Abstract
We present the case of a 36-year-old woman who presented to our clinic for a second opinion. After multiple previous surgeries, she presented with an abdominal wound infection, which was initially treated conservatively. In the further course, catamenial bleeding occurred as an unusual symptom, and the suspicion of a fistula formation was postulated. Subsequent surgical repair and consecutive histopathological diagnosis revealed evidence of a fistula with endometriosis genitalis externa and thus gave an explanation for this striking clinical case presentation.
A 36-year-old female patient (gravida IV, para IV) presented to our clinic 10 weeks postpartum following an elective repeat cesarean section. Due to a postpartum puerperal infection and a symptomatic ovarian cyst (cystadenoma), a re-laparotomy was performed 3 weeks after the cesarean section.
She presented with ongoing complications of wound healing and wound infection around the cesarean scar. Microbiological investigations had already confirmed the presence of a polymicrobial colonization (Staphylococcus aureus, Streptococcus spp., Klebsiella spp., Corynebacteria), and antibiotic therapy (clindamycin) had been initiated ex domo. During the clinical examination of the abdomen and the cesarean scar, a large amount of purulent exudate was observed, along with three dehiscent areas (up to 0.5 cm in diameter) within the scar. Consecutive blood testing revealed a C-reactive protein (CRP) level of 47 mg/L and an almost normal leukocyte count (10.8/nL). A previously extern-recommended indication for surgical wound management using vacuum-assisted closure (VAC) therapy was confirmed at our clinic; however, the patient refused this treatment.
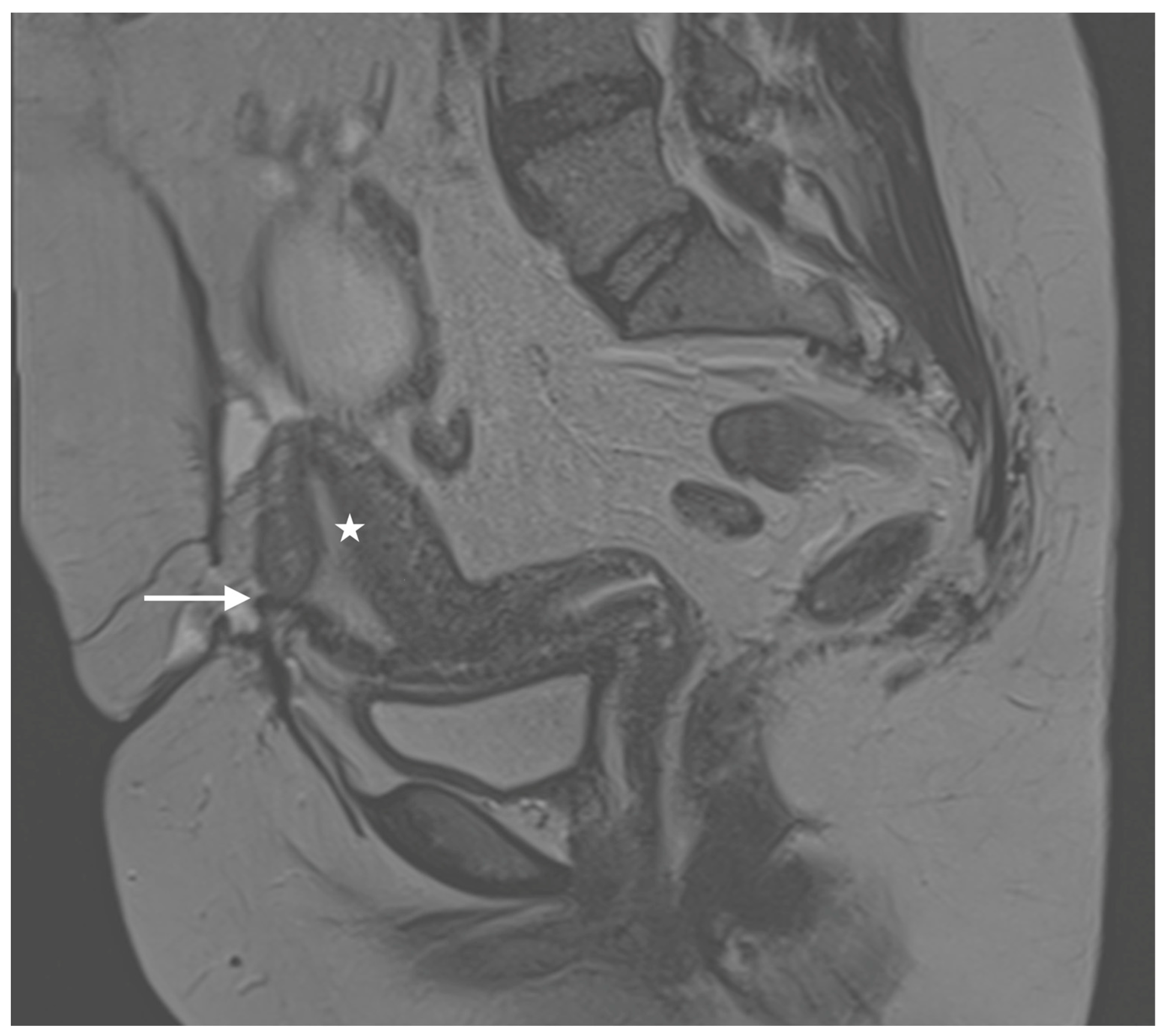
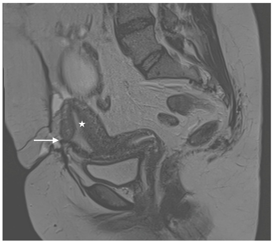
Six months later, the patient returned to our clinic, reporting cyclic pain and catamenial bleeding from the area of the persistent wound dehiscence during menstruation. Up to this point, dysmenorrhea, dyspareunia, chronic pelvic pain or other endometriosis-related symptoms had not been reported, nor had any preceding abdominal surgery revealed signs of endometriosis. Our clinical examination raised suspicion of a fistulous tract between the abdominal wall and the anterior wall of the uterus in the midline of the cesarean scar. This suspicion was further supported by magnetic resonance imaging (MRI) of the abdomen, which suggested a distinct contact area between the uterus and the abdominal wall (Figure 1), along with impaired wound healing and fascial dehiscence in the context of the previous cesarean section.
Figure 1.
Diagnostic imaging (MRI, T2) shows a scar region (arrow) within the ventral corpus uteri. The corpus uteri (asterisk) is displaced ventrally towards the abdominal wall. In alignment with the clinical symptoms, the findings are highly suspicious for fistula formation.
The patient was consented to a re-laparotomy with excision of the fistulous tract, adhesiolysis, and reconstruction of both the uterus and the abdominal fascia. Subsequent histological examination confirmed the presence of ectopic endometrial glandular structures and surrounding cytogenic stroma with signs of chronic inflammation within the fistulous tract (Figure 2) [1], consistent with the phenomenon of abdominal wall endometriosis post-cesarean section [2].
Figure 2.
Histomorphologically, next to signs of chronic inflammation as well as the umbilical surface (A), ectopic endometrial mucosa was detected (B).
In contrast to the occasionally reported post-cesarean scar endometriosis which typically presents as an abdominal mass/lesion with periodically pain [3,4,5], our patient reported cyclic recurrent bleeding and fistulous tract formation. From an etiopathological perspective, several factors—such as patient-related risk factors (obesity, deficient nutritional status) as well as pathogenic microbial colonization of the wound area and the surgical technique/trauma itself (insufficient suturing, extensive tissue trauma, change in uterine position or corporal incision and consecutive cesarean scar defects)—may have contributed to the presented affection [6,7,8]. On the one hand our case demonstrates the urgency for clinical reasoning in identifying patients at risk for cesarean section and following postoperative complications, allowing timely and well-planned pre-surgical preparations [9,10]. On the other hand, it emphasizes the necessity of good surgical practice in gynecological abdominal surgery/cesarean section delivery (proper anatomical layering, appropriate incision and closure techniques, adequate use of surgical instruments, correct employment of cauterization, vaginal preparation, antibiotics prophylaxis, as well as suitable suture materials), avoiding not only short-term complications but also long-term impairments [11,12,13].
In our presented case, a postoperative follow-up examination revealed a well-healed wound/scar formation with intact abdominal wall structure. No evidence of recurrent adhesions was found by transvaginal and abdominal ultrasound examination.
Author Contributions
Conceptualization, R.S. and G.G.K.; investigation, R.S., D.-C.W. and M.B.; resources, A.H.; writing—original draft preparation, G.G.K.; writing—review and editing, D.-C.W., M.B., R.S. and A.H.; visualization, D.-C.W. and M.B.; supervision, R.S.; project administration, A.H. All authors have read and agreed to the published version of the manuscript.
Funding
This research received no external funding.
Institutional Review Board Statement
Not applicable.
Informed Consent Statement
Informed consent was obtained from all subjects involved in the study, and written informed consent was obtained from the patient to publish this paper.
Data Availability Statement
The data presented in this study are available on request from the corresponding author. The data are not publicly available due to individual solutions.
Conflicts of Interest
The authors declare no conflicts of interest.
Correction Statement
This article has been republished with a minor correction to the existing affiliation information. Annette Hasenburg and Roxana Schwab's affiliation numbers have been changed from "4" to "1". This change does not affect the scientific content of the article.
References
- Istrate-Ofiţeru, A.-M.; Mogoantă, C.A.; Zorilă, G.-L.; Roşu, G.-C.; Drăguşin, R.C.; Berbecaru, E.-I.-A.; Zorilă, M.V.; Comănescu, C.M.; Mogoantă, S.-. Ștefăniță; Vaduva, C.-C.; et al. Clinical Characteristics and Local Histopathological Modulators of Endometriosis and Its Progression. Int. J. Mol. Sci. 2024, 25, 1789. [Google Scholar] [CrossRef] [PubMed]
- WHO Classification of Tumours Editorial Board. Female Genital Tumours. WHO Classification of Tumours, 5th ed.; Internal Agency for Research on Cancer (IARC): Lyon, France, 2020; ISBN 978-92-832-4504-9. [Google Scholar]
- Horton, J.D.; Dezee, K.J.; Ahnfeldt, E.P.; Wagner, M. Abdominal Wall Endometriosis: A Surgeon’s Perspective and Review of 445 Cases. Am. J. Surg. 2008, 196, 207–212. [Google Scholar] [CrossRef] [PubMed]
- Arkoudis, N.-A.; Moschovaki-Zeiger, O.; Prountzos, S.; Spiliopoulos, S.; Kelekis, N. Caesarean-Section Scar Endometriosis (CSSE): Clinical and Imaging Fundamentals of an Underestimated Entity. Clin. Radiol. 2023, 78, 644–654. [Google Scholar] [CrossRef] [PubMed]
- Zhang, P.; Sun, Y.; Zhang, C.; Yang, Y.; Zhang, L.; Wang, N.; Xu, H. Cesarean Scar Endometriosis: Presentation of 198 Cases and Literature Review. BMC Womens Health 2019, 19, 14. [Google Scholar] [CrossRef] [PubMed]
- Pan, H.; Gu, A.; Yang, Y.; Chen, Z.; Liang, F. Postpartum Changes in Uterine Position and Occurrence of Cesarean Scar Defects: A Retrospective Observational Study. Clin. Exp. Obstet. Gynecol. 2022, 49, 159. [Google Scholar] [CrossRef]
- Donnez, O. Cesarean Scar Disorder: Management and Repair. Best Pract. Res. Clin. Obstet. Gynaecol. 2023, 90, 102398. [Google Scholar] [CrossRef] [PubMed]
- Antila-Långsjö, R.M.; Mäenpää, J.U.; Huhtala, H.S.; Tomás, E.I.; Staff, S.M. Cesarean Scar Defect: A Prospective Study on Risk Factors. Am. J. Obstet. Gynecol. 2018, 219, 458.e1–458.e8. [Google Scholar] [CrossRef] [PubMed]
- Frappaolo, A.M.; Logue, T.C.; Goffman, D.; Nathan, L.M.; Sheen, J.-J.; Andrikopoulou, M.; Wen, T.; D’Alton, M.E.; Friedman, A.M. Cesarean Delivery Trends Among Patients at Low Risk for Cesarean Delivery in the US, 2000–2019. JAMA Netw. Open 2023, 6, e235428. [Google Scholar] [CrossRef] [PubMed]
- Cavoretto, P.I.; Candiani, M.; Farina, A. Cesarean Delivery Uptake Trends Associated With Patient Features and Threshold for Labor Anomalies. JAMA Netw. Open 2023, 6, e235436. [Google Scholar] [CrossRef] [PubMed]
- Chintamani. Ten Commandments of Safe and Optimum Abdominal Wall Closure. Indian J. Surg. 2018, 80, 105–108. [Google Scholar] [CrossRef] [PubMed]
- Haas, D.M.; Morgan, S.; Contreras, K.; Enders, S. Vaginal Preparation with Antiseptic Solution before Cesarean Section for Preventing Postoperative Infections. Cochrane Database Syst. Rev. 2018, 2018, CD007892. [Google Scholar] [CrossRef] [PubMed]
- Smaill, F.M.; Grivell, R.M. Antibiotic Prophylaxis versus No Prophylaxis for Preventing Infection after Cesarean Section. Cochrane Database Syst. Rev. 2014, 2014, CD007482. [Google Scholar] [CrossRef] [PubMed]
Disclaimer/Publisher’s Note: The statements, opinions and data contained in all publications are solely those of the individual author(s) and contributor(s) and not of MDPI and/or the editor(s). MDPI and/or the editor(s) disclaim responsibility for any injury to people or property resulting from any ideas, methods, instructions or products referred to in the content. |
© 2024 by the authors. Licensee MDPI, Basel, Switzerland. This article is an open access article distributed under the terms and conditions of the Creative Commons Attribution (CC BY) license (https://creativecommons.org/licenses/by/4.0/).

