CT Imaging Findings of Pulmonary Artery Stenosis: A Pictorial Review
Abstract
1. Introduction
2. Subjects and CT Scanning Parameters
3. PAS Due to Congenital Etiology
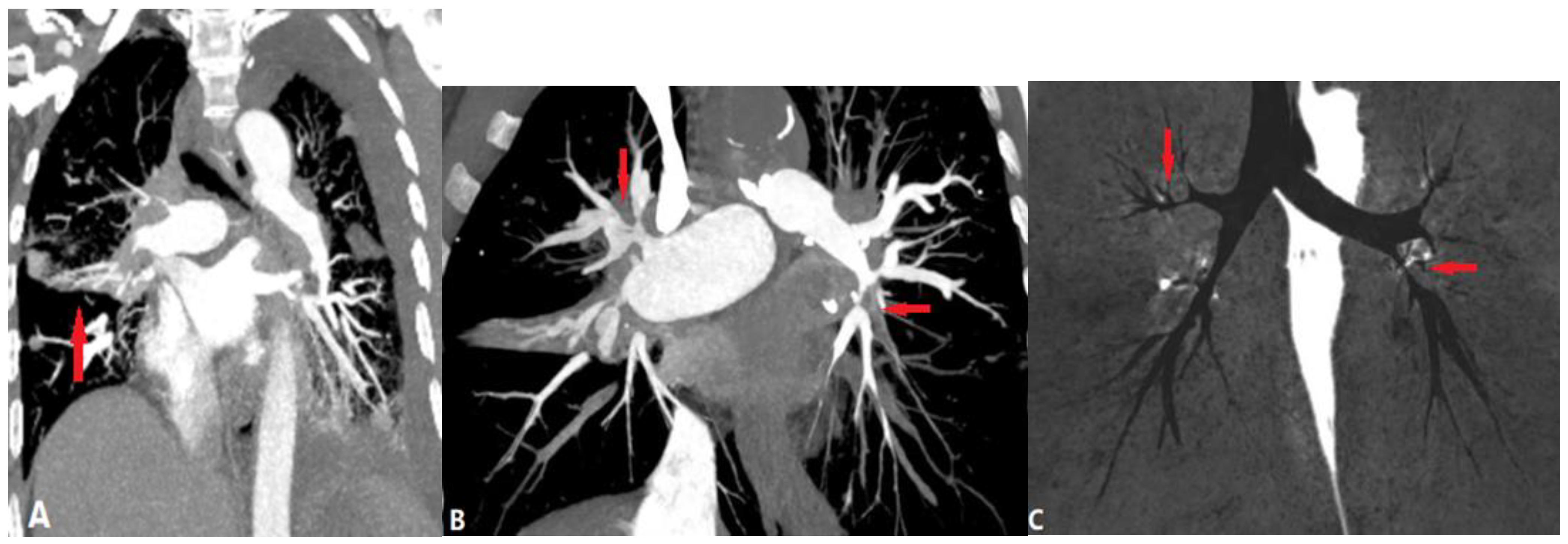
3.1. Pulmonary Valvular Stenosis
3.2. Pulmonary Artery Atresia
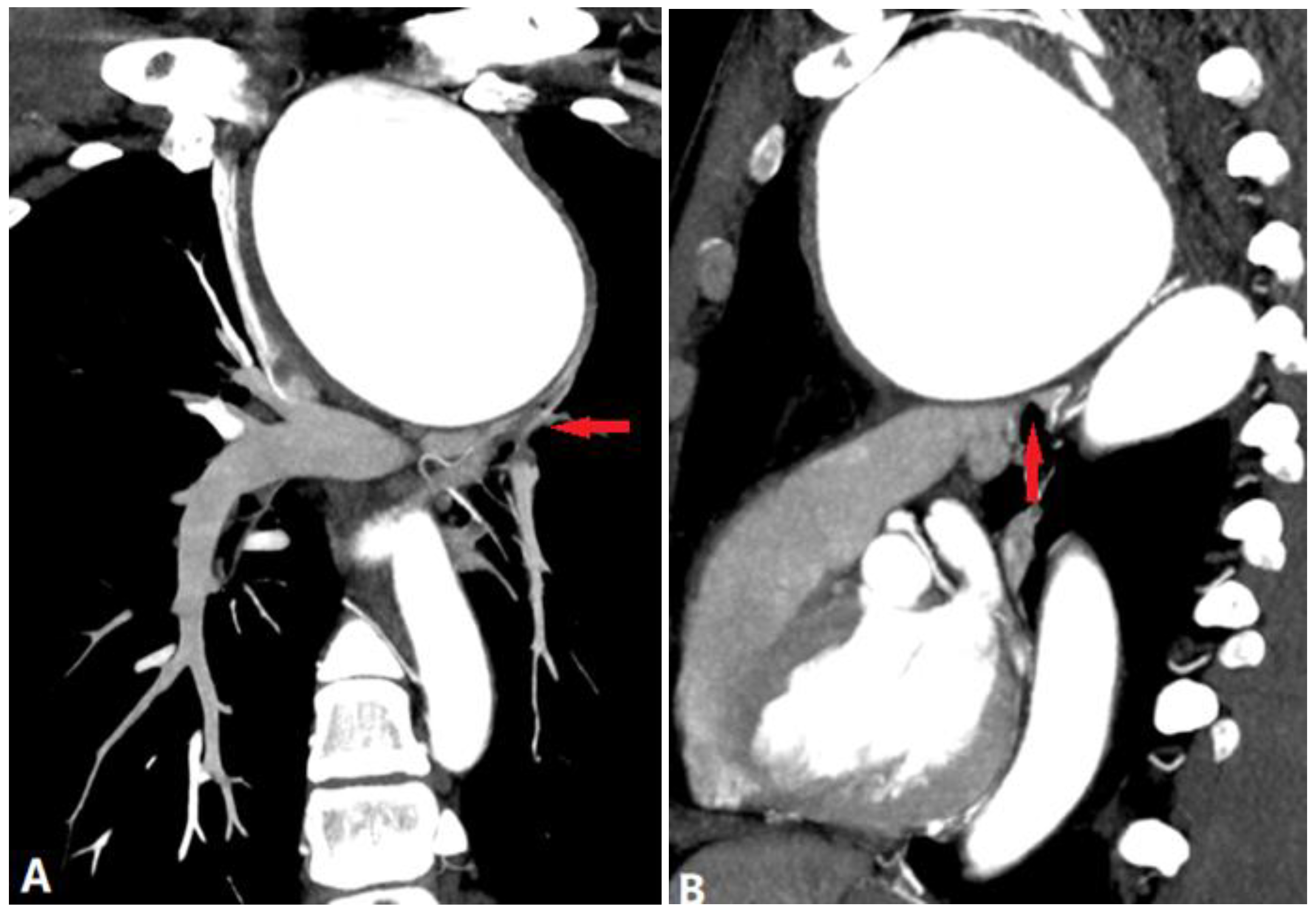
3.3. Pulmonary Vein Atresia
4. PAS Due to Acquired Disease
4.1. Intraluminal Anomalies
4.1.1. Pulmonary Thromboembolism (PTE)
4.1.2. In Situ Pulmonary Artery Thrombosis (PAT)
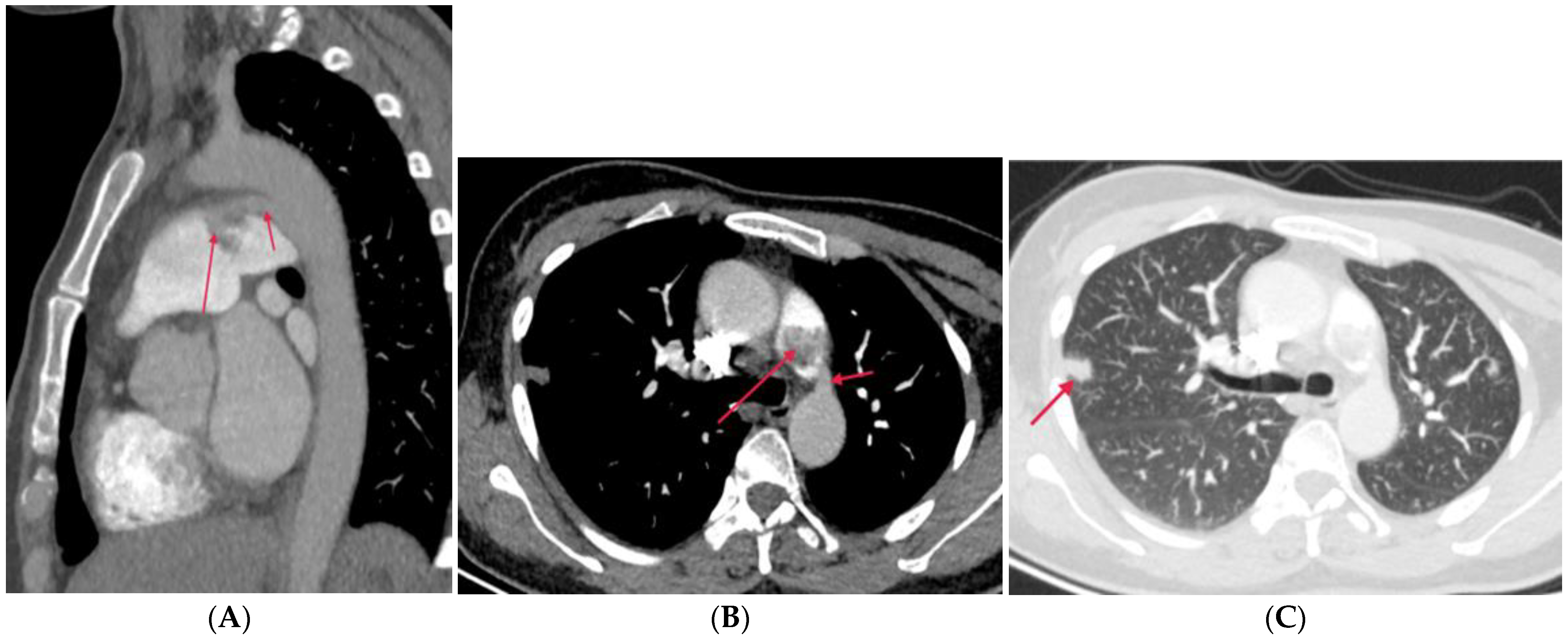
4.1.3. Pulmonary Tumor Embolism and Pulmonary Tumor Thrombotic Microangiography (PTTM)
4.1.4. Septic Pulmonary Embolism (SPE)
4.1.5. Pulmonary Embolism Caused by Foreign Bodies
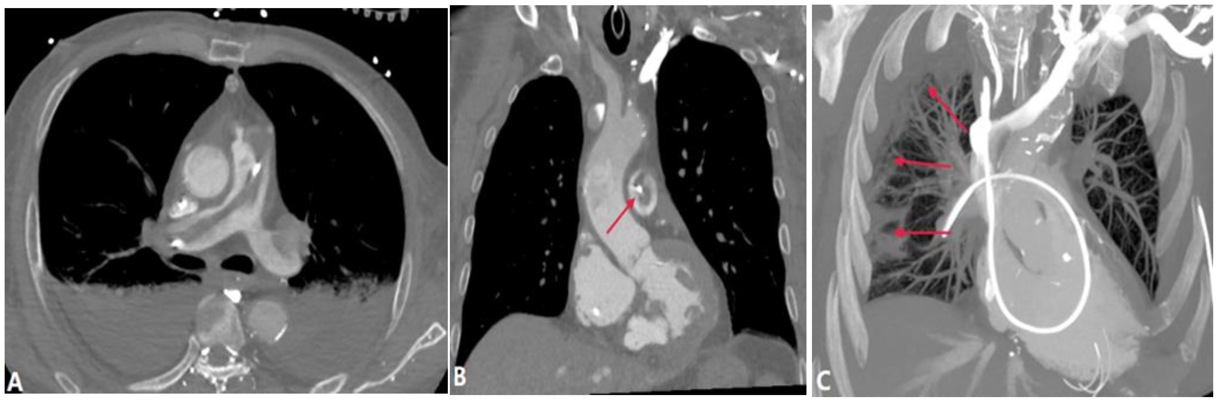
4.1.6. Pulmonary Artery Sarcoma
4.2. Vessel Wall Lesions
- Vasculitis
4.2.1. Takayasu Arteritis (TA)
4.2.2. Behçet Disease (BD)
4.2.3. Swyer–James–Macleod Syndrome (SJMS)
4.2.4. Arterial Dissection (AD)
4.3. Extra-Luminal Abnormalities
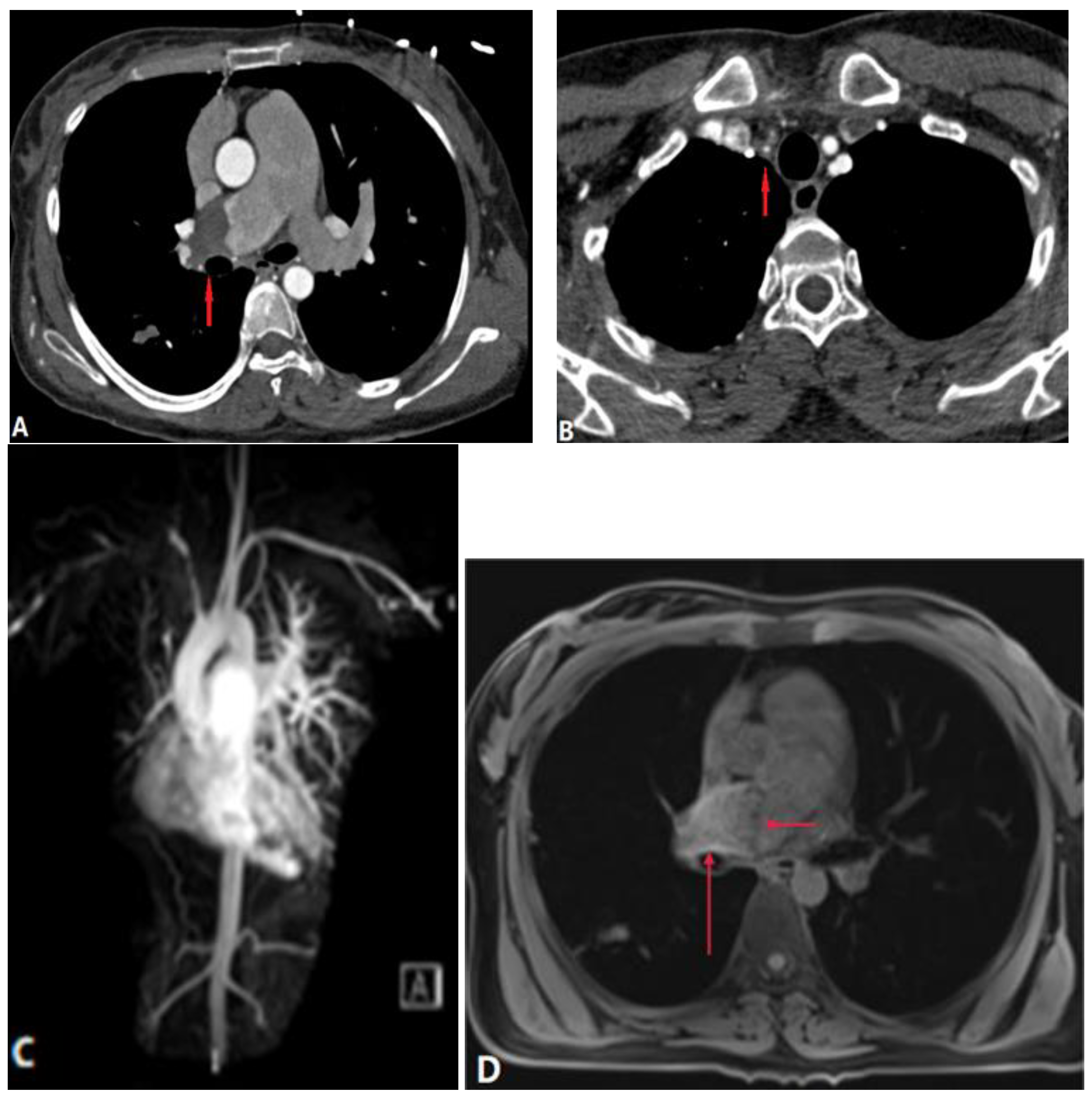
4.3.1. Fibrosis Mediastinitis (FM)
4.3.2. Tumors Causing Pulmonary Artery Stenosis
4.3.3. Aortic Aneurysm
5. Complications of Radiofrequency Ablation of Atrial Fibrillation
6. Conclusions
Author Contributions
Funding
Institutional Review Board Statement
Informed Consent Statement
Data Availability Statement
Conflicts of Interest
References
- Kim, C.W.; Aronow, W.S.; Dutta, T.; Spevack, D.M.; Frishman, W.H. Treatment of peripheral pulmonary artery stenosis. Cardiol. Rev. 2021, 29, 115–119. [Google Scholar] [CrossRef]
- Ngo, M.L.D.; Aggarwal, A.; Knudson, J.D. Peripheral pulmonary artery stenosis: An unusual case and discussion of genetic associations. Congenit. Heart Dis. 2014, 9, 448–452. [Google Scholar] [CrossRef]
- Newman, B.; Alkhori, N. Congenital central pulmonary artery anomalies: Part 2. Pediatr. Radiol. 2020, 50, 1030–1040. [Google Scholar] [CrossRef]
- Ruckdeschel, E.; Kim, Y.Y. Pulmonary valve stenosis in the adult patient: Pathophysiology, diagnosis and management. Heart 2019, 105, 414–422. [Google Scholar] [CrossRef]
- Castneda-Zuniga, W.R.; Formanek, A.; Amplatz, K. Radiologic diagnosis of different types of pulmonary stenoses. Cardiovasc. Radiol. 1978, 1, 45–57. [Google Scholar] [CrossRef]
- Escalon, J.G.; Browne, L.P.; Bang, T.J.; Restrepo, C.S.; Ocazionez, D.; Vargas, D. Congenital anomalies of the pulmonary arteries: An imaging overview. Br. J. Radiol. 2019, 92, 20180185. [Google Scholar] [CrossRef] [PubMed]
- Newman, B.; Alkhori, N. Congenital central pulmonary artery anomalies: Part 1. Pediatr. Radiol. 2020, 50, 1022–1029. [Google Scholar] [CrossRef]
- Romberg, E.K.; Stanescu, A.L.; Bhutta, S.T.; Otto, R.K.; Ferguson, M.R. Computed tomography of pulmonary veins: Review of congenital and acquired pathologies. Pediatr. Radiol. 2022, 52, 2510–2528. [Google Scholar] [CrossRef]
- Tang, C.; Duan, H.; Zhou, K.; Hua, Y.; Lu, X.; Li, X.; Wang, C. Isolated unilateral pulmonary vein atresia with hemoptysis in a child: A case report and literature review. Medicine 2018, 97, e11882. [Google Scholar] [CrossRef]
- Khan, F.; Tritschner, T.; Kahn, S.R.; Rodger, M.A. Venous thromboembolism. Lancet 2021, 398, 64–77. [Google Scholar] [CrossRef]
- Alp-Zaher, N.; Vitali, F.; Neurath, M.; Goertz, R.S. The positive rate of pulmonary angiography is high in an emergency department, even in low-risk or young patients. Med. Princ. Pract. 2021, 30, 37–44. [Google Scholar] [CrossRef]
- Palm, V.; Rengier, F.; Rajiah, P.; Heussel, C.P.; Partovi, S. Acute pulmonary embolism: Imaging techniques, findings, endovascular treatment and differential diagnosis. RoFo 2020, 192, 38–49. [Google Scholar] [CrossRef]
- Boon, G.J.A.M.; Ende-Verhaar, Y.M.; Beenen, L.F.; Coolen, J.; Delcroix, M.; Golebiowski, M.; Huisman, M.V.; Mairuhu, A.T.A.; Meijboom, L.J.; Middeldorp, S.; et al. Prediction of chronic thromboembolic pulmonary hypertension with standardised evaluation of initial computed tomography pulmonary angiography performed for suspected acute pulmonary embolism. Eur. Radiol. 2022, 32, 2178–2187. [Google Scholar] [CrossRef] [PubMed]
- Castaner, E.; Gallardo, X.; Rimola, J.; Pallardo, Y.; Mata, J.M.; Perendreu, J.; Martin, C.; Gil, D. Congenital and acquired pulmonary artery anomalies in the adult: Radiologic overview. Radiographics 2006, 26, 349–371. [Google Scholar] [CrossRef]
- Konstantinides, S.V.; Meyer, G.; Becattini, C.; Bueno, H.; Geersing, G.J.; Harjola, V.P.; Huisman, M.V.; Humbert, M.; Jennings, C.S.; Jiménez, D.; et al. 2019 ESC Guidelines for the diagnosis and management of acute pulmonary embolism developed in collaboration with the European Respiratory Society (ERS): The Task Force for the diagnosis and management of acute pulmonary embolism of the European Society of Cardiology (ESC). Eur. Heart J. 2020, 41, 543–603. [Google Scholar] [PubMed]
- Fletcher-Sanfeliu, D.; Redon, J.; Garcia-Granero, A.; Frasson, M.; Barreira, I.; Martinez-Leon, J.; Garcia-Fuster, M.J. Pulmonary thrombosis in situ’: Risk factors, clinic characteristics and long-term evolution. Blood Coagul. Fibrinolysis 2020, 31, 469–475. [Google Scholar] [CrossRef]
- Cao, Y.; Geng, C.; Li, Y.; Zhang, Y. In situ pulmonary artery thrombosis: A previously overlooked disease. Front. Pharmacol. 2021, 12, 671589. [Google Scholar] [CrossRef]
- Baranga, L.; Khanuja, S.; Scott, J.A.; Provancha, I.; Gosselin, M.; Walsh, J.; Arancibia, R.; Bruno, M.A.; Waite, S. In Situ Pulmonary Arterial Thrombosis: Literature Review and Clinical Significance of a Distinct Entity. AJR Am. J. Roentgenol. 2023, 221, 57–68. [Google Scholar] [CrossRef]
- Sahiti, S.; Rotman, S.; Benmachiche, M. Pulmonary tumor embolism. Rev. Med. Suisse 2021, 17, 2034–2037. [Google Scholar]
- Lashari, B.H.; Kumaran, M.; Aneja, A.; Bull, T.; Rali, P. Beyond clots in the pulmonary circulation: Pulmonary artery tumors mimicking pulmonary embolism. Chest 2022, 161, 1642–1650. [Google Scholar] [CrossRef]
- Rajev, K.; Madan, U.; McMilan, S.; Wilson, K.; Fisher, K.; Hein, A.; Patil, A.; Bista, S.; Hershberger, D.; Boer, B. Pulmonary tumor embolism and pulmonary tumor thrombotic microangiopathy causing rapidly progressive respiratory failure: A case series. J. Investig. Med. High Impact Case Rep. 2022, 10, 23247096221086453. [Google Scholar]
- Kwon, W.J.; Jeong, Y.J.; Kim, K.I.; Lee, I.S.; Jeon, U.B.; Lee, S.H.; Kim, Y.D. Computed tomographic features of pulmonary septic emboli: Comparison of causative microorganisms. J. Comput. Assist. Tomogr. 2007, 31, 390–394. [Google Scholar] [CrossRef]
- Kuhlman, J.E.; Fishman, E.K.; Teigen, C. Pulmonary septic emboli: Diagnosis with CT. Radiology 1990, 174, 211–213. [Google Scholar] [CrossRef]
- Matuscov, Y.; Tapson, V.F. Radiologic mimics of pulmonary embolism. Postgrad. Med. 2021, 133 (Suppl. 1), 64–70. [Google Scholar] [CrossRef] [PubMed]
- Ye, R.; Zhao, L.; Wang, C.; Wu, X.; Yan, H. Clinical characteristics of septic pulmonary embolism in adults: A systematic review. Respir. Med. 2014, 108, 1–8. [Google Scholar] [CrossRef]
- Bach, A.G.; Restrepo, C.S.; Abbas, J.; Villanueva, A.; Lorenzo Dus, M.J.; Schopf, R.; Imanaka, H.; Lehmkuhl, L.; Tsang, F.H.F.; Saad, F.F.A.; et al. Imaging of nonthrombotic pulmonary embolism: Biological materials, nonbiological materials, and foreign bodies. Eur. J. Radiol. 2013, 82, e120–e141. [Google Scholar] [CrossRef] [PubMed]
- McCabe, B.E.; Veseleis, C.A.; Goykhman, I.; Hochhold, J.; Eisenberg, D.; Son, H. Beyond pulmonary embolism; nonthrombotic pulmonary embolism as diagnostic challenges. Curr. Probl. Diagn. Radiol. 2019, 48, 387–392. [Google Scholar] [CrossRef]
- Unal, E.; Balci, S.; Atceken, Z.; Akpinar, E.; Ariyurek, O.M. Nonthrombotic pulmonary artery embolism: Imaging findings and review of the literature. AJR Am. J. Roentgenol. 2017, 208, 505–516. [Google Scholar] [CrossRef]
- Trongtorsak, A.; Tumkosit, M.; Chantranuwatana, P.; Ariyachaipanich, A.; Chattranukulchai, P.; Boonyaratavej, S.; Puwanant, S. Pulmonary artery sarcoma: An unusual cause of acquired supravalvular pulmonary stenosis. Circ. Cardiovasc. Imaging 2020, 13, e009932. [Google Scholar] [CrossRef] [PubMed]
- Yin, K.; Zhang, Z.; Luo, R.; Ji, Y.; Zheng, D.; Lin, Y.; Wang, C. Clinical features and surgical outcomes of pulmonary artery sarcoma. J. Thorac. Cardiovasc. Surg. 2018, 155, 1109–1115.e1. [Google Scholar] [CrossRef]
- Liu, M.X.; Ma, Z.H.; Jiang, T.; Guo, X.J.; Yu, F.F.; Yang, Y.H.; Zhai, Z.G. Differential diagnosis of pulmonary artery sarcoma and central chronic pulmonary thromboembolism using CT and MR images. Heart Lung Circ. 2018, 27, 819–827. [Google Scholar] [CrossRef] [PubMed]
- Kronzer, E.; Robinson, S.I.; Collins, D.A.; McBane, R.D., 2nd. Primary pulmonary artery sarcoma versus pulmonary thromboembolism: A multimodal imaging comparison. J. Thromb. Thrombolysis 2021, 52, 1129–1132. [Google Scholar] [CrossRef] [PubMed]
- Adams, T.N.; Zhang, D.; Batra, K.; Fitzgerald, J.E. Pulmonary manifestations of large, medium, and variable vessel vasculitis. Respir. Med. 2018, 145, 182–191. [Google Scholar] [CrossRef]
- Xi, X.; Du, J.; Liu, J.; Zhu, G.; Qi, G.; Pan, L. Pulmonary artery involvement in Takayasu arteritis: A retrospective study in Chinese population. Clin. Rheumatol. 2021, 40, 635–644. [Google Scholar] [CrossRef] [PubMed]
- Saadoun, D.; Vautier, M.; Cacoub, P. edium-and large-vessel vasculitis. Circulation 2021, 143, 267–282. [Google Scholar] [CrossRef] [PubMed]
- Odev, K.; Tunc, R.; Varol, S.; Aydemir, H.; Yilmaz, P.D.; Korkmaz, C. Thoracic complications in Behçet’s disease: Imaging findings. Can. Respir. J. 2020, 2020, 4649081. [Google Scholar] [CrossRef] [PubMed]
- Aksoy, E.; Aktas, O.; Tokgoz, F.; Kongar, N.; Goksenoglu, N.; Bodur, Y.; Güran, S.; Sevim, T. Cases diagnosed with Swyer James Macleod syndrome in adulthood. Turk. Thorac. J. 2015, 16, 36–42. [Google Scholar] [CrossRef] [PubMed]
- Yuan, X.; Mitsis, A.; Nienaber, C.A. Current understanding of aortic dissection. Life 2022, 12, 1606. [Google Scholar] [CrossRef]
- Seferian, A.; Steriade, A.; Jais, X.; Planche, O.; Savale, L.; Parent, F.; Amar, D.; Jovan, R.; Fadel, E.; Sitbon, O.; et al. Pulmonary hypertension complicating fibrosing mediastinitis. Medicine 2015, 94, e1800. [Google Scholar] [CrossRef]
- Zhou, M.; Li, B.; Chen, Y.; Wang, A.; Zhu, Y.; Li, Y.; Su, H.; Fan, J.; Zhang, Y.; Cao, Y. Chest X-ray features facilitate screening for pulmonary hypertension caused by fibrosing mediastinitis. Ther. Adv. Chronic Dis. 2022, 13, 20406223221143245. [Google Scholar] [CrossRef]
- Han, C.B.; Wang, W.L.; Quint, L.; Xue, J.X.; Matuszak, M.; Haken, R.T.; Kong, F.M. Pulmonary artery invasion, high-dose radiation, and overall survival in patients with non-small cell lung cancer. Int. J. Radiat. Oncol. Biol. Phys. 2014, 89, 313–321. [Google Scholar] [CrossRef]
- Sugiyama, H.; Tohma, R.; Misato, T.; Okamoto, K.; Hayashi, T.; Tobe, S.; Matsuo, T.; Tsunemi, K.; Oka, T.; Tanimura, N. Right heart failure caused by direct pressure of distal arch aneurysm. Gen. Thorac. Cardiovasc. Surg. 2019, 67, 263–265. [Google Scholar] [CrossRef]
- Abe, T.; Kamikubo, Y.; Taneichi, T.; Terada, T.; Sugiura, J.; Sakurai, T.; Tsuboi, N.; Sakurai, H. Right heart failure secondary to compression of the right pulmonary artery by a large proximal aortic aneurysm. Circulation 2013, 128, 1588–1589. [Google Scholar] [CrossRef][Green Version]
- Alfudhili, K.M.; Hassan, H.H.; Abdullah, H.; Sherbiny, M. Pulmonary vein occlusion and lung infarction complicating non-treated moderate single pulmonary vein stenosis after radiofrequency ablation of atrial fibrillation. BJR Case Rep. 2017, 18, 20160091. [Google Scholar] [CrossRef]
- Xu, L.; Cui, L.; Hou, J.; Wang, J.; Chen, B.; Xue, X.; Yang, Y.; Wu, J.; Chen, J. Clinical characteristics of patients with atrial fibrillation suffering from pulmonary vein stenosis after radiofrequency ablation. J. Int. Med. Res. 2020, 48, 0300060519881555. [Google Scholar] [CrossRef]
- Ravenel, J.G.; McAdams, H.P. Pulmonary venous infarction after radiofrequency ablation for atrial fibrillation. AJR Am. J. Roentgenol. 2002, 178, 664–666. [Google Scholar] [CrossRef]





















| Congenital Disease | Manuscript Location | |
|---|---|---|
| Section 3.1 | Pulmonary valvular stenosis | |
| Section 3.2 | Pulmonary artery atresia | |
| Section 3.3 | Pulmonary vein atresia | |
| Acquired disease | ||
| Intraluminal anomalies | ||
| Section 4.1.1 | Pulmonary thromboembolism | |
| Section 4.1.2 | In situ pulmonary artery thrombosis | |
| Section 4.1.3 | Pulmonary tumor embolism | |
| Section 4.1.3 | Pulmonary tumor thrombotic microangiography | |
| Section 4.1.4 | Septic pulmonary embolism | |
| Section 4.1.5 | Foreign bodies pulmonary embolism | |
| Section 4.1.6 | Pulmonary artery sarcoma | |
| Vessel wall lesions | ||
| Section 4.2.1 | Takayasu arteritis | |
| Section 4.2.2 | Behçet disease | |
| Section 4.2.3 | Swyer–James–Macleod Syndrome | |
| Section 4.2.4 | Arterial dissection | |
| Extraluminal anomalies | ||
| Section 4.3.1 | Fibrosis mediastinitis | |
| Section 4.3.2 | Tumor | |
| Section 4.3.3 | Aortic aneurysm | |
| Section 5 | Complications of radiofrequency ablation of atrial fibrillation |
Disclaimer/Publisher’s Note: The statements, opinions and data contained in all publications are solely those of the individual author(s) and contributor(s) and not of MDPI and/or the editor(s). MDPI and/or the editor(s) disclaim responsibility for any injury to people or property resulting from any ideas, methods, instructions or products referred to in the content. |
© 2024 by the authors. Licensee MDPI, Basel, Switzerland. This article is an open access article distributed under the terms and conditions of the Creative Commons Attribution (CC BY) license (https://creativecommons.org/licenses/by/4.0/).
Share and Cite
Zhang, M.; Chen, L.; Bu, C.; Zhang, H.; Luo, J.; Wang, J.; Sun, Q.; Liu, Q.; Sun, Z.; Li, Y. CT Imaging Findings of Pulmonary Artery Stenosis: A Pictorial Review. Diagnostics 2024, 14, 1762. https://doi.org/10.3390/diagnostics14161762
Zhang M, Chen L, Bu C, Zhang H, Luo J, Wang J, Sun Q, Liu Q, Sun Z, Li Y. CT Imaging Findings of Pulmonary Artery Stenosis: A Pictorial Review. Diagnostics. 2024; 14(16):1762. https://doi.org/10.3390/diagnostics14161762
Chicago/Turabian StyleZhang, Mengdi, Li Chen, Chao Bu, Hanxi Zhang, Jing Luo, Jing Wang, Qihua Sun, Qingyu Liu, Zhonghua Sun, and Yu Li. 2024. "CT Imaging Findings of Pulmonary Artery Stenosis: A Pictorial Review" Diagnostics 14, no. 16: 1762. https://doi.org/10.3390/diagnostics14161762
APA StyleZhang, M., Chen, L., Bu, C., Zhang, H., Luo, J., Wang, J., Sun, Q., Liu, Q., Sun, Z., & Li, Y. (2024). CT Imaging Findings of Pulmonary Artery Stenosis: A Pictorial Review. Diagnostics, 14(16), 1762. https://doi.org/10.3390/diagnostics14161762

