Next Article in Journal
Clinical Comparison of OC-Sensor Pledia and Phadia 250 for Fecal Calprotectin Testing
Previous Article in Journal
Multi-Centre Study of Progression Factors and Intravesical Recurrence in Patients with Urothelial Carcinoma of the Upper Urinary Tract
Previous Article in Special Issue
Different Manifestations of Persistent Sciatic Artery and Possible Treatment Options: A Series of Four Cases
error_outline You can access the new MDPI.com website here. Explore and share your feedback with us.
 
 
Font Type:
Arial Georgia Verdana
Font Size:
Aa Aa Aa
Line Spacing:
Column Width:
Background:
Interesting Images

Liver Ischemia After Transarterial Embolization for Hepatic Trauma Injury

1
Department of Radiology, Wan Fang Hospital, Taipei Medical University, Taipei 116, Taiwan
2
Department of Radiology, School of Medicine, College of Medicine, Taipei Medical University, Taipei 110, Taiwan
*
Author to whom correspondence should be addressed.
Diagnostics 2024, 14(22), 2492; https://doi.org/10.3390/diagnostics14222492
Submission received: 15 August 2024 / Revised: 5 November 2024 / Accepted: 6 November 2024 / Published: 7 November 2024
(This article belongs to the Special Issue Advances in Diagnostic and Interventional Radiology)

Abstract

Transarterial embolization (TAE) is a routine procedure performed by interventional radiologists to manage traumatic hepatic injuries. Hepatic super-selective TAE rarely results in ischemia within the embolized area. In this case, the initial CT scan revealed significant contrast extravasation, leading to an urgent TAE. Due to continued concerns about bleeding, a second TAE was performed two days later. Subsequent CT scans revealed localized ischemia and necrosis following increased abdominal pain and elevated liver functions. Further analysis identified a common hepatic artery variation in this case. Thus, the ischemia in segments 6 and 7 was determined to be unrelated to the embolization procedure. A detailed review of the CT images suggests that injury to the accessory right inferior hepatic veins (IHVs) likely caused ischemia and eventual necrosis in segments 6 and 7. While hepatic vein variations are not uncommon, this case highlights the importance of evaluating the condition of hepatic veins, in addition to the hepatic artery and portal vein, during preoperative planning. If no arterial extravasation is identified, conservative treatment may be an option for the patient. Further research on this topic is warranted.

Figure 1. A 44-year-old woman indicated to further TAE was involved in a traffic accident [1]. (A) Axial-view CT without contrast reveals a well-defined lesion in the region of segments 6 (S6) and 7 (S7) of the liver, with a Hounsfield Unit (HU) value approximately around 60, indicative of a hematoma. (B,C) Axial view CT with contrast demonstrates contrast extravasation, highlighting the presence of vascular leakage. (D) The reconstructed coronal view CT with contrast provides a clearer visualization of the lesion, elucidating its precise location.
Figure 1. A 44-year-old woman indicated to further TAE was involved in a traffic accident [1]. (A) Axial-view CT without contrast reveals a well-defined lesion in the region of segments 6 (S6) and 7 (S7) of the liver, with a Hounsfield Unit (HU) value approximately around 60, indicative of a hematoma. (B,C) Axial view CT with contrast demonstrates contrast extravasation, highlighting the presence of vascular leakage. (D) The reconstructed coronal view CT with contrast provides a clearer visualization of the lesion, elucidating its precise location.
Diagnostics 14 02492 g001
Figure 2. First TAE. After accessing the celiac trunk using a 4Fr. RH catheter, we performed a series of angiographies. (A) Prior to contrast injection, an evident hyperdense lesion (arrow) corresponding to the location identified in the CT scan is observed. The increased density is likely attributed to contrast extravasation during the preceding CT, thereby manifesting on this image. (B) A distinct extravasation (arrow) is visible, but its location does not align with the previously identified position in the CT scan.
Figure 2. First TAE. After accessing the celiac trunk using a 4Fr. RH catheter, we performed a series of angiographies. (A) Prior to contrast injection, an evident hyperdense lesion (arrow) corresponding to the location identified in the CT scan is observed. The increased density is likely attributed to contrast extravasation during the preceding CT, thereby manifesting on this image. (B) A distinct extravasation (arrow) is visible, but its location does not align with the previously identified position in the CT scan.
Diagnostics 14 02492 g002
Figure 3. First TAE. In response to the previously identified extravasation, we utilized a 1.98Fr. Asahi microcatheter to access the right hepatic artery, followed by another angiography series. Similarly, the extravasation observed in the previous set of images is evident.
Figure 3. First TAE. In response to the previously identified extravasation, we utilized a 1.98Fr. Asahi microcatheter to access the right hepatic artery, followed by another angiography series. Similarly, the extravasation observed in the previous set of images is evident.
Diagnostics 14 02492 g003
Figure 4. First TAE. Ultimately, due to patient restlessness, we advanced the microcatheter to the depicted position. Subsequently, we performed subselective embolization using a combination of 150–350 micrograms of EG gel diluted with contrast agent.
Figure 4. First TAE. Ultimately, due to patient restlessness, we advanced the microcatheter to the depicted position. Subsequently, we performed subselective embolization using a combination of 150–350 micrograms of EG gel diluted with contrast agent.
Diagnostics 14 02492 g004
Figure 5. First TAE. Prior to concluding the procedure, we conducted another angiography at the celiac trunk. No evident extravasation was observed in this instance.
Figure 5. First TAE. Prior to concluding the procedure, we conducted another angiography at the celiac trunk. No evident extravasation was observed in this instance.
Diagnostics 14 02492 g005
Figure 6. Representing the second transcatheter arterial embolization (TAE) session. (A) Angiography was performed using a 4Fr. RH catheter in the proper hepatic artery. (B) A distinct extravasation (arrow) was identified during this angiographic series.
Figure 6. Representing the second transcatheter arterial embolization (TAE) session. (A) Angiography was performed using a 4Fr. RH catheter in the proper hepatic artery. (B) A distinct extravasation (arrow) was identified during this angiographic series.
Diagnostics 14 02492 g006
Figure 7. Second TAE. (A) Utilizing a 1.98Fr. Asahi microcatheter, access was established into a branch of the left hepatic artery. Subsequent angiography was performed to precisely identify the location of the extravasation (arrow). Following this, embolization was carried out using EG gel of a similar size to that used in the previous procedure. (B) Post-embolization, we conducted another angiography at the celiac trunk to confirm the absence of any additional extravasation.
Figure 7. Second TAE. (A) Utilizing a 1.98Fr. Asahi microcatheter, access was established into a branch of the left hepatic artery. Subsequent angiography was performed to precisely identify the location of the extravasation (arrow). Following this, embolization was carried out using EG gel of a similar size to that used in the previous procedure. (B) Post-embolization, we conducted another angiography at the celiac trunk to confirm the absence of any additional extravasation.
Diagnostics 14 02492 g007
Figure 8. Four days following the initial TAE, a dynamic CT scan was conducted on the patient. (AC) Representing the same anatomical level, precisely at the bifurcation height of the portal vein. (A) Pre-contrast phase. (B) Artery phase. (C) Portal phase. In comparison to the previous scans, an enlargement of the hematoma size is noticeable. Surrounding the hematoma, hypodensity and air are observed, suggesting necrotic changes induced by ischemia. (D) Depicting the bifurcation point of the left, middle, and right hepatic veins. The necrotic regions are still evident in this area.
Figure 8. Four days following the initial TAE, a dynamic CT scan was conducted on the patient. (AC) Representing the same anatomical level, precisely at the bifurcation height of the portal vein. (A) Pre-contrast phase. (B) Artery phase. (C) Portal phase. In comparison to the previous scans, an enlargement of the hematoma size is noticeable. Surrounding the hematoma, hypodensity and air are observed, suggesting necrotic changes induced by ischemia. (D) Depicting the bifurcation point of the left, middle, and right hepatic veins. The necrotic regions are still evident in this area.
Diagnostics 14 02492 g008
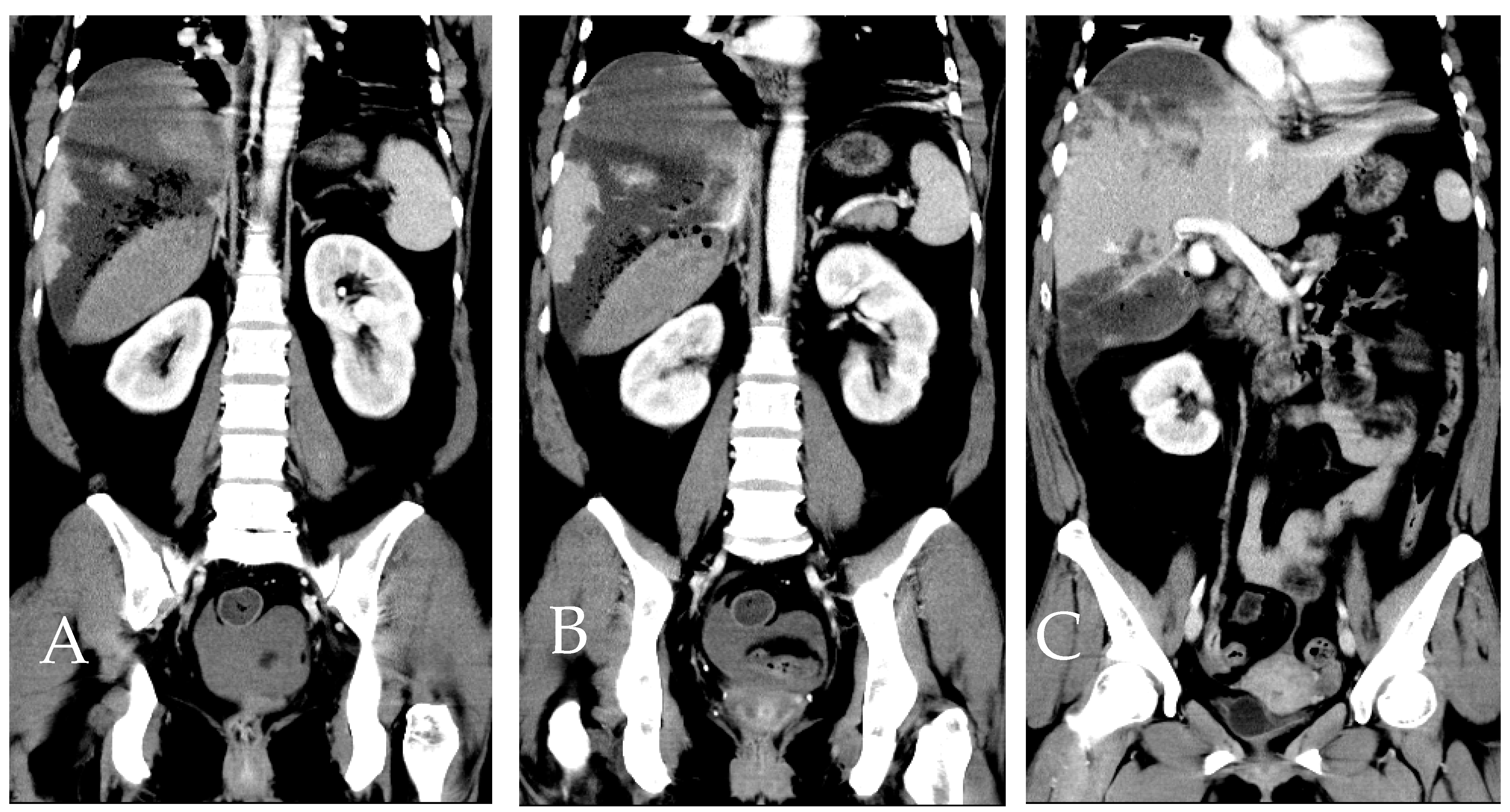
Figure 9. Dynamic CT scan in the artery phase, presented as a coronal view reconstruction. (AC) Sections from ventral side (A) to caudal side (C) illustrate various planes of the patient. When correlated with the axial view from Figure 8, the approximate location of necrosis can be pinpointed to segments 6 (S6) and 7 (S7) of the liver that was not related to our embolization [2].
Figure 9. Dynamic CT scan in the artery phase, presented as a coronal view reconstruction. (AC) Sections from ventral side (A) to caudal side (C) illustrate various planes of the patient. When correlated with the axial view from Figure 8, the approximate location of necrosis can be pinpointed to segments 6 (S6) and 7 (S7) of the liver that was not related to our embolization [2].
Diagnostics 14 02492 g009
Figure 10. (A,B) Represent the initial CT scan, where the presence of accessory right inferior hepatic veins (IHVs) (arrow) is clearly visible from both axial and coronal views. These veins are notably in close proximity to the hematoma site. (C) Dynamic CT taken four days after the first transcatheter arterial embolization (TAE). At this point, the accessory right IHVs are challenging to trace and identify. (D) CT scan conducted three months later, and drainage tube is shown. The accessory right IHVs are no longer detectable, indicating a significant change or disappearance of these veins over time. Prior studies have shown that hepatic necrosis developed more commonly in cases with traumatic insult and nonselective proper hepatic artery embolization in the setting of patient decompensation or in cases with multiples sites of bleeding requiring numerous embolizations [3]. In this case, it is suggested that the injury to the right IHVs due to trauma may have led to the deterioration of the subcapsular hematoma [4]. This gradual increase in pressure subsequently resulted in congestion in dominant segments, ultimately causing ischemic necrosis.
Figure 10. (A,B) Represent the initial CT scan, where the presence of accessory right inferior hepatic veins (IHVs) (arrow) is clearly visible from both axial and coronal views. These veins are notably in close proximity to the hematoma site. (C) Dynamic CT taken four days after the first transcatheter arterial embolization (TAE). At this point, the accessory right IHVs are challenging to trace and identify. (D) CT scan conducted three months later, and drainage tube is shown. The accessory right IHVs are no longer detectable, indicating a significant change or disappearance of these veins over time. Prior studies have shown that hepatic necrosis developed more commonly in cases with traumatic insult and nonselective proper hepatic artery embolization in the setting of patient decompensation or in cases with multiples sites of bleeding requiring numerous embolizations [3]. In this case, it is suggested that the injury to the right IHVs due to trauma may have led to the deterioration of the subcapsular hematoma [4]. This gradual increase in pressure subsequently resulted in congestion in dominant segments, ultimately causing ischemic necrosis.
Diagnostics 14 02492 g010

Author Contributions

Conceptualization, M.-L.H. and C.-H.L.; data curation, M.-L.H.; writing—original draft preparation, M.-L.H.; writing—review and editing, C.-H.L.; supervision, C.-H.L. All authors have read and agreed to the published version of the manuscript.

Funding

This research received no external funding.

Institutional Review Board Statement

This retrospective study was approved by the Joint Institutional Review Board of Taipei Medical University (TMU–JIRB) (Approval No. N202403008; Approved date: 13 March 2024). The study was conducted according to the guidelines of the Declaration of Helsinki.

Informed Consent Statement

Written informed consent has be obtained from the patient to publish this paper.

Data Availability Statement

The data presented in this study are available upon request from the corresponding author.

Conflicts of Interest

The authors declare no conflicts of interest.

References

  1. Pillai, A.S.; Kumar, G.; Pillai, A.K. Hepatic Trauma Interventions. Semin. Intervent. Radiol. 2021, 38, 96–104. [Google Scholar] [CrossRef] [PubMed]
  2. Favelier, S.; Germain, T.; Genson, P.Y.; Cercueil, J.P.; Denys, A.; Krausé, D.; Guiu, B. Anatomy of liver arteries for interventional radiology. Diagn. Interv. Imaging 2015, 96, 537–546. [Google Scholar] [CrossRef] [PubMed]
  3. Roberts, R.; Sheth, R.A. Hepatic trauma. Ann. Transl. Med. 2021, 9, 1195. [Google Scholar] [CrossRef] [PubMed]
  4. Ahmed, A.; Baig, A.H.; Sharif, M.A.; Ahmed, U.; Gururajan, R. Role of Accessory Right Inferior Hepatic Veins in evaluation of Liver Transplantation. Ann. Clin. Gastroenterol. Hepatol. 2017, 1, 12–16. [Google Scholar]
Disclaimer/Publisher’s Note: The statements, opinions and data contained in all publications are solely those of the individual author(s) and contributor(s) and not of MDPI and/or the editor(s). MDPI and/or the editor(s) disclaim responsibility for any injury to people or property resulting from any ideas, methods, instructions or products referred to in the content.

Share and Cite

MDPI and ACS Style

Han, M.-L.; Lu, C.-H. Liver Ischemia After Transarterial Embolization for Hepatic Trauma Injury. Diagnostics 2024, 14, 2492. https://doi.org/10.3390/diagnostics14222492

AMA Style

Han M-L, Lu C-H. Liver Ischemia After Transarterial Embolization for Hepatic Trauma Injury. Diagnostics. 2024; 14(22):2492. https://doi.org/10.3390/diagnostics14222492

Chicago/Turabian Style

Han, Meng-Lin, and Chia-Hsun Lu. 2024. "Liver Ischemia After Transarterial Embolization for Hepatic Trauma Injury" Diagnostics 14, no. 22: 2492. https://doi.org/10.3390/diagnostics14222492

APA Style

Han, M.-L., & Lu, C.-H. (2024). Liver Ischemia After Transarterial Embolization for Hepatic Trauma Injury. Diagnostics, 14(22), 2492. https://doi.org/10.3390/diagnostics14222492

Note that from the first issue of 2016, this journal uses article numbers instead of page numbers. See further details here.

Article Metrics

Back to TopTop