 |
| Weight (kg) | 61.6 (11.9) | 54.2 (10.2) | 67.9 (9.5) | <0.001 |
| BMI (kg/m2) | 23.9 (3.7) | 23.2 (4.1) | 24.5 (3.2) | 0.265 |
| DXA measurement | ||||
| Arms (g) | 4691.3 (1187.1) | 3709.5 (650.3) | 5516.1 (859.0) | <0.001 |
| Legs (g) | 12,682.8 (2404.2) | 10,713.2 (1542.9) | 14,337.2 (1615.2) | <0.001 |
| Total fat (g) | 16,633.1 (7670.3) | 15,757.5 (8748.0) | 17,368.6 (6730.9) | 0.495 |
| Body fat (%) | 26.1 (9.7) | 27.7 (12.0) | 24.9 (7.2) | 0.358 |
| ASM (kg) | 17.4 (3.5) | 14.4 (2.0) | 19.9 (2.5) | <0.001 |
| ASMI (kg/m2) | 6.7 (0.9) | 6.2 (0.8) | 7.2 (0.7) | <0.001 |
| Biochemical tests | ||||
| Albumin (g/dL) | 3.5 (0.3) | 3.4 (0.4) | 3.5 (0.3) | 0.48 |
| Cholesterol (mg/dL) | 158.9 (36.8) | 174.5 (34.1) | 145.8 (34.4) | 0.007 |
| Creatinine (mg/dL) | 9.6 (1.7) | 8.9 (1.6) | 10.3 (1.4) | 0.003 |
| eGFR (mL/min/1.73 m2) | 4.9 (0.9) | 4.6 (0.9) | 5.2 (0.9) | 0.029 |
| CRP (mg/dL) | 0.4 (0.4) | 0.4 (0.4) | 0.4 (0.4) | 0.704 |
| Ultrasound measurement | ||||
| Muscle thickness (cm) | 1.6 (0.4) | 1.5 (0.4) | 1.8 (0.4) | 0.017 |
| Echo intensity | 91.9 (14.1) | 94.8 (13.3) | 89.5 (14.5) | 0.204 |
| Physical performance | ||||
| Grip strength (kg) | 18.1 (6.3) | 13.8 (4.6) | 21.8 (5.2) | <0.001 |
| TUG (s) | 9.6 (2.8) | 9.6 (2.7) | 9.6 (3.0) | 0.974 |
| Gait speed (m/s) | 1.0 (0.3) | 0.9 (0.3) | 1.0 (0.3) | 0.242 |
| Sarcopenia prevalence | ||||
| FNIH/BMI | 11 (23.9%) | 2 (9.5%) | 9 (36.0%) | 0.052 |
| FNIH | 24 (52.1%) | 13 (61.9%) | 11 (44.0%) | |
| EWGSOP2 | 14 (30.4%) | 6 (28.6%) | 8 (32.0%) | |
| AWGS | 13 (28.3%) | 4 (19.0%) | 9 (36.0%) |
| Predictors | Coefficient | OR (95% CI) | SEE | p Values |
|---|---|---|---|---|
| Intercept | −20.17 | 0 (0~0.003) | 7.14 | 0.007 |
| MT_VL (cm) | 1.90 | 6.71 (1.62~27.75) | 0.70 | 0.010 |
| Sex (female = 0, male = 1) | 1.58 | 4.83 (1.12~20.85) | 0.72 | 0.035 |
| Height (cm) | 0.16 | 1.17 (1.07~1.28) | 0.04 | 0.001 |
| Weight (kg) | 0.09 | 1.09 (1.03~1.15) | 0.03 | 0.002 |
| Age (year) | 0.05 | 1.05 (1.00~1.10) | 0.02 | 0.045 |
| Consensus | Sensitivity | Specificity | Accuracy | Precision | F-Score | AUC |
|---|---|---|---|---|---|---|
| FNIH/BMI | 0.79 | 0.68 | 0.74 | 0.73 | 0.76 | 0.84 |
| FNIH | 0.18 | 0.97 | 0.78 | 0.67 | 0.29 | 0.85 |
| EWGSOP2 | 0.43 | 0.94 | 0.78 | 0.75 | 0.55 | 0.78 |
| AWGS | 0.23 | 0.97 | 0.76 | 0.75 | 0.35 | 0.76 |
Disclaimer/Publisher’s Note: The statements, opinions and data contained in all publications are solely those of the individual author(s) and contributor(s) and not of MDPI and/or the editor(s). MDPI and/or the editor(s) disclaim responsibility for any injury to people or property resulting from any ideas, methods, instructions or products referred to in the content. |
© 2024 by the authors. Licensee MDPI, Basel, Switzerland. This article is an open access article distributed under the terms and conditions of the Creative Commons Attribution (CC BY) license (https://creativecommons.org/licenses/by/4.0/).
Share and Cite
Liu, P.-T.; Wei, T.-S.; Ching, C.T.-S. Validation of Ultrasound Measurement of Vastus Lateralis for Appendicular Skeletal Muscle Mass in Chronic Kidney Disease Patients with Hemodialysis. Diagnostics 2024, 14, 2600. https://doi.org/10.3390/diagnostics14222600
Liu P-T, Wei T-S, Ching CT-S. Validation of Ultrasound Measurement of Vastus Lateralis for Appendicular Skeletal Muscle Mass in Chronic Kidney Disease Patients with Hemodialysis. Diagnostics. 2024; 14(22):2600. https://doi.org/10.3390/diagnostics14222600
Chicago/Turabian StyleLiu, Peng-Ta, Ta-Sen Wei, and Congo Tak-Shing Ching. 2024. "Validation of Ultrasound Measurement of Vastus Lateralis for Appendicular Skeletal Muscle Mass in Chronic Kidney Disease Patients with Hemodialysis" Diagnostics 14, no. 22: 2600. https://doi.org/10.3390/diagnostics14222600
APA StyleLiu, P.-T., Wei, T.-S., & Ching, C. T.-S. (2024). Validation of Ultrasound Measurement of Vastus Lateralis for Appendicular Skeletal Muscle Mass in Chronic Kidney Disease Patients with Hemodialysis. Diagnostics, 14(22), 2600. https://doi.org/10.3390/diagnostics14222600

