Handheld Ultrasound Devices Used by Newly Certified Operators for Pneumonia in the Emergency Department—A Diagnostic Accuracy Study
Abstract
1. Introduction
2. Materials and Methods
2.1. Study Design
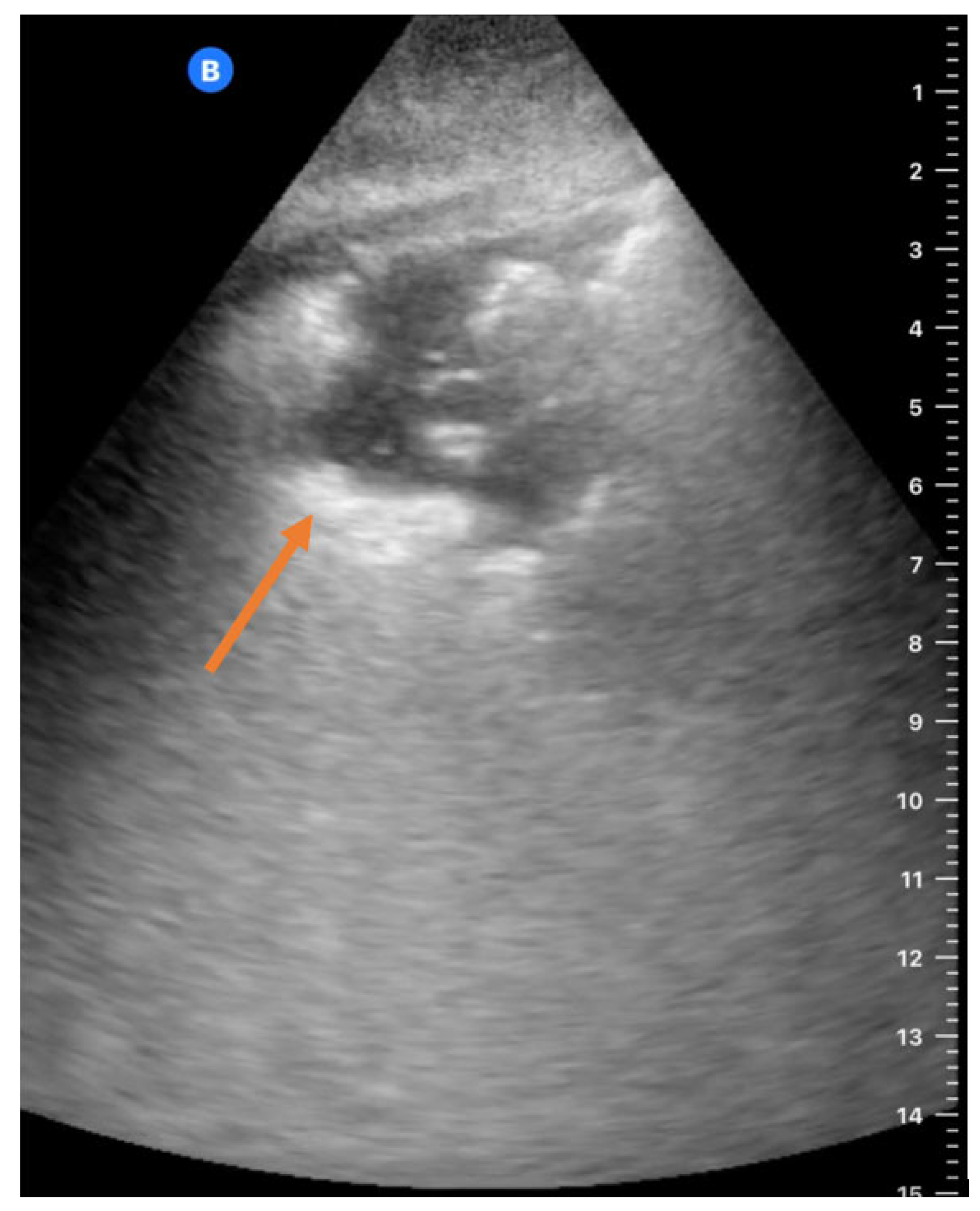
2.2. Focused Lung UltraSound
2.3. Clinical Data
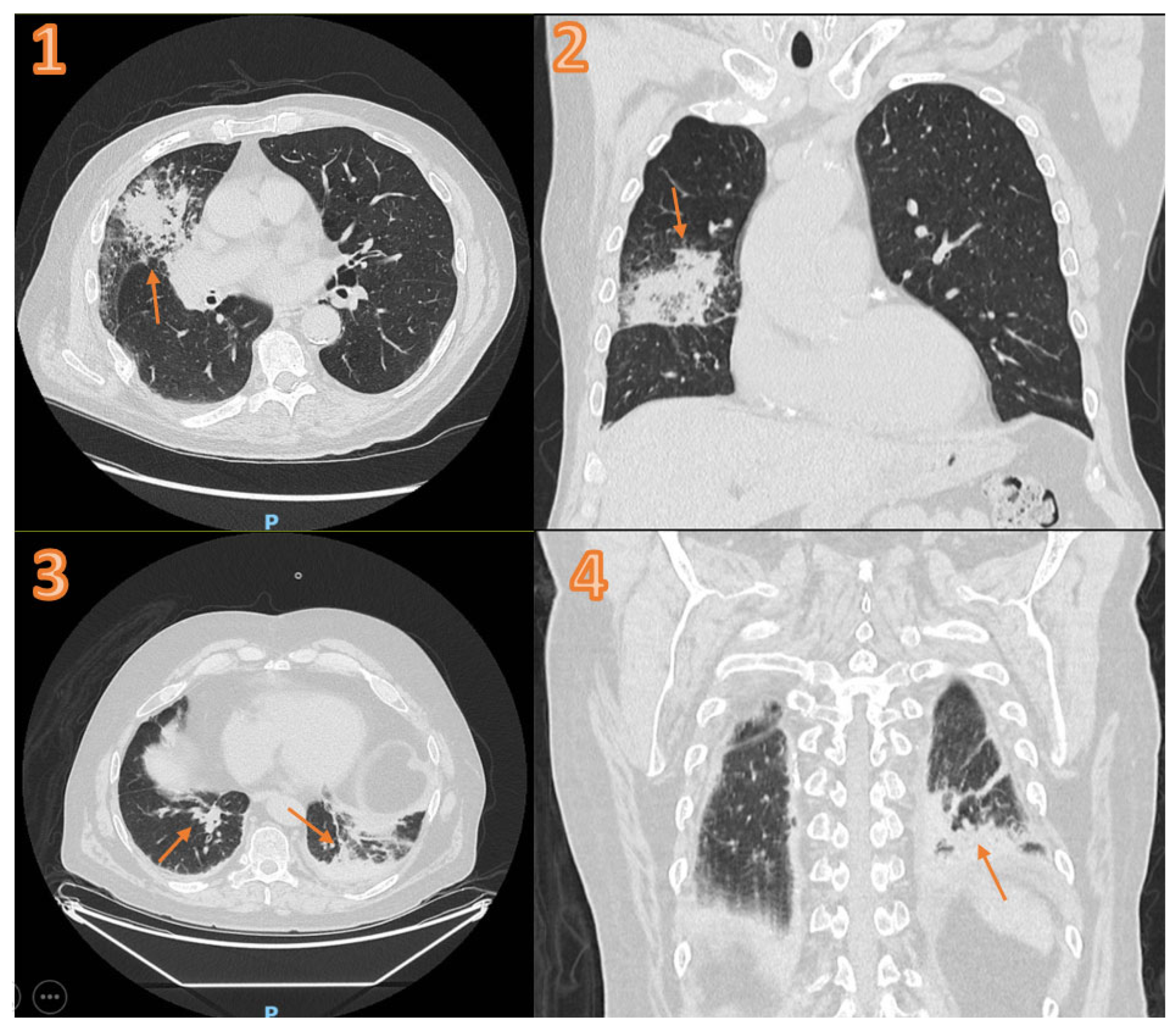
2.4. Reference Standard—CT-Thorax and Expert Diagnosis
2.5. Main Analysis
3. Results
4. Discussion
4.1. Summary of Findings
4.2. Comparison to Other Studies
4.3. Generalizability
5. Conclusions
Supplementary Materials
Author Contributions
Funding
Institutional Review Board Statement
Informed Consent Statement
Data Availability Statement
Acknowledgments
Conflicts of Interest
References
- Troeger, C.; Blacker, B.; Khalil, I.A.; Rao, P.C.; Cao, J.; Zimsen, S.R.M.; Albertson, S.B.; Deshpande, A.; Farag, T.; Abebe, Z.; et al. Estimates of the global, regional, and national morbidity, mortality, and aetiologies of lower respiratory infections in 195 countries, 1990–2016: A systematic analysis for the Global Burden of Disease Study 2016. Lancet Infect. Dis. 2018, 18, 1191–1210. [Google Scholar] [CrossRef] [PubMed]
- Ebell, M.H.; Chupp, H.; Cai, X.; Bentivegna, M.; Kearney, M. Accuracy of Signs and Symptoms for the Diagnosis of Community-acquired Pneumonia: A Meta-analysis. Acad. Emerg. Med. 2020, 27, 541–553. [Google Scholar] [CrossRef]
- Marchello, C.S.; Ebell, M.H.; Dale, A.P.; Harvill, E.T.; Shen, Y.; Whalen, C.C. Signs and Symptoms That Rule out Community-Acquired Pneumonia in Outpatient Adults: A Systematic Review and Meta-Analysis. J. Am. Board Fam. Med. 2019, 32, 234–247. [Google Scholar] [CrossRef] [PubMed]
- Ebell, M.H.; Bentivegna, M.; Cai, X.; Hulme, C.; Kearney, M. Accuracy of Biomarkers for the Diagnosis of Adult Community-acquired Pneumonia: A Meta-analysis. Acad. Emerg. Med. 2020, 27, 195–206. [Google Scholar] [CrossRef] [PubMed]
- Leuppi, J.D.; Dieterle, T.; Koch, G.; Martina, B.; Tamm, M.; Perruchoud, A.P.; Wildeisen, I.; Leimenstoll, B.M. Diagnostic value of lung auscultation in an emergency room setting. Swiss Med. Wkly. 2005, 135, 520–524. [Google Scholar] [CrossRef]
- Self, W.H.; Courtney, D.M.; McNaughton, C.D.; Wunderink, R.G.; Kline, J.A. High discordance of chest X-ray and computed tomography for detection of pulmonary opacities in ED patients: Implications for diagnosing pneumonia. Am. J. Emerg. Med. 2013, 31, 401–405. [Google Scholar] [CrossRef] [PubMed]
- Hagaman, J.T.; Rouan, G.W.; Shipley, R.T.; Panos, R.J. Admission chest radiograph lacks sensitivity in the diagnosis of community-acquired pneumonia. Am. J. Med. Sci. 2009, 337, 236–240. [Google Scholar] [CrossRef]
- Hayden, G.E.; Wrenn, K.W. Chest radiograph vs. computed tomography scan in the evaluation for pneumonia. J. Emerg. Med. 2009, 36, 266–270. [Google Scholar] [CrossRef]
- Jones, B.P.; Tay, E.T.; Elikashvili, I.; Sanders, J.E.; Paul, A.Z.; Nelson, B.P.; Spina, L.A.; Tsung, J.W. Feasibility and Safety of Substituting Lung Ultrasonography for Chest Radiography When Diagnosing Pneumonia in Children a Randomized Controlled Trial. Chest 2016, 150, 131–138. [Google Scholar] [CrossRef]
- Ye, X.; Xiao, H.; Chen, B.; Zhang, S. Accuracy of Lung Ultrasonography versus Chest Radiography for the Diagnosis of Adult Community-Acquired Pneumonia: Review of the Literature and Meta-Analysis. PLoS ONE 2015, 10, e0130066. [Google Scholar] [CrossRef]
- Bourcier, J.E.; Paquet, J.; Seinger, M.; Gallard, E.; Redonnet, J.P.; Cheddadi, F.; Garnier, D.; Bourgeois, J.M.; Geeraerts, T. Performance comparison of lung ultrasound and chest x-ray for the diagnosis of pneumonia in the ED. Am. J. Emerg. Med. 2014, 32, 115–118. [Google Scholar] [CrossRef]
- Staub, L.J.; Mazzali Biscaro, R.R.; Kaszubowski, E.; Maurici, R. Lung Ultrasound for the Emergency Diagnosis of Pneumonia, Acute Heart Failure, and Exacerbations of Chronic Obstructive Pulmonary Disease/Asthma in Adults: A Systematic Review and Meta-analysis. J. Emerg. Med. 2019, 56, 53–69. [Google Scholar] [CrossRef] [PubMed]
- Laursen, C.B.; Clive, A.; Hallifax, R.; Pietersen, P.I.; Asciak, R.; Davidsen, J.R.; Bhatnagar, R.; Bedawi, E.O.; Jacobsen, N.; Coleman, C.; et al. European Respiratory Society statement on thoracic ultrasound. Eur. Respir. J. 2021, 57, 2001519. [Google Scholar] [CrossRef] [PubMed]
- House, D.R.; Amatya, Y.; Nti, B.; Russell, F.M. Lung ultrasound training and evaluation for proficiency among physicians in a low-resource setting. Ultrasound J. 2021, 13, 34. [Google Scholar] [CrossRef] [PubMed]
- Tsou, P.Y.; Chen, K.P.; Wang, Y.H.; Fishe, J.; Gillon, J.; Lee, C.C.; Deanehan, J.K.; Kuo, P.L.; Yu, D.T.Y. Diagnostic Accuracy of Lung Ultrasound Performed by Novice Versus Advanced Sonographers for Pneumonia in Children: A Systematic Review and Meta-analysis. Acad. Emerg. Med. 2019, 26, 1074–1088. [Google Scholar] [CrossRef]
- Malik, A.N.; Rowland, J.; Haber, B.D.; Thom, S.; Jackson, B.; Volk, B.; Ehrman, R.R. The Use of Handheld Ultrasound Devices in Emergency Medicine. Curr. Emerg. Hosp. Med. Rep. 2021, 9, 73–81. [Google Scholar] [CrossRef]
- Folkestad, L.; Brabrand, M.; Hallas, P. Supervision of junior doctors and allocation of work tasks regarding admissions and further treatment of acute admitted patients. Ugeskr. Laeger 2010, 172, 1662–1666. [Google Scholar]
- Skjot-Arkil, H.; Heltborg, A.; Lorentzen, M.H.; Cartuliares, M.B.; Hertz, M.A.; Graumann, O.; Rosenvinge, F.S.; Petersen, E.R.B.; Ostergaard, C.; Laursen, C.B.; et al. Improved diagnostics of infectious diseases in emergency departments: A protocol of a multifaceted multicentre diagnostic study. BMJ Open 2021, 11, e049606. [Google Scholar] [CrossRef] [PubMed]
- Skaarup, S.H.; Laursen, C.B.; Bjerrum, A.S.; Hilberg, O. Objective and Structured Assessment of Lung Ultrasound Competence. A Multispecialty Delphi Consensus and Construct Validity Study. Ann. Am. Thorac. Soc. 2017, 14, 555–560. [Google Scholar] [CrossRef]
- Laursen, C.B.; Sloth, E.; Lambrechtsen, J.; Lassen, A.T.; Madsen, P.H.; Henriksen, D.P.; Davidsen, J.R.; Rasmussen, F. Focused sonography of the heart, lungs, and deep veins identifies missed life-threatening conditions in admitted patients with acute respiratory symptoms. Chest 2013, 144, 1868–1875. [Google Scholar] [CrossRef] [PubMed]
- Volpicelli, G.; Mussa, A.; Garofalo, G.; Cardinale, L.; Casoli, G.; Perotto, F.; Fava, C.; Frascisco, M. Bedside lung ultrasound in the assessment of alveolar-interstitial syndrome. Am. J. Emerg. Med. 2006, 24, 689–696. [Google Scholar] [CrossRef] [PubMed]
- Fally, M.; Fischer, C.P.; Nielsen, T.L.; Weinreich, U.M.; Ravn, P.; Benfield, T.; Jensen, J.-U.S. Retningslinjer for Håndtering Af Voksne Patienter Indlagt Med Pneumoni [Guidelines for Handling of Adults Admitted with Pneumonia]: Danish Society of Respiratory Medicine and Danish Society of Infectious Diseases. Available online: https://lungemedicin.dk/wp-content/uploads/2022/01/DLS_DSI_Pneumoni_2021_110122_CPF.pdf (accessed on 23 March 2022).
- Gentilotti, E.; De Nardo, P.; Cremonini, E.; Gorska, A.; Mazzaferri, F.; Canziani, L.M.; Hellou, M.M.; Olchowski, Y.; Poran, I.; Leeflang, M.; et al. Diagnostic accuracy of point-of-care tests in acute community-acquired lower respiratory tract infections. A systematic review and meta-analysis. Clin. Microbiol. Infect. 2022, 28, 13–22. [Google Scholar] [CrossRef]
- Yamanaka, H.; Maita, H.; Kobayashi, T.; Akimoto, T.; Osawa, H.; Kato, H. Diagnostic accuracy of pocket-sized ultrasound for aspiration pneumonia in elderly patients without heart failure: A prospective observational study. Geriatr. Gerontol. Int. 2021, 21, 1118–1124. [Google Scholar] [CrossRef] [PubMed]
- Rykkje, A.; Carlsen, J.F.; Nielsen, M.B. Hand-Held Ultrasound Devices Compared with High-End Ultrasound Systems: A Systematic Review. Diagnostics 2019, 9, 61. [Google Scholar] [CrossRef] [PubMed]
- Frohlich, E.; Beller, K.; Muller, R.; Herrmann, M.; Debove, I.; Klinger, C.; Pauluschke-Frohlich, J.; Hoffmann, T.; Kreppenhofer, S.; Dietrich, C.F. Point of Care Ultrasound in Geriatric Patients: Prospective Evaluation of a Portable Handheld Ultrasound Device. Ultraschall Med. 2020, 41, 308–316. [Google Scholar] [CrossRef]
- Le, M.T.; Voigt, L.; Nathanson, R.; Maw, A.M.; Johnson, G.; Dancel, R.; Mathews, B.; Moreira, A.; Sauthoff, H.; Gelabert, C.; et al. Comparison of four handheld point-of-care ultrasound devices by expert users. Ultrasound J. 2022, 14, 27. [Google Scholar] [CrossRef]
- Slader, M.; Young, H.; Barker, M.; Prentice, K.; Bogaard, K.; Yuan, C.; Saadat, S.; Lahham, S. A comparison of handheld and standard ultrasound in Swiss medical students. World J. Emerg. Med. 2022, 13, 85–90. [Google Scholar] [CrossRef]
- Sperandeo, M.; Varriale, A.; Sperandeo, G.; Polverino, E.; Feragalli, B.; Piattelli, M.L.; Maggi, M.M.; Palmieri, V.O.; Terracciano, F.; De Sio, I.; et al. Assessment of ultrasound acoustic artifacts in patients with acute dyspnea: A multicenter study. Acta Radiol. 2012, 53, 885–892. [Google Scholar] [CrossRef]
- Pivetta, E.; Baldassa, F.; Masellis, S.; Bovaro, F.; Lupia, E.; Maule, M.M. Sources of Variability in the Detection of B-Lines, Using Lung Ultrasound. Ultrasound Med. Biol. 2018, 44, 1212–1216. [Google Scholar] [CrossRef]
- Corte, G.; Bayat, S.; Tascilar, K.; Valor-Mendez, L.; Schuster, L.; Knitza, J.; Fagni, F.; Schett, G.; Kleyer, A.; Simon, D. Performance of a Handheld Ultrasound Device to Assess Articular and Periarticular Pathologies in Patients with Inflammatory Arthritis. Diagnostics 2021, 11, 1139. [Google Scholar] [CrossRef]
- Alfuraih, A.M.; Alrashed, A.I.; Almazyad, S.O.; Alsaadi, M.J. Abdominal aorta measurements by a handheld ultrasound device compared with a conventional cart-based ultrasound machine. Ann. Saudi Med. 2021, 41, 376–382. [Google Scholar] [CrossRef] [PubMed]
- Dewar, Z.E.; Wu, J.; Hughes, H.; Adnani, A.; Christiansen, G.; Ovedovitz, L.; Rittenberger, J.C. A comparison of handheld ultrasound versus traditional ultrasound for acquisition of RUSH views in healthy volunteers. J. Am. Coll. Emerg. Physicians Open 2020, 1, 1320–1325. [Google Scholar] [CrossRef] [PubMed]
- Bennett, D.; De Vita, E.; Mezzasalma, F.; Lanzarone, N.; Cameli, P.; Bianchi, F.; Perillo, F.; Bargagli, E.; Mazzei, M.A.; Volterrani, L.; et al. Portable Pocket-Sized Ultrasound Scanner for the Evaluation of Lung Involvement in Coronavirus Disease 2019 Patients. Ultrasound Med. Biol. 2021, 47, 19–24. [Google Scholar] [CrossRef]
- Volpicelli, G.; Gargani, L.; Perlini, S.; Spinelli, S.; Barbieri, G.; Lanotte, A.; Casasola, G.G.; Nogue-Bou, R.; Lamorte, A.; Agricola, E.; et al. Lung ultrasound for the early diagnosis of COVID-19 pneumonia: An international multicenter study. Intensive Care Med. 2021, 47, 444–454. [Google Scholar] [CrossRef]
- Volpicelli, G.; Fraccalini, T.; Cardinale, L.; Stranieri, G.; Senkeev, R.; Maggiani, G.; Pacielli, A.; Basile, D. Feasibility of a New Lung Ultrasound Protocol to Determine the Extent of Lung Injury in COVID-19 Pneumonia. Chest 2023, 163, 176–184. [Google Scholar] [CrossRef]
- Millington, S.J.; Arntfield, R.T.; Guo, R.J.; Koenig, S.; Kory, P.; Noble, V.; Mallemat, H.; Schoenherr, J.R. Expert Agreement in the Interpretation of Lung Ultrasound Studies Performed on Mechanically Ventilated Patients. J. Ultrasound Med. 2018, 37, 2659–2665. [Google Scholar] [CrossRef]
- Amatya, Y.; Rupp, J.; Russell, F.M.; Saunders, J.; Bales, B.; House, D.R. Diagnostic use of lung ultrasound compared to chest radiograph for suspected pneumonia in a resource-limited setting. Int. J. Emerg. Med. 2018, 11, 8. [Google Scholar] [CrossRef]
- Unluer, E.E.; Karagoz, A.; Senturk, G.O.; Karaman, M.; Olow, K.H.; Bayata, S. Bedside lung ultrasonography for diagnosis of pneumonia. Hong Kong J. Emerg. Med. 2013, 20, 98–104. [Google Scholar] [CrossRef]
- Bobbia, X.; Chabannon, M.; Chevallier, T.; de La Coussaye, J.E.; Lefrant, J.Y.; Pujol, S.; Claret, P.G.; Zieleskiewicz, L.; Roger, C.; Muller, L. Assessment of five different probes for lung ultrasound in critically ill patients: A pilot study. Am. J. Emerg. Med. 2018, 36, 1265–1269. [Google Scholar] [CrossRef]
- Filopei, J.; Siedenburg, H.; Rattner, P.; Fukaya, E.; Kory, P. Impact of pocket ultrasound use by internal medicine housestaff in the diagnosis of dyspnea. J. Hosp. Med. 2014, 9, 594–597. [Google Scholar] [CrossRef]
- Baribeau, Y.; Sharkey, A.; Chaudhary, O.; Krumm, S.; Fatima, H.; Mahmood, F.; Matyal, R. Handheld Point-of-Care Ultrasound Probes: The New Generation of POCUS. J. Cardiothorac. Vasc. Anesth. 2020, 34, 3139–3145. [Google Scholar] [CrossRef] [PubMed]
- Arbelot, C.; Dexheimer Neto, F.L.; Gao, Y.; Brisson, H.; Chunyao, W.; Lv, J.; Valente Barbas, C.S.; Perbet, S.; Prior Caltabellotta, F.; Gay, F.; et al. Lung Ultrasound in Emergency and Critically Ill Patients: Number of Supervised Exams to Reach Basic Competence. Anesthesiology 2020, 132, 899–907. [Google Scholar] [CrossRef] [PubMed]
- Carrie, C.; Biais, M.; Lafitte, S.; Grenier, N.; Revel, P.; Janvier, G. Goal-directed ultrasound in emergency medicine: Evaluation of a specific training program using an ultrasonic stethoscope. Eur. J. Emerg. Med. 2015, 22, 419–425. [Google Scholar] [CrossRef] [PubMed]
- Abdullah, O.B.; Grand, J.; Sijapati, A.; Nimskov, P.; Nielsen, F.E.; Schmidt, J.C.; Pérez, N.; Kirkegaard, T.; Fløjstrup, M.; Brabrand, M.; et al. Meeting abstracts from the 7th Danish Emergency Medicine Conference. Scand. J. Trauma Resusc. Emerg. Med. 2017, 25, 29. [Google Scholar] [CrossRef]
- Arvig, M.D.; Laursen, C.B.; Weile, J.B.; Tiwald, G.; Graumann, O.; Posth, S. Point-of-care ultrasound in emergency departments in Denmark. Ugeskr. Laeger 2021, 183, V12200906. [Google Scholar]



| Expert Diagnosis: Pneumonia (n = 212) | Expert Diagnosis: No Pneumonia (n = 112) | All Patients (n = 324) | ||
|---|---|---|---|---|
| Sex (male), n (%) | 109 (51%) | 71 (63%) | 180 (56%) | |
| Age (years), mean (SD) | 73 (14) | 70 (14) | 71 (14) | |
| Current smoker, n (%) | 42 (21%) | 27 (25%) | 69 (22%) | |
| Prior smoker, n (%) | 113 (56%) | 47 (44%) | 160 (52%) | |
| Alcohol > 14 doses (12 g alcohol) per week, n (%) | 19 (9%) | 15 (14%) | 34 (11%) | |
| Nursing home resident, n (%) | 22 (10%) | 6 (6%) | 28 (9%) | |
| Comorbidities | ||||
| Chronic obstructive pulmonary disease, n (%) | 79 (37%) | 29 (26%) | 108 (33%) | |
| Asthma, n (%) | 32 (15%) | 12 (11%) | 44 (14%) | |
| Active lung cancer, n (%) | 7 (3%) | 6 (5%) | 13 (4%) | |
| Symptoms | ||||
| Cough, n (%) | 155 (76%) | 66 (62%) | 221 (71%) | |
| Sputum production, n (%) | 124 (61%) | 50 (47%) | 174 (56%) | |
| Dyspnea, n (%) | 154 (75%) | 73 (69%) | 227 (73%) | |
| Fever sensation, n (%) | 98 (46%) | 51 (46%) | 149 (46%) | |
| Fever (measured at home), n (%) | 66 (31%) | 32 (29%) | 98 (30%) | |
| Vitals | ||||
| Respiratory rate (breaths per minute), median (IQR) | 22 (18, 24) | 20 (18, 24) | 21 (18, 24) | |
| Heart rate, mean (SD) | 93 (19) | 90 (18) | 92 (19) | |
| Systolic blood pressure (mmHg), mean (SD) | 135 (20) | 137(23) | 136 (21) | |
| Severity score | ||||
| CURB-65 score, n (%) | 0 | 40 (19%) | 33 (30%) | 73 (23%) |
| 1 | 81 (38%) | 29 (26%) | 110 (34%) | |
| 2 | 77 (36%) | 38 (34%) | 115 (36%) | |
| 3 | 12 (6%) | 10 (9%) | 22 (7%) | |
| 4 | 2 (1%) | 2 (2%) | 4 (1%) | |
| Blood test | ||||
| Leukocytes (10^9/L), median (IQR) | 12.0 (9.3, 15.2) | 9.9 (7.6, 13.7) | 11.3 (8.5, 14.8) | |
| C-reactive protein (CRP) mg/L, median (IQR) | 116 (50, 196) | 54 (17, 143) | 88 (37, 177) | |
| Mortality | ||||
| 30 day mortality, n (%) | 8 (4%) | 5 (5%) | 13 (4%) | |
| Expert Diagnosis | |||||
|---|---|---|---|---|---|
| Imaging modality | Sensitivity | Specificity | LR+ | LLR− | AUC |
| FLUS | 31% (26–36) | 82% (78–86) | 1.7 | 0.8 | 0.56 (0.52–0.61) |
| CXR | 66% (61–72) | 76% (71–81) | 2.7 | 0.4 | 0.71 (0.66–0.76) |
| CT diagnosis | |||||
| Imaging modality | Sensitivity | Specificity | LR+ | LLR− | AUC |
| FLUS | 32% (27–37) | 81% (77–85) | 1.7 | 0.8 | 0.56 (0.52–0.61) |
| CXR | 69% (63–74) | 68% (62–73) | 2.2 | 0.5 | 0.68 (0.63–0.74) |
| FLUS (excluding patients with missing posterior zones) | 36% (30–42) | 78% (73–84) | 1.7 | 0.8 | 0.57 (0.52–0.63) |
| FLUS (consolidation with air bronchogram or focal b-lines was diagnostic for pneumonia) | 60% (55–66) | 53% (48–59) | 1.3 | 0.7 | 0.57(0.51–0.62) |
| Median Waiting Time between Admission and Imaging | ||
|---|---|---|
| Imaging Modality | Hours | Interquartile Range |
| Focused lung ultrasound | 2.5 | 1.7–3.6 |
| Computed tomography | 2.6 | 1.8–3.7 |
| Chest X-ray | 2.0 | 1.5–3.0 |
| Imaging Modality | Median Waiting Time | |
|---|---|---|
| Hours | Interquartile Range | |
| CXR and FLUS | 0.6 | 0.3–1.5 |
| ULD-CT/CT and FLUS | 0.5 | 0.3–0.9 |
| ULD-CT/CT and CXR | 0.2 | 0.1–0.9 |
Disclaimer/Publisher’s Note: The statements, opinions and data contained in all publications are solely those of the individual author(s) and contributor(s) and not of MDPI and/or the editor(s). MDPI and/or the editor(s) disclaim responsibility for any injury to people or property resulting from any ideas, methods, instructions or products referred to in the content. |
© 2024 by the authors. Licensee MDPI, Basel, Switzerland. This article is an open access article distributed under the terms and conditions of the Creative Commons Attribution (CC BY) license (https://creativecommons.org/licenses/by/4.0/).
Share and Cite
Lorentzen, M.J.; Kristensen, A.H.; Kaldan, F.P.; Cartuliares, M.B.; Hertz, M.A.; Specht, J.J.; Posth, S.; Lindberg, M.J.H.; Skaarup, S.H.; Hansen, M.R.; et al. Handheld Ultrasound Devices Used by Newly Certified Operators for Pneumonia in the Emergency Department—A Diagnostic Accuracy Study. Diagnostics 2024, 14, 1921. https://doi.org/10.3390/diagnostics14171921
Lorentzen MJ, Kristensen AH, Kaldan FP, Cartuliares MB, Hertz MA, Specht JJ, Posth S, Lindberg MJH, Skaarup SH, Hansen MR, et al. Handheld Ultrasound Devices Used by Newly Certified Operators for Pneumonia in the Emergency Department—A Diagnostic Accuracy Study. Diagnostics. 2024; 14(17):1921. https://doi.org/10.3390/diagnostics14171921
Chicago/Turabian StyleLorentzen, Morten Jongshøj, Anne Heltborg Kristensen, Frida Poppius Kaldan, Mariana Bichuette Cartuliares, Mathias Amdi Hertz, Jens Juel Specht, Stefan Posth, Mats Jacob Hermansson Lindberg, Søren Helbo Skaarup, Meinhard Reinert Hansen, and et al. 2024. "Handheld Ultrasound Devices Used by Newly Certified Operators for Pneumonia in the Emergency Department—A Diagnostic Accuracy Study" Diagnostics 14, no. 17: 1921. https://doi.org/10.3390/diagnostics14171921
APA StyleLorentzen, M. J., Kristensen, A. H., Kaldan, F. P., Cartuliares, M. B., Hertz, M. A., Specht, J. J., Posth, S., Lindberg, M. J. H., Skaarup, S. H., Hansen, M. R., Spile, C. S., Andersen, M. B., Graumann, O., Mogensen, C. B., Skjøt-Arkil, H., & Laursen, C. B. (2024). Handheld Ultrasound Devices Used by Newly Certified Operators for Pneumonia in the Emergency Department—A Diagnostic Accuracy Study. Diagnostics, 14(17), 1921. https://doi.org/10.3390/diagnostics14171921

