Temporal Lobe Epilepsy Focus Detection Based on the Correlation Between Brain MR Images and EEG Recordings with a Decision Tree
Abstract
1. Introduction
2. Materials and Methods
2.1. Description of the Dataset and Framework of This Study
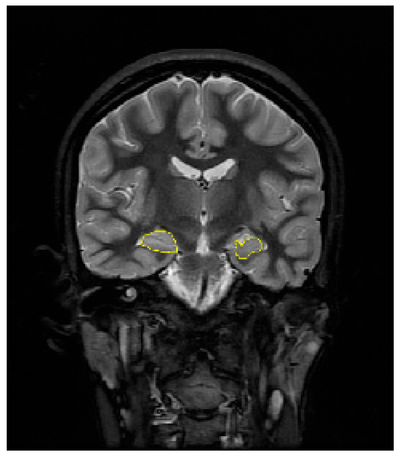
2.2. Hippocampal Volume Estimation and Pixel-Based Analysis of MR Images
2.3. VBM Analysis from MR Images
2.4. Symmetry Analysis of EEG Signals
3. Results
- The physician detected epilepsy findings (HS, hippocampal atrophy, mesial temporal sclerosis) in the MR images of 6 out of the 15 TLE patients. The MRI lateralization of patients with epilepsy detected by the physician on MRI images and the physician’s EEG lateralization in these patients overlap by 50% (3/6).
- The physician’s lateralization of epilepsy from EEG recordings and the MRI lateralization of Analysis-1 overlap by 78.6% (11/14).
- Analysis-2 detected epilepsy on MRI in 80.0% (12/15) of the TLE patients. The MRI lateralization of patients with epilepsy detected by the VBM algorithm (Analysis-2) and the lateralization made by the physician from EEG data overlap by 91.7% (11/12).
- The epilepsy lateralization made by the physician from the EEG recordings and the EEG lateralization of Analysis-3 overlap by 86.7% (13/15).
- The lateralization of epilepsy made by the physician from EEG recordings and the lateralization of the proposed MRI and EEG data correlation algorithm (decision tree) overlap by 100% (15/15).
- The MRI lateralization of patients with epilepsy detected by the physician on MRI images and the MRI lateralization of Analysis-1 overlap by 60% (3/5) (when calculating this overlap rate, patient 1 with temporal lobectomy was not included).
- The MRI lateralization of patients with gray matter reduction detected by the VBM analysis (Analysis-2) and the EEG lateralization of Analysis-3 in these patients overlap by 91.7% (11/12).
- The proposed VBM analysis algorithm (Analysis-2) detected epilepsy in 80.0% (12/15) of the TLE patients, while the physician detected epilepsy in the MR images of 40% (6/15) of the TLE patients.
4. Discussion and Conclusions
Author Contributions
Funding
Institutional Review Board Statement
Data Availability Statement
Conflicts of Interest
References
- Ficici, C.; Telatar, Z.; Eroğul, O. Automated temporal lobe epilepsy and psychogenic nonepileptic seizure patient discrimination from multichannel EEG recordings using DWT based analysis. Biomed. Signal Process. Control 2022, 77, 103755. [Google Scholar] [CrossRef]
- Altunay, S.; Telatar, Z.; Erogul, O. Epileptic EEG detection using the linear prediction error energy. Expert Syst. Appl. 2010, 37, 5661–5665. [Google Scholar] [CrossRef]
- Ficici, C.; Erogul, O.; Telatar, Z. Epileptic Activity Detection in EEG Signals using Linear and Non-linear Feature Extraction Methods. In Proceedings of the 2019 11th International Conference on Electrical and Electronics Engineering (ELECO), Bursa, Turkey, 28–30 November 2019. [Google Scholar]
- Zarei, A.; Asl, B.M. Automatic seizure detection using orthogonal matching pursuit, discrete wavelet transform, and entropy based features of EEG signals. Comput. Biol. Med. 2021, 131, 104250. [Google Scholar] [CrossRef] [PubMed]
- Slimen, I.B.; Boubchir, L.; Mbarki, Z.; Seddik, H. Algorithms, EEG epileptic seizure detection and classification based on dual-tree complex wavelet transform and machine learning. J. Biomed. Res. 2020, 34, 151–161. [Google Scholar] [CrossRef]
- Khan, K.A.; Shanir, P.P.; Khan, Y.U.; Farooq, O. A hybrid Local Binary Pattern and wavelets based approach for EEG classification for diagnosing epilepsy. Expert Syst. Appl. 2020, 140, 112895. [Google Scholar] [CrossRef]
- Raghu, S.; Sriraam, N.; Temel, Y.; Rao, S.V.; Hegde, A.S.; Kubben, P.L. Performance evaluation of DWT based sigmoid entropy in time and frequency domains for automated detection of epileptic seizures using SVM classifier. Comput. Biol. Med. 2019, 110, 127–143. [Google Scholar] [CrossRef]
- Richhariya, B.; Tanveer, M. EEG signal classification using universum support vector machine. Expert Syst. Appl. 2018, 106, 169–182. [Google Scholar] [CrossRef]
- Natu, M.; Bachute, M.; Kotecha, K. HCLA_CBiGRU: Hybrid Convolutional Bidirectional GRU Based Model for Epileptic Seizure Detection. Neurosci. J. 2023, 3, 100135. [Google Scholar] [CrossRef]
- Ficici, C.; Telatar, Z.; Kocak, O.; Erogul, O. Identification of TLE Focus from EEG Signals by Using Deep Learning Approach. Diagnostics 2023, 13, 2261. [Google Scholar] [CrossRef]
- Qiu, X.; Yan, F.; Liu, H. A difference attention ResNet-LSTM network for epileptic seizure detection using EEG signal. Biomed. Signal Process. Control 2023, 83, 104652. [Google Scholar] [CrossRef]
- Poorani, S.; Balasubramanie, P. Deep learning based epileptic seizure detection with EEG data. Int. J. Syst. Assur. Eng. Manag. 2023. [Google Scholar] [CrossRef]
- Varlı, M.; Yılmaz, H. Multiple classification of EEG signals and epileptic seizure diagnosis with combined deep learning. J. Comput. Sci. 2023, 67, 101943. [Google Scholar] [CrossRef]
- Mir, W.A.; Anjum, M.; Shahab, S. Deep-EEG: An optimized and robust framework and method for EEG-based di-agnosis of epileptic seizure. Diagnostics 2023, 13, 773. [Google Scholar] [CrossRef]
- Lebal, A.; Moussaoui, A.; Rezgui, A. Epilepsy-Net: Attention-based 1D-inception network model for epilepsy detection using one-channel and multi-channel EEG signals. Multimed. Tools Appl. 2023, 82, 17391–17413. [Google Scholar] [CrossRef]
- Ilias, L.; Askounis, D.; Psarras, J. Multimodal detection of epilepsy with deep neural networks. Expert Syst. Appl. 2023, 213, 119010. [Google Scholar] [CrossRef]
- McCallan, N.; Davidson, S.; Ng, K.Y.; Biglarbeigi, P.; Finlay, D.; Lan, B.L.; McLaughlin, J. Epileptic multi-seizure type classification using electroencephalogram signals from the Temple University Hospital Seizure Corpus: A review. Expert Syst. Appl. 2023, 234, 121040. [Google Scholar] [CrossRef]
- Ficici, C.; Telatar, Z.; Erogul, O. Localization of epileptic focus by gray matter reduction analysis from brain MR images for temporal lobe epilepsy patients. Biomed. Signal Process. Control 2023, 83, 104716. [Google Scholar] [CrossRef]
- Fearns, N.; Birk, D.; Bartkiewicz, J.; Rémi, J.; Noachtar, S.; Vollmar, C. Quantitative analysis of the morphometric analysis program MAP in patients with truly MRI-negative focal epilepsy. Epilepsy Res. 2023, 192, 107133. [Google Scholar] [CrossRef] [PubMed]
- Yin, Y.; Wang, F.; Ma, Y.; Yang, J.; Li, R.; Li, Y.; Liu, H. Structural and functional changes in drug-naïve benign childhood epilepsy with centro-temporal spikes and their associated gene expression profiles. Cereb. Cortex 2023, 33, 5774–5782. [Google Scholar] [CrossRef]
- Aslam, S.; Rajeshkannan, R.; Sandya, C.J.; Sarma, M.; Gopinath, S.; Pillai, A. Statistical asymmetry analysis of volumetric MRI and FDG PET in temporal lobe epilepsy. Epilepsy Behav. 2022, 134, 108810. [Google Scholar] [CrossRef]
- Jber, M.; Habibabadi, J.M.; Sharifpour, R.; Marzbani, H.; Hassanpour, M.; Seyfi, M.; Mobarakeh, N.M.; Keihani, A.; Hashemi-Fesharaki, S.S.; Ay, M.; et al. Temporal and extratemporal atrophic manifestation of temporal lobe epilepsy using voxel-based morphometry and corticometry: Clinical application in lateralization of epileptogenic zone. Neurol. Sci. 2021, 42, 3305–3325. [Google Scholar] [CrossRef] [PubMed]
- Li, Z.; Gao, Q.; Peng, K.; Lin, J.; Wang, W.; Wang, W.; Deng, B. Quantitative evaluation of gray matter alterations in patients with mesial temporal lobe epilepsy (MTLE). Neurosci. Inform. 2021, 1, 100018. [Google Scholar] [CrossRef]
- Shigemoto, Y.; Sato, N.; Sone, D.; Maikusa, N.; Yamao, T.; Kimura, Y.; Chiba, E.; Suzuki, F.; Fujii, H.; Takayama, Y.; et al. Single-subject gray matter networks in temporal lobe epilepsy patients with hippocampal sclerosis. Epilepsy Res. 2021, 177, 106766. [Google Scholar] [CrossRef]
- Chen, S.; Zhang, J.; Ruan, X.; Deng, K.; Zhang, J.; Zou, D.; He, X.; Feng, L.; Bin, G.; Zeng, H.; et al. Voxel-based morphometry analysis and machine learning based classification in pediatric mesial temporal lobe epilepsy with hippocampal sclerosis. Brain Imaging Behav. 2020, 14, 1945–1954. [Google Scholar] [CrossRef]
- Riederer, F.; Seiger, R.; Lanzenberger, R.; Pataraia, E.; Kasprian, G.; Michels, L.; Beiersdorf, J.; Kollias, S.; Thomas, C.; Johannes, H.; et al. Voxel-Based Morphometry—From Hype to Hope. A Study on Hippocampal Atrophy in Mesial Temporal Lobe Epilepsy. AJNR Am. J. Neuroradiol. 2020, 41, 987–993. [Google Scholar] [CrossRef]
- Uher, D.; Drenthen, G.S.; Schijns, O.E.; Colon, A.J.; Hofman, P.A.; van Lanen, R.H.; Backes, W.H. Advances in Image Processing for Epileptogenic Zone Detection with MRI. Radiology 2023, 307, 220927. [Google Scholar] [CrossRef]
- Gupta, S.; Razdan, R.; Hanumanthu, R.; Tomycz, L.; Ghesani, N.; Pak, J.; Kannurpatti, S.S. MRI based composite parameter of multiple tissue types for improved patient-level hemispheric and regional level lateralization in pediatric epilepsy. Magn. Reson. Imaging 2022, 94, 174–180. [Google Scholar] [CrossRef]
- Fallahi, A.; Pooyan, M.; Habibabadi, J.M.; Nazem-Zadeh, M.R. Comparison of multimodal findings on epileptogenic side in temporal lobe epilepsy using self-organizing maps. Magn. Reson. Mater. Phys. Biol. Med. 2021, 35, 249–266. [Google Scholar] [CrossRef]
- Jing, H.; Takigawa, M.; Benasich, A.A. Relationship of nonlinear analysis, MRI and SPECT in the lateralization of temporal lobe epilepsy. Eur. Neurol. 2022, 48, 11–19. [Google Scholar] [CrossRef]
- The MathWorks Inc. Deep Learning Toolbox (R2021a). Available online: https://www.mathworks.com (accessed on 12 April 2023).
- Ficici, C. MRI and EEG Data Correlation for Epilepsy Detection. Ph.D. Thesis, Electrical and Electronics Engineering Department, Ankara University, Ankara, Türkiye, 2022. [Google Scholar]
- Chan, S.; Erickson, J.K.; Yoon, S.S. Limbic system abnormalities associated with mesial temporal sclerosis: A model of chronic cerebral changes due to seizures. Radiographics 1997, 17, 1095–1110. [Google Scholar] [CrossRef]
- Ashburner, J. A fast diffeomorphic image registration algorithm. NeuroImage 2007, 38, 95–113. [Google Scholar] [CrossRef]
- Ashburner, J.; Friston, K.J. Unified segmentation. NeuroImage 2005, 26, 839–851. [Google Scholar] [CrossRef]
- GitHub. Available online: https://github.com/otoolej/eeg_viewer (accessed on 1 February 2023).
- Beheshti, I.; Sone, D.; Maikusa, N.; Kimura, Y.; Shigemoto, Y.; Sato, N.; Matsuda, H. Accurate lateralization and classification of MRI-negative 18F-FDG-PET-positive. Comput. Biol. Med. 2021, 137, 104805. [Google Scholar] [CrossRef]
- Nazem-Zadeh, M.R.; Schwalb, J.M.; Elisevich, K.V.; Bagher-Ebadian, H.; Hamidian, H.; Akhondi-Asl, A.R.; Jafari-Khouzani, K.; Soltanian-Zadeh, H. Lateralization of temporal lobe epilepsy using a novel uncertainty analysis of MR diffusion in hippocampus, cingulum, and fornix, and hippocampal volume and FLAIR intensity. J. Neurol. Sci. 2014, 342, 152–161. [Google Scholar] [CrossRef]
- Jafari-Khouzani, K.; Elisevich, K.; Patel, S.; Smith, B.; Soltanian-Zadeh, H. FLAIR signal and texture analysis for lateralizing mesial temporal lobe epilepsy. NeuroImage 2010, 49, 1559–1571. [Google Scholar] [CrossRef][Green Version]
- Türk, Ö.; Özerdem, M.S. Epilepsy detection by using scalogram based convolutional neural network from EEG signals. Brain Sci. 2019, 9, 115. [Google Scholar] [CrossRef]
- Daoud, H.; Bayoumi, M. Deep learning approach for epileptic focus localization. IEEE Trans. Biomed. Circuits Syst. 2019, S14, 209–220. [Google Scholar] [CrossRef]








| Left Side | Right side | |
|---|---|---|
| 1 | Fp1-F7 | Fp2-F8 |
| 2 | F7-T3 | F8-T4 |
| 3 | T3-T5 | T4-T6 |
| 4 | T5-O1 | T6-O2 |
| 5 | Fp1-F3 | Fp2-F4 |
| 6 | F3-C3 | F4-C4 |
| 7 | C3-P3 | C4-P4 |
| 8 | P3-O1 | P4-O2 |
| Classes | Feature Combinations | Method | Accuracy (%) | Sensitivity (%) | PPV (%) |
|---|---|---|---|---|---|
| 14 TLE, 14 control group | mean | Naïve Bayes | 78.6 | 85.7 | 75.0 |
| standard deviation | KNN | 82.1 | 92.9 | 76.5 | |
| mean and standard deviation | Decision tree | 82.1 | 85.7 | 80.0 | |
| mean and standard deviation and hippocampus volumes | KNN | 85.7 | 92.9 | 83.1 | |
| hippocampus volumes | Naïve Bayes | 89.3 | 92.9 | 86.7 | |
| mean and hippocampus volumes | Naïve Bayes | 89.3 | 92.9 | 86.7 | |
| standard deviation and hippocampus volumes | KNN | 82.1 | 92.9 | 76.5 |
| Classes | Feature Combinations | Method | Accuracy (%) | Sensitivity (%) | PPV (%) |
|---|---|---|---|---|---|
| six LTLE, eight RTLE, 14 control group | mean | LDA | 67.9 | 58.9 | 74.1 |
| standard deviation | Naïve Bayes | 57.1 | 47.2 | 43.2 | |
| mean and standard deviation | ANN | 57.1 | 45.8 | 47.2 | |
| mean and standard deviation and hippocampus volumes | KNN | 78.6 | 73.9 | 76.0 | |
| hippocampus volumes | LDA | 78.6 | 74.0 | 77.1 | |
| mean and hippocampus volumes | Naïve Bayes | 71.4 | 60.6 | 60.3 | |
| standard deviation and hippocampus volumes | LDA | 67.9 | 60.8 | 62.1 |
| Classes | Feature Combinations | Method | Accuracy (%) | Sensitivity (%) | PPV (%) |
|---|---|---|---|---|---|
| six LTLE, eight RTLE | mean | SVM | 64.3 | 83.3 | 55.6 |
| standard deviation | Naïve Bayes | 57.1 | 50.0 | 50.0 | |
| mean and standard deviation | SVM | 57.1 | 0 | - | |
| mean and standard deviation and hippocampus volumes | LDA | 71.4 | 66.7 | 75.0 | |
| hippocampus volumes | LDA | 78.6 | 66.7 | 80.0 | |
| mean and hippocampus volumes | KNN | 71.4 | 50.0 | 75.0 | |
| standard deviation and hippocampus volumes | ANN | 78.6 | 66.7 | 80.0 |
| Patient No. | Location of Peak Voxels | Cluster Size (Number of Voxels) | Voxel t Statistic (Peak Voxel) | MNI Coordinates (x, y, z) | TLE Focus Side Decision |
|---|---|---|---|---|---|
| 1 | //Right Cerebrum//Limbic Lobe//Right Hippocampus | 19837 | 13.07 | 30, −20, −15 | Right |
| 2 | //Left Cerebrum//Temporal Lobe//Temporal Gyrus | 51 | 4.56 | −38, 24, −28 | Left |
| 3 | //Left Cerebrum//Limbic Lobe//Cingulate Gyrus | 74 | 4.3026 | −16.5, −18, 37.5 | Left |
| 4 | NaN* | NaN | NaN | NaN | MRI-negative |
| 5 | //Right Cerebrum//Limbic Lobe//Right Hippocampus | 172 | 6.53 | 32, −12, −20 | Right |
| 6 | //Right Cerebrum//Temporal Lobe//Middle Temporal Gyrus | 83 | 5.0754 | 48, −36, 0 | Right |
| 7 | //Left Cerebrum//Limbic Lobe//Left Hippocampus | 337 | 4.63 | −33, −14, −20 | Left |
| 8 | //Left Cerebrum//Temporal Lobe//Temporal Gyrus | 4096 | 11.71 | −40, 8, −26 | Left |
| 9 | //Right Cerebrum//Temporal Lobe//Right Hippocampus | 108 | 4.7375 | −27, −39, 0 | Right |
| 10 | //Right Cerebrum//Limbic Lobe//Right Hippocampus | 54 | 4.6149 | 31.5, −12, −19.5 | Right |
| 11 | //Left Cerebrum//Temporal Lobe//Left Middle Temporal Gyrus | 14862 | 16.10 | −38, 20, −36 | Left |
| 12 | //Left Cerebrum//Limbic Lobe//Parahippocampal Gyrus | 50 | 4.5347 | −28.5, −58.5, −7.5 | Left |
| 13 | NaN | NaN | NaN | NaN | MRI-negative |
| 14 | NaN | NaN | NaN | NaN | MRI-negative |
| 15 | //Left Cerebrum//Limbic Lobe//Left Anterior Cingulate and Paracingulate Gyri | 61 | 4.88 | −4, 48, 2 | Left |
| Number of EEG Data | Result |
|---|---|
| 76 (48 RTLE, 28 LTLE) | Accuracy = 96.1% |
| Sensitivity = 100% | |
| Specificity = 93.8% |
| TLE Patient No | Expert Findings from EEG | Expert Findings from MRI | Decision of Analysis-1 | Decision of Analysis-2 | Decision of Analysis-3 | Decision Tree Final Result |
|---|---|---|---|---|---|---|
| 1 | Right TLE | Right Mesial Temporal Sclerosis | NaN* | Right TLE | Right TLE | Right TLE |
| 2 | Left TLE | Right Hippocampal Sclerosis | Right TLE | Left TLE | Left TLE | Left TLE |
| 3 | Left TLE | MRI-negative | Left TLE | Left TLE | Left TLE | Left TLE |
| 4 | Right TLE | MRI-negative | Right TLE | MRI negative | Left TLE | Right TLE |
| 5 | Right TLE | MRI-negative | Right TLE | Right TLE | Right TLE | Right TLE |
| 6 | Right TLE | MRI-negative | Right TLE | Right TLE | Right TLE | Right TLE |
| 7 | Left TLE | MRI-negative | Left TLE | Left TLE | Left TLE | Left TLE |
| 8 | Right TLE | Bilateral Hippocampal Atrophy | Right TLE | Left TLE | Right TLE | Right TLE |
| 9 | Right TLE | Bilateral Hippocampal Atrophy | Right TLE | Right TLE | Right TLE | Right TLE |
| 10 | Right TLE | MRI-negative | Left TLE | Right TLE | Right TLE | Right TLE |
| 11 | Left TLE | Left Hippocampal Atrophy | Left TLE | Left TLE | Left TLE | Left TLE |
| 12 | Left TLE | MRI-negative | Right TLE | Left TLE | Left TLE | Left TLE |
| 13 | Right TLE | Right Hippocampal Atrophy | Right TLE | MRI negative | Left TLE | Right TLE |
| 14 | Right TLE | MRI-negative | Right TLE | MRI negative | Right TLE | Right TLE |
| 15 | Left TLE | MRI-negative | Left TLE | Left TLE | Left TLE | Left TLE |
| Gold Standard | Proposed Method | Results | ||||
|---|---|---|---|---|---|---|
| Expert Lateralization from EEG | Expert Lateralization from MRI | Lateralization of Analysis-1 | Lateralization of Analysis-2 | Lateralization of Analysis-3 | Lateralization of the Decision Tree | Lateralization Overlap Ratio |
| √ | √ | 50% | ||||
| √ | √ | 78.6% | ||||
| √ | √ | 91.7% | ||||
| √ | √ | 86.7% | ||||
| √ | √ | 100% | ||||
| √ | √ | 60% | ||||
| √ | √ | 50% | ||||
| √ | √ | 91.7% | ||||
| Authors | Dataset | Algorithm/Method | Results |
|---|---|---|---|
| Chen et al. [25] | Shenzhen Children’s Hospital: 22 MTLE-HS patients (16 left, six right) and 15 healthy controls | Right-HS and control group classification by using volumes of regions with GM reduction from MRI/VBM and SVM | Accuracy: 93.3% Sensitivity: 100% Specificity: 90.7% |
| Left-HS and control group classification by using volumes of regions with GM reduction from MRI/VBM and SVM | Accuracy: 80.0% Sensitivity: 80.0% Specificity: 80.0% | ||
| Behesti et al. [37] | National Center of Neurology and Psychiatry Hospital: 63 participants, including 24 HCs, 19 MRI-negative, PET-positive left TLE patients and 20 MRI-negative, PET-positive right TLE | Discrimination of left TLE, right TLE by using MR images obtained by SPM12 toolbox/SVM | Accuracy: 66.7% Sensitivity: 63.2% Specificity: 70% |
| Nazem-Zadeh et al. [38] | Dataset source not available in the original manuscript. The authors implemented the study in Henry Ford Hospital: 10 LTLE, 10 RTLE, 45 control group | Classification of left and right TLE patients from MRI by using hippocampus volumes/Hemispheric Variation Uncertainty (HVU) analysis | Accuracy: 84.9% |
| Jafari-Khouzani et al. [39] | Dataset source not available in the original manuscript. The authors implemented the study in Henry Ford Hospital.: 20 LTLE, 16 RTLE, 25 control group | Classification of left and right TLE patients from MRI by using hippocampus volumes/LDA | Accuracy: 75.3% |
| Türk et al. [40] | Bonn University: 500 EEG segments with 23.6 s duration for each | Epileptic focus identification from EEG/convolutional neural network (CNN) | Accuracy: 98.5% |
| Daoud et al. [41] | Bern–Barcelona and Bonn University: 7500 EEG segments with 20 sec duration for each | Epileptic focus identification from EEG/Deep convolutional autoencoder | Accuracy: 96.0% |
| Fallahi et al. [28] | Tehran University: 35 mesial TLE patients | Presurgical lateralization of mesial temporal lobe epilepsy from EEG and MRI/self-organizing maps | Accuracy: 94.0% |
| Jing et al. [30] | Dataset source not available in the paper: 23 TLE patient | Investigated the correlation between lateralization MRI, SPECT, and EEG/nonlinear analysis | Concordance between EEG and MRI: 73.9% Concordance between EEG and SPECT: 78.2% Concordance between MRI and SPECT: 65.2% |
| Proposed study | University Hospital: 15 TLE (six LTLE, nine RTLE) | Epileptic focus detection/decision tree | Accuracy: 100% |
Disclaimer/Publisher’s Note: The statements, opinions and data contained in all publications are solely those of the individual author(s) and contributor(s) and not of MDPI and/or the editor(s). MDPI and/or the editor(s) disclaim responsibility for any injury to people or property resulting from any ideas, methods, instructions or products referred to in the content. |
© 2024 by the authors. Licensee MDPI, Basel, Switzerland. This article is an open access article distributed under the terms and conditions of the Creative Commons Attribution (CC BY) license (https://creativecommons.org/licenses/by/4.0/).
Share and Cite
Ficici, C.; Telatar, Z.; Erogul, O.; Kocak, O. Temporal Lobe Epilepsy Focus Detection Based on the Correlation Between Brain MR Images and EEG Recordings with a Decision Tree. Diagnostics 2024, 14, 2509. https://doi.org/10.3390/diagnostics14222509
Ficici C, Telatar Z, Erogul O, Kocak O. Temporal Lobe Epilepsy Focus Detection Based on the Correlation Between Brain MR Images and EEG Recordings with a Decision Tree. Diagnostics. 2024; 14(22):2509. https://doi.org/10.3390/diagnostics14222509
Chicago/Turabian StyleFicici, Cansel, Ziya Telatar, Osman Erogul, and Onur Kocak. 2024. "Temporal Lobe Epilepsy Focus Detection Based on the Correlation Between Brain MR Images and EEG Recordings with a Decision Tree" Diagnostics 14, no. 22: 2509. https://doi.org/10.3390/diagnostics14222509
APA StyleFicici, C., Telatar, Z., Erogul, O., & Kocak, O. (2024). Temporal Lobe Epilepsy Focus Detection Based on the Correlation Between Brain MR Images and EEG Recordings with a Decision Tree. Diagnostics, 14(22), 2509. https://doi.org/10.3390/diagnostics14222509

