Thai Guideline for Nuclear Medicine Investigations of Neurocognitive Disorders: Nuclear Medicine Society of Thailand, the Neurological Society of Thailand, and Thai Medical Physicist Society Collaboration
Abstract
1. Introduction
2. Definitions
3. Objectives
- To identify the role of nuclear medicine studies in patients with neurocognitive disorders.
- To assist referrers in requesting the most appropriate procedure for the diagnosis of each type of neurocognitive disorder.
- To identify scientific evidence that is useful in assisting nuclear medicine professionals in recommending, performing, interpreting, and reporting the results of nuclear medicine investigations in patients with neurocognitive disorders.
4. Guideline Development and Recommended Flow of Nuclear Medicine Investigations of Dementia Syndrome
5. Nuclear Medicine Imaging Procedures
5.1. Patient Preparation
5.2. Recommended Radiopharmaceutical Dosage
5.3. Radiation Dosimetry
5.4. Brain Perfusion SPECT Acquisition and Image Reconstruction Parameter
5.5. PET Acquisition and Image Reconstruction Parameter
6. Imaging Data Display, Image Interpretation, and Reporting Format
6.1. Brain Perfusion SPECT and FDG PET
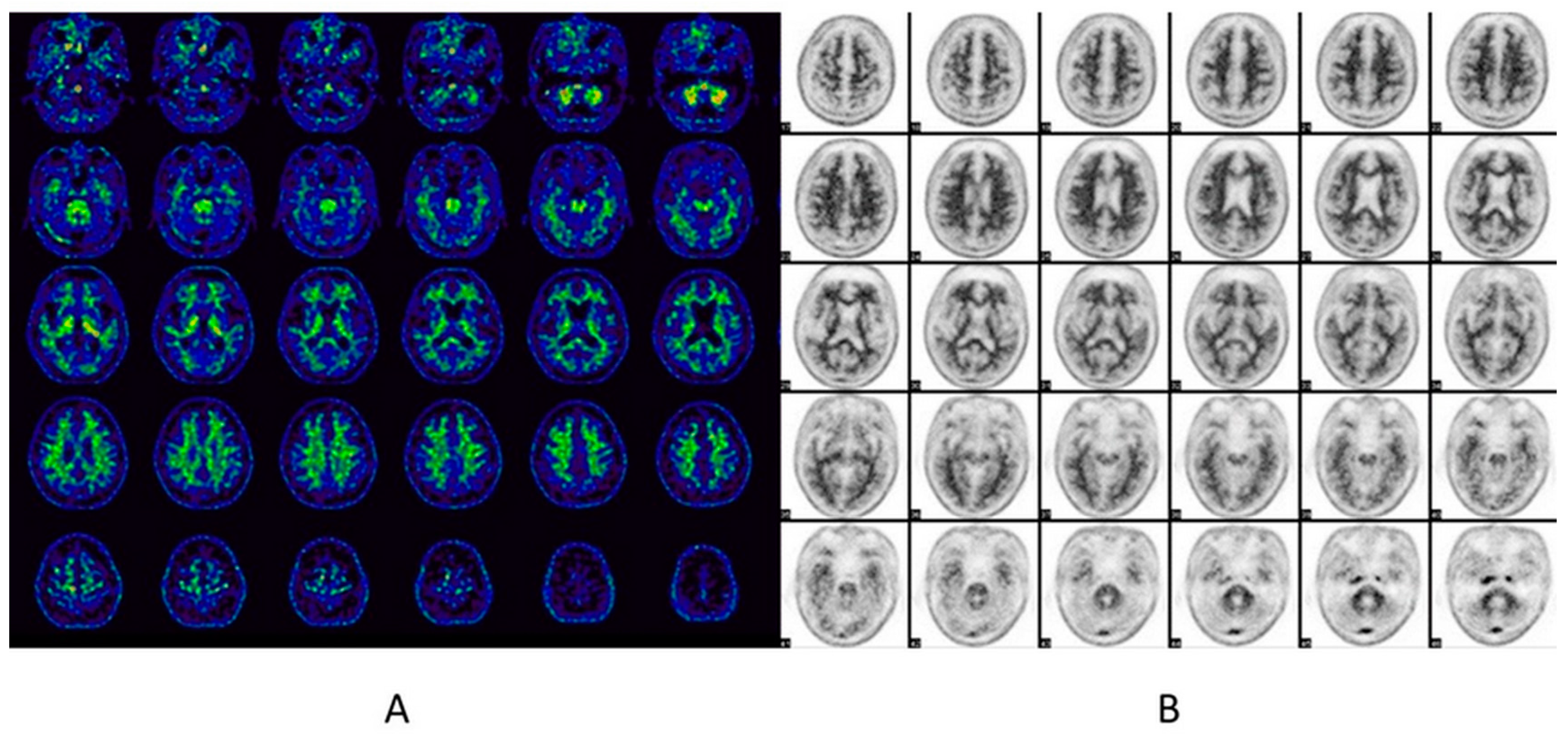
6.1.1. Imaging Data Display [45,50]
6.1.2. Image Interpretation for Brain Perfusion SPECT and FDG-PET
6.1.3. Reporting Format
- -
- History: The relevant history should be noted along with an indication of the study, for example, clinical cognitive impairment and other related disorders, type of suspected dementia, duration of symptom, recent medication, and findings of other related studies (e.g., neuropsychological test, CT, and MRI).
- -
- Techniques:
- Radiopharmaceutical type and dosage.
- Uptake time: after tracer injection to image acquisition.
- Describe imaging and processing techniques, including imaging quality and limitations. These should also be thoroughly detailed if specific software or anatomical co-registration methods are used.
- Ancillary drugs (if used), e.g., type and time of sedative drugs.
- Fasting duration and serum glucose level for FDG PET.
- Type of additional software, e.g., 3D-SSP and normal age range and ethnicity, used for analysis.
- -
- Findings:
- SPECT or PET hypoperfusion/hypometabolic regions should be mentioned. Its location, extension, and severity should be reported.
- Semiquantitative results (if done) e.g., Z-score comparison, can be described.
- Correlative imaging findings, if available, e.g., MRI and CT, should be mentioned
- -
- Interpretations/Impressions/Conclusions: Conclude whether the hypoperfusion/hypometabolic pattern found matches with the type of dementia. The final impression from imaging data should be interpreted along with available clinical and correlative imaging data. If they seem discordant, direct discussion with the multidisciplinary team would be the best (if possible) or provide further recommendations.
6.2. Brain Amyloid PET
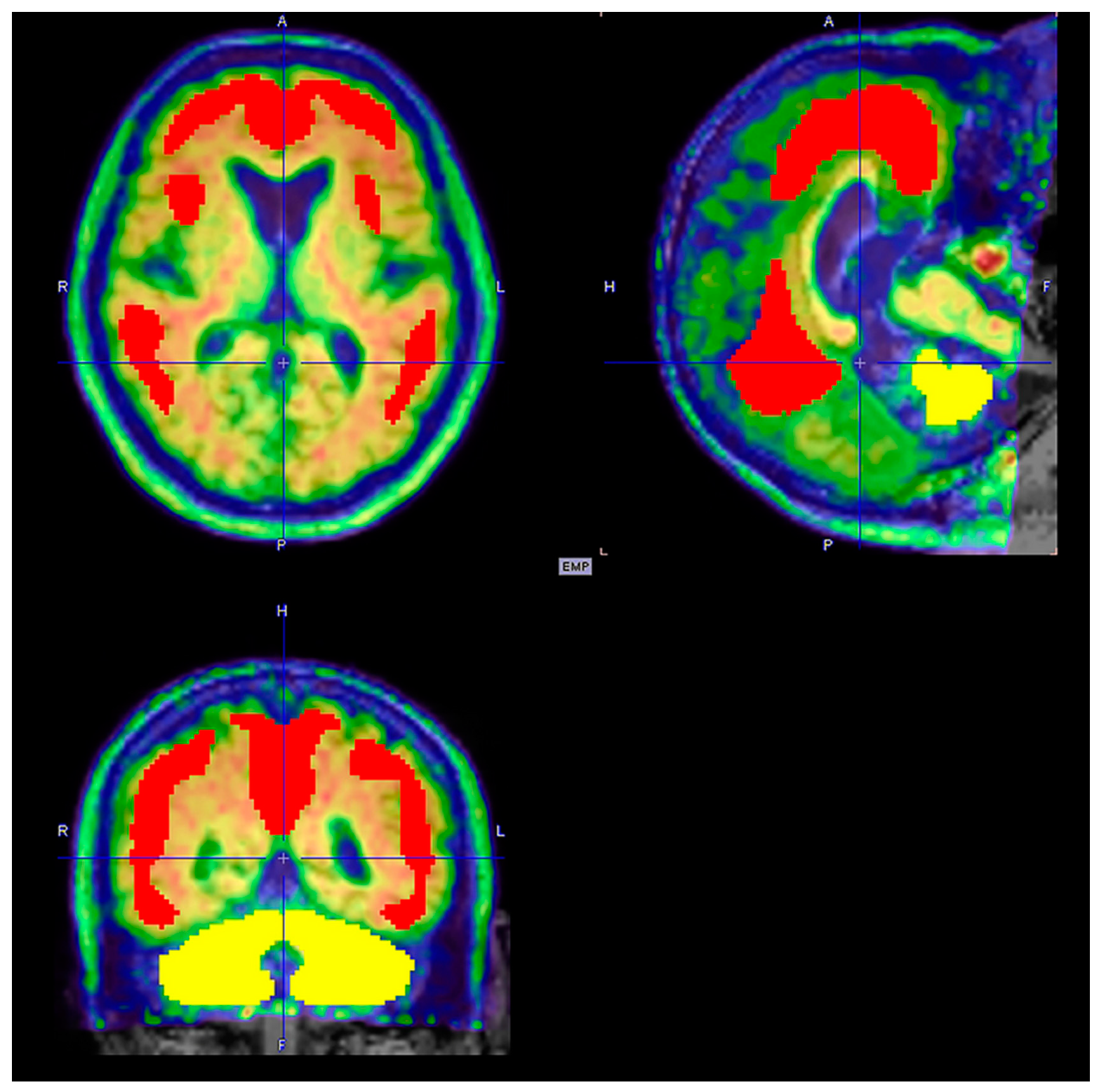
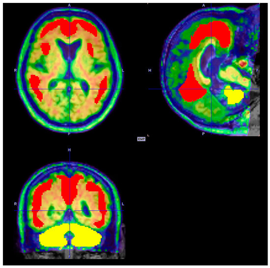
6.2.1. Imaging Data Display [39]
- Gray scale: 18F-florbetaben
- Color (Rainbow): 11C-PiB, 18F-flutemetamol and 18F-NAV4694
- Reverse gray scale: 18F-florbetapir
- Maximum intensity of the display scale
- 18F-florbetapir: the brightest region of overall brain uptake
- 18F-florbetaben: the white matter maximum
- 18F-flutemetamol: setting the scale intensity in the pons region to 90%
6.2.2. Image Interpretation for Brain Amyloid PET
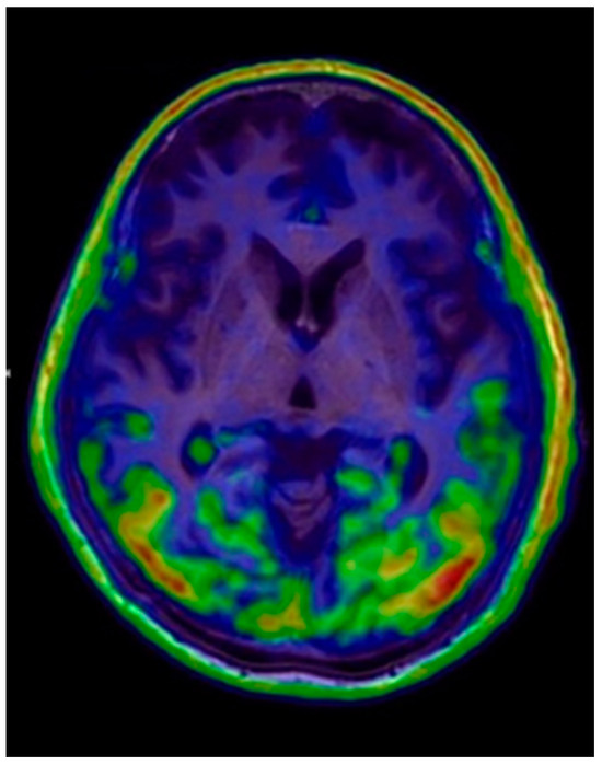
Visual Analysis [39,66,67,68]
Negative Scan
Positive Scan
Quantification
- Standardized uptake value ratio (SUVR)
- b.
- (1)
- CLPiB = 93.7 × SUVR − 94.6
- (2)
- CLflorbetapir = 175.43 × SUVR − 182.26
- (3)
- CLflutemetamol = 119.53 × SUVR − 118.57
- (4)
- CLflorbetaben = 153.4 × SUVR − 154.9
- (5)
- CLNAV4694 = 85.32 × SUVR − 87.97
- c.
6.2.3. Reporting Format
- -
- History: The relevant history should be described along with an indication of the study. The specific clinical symptoms of MCI or dementia and the reasons for the test (e.g., atypical age of onset, uncertain clinical diagnoses, known comorbidities, or potential candidate for clinical trial) should be briefly documented.
- -
- Techniques:
- Radiopharmaceutical type and dosage.
- Injection to imaging interval of radiopharmaceutical.
- Detailed imaging and processing techniques should be mentioned, including imaging quality and limitations. If certain specific software or anatomical co-registration is utilized, it should be additionally detailed.
- Type of additional software used for quantification analysis, e.g., 3D-SSP, SPM, PMOD, FreeSurfer, Hermes, MIMneuro, NeuroQ, or other commercially available or vendor-specific software
- -
- Findings:
- Visual analysis: The pattern of radiotracer distribution in the bilateral white matter and cerebellum should be discussed. The gray–white matter contrast should be mentioned, and the affected lobe with a loss of gray–white matter contrast should be noted. Abnormal radiotracer uptake in the cerebral cortices or cerebellar cortices, either the same degree and more intense than the white matter uptake, if any, should be described. If present, the degree and location of cerebral atrophy should also be mentioned.
- Quantification analysis (optional): Describe the method used to obtain quantification data (SUVR or Centiloid scale) and the results.
- -
- Interpretations/Impressions/Conclusions: Negative/positive brain PET scan for beta-amyloid deposition (absence/presence of significant beta-amyloid deposition in the brain).
6.3. Tau PET
6.3.1. Imaging Data Display
6.3.2. Image Interpretation for Tau PET
Visual Analysis
Quantitative Analysis
6.3.3. Reporting Format
- -
- History: Indication, the patient’s clinical presentation, and correlative imaging.
- -
- Techniques: Imaging is performed on an integrated 64-slice PET/CT scanner for the whole brain, with non contrast-enhanced CT for attenuation correction and localization in the transaxial, coronal, and sagittal planes. A 3D emission dynamic scan of the same area is acquired in a one-bed positionSemiquantitative calculations are performed using PMOD software with the automatic anatomical labeling (AAL)-merged atlas to generate automatic voxels of interest for different brain regions.
- -
- Findings: Visual analysis: Describe abnormal tau deposition in the brain region.
- -
- Interpretations/Impressions/Conclusions: Negative/positive studies should be mentioned when reporting the region of abnormal tau deposition.
7. Pitfalls
8. Radiation Exposure Risk Concern and Management
9. Conclusions and Future Direction
Author Contributions
Funding
Acknowledgments
Conflicts of Interest
References
- Gale, S.A.; Acar, D.; Daffner, K.R. Dementia. Am. J. Med. 2018, 131, 1161–1169. [Google Scholar] [CrossRef] [PubMed]
- Murphy, M.P.; Levine, H., III. Alzheimer’s Disease and The Amyloid-Beta Peptide. J. Alzheimer’s Dis. 2010, 19, 311–323. [Google Scholar] [CrossRef] [PubMed]
- Deture, M.A.; Dickson, D.W. The Neuropathological Diagnosis of Alzheimer’s Disease. Mol. Neurodegener. 2019, 14, 32. [Google Scholar] [CrossRef]
- Rawat, P.; Sehar, U.; Bisht, J.; Selman, A.; Culberson, J.; Reddy, P.H. Phosphorylated Tau in Alzheimer’s Disease and Other Tauopathies. Int. J. Mol. Sci. 2022, 23, 12841. [Google Scholar] [CrossRef]
- Hyman, B.T.; Phelps, C.H.; Beach, T.G.; Bigio, E.H.; Cairns, N.J.; Carrillo, M.C.; Montine, T.J. National Institute on Aging–Alzheimer’s Association guidelines for the neuropathologic assessment of Alzheimer’s disease. Alzheimer’s Dement. 2012, 8, 1–13. [Google Scholar] [CrossRef] [PubMed]
- Montine, T.J.; Phelps, C.H.; Beach, T.G.; Bigio, E.H.; Cairns, N.J.; Dickson, D.W.; Hyman, B.T. National institute on Aging–Alzheimer’s Association guidelines for the neuropathologic assessment of Alzheimer’s disease: A practical approach. Acta Neuropathol. 2012, 123, 1–11. [Google Scholar] [CrossRef]
- Dickerson, B.; Atri, A. Molecular Imaging Biomarkers in Dementia: Amyloid and tau PET imaging aids evaluation of patients suspected of having Alzheimer disease or other dementias. Pract. Neurol. 2020, 19, 34–45. [Google Scholar]
- Young, P.N.E.; Estarellas, M.; Coomans, E.; Srikrishna, M.; Beaumont, H.; Maass, A.; Venkataraman, A.V.; Lissaman, R.; Jiménez, D.; Betts, M.J.; et al. Imaging biomarkers in neurodegeneration: Current and future practices. Alzheimer’s Res. Ther. 2020, 12, 49. [Google Scholar] [CrossRef]
- American Psychiatric Association. Diagnostic and statistical manual of mental disorders. Am. Psychiatric Assoc. 2013, 21, 591–643. [Google Scholar]
- Petersen, R.C.; Smith, G.E.; Waring, S.C.; Ivnik, R.J.; Tangalos, E.G.; Kokmen, E. Mild cognitive impairment: Clinical characterization and outcome. Arch. Neurol. 1999, 56, 303–308. [Google Scholar] [CrossRef]
- Sachdev, P.S.; Blacker, D.; Blazer, D.G.; Ganguli, M.; Jeste, D.V.; Paulsen, J.S.; Petersen, R.C. Classifying neurocognitive disorders: The DSM-5 approach. Nat. Rev. Neurol. 2014, 10, 634–642. [Google Scholar] [CrossRef] [PubMed]
- Cotta Ramusino, M.; Massa, F.; Festari, C.; Gandolfo, F.; Nicolosi, V.; Orini, S.; Nobili, F.; Frisoni, G.B.; Morbelli, S.; Garibotto, V. Diagnostic performance of molecular imaging methods in predicting the progression from mild cognitive impairment to dementia: An updated systematic review. Eur. J. Nucl. Med. Mol. Imaging 2024, 51, 1876–1890. [Google Scholar] [CrossRef] [PubMed]
- Zhu, L.; Zhao, W.; Chen, J.; Li, G.; Qu, J. Systematic review and meta-analysis of diagnostic test accuracy (DTA) studies: The role of cerebral perfusion imaging in prognosis evaluation of mild cognitive impairment. Ann. Palliat. Med. 2022, 11, 673–683. [Google Scholar] [CrossRef] [PubMed]
- Ruan, D.; Sun, L. Amyloid-β PET in Alzheimer’s disease: A systematic review and Bayesian meta-analysis. Brain Behav. 2023, 13, e2850. [Google Scholar] [CrossRef]
- Huszár, Z.; Engh, M.A.; Pavlekovics, M.; Sato, T.; Steenkamp, Y.; Hanseeuw, B.; Terebessy, T.; Molnár, Z.; Hegyi, P.; Csukly, G. Risk of conversion to mild cognitive impairment or dementia among subjects with amyloid and tau pathology: A systematic review and meta-analysis. Alzheimer’s Res. Ther. 2024, 16, 81. [Google Scholar] [CrossRef]
- Chen, X.; Li, M.; Wang, S.; Zhu, H.; Xiong, Y.; Liu, X. Pittsburgh compound B retention and progression of cognitive status–A meta-analysis. Eur. J. Neurol. 2014, 21, 1060–1067. [Google Scholar] [CrossRef]
- McKhann, G.M.; Knopman, D.S.; Chertkow, H.; Hyman, B.T.; Jack, C.R., Jr.; Kawas, C.H.; Klunk, W.E.; Koroshetz, W.J.; Manly, J.J.; Mayeux, R.; et al. The diagnosis of dementia due to Alzheimer’s disease: Recommendations from the National Institute on Aging-Alzheimer’s Association workgroups on diagnostic guidelines for Alzheimer’s disease. Alzheimer’s Dement. 2011, 7, 263–269. [Google Scholar] [CrossRef] [PubMed]
- Bloudek, L.M.; Spackman, D.E.; Blankenburg, M.; Sullivan, S.D. Review and meta-analysis of biomarkers and diagnostic imaging in Alzheimer’s disease. J. Alzheimer’s Dis. 2011, 26, 627–645. [Google Scholar] [CrossRef]
- Ou, Y.N.; Xu, W.; Li, J.Q.; Guo, Y.; Cui, M.; Chen, K.L.; Huang, Y.Y.; Dong, Q.; Tan, L.; Yu, J.T. FDG-PET as an independent biomarker for Alzheimer’s biological diagnosis: A longitudinal study. Alzheimer’s Res. Ther. 2019, 11, 57. [Google Scholar] [CrossRef]
- Talbot, P.R.; Lloyd, J.J.; Snowden, J.S.; Neary, D.; Testa, H.J. A clinical role for 99mTc-HMPAO SPECT in the investigation of dementia? J. Neurol. Neurosurg. Psychiatry 1998, 64, 306–313. [Google Scholar] [CrossRef]
- Valotassiou, V.; Malamitsi, J.; Papatriantafyllou, J.; Dardiotis, E.; Tsougos, I.; Psimadas, D.; Alexiou, S.; Hadjigeorgiou, G.; Georgoulias, P. SPECT and PET imaging in Alzheimer’s disease. Ann. Nucl. Med. 2018, 32, 583–593. [Google Scholar] [CrossRef] [PubMed]
- Clark, C.M.; Schneider, J.A.; Bedell, B.J.; Beach, T.G.; Bilker, W.B.; Mintun, M.A.; Pontecorvo, M.J.; Hefti, F.; Carpenter, A.P.; Flitter, M.L.; et al. Use of florbetapir-PET for imaging beta-amyloid pathology. JAMA 2011, 305, 275–283. [Google Scholar] [CrossRef] [PubMed]
- Joshi, A.D.; Pontecorvo, M.J.; Clark, C.M.; Carpenter, A.P.; Jennings, D.L.; Sadowsky, C.H.; Adler, L.P.; Kovnat, K.D.; Seibyl, J.P.; Arora, A.; et al. Performance characteristics of amyloid PET with florbetapir F 18 in patients with alzheimer’s disease and cognitively normal subjects. J. Nucl. Med. Off. Publ. Soc. Nucl. Med. 2012, 53, 378–384. [Google Scholar] [CrossRef] [PubMed]
- Morris, E.; Chalkidou, A.; Hammers, A.; Peacock, J.; Summers, J.; Keevil, S. Diagnostic accuracy of 18F amyloid PET tracers for the diagnosis of Alzheimer’s disease: A systematic review and meta-analysis. Eur. J. Nucl. Med. Mol. Imaging 2016, 43, 374–385. [Google Scholar] [CrossRef]
- Cho, H.; Mundada, N.S.; Apostolova, L.G.; Carrillo, M.C.; Shankar, R.; Amuiri, A.N.; Zeltzer, E.; Windon, C.C.; Soleimani-Meigooni, D.N.; Tanner, J.A.; et al. Amyloid and tau-PET in early-onset AD: Baseline data from the Longitudinal Early-onset Alzheimer’s Disease Study (LEADS). Alzheimer’s Dement. J. Alzheimer’s Assoc. 2023, 19 (Suppl. 9), S98–S114. [Google Scholar] [CrossRef]
- Tanner, J.A.; Iaccarino, L.; Edwards, L.; Asken, B.M.; Gorno-Tempini, M.L.; Kramer, J.H.; Pham, J.; Perry, D.C.; Possin, K.; Malpetti, M.; et al. Amyloid, tau and metabolic PET correlates of cognition in early and late-onset Alzheimer’s disease. Brain A J. Neurol. 2022, 145, 4489–4505. [Google Scholar] [CrossRef]
- Cho, H.; Choi, J.Y.; Hwang, M.S.; Lee, J.H.; Kim, Y.J.; Lee, H.M.; Lyoo, C.H.; Ryu, Y.H.; Lee, M.S. Tau PET in Alzheimer disease and mild cognitive impairment. Neurology 2016, 87, 375–383. [Google Scholar] [CrossRef]
- La Joie, R.; Visani, A.V.; Baker, S.L.; Brown, J.A.; Bourakova, V.; Cha, J.; Chaudhary, K.; Edwards, L.; Iaccarino, L.; Janabi, M.; et al. Prospective longitudinal atrophy in Alzheimer’s disease correlates with the intensity and topography of baseline tau-PET. Sci. Transl. Med. 2020, 12, eaau5732. [Google Scholar] [CrossRef] [PubMed]
- Cho, H.; Baek, M.S.; Lee, H.S.; Lee, J.H.; Ryu, Y.H.; Lyoo, C.H. Principal components of tau positron emission tomography and longitudinal tau accumulation in Alzheimer’s disease. Alzheimer’s Res. Ther. 2020, 12, 114. [Google Scholar] [CrossRef]
- Koychev, I.; Gunn, R.N.; Firouzian, A.; Lawson, J.; Zamboni, G.; Ridha, B.; Sahakian, B.J.; Rowe, J.B.; Thomas, A.; Rochester, L.; et al. PET Tau and Amyloid-β Burden in Mild Alzheimer’s Disease: Divergent Relationship with Age, Cognition, and Cerebrospinal Fluid Biomarkers. J. Alzheimer’s Dis. 2017, 60, 283–293. [Google Scholar] [CrossRef]
- Archer, H.A.; Smailagic, N.; John, C.; Holmes, R.B.; Takwoingi, Y.; Coulthard, E.J.; Cullum, S. Regional cerebral blood flow single photon emission computed tomography for detection of Frontotemporal dementia in people with suspected dementia. Cochrane Database Syst. Rev. 2015, 6, CD010896. [Google Scholar] [CrossRef]
- Valotassiou, V.; Papatriantafyllou, J.; Sifakis, N.; Tzavara, C.; Tsougos, I.; Psimadas, D.; Kapsalaki, E.; Fezoulidis, I.; Hadjigeorgiou, G.; Georgoulias, P. Brain perfusion SPECT with Brodmann areas analysis in differentiating frontotemporal dementia subtypes. Curr. Alzheimer Res. 2014, 11, 941–954. [Google Scholar] [CrossRef] [PubMed]
- O’Brien, J.T.; Firbank, M.J.; Davison, C.; Barnett, N.; Bamford, C.; Donaldson, C.; Olsen, K.; Herholz, K.; Williams, D.; Lloyd, J. 18F-FDG PET and perfusion SPECT in the diagnosis of Alzheimer and Lewy body dementias. J. Nucl. Med. Off. Publ. Soc. Nucl. Med. 2014, 55, 1959–1965. [Google Scholar] [CrossRef]
- Chiba, Y.; Fujishiro, H.; Iseki, E.; Kasanuki, K.; Sato, K. The Cingulate Island Sign on FDG-PET vs. IMP-SPECT to Assess Mild Cognitive Impairment in Alzheimer’s Disease vs. Dementia with Lewy Bodies. J. Neuroimaging 2019, 29, 712–720. [Google Scholar] [CrossRef]
- McCleery, J.; Morgan, S.; Bradley, K.M.; Noel-Storr, A.H.; Ansorge, O.; Hyde, C. Dopamine transporter imaging for the diagnosis of dementia with Lewy bodies. Cochrane Database Syst. Rev. 2015, 1, CD010633. [Google Scholar] [CrossRef]
- Juni, J.E.; Waxman, A.D.; Devous, M.D., Sr.; Tikofsky, R.S.; Ichise, M.; Van Heertum, R.L.; Carretta, R.F.; Chen, C.C. Procedure guideline for brain perfusion SPECT using 99mTc radiopharmaceuticals 3.0. J. Nucl. Med. Technol. 2009, 37, 191–195. [Google Scholar] [CrossRef]
- Kapucu, Ö.L.; Nobili, F.; Varrone, A.; Booij, J.; Vander Borght, T.; Någren, K.; Darcourt, J.; Tatsch, K.; Van Laere, K.J. EANM procedure guideline for brain perfusion SPECT using 99mTc-labelled radiopharmaceuticals, version 2. Eur. J. Nucl. Med. Mol. Imaging 2009, 36, 2093. [Google Scholar] [CrossRef] [PubMed]
- Guedj, E.; Varrone, A.; Boellaard, R.; Albert, N.L.; Barthel, H.; van Berckel, B.; Brendel, M.; Cecchin, D.; Ekmekcioglu, O.; Garibotto, V.; et al. EANM procedure guidelines for brain PET imaging using [18F]FDG, version 3. Eur. J. Nucl. Med. Mol. Imaging 2022, 49, 632–651. [Google Scholar] [CrossRef] [PubMed]
- Minoshima, S.; Drzezga, A.E.; Barthel, H.; Bohnen, N.; Djekidel, M.; Lewis, D.H.; Mathis, C.A.; McConathy, J.; Nordberg, A.; Sabri, O. SNMMI procedure standard/EANM practice guideline for amyloid PET imaging of the brain 1.0. J. Nucl. Med. 2016, 57, 1316–1322. [Google Scholar] [CrossRef]
- Kaewchur, T.; Khiewvan, B.; Chamroonrat, W.; Lolekha, P.; Phokaewvarangkul, O.; Thientunyakit, T.; Wongsurawat, N.; Kiatkittikul, P.; Chotipanich, C.; Huang, W.-S.; et al. Thai national guideline for nuclear medicine investigation in movement disorders: Nuclear medicine society of Thailand, the neurological society of Thailand, and Thai medical physicist society collaboration. Asia Ocean. J. Nucl. Med. Biol. 2024, 12, 86–107. [Google Scholar] [CrossRef]
- Silverman, D.H. Brain 18F-FDG PET in the diagnosis of neurodegenerative dementias: Comparison with perfusion SPECT and with clinical evaluations lacking nuclear imaging. J. Nucl. Med. Off. Publ. Soc. Nucl. Med. 2004, 45, 594–607. [Google Scholar]
- Mormino, E.C.; Toueg, T.N.; Azevedo, C.; Castillo, J.B.; Guo, W.; Nadiadwala, A.; Corso, N.K.; Hall, J.N.; Fan, A.; Trelle, A.N.; et al. Tau PET imaging with 18F-PI-2620 in aging and neurodegenerative diseases. Eur. J. Nucl. Med. Mol. Imaging 2021, 48, 2233–2244. [Google Scholar] [CrossRef] [PubMed]
- Klunk, W.E.; Engler, H.; Nordberg, A.; Wang, Y.; Blomqvist, G.; Holt, D.P.; Bergström, M.; Savitcheva, I.; Huang, G.F.; Estrada, S.; et al. Imaging brain amyloid in Alzheimer’s disease with Pittsburgh Compound-B. Ann. Neurol. 2004, 55, 306–319. [Google Scholar] [CrossRef]
- Mathis, C.A.; Mason, N.S.; Lopresti, B.J.; Klunk, W.E. Development of positron emission tomography β-amyloid plaque imaging agents. Semin. Nucl. Med. 2012, 42, 423–432. [Google Scholar] [CrossRef]
- Varrone, A.; Asenbaum, S.; Vander Borght, T.; Booij, J.; Nobili, F.; Nagren, K.; Darcourt, J.; Kapucu, O.L.; Tatsch, K.; Bartenstein, P.; et al. EANM procedure guidelines for PET brain imaging using [18F]FDG, version 2. Eur. J. Nucl. Med. Mol. Imaging 2009, 36, 2103–2110. [Google Scholar] [CrossRef] [PubMed]
- Mueller, A.; Bullich, S.; Barret, O.; Madonia, J.; Berndt, M.; Papin, C.; Perrotin, A.; Koglin, N.; Kroth, H.; Pfeifer, A.; et al. Tau PET imaging with 18F-PI-2620 in Patients with Alzheimer Disease and Healthy Controls: A First-in-Humans Study. J. Nucl. Med. 2020, 61, 911–919. [Google Scholar] [CrossRef] [PubMed]
- Kaewchur, T.; Chamroonrat, W.; Thientunyakit, T.; Khiewvan, B.; Wongsurawat, N.; Chotipanich, C.; Chinvarun, Y.; Bunyaratavej, K.; Amnuaywattakorn, S.; Poon-Iad, N.; et al. Thai National Guideline for Nuclear Medicine Investigations in Epilepsy. Asia Ocean. J. Nucl. Med. Biol. 2021, 9, 188–206. [Google Scholar] [CrossRef] [PubMed]
- Chotipanich, C.; Nivorn, M.; Kunawudhi, A.; Promteangtrong, C.; Boonkawin, N.; Jantarato, A. Evaluation of Imaging Windows for Tau PET Imaging Using 18F-PI2620 in Cognitively Normal Individuals, Mild Cognitive Impairment, and Alzheimer’s Disease Patients. Mol. Imaging 2020, 19, 1536012120947582. [Google Scholar] [CrossRef] [PubMed]
- Tian, M.; Civelek, A.C.; Carrio, I.; Watanabe, Y.; Kang, K.W.; Murakami, K.; Garibotto, V.; Prior, J.O.; Barthel, H.; Zhou, R.; et al. International consensus on the use of tau PET imaging agent 18F-flortaucipir in Alzheimer’s disease. Eur. J. Nucl. Med. Mol. Imaging 2022, 49, 895–904. [Google Scholar] [CrossRef]
- Waxman, A.D.; Herholz, K.; Lewis, D.H.; Herscovitch, P.; Minoshima, S.; Mountz, J.M.; Consensus GI, D. Society of Nuclear Medicine Procedure Guideline for FDG PET Brain Imaging Version 1.0; SNMMI: Reston, VA, USA, 2009. [Google Scholar]
- Kim, J.; Cho, S.G.; Song, M.; Kang, S.R.; Kwon, S.Y.; Choi, K.H.; Choi, S.M.; Kim, B.C.; Song, H.C. Usefulness of 3-dimensional stereotactic surface projection FDG PET images for the diagnosis of dementia. Medicine 2016, 95, e5622. [Google Scholar] [CrossRef]
- Ishii, K.; Ito, K.; Nakanishi, A.; Kitamura, S.; Terashima, A. Computer-assisted system for diagnosing degenerative dementia using cerebral blood flow SPECT and 3D-SSP: A multicenter study. Jpn. J. Radiol. 2014, 32, 383–390. [Google Scholar] [CrossRef]
- Waragai, M.; Yamada, T.; Matsuda, H. Evaluation of brain perfusion SPECT using an easy Z-score imaging system (eZIS) as an adjunct to early-diagnosis of neurodegenerative diseases. J. Neurol. Sci. 2007, 260, 57–64. [Google Scholar] [CrossRef] [PubMed]
- Buchert, R.; Santer, R.; Brenner, W.; Apostolova, I.; Mester, J.; Clausen, M.; Silverman, D.H. Computer simulations suggest that acute correction of hyperglycaemia with an insulin bolus protocol might be useful in brain FDG PET. Nukl. Nucl. Med. 2009, 48, 44–54. [Google Scholar]
- Sokoloff, L. Localization of functional activity in the central nervous system by measurement of glucose utilization with radioactive deoxyglucose. J. Cereb. Blood Flow. Metab. Off. J. Int. Soc. Cereb. Blood Flow. Metab. 1981, 1, 7–36. [Google Scholar] [CrossRef]
- Bentourkia, M.; Bol, A.; Ivanoiu, A.; Labar, D.; Sibomana, M.; Coppens, A.; Michel, C.; Cosnard, G.; De Volder, A.G. Comparison of regional cerebral blood flow and glucose metabolism in the normal brain: Effect of aging. J. Neurol. Sci. 2000, 181, 19–28. [Google Scholar] [CrossRef]
- Small, G.W.; Bookheimer, S.Y.; Thompson, P.M.; Cole, G.M.; Huang, S.C.; Kepe, V.; Barrio, J.R. Current and future uses of neuroimaging for cognitively impaired patients. Lancet. Neurol. 2008, 7, 161–172. [Google Scholar] [CrossRef] [PubMed]
- Lim, S.M.; Katsifis, A.; Villemagne, V.L.; Best, R.; Jones, G.; Saling, M.; Bradshaw, J.; Merory, J.; Woodward, M.; Hopwood, M.; et al. The 18F-FDG PET cingulate island sign and comparison to 123I-beta-CIT SPECT for diagnosis of dementia with Lewy bodies. J. Nucl. Med. Off. Publ. Soc. Nucl. Med. 2009, 50, 1638–1645. [Google Scholar] [CrossRef]
- Verfaillie, S.C.; Adriaanse, S.M.; Binnewijzend, M.A.; Benedictus, M.R.; Ossenkoppele, R.; Wattjes, M.P.; Pijnenburg, Y.A.; van der Flier, W.M.; Lammertsma, A.A.; Kuijer, J.P.; et al. Cerebral perfusion and glucose metabolism in Alzheimer’s disease and frontotemporal dementia: Two sides of the same coin? Eur. Radiol. 2015, 25, 3050–3059. [Google Scholar] [CrossRef]
- Jolepalem, P.; Wu, D. Semantic Dementia Diagnosed by F-18 FDG PET/MRI: Co-registered Images. J. Clin. Imaging Sci. 2013, 3, 35. [Google Scholar] [CrossRef]
- Josephs, K.A.; Duffy, J.R.; Fossett, T.R.; Strand, E.A.; Claassen, D.O.; Whitwell, J.L.; Peller, P.J. Fluorodeoxyglucose F18 positron emission tomography in progressive apraxia of speech and primary progressive aphasia variants. Arch. Neurol. 2010, 67, 596–605. [Google Scholar] [CrossRef]
- Harisankar, C.N.; Mittal, B.R.; Agrawal, K.L.; Abrar, M.L.; Bhattacharya, A.; Singh, B.; Modi, M. FDG-PET findings in fronto-temporal dementia: A case report and review of literature. Indian. J. Nucl. Med. IJNM Off. J. Soc. Nucl. Med. India 2011, 26, 96–98. [Google Scholar] [CrossRef]
- Kerrouche, N.; Herholz, K.; Mielke, R.; Holthoff, V.; Baron, J.C. 18FDG PET in vascular dementia: Differentiation from Alzheimer’s disease using voxel-based multivariate analysis. J. Cereb. Blood Flow. Metab. Off. J. Int. Soc. Cereb. Blood Flow. Metab. 2006, 26, 1213–1221. [Google Scholar] [CrossRef] [PubMed]
- Yoshida, T.; Ha-Kawa, S.; Yoshimura, M.; Nobuhara, K.; Kinoshita, T.; Sawada, S. Effectiveness of treatment with donepezil hydrochloride and changes in regional cerebral blood flow in patients with Alzheimer’s disease. Ann. Nucl. Med. 2007, 21, 257–265. [Google Scholar] [CrossRef] [PubMed]
- Thomsen, G.; Knudsen, G.M. Procedure guideline for brain perfusion SPECT using 99mTc radiopharmaceuticals 3.0. J. Nucl. Med. Technol. 2010, 38, 209. [Google Scholar] [CrossRef]
- Johnson, K.A.; Minoshima, S.; Bohnen, N.I.; Donohoe, K.J.; Foster, N.L.; Herscovitch, P.; Karlawish, J.H.; Rowe, C.C.; Carrillo, M.C.; Hartley, D.M. Appropriate use criteria for amyloid PET: A report of the Amyloid Imaging Task Force, the Society of Nuclear Medicine and Molecular Imaging, and the Alzheimer’s Association. J. Nucl. Med. 2013, 54, 476–490. [Google Scholar] [CrossRef] [PubMed]
- Schilling, L.P.; Zimmer, E.R.; Shin, M.; Leuzy, A.; Pascoal, T.A.; Benedet, A.L.; Borelli, W.V.; Palmini, A.; Gauthier, S.; Rosa-Neto, P. Imaging Alzheimer’s disease pathophysiology with PET. Dement. Neuropsychol. 2016, 10, 79–90. [Google Scholar] [CrossRef]
- Rowe, C.C.; Villemagne, V.L. Brain amyloid imaging. J. Nucl. Med. Technol. 2013, 41, 11–18. [Google Scholar] [CrossRef]
- Savva, G.M.; Wharton, S.B.; Ince, P.G.; Forster, G.; Matthews, F.E.; Brayne, C. Age, neuropathology, and dementia. New Engl. J. Med. 2009, 360, 2302–2309. [Google Scholar] [CrossRef]
- Ossenkoppele, R.; Jansen, W.J.; Rabinovici, G.D.; Knol, D.L.; van der Flier, W.M.; van Berckel, B.N.; Scheltens, P.; Visser, P.J.; Verfaillie, S.C.; Zwan, M.D. Prevalence of amyloid PET positivity in dementia syndromes: A meta-analysis. JAMA 2015, 313, 1939–1950. [Google Scholar] [CrossRef]
- Haller, S.; Garibotto, V.; Kövari, E.; Bouras, C.; Xekardaki, A.; Rodriguez, C.; Lazarczyk, M.J.; Giannakopoulos, P.; Lovblad, K.-O. Neuroimaging of dementia in 2013: What radiologists need to know. Eur. Radiol. 2013, 23, 3393–3404. [Google Scholar] [CrossRef]
- Schütz, L.; Lobsien, D.; Fritzsch, D.; Tiepolt, S.; Werner, P.; Schroeter, M.L.; Berrouschot, J.; Saur, D.; Hesse, S.; Jochimsen, T. Feasibility and acceptance of simultaneous amyloid PET/MRI. Eur. J. Nucl. Med. Mol. Imaging 2016, 43, 2236–2243. [Google Scholar] [CrossRef]
- Chiotis, K.; Carter, S.F.; Farid, K.; Savitcheva, I.; Nordberg, A. Amyloid PET in European and North American cohorts; and exploring age as a limit to clinical use of amyloid imaging. Eur. J. Nucl. Med. Mol. Imaging 2015, 42, 1492–1506. [Google Scholar] [CrossRef] [PubMed]
- Jack, C.R., Jr.; Wiste, H.J.; Weigand, S.D.; Therneau, T.M.; Lowe, V.J.; Knopman, D.S.; Gunter, J.L.; Senjem, M.L.; Jones, D.T.; Kantarci, K. Defining imaging biomarker cut points for brain aging and Alzheimer’s disease. Alzheimer’s Dement. 2017, 13, 205–216. [Google Scholar] [CrossRef] [PubMed]
- Klunk, W.E.; Koeppe, R.A.; Price, J.C.; Benzinger, T.L.; Devous, M.D., Sr.; Jagust, W.J.; Johnson, K.A.; Mathis, C.A.; Minhas, D.; Pontecorvo, M.J. The Centiloid Project: Standardizing quantitative amyloid plaque estimation by PET. Alzheimer’s Dement. 2015, 11, 1–15.e14. [Google Scholar] [CrossRef] [PubMed]
- Rowe, C.C.; Jones, G.; Doré, V.; Pejoska, S.; Margison, L.; Mulligan, R.S.; Chan, J.G.; Young, K.; Villemagne, V.L. Standardized expression of 18F-NAV4694 and 11C-PiB β-amyloid PET results with the Centiloid Scale. J. Nucl. Med. 2016, 57, 1233–1237. [Google Scholar] [CrossRef] [PubMed]
- Rowe, C.C.; Doré, V.; Jones, G.; Baxendale, D.; Mulligan, R.S.; Bullich, S.; Stephens, A.W.; De Santi, S.; Masters, C.L.; Dinkelborg, L. 18 F-Florbetaben PET beta-amyloid binding expressed in Centiloids. Eur. J. Nucl. Med. Mol. Imaging 2017, 44, 2053–2059. [Google Scholar] [CrossRef]
- Battle, M.R.; Pillay, L.C.; Lowe, V.J.; Knopman, D.; Kemp, B.; Rowe, C.C.; Doré, V.; Villemagne, V.L.; Buckley, C.J. Centiloid scaling for quantification of brain amyloid with [18F] flutemetamol using multiple processing methods. EJNMMI Res. 2018, 8, 107. [Google Scholar] [CrossRef]
- Amadoru, S.; Doré, V.; McLean, C.A.; Hinton, F.; Shepherd, C.E.; Halliday, G.M.; Leyton, C.E.; Yates, P.A.; Hodges, J.R.; Masters, C.L. Comparison of amyloid PET measured in Centiloid units with neuropathological findings in Alzheimer’s disease. Alzheimer’s Res. Ther. 2020, 12, 22. [Google Scholar] [CrossRef]
- Minoshima, S.; Frey, K.A.; Koeppe, R.A.; Foster, N.L.; Kuhl, D.E. A diagnostic approach in Alzheimer’s disease using three-dimensional stereotactic surface projections of fluorine-18-FDG PET. J. Nucl. Med. 1995, 36, 1238–1248. [Google Scholar]
- Minoshima, S.; Koeppe, R.A.; Frey, K.A.; Kuhl, D.E. Anatomic standardization: Linear scaling and nonlinear warping of functional brain images. J. Nucl. Med. 1994, 35, 1528–1537. [Google Scholar]
- Kaneta, T.; Okamura, N.; Minoshima, S.; Furukawa, K.; Tashiro, M.; Furumoto, S.; Iwata, R.; Fukuda, H.; Takahashi, S.; Yanai, K. A modified method of 3D-SSP analysis for amyloid PET imaging using [11C] BF-227. Ann. Nucl. Med. 2011, 25, 732–739. [Google Scholar] [CrossRef]
- Thientunyakit, T.; Sethanandha, C.; Muangpaisan, W.; Minoshima, S. Relationship between amyloid deposition and cerebral glucose metabolism in cognitively normal elderly, patients with mild cognitive impairment and Alzheimer’s dementia. J. Nucl. Med. 2019, 60, 1458. [Google Scholar]
- Barthel, H.; Sabri, O. Clinical use and utility of amyloid imaging. J. Nucl. Med. 2017, 58, 1711–1717. [Google Scholar] [CrossRef] [PubMed]
- Grundman, M.; Johnson, K.A.; Lu, M.; Siderowf, A.; Arora, A.K.; Skovronsky, D.M.; Mintun, M.A.; Pontecorvo, M.J. Effect of amyloid imaging on the diagnosis and management of patients with cognitive decline: Impact of appropriate use criteria. Dement. Geriatr. Cogn. Disord. 2016, 41, 80–92. [Google Scholar] [CrossRef]
- Leuzy, A.; Chiotis, K.; Lemoine, L.; Gillberg, P.-G.; Almkvist, O.; Rodriguez-Vieitez, E.; Nordberg, A. Tau PET imaging in neurodegenerative tauopathies—Still a challenge. Mol. Psychiatry 2019, 24, 1112–1134. [Google Scholar] [CrossRef] [PubMed]
- Buée, L.; Bussière, T.; Buée-Scherrer, V.; Delacourte, A.; Hof, P.R. Tau protein isoforms, phosphorylation and role in neurodegenerative disorders. Brain Res. Brain Res. Rev. 2000, 33, 95–130. [Google Scholar] [CrossRef]
- Josephs, K.A. Current Understanding of Neurodegenerative Diseases Associated with the Protein Tau. Mayo Clin. Proc. 2017, 92, 1291–1303. [Google Scholar] [CrossRef]
- Irwin, D.J. Tauopathies as clinicopathological entities. Park. Relat. Disord. 2016, 22 (Suppl. 1), S29–S33. [Google Scholar] [CrossRef]
- Villemagne, V.L.; Okamura, N. Tau imaging in the study of ageing, Alzheimer’s disease, and other neurodegenerative conditions. Curr. Opin. Neurobiol. 2016, 36, 43–51. [Google Scholar] [CrossRef]
- Wang, Y.T.; Edison, P. Tau imaging in neurodegenerative diseases using positron emission tomography. Curr. Neurol Neurosci Rep. 2019, 19, 45. [Google Scholar]
- Brendel, M.; Palleis, C.; Prix, C.; Finze, A.; Boetzel, K.; Danek, A.; Höllerhage, M.; Beyer, L.; Sauerbeck, J.; Rauchmann, B.; et al. 18F-PI-2620 tau-PET in corticobasal syndrome (ActiGliA cohort). Alzheimer’s Dement. 2020, 16, e041469. [Google Scholar] [CrossRef]
- Brendel, M.; Barthel, H.; van Eimeren, T.; Marek, K.; Beyer, L.; Song, M.; Palleis, C.; Gehmeyr, M.; Fietzek, U.; Respondek, G.; et al. Assessment of 18F-PI-2620 as a Biomarker in Progressive Supranuclear Palsy. JAMA Neurol. 2020, 77, 1408–1419. [Google Scholar] [CrossRef]
- Okamura, N.; Harada, R.; Ishiki, A.; Kikuchi, A.; Nakamura, T.; Kudo, Y. The development and validation of tau PET tracers: Current status and future directions. Clin. Transl. Imaging 2018, 6, 305–316. [Google Scholar] [CrossRef] [PubMed]
- Kroth, H.; Oden, F.; Molette, J.; Schieferstein, H.; Capotosti, F.; Mueller, A.; Berndt, M.; Schmitt-Willich, H.; Darmency, V.; Gabellieri, E.; et al. Discovery and preclinical characterization of [18F]PI-2620, a next-generation tau PET tracer for the assessment of tau pathology in Alzheimer’s disease and other tauopathies. Eur. J. Nucl. Med. Mol. Imaging 2019, 46, 2178–2189. [Google Scholar] [CrossRef] [PubMed]
- Burkett, B.J.; Johnson, D.R.; Lowe, V.J. Evaluation of Neurodegenerative Disorders with Amyloid-β, Tau, and Dopaminergic PET Imaging: Interpretation Pitfalls. J. Nucl. Med. Off. Publ. Soc. Nucl. Med. 2024, 65, 829–837. [Google Scholar] [CrossRef] [PubMed]










| Alzheimer’s disease (AD) | |
| Alzheimer’s disease (AD) variants | Posterior cortical atrophy (PCA) |
| Logopenic aphasia (PCA) | |
| Frontal variant AD (fvAD) | |
| Corticobasal syndrome (CBS) variant AD | |
| Familial AD | |
| Non AD dementia | Lewy body dementia (LBD)
|
| |
| Frontotemporal lobar degeneration (FTLD) | |
| |
|
| Investigations | Implication for Clinical Practice | Level of Evidence |
|---|---|---|
| To predict AD dementia conversion | ||
| FDG PET | ++ | I [12,13] |
| Brain perfusion SPECT | + | I [13] |
| Amyloid PET | ++ | I [14,15,16] |
| Tau PET (use with amyloid PET) | + | I [15] |
| To support early-onset Alzheimer’s disease (EOAD) diagnosis | ||
| FDG PET | ++ | I [17,18,19] |
| Brain perfusion SPECT | + | II [20,21] |
| Amyloid PET | ++ | I [17,22,23,24,25] |
| Tau PET | + | I [25] II [26,27,28,29,30] |
| To differential diagnosis of AD variants | ||
| FDG PET | ++ | I [17,19] |
| Brain perfusion SPECT | + | II [20,21] |
| Amyloid PET | ++ | I [17,22,23,24] |
| Tau PET | +/− | II [27,28,29,30] |
| To differential diagnosis of AD vs. non-AD dementia | ||
| FDG PET | ++ | I [17,22,23,29] |
| Brain perfusion SPECT | + | II [31,32] |
| Amyloid PET | ++ | I [18,19,28,30] |
| Tau PET | + | III [20,21,24,27] |
| To differential diagnosis of LBD vs. non-LBD | ||
| FDG PET | ++ | I [33] |
| Brain perfusion SPECT | + | I [33] II [34] |
| DAT SPECT | ++ | II [12,35] |
| MIBG scan | ++ | II [12] |
| Tau PET (differentiate DLB and PCA) | ++ | II [12] |
| Brain perfusion SPECT |
|
| FDG PET |
|
| Amyloid and Tau PET imaging |
|
| Radiopharmaceuticals | Dose |
|---|---|
| 99mTc HMPAO | 555–1110 MBq (15–30 mCi) Typical: 740 MBq (20 mCi) |
| 99mTc ECD | 555–1110 MBq (15–30 mCi) Typical: 1110 MBq (30 mCi) |
| 18F-FDG | 185–740 MBq (5–20 mCi) |
| Amyloid imaging | |
| 370 MBq (10 mCi) |
| 185 MBq (5 mCi) |
| 300 MBq (8 mCi) |
| 300–370 MBq (8–10 mCi) |
| Tau tracer | |
| 185–300 MBq (5–8 mCi) |
| 370 MBq (10 mCi) |
| Variability in injected dose recommendation is based on differences in absorbed dose | |
| Agent | Dose in MBq Unit (mCi) | Organ Receiving the Highest Dose mGy/MBq | Effective Dose mSv/MBq |
|---|---|---|---|
| 99mTc HMPAO | 555–1110 (15–30) | 0.034 (kidney) | 0.0093 mSv |
| 99mTc ECD | 555–1110 (15–30) | 0.05 (bladder wall) | 0.0077 |
| Agent | Dose in MBq Unit (mCi) | Organ Receiving the Highest Dose mGy/MBq | Effective Dose mSv/MBq |
|---|---|---|---|
| 18F-FDG | 185–740 (5–20) | 0.13 (bladder wall) | 0.019 |
| 18F-Florbetapir | 370 MBq (10 mCi) | 0.143 (gallbladder wall) | 0.019 |
| 18F-Flutemetamol | 185 MBq (5 mCi) | 0.287 (gallbladder wall) | 0.034 |
| 18F-Florbetaben | 300 MBq (8 mCi) | 0.137 (gallbladder wall) | 0.019 |
| 11C-PiB | 300 MBq (8 mCi) | 44.80 ± 29.30 (gallbladder wall) | 5.3 |
| 18F-PI2620 | 185–300 MBq | N/A | N/A |
| 18F-AV1451 | 370 MBq | N/A | 0.024 |
| Agent | Waiting Time after Injection | Acquisition Time (min) |
|---|---|---|
| 99mTc ECD | 15 min–6 h (optimum at 45 min) | 30 |
| 99mTc HMPAO | 30 min–6 h (optimum at 90 min) | 30 |
| Instrument | SPECT | |
| Collimator | Fan beam or parallel hole (LEHR/LEUHR) * | |
| Energy setting | 140 keV, 15–20% energy window | |
| Zoom | To gain at least a pixel size equal to 1/3 to 1/2 of the expected resolution | |
| Nuclide | 99mTc | |
| Matrix Size | ≥128 × 128 | |
| Scan mode | Step and shoot or continuous | |
| Rotation per view | ≤3° (total of 360° rotation) | |
| Time per view | About 15–30 s/projection (total count 5 × 106 counts) | |
| Scatter correction | Optional | |
| Reconstruction | 3D-OSEM **/FBP | |
| Slice thickness | Possible 3–5 mm (for maximal pixel resolution) | |
| (if SPECT/CT) | Scout/Surview/Topogram CT (optional in some vendors) | |
| CT voltage | 120–140 kV | |
| CT current | ≤30 mA | |
| (if SPECT/CT) | CT (for attenuation correction) | |
| CT voltage | 120–140 kV | |
| CT current | ≤80 mA | |
| Slice thickness | 3–5 mm | |
Acquisition steps for an individual patient
| ||
SPECT processing
| ||
| Scout or Surview CT | |
|---|---|
| CT voltage | 120 kV |
| CT current | ≤30 mA |
| CT | |
| Scan type | Helical |
| Rotation time | 0.75–1 s |
| Matrix | 512 |
| Slice thickness (mm) | 3–5 mm |
| Slice increments | continuous |
| Pitch | ≤1 |
| CT voltage | 120–140 kV |
| CT current.time | ≤50 mAs (Low dose CT), ≤250 mAs (diagnostic CT) |
| PET | |
| Energy setting | 511 keV, 15–20% energy window |
| Glucose metabolic radiopharmaceutical and dose | 18F-Fluorodeoxyglucose (FDG) 185–740 MBq (5–20 mCi) |
| Amyloid radiopharmaceutical and dose | 18F-Florbetapir 370 MBq (10 mCi) 18F-Flutemetamol 185 MBq (5 mCi) 18F-Florbetaben 300 MBq (8 mCi) 11C-PiB 300 MBq (8 mCi) |
| Tau radiopharmaceutical and dose | 18F-PI-2620 185–300 MBq (5–8 mCi) 18F-AV1451 370 MBq (10 mCi) |
| Uptake time | 18F-FDG 30–60 min 18F-Florbetapir 30–50 min 18F-Flutemetamol 60–120 min 18F-Florbetaben 45–130 min 11C-PiB 40–70 min 18F-PI2620 30–75 min 18F-AV1451 80 min |
| Mode | 3D |
| Scan direction | Toward head |
| Scan Duration (min/bed) | 18F-FDG 5–30 min |
| 18F-Florbetapir 10 min | |
| 18F-Flutemetamol 10–20 min | |
| 18F-Florbetaben 15–20 min | |
| 11C-PiB 40–70 min | |
| 18F-PI2620 45 min (5 min per frame) | |
| 18F-AV1451 20 min | |
| Attenuation correction | Yes (use CT) |
| Scatter correction | Yes |
| Reconstruction | Iterative (OSEM) |
Acquisition steps for an individual patient
| |
PET processing
| |
| Dementia Type | Hypoperfusion/Metabolic Cortical and Subcortical Regions | Preservation of Perfusion/Metabolism |
|---|---|---|
| Alzheimer’s disease (AD) |
|
|
| Dementia with Lewy bodies (DLB) |
|
|
| Frontotemporal lobar degeneration (FTLD) |
|
|
| Vascular dementia |
|
| Radiopharmaceuticals | Color Scale | Criteria For Positive Scan | Cortical Region | SUVR Cut-Off for Positive Scan | Reference Region |
|---|---|---|---|---|---|
| 11C-PiB | Color (Rainbow) | Binding in GM > WM | N/A | 1.4–1.6 | Cerebellar cortex |
| 18F-florbetapir | Black/white (Reverse gray) | Loss of GM/WM contrast > 1 region | Temporal > occipital > prefrontal > parietal | 1.1–1.34 | Whole cerebellum |
| 18F-flutemetamol | Color (Rainbow) | Increased GM uptake or loss of GM/WM contrast > 4 cortical and 1 subcortical regions | Frontal > posterior cingulate/precuneus > insula > temporal > striatum | 0.58–0.62 | Pons |
| 18F-florbetaben | Black/white (Gray) | Increased GM uptake extending to the cortical margin > 4 cortical regions | Lateral temporal > frontal > posterior cingulate > parietal | 1.43 | Cerebellar cortex |
| 18F-NAV4694 | Color (Rainbow) | N/A * | N/A * | 1.4–1.5 | Cerebellar cortex |
| Tauopathy | Histopathology | Tau Isoform | |
|---|---|---|---|
| Electron Microscope | Light Microscope | ||
| Primary tauopathies | |||
| Progressive supranuclear palsy | SF (and TF) | Tufted astrocytes; globose tangles | 4R |
| Corticobasal degeneration | SF (and TF) | Astrocytic plaques | 4R |
| Argyrophilic grain disease | SF | Oligodendroglial coiled bodies; limbic argyrophilic grains | 4R |
| Pick’s disease | TF (and SF) | Pick’s bodies | 3R |
| Myotonic dystrophy | N/A | Neurofibrillary tangles | Short 0N3R |
| Secondary tauopathies | |||
| Alzheimer’s disease | PHF (and SF) | Neurofibrillary tangles | 3R and 4R |
| Down syndrome | PHF (and SF) | Neurofibrillary tangles | 3R and 4R |
| Chronic traumatic encephalopathy | PHF (and SF) | Neurofibrillary tangles | 3R and 4R |
| Niemann-Pick disease type C | PHF (and SF) | Neurofibrillary tangles | 3R and 4R |
| Perfusion SPECT | |
| Biological factors | Technical factors |
|
|
| FDG PET | |
| Biological factors | Technical factors |
|
|
| Amyloid and Tau PET | |
| Biological factors | Technical factors |
|
|
Disclaimer/Publisher’s Note: The statements, opinions and data contained in all publications are solely those of the individual author(s) and contributor(s) and not of MDPI and/or the editor(s). MDPI and/or the editor(s) disclaim responsibility for any injury to people or property resulting from any ideas, methods, instructions or products referred to in the content. |
© 2024 by the authors. Licensee MDPI, Basel, Switzerland. This article is an open access article distributed under the terms and conditions of the Creative Commons Attribution (CC BY) license (https://creativecommons.org/licenses/by/4.0/).
Share and Cite
Kaewchur, T.; Thientunyakit, T.; Chamroonrat, W.; Khiewvan, B.; Kiatkittikul, P.; Wongsurawat, N.; Chotipanich, C.; Likitjaroen, Y.; Senanarong, V.; Pasawang, P.; et al. Thai Guideline for Nuclear Medicine Investigations of Neurocognitive Disorders: Nuclear Medicine Society of Thailand, the Neurological Society of Thailand, and Thai Medical Physicist Society Collaboration. Diagnostics 2024, 14, 2474. https://doi.org/10.3390/diagnostics14222474
Kaewchur T, Thientunyakit T, Chamroonrat W, Khiewvan B, Kiatkittikul P, Wongsurawat N, Chotipanich C, Likitjaroen Y, Senanarong V, Pasawang P, et al. Thai Guideline for Nuclear Medicine Investigations of Neurocognitive Disorders: Nuclear Medicine Society of Thailand, the Neurological Society of Thailand, and Thai Medical Physicist Society Collaboration. Diagnostics. 2024; 14(22):2474. https://doi.org/10.3390/diagnostics14222474
Chicago/Turabian StyleKaewchur, Tawika, Tanyaluck Thientunyakit, Wichana Chamroonrat, Benjapa Khiewvan, Peerapon Kiatkittikul, Nantaporn Wongsurawat, Chanisa Chotipanich, Yuttachai Likitjaroen, Vorapun Senanarong, Panya Pasawang, and et al. 2024. "Thai Guideline for Nuclear Medicine Investigations of Neurocognitive Disorders: Nuclear Medicine Society of Thailand, the Neurological Society of Thailand, and Thai Medical Physicist Society Collaboration" Diagnostics 14, no. 22: 2474. https://doi.org/10.3390/diagnostics14222474
APA StyleKaewchur, T., Thientunyakit, T., Chamroonrat, W., Khiewvan, B., Kiatkittikul, P., Wongsurawat, N., Chotipanich, C., Likitjaroen, Y., Senanarong, V., Pasawang, P., Sontrapornpol, T., Poon-iad, N., Amnuaywattakorn, S., & Tepmongkol, S. (2024). Thai Guideline for Nuclear Medicine Investigations of Neurocognitive Disorders: Nuclear Medicine Society of Thailand, the Neurological Society of Thailand, and Thai Medical Physicist Society Collaboration. Diagnostics, 14(22), 2474. https://doi.org/10.3390/diagnostics14222474

