Diagnostic and Therapeutic Indications of Different Types of Mandibular Advancement Design for Patients with Obstructive Sleep Apnea Syndrome: Indications from Literature Review and Case Descriptions
Abstract
1. Introduction
2. Materials and Methods
3. Results
4. Discussion
4.1. Query 1: Should Clinicians Use Monobloc or Bibloc MAD during Diagnostic Assessment or Treatment?
4.2. Query 2: Provisional MAD and Definitive MAD. What Are the Design Characteristics, Clinical Indications and Instrumental Examinations for Their Usage?
4.3. Query 3: Which Extension of Mandibular Advancement Should Be Registered and Sent to the Laboratory Technician for Producing MAD?
4.4. Examples of Digital Work Flow Used during Dental Diagnostic and Therapeutic Processes for Treating Adult Patients Affected by OSA with MAD
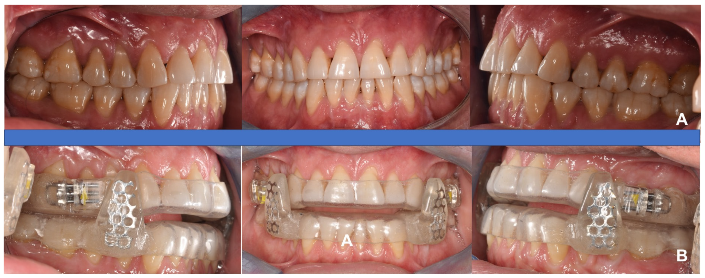
- Case 1: A forty-nine y.o. man received a diagnosis of severe OSA (AHI = 54) and refused to use a CPAP (Figure 6). The patient was referred to the ORL specialist and underwent drug-induced sleep endoscopy (DISE) to better address the pattern of obstruction. The DISE revealed that the pattern of obstruction featured a complete antero-posterior collapse of the oropharynx; there was also a significant improvement of the respiratory performance (complete reduction of the apnea episodes) with the pull-up/chin lift maneuver.
- Case 2: A fifty-four y.o. man received a diagnosis of severe OSA (AHI = 35) and refused to use a CPAP. The patient was referred to the ORL specialist and underwent drug-induced sleep endoscopy (DISE) to better address the pattern of obstruction (Figure 10).
5. Conclusions
- -
- Bibloc appliances could be preferred over mono-bloc devices due to the possibility of arranging the mandibular advancement according to the patient’s clinical condition and orofacial symptoms. However, bibloc systems necessitate a firm control of the anterior mandibular opening via elastics or an anterior screw design.
- -
- Non-customized devices could be used as screening tools to verify the patient’s adherence to the therapy. However, to achieve greater efficacy and better patient compliance, which is crucial, it is essential to use a custom-made adjustable device that allows for advancement adjustments either in the clinic or at home by the patient.
- -
- Clinicians should take a bite registration with the mandibular advancement set to at least 50% followed by a graduated titration protocol to reach the most tolerated therapeutic (advanced) position of the mandible.
Supplementary Materials
Author Contributions
Funding
Institutional Review Board Statement
Informed Consent Statement
Data Availability Statement
Conflicts of Interest
References
- Fagundes, N.C.F.; Minervini, G.; Alonso, B.F.; Nucci, L.; Grassia, V.; D’Apuzzo, F.; Puigdollers, A.; Perillo, L.; Flores-Mir, C. Patient-reported outcomes while managing obstructive sleep apnea with oral appliances: A scoping review. J. Evid. Based Dent. Pract. 2023, 23, 101786. [Google Scholar] [CrossRef]
- Yaggi, H.K.; Strohl, K.P. Adult Obstructive Sleep Apnea/Hypopnea Syndrome: Definitions, Risk Factors, and Pathogenesis. Clin. Chest Med. 2010, 31, 179–186. [Google Scholar] [CrossRef]
- Randerath, W.; Verbraecken, J.; de Raaff, C.A.L.; Hedner, J.; Herkenrath, S.; Hohenhorst, W.; Jakob, T.; Marrone, O.; Marklund, M.; McNicholas, W.T.; et al. European Respiratory Society guideline on non-CPAP therapies for obstructive sleep apnoea. Eur. Respir. Rev. 2021, 30, 210200. [Google Scholar] [CrossRef] [PubMed]
- Baratta, F.; Pastori, D.; Fabiani, M.; Fabiani, V.; Ceci, F.; Lillo, R.; Lolli, V.; Brunori, M.; Pannitteri, G.; Cravotto, E.; et al. Severity of OSAS, CPAP and cardiovascular events: A follow-up study. Eur. J. Clin. Investig. 2018, 48, e12908. [Google Scholar] [CrossRef] [PubMed]
- Epstein, L.J.; Kristo, D.; Strollo, P.J., Jr.; Friedman, N.; Malhotra, A.; Patil, S.P.; Ramar, K.; Rogers, R.; Schwab, R.J.; Weaver, E.M.; et al. Clinical guideline for the evaluation, management and long-term care of obstructive sleep apnea in adults. J. Clin. Sleep Med. 2009, 5, 263–276. [Google Scholar] [CrossRef] [PubMed]
- Bartolucci, M.L.; Incerti Parenti, S.; Bortolotti, F.; Corazza, G.; Solidoro, L.; Paganelli, C.; Alessandri-Bonetti, G. The Effect of Bite Raise on AHI Values in Adult Patients Affected by OSA: A Systematic Review with Meta-Regression. J. Clin. Med. 2023, 12, 3619. [Google Scholar] [CrossRef] [PubMed]
- Shawon, M.S.; Perret, J.L.; Senaratna, C.V.; Lodge, C.; Hamilton, G.S.; Dharmage, S.C. Current evidence on prevalence and clinical outcomes of co-morbid obstructive sleep apnea and chronic obstructive pulmonary disease: A systematic review. Sleep Med. Rev. 2017, 32, 58–68. [Google Scholar] [CrossRef]
- Young, T.; Finn, L.; Peppard, P.E.; Szklo-Coxe, M.; Austin, D.; Nieto, F.J.; Stubbs, R.; Hla, K.M. Sleep disordered breathing and mortality: Eighteen-year follow-up of the Wisconsin sleep cohort. Sleep 2008, 31, 1071–1078. [Google Scholar]
- Nieto, F.J.; Young, T.B.; Lind, B.K.; Shahar, E.; Samet, J.M.; Redline, S.; D’agostino, R.B.; Newman, A.B.; Lebowitz, M.D.; Pickering, T.G. Association of sleep-disordered breathing, sleep apnea, and hypertension in a large community-based study. JAMA 2000, 283, 1829–1836. [Google Scholar] [CrossRef]
- Alessandri-Bonetti, A.; Bortolotti, F.; Moreno-Hay, I.; Michelotti, A.; Cordaro, M.; Alessandri-Bonetti, G.; Okeson, J.P. Effects of mandibular advancement device for obstructive sleep apnea on temporomandibular disorders: A systematic review and meta-analysis. Sleep Med. Rev. 2019, 48, 101211. [Google Scholar] [CrossRef]
- Riachy, M.; Najem, S.; Iskandar, M.; Choucair, J.; Ibrahim, I.; Juvelikian, G. Factors predicting CPAP adherence in obstructive sleep apnea syndrome. Sleep Breath. 2017, 21, 295–302. [Google Scholar] [CrossRef] [PubMed]
- Almeida, F.R.; Mulgrew, A.; Ayas, N.; Tsuda, H.; Lowe, A.A.; Fox, N.; Harrison, S.; Fleetham, J.A. Mandibular advancement splint as short-term alternative treatment in patients with obstructive sleep apnea already effectively treated with continuous positive airway pressure. J. Clin. Sleep Med. 2013, 9, 319–324. [Google Scholar] [CrossRef]
- Lee, J.J.; Sundar, K.M. Evaluation and Management of Adults with Obstructive Sleep Apnea Syndrome. Lung 2021, 199, 87–101. [Google Scholar] [CrossRef] [PubMed]
- Lo Giudice, A.; La Rosa, S.; Ronsivalle, V.; Isola, G.; Cicciù, M.; Alessandri-Bonetti, G.; Leonardi, R. Indications for Dental Specialists for Treating Obstructive Sleep Apnea with Mandibular Advancement Devices: A Narrative Review. Int. J. Dent. 2024, 2024, 1007237. [Google Scholar] [CrossRef]
- Chang, J.L.; Goldberg, A.N.; Alt, J.A.; Mohammed, A.; Ashbrook, L.; Auckley, D.; Ayappa, I.; Bakhtiar, H.; Barrera, J.E.; Bartley, B.L.; et al. International Consensus Statement on Obstructive Sleep Apnea. Int. Forum. Allergy Rhinol. 2023, 13, 1061–1482. [Google Scholar] [CrossRef] [PubMed]
- Belkhode, V.; Godbole, S.; Nimonkar, S.; Pisulkar, S.; Nimonkar, P. Comparative evaluation of the efficacy of customized maxillary oral appliance with mandibular advancement appliance as a treatment modality for moderate obstructive sleep apnea patients-a randomized controlled trial. Trials 2023, 24, 73. [Google Scholar] [CrossRef] [PubMed]
- Quinnell, T.G.; Bennett, M.; Jordan, J.; Clutterbuck-James, A.L.; Davies, M.G.; Smith, I.E.; Oscroft, N.; Pittman, M.A.; Cameron, M.; Chadwick, R.; et al. A crossover randomised controlled trial of oral mandibular advancement devices for obstructive sleep apnoea-hypopnoea (TOMADO). Thorax 2014, 69, 938–945. [Google Scholar] [CrossRef]
- Chen, H.; Eckert, D.J.; van der Stelt, P.F.; Guo, J.; Ge, S.; Emami, E.; Almeida, F.R.; Huynh, N.T. Phenotypes of responders to mandibular advancement device therapy in obstructive sleep apnea patients: A systematic review and meta-analysis. Sleep Med. Rev. 2020, 49, 101229. [Google Scholar] [CrossRef]
- Dontsos, V.K.; Chatzigianni, A.; Papadopoulos, M.A.; Nena, E.; Steiropoulos, P. Upper airway volumetric changes of obstructive sleep apnoea patients treated with oral appliances: A systematic review and meta-analysis. Eur. J. Orthod. 2021, 43, 399–407. [Google Scholar] [CrossRef]
- Lee, W.H.; Wee, J.H.; Lee, C.H.; Kim, M.S.; Rhee, C.S.; Yun, P.Y.; Yoon, I.Y.; Kim, J.W. Comparison between mono-bloc and bi-bloc mandibular advancement devices for obstructive sleep apnea. Eur. Arch. Oto-Rhino-Laryngol. 2013, 270, 2909–2913. [Google Scholar] [CrossRef]
- Zhou, J.; Liu, Y.H. A randomised titrated crossover study comparing two oral appliances in the treatment for mild to moderate obstructive sleep apnoea/hypopnoea syndrome. J. Oral Rehabil. 2012, 39, 914–922. [Google Scholar] [CrossRef] [PubMed]
- Bloch, K.E.; Iseli, A.; Zhang, J.N.; Xie, X.; Kaplan, V.; Stoeckli, P.W.; Russi, E.W. A randomized, controlled crossover trial of two oral appliances for sleep apnea treatment. Am. J. Respir. Crit. Care Med. 2000, 162, 246–251. [Google Scholar] [CrossRef] [PubMed]
- Fransson, A.M.C.; Isacsson, G.; Nohlert, E. The outcome of oral appliance therapy on position-dependent obstructive sleep apnea: A multicenter randomized controlled trial. Am. J. Orthod. Dentofacial. Orthop. 2022, 162, 386–393. [Google Scholar] [CrossRef]
- Geoghegan, F.; Ahrens, A.; McGrath, C.; Hägg, U. An evaluation of two different mandibular advancement devices on craniofacial characteristics and upper airway dimensions of Chinese adult obstructive sleep apnea patients. Angle Orthod. 2015, 85, 962–968. [Google Scholar] [CrossRef] [PubMed]
- Iftikhar, I.H.; Cistulli, P.A.; Jahrami, H.; Alamoud, K.A.; Saeed, M.; Soulimiotis, A.P.; BaHammam, A.S. Comparative efficacy of mandibular advancement devices in obstructive sleep apnea: A network meta-analysis. Sleep Breath. 2023, 27, 1365–1381. [Google Scholar] [CrossRef]
- Bartolucci, M.L.; Bortolotti, F.; Corazza, G.; Incerti Parenti, S.; Paganelli, C.; Alessandri Bonetti, G. Effectiveness of different mandibular advancement device designs in obstructive sleep apnoea therapy: A systematic review of randomised controlled trials with meta-analysis. J. Oral Rehabil. 2021, 48, 469–486. [Google Scholar] [CrossRef]
- Umemoto, G.; Toyoshima, H.; Yamaguchi, Y.; Aoyagi, N.; Yoshimura, C.; Funakoshi, K. Therapeutic Efficacy of Twin-Block and Fixed Oral Appliances in Patients with Obstructive Sleep Apnea Syndrome. J. Prosthodont. 2019, 28, e830–e836. [Google Scholar] [CrossRef]
- Petri, N.; Svanholt, P.; Solow, B.; Wildschiødtz, G.; Winkel, P. Mandibular advancement appliance for obstructive sleep apnoea: Results of a randomised placebo controlled trial using parallel group design. J. Sleep Res. 2008, 17, 221–229. [Google Scholar] [CrossRef]
- Venema, J.; Rosenmoller, B.; de Vries, N.; de Lange, J.; Aarab, G.; Lobbezoo, F.; Hoekema, A. Mandibular advancement device design: A systematic review on outcomes in obstructive sleep apnea treatment. Sleep Med. Rev. 2021, 60, 101557. [Google Scholar] [CrossRef]
- Ishiyama, H.; Hasebe, D.; Sato, K.; Sakamoto, Y.; Furuhashi, A.; Komori, E.; Yuasa, H. The Efficacy of Device Designs (Mono-block or Bi-block) in Oral Appliance Therapy for Obstructive Sleep Apnea Patients: A Systematic Review and Meta-Analysis. Int. J. Environ. Res. Public Health 2019, 16, 3182. [Google Scholar] [CrossRef]
- Tegelberg, Å.; Nohlert, E.; Bornefalk-Hermansson, A.; Fransson, A.; Isacsson, G. Respiratory outcomes after a 1-year treatment of obstructive sleep apnoea with bibloc versus monobloc oral appliances: A multicentre, randomized equivalence trial. Acta Odontol. Scand. 2020, 78, 401–408. [Google Scholar] [CrossRef] [PubMed]
- Abd-Ellah, M.E.; Mohamed, F.S.; Khamis, M.M.; Abdel Wahab, N.H. Modified biblock versus monoblock mandibular advancement appliances for treatment of obstructive sleep apnea: A randomized controlled trial. J. Prosthet. Dent. 2024, 131, 633–642. [Google Scholar] [CrossRef]
- Yanamoto, S.; Harata, S.; Miyoshi, T.; Nakamura, N.; Sakamoto, Y.; Murata, M.; Soutome, S.; Umeda, M. Semi-fixed versus fixed oral appliance therapy for obstructive sleep apnea: A randomized crossover pilot study. J. Dent. Sci. 2021, 16, 404–409. [Google Scholar] [CrossRef]
- Bortolotti, F.; Corazza, G.; Bartolucci, M.L.; Incerti Parenti, S.; Paganelli, C.; Alessandri-Bonetti, G. Dropout and adherence of obstructive sleep apnoea patients to mandibular advancement device therapy: A systematic review of randomised controlled trials with meta-analysis and meta-regression. J. Oral Rehabil. 2022, 49, 553–572. [Google Scholar] [CrossRef]
- Ahrens, A.; McGrath, C.; Hägg, U. A systematic review of the efficacy of oral appliance design in the management of obstructive sleep apnoea. Eur. J. Orthod. 2011, 33, 318–324. [Google Scholar] [CrossRef] [PubMed]
- Serra-Torres, S.; Bellot-Arcís, C.; Montiel-Company, J.M.; Marco-Algarra, J.; Almerich-Silla, J.M. Effectiveness of mandibular advancement appliances in treating obstructive sleep apnea syndrome: A systematic review. Laryngoscope 2016, 126, 507–514. [Google Scholar] [CrossRef]
- Tegelberg, A.; Walker-Engström, M.L.; Vestling, O.; Wilhelmsson, B. Two different degrees of mandibular advancement with a dental appliance in treatment of patients with mild to moderate obstructive sleep apnea. Acta Odontol. Scand. 2003, 61, 356–362. [Google Scholar] [CrossRef]
- Bishop, B.; Verrett, R.; Girvan, T. A randomized crossover study comparing two mandibular repositioning appliances for treatment of obstructive sleep apnea. Sleep Breath. 2014, 18, 125–131. [Google Scholar] [CrossRef] [PubMed]
- Shi, X.; Lobbezoo, F.; Chen, H.; Rosenmöller, B.; Berkhout, E.; de Lange, J.; Aarab, G. Comparisons of the effects of two types of titratable mandibular advancement devices on respiratory parameters and upper airway dimensions in patients with obstructive sleep apnea: A randomized controlled trial. Clin. Oral Investig. 2023, 27, 2013–2025. [Google Scholar] [CrossRef]
- Al-Dharrab, A. A randomized cross over study comparing the efficacy of two mandibular advancement appliances in the treatment of mild-moderate obstructive sleep apnea. Cranio 2017, 35, 379–384. [Google Scholar] [CrossRef]
- Pitsis, A.J.; Darendeliler, M.A.; Gotsopoulos, H.; Petocz, P.; Cistulli, P.A. Effect of vertical dimension on efficacy of oral appliance therapy in obstructive sleep apnea. Am. J. Respir. Crit. Care Med. 2002, 166, 860–864. [Google Scholar] [CrossRef]
- Lawton, H.M.; Battagel, J.M.; Kotecha, B. A comparison of the Twin Block and Herbst mandibular advancement splints in the treatment of patients with obstructive sleep apnoea: A prospective study. Eur. J. Orthod. 2005, 27, 82–90. [Google Scholar] [CrossRef]
- Mayoral, P.; Lagravère, M.O.; Míguez-Contreras, M.; Garcia, M. Antero-posterior mandibular position at different vertical levels for mandibular advancing device design. BMC Oral Health 2019, 19, 85. [Google Scholar] [CrossRef] [PubMed]
- Isacsson, G.; Nohlert, E.; Fransson, A.M.C.; Bornefalk-Hermansson, A.; Wiman Eriksson, E.; Ortlieb, E.; Trepp, L.; Avdelius, A.; Sturebrand, M.; Fodor, C.; et al. Use of bibloc and monobloc oral appliances in obstructive sleep apnoea: A multicentre, randomized, blinded, parallel-group equivalence trial. Eur. J. Orthod. 2019, 41, 80–88. [Google Scholar] [CrossRef] [PubMed]
- Rose, E.; Staats, R.; Virchow, C.; Jonas, I.E. A comparative study of two mandibular advancement appliances for the treatment of obstructive sleep apnoea. Eur. J. Orthod. 2002, 24, 191–198. [Google Scholar] [CrossRef]
- Piskin, B.; Uyar, A.; Yuceer, M.; Topal, S.C.; Senturk, R.A.; Sutcu, S.; Karakoc, O. Fabrication of a Mandibular Advancement Device Using a Fully Digital Workflow: A Clinical Report. J. Prosthodont. 2021, 30, 191–195. [Google Scholar] [CrossRef] [PubMed]
- Suga, H.; Mishima, K.; Nakano, H.; Nakano, A.; Matsumura, M.; Mano, T.; Yamasaki, Y.; Ueyama, Y. Different therapeutic mechanisms of rigid and semi-rigid mandibular repositioning devices in obstructive sleep apnea syndrome. J. Craniomaxillofac. Surg. 2014, 42, 1650–1654. [Google Scholar] [CrossRef]
- Vanderveken, O.M.; Devolder, A.; Marklund, M.; Boudewyns, A.N.; Braem, M.J.; Okkerse, W.; Verbraecken, J.A.; Franklin, K.A.; Backer, W.A.D.; Heyning, P.H.V.d. Comparison of a Custom-made and a Thermoplastic Oral Appliance for the Treatment of Mild Sleep Apnea. Am. J. Respir. Crit. Care Med. 2008, 178, 197–202. [Google Scholar] [CrossRef]
- Lettieri, C.J.; Paolino, N.; Eliasson, A.H.; Shah, A.A.; Holley, A.B. Comparison of adjustable and fixed oral appliances for the treatment of obstructive sleep apnea. J. Clin. Sleep Med. 2011, 7, 439–445. [Google Scholar] [CrossRef]
- Tsuiki, S.; Lowe, A.A.; Almeida, F.R.; Fleetham, J.A. Effects of an anteriorly titrated mandibular position on awake airway and obstructive sleep apnea severity. Am. J. Orthod. Dentofac. Orthop. 2004, 125, 548–555. [Google Scholar] [CrossRef]
- Johal, A.; Agha, B. Ready-made versus custom-made mandibular advancement appliances in obstructive sleep apnea: A systematic review and meta-analysis. J. Sleep Res. 2018, 27, e12660. [Google Scholar] [CrossRef] [PubMed]
- Johal, A.; Haria, P.; Manek, S.; Joury, E.; Riha, R. Ready-Made Versus Custom-Made Mandibular Repositioning Devices in Sleep Apnea: A Randomized Clinical Trial. J. Clin. Sleep Med. 2017, 13, 175–182. [Google Scholar] [CrossRef] [PubMed]
- Marty, M.; Lacaze, O.; Arreto, C.D.; Pierrisnard, L.; Bour, F.; Chéliout-Héraut, F.; Simonneau, G. Snoring and Obstructive Sleep Apnea: Objective Efficacy and Impact of a Chairside Fabricated Mandibular Advancement Device. J. Prosthodont. 2017, 26, 381–386. [Google Scholar] [CrossRef] [PubMed]
- Kato, J.; Isono, S.; Tanaka, A.; Watanabe, T.; Araki, D.; Tanzawa, H.; Nishino, T. Dose-dependent effects of mandibular advancement on pharyngeal mechanics and nocturnal oxygenation in patients with sleep-disordered breathing. Chest 2000, 117, 1065–1072. [Google Scholar] [CrossRef]
- Tsuiki, S.; Almeida, F.R.; Lowe, A.A.; Su, J.; Fleetham, J.A. The interaction between changes in upright mandibular position and supine airway size in patients with obstructive sleep apnea. Am. J. Orthod. Dentofac. Orthop. 2005, 128, 504–512. [Google Scholar] [CrossRef]
- Walker-Engström, M.L.; Ringqvist, I.; Vestling, O.; Wilhelmsson, B.; Tegelberg, A. A prospective randomized study comparing two different degrees of mandibular advancement with a dental appliance in treatment of severe obstructive sleep apnea. Sleep Breath. 2003, 7, 119–130. [Google Scholar] [CrossRef]
- Ma, Y.; Yu, M.; Gao, X. The effect of gradually increased mandibular advancement on the efficacy of an oral appliance in the treatment of obstructive sleep apnea. J. Clin. Sleep Med. 2020, 16, 1369–1376. [Google Scholar] [CrossRef]
- Aarab, G.; Lobbezoo, F.; Hamburger, H.L.; Naeije, M. Effects of an oral appliance with different mandibular protrusion positions at a constant vertical dimension on obstructive sleep apnea. Clin. Oral Investig. 2010, 14, 339–345. [Google Scholar] [CrossRef]
- Makihara, E.; Watanabe, T.; Ogusu, H.; Masumi, S.I. The comparison of two different mandibular positions for oral appliance therapy in patients with obstructive sleep apnea. Clin. Exp. Dent. Res. 2022, 8, 1567–1574. [Google Scholar] [CrossRef]
- Kazemeini, E.; de Beeck, S.O.; Vroegop, A.; Van Loo, D.; Willemen, M.; Verbraecken, J.; Braem, M.J.; Vanderveken, O.M.; Dieltjens, M. A pilot study on comparison of subjective titration versus remotely controlled mandibular positioning during polysomnography and drug-induced sleep endoscopy, to determine the effective protrusive position for mandibular advancement device therapy. Sleep Breath. 2022, 26, 1837–1845. [Google Scholar] [CrossRef]
- Gogou, E.S.; Psarras, V.; Giannakopoulos, N.N.; Koutsourelakis, I.; Halazonetis, D.J.; Tzakis, M.G. Drug-induced sleep endoscopy improves intervention efficacy among patients treated for obstructive sleep apnea with a mandibular advancement device. Sleep Breath. 2022, 26, 1747–1758. [Google Scholar] [CrossRef] [PubMed]
- Fleury, B.; Rakotonanahary, D.; Petelle, B.; Vincent, G.; Pelletier Fleury, N.; Meyer, B.; Lebeau, B. Mandibular advancement titration for obstructive sleep apnea: Optimization of the procedure by combining clinical and oximetric parameters. Chest 2004, 125, 1761–1767. [Google Scholar] [CrossRef] [PubMed]
- Campbell, A.J.; Reynolds, G.; Trengrove, H.; Neill, A.M. Mandibular advancement splint titration in obstructive sleep apnoea. Sleep Breath. 2009, 13, 157–162. [Google Scholar] [CrossRef] [PubMed]













Disclaimer/Publisher’s Note: The statements, opinions and data contained in all publications are solely those of the individual author(s) and contributor(s) and not of MDPI and/or the editor(s). MDPI and/or the editor(s) disclaim responsibility for any injury to people or property resulting from any ideas, methods, instructions or products referred to in the content. |
© 2024 by the authors. Licensee MDPI, Basel, Switzerland. This article is an open access article distributed under the terms and conditions of the Creative Commons Attribution (CC BY) license (https://creativecommons.org/licenses/by/4.0/).
Share and Cite
Lo Giudice, A.; La Rosa, S.; Palazzo, G.; Federico, C. Diagnostic and Therapeutic Indications of Different Types of Mandibular Advancement Design for Patients with Obstructive Sleep Apnea Syndrome: Indications from Literature Review and Case Descriptions. Diagnostics 2024, 14, 1915. https://doi.org/10.3390/diagnostics14171915
Lo Giudice A, La Rosa S, Palazzo G, Federico C. Diagnostic and Therapeutic Indications of Different Types of Mandibular Advancement Design for Patients with Obstructive Sleep Apnea Syndrome: Indications from Literature Review and Case Descriptions. Diagnostics. 2024; 14(17):1915. https://doi.org/10.3390/diagnostics14171915
Chicago/Turabian StyleLo Giudice, Antonino, Salvatore La Rosa, Giuseppe Palazzo, and Carmelo Federico. 2024. "Diagnostic and Therapeutic Indications of Different Types of Mandibular Advancement Design for Patients with Obstructive Sleep Apnea Syndrome: Indications from Literature Review and Case Descriptions" Diagnostics 14, no. 17: 1915. https://doi.org/10.3390/diagnostics14171915
APA StyleLo Giudice, A., La Rosa, S., Palazzo, G., & Federico, C. (2024). Diagnostic and Therapeutic Indications of Different Types of Mandibular Advancement Design for Patients with Obstructive Sleep Apnea Syndrome: Indications from Literature Review and Case Descriptions. Diagnostics, 14(17), 1915. https://doi.org/10.3390/diagnostics14171915

