PRAME Immunohistochemistry in Thin Melanomas Compared to Melanocytic Nevi
Abstract
1. Introduction
2. Materials and Methods
2.1. Study Design and Patients
2.2. Immunohistochemistry
2.3. Statistical Analysis
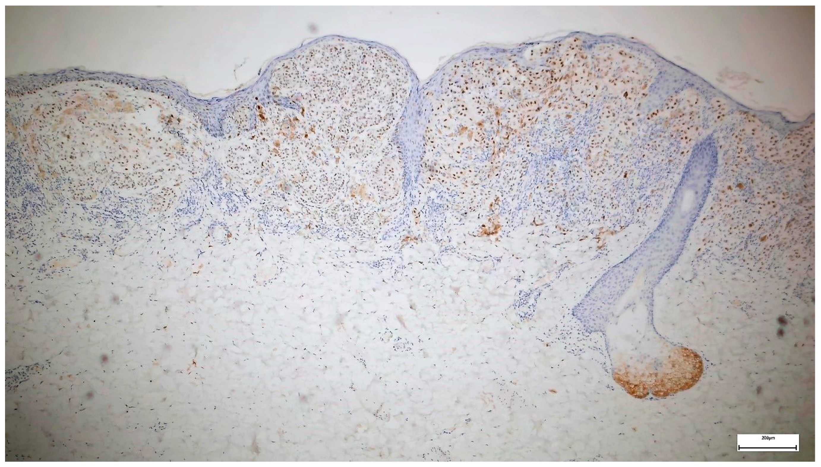
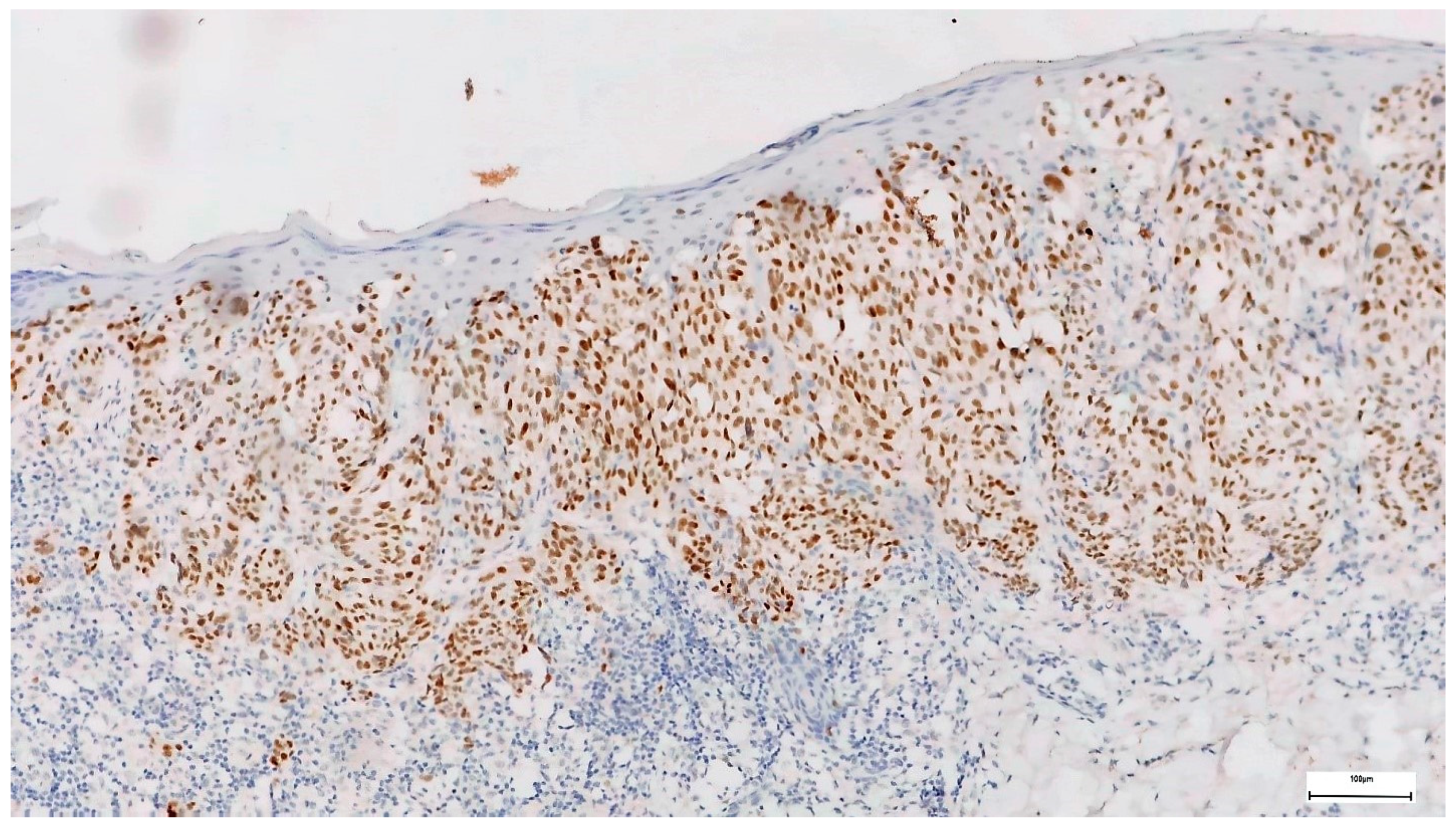
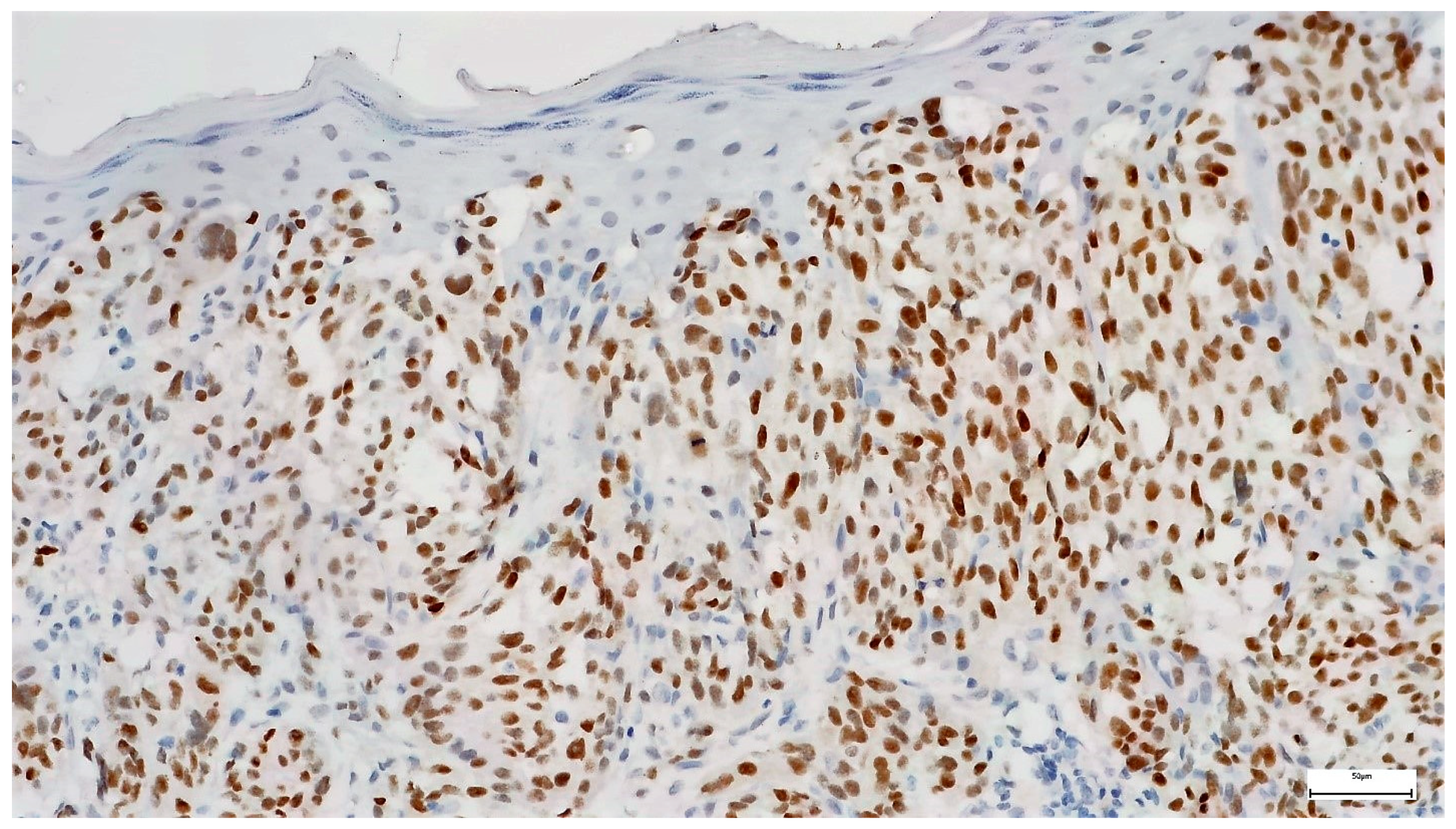
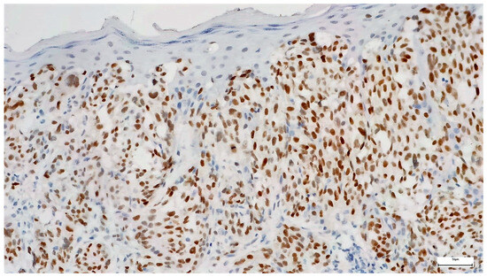
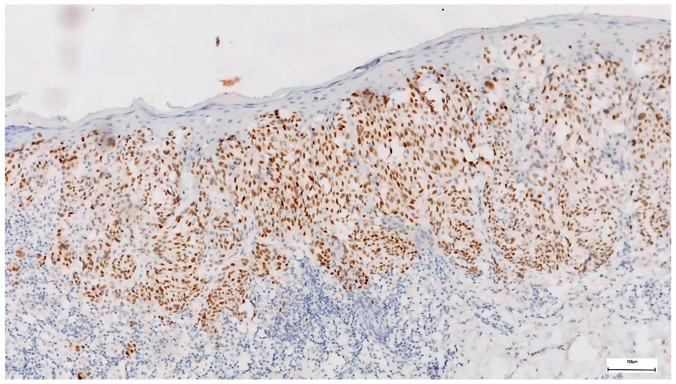
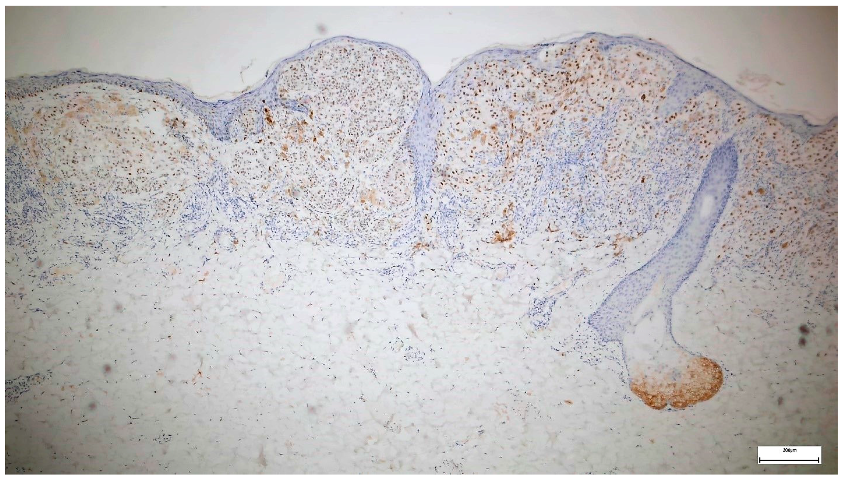
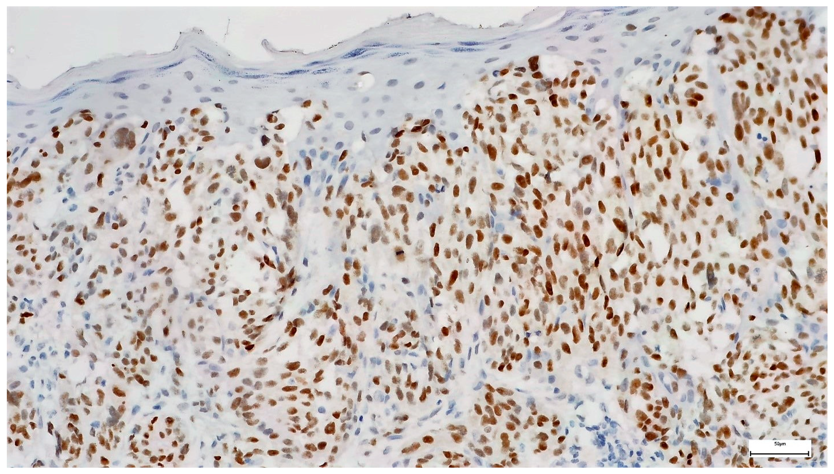
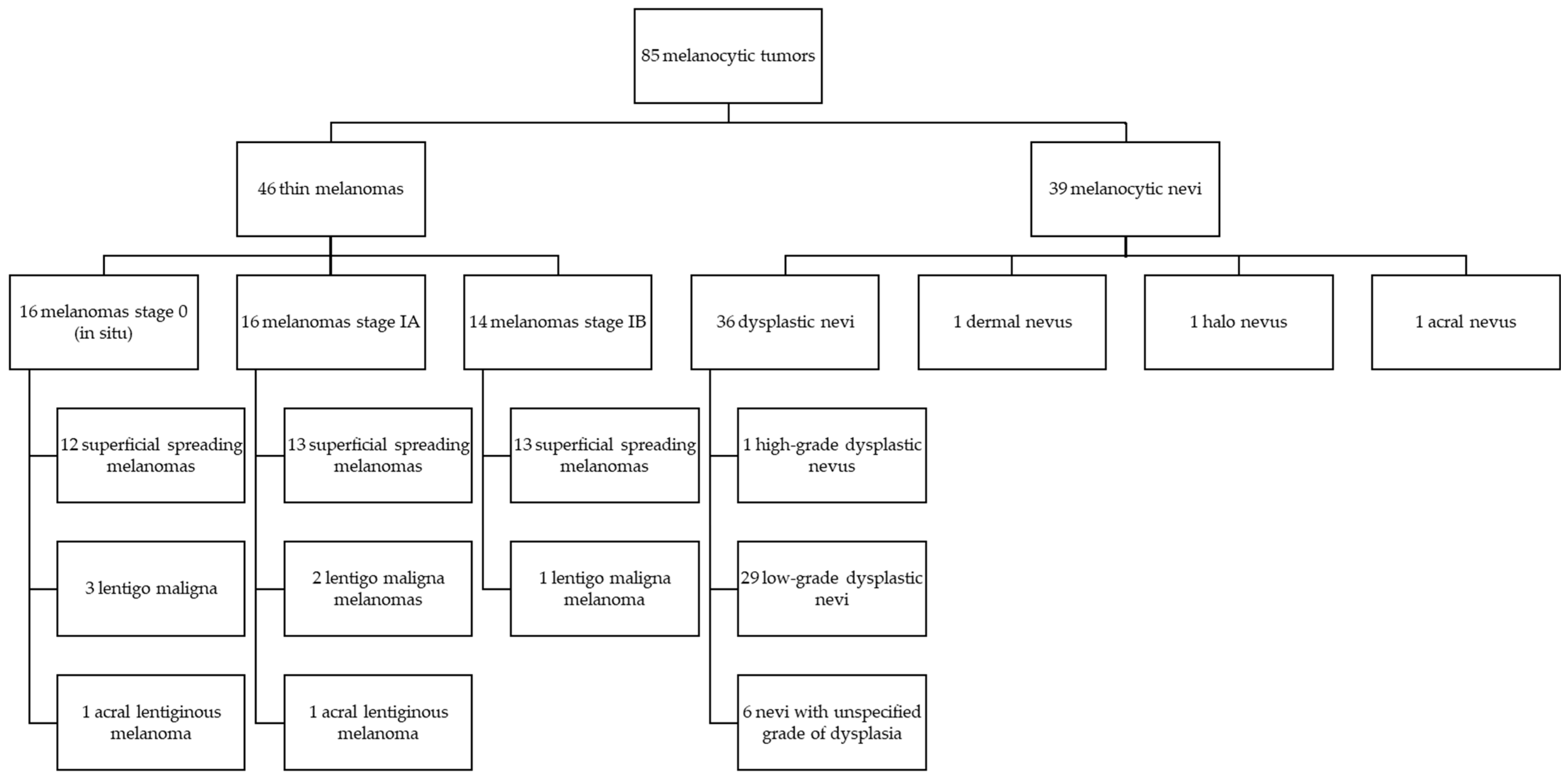
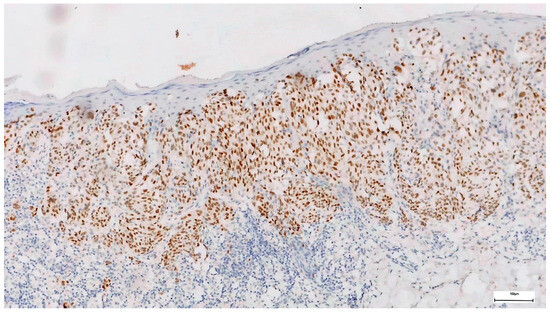
3. Results
4. Discussion
4.1. PRAME Staining in Melanoma
4.2. PRAME Staining in Melanocytic Nevi
4.3. Interpretation of PRAME Staining
5. Conclusions
Author Contributions
Funding
Institutional Review Board Statement
Informed Consent Statement
Data Availability Statement
Conflicts of Interest
References
- Lezcano, C.; Jungbluth, A.A.; Nehal, K.S.; Hollmann, T.J.; Busam, K.J. PRAME Expression in Melanocytic Tumors. Am. J. Surg. Pathol. 2018, 42, 1456–1465. [Google Scholar] [CrossRef]
- WHO Classification. Available online: https://www.pathologyoutlines.com/topic/skintumormelanocyticWHO.html (accessed on 4 September 2024).
- Rawson, R.V.; Shteinman, E.R.; Ansar, S.; Vergara, I.A.; Thompson, J.F.; Long, G.V.; Scolyer, R.A.; Wilmott, J.S. Diagnostic Utility of PRAME, P53 and 5-hmC Immunostaining for Distinguishing Melanomas from Naevi, Neurofibromas, Scars and Other Histological Mimics. R. North. Shore Mater. Hosp. 2022, 4, 863–873. [Google Scholar] [CrossRef]
- Lezcano, C.; Jungbluth, A.A.; Busam, K.J. PRAME Immunohistochemistry as an Ancillary Test for the Assessment of Melanocytic Lesions. Surg. Pathol. Clin. 2021, 14, 165–175. [Google Scholar] [CrossRef]
- Koh, S.S.; Lau, S.K.; Scapa, J.V.; Cassarino, D.S. PRAME Immunohistochemistry of Spitzoid Neoplasms. J. Cutan. Pathol. 2022, 49, 709–716. [Google Scholar] [CrossRef]
- Gerami, P.; Benton, S.; Zhao, J.; Zhang, B.; Lampley, N.; Roth, A.; Boutko, A.; Olivares, S.; Busam, K.J. PRAME Expression Correlates with Genomic Aberration and Malignant Diagnosis of Spitzoid Melanocytic Neoplasms. Am. J. Dermatopathol. 2022, 44, 575. [Google Scholar] [CrossRef]
- Raghavan, S.S.; Wang, J.Y.; Kwok, S.; Rieger, K.E.; Novoa, R.A.; Brown, R.A. PRAME Expression in Melanocytic Proliferations with Intermediate Histopathologic or Spitzoid Features. J. Cutan. Pathol. 2020, 47, 1123–1131. [Google Scholar] [CrossRef]
- Turner, N.; Ko, C.J.; McNiff, J.M.; Galan, A. Pitfalls of PRAME Immunohistochemistry in a Large Series of Melanocytic and Nonmelanocytic Lesions With Literature Review. Am. J. Dermatopathol. 2024, 46, 21–30. [Google Scholar] [CrossRef]
- Alomari, A.K.; Tharp, A.W.; Umphress, B.; Kowal, R.P. The Utility of PRAME Immunohistochemistry in the Evaluation of Challenging Melanocytic Tumors. J. Cutan. Pathol. 2021, 48, 1115–1123. [Google Scholar] [CrossRef]
- Lezcano, C.; Jungbluth, A.A.; Busam, K.J. Comparison of Immunohistochemistry for PRAME with Cytogenetic Test Results in the Evaluation of Challenging Melanocytic Tumors. Am. J. Surg. Pathol. 2020, 44, 893. [Google Scholar] [CrossRef]
- Warbasse, E.; Mehregan, D.; Utz, S.; Stansfield, R.B.; Abrams, J. PRAME Immunohistochemistry Compared to Traditional FISH Testing in Spitzoid Neoplasms and Other Difficult to Diagnose Melanocytic Neoplasms. Front. Med. 2023, 10, 1265827. [Google Scholar] [CrossRef]
- McAfee, J.L.; Scarborough, R.; Jia, X.S.; Azzato, E.M.; Astbury, C.; Ronen, S.; Andea, A.A.; Billings, S.D.; Ko, J.S. Combined Utility of P16 and BRAF V600E in the Evaluation of Spitzoid Tumors: Superiority to PRAME and Correlation with FISH. J. Cutan. Pathol. 2023, 50, 155–168. [Google Scholar] [CrossRef]
- Gradecki, S.E.; Valdes-Rodriguez, R.; Wick, M.R.; Gru, A.A. PRAME Immunohistochemistry as an Adjunct for Diagnosis and Histological Margin Assessment in Lentigo Maligna. Histopathology 2021, 78, 1000–1008. [Google Scholar] [CrossRef]
- De Wet, J.; Plessis, P.J.D.; Schneider, J.W. Staged Excision of Lentigo Maligna of the Head and Neck: Assessing Surgical Excision Margins With Melan A, SOX10, and PRAME Immunohistochemistry. Am. J. Dermatopathol. 2023, 45, 107–112. [Google Scholar] [CrossRef]
- Bittar, P.G.; Bittar, J.M.; Etzkorn, J.R.; Brewer, J.D.; Aizman, L.; Shin, T.M.; Sobanko, J.F.; Higgins, H.W.; Giordano, C.N.; Cohen, J.V.; et al. Systematic Review and Meta-Analysis of Local Recurrence Rates of Head and Neck Cutaneous Melanomas after Wide Local Excision, Mohs Micrographic Surgery, or Staged Excision. J. Am. Acad. Dermatol. 2021, 85, 681–692. [Google Scholar] [CrossRef]
- Salih, R.; Ismail, F.; Orchard, G.E. Double Immunohistochemical Labelling of PRAME and Melan A in Slow Mohs Biopsy Margin Assessment of Lentigo Maligna and Lentigo Maligna Melanoma. Br. J. Biomed. Sci. 2024, 81, 12319. [Google Scholar] [CrossRef]
- Grillini, M.; Ricci, C.; Pino, V.; Pedrini, S.; Fiorentino, M.; Corti, B. HMB45/PRAME, a Novel Double Staining for the Diagnosis of Melanocytic Neoplasms: Technical Aspects, Results, and Comparison With Other Commercially Available Staining (PRAME and Melan A/PRAME). Appl. Immunohistochem. Mol. Morphol. 2022, 30, 14–18. [Google Scholar] [CrossRef]
- Carvajal, P.; Zoroquiain, P. PRAME/MELAN-A Double Immunostaining as a Diagnostic Tool for Conjunctival Melanocytic Lesions: A South American Experience. Pathol. Res. Pract. 2023, 250, 154776. [Google Scholar] [CrossRef]
- Ricci, C.; Dika, E.; Ambrosi, F.; Lambertini, M.; Veronesi, G.; Barbara, C. Cutaneous Melanomas: A Single Center Experience on the Usage of Immunohistochemistry Applied for the Diagnosis. Int. J. Mol. Sci. 2022, 23, 5911. [Google Scholar] [CrossRef]
- Lezcano, C.; Pulitzer, M.; Moy, A.P.; Hollmann, T.J.; Jungbluth, A.A.; Busam, K.J. Immunohistochemistry for PRAME in the Distinction of Nodal Nevi From Metastatic Melanoma. Am. J. Surg. Pathol. 2020, 44, 503–508. [Google Scholar] [CrossRef]
- Rasic, D.; Korsgaard, N.; Marcussen, N.; Precht Jensen, E.M. Diagnostic Utility of Combining PRAME and HMB-45 Stains in Primary Melanocytic Tumors. Ann. Diagn. Pathol. 2023, 67, 152211. [Google Scholar] [CrossRef]
- Bahmad, H.F.; Oh, K.S.; Alexis, J. Potential Diagnostic Utility of PRAME and P16 Immunohistochemistry in Melanocytic Nevi and Malignant Melanoma. J. Cutan. Pathol. 2023, 50, 763–772. [Google Scholar] [CrossRef]
- Parra, O.; Ma, W.; Li, Z.; Coffing, B.N.; Linos, K.; LeBlanc, R.E.; Momtahen, S.; Sriharan, A.; Cloutier, J.M.; Wells, W.A.; et al. PRAME Expression in Cutaneous Melanoma Does Not Correlate with Disease-Specific Survival. J. Cutan. Pathol. 2023, 50, 903–912. [Google Scholar] [CrossRef]
- Lo Bello, G.; Pini, G.M.; Giagnacovo, M.; Patriarca, C. PRAME Expression in 137 Primary Cutaneous Melanomas and Comparison with 38 Related Metastases. Pathol. Res. Pract. 2023, 251, 154915. [Google Scholar] [CrossRef]
- Gassenmaier, M.; Hahn, M.; Metzler, G.; Bauer, J.; Yazdi, A.S.; Keim, U.; Garbe, C.; Wagner, N.B.; Forchhammer, S. Diffuse Prame Expression Is Highly Specific for Thin Melanomas in the Distinction from Severely Dysplastic Nevi but Does Not Distinguish Metastasizing from Non-Metastasizing Thin Melanomas. Cancers 2021, 13, 3864. [Google Scholar] [CrossRef]
- Tio, D.; Willemsen, M.; Krebbers, G.; Kasiem, F.R.; Hoekzema, R.; Van Doorn, R.; Bekkenk, M.W.; Luiten, R.M. Differential Expression of Cancer Testis Antigens on Lentigo Maligna and Lentigo Maligna Melanoma. Am. J. Dermatopathol. 2020, 42, 625–627. [Google Scholar] [CrossRef]
- Parra, O.; Linos, K.; Li, Z.; Yan, S. PRAME Expression in Melanocytic Lesions of the Nail. J. Cutan. Pathol. 2022, 49, 610–617. [Google Scholar] [CrossRef]
- Rothrock, A.T.; Torres-Cabala, C.A.; Milton, D.R.; Cho, W.C.; Nagarajan, P.; Vanderbeck, K.; Curry, J.L.; Ivan, D.; Prieto, V.G.; Aung, P.P. Diagnostic Utility of PRAME Expression by Immunohistochemistry in Subungual and Non-Subungual Acral Melanocytic Lesions. J. Cutan. Pathol. 2022, 49, 859–867. [Google Scholar] [CrossRef]
- McBride, J.D.; McAfee, J.L.; Piliang, M.; Bergfeld, W.F.; Fernandez, A.P.; Ronen, S.; Billings, S.D.; Ko, J.S. Preferentially Expressed Antigen in Melanoma and P16 Expression in Acral Melanocytic Neoplasms. J. Cutan. Pathol. 2022, 49, 220–230. [Google Scholar] [CrossRef]
- Cazzato, G.; Cascardi, E.; Colagrande, A.; Belsito, V.; Lospalluti, L.; Foti, C.; Arezzo, F.; Dellino, M.; Casatta, N.; Lupo, C.; et al. PRAME Immunoexpression in 275 Cutaneous Melanocytic Lesions: A Double Institutional Experience. Diagnostics 2022, 12, 2197. [Google Scholar] [CrossRef]
- Innocenti, L.; Scarpitta, R.; Corraro, S.; Ortenzi, V.; Bonadio, A.G.; Loggini, B.; De Ieso, K.; Naccarato, A.G.; Fanelli, G.N.; Scatena, C. Shedding Light on PRAME Expression in Dysplastic Nevi: A Cohort Study. Virchows Arch. 2023, 485, 97–104. [Google Scholar] [CrossRef]
- Kunc, M.; Żemierowska, N.; Skowronek, F.; Biernat, W. Diagnostic Test Accuracy Meta-Analysis of PRAME in Distinguishing Primary Cutaneous Melanomas from Benign Melanocytic Lesions. Histopathology 2023, 83, 3–14. [Google Scholar] [CrossRef]
- O’Connor, M.K.; Dai, H.; Fraga, G.R. PRAME Immunohistochemistry for Melanoma Diagnosis: A STARD-Compliant Diagnostic Accuracy Study. J. Cutan. Pathol. 2022, 49, 780–786. [Google Scholar] [CrossRef]
- Umano, G.R.; Errico, M.E.; D’Onofrio, V.; Delehaye, G.; Trotta, L.; Spinelli, C.; Strambi, S.; Franco, R.; D’Abbronzo, G.; Ronchi, A.; et al. The Challenge of Melanocytic Lesions in Pediatric Patients: Clinical-Pathological Findings and the Diagnostic Value of PRAME. Front. Oncol. 2021, 11, 688410. [Google Scholar] [CrossRef]
- Forchhammer, S.; Aebischer, V.; Lenders, D.; Seitz, C.M.; Schroeder, C.; Liebmann, A.; Abele, M.; Wild, H.; Bien, E.; Krawczyk, M.; et al. Characterization of PRAME Immunohistochemistry Reveals Lower Expression in Pediatric Melanoma Compared to Adult Melanoma. Pigment. Cell Melanoma Res. 2024, 37, 453–461. [Google Scholar] [CrossRef]




| Melanocytic Neoplasms | Subtypes | |
|---|---|---|
| Melanocytic Neoplasms in Intermittently Sun-Exposed Skin | Nevi | Junctional, compound and dermal nevi |
| Simple lentigo and lentiginous melanocytic nevus | ||
| Dysplastic nevus | ||
| Nevus spilus | ||
| Special-site nevus (of the breast, axilla, scalp and ear) | ||
| Halo nevus | ||
| Meyerson nevus | ||
| Recurrent nevus | ||
| Combined nevus | ||
| Melanocytomas | WNT-activated deep-penetrating/plexiform melanocytoma (nevus) | |
| Pigmented epithelioid melanocytoma | ||
| BAP1-inactivated melanocytoma | ||
| MITF pathway-activated melanocytic tumor | ||
| Melanomas in intermittently sun-exposed skin | Melanoma on skin with low cumulative sun damage (low CSD); includes superficial spreading melanoma | |
| Melanocytic Neoplasms in Chronically Sun-Exposed Skin | Lentigo maligna melanomas | |
| Desmoplastic melanomas | ||
| Spitz Tumors | Spitz nevi | Pigmented spindle cell nevus (Reed nevus) |
| Spitz nevus | ||
| Spitz melanocytomas | Spitz melanocytoma (atypical Spitz tumor) | |
| Spitz melanomas | ||
| Melanocytic Tumors in Acral Skin | Acral nevi | |
| Acral melanomas | ||
| Genital and Mucosal Melanocytic Tumors | Mucosal and genital nevi | Melanosis |
| Genital nevus | ||
| Mucosal melanomas | ||
| Blue Nevi and Related Tumors | Blue nevi and melanocytoses | Nevus of Ito and nevus of Ota |
| Congenital dermal melanocytosis | ||
| Blue nevus | ||
| Melanomas arising in blue nevi | ||
| Congenital Melanocytic Tumors | Congenital nevi | Congenital melanocytic nevus |
| Proliferative nodules in congenital melanocytic nevus | ||
| Melanomas arising in congenital nevi | Melanoma arising in giant congenital nevus | |
| Ocular and Central Nervous System (CNS) Melanocytic Tumors | Conjunctival melanocytic tumors | Conjunctival nevus |
| Conjunctival melanocytic intraepithelial lesion | ||
| Conjunctival melanoma | ||
| Uveal melanocytic tumors | Uveal melanocytoma | |
| Uveal melanoma | ||
| CNS melanocytic tumors | Diffuse meningeal melanocytic neoplasms: melanocytosis and melanomatosis | |
| Circumscribed meningeal melanocytic neoplasms: melanocytoma and melanoma | ||
| Nodular, Nevoid and MetaStatic Melanomas | Nodular and other melanomas | Nodular melanoma |
| Nevoid melanoma | ||
| Dermal melanoma | ||
| Metastatic melanomas | Melanoma metastatic to the skin | |
| Melanoma metastatic to other organs |
| Nevi | Melanomas | p-Value | ||
|---|---|---|---|---|
| Staining percentage N (%) | 0% (0) | 25 (64.1) | 4 (8.7) | <0.001 |
| 1–25% (1+) | 8 (20.51) | 7 (15.22) | ||
| 26–50% (2+) | 6 (15.38) | 19 (41.3) | ||
| 51–75% (3+) | 0 (0) | 4 (8.7) | ||
| >76% (4+) | 0 (0) | 12 (26.09) | ||
| Staining percentage N (%) | 0, 1+, 2+ | 39 (100) | 30 (65.22) | <0.001 |
| 3+, 4+ | 0 (0) | 16 (34.78) | ||
| Staining percentage N (%) | 0, 1+, 2+,3+ | 39 (100) | 34 (73.91) | 0.001 |
| 4+ | 0 (0) | 12 (26.09) | ||
| Color intensity N (%) | 1 | 11 (78.57) | 24 (57.14) | 0.202 |
| 2 | 3 (21.43) | 11 (26.19) | ||
| 3 | 0 (0) | 7 (16.67) |
| Variable | Melanoma PRAME Staining Groups 0, 1+, 2+ and 3+ N = 34 | Melanoma PRAME Staining Group 4+ N = 12 | p-Value | ||
|---|---|---|---|---|---|
| Sex N (%) | F | 14 (41.18) | 4 (33.33) | 0.632 $ | |
| M | 20 (58.82) | 8 (66.67) | |||
| Age [years] Median ± sd | 58.68 ± 13.82 | 54.42 ± 15 | 0.374 # | ||
| Localization N (%) | Head and neck | 8 (23.53) | 0 | 0.111 $ | |
| Trunk | 16 (47.06) | 8 (66.67) | |||
| Upper limb | 3 (8.82) | 3 (25) | |||
| Lower limb | 7 (20.59) | 1 (8.33) | |||
| Histopathological subtype N (%) | SSM | 26 (76.47) | 12 (100) | 0.332 $ | |
| LMM | 3 (8.82) | 0 | |||
| LM | 3 (8.82) | 0 | |||
| ALM | 2 (5.88) | 0 | |||
| Vertical growth N (%) | No | 26 (76.47) | 5 (41.67) | 0.027 $ | |
| Yes | 8 (23.53) | 7 (58.33) | |||
| Stage N (%) | In situ | 14 (41.18) | 2 (16.67) | 0.167 $ | |
| IA | 12 (35.29) | 4 (33.33) | |||
| IB | 8 (23.53) | 6 (50) | |||
| Ulceration N (%) | No | 34 (100) | 11 (91.67) | 0.089 $ | |
| Yes | 0 | 1 (8.33) | |||
| Regression N (%) | No | 27 (79.41) | 10 (83.33) | 0.768 $ | |
| Yes | 7 (20.59) | 2 (16.67) | |||
| Breslow index Median ± sd | 0.4 ± 0.36 | 0.61 ± 0.35 | 0.080 # | ||
| Mitotic rate Median ± sd | 1.38 ± 2.63 | 1.5 ± 1.57 | 0.885 # | ||
| Family history of melanoma | No | 32 (94.12) | 12 (100) | ||
| Yes | 2 (5.88) | 0 (0) | 0.390 | ||
| Personal history of melanoma | No | 28 (82.35) | 12 (100) | ||
| Yes | 6 (17.65) | 0 (0) | 0.119 | ||
| Nevus-associated melanoma | No | 26 (76.47) | 7 (58.33) | ||
| Yes | 8 (23.53) | 5 (41.67) | 0.230 | ||
| Cutoff | Sensitivity (%) | Specificity (%) | Positive Predictive Value (%) | Negative Predictive Value (%) | Accuracy (%) | Youden’s Index |
|---|---|---|---|---|---|---|
| >76% (4+) | 26% | 100% | 100% | 53% | 60% | 0.26 |
| >51% (3+, 4+) | 35% | 100% | 100% | 56% | 64% | 0.35 |
| >26% (2+, 3+, 4+) | 76% | 85% | 85% | 75% | 80% | 0.61 |
| >1% (1+, 2+, 3+, 4+) | 91% | 64% | 75% | 86% | 79% | 0.55 |
Disclaimer/Publisher’s Note: The statements, opinions and data contained in all publications are solely those of the individual author(s) and contributor(s) and not of MDPI and/or the editor(s). MDPI and/or the editor(s) disclaim responsibility for any injury to people or property resulting from any ideas, methods, instructions or products referred to in the content. |
© 2024 by the authors. Licensee MDPI, Basel, Switzerland. This article is an open access article distributed under the terms and conditions of the Creative Commons Attribution (CC BY) license (https://creativecommons.org/licenses/by/4.0/).
Share and Cite
Zboraș, I.; Ungureanu, L.; Șenilă, S.; Petrushev, B.; Zamfir, P.; Crișan, D.; Zaharie, F.A.; Vesa, Ș.C.; Cosgarea, R. PRAME Immunohistochemistry in Thin Melanomas Compared to Melanocytic Nevi. Diagnostics 2024, 14, 2015. https://doi.org/10.3390/diagnostics14182015
Zboraș I, Ungureanu L, Șenilă S, Petrushev B, Zamfir P, Crișan D, Zaharie FA, Vesa ȘC, Cosgarea R. PRAME Immunohistochemistry in Thin Melanomas Compared to Melanocytic Nevi. Diagnostics. 2024; 14(18):2015. https://doi.org/10.3390/diagnostics14182015
Chicago/Turabian StyleZboraș, Iulia, Loredana Ungureanu, Simona Șenilă, Bobe Petrushev, Paula Zamfir, Doinița Crișan, Flaviu Andrei Zaharie, Ștefan Cristian Vesa, and Rodica Cosgarea. 2024. "PRAME Immunohistochemistry in Thin Melanomas Compared to Melanocytic Nevi" Diagnostics 14, no. 18: 2015. https://doi.org/10.3390/diagnostics14182015
APA StyleZboraș, I., Ungureanu, L., Șenilă, S., Petrushev, B., Zamfir, P., Crișan, D., Zaharie, F. A., Vesa, Ș. C., & Cosgarea, R. (2024). PRAME Immunohistochemistry in Thin Melanomas Compared to Melanocytic Nevi. Diagnostics, 14(18), 2015. https://doi.org/10.3390/diagnostics14182015

