Improving the Diagnosis of Autoimmune Gastritis: From Parietal Cell Antibodies to H+/K+ ATPase Antibodies
Abstract
1. Introduction
2. Clinical Meaning of PCA
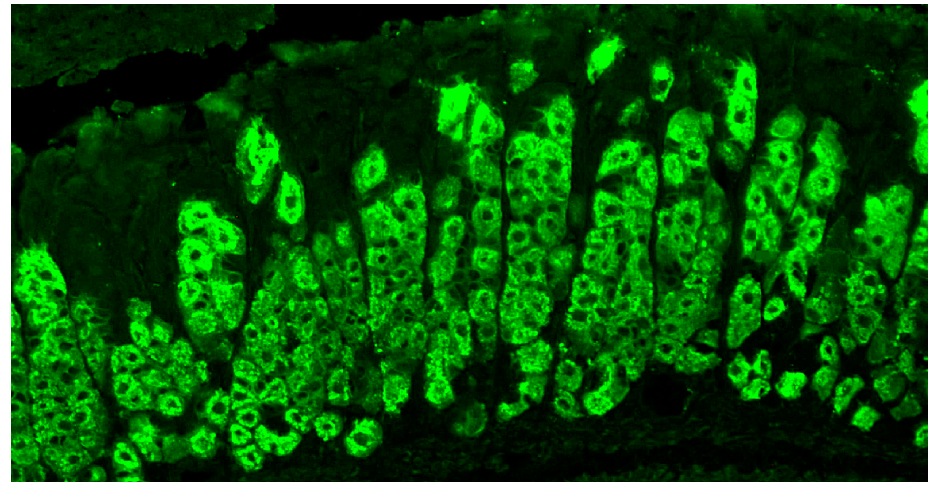
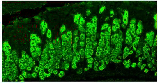
3. Analytical Methods for Serum PCA Determination
4. H+/K+-ATPase Subunits in CAAG Diagnosis and Monitoring
5. Discussion
Funding
Institutional Review Board Statement
Informed Consent Statement
Conflicts of Interest
References
- Di Sabatino, A.; Lenti, M.V.; Giuffrida, P.; Vanoli, A.; Corazza, G.R. New insights into immune mechanisms underlying autoimmune diseases of the gastrointestinal tract. Autoimmun. Rev. 2015, 14, 1161–1169. [Google Scholar] [CrossRef] [PubMed]
- Rustgi, S.D.; Bijlani, P.; Shah, S.C. Autoimmune gastritis, with or without pernicious anemia: Epidemiology, risk factors, and clinical management. Ther. Adv. Gastroenterol. 2021, 14, 17562848211038771. [Google Scholar] [CrossRef] [PubMed]
- Lenti, M.V.; Rugge, M.; Lahner, E.; Miceli, E.; Toh, B.H.; Genta, R.; De Block, C.; Hershko, C.; Di Sabatino, A. Autoimmune gastritis. Nat. Rev. Dis. Primers 2020, 6, 56. [Google Scholar] [CrossRef] [PubMed]
- Rusak, E.; Chobot, A.; Krzywicka, A.; Wenzlau, J. Anti-parietal cell antibodies—Diagnostic significance. Adv. Med. Sci. 2016, 61, 175–179. [Google Scholar] [CrossRef] [PubMed]
- Massironi, S.; Zilli, A.; Elvevi, A.; Invernizzi, P. The changing face of chronic autoimmune atrophic gastritis: An updated comprehensive perspective. Autoimmun. Rev. 2019, 18, 215–222. [Google Scholar] [CrossRef] [PubMed]
- Bizzaro, N.; Antico, A.; Villalta, D. Autoimmunity and gastric cancer. Int. J. Mol. Sci. 2018, 19, 377. [Google Scholar] [CrossRef] [PubMed]
- Arai, J.; Niikura, R.; Hayakawa, Y.; Suzuki, N.; Hirata, Y.; Ushiku, T.; Fujishiro, M. Clinicopathological Features of Gastric Cancer with Autoimmune Gastritis. Biomedicines 2022, 10, 884. [Google Scholar] [CrossRef] [PubMed]
- Song, M.; Camargo, M.C.; Katki, H.A.; Weinstein, S.J.; Männistö, S.; Albanes, D.; Surcel, H.-M.; Rabkin, C.S. Association of Antiparietal Cell and Anti-Intrinsic Factor Antibodies With Risk of Gastric Cancer. JAMA Oncol. 2022, 8, 268–274. [Google Scholar] [CrossRef] [PubMed]
- Kriķe, P.; Appel, M.S.; Shums, Z.; Poļaka, I.; Kojalo, I.; Rudzīte, D.; Tolmanis, I.; Kiršners, A.; Bogdanova, I.; Aleksandravica, I.; et al. Autoimmune gastritis serological biomarkers in gastric cancer patients. Eur. J. Cancer Prev. 2024, 33, 29–36. [Google Scholar] [CrossRef] [PubMed]
- Zhang, Z.; Zhub, T.; Zhanga, L.; Xingc, Y.; Yana, Z.; Liu, Q. Critical influence of cytokines and immune cells in autoimmune gastritis. Autoimmunity 2023, 56, 2174531. [Google Scholar] [CrossRef]
- Della Bella, C.; Antico, A.; Panozzo, M.P.; Capitani, N.; Benagiano, M.; Petrone, L.; Azzurri, A.; Pratesi, S.; D’elios, S.; Cianchi, F.; et al. Elevated IL-19 serum levels in patients with pernicious anemia and autoimmune gastritis. Front. Immunol. 2022, 13, 887256. [Google Scholar] [CrossRef] [PubMed]
- Della Bella, C.; Antico, A.; Panozzo, M.P.; Capitani, N.; Petrone, L.; Benagiano, M.; D’Elios, S.; Sparano, C.; Azzurri, A.; Pratesi, S.; et al. Gastric Th17 Cells Specific for H+/K+-ATPase and Serum IL-17 Signature in Gastric Autoimmunity. Front. Immunol. 2022, 13, 952674. [Google Scholar] [CrossRef] [PubMed]
- Zhang, Y.; Weck, M.N.; Schöttker, B.; Rothenbacher, D.; Brenner, H. Gastric parietal cell antibodies, Helicobacter pylori infection, and chronic atrophic gastritis: Evidence from a large population-based study in Germany. Cancer Epidemiol. Biomarkers Prev. 2013, 22, 821–826. [Google Scholar] [CrossRef]
- Lahner, E.; Zagari, R.M.; Zullo, A.; Di Sabatino, A.; Meggio, A.; Cesaro, P.; Lenti, M.V.; Annibale, B.; Corazza, G.R. Chronic atrophic gastritis: Natural history, diagnosis and therapeutic management. A position paper by the Italian Society of Hospital Gastroenterologists and Digestive Endoscopists [AIGO], the Italian Society of Digestive Endoscopy [SIED], the Italian Society of Gastroenterology [SIGE], and the Italian Society of Internal Medicine [SIMI]. Dig. Liver Dis. 2019, 51, 1621–1632. [Google Scholar] [PubMed]
- Esposito, G.; Dottori, L.; Pivetta, G.; Ligato, I.; Dilaghi, E.; Lahner, E. Pernicious anemia: The hematological presentation of a multifaceted disorder caused by cobalamin deficiency. Nutrients 2022, 14, 1672. [Google Scholar] [CrossRef] [PubMed]
- Karlsson, F.A.; Burman, P.; Loof, L.; Olsson, M.; Scheynius, A.; Mardh, S. Enzyme-linked immunosorbent assay of H+, K+-ATPase, the parietal cell antigen. Clin. Exp. Immunol. 1987, 70, 604–610. [Google Scholar] [PubMed]
- Neumann, W.L.; Coss, E.; Rugge, M.; Genta, R.M. Autoimmune atrophic gastritis-pathogenesis, pathology and management. Nat. Rev. Gastroenterol. Hepatol. 2013, 10, 529–541. [Google Scholar] [CrossRef] [PubMed]
- Mardh, S.; Song, J.; Ma, J. Autoimmune gastritis and H+/K+-ATPase. In The Sodium Pump; Steinkopff: Heidelberg, Germany, 1994; Volume 3, pp. 797–806. [Google Scholar]
- Claeys, D.; Faller, G.; Appelmelk, B.J.; Negrini, R.; Kirchner, T. The gastric H+,K+-ATPase is a major autoantigen in chronic Helicobacter pylori gastritis with body mucosa atrophy. Gastroenterology 1998, 115, 340–347. [Google Scholar] [CrossRef]
- Lahner, E.; Brigatti, C.; Marzinotto, I.; Carabotti, M.; Scalese, G.; Davidson, H.W.; Wenzlau, J.M.; Bosi, E.; Piemonti, L.; Annibale, B.; et al. Luminescent Immunoprecipitation System (LIPS) for Detection of Autoantibodies Against ATP4A and ATP4B Subunits of Gastric Proton Pump H+, K+-ATPase in Atrophic Body Gastritis Patients. Clin. Transl. Gastroenterol. 2017, 8, e215. [Google Scholar] [CrossRef]
- Lahner, E.; Marzinotto, I.; Brigatti, C.; Davidson, H.; Wenzlau, J.; Piemonti, L.; Annibale, B.; Lampasona, V. Measurement of Autoantibodies to Gastric H+, K+-ATPase (ATP4A/B) Using a Luciferase Immunoprecipitation System (LIPS); Methods in Molecular Biology; Humana Press: New York, NY, USA, 2019; Volume 1901, pp. 113–131. [Google Scholar]
- Callaghan, J.M.; Khan, M.A.; Alderuccio, F.; Van Driel, I.R.; Gleeson, P.A.; Toh, B.H. Alpha and beta subunits of the gastric H+/K+-ATPase are concordantly targeted by parietal cell autoantibodies associated with autoimmune gastritis. Autoimmunity 1993, 16, 289–295. [Google Scholar] [CrossRef]
- Faller, G.; Kirchner, T. Immunological and morphogenic basis of gastric mucosa atrophy and metaplasia. Virchows Arch. 2005, 446, 1–9. [Google Scholar] [CrossRef] [PubMed]
- Lahner, E.; Norman, G.L.; Severi, C.; Encabo, S.; Shums, Z.; Vannella, L.; Fave, G.D.; Annibale, B. Reassessment of intrinsic factor and parietal cell autoantibodies in atrophic gastritis with respect to cobalamin deficiency. Am. J. Gastroenterol. 2009, 104, 2071–2079. [Google Scholar] [CrossRef]
- Lenti, M.V.; Miceli, E.; Padula, D.; Di Sabatino, A.; Corazza, G.R. The challenging diagnosis of autoimmune atrophic gastritis. Scand. J. Gastroenterol. 2017, 52, 471–472. [Google Scholar] [CrossRef]
- Kriķe, P.; Shums, Z.; Poļaka, I.; Kikuste, I.; Vanags, A.; Tolmanis, I.; Isajevs, S.; Liepniece-Karele, I.; Santare, D.; Tzivian, L.; et al. The diagnostic value of anti-parietal cell and intrinsic factor antibodies, pepsinogens, and gastrin-17 in corpus-restricted atrophic gastritis. Diagnostics 2022, 12, 2784. [Google Scholar] [CrossRef]
- Bakulina, N.; Tikhonov, S.; Malkov, V.; Vorobyev, S.; Belyakov, I.; Peshkova, N.; Belko, E.; Syrjänen, K. Non-invasive screening of autoimmune atrophic gastritis in asymptomatic subjects by serological biomarker test (GastroPanel®). Anticancer Res. 2022, 42, 1517–1526. [Google Scholar] [CrossRef] [PubMed]
- Kishikawa, H.; Nakamura, K.; Ojiro, K.; Katayama, T.; Arahata, K.; Takarabe, S.; Sasaki, A.; Miura, S.; Hayashi, Y.; Hoshi, H.; et al. Relevance of pepsinogen, gastrin, and endoscopic atrophy in the diagnosis of autoimmune gastritis. Sci. Rep. 2022, 12, 4202–4213. [Google Scholar] [CrossRef]
- Conti, L.; Lenti, M.V.; Di Sabatino, A.; Miceli, E.; Galli, G.; Cazzato, M.; Falangone, F.; Annibale, B.; Lahner, E. Seronegative autoimmune atrophic gastritis is more common in elderly patients. Dig. Liver Dis. 2020, 52, 1310–1314. [Google Scholar] [CrossRef]
- Nishizawa, T.; Watanabe, H.; Yoshida, S.; Toyoshima, A.; Kataoka, Y.; Kanazawa, T.; Yoshizawa, N.; Ebinuma, H.; Suzuki, H.; Toyoshima, O. Decreased anti-parietal cell antibody titer in the advanced phase of autoimmune gastritis. Scand. J. Gastroenterol. 2022, 57, 143–148. [Google Scholar] [CrossRef]
- Yu, Y.-F.; Tong, K.-K.; Shangguan, X.-L.; Yang, X.-Y.; Wu, J.-Y.; Hu, G.; Yu, R.; Tan, C.-C. Research status and hotspots of autoimmune gastritis: A bibliometric analysis. World J. Gastroenterol. 2023, 29, 5781–5799. [Google Scholar] [CrossRef]
- Tozzoli, R.; Kodermaz, G.; Perosa, A.R.; Tampoia, M.; Zucano, A.; Antico, A.; Bizzaro, N. Autoantibodies to parietal cells as predictors of atrophic body gastritis: A five-year prospective study in patients with autoimmune thyroid diseases. Autoimmun. Rev. 2010, 10, 80–83. [Google Scholar] [CrossRef]
- Antico, A.; Tampoia, M.; Villalta, D.; Tonutti, E.; Tozzoli, R.; Bizzaro, N. Clinical usefulness of the serological gastric biopsy for the diagnosis of chronic autoimmune gastritis. Clin. Dev. Immunol. 2012, 2012, 520970. [Google Scholar] [CrossRef] [PubMed]
- Bagnasco, M.; Saverino, D.; Pupo, F.; Marchiano, M.; Alessio, M.G.; Schlumberger, W.; Antico, A.; Pesce, G.; Bizzaro, N. Estimate of the prevalence of anti-gastric parietal cell autoantibodies in healthy individuals is method dependent. Am. J. Clin. Pathol. 2018, 150, 285–292. [Google Scholar] [CrossRef]
- Toh, B.H.; Kyaw, T.; Taylor, R.; Pollock, W.; Schlumberger, W. Parietal cell antibody identified by ELISA is superior to immunofluorescence, rises with age and is associated with intrinsic factor antibody. Autoimmunity 2012, 45, 527–532. [Google Scholar] [CrossRef] [PubMed]
- Cinquanta, L.; Fontana, D.E.; Bizzaro, N. Chemiluminescent immunoassay technology: What does it change in autoantibody detection? Autoimmun. Highlights 2017, 8, 9. [Google Scholar] [CrossRef]
- Bizzaro, N.; Antico, A. Diagnosis and classification of pernicious anemia. Autoimmun. Rev. 2014, 13, 565–568. [Google Scholar] [CrossRef]
- Utiyama, S.R.R.; De Bem, R.S.; Skare, T.L.; De Carvalho, G.A.; Teixeira, L.M.; Bertolazo, M.; Ioshii, S.O.; Nisihara, R. Anti-parietal cell antibodies in patients with autoimmune thyroid diseases. J. Endocrinol. Investig. 2018, 41, 523–529. [Google Scholar] [CrossRef] [PubMed]
- Khan, S.; Del-Duca, C.; Fenton, E.; Holding, S.; Hirst, J.; Doré, P.C.; Sewell, W.A.C. Limited value of testing for intrinsic factor antibodies with negative gastric parietal cell antibodies in pernicious anaemia. J. Clin. Pathol. 2009, 62, 439–441. [Google Scholar] [CrossRef] [PubMed]
- Lukens, M.V.; Koelman, C.A.; Curvers, J.; Roozendaal, C.; Bakker-Jonges, L.E.; Damoiseaux, J.G.; Kroesen, B.-J. Comparison of different immunoassays for the detection of antibodies against intrinsic factor and parietal cells. J. Immunol. Methods 2020, 487, 112867. [Google Scholar] [CrossRef]
- Sun, A.; Wang, Y.P.; Lin, H.P.; Chia, J.S.; Chiang, C.P. Do all the patients with gastric parietal cell antibodies have pernicious anemia? Oral Dis. 2013, 19, 381–386. [Google Scholar] [CrossRef]
- Infantino, M.; Palterer, B.; Previtali, G.; Alessio, M.G.; Villalta, D.; Carbone, T.; Platzgummer, S.; Paura, G.; Castiglione, C.; Fabris, M.; et al. Comparison of current methods for anti-dsDNA antibody detection and reshaping diagnostic strategies. Scand. J. Immunol. 2022, 96, e13220. [Google Scholar] [CrossRef]
- Lahner, E.; Marzinotto, I.; Lampasona, V.; Dottori, L.; Bazzigaluppi, E.; Brigatti, C.; Secchi, M.; Piemonti, L.; Conti, L.; Pilozzi, E.; et al. Autoantibodies toward ATP4A and ATP4B subunits of gastric proton pump H+,K+-ATPase are reliable serological pre-endoscopic markers of corpus atrophic gastritis. Clin. Transl. Gastroenterol. 2020, 11, e00240. [Google Scholar] [CrossRef] [PubMed]
- Bizzaro, N. Is immunofluorescence about to disappear in clinical laboratories? Riv. Ital. Med. Lab. 2023, 19, 1–5. [Google Scholar]
- Carbone, T.; Infantino, M.; Antico, A.; Porcelli, B.; Villalta, D.; Pafundi, V.; Bizzaro, N. An Italian nationwide survey on the evolution of autoantibody diagnostics in autoimmune rheumatic diseases. Clin. Exp. Rheumatol. 2023, 41, 2277–2285. [Google Scholar] [CrossRef] [PubMed]
- Garrafa, E.; Carbone, T.; Patel, D.; Infantino, M.; Bizzaro, N. Insights gained from a decade of autoantibody testing harmonization: Reflections from the UK NEQAS external quality assurance program. In Proceedings of the 14th International Congress on Autoimmunity, Ljubljana, Slovenia, 17–20 May 2024. [Google Scholar]

| Method | Antigen Source | Cutoff | Sensitivity (%) | Specificity (%) |
|---|---|---|---|---|
| IIF (Inova Diagnostics, San Diego, CA, USA) | Rat stomach | 1:20 | 98.7 | 98.8 |
| IIF (Euroimmun, Lübeck, Germany) | Monkey stomach | 1:10 | 95.1 | 98.8 |
| ELISA (Orgentec, Mainz, Germany) | Porcine | 10 U/mL | 100 | 96.3 |
| ELISA (Euroimmun, Lübeck, Germany) | Porcine | ≥1 (ratio) | 100 | 98.8 |
| ELISA (Inova Diagnostics, San Diego, CA, USA) | Porcine | 25 U/mL | 100 | 100 |
| IB (D-tek, Mons, Belgium) | Porcine | 10 AU | 95.1 | 100 |
| FEIA (Thermo Fisher, Freiburg, Germany) | Porcine | 10 U/mL | 100 | 100 |
Disclaimer/Publisher’s Note: The statements, opinions and data contained in all publications are solely those of the individual author(s) and contributor(s) and not of MDPI and/or the editor(s). MDPI and/or the editor(s) disclaim responsibility for any injury to people or property resulting from any ideas, methods, instructions or products referred to in the content. |
© 2024 by the authors. Licensee MDPI, Basel, Switzerland. This article is an open access article distributed under the terms and conditions of the Creative Commons Attribution (CC BY) license (https://creativecommons.org/licenses/by/4.0/).
Share and Cite
Tonegato, M.; Panozzo, M.P.; Antico, A.; Bizzaro, N. Improving the Diagnosis of Autoimmune Gastritis: From Parietal Cell Antibodies to H+/K+ ATPase Antibodies. Diagnostics 2024, 14, 1721. https://doi.org/10.3390/diagnostics14161721
Tonegato M, Panozzo MP, Antico A, Bizzaro N. Improving the Diagnosis of Autoimmune Gastritis: From Parietal Cell Antibodies to H+/K+ ATPase Antibodies. Diagnostics. 2024; 14(16):1721. https://doi.org/10.3390/diagnostics14161721
Chicago/Turabian StyleTonegato, Michela, Maria Piera Panozzo, Antonio Antico, and Nicola Bizzaro. 2024. "Improving the Diagnosis of Autoimmune Gastritis: From Parietal Cell Antibodies to H+/K+ ATPase Antibodies" Diagnostics 14, no. 16: 1721. https://doi.org/10.3390/diagnostics14161721
APA StyleTonegato, M., Panozzo, M. P., Antico, A., & Bizzaro, N. (2024). Improving the Diagnosis of Autoimmune Gastritis: From Parietal Cell Antibodies to H+/K+ ATPase Antibodies. Diagnostics, 14(16), 1721. https://doi.org/10.3390/diagnostics14161721

