The Significance of C-Reactive Protein Value and Tumor Grading for Malignant Tumors: A Systematic Review
Abstract
1. Introduction
2. Materials and Methods
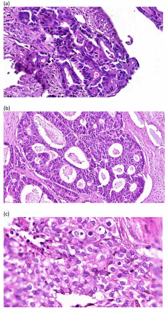
3. Results and Discussion
Limitations
4. Conclusions
Author Contributions
Funding
Data Availability Statement
Conflicts of Interest
References
- Mattiuzzi, C.; Lippi, G. Current Cancer Epidemiology. J. Epidemiol. Glob. Health 2019, 9, 217. [Google Scholar] [CrossRef] [PubMed]
- Sung, H.; Ferlay, J.; Siegel, R.L.; Laversanne, M.; Soerjomataram, I.; Jemal, A.; Bray, F. Global Cancer Statistics 2020: GLOBOCAN Estimates of Incidence and Mortality Worldwide for 36 Cancers in 185 Countries. CA Cancer J. Clin. 2021, 71, 209–249. [Google Scholar] [CrossRef] [PubMed]
- Ozveren, A.; Erdogan, A.P.; Ekinci, F. The inflammatory prognostic index as a potential predictor of prognosis in metastatic gastric cancer. Sci. Rep. 2023, 13, 7755. [Google Scholar] [CrossRef] [PubMed]
- Potempa, L.A.; Rajab, I.M.; Olson, M.E.; Hart, P.C. C-Reactive Protein and Cancer: Interpreting the Differential Bioactivities of Its Pentameric and Monomeric, Modified Isoforms. Front. Immunol. 2021, 12, 744129. [Google Scholar] [CrossRef]
- Totan, M.; Antonescu, E.; Catana, M.G.; Cernusca-Mitariu, M.M.; Duica, L.; Roman-Filip, C.; Comaneanu, R.M.; Cernusca-Mitariu, S.I. C-Reactive Protein—A Predictable Biomarker in Ischemic Stroke. Rev. Chim. 2019, 70, 2290–2293. [Google Scholar] [CrossRef]
- Fujiwara, Y.; Karol, A.B.; Reford, E.; Joshi, H.; Doroshow, D.B.; Galsky, M.D. C-reactive protein (CRP) as a prognostic biomarker in patients with bladder cancer: A meta-analysis. J. Clin. Oncol. 2023, 41 (Suppl. 16), e16502. [Google Scholar] [CrossRef]
- Tseng, L.J.; Matsuyama, A.; MacDonald-Dickinson, V. Histology: The gold standard for diagnosis? Can. Vet. J. Rev. Vet. Can. 2023, 64, 389–391. [Google Scholar] [PubMed] [PubMed Central]
- Matias-Guiu, X.; Stanta, G.; Carneiro, F.; Ryska, A.; Hoefler, G.; Moch, H. The leading role of pathology in assessing the somatic molecular alterations of cancer: Position Paper of the European Society of Pathology. Virchows Arch. 2020, 476, 491–497. [Google Scholar] [CrossRef] [PubMed]
- Wright, J.R., Jr. Albert C. Broders, tumor grading, and the origin of the long road to personalized cancer care. Cancer Med. 2020, 9, 4490–4494. [Google Scholar] [CrossRef]
- Telloni, S.M. Tumor Staging and Grading: A Primer. Molecular Profiling, 2nd ed.; Espina, V., Ed.; Springer: New York, NY, USA, 2017; Volume 1606, pp. 1–17. [Google Scholar]
- Wan, T.; Cao, J.; Chen, J.; Qin, Z. Automated grading of breast cancer histopathology using cascaded ensemble with combination of multi-level image features. Neurocomputing 2017, 229, 34–44. [Google Scholar] [CrossRef]
- Zhu, M.; Ma, Z.; Zhang, X.; Hang, D.; Yin, R.; Feng, J.; Xu, L.; Shen, H. C-reactive protein and cancer risk: A pan-cancer study of prospective cohort and Mendelian randomization analysis. BMC Med. 2022, 20, 301. [Google Scholar] [CrossRef] [PubMed]
- Chen, Y.; Cong, R.; Ji, C.; Ruan, W. The prognostic role of C-reactive protein in patients with head and neck squamous cell carcinoma: A meta-analysis. Cancer Med. 2020, 9, 9541–9553. [Google Scholar] [CrossRef] [PubMed]
- Zhang, W.; Zhang, Z.; Qian, L. Prognostic and clinicopathological significance of C-reactive protein in patients with ovarian cancer: A meta-analysis. World J. Surg. Oncol. 2024, 22, 8. [Google Scholar] [CrossRef] [PubMed]
- Brzezinska, B.; Mysona, D.P.; Richardson, K.P.; Rungruang, B.; Hopkins, D.; Bearden, G.; Higgins, R.; Johnson, M.; Bin Satter, K.; McIndoe, R.; et al. High serum levels of inflammatory markers are associated with early recurrence in patients with high-grade serous ovarian cancer after platinum therapy. Gynecol. Oncol. 2023, 179, 1–8. [Google Scholar] [CrossRef]
- Page, M.J.; McKenzie, J.E.; Bossuyt, P.M.; Boutron, I.; Hoffmann, T.C.; Mulrow, C.D.; Shamseer, L.; Tetzlaff, J.M.; Akl, E.A.; Brennan, S.E.; et al. The PRISMA 2020 statement: An updated guideline for reporting systematic reviews. BMJ 2021, 372, n71. [Google Scholar] [CrossRef]
- Almeida, K.d.O.; Alves, I.G.N.; de Queiroz, R.S.; de Castro, M.R.; Gomes, V.A.; Fontoura, F.C.S.; Brites, C.; Neto, M.G. A systematic review on physical function, activities of daily living and health-related quality of life in COVID-19 survivors. Chronic Illn. 2023, 19, 279–303. [Google Scholar] [CrossRef]
- Hamidi, N.; Gökçe, M.I.; Süer, E.; Baltacı, S. Evaluation of increased preoperative serum high sensitive C-reactive protein and procalcitonin levels on grade and stage of clear cell renal cell carcinoma. Clin. Nephrol. 2015, 83, 225–230. [Google Scholar] [CrossRef]
- Hidayat, F.; Labeda, I.; Sampetoding, S.; Pattelongi, I.J.; Lusikooy, R.E.; Warsinggih; Dani, M.I.; Mappincara; Kusuma, M.I.; Uwuratuw, J.A.; et al. Correlation of interleukin-6 and C-reactive protein levels in plasma with the stage and differentiation of colorectal cancer: A cross-sectional study in East Indonesia. Ann. Med. Surg. 2021, 62, 334–340. [Google Scholar] [CrossRef] [PubMed]
- Huang, L.; Liu, J.; Huang, X.; Wei, C.; Mo, X.; Zhong, H.; Meng, Y.; Lai, H.; Zhang, L.; Liang, D.; et al. Serum C-Reactive Protein-to-Body Mass Index Ratio Predicts Overall Survival in Patients With Resected Colorectal Cancer. Technol. Cancer Res. Treat. 2021, 20, 153303382110374. [Google Scholar] [CrossRef]
- Kersten, C.; Louhimo, J.; Ålgars, A.; Lahdesmaki, A.; Cvancerova, M.; Stenstedt, K.; Haglund, C.; Gunnarsson, U. Increased C-reactive protein implies a poorer stage-specific prognosis in colon cancer. Acta Oncol. 2013, 52, 1691–1698. [Google Scholar] [CrossRef]
- Huang, W.; Wu, L.; Liu, X.; Long, H.; Rong, T.; Ma, G. Preoperative serum C-reactive protein levels and postoperative survival in patients with esophageal squamous cell carcinoma: A propensity score matching analysis. J. Cardiothorac. Surg. 2019, 14, 167. [Google Scholar] [CrossRef] [PubMed]
- Song, Z.; Lin, B.; Li, B.; He, C.; Zhang, B.; Shao, L.; Zhang, Y. Preoperative elevation of serum C-reactive protein as an indicator of poor prognosis for early-stage esophageal squamous cell carcinoma. Kaohsiung J. Med. Sci. 2013, 29, 662–666. [Google Scholar] [CrossRef] [PubMed]
- Nießen, A.; Schimmack, S.; Sandini, M.; Fliegner, D.; Hinz, U.; Lewosinska, M.; Hackert, T.; Büchler, M.W.; Strobel, O. C-reactive protein independently predicts survival in pancreatic neuroendocrine neoplasms. Sci. Rep. 2021, 11, 23768. [Google Scholar] [CrossRef]
- Primavesi, F.; Andreasi, V.; Hoogwater, F.J.; Partelli, S.; Wiese, D.; Heidsma, C.; Cardini, B.; Klieser, E.; Marsoner, K.; Fröschl, U.; et al. A Preoperative Clinical Risk Score Including C-Reactive Protein Predicts Histological Tumor Characteristics and Patient Survival after Surgery for Sporadic Non-Functional Pancreatic Neuroendocrine Neoplasms: An International Multicenter Cohort Study. Cancers 2020, 12, 1235. [Google Scholar] [CrossRef] [PubMed]
- Szkandera, J.; Stotz, M.; Absenger, G.; Stojakovic, T.; Samonigg, H.; Kornprat, P.; Schaberl-Moser, R.; AlZoughbi, W.; Lackner, C.; Ress, A.L.; et al. Validation of C-reactive protein levels as a prognostic indicator for survival in a large cohort of pancreatic cancer patients. Br. J. Cancer 2014, 110, 183–188. [Google Scholar] [CrossRef]
- van Wijk, L.; de Klein, G.W.; Kanters, M.A.; Patijn, G.A.; Klaase, J.M. The ultimate preoperative C-reactive protein-to-albumin ratio is a prognostic factor for survival after pancreatic cancer resection. Eur. J. Med. Res. 2020, 25, 46. [Google Scholar] [CrossRef]
- Hashimoto, K.; Nishimura, S.; Shinyashiki, Y.; Ito, T.; Akagi, M. Characterizing inflammatory markers in highly aggressive soft tissue sarcomas. Medicine 2022, 101, e30688. [Google Scholar] [CrossRef]
- Szkandera, J.; Gerger, A.; Liegl-Atzwanger, B.; Absenger, G.; Stotz, M.; Samonigg, H.; Maurer-Ertl, W.; Stojakovic, T.; Ploner, F.; Leithner, A.; et al. Validation of the prognostic relevance of plasma C-reactive protein levels in soft-tissue sarcoma patients. Br. J. Cancer 2013, 109, 2316–2322. [Google Scholar] [CrossRef][Green Version]
- Nakanishi, H.; Araki, N.; Kudawara, I.; Kuratsu, S.; Matsumine, A.; Mano, M.; Naka, N.; Myoui, A.; Ueda, T.; Yoshikawa, H. Clinical implications of serum C-reactive protein levels in malignant fibrous histiocytoma. Int. J. Cancer 2002, 99, 167–170. [Google Scholar] [CrossRef]
- Strojnik, T.; Smigoc, T.; Lah, T.T. Prognostic value of erythrocyte sedimentation rate and C-reactive protein in the blood of patients with glioma. Anticancer Res. 2014, 34, 339–347. [Google Scholar] [PubMed]
- Tolia, M.; Tsoukalas, N.; Kyrgias, G.; Mosa, E.; Maras, A.; Kokakis, I.; Liakouli, Z.; Kouvaris, J.R.; Liaskonis, K.; Charalampakis, N.; et al. Prognostic Significance of Serum Inflammatory Response Markers in Newly Diagnosed Non-Small Cell Lung Cancer before Chemoirradiation. BioMed Res. Int. 2015, 2015, 485732. [Google Scholar] [CrossRef] [PubMed]
- Schwameis, R.; Grimm, C.; Petru, E.; Natter, C.; Staudigl, C.; Lamm, W.; Koelbl, H.; Krainer, M.; Brodowicz, T.; Reinthaller, A.; et al. The Prognostic Value of C-Reactive Protein Serum Levels in Patients with Uterine Leiomyosarcoma. PLoS ONE 2015, 10, e0133838. [Google Scholar] [CrossRef] [PubMed]
- Bustamante-Lopez, L.A.; Nahas, S.C.; Nahas, C.S.R.; Pinto, R.A.; Marques, C.F.S.; Cecconello, I. Is there a difference between right- versus left-sided colon cancers? Does side make any difference IN long-term follow-up? ABCD Arq. Bras. Cir. Dig. 2019, 32, e1479. [Google Scholar] [CrossRef] [PubMed]
- Plastiras, A.; Iosif, E.; Georgiou, G.; Haji, A.; Haq, A.; Papagrigoriadis, S.; Nunoo-Mensah, J.W. Right versus left Colon cancer: Is there a difference in outcomes? World J. Color. Surg. 2019, 8, 14. [Google Scholar] [CrossRef]
- Kiss, L.; Kiss, R.; Porr, P.J.; Nica, C.; Bardac, O.; Tănăsescu, C.; Bărbulescu, B.; Bundache, M.; Ilie, S.; Maniu, D.; et al. Pathological evidence in support of total mesorectal excision in the management of rectal cancer. Chirurgia 2011, 106, 347–352. [Google Scholar] [PubMed]
- Hodges, N.; Mackenzie, H.; D’Souza, N.; Brown, G.; Miskovic, D. Survival outcomes for right-versus left-sided colon cancer and rectal cancer in England: A propensity-score matched population-based cohort study. Eur. J. Surg. Oncol. 2022, 48, 841–849. [Google Scholar] [CrossRef]
- Glynne-Jones, R.; Wyrwicz, L.; Tiret, E.; Brown, G.; Rödel, C.; Cervantes, A.; Arnold, D. Rectal Cancer: ESMO Clinical Practice Guideline for Diagnosis, treatment and follow-up. In ESMO Lower Gastrointestinal Cancers Pocket Guideline 2023; European Society for Medical Oncology (ESMO): Lugano, Switzerland, 2023; p. 12. [Google Scholar]
- Clark, S.B.; Alsubait, S. Non–Small Cell Lung Cancer. In StatPearls; StatPearls Publishing: Treasure Island, FL, USA, 2024. Available online: http://www.ncbi.nlm.nih.gov/books/NBK562307/ (accessed on 9 May 2024).
- Mouliou, D.S. C-Reactive Protein: Pathophysiology, Diagnosis, False Test Results and a Novel Diagnostic Algorithm for Clinicians. Diseases 2023, 11, 132. [Google Scholar] [CrossRef]
- Hart, P.C.; Rajab, I.M.; Alebraheem, M.; Potempa, L.A. C-Reactive Protein and Cancer—Diagnostic and Therapeutic Insights. Front. Immunol. 2020, 11, 595835. [Google Scholar] [CrossRef]
- Aggerholm-Pedersen, N.; Baad-Hansen, T.; Møller, H.J.; Sandfeld-Paulsen, B. Role of high-sensitivity C-reactive protein in patients with sarcoma. Oncol. Lett. 2023, 26, 531. [Google Scholar] [CrossRef]
- Kim, E.-S.; Kim, S.Y.; Moon, A. C-Reactive Protein Signaling Pathways in Tumor Progression. Biomol. Ther. 2023, 31, 473–483. [Google Scholar] [CrossRef]
- Ray, A.; Moore, T.F.; Pandit, R.; Burke, A.D.; Borsch, D.M. An Overview of Selected Bacterial Infections in Cancer, Their Virulence Factors, and Some Aspects of Infection Management. Biology 2023, 12, 963. [Google Scholar] [CrossRef] [PubMed]
- Mirham, L.; Hanna, J.; Yousef, G.M. Addressing the Diagnostic Miscommunication in Pathology. Am. J. Clin. Pathol. 2021, 156, 521–528. [Google Scholar] [CrossRef] [PubMed]
- Ward, W.H.; DeMora, L.; Handorf, E.; Sigurdson, E.R.; Ross, E.A.; Daly, J.M.; Aggon, A.A.; Bleicher, R.J. Preoperative Delays in the Treatment of DCIS and the Associated Incidence of Invasive Breast Cancer. Ann. Surg. Oncol. 2020, 27, 386–396. [Google Scholar] [CrossRef] [PubMed]
- Nayak, N.; Chang, H.; Borowsky, A.; Spellman, P.; Parvin, B. Classification of tumor histopathology via sparse feature learning. In Proceedings of the 2013 IEEE 10th International Symposium on Biomedical Imaging, San Francisco, CA, USA, 7–11 April 2013; IEEE: Piscataway, NJ, USA, 2013; pp. 410–413. Available online: http://ieeexplore.ieee.org/document/6556499/ (accessed on 11 May 2024).
- Tanasescu, D.; Moisin, A.; Fleaca, R.; Popa, C.; Bacila, C.; Mohor, C.; Gherman, C.D.; Gaspar, B.; Tanasescu, C. Modern therapeutic options in diabetic foot ulcer. J. Mind Med. Sci. 2022, 9, 285–293. [Google Scholar] [CrossRef]
- Pulumati, A.; Pulumati, A.; Dwarakanath, B.S.; Verma, A.; Papineni, R.V.L. Technological advancements in cancer diagnostics: Improvements and limitations. Cancer Rep. 2023, 6, e1764. [Google Scholar] [CrossRef]
- Nassar, Y.M.; Ojara, F.W.; Pérez-Pitarch, A.; Geiger, K.; Huisinga, W.; Hartung, N.; Michelet, R.; Holdenrieder, S.; Joerger, M.; Kloft, C. C-Reactive Protein as an Early Predictor of Efficacy in Advanced Non-Small-Cell Lung Cancer Patients: A Tumor Dynamics-Biomarker Modeling Framework. Cancers 2023, 15, 5429. [Google Scholar] [CrossRef]


| Author, Year | Tumor Location | Histopathological Type | Statistical Significance | No. of Patients | Mean CRP Value | Predominant Grading |
|---|---|---|---|---|---|---|
| Hamidi N, Gökçe MI, Süer E, et al., 2015 [18] | Renal | Clear cell carcinoma | Yes, (p = 0.0001) | 116 | 0.818 mg/L | G1–G2 |
| Hidayat F, Labeda I, Sampetoding S, et al., 2021 [19] | Colorectal | Adenocarcinoma | Yes, (p = 0.005) | 46 | 34.10 mg/L | G2 |
| Huang L, Liu J, Huang X; et al., 2021 [20] | Colorectal | Adenocarcinoma | Yes, (p < 0.001) | 2471 | 29.41 mg/L | G2 |
| Kersten C, Louhimo J, Ålgars A; et al., 2013 [21] | Colon | Adenocarcinoma | Yes | 525 | >30 mg/L | G3 |
| Huang W, Wu L, Liu X, et al., 2019 [22] | Esophagus | Squamous carcinoma | No, (p = 0.086) | 961 | 18.92 mg/L | G2 |
| Song ZB, Lin BC, Li B, et al., 2013 [23] | Esophagus | Squamous cell carcinoma | Yes, (p = 0.034) | 156 | <5 mg/L | G1/G2 |
| Nießen A, Schimmack S, Sandini M, et al., 2021 [24] | Pancreas | Neuroendocrine tumor | Yes, (p < 0.001) | 559 | Low: <5 mg/L | G1 |
| Primavesi F, Andreasi V, Hoogwater FJH, et al., 2020 [25] | Pancreas | Neuroendocrine tumor | Yes, (p = 0.004) | 364 | 0.25 mg/L | G1 |
| Szkandera J, Stotz M, Absenger G, et al., 2014 [26] | Pancreas | Adenocarcinoma | Yes, (p < 0.05) | 474 | 23.2 mg/L | High grade |
| van Wijk L, de Klein GW, Kanters MA, et al., 2020 [27] | Pancreas | Adenocarcinoma | Yes (p < 0.001) | 163 | >1 mg/dL (>10 mg/L) | G3 |
| Hashimoto K, Nishimura S, Shinyashiki Y, et al., 2022 [28] | Soft tissue of the torso and upper and lower limbs | Soft tissue sarcoma | Yes, (p = 0.008) | 22 | 1.69 mg/L | G3 |
| Szkandera J, Gerger A, Liegl-Atzwanger B, et al., 2013 [29] | Soft tissue | Sarcoma | Yes, (p < 0.05) | 304 | 3.3 mg/L | G3 |
| Nakanishi H, Araki N, Kudawara I, et al., 2002 [30] | Soft tissue—mesenchymal | Malignant fibrous histiocytoma | Yes, (p < 0.005) | 46 | 3.7 mg/dL (37 mg/L) | G3 |
| Strojnik T, Smigoc T, Lah TT; 2014 [31] | Brain | Glioma | Yes, (p = 0.02) | 165 | >5 mg/L | High grade |
| Tolia M, Tsoukalas N, Kyrgias G, et al., 2015 [32] | Non small-cell lung cancer | Not specified | Yes, (p < 0.001) | 100 | 23.1 mg/L | G1/G2 |
| Zhang W, Zhang Z, Qian L; 2024 [14] | Ovarian | Not specified | Yes, (p = 0.040) | 3202 | High | G3 |
| Schwameis R, Grimm C, Petru E, et al., 2015 [33] | Uterus | Leiomyosarcoma | No, (p = 0.07) | 53 | 3.46 mg/dL (34.6 mg/L) | G3 |
Disclaimer/Publisher’s Note: The statements, opinions and data contained in all publications are solely those of the individual author(s) and contributor(s) and not of MDPI and/or the editor(s). MDPI and/or the editor(s) disclaim responsibility for any injury to people or property resulting from any ideas, methods, instructions or products referred to in the content. |
© 2024 by the authors. Licensee MDPI, Basel, Switzerland. This article is an open access article distributed under the terms and conditions of the Creative Commons Attribution (CC BY) license (https://creativecommons.org/licenses/by/4.0/).
Share and Cite
Șiancu, P.; Oprinca, G.-C.; Vulcu, A.-C.; Pătran, M.; Croitoru, A.E.; Tănăsescu, D.; Bratu, D.; Boicean, A.; Tănăsescu, C. The Significance of C-Reactive Protein Value and Tumor Grading for Malignant Tumors: A Systematic Review. Diagnostics 2024, 14, 2073. https://doi.org/10.3390/diagnostics14182073
Șiancu P, Oprinca G-C, Vulcu A-C, Pătran M, Croitoru AE, Tănăsescu D, Bratu D, Boicean A, Tănăsescu C. The Significance of C-Reactive Protein Value and Tumor Grading for Malignant Tumors: A Systematic Review. Diagnostics. 2024; 14(18):2073. https://doi.org/10.3390/diagnostics14182073
Chicago/Turabian StyleȘiancu, Paul, George-Călin Oprinca, Andra-Cecilia Vulcu, Monica Pătran, Adina Emilia Croitoru, Denisa Tănăsescu, Dan Bratu, Adrian Boicean, and Ciprian Tănăsescu. 2024. "The Significance of C-Reactive Protein Value and Tumor Grading for Malignant Tumors: A Systematic Review" Diagnostics 14, no. 18: 2073. https://doi.org/10.3390/diagnostics14182073
APA StyleȘiancu, P., Oprinca, G.-C., Vulcu, A.-C., Pătran, M., Croitoru, A. E., Tănăsescu, D., Bratu, D., Boicean, A., & Tănăsescu, C. (2024). The Significance of C-Reactive Protein Value and Tumor Grading for Malignant Tumors: A Systematic Review. Diagnostics, 14(18), 2073. https://doi.org/10.3390/diagnostics14182073

