Giant Appendiceal Mucocele with High Grade Mucinous Neoplasm—Case Report and Review of the Literature
Abstract
1. Introduction
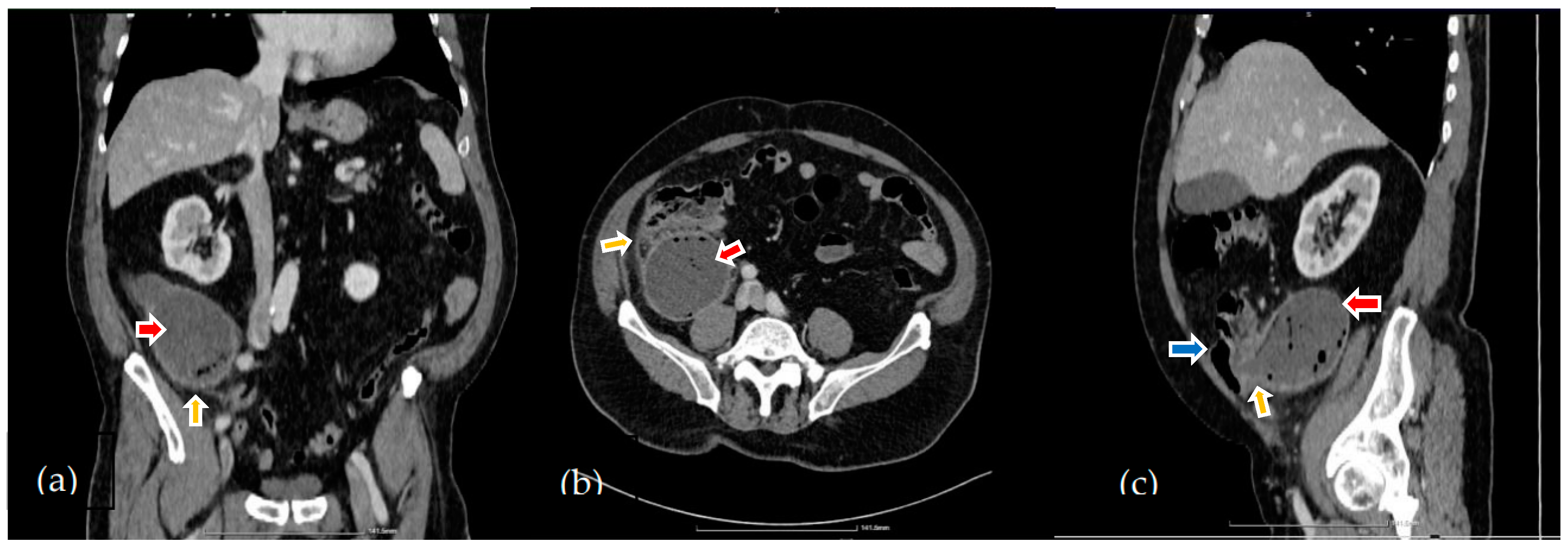
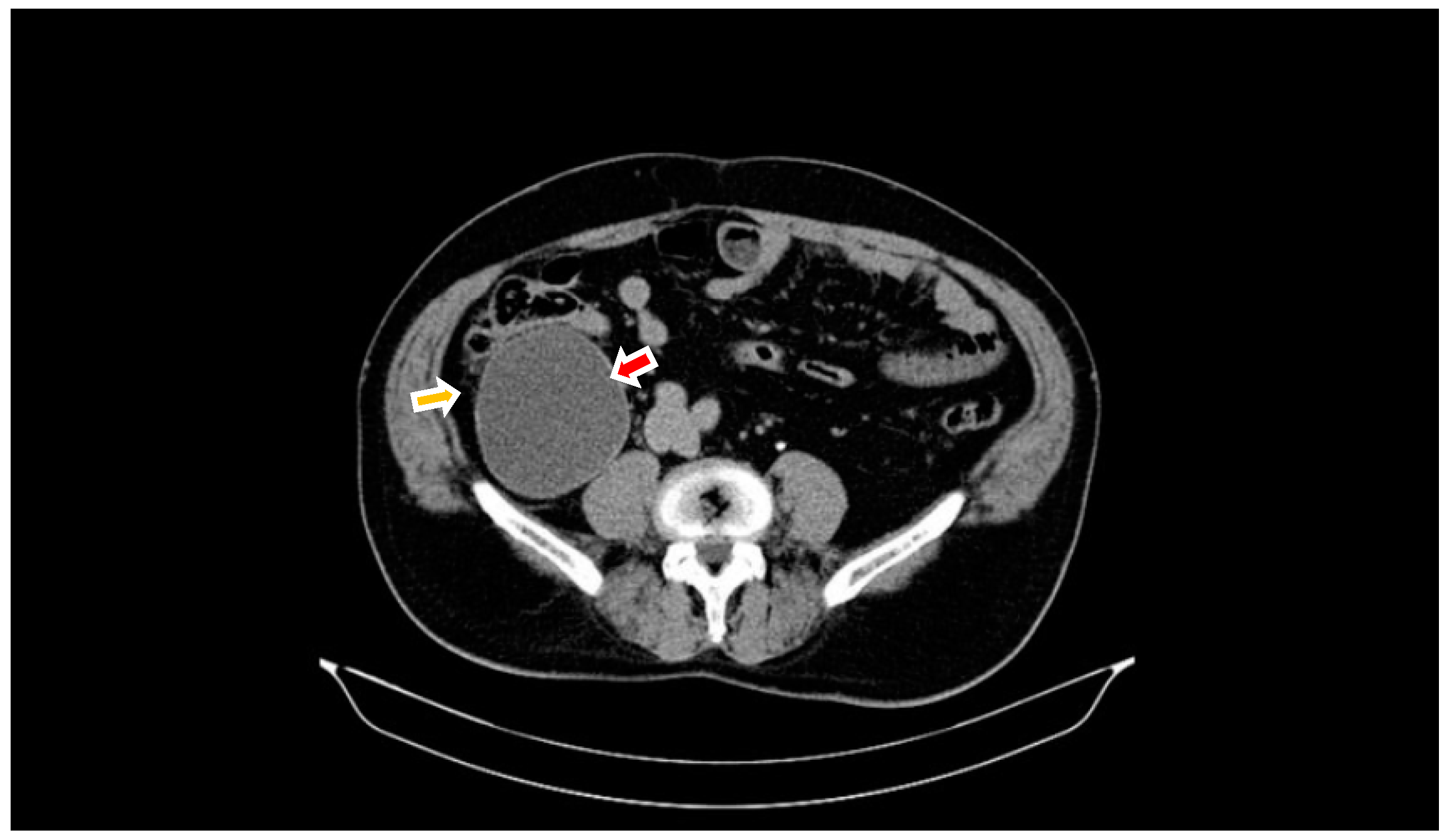
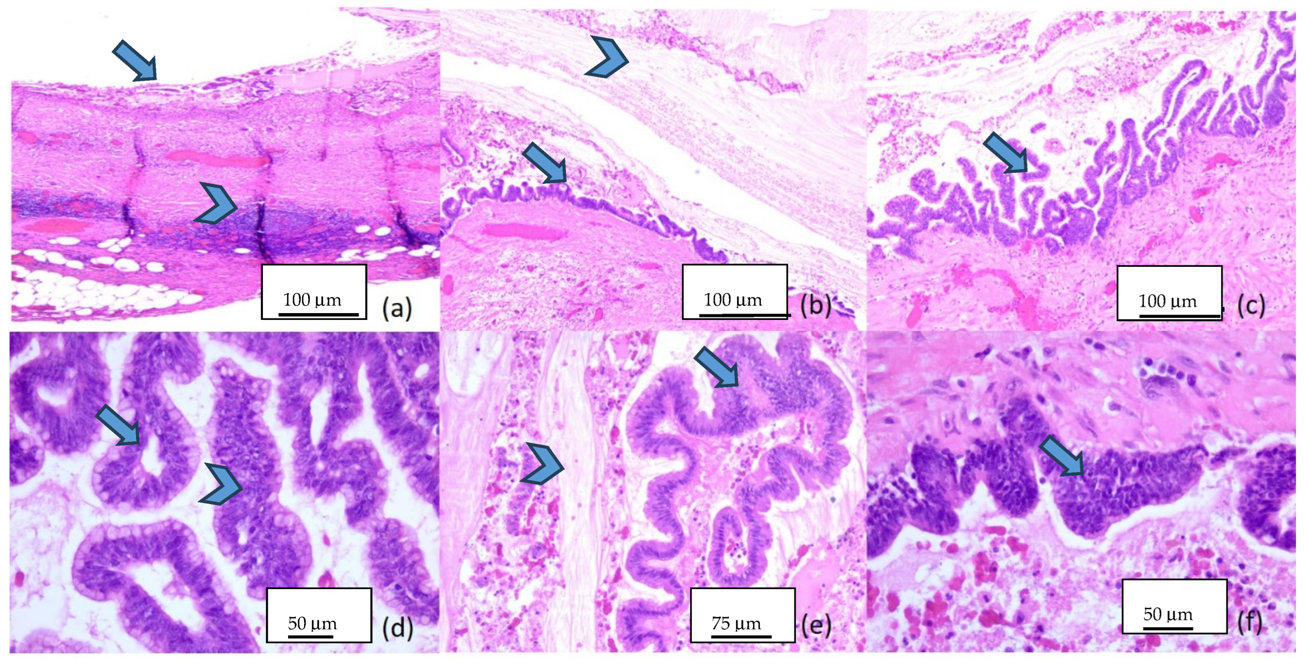
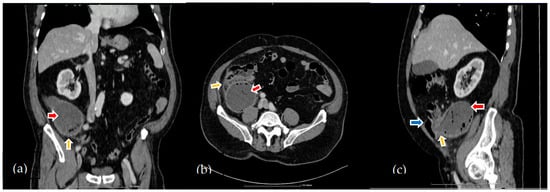
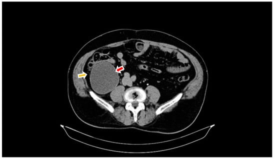
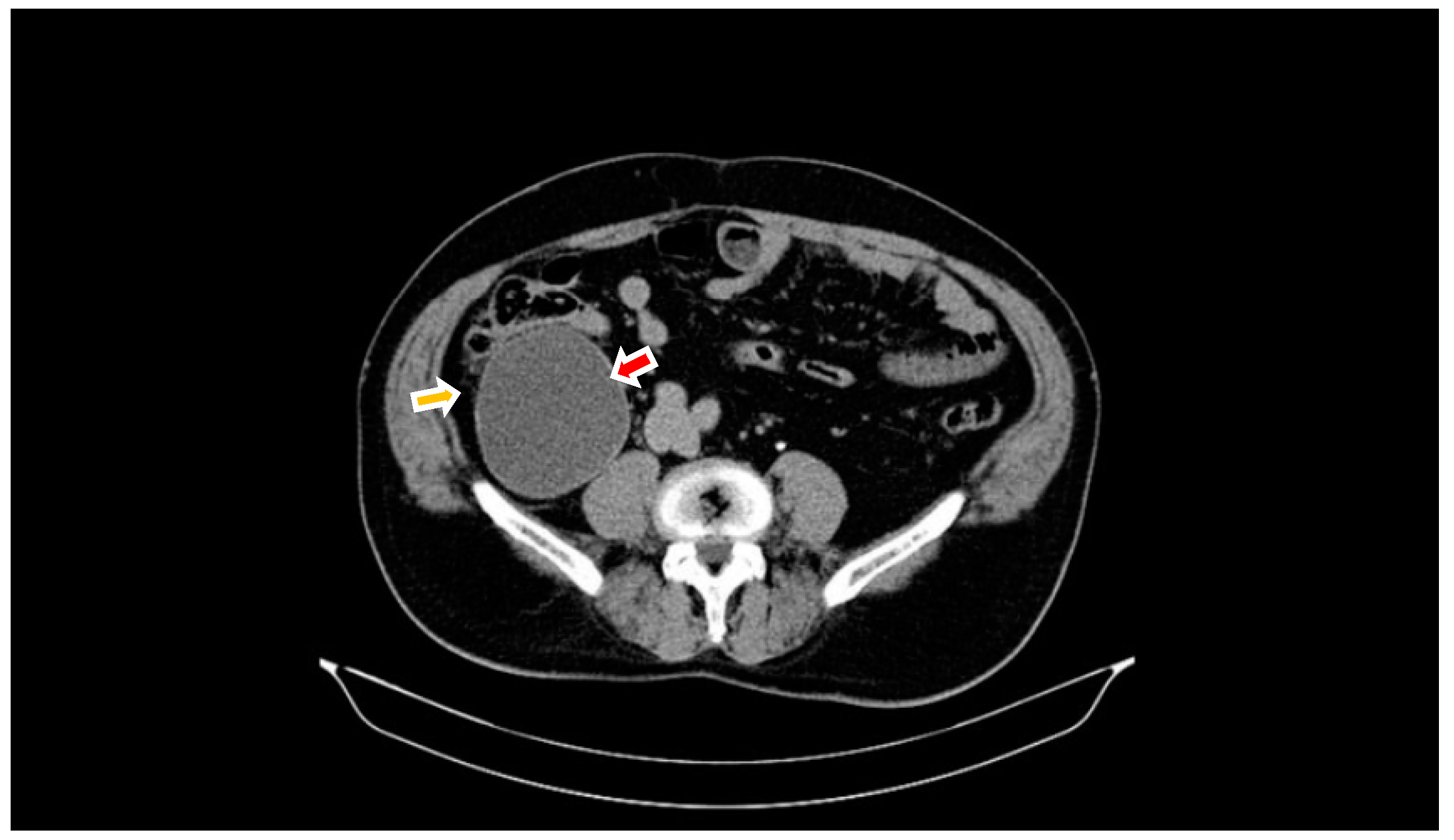
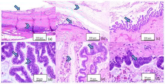
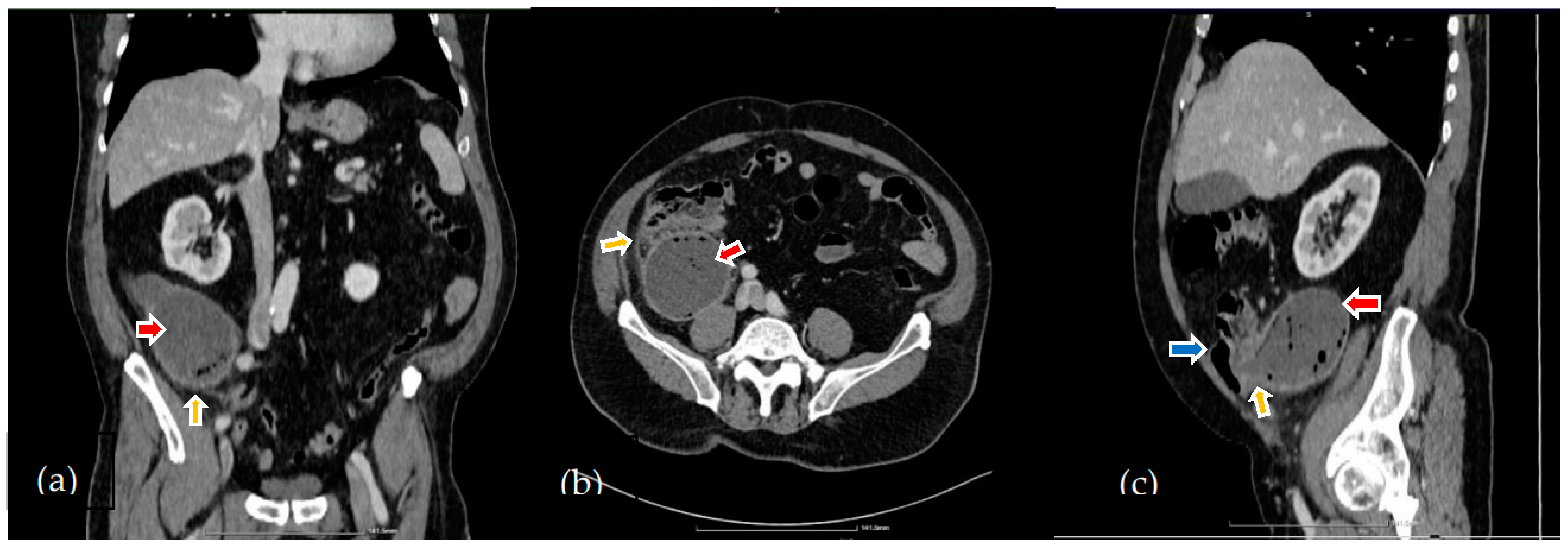
2. Case Report
3. Discussion
4. Conclusions
Author Contributions
Funding
Institutional Review Board Statement
Informed Consent Statement
Data Availability Statement
Conflicts of Interest
References
- Louis, T.H.; Felter, D.F. Mucocele of the Appendix. Proc. (Bayl. Univ. Med. Cent.) 2014, 27, 33–34. [Google Scholar] [CrossRef] [PubMed]
- Spyropoulos, C.; Rentis, A.; Alexaki, E.; Triantafillidis, J.K.; Vagianos, C. Appendiceal mucocele and pseudomyxoma peritonei; the clinical boundariesof a subtle disease. Am. J. Case Rep. 2014, 15, 355–360. [Google Scholar] [PubMed]
- Higa, E.; Rosai, J.; Pizzimbono, C.A.; Wise, L. Mucosal hyperplasia, mucinous cystadenoma, and mucinous cystadenocarcinoma of the appendix. A re-evaluation of appendiceal “mucocele”. Cancer 1973, 32, 1525–1541. [Google Scholar] [CrossRef] [PubMed]
- Sugarbaker, P.H. Appendiceal Epithelial Neoplasms and Pseudomyxoma Peritonei, a Distinct Clinical Entity with Distinct Treatments. In General Surgery. Principles and International Practice, 2nd ed.; Bland, K.I., Büchler, M.W., Csendes, A., Sarr, M.G., Garden, O.J., Wong, J., Eds.; Springer: London, UK, 2009; pp. 885–893. [Google Scholar]
- Abuoğlu, H.; Yıldız, M.K.; Kaya, B.; Odabaşı, M. Clinicopathological analysis of patients operated for appendiceal mucocele. Ulus. Travma Acil Cerrahi Derg. 2017, 23, 230–234. [Google Scholar] [PubMed]
- Santos, S.F.; Horta, M.; Rosa, F.; Rito, M.; Cunha, T.M. Mucocele of the appendix: What to expect. Radiol. Bras. 2022, 55, 193–198. [Google Scholar] [CrossRef]
- Hoehn, R.S.; Rieser, C.J.; Choudry, M.H.; Melnitchouk, N.; Hechtman, J.; Bahary, N. Current Management of Appendiceal Neoplasms. Am. Soc. Clin. Oncol. Educ. Book 2021, 41, 118–132. [Google Scholar] [CrossRef]
- Spanos, C.P.; Kaiser, A.M. Appendiceal Neoplasms. In The ASCRS Textbook of Colon and Rectal Surgery, 3rd ed.; Steele, S.R., Hull, T.L., Read, T.E., Saclarides, T.J., Senagore, A.J., Whitlow, C.B., Eds.; Springer: New York, NY, USA, 2016; pp. 617–629. [Google Scholar]
- Hatch, Q.M.; Gilbert, E.W. Appendiceal Neoplasms. Clin. Colon Rectal Surg. 2018, 31, 278–287. [Google Scholar] [CrossRef]
- Umetsu, S.E.; Kakar, S. Staging of appendiceal mucinous neoplasms: Challenges and recent updates. Hum. Pathol. 2023, 132, 65–76. [Google Scholar] [CrossRef]
- BB, S.K.; Jasuja, P. Appendiceal mucocele—A rare case report. Int. J. Surg. Case Rep. 2019, 58, 21–25. [Google Scholar] [CrossRef]
- Gundogar, O.; Kimiloglu, E.; Komut, N.; Cin, M.; Bektas, S.; Gonullu, D.; Ilgun, A.S.; Erdogan, N. Evaluation of appendiceal mucinous neoplasms with a new classification system and literature review. Turk. J. Gastroenterol. 2018, 29, 532–542. [Google Scholar] [CrossRef]
- Aho, A.J.; Heinonen, R.; Laurén, P. Benign and malignant mucocele of the appendix. Acta Chir. Scand. 1973, 139, 392–400. [Google Scholar] [PubMed]
- Wang, H.; Chen, Y.Q.; Wei, R.; Wang, Q.B.; Song, B.; Wang, C.Y.; Zhang, B. Appendix Mucocele: A Diagnostic Dilemma in Differentiating Malignant from Benign Lesions with CT. Am. J. Roentgenol. 2013, 201, 590–595. [Google Scholar] [CrossRef] [PubMed]
- Pitiakoudis, M.; Argyropoulou, P.I.; Tsaroucha, A.K.; Prassopoulos, P.; Simopoulos, C. Cystadenocarcinoma of the appendix: An incidental imaging finding in a patient with adenocarcinomas of the ascending and the sigmoid colon. BMC Gastroenterol. 2003, 3, 30. [Google Scholar] [CrossRef] [PubMed]
- Coulibaly, A.; Simaga, A.K.; Sissoko, M.; Koumaré, S.; Konaré, S.; Doumbia, M.; Sanogo, Z.Z. Appendicular Mucocele: About a Case Observed in Bamako. Surg. Sci. 2022, 13, 577–584. [Google Scholar] [CrossRef]
- Gonzalez, R.S.; Carr, N.J.; Liao, H.; Pai, R.K.; Agostini-Vulaj, D.; Misdraji, J. High-Grade Appendiceal Mucinous Neoplasm: Clinicopathologic Findings in 35 Cases. Arch. Pathol. Lab. Med. 2022, 146, 1471–1478. [Google Scholar] [CrossRef]
- Liao, X.; Vavinskaya, V.; Sun, K.; Hao, Y.; Li, X.; Valasek, M.; Xu, R.; Polydorides, A.D.; Houldsworth, J.; Harpaz, N. Mutation profile of high-grade appendiceal mucinous neoplasm. Histopathology 2020, 76, 461–469. [Google Scholar] [CrossRef]
- Rutter, M.D.; Saunders, B.P.; Wilkinson, K.H.; Rumbles, S.; Schofield, G.; Kamm, M.A.; Williams, C.B.; Price, A.B.; Talbot, I.C.; Forbes, A. Thirty-year analysis of a colonoscopic surveillance program for neoplasia in ulcerative colitis. Gastroenterology 2006, 130, 1030–1038. [Google Scholar] [CrossRef]
- Beaugerie, L.; Itzkowitz, S.H. Cancers complicating inflammatory bowel disease. N. Engl. J. Med. 2015, 372, 1441–1452. [Google Scholar] [CrossRef]
- Kim, E.R.; Chang, D.K. Colorectal cancer in inflammatory bowel disease: The risk, pathogenesis, prevention and diagnosis. World J. Gastroenterol. 2014, 20, 9872–9881. [Google Scholar] [CrossRef]
- Fumery, M.; Dulai, P.S.; Gupta, S.; Prokop, L.J.; Ramamoorthy, S.; Sandborn, W.J.; Singh, S. Incidence, risk factors, and outcomes of colorectal cancer in patients with ulcerative colitis with low-grade dysplasia: A systematic review and meta-analysis. Clin. Gastroenterol. Hepatol. 2017, 15, 665–674. [Google Scholar] [CrossRef]
- Wu, X.-R.; Zheng, X.-B.; Huang, Y.; Cao, Q.; Zhang, H.-J.; Miao, Y.-L.; Zou, K.-F.; Chen, M.; Zhang, F.-M.; Mei, Q.; et al. Risk factors for colorectal neoplasia in patients with underlying inflammatory bowel disease: A multicenter study. Gastroenterol. Rep. 2019, 7, 67–73. [Google Scholar] [CrossRef] [PubMed]
- Choi, C.-H.R.; Ignjatovic-Wilson, A.; Askari, A.; Lee, G.H.; Warusavitarne, J.; Moorghen, M.; Thomas-Gibson, S.; Saunders, B.P.; Rutter, M.D.; Graham, T.A.; et al. Low-grade dysplasia in ulcerative colitis: Risk factors for developing high-grade dysplasia or colorectal cancer. Am. J. Gastroenterol. 2015, 110, 1461–1471. [Google Scholar] [CrossRef] [PubMed]
- Lakatos, P.L.; Gyori, G.; Halasz, J.; Fuszek, P.; Papp, J.; Jaray, B.; Lukovich, P.; Lakatos, L. Mucocele of the appendix: An unusual cause of lower abdominal pain in a patient with ulcerative colitis-. A case report and review of literature. World J. Gastroenterol. 2005, 11, 457–459. [Google Scholar] [CrossRef] [PubMed]
- Tirumani, S.H.; Fraser-Hill, M.; Auer, R.; Shabana, W.; Walsh, C.; Lee, F.; Ryan, J.G. Mucinous neoplasms of the appendix: A current comprehensive clinicopathologic and imaging review. Cancer Imaging 2013, 13, 14–25. [Google Scholar] [CrossRef] [PubMed]
- Carr, N.; Sobin, L. Tumors of the appendix. In: WHO Classification of tumours of the digestive system. In World Health Organization Classification of Tumours, 4th ed.; Bosman, F.T., Carneiro, F., Hruban, R.H., Theise, N.D., Eds.; IARC Press: Lyon, France, 2010; pp. 122–125. [Google Scholar]
- Dachman, A.; Lichtenstein, J.; Friedman, A.C. Mucocele of the appendix and pseudomyxoma peritonei. Am. J. Roentgenol. 1985, 144, 923–929. [Google Scholar] [CrossRef]
- Sulkin, T.V.C.; O’Neill, H.; Amin, A.I.; Moran, B. CT in pseudomyxoma peritonei: A review of 17 cases. Clin. Radiol. 2002, 57, 608–613. [Google Scholar] [CrossRef]
- Pickhardt, P.J.; Levy, A.D.; Rohrmann, C.A.; Kende, A.I. Primary neoplasms of the appendix: Radiologic spectrum of disease with pathologic correlation. Radiographics 2003, 23, 645–662. [Google Scholar] [CrossRef]
- McFarlane, M.E.; Plummer, J.M.; Bonadie, K. Mucinous cystadenoma of the appendix presenting with an elevated carcinoembryonic antigen (CEA):Report of two cases and review of the literature. Int. J. Surg. Case Rep. 2013, 4, 886–888. [Google Scholar] [CrossRef]
- Saftescu, S.; Popovici, D.; Opean, C.; Negru, A.; Croitoru, A.; Zemba, M.; Yasar, I.; Preda, M.; Negru, S. Endurance of erythrocyte series in chemotherapy. Exp. Ther. Med. 2020, 20, 214. [Google Scholar] [CrossRef]
- Miraliakbari, R.; Chapman, W.H. Laparoscopic treatment of an appendiceal mucocele. J. Laparoendosc. Adv. Surg. Tech. 1999, 9, 159–163. [Google Scholar] [CrossRef]
- Dhage-Ivatury, S.; Sugarbaker, P.H. Update on the surgical approach to mucocele of the appendix. J. Am. Coll. Surg. 2006, 202, 680–684. [Google Scholar] [CrossRef] [PubMed]
- Kılıç, M.Ö.; İnan, A.; Bozer, M. Four mucinous cystadenoma of the appendix treated by different approaches. Ulus. Cerrahi Derg. 2014, 30, 97–99. [Google Scholar] [PubMed]
- Stocchi, L.; Wolff, B.G.; Larson, D.R.; Harrington, J.R. Surgical treatment of appendiceal mucocele. Arch. Surg. 2003, 138, 585–590. [Google Scholar] [CrossRef] [PubMed]
- Persaud, T.; Swan, N.; Torreggiani, W.C. Giant mucinous cystadenoma of the appendix. Radiographics 2007, 27, 553–557. [Google Scholar] [CrossRef] [PubMed]
- Carr, N.J.; McCarthy, W.F.; Sobin, L.H. Epithelial noncarcinoid tumors and tumor-like lesions of the appendix. A clinicopathologic study of 184 patients with a multivariate analysis of prognostic factors. Cancer 1995, 75, 757–768. [Google Scholar] [CrossRef]
- Cestino, L.; Festa, F.; Cavouti, G.; Bonatti, L.; Soncini, S.; Dani, L.; Quaglino, F. Appendiceal mucocele: Three cases with different presentation and review of the literature. J. Surg. Case Rep. 2020, 2020, rjaa344. [Google Scholar] [CrossRef]
- Kearsey, C.C.; Dristas, S.; Mathur, M.; Wild, J. “It’s just a mucocele”: Case report of a massive appendiceal mucocele presenting as a left upper quadrant mass. Ann. R. Coll. Surg. Eng. 2024, 106, 93–95. [Google Scholar] [CrossRef]
- Lu, A.; Cho, J.; Vazmitzel, M.; Layfield, L.; Staveley-O’Carroll, K.; Gaballah, A.; Rao, D. High-grade appendiceal mucinous neoplasm presenting as a giant appendiceal mucocele. Radiol. Case Rep. 2021, 16, 1051–1056. [Google Scholar] [CrossRef]
- Polydorides, A.D.; Wen, X. Clinicopathologic parameters and outcomes of mucinous neoplasms confined to the appendix: A benign entity with excellent prognosis. Mod. Pathol. 2022, 35, 1732–1739. [Google Scholar] [CrossRef]





Disclaimer/Publisher’s Note: The statements, opinions and data contained in all publications are solely those of the individual author(s) and contributor(s) and not of MDPI and/or the editor(s). MDPI and/or the editor(s) disclaim responsibility for any injury to people or property resulting from any ideas, methods, instructions or products referred to in the content. |
© 2024 by the authors. Licensee MDPI, Basel, Switzerland. This article is an open access article distributed under the terms and conditions of the Creative Commons Attribution (CC BY) license (https://creativecommons.org/licenses/by/4.0/).
Share and Cite
Sima, L.V.; Dan, C.A.-M.; Zara, F.; Closca, R.M.; Sima, A.C.; Saracin, C.O.; Dan, R.G.; Orzata, D.M. Giant Appendiceal Mucocele with High Grade Mucinous Neoplasm—Case Report and Review of the Literature. Diagnostics 2024, 14, 2429. https://doi.org/10.3390/diagnostics14212429
Sima LV, Dan CA-M, Zara F, Closca RM, Sima AC, Saracin CO, Dan RG, Orzata DM. Giant Appendiceal Mucocele with High Grade Mucinous Neoplasm—Case Report and Review of the Literature. Diagnostics. 2024; 14(21):2429. https://doi.org/10.3390/diagnostics14212429
Chicago/Turabian StyleSima, Laurentiu Vasile, Cristina Ana-Maria Dan, Flavia Zara, Raluca Maria Closca, Alexandra Christa Sima, Cristina Oana Saracin, Radu Gheorghe Dan, and Diana Maria Orzata. 2024. "Giant Appendiceal Mucocele with High Grade Mucinous Neoplasm—Case Report and Review of the Literature" Diagnostics 14, no. 21: 2429. https://doi.org/10.3390/diagnostics14212429
APA StyleSima, L. V., Dan, C. A.-M., Zara, F., Closca, R. M., Sima, A. C., Saracin, C. O., Dan, R. G., & Orzata, D. M. (2024). Giant Appendiceal Mucocele with High Grade Mucinous Neoplasm—Case Report and Review of the Literature. Diagnostics, 14(21), 2429. https://doi.org/10.3390/diagnostics14212429

