Next Article in Journal
Assessing Quality of Ultrasound Attenuation Coefficient Results for Liver Fat Quantification
Next Article in Special Issue
The Little-Known Ribbon-Shaped Piriform Cortex: A Key Node in Temporal Lobe Epilepsy—Anatomical Insights and Its Potential for Surgical Treatment
Previous Article in Journal
Detection of Thymoma Disease Using mRMR Feature Selection and Transformer Models
Previous Article in Special Issue
Compressed SENSitivity Encoding (SENSE): Qualitative and Quantitative Analysis
 
 
Font Type:
Arial Georgia Verdana
Font Size:
Aa Aa Aa
Line Spacing:
Column Width:
Background:
Interesting Images

Symptomatic Pneumorrhachis from Bronchial-Subarachnoid Fistula

by
Alexander W. Lipinski
1,*,
Mathew V. Smith
2,
Eric J. Wannamaker
2 and
Vincent M. Timpone
2
1
Mayo Clinic Alix School of Medicine, Arizona Campus, Mayo Clinic College of Medicine and Science, Scottsdale, AZ 85259, USA
2
Department of Radiology, Mayo Clinic, Phoenix, AZ 85054, USA
*
Author to whom correspondence should be addressed.
Diagnostics 2024, 14(19), 2170; https://doi.org/10.3390/diagnostics14192170
Submission received: 3 September 2024 / Revised: 27 September 2024 / Accepted: 27 September 2024 / Published: 29 September 2024
(This article belongs to the Special Issue Clinical Advances and Applications in Neuroradiology)

Abstract

Bronchial-subarachnoid fistulas are rare occurrences, which are not well defined in the literature. This uncommon clinical phenomenon may result in symptomatic pneumorrhachis and presents unique clinical challenges. This report details a case of a 53-year-old female whose treatment for recurrent chondrosarcoma of the thoracic spine included multiple surgeries and radiotherapy. Two weeks after her most recent debulking surgery, she experienced a rapid onset of unusual symptoms, including headache, back and neck spasms, bladder incontinence, and confusion. The source of her symptoms was found to be secondary to pneumorrhachis from a pre-existing bronchial-pleural fistula that had fistulized to the subarachnoid space discovered on computed tomography (CT) and confirmed intraoperatively. The patient was treated successfully with high-flow oxygen therapy and bed rest, followed by surgical correction of both a pleural air leak and a dural defect with muscular flaps. The patient was discharged home in stable condition and remained clinically free of recurrent bronchial-subarachnoid fistula six months after surgical repair. This case contributes to the existing literature by providing detailed clinical insights into the diagnosis and successful management of a bronchial-subarachnoid fistula leading to pneumorrhachis, thereby highlighting the importance of early recognition and intervention and underscoring the need for further research in this area.

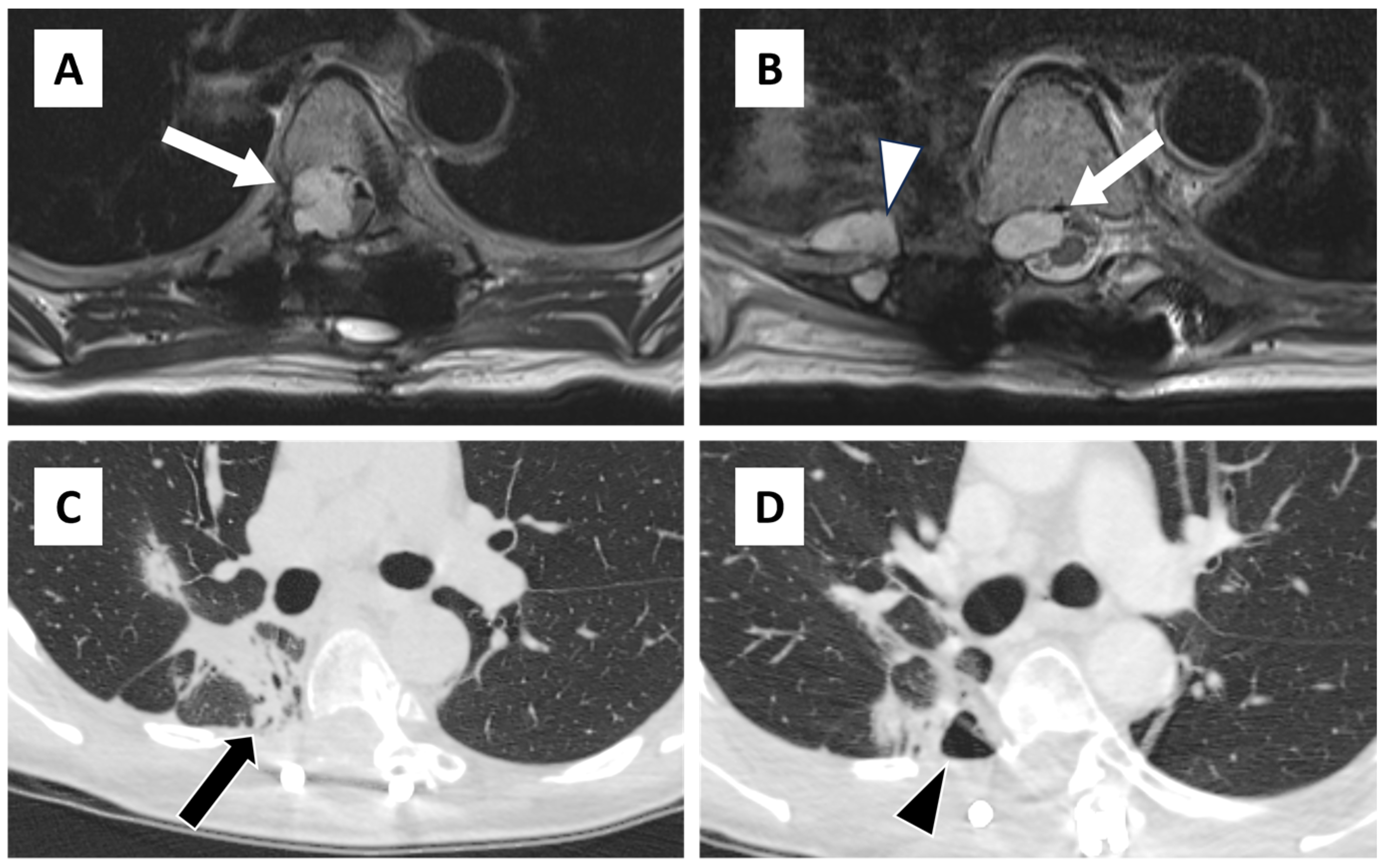
Figure 1. Axial T2-weighted fast spin echo images taken 1 month prior to repeat chondrosarcoma resection demonstrate recurrent T2 hyperintense tumor in the epidural space (arrow) above the prior operative bed (A) as well as within the prior operative bed (B) with additional tumor along the proximal edge of the partially resected right 8th rib (arrowhead). Axial pre-procedural planning CT of the thorax (C) demonstrates post radiation changes in the adjacent lung with focal bronchiectatic consolidation in the medial right lower lobe (arrow) and (D) a small adjacent contained hydropneumothorax (arrowhead). There was no specific evidence of pleural damage during the debulking surgery; however, the procedure was notably challenging due to altered anatomy from prior surgeries and radiation therapy. The patient had a chronic dry cough that did not worsen after surgery, and there was no cerebrospinal fluid expectoration observed. CT scans of her chest consistently showed no other significant pneumothorax or pleural effusion.
Figure 1. Axial T2-weighted fast spin echo images taken 1 month prior to repeat chondrosarcoma resection demonstrate recurrent T2 hyperintense tumor in the epidural space (arrow) above the prior operative bed (A) as well as within the prior operative bed (B) with additional tumor along the proximal edge of the partially resected right 8th rib (arrowhead). Axial pre-procedural planning CT of the thorax (C) demonstrates post radiation changes in the adjacent lung with focal bronchiectatic consolidation in the medial right lower lobe (arrow) and (D) a small adjacent contained hydropneumothorax (arrowhead). There was no specific evidence of pleural damage during the debulking surgery; however, the procedure was notably challenging due to altered anatomy from prior surgeries and radiation therapy. The patient had a chronic dry cough that did not worsen after surgery, and there was no cerebrospinal fluid expectoration observed. CT scans of her chest consistently showed no other significant pneumothorax or pleural effusion.
Diagnostics 14 02170 g001
Figure 2. Computed tomographic (CT) images of the thoracic spine (A) and head (B,C) 2 weeks after the most recent repeat resection demonstrate pneumorrhachis (dashed white arrow in (A)) and secondary pneumocephalus (dashed white arrows in (B,C)). Contrast-enhanced chest CT (D) taken at the same time as (AC) demonstrates an organized fluid collection in the surgical bed extending into the pleural space laterally, abutting bronchiectatic airways (arrowhead). Axial T2-weighted fast spin echo from same day magnetic resonance imaging (E,F) redemonstrates the perioperative fluid collection (dashed white arrow in (E)) and reveals a dural defect in the right lateral thecal sac at the resection level (white arrow in (F)). Pneumorrhachis is primarily diagnosed via CT scan, which is the gold standard due to its high sensitivity in detecting air within the spinal canal, however comparative studies on the efficacy of MRI are lacking. MRI is used as a secondary tool to assess associated soft tissue injuries or rule out other conditions like spinal cord compression [1,2,3].
Figure 2. Computed tomographic (CT) images of the thoracic spine (A) and head (B,C) 2 weeks after the most recent repeat resection demonstrate pneumorrhachis (dashed white arrow in (A)) and secondary pneumocephalus (dashed white arrows in (B,C)). Contrast-enhanced chest CT (D) taken at the same time as (AC) demonstrates an organized fluid collection in the surgical bed extending into the pleural space laterally, abutting bronchiectatic airways (arrowhead). Axial T2-weighted fast spin echo from same day magnetic resonance imaging (E,F) redemonstrates the perioperative fluid collection (dashed white arrow in (E)) and reveals a dural defect in the right lateral thecal sac at the resection level (white arrow in (F)). Pneumorrhachis is primarily diagnosed via CT scan, which is the gold standard due to its high sensitivity in detecting air within the spinal canal, however comparative studies on the efficacy of MRI are lacking. MRI is used as a secondary tool to assess associated soft tissue injuries or rule out other conditions like spinal cord compression [1,2,3].
Diagnostics 14 02170 g002
Current literature on bronchial-subarachnoid fistulas and pneumorrhachis is notably sparse, primarily consisting of isolated case reports. Risk factors for developing these fistulous communications include trauma, prior surgery, infection, chronic inflammatory conditions, and prior radiation therapy [4,5]. Of the few reported cases of pneumorrhachis related to bronchial-subarachnoid fistula, the condition represents a delayed post-treatment complication, with earlier reports documenting symptom onset ranging from two months to ten years postoperatively [6,7,8]. The clinical manifestations of pneumorrhachis and secondary pneumocephalus are variable, including myelopathy, radicular pain, neck pain, and headaches, and may be due to the pressure and/or inflammatory effects of intrathecal and intracranial gas [4].
Figure 3. Axial T2-weighted turbo spin echo imaging performed after subsequent exploration and flap reconstruction demonstrates a repaired dural defect (arrowhead) and resolved pseudomeningocele with some residual myelopathic signal changes (dashed arrow). Prompt recognition of pneumorrhachis secondary to bronchial-subarachnoid fistulas and the implementation of urgent treatment strategies to mitigate serious neurological complications are essential. These strategies include optimizing patient positioning to isolate gas collections to safer locations and operative planning to seal off the underlying fistula [4,6,9,10]. Conservative management and monitoring are the first-line for pneumorrhachis and are effective in preventing neurological complications, with most cases resolving spontaneously [11]. Hyperbaric oxygen therapy (HBOT) is considered a potential treatment modality for symptomatic pneumorrhachis and works by increasing the partial pressure of oxygen, which accelerates the reabsorption of intrathecal air and promotes nitrogen washout from air collections [1]. Additionally, HBOT has been found to significantly reduce the volume of pneumocephalus more rapidly compared to normobaric oxygen therapy, leading to faster clinical improvement [12].
Figure 3. Axial T2-weighted turbo spin echo imaging performed after subsequent exploration and flap reconstruction demonstrates a repaired dural defect (arrowhead) and resolved pseudomeningocele with some residual myelopathic signal changes (dashed arrow). Prompt recognition of pneumorrhachis secondary to bronchial-subarachnoid fistulas and the implementation of urgent treatment strategies to mitigate serious neurological complications are essential. These strategies include optimizing patient positioning to isolate gas collections to safer locations and operative planning to seal off the underlying fistula [4,6,9,10]. Conservative management and monitoring are the first-line for pneumorrhachis and are effective in preventing neurological complications, with most cases resolving spontaneously [11]. Hyperbaric oxygen therapy (HBOT) is considered a potential treatment modality for symptomatic pneumorrhachis and works by increasing the partial pressure of oxygen, which accelerates the reabsorption of intrathecal air and promotes nitrogen washout from air collections [1]. Additionally, HBOT has been found to significantly reduce the volume of pneumocephalus more rapidly compared to normobaric oxygen therapy, leading to faster clinical improvement [12].
Diagnostics 14 02170 g003
Surgical intervention is typically reserved for severe neurological symptoms, such as spinal cord compression or CSF leaks, but can improve muscle strength and neurological function in pneumorrhachis cases [13,14]. The positioning of the patient during and after surgery plays a crucial role in both the development and management of pneumocephalus and pneumorrhachis, highlighting the importance of careful intraoperative and postoperative care. Moreover, the development of fluctuating hemiparesis in one case provides insight into the potential neurologic impacts of these conditions, suggesting that air within the spinal canal can affect motor functions in a position-dependent manner [4].

Author Contributions

Conceptualization, A.W.L. and M.V.S.; investigation and data curation, A.W.L. and M.V.S.; writing—original draft preparation, A.W.L.; writing—figure captions, M.V.S.; writing—review and editing, V.M.T. and E.J.W.; supervision, V.M.T. and E.J.W. All authors have read and agreed to the published version of the manuscript.

Funding

The APC was funded by institutional academic funds allocated to the authors, provided by the Mayo Clinic.

Institutional Review Board Statement

The Mayo Clinic Institutional Review Board (IRB) acknowledges that in accordance with the Code of Federal Regulations, 45 CFR 46.102, the above-noted activity does not require IRB review.

Informed Consent Statement

Written informed consent has been obtained from the patient to publish this paper.

Data Availability Statement

This article does not include any additional primary data besides the information already presented in the case report section.

Acknowledgments

The Scientific Publications staff at Mayo Clinic provided copyediting support.

Conflicts of Interest

The authors declare no conflicts of interest.

References

  1. Oertel, M.F.; Korinth, M.C.; Reinges, M.H.; Krings, T.; Terbeck, S.; Gilsbach, J.M. Pathogenesis, diagnosis and management of pneumorrhachis. Eur. Spine J. 2006, 15 (Suppl. S5), 636–643. [Google Scholar] [CrossRef] [PubMed]
  2. Pfeifle, C.; Henkelmann, R.; von der Hoh, N.; Jarvers, J.S.; Spiegl, U.; Josten, C.; Heyde, C.E. Traumatic pneumorrhachis. Injury 2020, 51, 267–270. [Google Scholar] [CrossRef] [PubMed]
  3. Zhuang, Y.; Zou, J.L.; Huang, Y.F.; Hu, D.X.; Shen, X.; Mao, X.Y. Spontaneous pneumorrhachis with pneumomediastinum, scrotal emphysema, and extensive subcutaneous emphysema in a patient with pneumonia: A case report and literature review. Pediatr. Pulmonol. 2023, 58, 1257–1265. [Google Scholar] [CrossRef] [PubMed]
  4. Bautista, M.; Wright, J.; Pippalapalli, J.; Schramm, M.W.J.; Anderson, I.A.; Pandit, M.H. Pneumorrhachis following cervical spine surgery. Anaesth. Rep. 2021, 9, e12137. [Google Scholar] [CrossRef] [PubMed]
  5. Kazimirko, D.N.; Parker, E.E.; Joyner, D.A.; Berry, T.H.; Taylor, C.S.; Nichols, T.A.; Khan, M.A. An unusual cause of acute headache: Subarachnoid free air secondary to spontaneous bronchopleurodurosubarachnoid fistula from a Pancoast tumor. Radiol. Case Rep. 2016, 11, 238–241. [Google Scholar] [CrossRef] [PubMed][Green Version]
  6. Lee, G.S.; Lee, M.K.; Kim, W.J.; Kim, H.S.; Kim, J.H.; Kim, Y.S. Pneumocephalus and Pneumorrhachis due to a Subarachnoid Pleural Fistula That Developed after Thoracic Spine Surgery. Korean J. Spine 2016, 13, 164–166. [Google Scholar] [CrossRef] [PubMed][Green Version]
  7. Lin, M.B.; Cheah, F.K.; Ng, S.E.; Yeo, T.T. Tension pneumocephalus and pneumorachis secondary to subarachnoid pleural fistula. Br. J. Radiol. 2000, 73, 325–327. [Google Scholar] [CrossRef] [PubMed]
  8. Son, S.; Kang, D.H.; Choi, D.S.; Choi, N.C. A case of broncho-paraspinal fistula induced by metallic devices: Delayed complication of thoracic spinal surgery. J. Korean Neurosurg. Soc. 2011, 50, 64–67. [Google Scholar] [CrossRef] [PubMed]
  9. Gupta, M.; Kumar Varma, K.K.; Singh Chhabra, H. A rare case of concomitant pneumocephalus and pneumorachis after lumbar spine surgery with late presenting dural leak. Spinal Cord Ser. Cases 2019, 5, 86. [Google Scholar] [CrossRef] [PubMed]
  10. Karavelioglu, E.; Eser, O.; Haktanir, A. Pneumocephalus and pneumorrhachis after spinal surgery: Case report and review of the literature. Neurol. Med.-Chir. 2014, 54, 405–407. [Google Scholar] [CrossRef] [PubMed]
  11. Osunronbi, T.; Sofela, A.; Sharma, H.; Muquit, S. Traumatic pneumorrhachis: Systematic review and an illustrative case. Neurosurg. Rev. 2021, 44, 731–739. [Google Scholar] [CrossRef] [PubMed]
  12. Kim, B.J.H.; Ji, M.Y.; Chen, J.C.C.; Correia, J.A.; Law, A.J.J.; Kow, C.Y. Use of oxygen therapy for pneumocephalus: A systematic review. Neurosurg. Rev. 2024, 47, 30. [Google Scholar] [CrossRef] [PubMed]
  13. Rovlias, A.; Pavlakis, E.; Kotsou, S. Symptomatic pneumorachis associated with incidental durotomy during microscopic lumbar disc surgery: Case report. J. Neurosurg. Spine 2006, 5, 165–167. [Google Scholar] [CrossRef] [PubMed]
  14. Kara, H.; Akinci, M.; Degirmenci, S.; Bayir, A.; Ak, A. Traumatic pneumorrhachis: 2 cases and review of the literature. Am. J. Emerg. Med. 2015, 33, 861.e1–861.e3. [Google Scholar] [CrossRef] [PubMed]
Disclaimer/Publisher’s Note: The statements, opinions and data contained in all publications are solely those of the individual author(s) and contributor(s) and not of MDPI and/or the editor(s). MDPI and/or the editor(s) disclaim responsibility for any injury to people or property resulting from any ideas, methods, instructions or products referred to in the content.

Share and Cite

MDPI and ACS Style

Lipinski, A.W.; Smith, M.V.; Wannamaker, E.J.; Timpone, V.M. Symptomatic Pneumorrhachis from Bronchial-Subarachnoid Fistula. Diagnostics 2024, 14, 2170. https://doi.org/10.3390/diagnostics14192170

AMA Style

Lipinski AW, Smith MV, Wannamaker EJ, Timpone VM. Symptomatic Pneumorrhachis from Bronchial-Subarachnoid Fistula. Diagnostics. 2024; 14(19):2170. https://doi.org/10.3390/diagnostics14192170

Chicago/Turabian Style

Lipinski, Alexander W., Mathew V. Smith, Eric J. Wannamaker, and Vincent M. Timpone. 2024. "Symptomatic Pneumorrhachis from Bronchial-Subarachnoid Fistula" Diagnostics 14, no. 19: 2170. https://doi.org/10.3390/diagnostics14192170

APA Style

Lipinski, A. W., Smith, M. V., Wannamaker, E. J., & Timpone, V. M. (2024). Symptomatic Pneumorrhachis from Bronchial-Subarachnoid Fistula. Diagnostics, 14(19), 2170. https://doi.org/10.3390/diagnostics14192170

Note that from the first issue of 2016, this journal uses article numbers instead of page numbers. See further details here.

Article Metrics

Back to TopTop