Reduction in Synovitis Following Genicular Artery Embolization in Knee Osteoarthritis: A Prospective Ultrasound and MRI Study
Abstract
1. Introduction
2. Materials and Methods
2.1. Participants
2.2. Genicular Artery Embolization Procedure
2.3. Ultrasound
2.4. MRI
2.4.1. Non-CE-MRI
2.4.2. CE-MRI
2.4.3. Ischemic Lesions
2.5. Statistical Analysis
3. Results
3.1. Ultrasound
3.2. MRI
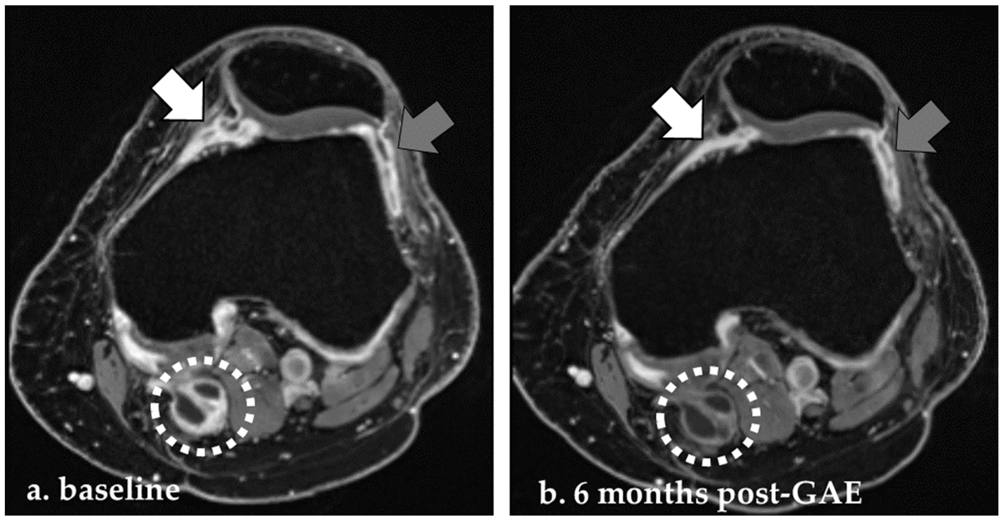
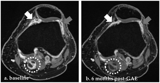
3.2.1. Non-CE-MRI—Effusion-Synovitis
3.2.2. CE-MRI—Synovitis
3.2.3. Agreement Between US and MRI Scores
3.2.4. Ischemic Lesions
4. Discussion
5. Conclusions
Supplementary Materials
Author Contributions
Funding
Institutional Review Board Statement
Informed Consent Statement
Data Availability Statement
Acknowledgments
Conflicts of Interest
References
- Weng, Q.; Chen, Q.; Jiang, T.; Zhang, Y.; Zhang, W.; Doherty, M.; Xie, J.; Liu, K.; Li, J.; Yang, T.; et al. Global Burden of Early-Onset Osteoarthritis, 1990–2019: Results from the Global Burden of Disease Study 2019. Ann. Rheum. Dis. 2024, 83, 915–925. [Google Scholar] [CrossRef] [PubMed]
- WPHO Scientific Group on the Burden of Musculoskeletal Conditions at the Start of the New Millennium. The Burden of Musculoskeletal Conditions at the Start of the New Millennium; World Health Organization Technical Report; WHO: Geneva, Switzerland, 2003; Volume 919, Chapter 1–10, pp. 1–218. [Google Scholar]
- Hunter, D.J.; Bierma-Zeinstra, S. Osteoarthritis. Lancet 2019, 393, 1745–1759. [Google Scholar] [CrossRef] [PubMed]
- Leifer, V.P.; Katz, J.N.; Losina, E. The Burden of OA-Health Services and Economics. Osteoarthr. Cartil. 2022, 30, 10–16. [Google Scholar] [CrossRef] [PubMed]
- Sharma, L. Osteoarthritis of the Knee. N. Engl. J. Med. 2021, 384, 51–59. [Google Scholar] [CrossRef]
- Yue, L.; Berman, J. What Is Osteoarthritis? JAMA 2022, 327, 1300. [Google Scholar] [CrossRef]
- Krakowski, P.; Rejniak, A.; Sobczyk, J.; Karpiński, R. Cartilage Integrity: A Review of Mechanical and Frictional Properties and Repair Approaches in Osteoarthritis. Healthcare 2024, 12, 1648. [Google Scholar] [CrossRef]
- Bonnet, C.S.; Walsh, D.A. Osteoarthritis, Angiogenesis and Inflammation. Rheumatology 2005, 44, 7–16. [Google Scholar] [CrossRef]
- Hayashi, D.; Roemer, F.W.; Guermazi, A. Imaging of Osteoarthritis by Conventional Radiography, MR Imaging, PET–Computed Tomography, and PET–MR Imaging. PET Clin. 2019, 14, 17–29. [Google Scholar] [CrossRef]
- Mathiessen, A.; Cimmino, M.A.; Hammer, H.B.; Haugen, I.K.; Iagnocco, A.; Conaghan, P.G. Imaging of Osteoarthritis (OA): What Is New? Best Pract. Res. Clin. Rheumatol. 2016, 30, 653–669. [Google Scholar] [CrossRef]
- Epelboym, Y.; Mandell, J.C.; Collins, J.E.; Burch, E.; Shiang, T.; Killoran, T.; Macfarlane, L.; Guermazi, A. Genicular Artery Embolization as a Treatment for Osteoarthritis Related Knee Pain: A Systematic Review and Meta-Analysis. Cardiovasc. Intervent. Radiol. 2023, 46, 760–769. [Google Scholar] [CrossRef]
- Hindsø, L.; Riis, R.G.C.; Hölmich, P.; Petersen, M.M.; Nielsen, M.B.; Lönn, L.; Taudorf, M. Current Status of Trans-Arterial Embolization in Pain Management of Musculoskeletal Inflammatory Conditions—An Evidence-Based Review. Cardiovasc. Intervent. Radiol. 2021, 44, 1699–1708. [Google Scholar] [CrossRef] [PubMed]
- Little, M.W.; O’Grady, A.; Briggs, J.; Gibson, M.; Speirs, A.; Al-Rekabi, A.; Yoong, P.; Ariyanayagam, T.; Davies, N.; Tayton, E.; et al. Genicular Artery Embolisation in Patients with Osteoarthritis of the Knee (GENESIS) Using Permanent Microspheres: Long-Term Results. Cardiovasc. Intervent. Radiol. 2024, 1–13. [Google Scholar] [CrossRef]
- Okuno, Y.; Korchi, A.M.; Shinjo, T.; Kato, S. Transcatheter Arterial Embolization as a Treatment for Medial Knee Pain in Patients with Mild to Moderate Osteoarthritis. Cardiovasc. Intervent. Radiol. 2015, 38, 336–343. [Google Scholar] [CrossRef] [PubMed]
- Epelboym, Y.; Lee, L.; Okuno, Y.; Korchi, A. Genicular Artery Embolization as a Treatment for Refractory Osteoarthritis Related Knee Pain. Skelet. Radiol. 2023, 52, 2309–2321. [Google Scholar] [CrossRef] [PubMed]
- Casadaban, L.C.; Mandell, J.C.; Epelboym, Y. Genicular Artery Embolization for Osteoarthritis Related Knee Pain: A Systematic Review and Qualitative Analysis of Clinical Outcomes. Cardiovasc. Intervent. Radiol. 2021, 44, 1–9. [Google Scholar] [CrossRef]
- Peterfy, C.G.; Guermazi, A.; Zaim, S.; Tirman, P.F.J.; Miaux, Y.; White, D.; Kothari, M.; Lu, Y.; Fye, K.; Zhao, S.; et al. Whole-Organ Magnetic Resonance Imaging Score (WORMS) of the Knee in Osteoarthritis. Osteoarthr. Cartil. 2004, 12, 177–190. [Google Scholar] [CrossRef]
- Okuno, Y.; Korchi, A.M.; Shinjo, T.; Kato, S.; Kaneko, T. Midterm Clinical Outcomes and MR Imaging Changes after Transcatheter Arterial Embolization as a Treatment for Mild to Moderate Radiographic Knee Osteoarthritis Resistant to Conservative Treatment. J. Vasc. Interv. Radiol. 2017, 28, 995–1002. [Google Scholar] [CrossRef]
- Dablan, A.; Erdim, Ç.; Güzelbey, T.; Cingöz, M.; Arslan, M.F.; Mutlu, İ.N.; Kılıçkesmez, Ö. Effectiveness of Genicular Artery Embolization for Reducing Synovitis as Assessed by Contrast-Enhanced MR Imaging in Knee Osteoarthritis: A Pilot Study. J. Vasc. Interv. Radiol. JVIR 2024, 35, 1313–1322.e6. [Google Scholar] [CrossRef]
- Guermazi, A.; Roemer, F.W.; Hayashi, D.; Crema, M.D.; Niu, J.; Zhang, Y.; Marra, M.D.; Katur, A.; Lynch, J.A.; El-Khoury, G.Y.; et al. Assessment of Synovitis with Contrast-Enhanced MRI Using a Whole-Joint Semiquantitative Scoring System in People with, or at High Risk of, Knee Osteoarthritis: The MOST Study. Ann. Rheum. Dis. 2011, 70, 805–811. [Google Scholar] [CrossRef]
- Terslev, L.; Naredo, E.; Aegerter, P.; Wakefield, R.J.; Backhaus, M.; Balint, P.; Bruyn, G.A.W.; Iagnocco, A.; Jousse-Joulin, S.; Schmidt, W.A.; et al. Scoring Ultrasound Synovitis in Rheumatoid Arthritis: A EULAR-OMERACT Ultrasound Taskforce-Part 2: Reliability and Application to Multiple Joints of a Standardised Consensus-Based Scoring System. RMD Open 2017, 3, e000427. [Google Scholar] [CrossRef]
- Padia, S.A.; Genshaft, S.; Blumstein, G.; Plotnik, A.; Kim, G.H.J.; Gilbert, S.J.; Lauko, K.; Stavrakis, A.I. Genicular Artery Embolization for the Treatment of Symptomatic Knee Osteoarthritis. JBJS Open Access 2021, 6, e21.00085. [Google Scholar] [CrossRef] [PubMed]
- Taslakian, B.; Swilling, D.; Attur, M.; Alaia, E.F.; Kijowski, R.; Samuels, J.; Macaulay, W.; Ramos, D.; Liu, S.; Morris, E.M.; et al. Genicular Artery Embolization for Treatment of Knee Osteoarthritis: Interim Analysis of a Prospective Pilot Trial Including Effect on Serum Osteoarthritis-Associated Biomarkers. J. Vasc. Interv. Radiol. 2023, 34, 2180–2189. [Google Scholar] [CrossRef] [PubMed]
- Bagla, S.; Piechowiak, R.; Hartman, T.; Orlando, J.; Del Gaizo, D.; Isaacson, A. Genicular Artery Embolization for the Treatment of Knee Pain Secondary to Osteoarthritis. J. Vasc. Interv. Radiol. 2020, 31, 1096–1102. [Google Scholar] [CrossRef] [PubMed]
- Landers, S.; Hely, R.; Page, R.; Maister, N.; Hely, A.; Harrison, B.; Gill, S. Genicular Artery Embolization to Improve Pain and Function in Early-Stage Knee Osteoarthritis-24-Month Pilot Study Results. J. Vasc. Interv. Radiol. 2020, 31, 1453–1458. [Google Scholar] [CrossRef] [PubMed]
- Bagla, S.; Piechowiak, R.; Sajan, A.; Orlando, J.; Hartman, T.; Isaacson, A. Multicenter Randomized Sham Controlled Study of Genicular Artery Embolization for Knee Pain Secondary to Osteoarthritis. J. Vasc. Interv. Radiol. JVIR 2022, 33, 2–10.e2. [Google Scholar] [CrossRef]
- Landers, S.; Hely, R.; Hely, A.; Harrison, B.; Page, R.S.; Maister, N.; Gwini, S.M.; Gill, S.D. Genicular Artery Embolization for Early-Stage Knee Osteoarthritis: Results from a Triple-Blind Single-Centre Randomized Controlled Trial. Bone Jt. Open 2023, 4, 158–167. [Google Scholar] [CrossRef]
- Sun, C.; Chen, Y.; Gao, Z.; Wu, L.; Lu, R.; Zhao, C.; Yang, H.; Chen, Y. Genicular Artery Embolization for the Treatment of Knee Pain Secondary to Mild to Severe Knee Osteoarthritis: One Year Clinical Outcomes. Eur. J. Radiol. 2024, 175, 111443. [Google Scholar] [CrossRef]
- Gill, S.D.; Hely, R.; Hely, A.; Harrison, B.; Page, R.S.; Landers, S. Outcomes after Genicular Artery Embolization Vary According to the Radiographic Severity of Osteoarthritis: Results from a Prospective Single-Center Study. J. Vasc. Interv. Radiol. JVIR 2023, 34, 1734–1739. [Google Scholar] [CrossRef]
- Hindsø, L.; Hölmich, P.; Petersen, M.M.; Nielsen, M.B.; Heerwagen, S.; Taudorf, M.; Lönn, L. Transarterial Embolization of Geniculate Arteries Reduces Pain and Improves Physical Function in Knee Osteoarthritis-A Prospective Cohort Study. Diagnostics 2024, 14, 1627. [Google Scholar] [CrossRef]
- Kellgren, J.H.; Lawrence, J.S. Radiological Assessment of Osteo-Arthrosis. Ann. Rheum. Dis. 1957, 16, 494–502. [Google Scholar] [CrossRef]
- Möller, I.; Janta, I.; Backhaus, M.; Ohrndorf, S.; Bong, D.A.; Martinoli, C.; Filippucci, E.; Sconfienza, L.M.; Terslev, L.; Damjanov, N.; et al. The 2017 EULAR Standardised Procedures for Ultrasound Imaging in Rheumatology. Ann. Rheum. Dis. 2017, 76, 1974–1979. [Google Scholar] [CrossRef] [PubMed]
- Hunter, D.J.; Guermazi, A.; Lo, G.H.; Grainger, A.J.; Conaghan, P.G.; Boudreau, R.M.; Roemer, F.W. Evolution of Semi-Quantitative Whole Joint Assessment of Knee OA: MOAKS (MRI Osteoarthritis Knee Score). Osteoarthr. Cartil. 2011, 19, 990–1002. [Google Scholar] [CrossRef] [PubMed]
- Friedman, M. The Use of Ranks to Avoid the Assumption of Normality Implicit in the Analysis of Variance. J. Am. Stat. Assoc. 1937, 32, 675–701. [Google Scholar] [CrossRef]
- Wilcoxon, F. Individual Comparisons by Ranking Methods. Biom. Bull. 1945, 1, 80–83. [Google Scholar] [CrossRef]
- McHugh, M.L. Interrater Reliability: The Kappa Statistic. Biochem. Medica 2012, 22, 276–282. [Google Scholar] [CrossRef]
- Choi, J.W.; Ro, D.H.; Chae, H.D.; Kim, D.H.; Lee, M.; Hur, S.; Kim, H.-C.; Jae, H.J.; Chung, J.W. The Value of Preprocedural MR Imaging in Genicular Artery Embolization for Patients with Osteoarthritic Knee Pain. J. Vasc. Interv. Radiol. 2020, 31, 2043–2050. [Google Scholar] [CrossRef]
- van Zadelhoff, T.A.; Okuno, Y.; Bos, P.K.; Bierma-Zeinstra, S.M.A.; Krestin, G.P.; Moelker, A.; Oei, E.H.G. Association between Baseline Osteoarthritic Features on MR Imaging and Clinical Outcome after Genicular Artery Embolization for Knee Osteoarthritis. J. Vasc. Interv. Radiol. 2021, 32, 497–503. [Google Scholar] [CrossRef]





| n = 17 | Treated Knee | Contralateral Knee | |
|---|---|---|---|
| Women/Men, n (%) | 9 (53%)/8 (47%) | ||
| Age, years, median (range) | 56 (43–71) | ||
| BMI, kg/m2, median (range) | 27 (20–35) | ||
| Bilateral knee pain, n (%) | 11 (65%) | ||
| Embolized knee, right/left, n (%) | 10 (59%)/7 (41%) | ||
| Localization of treatment | |||
| Only medial, n (%) | 15 (88%) | ||
| Medial and lateral, n (%) | 2 (12%) | ||
| X-ray KL grade | |||
| 1, n (%) | 2 (12%) | ||
| 2, n (%) | 7 (41%) | ||
| 3, n (%) | 8 (47%) | ||
| Baker’s cysts, n (%) * | 9 (53% **) | 5 (29%) | |
| Osteophytes, n (%) * | 15 (88%) | 14 (82%) | |
| Pathological effusion, n (%) * | 11 (65%) | 6 (35%) |
| a. Embolized Area in Treated Knee | ||||
| n = 17 | Baseline | 1 Month | 6 Months | Friedman’s ANOVA |
| Effusion | X2 (2) = 4.5, p = 0.105 | |||
| Grade 0, n | 1 | 0 | 1 | |
| Grade 1, n | 5 | 10 | 11 | |
| Grade 2, n | 11 | 7 | 5 | |
| Synovial Hypertrophy | X2 (2) = 7.0, p = 0.030 | |||
| Grade 0, n | 0 | 0 | 3 | |
| Grade 1, n | 4 | 6 | 3 | |
| Grade 2, n | 9 | 7 | 8 | |
| Grade 3, n | 4 | 4 | 3 | |
| Doppler activity | X2 (2) = 8.6, p = 0.014 | |||
| Grade 0, n | 6 | 10 | 11 | |
| Grade 1, n | 5 | 3 | 4 | |
| Grade 2, n | 6 | 3 | 2 | |
| Grade 3, n | 0 | 1 | 0 | |
| Each number in the table represents the count of participants for the respective severity grade. Effusion was assessed across all three recesses. For synovial hypertrophy and Doppler activity, the medial parapatellar recess score is shown for the 15 participants treated only on the medial side of the knee. For the two participants treated on both sides, the highest severity score between the medial and lateral sides is reported. | ||||
| b. Non-Embolized Areas of the Treated Knee | ||||
| n = 17 | Baseline | 1 Month | 6 Months | Friedman’s ANOVA |
| Synovial Hypertrophy | X2 (2) =10.6, p = 0.005 | |||
| Grade 0, n | 0 | 0 | 1 | |
| Grade 1, n | 2 | 3 | 5 | |
| Grade 2, n | 8 | 10 | 7 | |
| Grade 3, n | 7 | 4 | 4 | |
| Doppler activity | X2 (2) = 6.0, p = 0.048 | |||
| Grade 0, n | 4 | 8 | 10 | |
| Grade 1, n | 7 | 5 | 4 | |
| Grade 2, n | 5 | 4 | 3 | |
| Grade 3, n | 1 | 0 | 0 | |
| Each number in the table represents the count of participants for the respective severity grade. For the 15 participants treated only on the medial side of the knee, the highest scores recorded in the lateral parapatellar and the suprapatellar recesses were used. For the two participants treated on both the medial and lateral sides, the score from the suprapatellar recess was used. | ||||
| Baseline | 1 Month | 6 Months | Friedman’s ANOVA | |
|---|---|---|---|---|
| Non-CE-MRI—MOAKS Effusion-synovitis | X2 (2) = 5.0, p = 0.081 | |||
| Grade 0, n | 1 | 1 | 0 | |
| Grade 1, n | 4 | 6 | 11 | |
| Grade 2, n | 7 | 7 | 3 | |
| Grade 3, n | 5 | 3 | 3 | |
| CE-MRI—Guermazi | ||||
| Whole-joint synovitis, median [IQR] | 12 [8;15] | 11 [8;14] | 11 [6;13] | X2 (2) = 6.2, p = 0.045 |
| Local synovitis, median [IQR] | 3 [2;4] | 2 [1.5;3] | 2 [1;3] | X2 (2) = 11.1, p = 0.004 |
Disclaimer/Publisher’s Note: The statements, opinions and data contained in all publications are solely those of the individual author(s) and contributor(s) and not of MDPI and/or the editor(s). MDPI and/or the editor(s) disclaim responsibility for any injury to people or property resulting from any ideas, methods, instructions or products referred to in the content. |
© 2024 by the authors. Licensee MDPI, Basel, Switzerland. This article is an open access article distributed under the terms and conditions of the Creative Commons Attribution (CC BY) license (https://creativecommons.org/licenses/by/4.0/).
Share and Cite
Hindsø, L.; Hölmich, P.; Petersen, M.M.; Xu, J.J.; Heerwagen, S.; Nielsen, M.B.; Riis, R.G.C.; Hansen, A.E.; Terslev, L.; Taudorf, M.; et al. Reduction in Synovitis Following Genicular Artery Embolization in Knee Osteoarthritis: A Prospective Ultrasound and MRI Study. Diagnostics 2024, 14, 2564. https://doi.org/10.3390/diagnostics14222564
Hindsø L, Hölmich P, Petersen MM, Xu JJ, Heerwagen S, Nielsen MB, Riis RGC, Hansen AE, Terslev L, Taudorf M, et al. Reduction in Synovitis Following Genicular Artery Embolization in Knee Osteoarthritis: A Prospective Ultrasound and MRI Study. Diagnostics. 2024; 14(22):2564. https://doi.org/10.3390/diagnostics14222564
Chicago/Turabian StyleHindsø, Louise, Per Hölmich, Michael M. Petersen, Jack J. Xu, Søren Heerwagen, Michael B. Nielsen, Robert G. C. Riis, Adam E. Hansen, Lene Terslev, Mikkel Taudorf, and et al. 2024. "Reduction in Synovitis Following Genicular Artery Embolization in Knee Osteoarthritis: A Prospective Ultrasound and MRI Study" Diagnostics 14, no. 22: 2564. https://doi.org/10.3390/diagnostics14222564
APA StyleHindsø, L., Hölmich, P., Petersen, M. M., Xu, J. J., Heerwagen, S., Nielsen, M. B., Riis, R. G. C., Hansen, A. E., Terslev, L., Taudorf, M., & Lönn, L. (2024). Reduction in Synovitis Following Genicular Artery Embolization in Knee Osteoarthritis: A Prospective Ultrasound and MRI Study. Diagnostics, 14(22), 2564. https://doi.org/10.3390/diagnostics14222564

