Qualitative Magnetic Resonance Imaging Assessment of the Semimembranosus Tendon in Patients with Medial Meniscal Tears
Abstract
1. Introduction
2. Materials and Methods
2.1. Ethics
2.2. Inclusion and Exclusion Criteria
2.3. MRI Imaging Technique
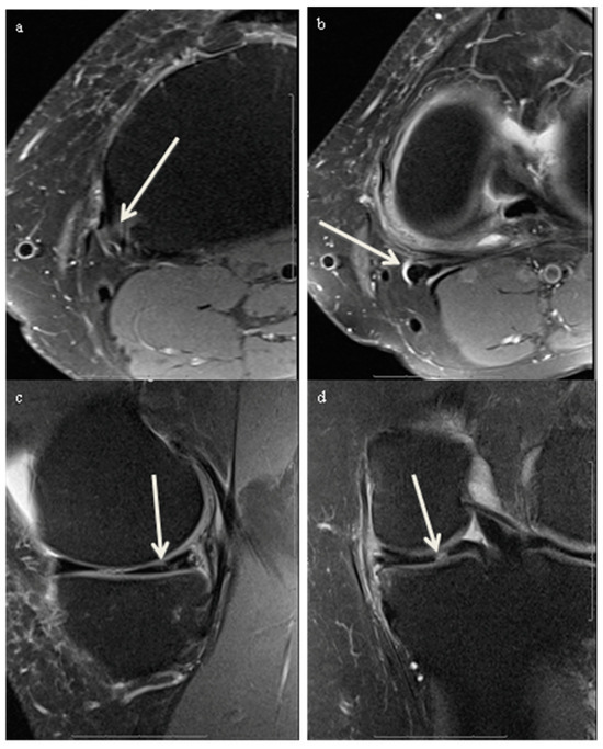
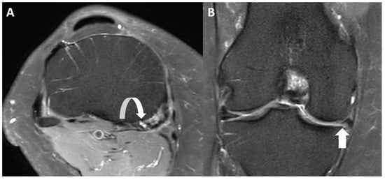
2.4. Qualitative Image Analysis
2.5. Statistical Analysis
3. Results
4. Discussion
5. Conclusions
Author Contributions
Funding
Institutional Review Board Statement
Informed Consent Statement
Data Availability Statement
Acknowledgments
Conflicts of Interest
References
- Ghosh, P.; Taylor, T.K. The knee joint meniscus. A fibrocartilage of some distinction. Clin. Orthop. Relat. Res. 1987, 224, 52–63. [Google Scholar] [CrossRef]
- Beaupré, A.; Choukroun, R.; Guidouin, R.; Garneau, R.; Gérardin, H.; Cardou, A. Knee menisci. Correlation between microstructure and biomechanics. Clin. Orthop. Relat. Res. 1986, 208, 72–75. [Google Scholar] [CrossRef] [PubMed]
- Renström, P.; Johnson, R.J. Anatomy and biomechanics of the menisci. Clin. Sports Med. 1990, 9, 523–538. [Google Scholar] [CrossRef] [PubMed]
- Walker, P.S.; Arno, S.; Bell, C.; Salvadore, G.; Borukhov, I.; Oh, C. Function of the medial meniscus in force transmission and stability. J. Biomech. 2015, 48, 1383–1388. [Google Scholar] [CrossRef] [PubMed]
- Liu, T.; Shen, X.; Ji, Q.; Xiao, J.; Zuo, J.; Gao, Z. The MRI-based 3D morphologic changes of knee meniscus under knee weight-bearing and early flexion conditions. Sci. Rep. 2021, 11, 22122. [Google Scholar] [CrossRef] [PubMed] [PubMed Central]
- Anderson, D.R.; Gershuni, D.H.; Nakhostine, M.; Danzig, L.A. The effects of non-weight-bearing and limited motion on the tensile properties of the meniscus. Arthroscopy 1993, 9, 440–445. [Google Scholar] [CrossRef] [PubMed]
- Ishii, Y.; Ishikawa, M.; Nakashima, Y.; Hayashi, S.; Kanemitsu, M.; Kurumadani, H.; Date, S.; Ueda, A.; Sunagawa, T.; Adachi, N. Association between medial meniscus extrusion under weight-bearing conditions and pain in early-stage knee osteoarthritis. J. Med. Ultrason. 2021, 48, 631–638. [Google Scholar] [CrossRef] [PubMed]
- Snoeker, B.A.; Bakker, E.W.; Kegel, C.A.; Lucas, C. Risk factors for meniscal tears: A systematic review including meta-analysis. J. Orthop. Sports Phys. Ther. 2013, 43, 352–367. [Google Scholar] [CrossRef]
- Tsutsumi, M.; Nimura, A.; Tharnmanularp, S.; Kudo, S.; Akita, K. Posteromedial capsular anatomy of the tibia for consideration of the medial meniscal support structure using a multidimensional analysis. Sci. Rep. 2023, 25, 12030. [Google Scholar] [CrossRef]
- Sederberg, M.; LaMarche, L.; Skinner, L.; Cushman, D.M. Distal semimembranosus tendinopathy: A narrative review. PM&R 2022, 14, 1010–1017. [Google Scholar] [CrossRef] [PubMed]
- De Maeseneer, M.; Shahabpour, M.; Lenchik, L.; Milants, A.; De Ridder, F.; De Mey, J.; Cattrysse, E. Distal insertions of the semimembranosus tendon: MR imaging with anatomic correlation. Skelet. Radiol. 2014, 43, 781–791. [Google Scholar] [CrossRef] [PubMed]
- Beltran, J.; Matityahu, A.; Hwang, K.; Jbara, M.; Maimon, R.; Padron, M.; Mota, J.; Beltran, L.; Sundaram, M. The distal semimembranosus complex: Normal MR anatomy, variants, biomechanics and pathology. Skelet. Radiol. 2003, 32, 435–445. [Google Scholar]
- Wang, W.; Li, Z.; Peng, H.M.; Bian, Y.Y.; Li, Y.; Qian, W.W.; Weng, X.S.; Jin, J.; Yang, X.Y.; Lin, J. Accuracy of MRI Diagnosis of Meniscal Tears of the Knee: A Meta-Analysis and Systematic Review. J. Knee Surg. 2021, 34, 121–129. [Google Scholar] [CrossRef] [PubMed]
- Phelan, N.; Rowland, P.; Galvin, R.; O’Byrne, J.M. A systematic review and meta-analysis of the diagnostic accuracy of MRI for suspected ACL and meniscal tears of the knee. Knee Surg. Sports Traumatol. Arthrosc. 2016, 24, 1525–1539. [Google Scholar] [CrossRef] [PubMed]
- Ramnath, R.R.; Magee, T.; Wasudev, N.; Murrah, R. Accuracy of 3-T MRI using fast spin-echo technique to detect meniscal tears of the knee. AJR Am. J. Roentgenol. 2006, 187, 221–225. [Google Scholar] [CrossRef] [PubMed]
- Chagas-Neto, F.A.; Nogueira-Barbosa, M.H.; Lorenzato, M.M.; Salim, R.; Kfuri-Junior, M.; Crema, M.D. Diagnostic performance of 3D TSE MRI versus 2D TSE MRI of the knee at 1.5 T, with prompt arthroscopic correlation, in the detection of meniscal and cruciate ligament tears. Radiol. Bras. 2016, 49, 69–74. [Google Scholar] [CrossRef] [PubMed] [PubMed Central][Green Version]
- Crues, J.V.; Mink, J.; Levy, T.L.; Lotysch, M.; Stoller, D.W. Meniscal tears of the knee: Accuracy of MR imaging. Radiology 1987, 164, 445–448. [Google Scholar] [CrossRef]
- Bachmann, E.; Rosskopf, A.B.; Götschi, T.; Klarhöfer, M.; Deligianni, X.; Hilbe, M.; Pfirrmann, C.W.A.; Snedeker, J.G.; Fischer, M.A. T1- and T2*-Mapping for Assessment of Tendon Tissue Biophysical Properties: A Phantom MRI Study. Investig. Radiol. 2019, 54, 212–220. [Google Scholar] [CrossRef] [PubMed]
- Campbell, R.S.; Grainger, A.J. Current concepts in imaging of tendinopathy. Clin. Radiol. 2001, 56, 253–267. [Google Scholar] [CrossRef]
- Vieira, T.D.; Pioger, C.; Franck, F.; Saithna, A.; Cavaignac, E.; Thaunat, M.; Sonnery-Cottet, B. Arthroscopic Dissection of the Distal Semimembranosus Tendon: An Anatomical Perspective on Posteromedial Instability and Ramp Lesions. Arthrosc. Tech. 2019, 8, 987–991. [Google Scholar] [CrossRef]
- Cavaignac, E.; Sylvie, R.; Teulières, M.; Fernandez, A.; Frosch, K.H.; Gomez-Brouchet, A.; Sonnery-Cottet, B. What Is the Relationship Between the Distal Semimembranosus Tendon and the Medial Meniscus? A Gross and Microscopic Analysis from the SANTI Study Group. Am. J. Sports Med. 2021, 49, 459–466. [Google Scholar] [CrossRef] [PubMed]
- Turman, K.A.; Miller, C.D.; Miller, M.D. Semimembranosus tendon viewed through an isolated medial meniscus capsular avulsion: A case report. Knee Surg. Sports Traumatol. Arthrosc. 2010, 18, 760–762. [Google Scholar] [CrossRef]
- Drosos, G.I.; Pozo, J.L. The causes and mechanisms of meniscal injuries in the sporting and non-sporting environment in an unselected population. Knee 2004, 11, 143–149. [Google Scholar] [CrossRef] [PubMed]
- Benninger, B.; Delamarter, T. Distal semimembranosus muscle-tendon-unit review: Morphology, accurate terminology, and clinical relevance. Folia Morphol. 2013, 72, 1–9. [Google Scholar] [CrossRef]
- Vedi, V.; Spouse, E.; Williams, A.; Tennant, S.J.; Hunt, D.M.; Gedroyc, W.M.W. Meniscal movement: An in-vivo study using dynamic MRI. J. Bone Jt. Surg. Br. Vol. 1999, 81, 37–41. [Google Scholar] [CrossRef]
- Thompson, W.O.; Thaete, F.L.; Fu, F.H.; Dye, S.F. Tibial meniscal dynamics using three-dimensional reconstruction of magnetic resonance images. Am. J. Sports Med. 1991, 19, 210–215. [Google Scholar] [CrossRef]
- Weiser, H.I. Semimembranosus insertion syndrome: A treatable and frequent cause of persistent knee pain. Arch. Phys. Med. Rehabil. 1979, 60, 317–319. [Google Scholar] [PubMed]
- Tsutsumi, M.; Kanazawa, S.; Nimura, A.; Akita, K.; Kudo, S. In vivo movement interrelationships among the medial meniscus, joint capsule, and semimembranosus during tibial rotation. Sci. Rep. 2024, 14, 17022. [Google Scholar] [CrossRef]
- Fox, M.G. MR imaging of the meniscus: Review, current trends, and clinical implications. Radiol. Clin. N. Am. 2007, 45, 1033–1053.vii. [Google Scholar] [CrossRef] [PubMed]
- Yoon, M.A.; Choi, J.Y.; Lim, H.K.; Yoo, H.J.; Hong, S.H.; Choi, J.A.; Kang, H.S. High prevalence of abnormal MR findings of the distal semimembranosus tendon: Contributing factors based on demographic, radiographic, and MR features. Am. J. Roentgenol. 2014, 202, 1087–1093. [Google Scholar] [CrossRef]
- Jee, W.H.; McCauley, T.R.; Kim, J.M.; Jun, D.J.; Lee, Y.J.; Choi, B.G.; Choi, K.H. Meniscal tear configurations: Categorization with MR imaging. AJR Am. J. Roentgenol. 2003, 180, 93–97. [Google Scholar] [CrossRef] [PubMed]
- Malinzak, R.A.; Colby, S.M.; Kirkendall, D.T.; Yu, B.; Garrett, W.E. A comparison of knee joint motion patterns between men and women in selected athletic tasks. Clin. Biomech. 2001, 16, 438–445. [Google Scholar] [CrossRef]
- Ferber, R.; Davis, I.M.; Williams, D.S. Gender differences in lower extremity mechanics during running. Clin. Biomech. 2003, 18, 350–357. [Google Scholar] [CrossRef] [PubMed]
- Kjaer, M.; Hansen, M. The mystery of female connective tissue. J. Appl. Physiol. 2008, 105, 1026–1027. [Google Scholar] [CrossRef] [PubMed]
- Williams, D.S., 3rd; Welch, L.M. Male and female runners demonstrate different sagittal plane mechanics as a function of static hamstring flexibility. Braz. J. Phys. Ther. 2015, 19, 421–428. [Google Scholar] [CrossRef] [PubMed] [PubMed Central]
- Cho, S.H.; Park, J.M.; Kwon, O.Y. Gender differences in three dimensional gait analysis data from 98 healthy Korean adults. Clin. Biomech. 2004, 19, 145–152. [Google Scholar] [CrossRef]
- Chumanov, E.S.; Wall-Scheffler, C.; Heiderscheit, B.C. Gender differences in walking and running on level and inclined surfaces. Clin. Biomech. 2008, 23, 1260–1268. [Google Scholar] [CrossRef]
- Brindle, T.; Nyland, J.; Johnson, D.L. The meniscus: Review of basic principles with application to surgery and rehabilitation. J. Athl. Train. 2001, 36, 160–169. [Google Scholar] [PubMed] [PubMed Central]
- Iglesias-Chamorro, P.; Pérez-Bellmunt, A.; Ortiz-Miguel, S.; Möller, I.; Blasi, J.; Ortiz-Sagristà, J.; Martinoli, C.; Sanjuan, X.; Miguel-Pérez, M. What Is New about the Semimembranosus Distal Tendon? Ultrasound, Anatomical, and Histological Study with Clinical and Therapeutic Application. Life 2024, 14, 631. [Google Scholar] [CrossRef] [PubMed] [PubMed Central]




| Medial Meniscus—Tear vs. No Tear | |||
|---|---|---|---|
| Semimembranosus Tendinosis, N (%) | Tear N = 26 | No Tear N = 124 | p Value * |
| Yes, N = 66 (44) | 21 (81) | 45 (36) | <0.0001 |
| No, N = 84 (56) Total = 150 | 5 (19) | 79 (63) | |
| Anatomic Area of the Meniscus | Number of Tears |
|---|---|
| Posterior horn | 15 (57.8) |
| Body | 8 (30.7) |
| Anterior horn | 3 (11.5) |
| Outcome: Medial Meniscus Tear | ||||
|---|---|---|---|---|
| Crude OR | p Value | Adjusted OR * | p Value | |
| Semimembranosus Tendinosis | 6.0 (2.4, 14.9) | <0.0001 | 7.0 (2.4, 20.2) | <0.0003 |
Disclaimer/Publisher’s Note: The statements, opinions and data contained in all publications are solely those of the individual author(s) and contributor(s) and not of MDPI and/or the editor(s). MDPI and/or the editor(s) disclaim responsibility for any injury to people or property resulting from any ideas, methods, instructions or products referred to in the content. |
© 2024 by the authors. Licensee MDPI, Basel, Switzerland. This article is an open access article distributed under the terms and conditions of the Creative Commons Attribution (CC BY) license (https://creativecommons.org/licenses/by/4.0/).
Share and Cite
Obaid, H.; Patel, A.; McWalter, E.; Ernst, M.; Mondal, P.; Shepel, M.L. Qualitative Magnetic Resonance Imaging Assessment of the Semimembranosus Tendon in Patients with Medial Meniscal Tears. Diagnostics 2024, 14, 1962. https://doi.org/10.3390/diagnostics14171962
Obaid H, Patel A, McWalter E, Ernst M, Mondal P, Shepel ML. Qualitative Magnetic Resonance Imaging Assessment of the Semimembranosus Tendon in Patients with Medial Meniscal Tears. Diagnostics. 2024; 14(17):1962. https://doi.org/10.3390/diagnostics14171962
Chicago/Turabian StyleObaid, Haron, Adarsh Patel, Emily McWalter, Mark Ernst, Prosanta Mondal, and Michael L. Shepel. 2024. "Qualitative Magnetic Resonance Imaging Assessment of the Semimembranosus Tendon in Patients with Medial Meniscal Tears" Diagnostics 14, no. 17: 1962. https://doi.org/10.3390/diagnostics14171962
APA StyleObaid, H., Patel, A., McWalter, E., Ernst, M., Mondal, P., & Shepel, M. L. (2024). Qualitative Magnetic Resonance Imaging Assessment of the Semimembranosus Tendon in Patients with Medial Meniscal Tears. Diagnostics, 14(17), 1962. https://doi.org/10.3390/diagnostics14171962

