Comparative Efficacy and Safety of Self-Expandable vs. Balloon-Expandable Stent Grafts in Visceral Artery Aneurysm Management
Abstract
1. Introduction
2. Materials and Methods
2.1. Study Design and Patient Demographics
2.2. Patient Selection and Preoperative Assessment
2.3. Interventional Procedure
2.4. Imaging Techniques and Data Collection
2.5. Outcome Measures and Definitions
2.6. Statistical Analysis
3. Results
3.1. Patient Characteristics
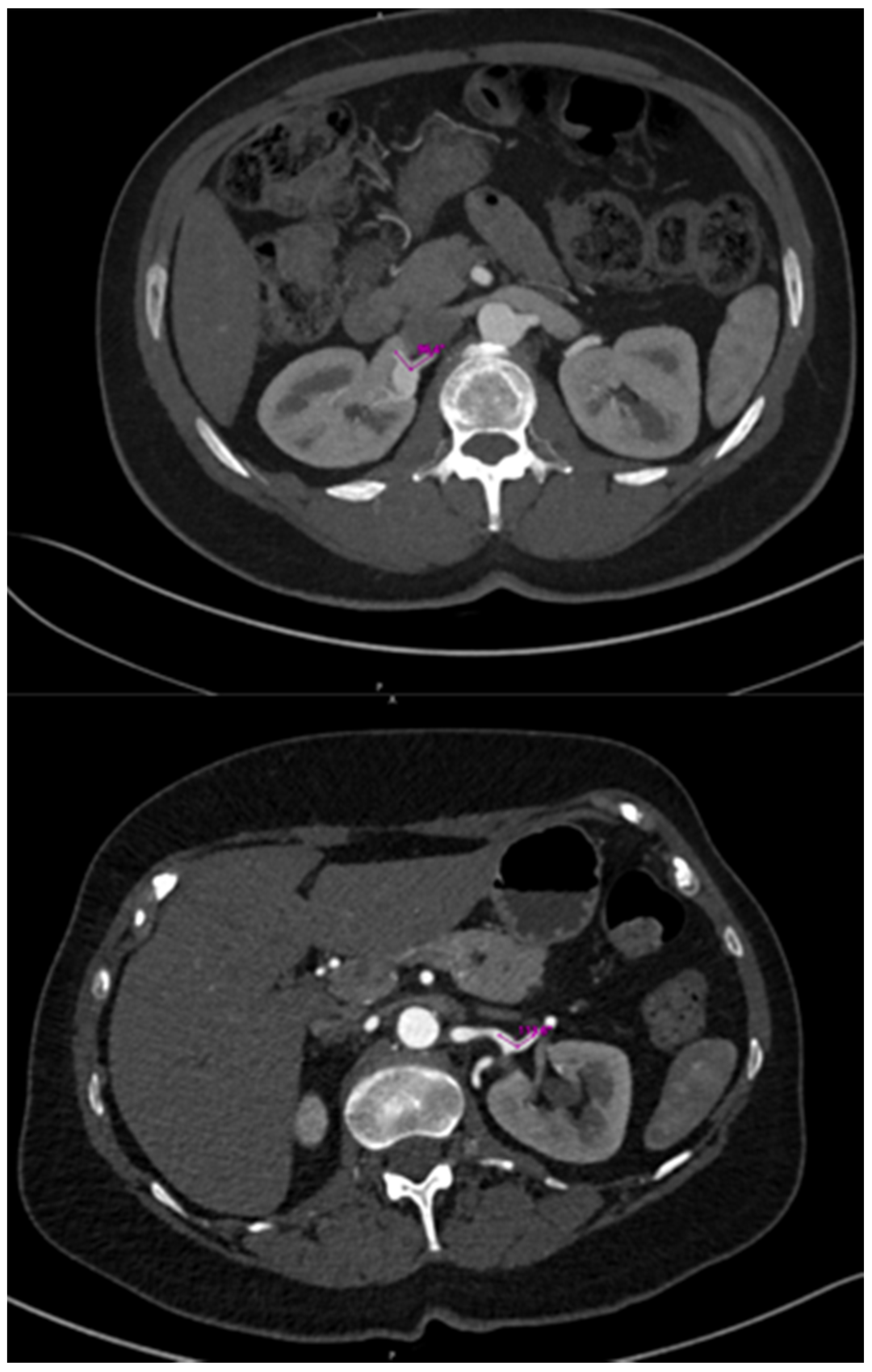
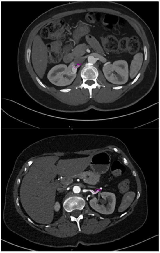
3.2. Imaging Findings
3.3. Clinical Outcomes and Follow-Up
3.4. Long-Term Patency and Survival
4. Discussion
5. Conclusions
Author Contributions
Funding
Institutional Review Board Statement
Informed Consent Statement
Data Availability Statement
Conflicts of Interest
References
- Barrionuevo, P.; Malas, M.B.; Nejim, B.; Haddad, A.; Morrow, A.; Ponce, O.; Hasan, B.; Seisa, M.; Chaer, R.; Murad, M.H. A systematic review and meta-analysis of the management of visceral artery aneurysms. J. Vasc. Surg. 2020, 72 (Suppl. S1), 40S–45S. [Google Scholar] [CrossRef] [PubMed]
- Obara, H.; Kentaro, M.; Inoue, M.; Kitagawa, Y. Current management strategies for visceral artery aneurysms: An overview. Surg. Today 2020, 50, 38–49. [Google Scholar] [CrossRef] [PubMed]
- Hosn, M.A.; Xu, J.; Sharafuddin, M.; Corson, J.D. Visceral Artery Aneurysms: Decision Making and Treatment Options in the New Era of Minimally Invasive and Endovascular Surgery. Int. J. Angiol. 2019, 28, 11–16. [Google Scholar] [CrossRef] [PubMed]
- Bedford, P.D.; Lodge, B. Aneurysm of the Splenic Artery. Gut 1960, 1, 312–320. [Google Scholar] [CrossRef] [PubMed]
- Spiliopoulos, S.; Sabharwal, T.; Karnabatidis, D.; Brountzos, E.; Katsanos, K.; Krokidis, M.; Gkoutzios, P.; Siablis, D.; Adam, A. Endovascular Treatment of Visceral Aneurysms and Pseudoaneurysms: Long-term Outcomes from a Multicenter European Study. Cardiovasc. Intervent. Radiol. 2012, 35, 1315–1325. [Google Scholar] [CrossRef] [PubMed]
- Tulsyan, N.; Kashyap, V.S.; Greenberg, R.K.; Sarac, T.P.; Clair, D.G.; Pierce, G.; Ouriel, K. The endovascular management of visceral artery aneurysms and pseudoaneurysms. J. Vasc. Surg. 2007, 45, 276–283. [Google Scholar] [CrossRef] [PubMed]
- Sahajwani, S.; Tolaymat, B.; Khalifeh, A.; Hosseini, M.; Santini-Dominguez, R.; Blitzer, D.; Sarkar, R.; Toursavadkohi, S. Presentation and management of rare saccular superior mesenteric artery trunk and branch aneurysms. J. Vasc. Surg. Cases Innov. Tech. 2022, 8, 281–286. [Google Scholar] [CrossRef] [PubMed]
- Meyer, A.; Uder, M.; Lang, W.; Croner, R. Visceral artery aneurysms. Zentralbl. Chir. 2010, 135, 416–420. [Google Scholar] [CrossRef] [PubMed]
- Wang, L.; Shu, C.; Li, Q.; Jiang, X.; Li, X.; He, H.; Li, M. Experience of managing superior mesenteric artery aneurysm and its midterm follow-up results with 18 cases. Vascular 2021, 29, 516–526. [Google Scholar] [CrossRef]
- Kueper, M.A.; Ludescher, B.; Koenigsrainer, I.; Kirschniak, A.; Mueller, K.; Wiskirchen, J.; Koenigsrainer, A. Successful Coil Embolization of a Ruptured Gastroduodenal Artery Aneurysm. Vasc. Endovascular. Surg. 2008, 41, 568–571. [Google Scholar] [CrossRef]
- Martinelli, O.; Giglio, A.; Irace, L.; Di Girolamo, A.; Gossetti, B.; Gattuso, R. Single-Center Experience in the Treatment of Visceral Artery Aneurysms. Ann. Vasc. Surg. 2019, 60, 447–454. [Google Scholar] [CrossRef] [PubMed]
- Juntermanns, B.; Bernheim, J.; Karaindros, K.; Walensi, M.; Hoffmann, J.N. Visceral artery aneurysms. Gefasschirurgie 2018, 23 (Suppl. S1), 19–22. [Google Scholar] [CrossRef] [PubMed]
- Coleman, D.M.; Stanley, J.C. Renal artery aneurysms. J. Vasc. Surg. 2015, 62, 779–785. [Google Scholar] [CrossRef] [PubMed]
- Abbas, M.A.; Stone, W.M.; Fowl, R.J.; Gloviczki, P.; Oldenburg, W.A.; Pairolero, P.C.; Hallett, J.W.; Bower, T.C.; Panneton, J.M.; Cherry, K.J. Splenic Artery Aneurysms: Two Decades Experience at Mayo Clinic. Ann. Vasc. Surg. 2002, 16, 442–449. [Google Scholar] [CrossRef] [PubMed]
- Chaer, R.A.; Abularrage, C.J.; Coleman, D.M.; Eslami, M.H.; Kashyap, V.S.; Rockman, C.; Murad, M.H. The Society for Vascular Surgery clinical practice guidelines on the management of visceral aneurysms. J. Vasc. Surg. 2020, 72 (Suppl. S1), 3S–39S. [Google Scholar] [CrossRef] [PubMed]
- Mauri, G.; Sconfienza, L.M.; Casilli, F.; Massaro, S.; Inglese, L. Cardiatis Multilayer Stent for Endovascular Treatment of Peripheral and Visceral Aneurysms: Where Do We Stand? J. Endovasc. Ther. 2013, 20, 575–577. [Google Scholar] [CrossRef] [PubMed]
- Zhang, Y.; Xiang, D.; Lu, Q.; Wu, M.; Cui, J. A systematic review and meta-analysis of the performance of flow-diverting stents in the treatment of peripheral and visceral artery aneurysms. Catheter. Cardiovasc. Interv. 2021, 97, 461–469. [Google Scholar] [CrossRef] [PubMed]
- Künzle, S.; Glenck, M.; Puippe, G.; Schadde, E.; Mayer, D.; Pfammatter, T. Stent-Graft Repairs of Visceral and Renal Artery Aneurysms Are Effective and Result in Long-term Patency. J. Vasc. Interv. Radiol. 2013, 24, 989–996. [Google Scholar] [CrossRef] [PubMed]
- Lee, P.C.; Rhee, R.Y.; Gordon, R.Y.; Fung, J.J.; Webster, M.W. Management of splenic artery aneurysms: The significance of portal and essential hypertension11No competing interests declared. J. Am. Coll. Surg. 1999, 189, 483–490. [Google Scholar] [CrossRef] [PubMed]
- Venturini, M.; Marra, P.; Colombo, M.; Panzeri, M.; Gusmini, S.; Sallemi, C.; Salvioni, M.; Lanza, C.; Agostini, G.; Balzano, G.; et al. Endovascular Repair of 40 Visceral Artery Aneurysms and Pseudoaneurysms with the Viabahn Stent-Graft: Technical Aspects, Clinical Outcome and Mid-Term Patency. Cardiovasc. Interv. Radiol. 2018, 41, 385–397. [Google Scholar] [CrossRef]
- You, Y.; Choi, S.H.; Choi, D.W.; Heo, J.S.; Han, I.W.; Han, S.; Shin, S.W.; Park, K.B.; Park, H.S.; Cho, S.K.; et al. Long-term clinical outcomes after endovascular management of ruptured pseudoaneurysm in patients undergoing pancreaticoduodenectomy. Ann. Surg. Treat. Res. 2019, 96, 237–249. [Google Scholar] [CrossRef]
- Venturini, M.; Marra, P.; Colombo, M.; Alparone, M.; Agostini, G.; Bertoglio, L.; Sallemi, C.; Salvioni, M.; Gusmini, S.; Balzano, G.; et al. Endovascular Treatment of Visceral Artery Aneurysms and Pseudoaneurysms in 100 Patients: Covered Stenting vs. Transcatheter Embolization. J. Endovasc. Ther. 2017, 24, 709–717. [Google Scholar] [CrossRef] [PubMed]
- Song, C.; Dong, J.; Yu, G.; Zhou, J.; Xiang, F.; Pei, Y.; Lu, Q.; Jing, Z. Comparison of open surgery and endovascular procedures as a therapeutic choice for visceral artery aneurysms. Vascular 2018, 26, 387–392. [Google Scholar] [CrossRef] [PubMed]
- Corey, M.R.; Ergul, E.A.; Cambria, R.P.; English, S.J.; Patel, V.I.; Lancaster, R.T.; Kwolek, C.J.; Conrad, M.F. The natural history of splanchnic artery aneurysms and outcomes after operative intervention. J. Vasc. Surg. 2016, 63, 949–957. [Google Scholar] [CrossRef] [PubMed]
- Guo, B.; Guo, D.; Xu, X.; Chen, B.; Shi, Z.; Luo, J.; Jiang, J.; Fu, W. Early and intermediate results of endovascular treatment of symptomatic and asymptomatic visceral artery aneurysms. J. Vasc. Surg. 2016, 64, 140–148. [Google Scholar] [CrossRef][Green Version]
- Grande, W.; Stavropoulos, S.W. Treatment of Complications Following Endovascular Repair of Abdominal Aortic Aneurysms. Semin. Interv. Radiol. 2006, 23, 156–164. [Google Scholar] [CrossRef]
- Chun, J.Y.; Morgan, R. Transcatheter Embolisation of Type 1 Endoleaks after Endovascular Aortic Aneurysm Repair with Onyx: When No Other Treatment Option is Feasible. Eur. J. Vasc. Endovasc. Surg. 2013, 45, 141–144. [Google Scholar] [CrossRef] [PubMed]
- Rehman, Z.U. Endoleaks: Current concepts and treatments. J. Pak. Med. Assoc. 2021, 35, 141–144. [Google Scholar] [CrossRef]
- Orgera, G.; Tipaldi, M.A.; Laurino, F.; Lucatelli, P.; Rebonato, A.; Paraskevopoulos, I.; Rossi, M.; Krokidis, M. Techniques and future perspectives for the prevention and treatment of endoleaks after endovascular repair of abdominal aortic aneurysms. Insights Imaging 2019, 10, 91. [Google Scholar] [CrossRef]
- Sampram, E.S.K.; Karafa, M.T.; Mascha, E.J.; Clair, D.G.; Greenberg, R.K.; Lyden, S.P.; O’Hara, P.J.; Sarac, T.P.; Srivastava, S.D.; Butler, B.; et al. Nature, frequency, and predictors of secondary procedures after endovascular repair of abdominal aortic aneurysm. J. Vasc. Surg. 2003, 37, 930–937. [Google Scholar] [CrossRef]
- Jones, J.E.; Atkins, M.D.; Brewster, D.C.; Chung, T.K.; Kwolek, C.J.; LaMuraglia, G.M.; Hodgman, T.M.; Cambria, R.P. Persistent type 2 endoleak after endovascular repair of abdominal aortic aneurysm is associated with adverse late outcomes. J. Vasc. Surg. 2007, 46, 1–8. [Google Scholar] [CrossRef] [PubMed]
- Becquemin, J.P.; Kelley, L.; Zubilewicz, T.; Desgranges, P.; Lapeyre, M.; Kobeiter, H. Outcomes of secondary interventions after abdominal aortic aneurysm endovascular repair. J. Vasc. Surg. 2004, 39, 298–305. [Google Scholar] [CrossRef] [PubMed]
- Baum, R.A.; Carpenter, J.P.; Golden, M.A.; Velazquez, O.C.; Clark, T.W.; Stavropoulous, S.; Cope, C.; Fairman, R.M. Treatment of type 2 endoleaks after endovascular repair of abdominal aortic aneurysms: Comparison of transarterial and translumbar techniques. J. Vasc. Surg. 2002, 35, 23–29. [Google Scholar] [CrossRef] [PubMed]
- Görich, J.; Rilinger, N.; Sokiranski, R.; Krämer, S.C.; Ermis, C.; Schütz, A.; Brambs, H.-J.; Söldner, J.; Kaiser, W.; Sunder-Plassmann, L.; et al. Treatment of Leaks after Endovascular Repair of Aortic Aneurysms1. Radiology 2000, 215, 414–420. [Google Scholar] [CrossRef] [PubMed]
- Ibrahim, F.; Dunn, J.; Rundback, J.; Pellerito, J.; Galmer, A. Visceral Artery Aneurysms: Diagnosis, Surveillance, and Treatment. Curr. Treat. Options Cardiovasc. Med. 2018, 20, 97. [Google Scholar] [CrossRef] [PubMed]
- Hemp, J.H.; Sabri, S.S. Endovascular Management of Visceral Arterial Aneurysms. Tech. Vasc. Interv. Radiol. 2015, 18, 14–23. [Google Scholar] [CrossRef] [PubMed]
- Gaffey, A.C.; Damrauer, S.M. Evolving Concepts, Management, and Treatment of Type 1 Endoleaks after Endovascular Aneurysm Repair. Semin. Interv. Radiol. 2020, 37, 395–404. [Google Scholar] [CrossRef] [PubMed]
- Risk Factors for Early and Late Type Ib Endoleak Following Endovascular Abdominal Aortic Aneurysm Repair—ClinicalKey. Available online: https://www-clinicalkey-com.ezp3.lib.umn.edu/#!/content/playContent/1-s2.0-S089050962030830X?returnurl=null&referrer=null (accessed on 22 July 2022).
- Fankhauser, G.T.; Stone, W.M.; Naidu, S.G.; Oderich, G.S.; Ricotta, J.J.; Bjarnason, H.; Money, S.R. The minimally invasive management of visceral artery aneurysms and pseudoaneurysms. J. Vasc. Surg. 2011, 53, 966–970. [Google Scholar] [CrossRef] [PubMed]
- Tenorio, E.R.; Kärkkäinen, J.M.; Mendes, B.C.; DeMartino, R.R.; Macedo, T.A.; Diderrich, A.; Hofer, J.; Oderich, G.S. Outcomes of directional branches using self-expandable or balloon-expandable stent grafts during endovascular repair of thoracoabdominal aortic aneurysms. J. Vasc. Surg. 2020, 71, 1489–1502.e6. [Google Scholar] [CrossRef]
- Gargiulo, M.; Gallitto, E.; Wattez, H.; Verzini, F.; Massoni, C.B.; Loschi, D.; Freyrie, A.; Haulon, S. Outcomes of endovascular aneurysm repair performed in abdominal aortic aneurysms with large infrarenal necks. J. Vasc. Surg. 2017, 66, 1065–1072. [Google Scholar] [CrossRef]
- Mohan, I.V.; Laheij, R.J.F.; Harris, P.L. Risk Factors for Endoleak and the Evidence for Stent-graft Oversizing in Patients Undergoing Endovascular Aneurysm Repair. Eur. J. Vasc. Endovasc. Surg. 2001, 21, 344–349. [Google Scholar] [CrossRef] [PubMed]
- van Prehn, J.; Schlösser, F.J.V.; Muhs, B.E.; Verhagen, H.J.M.; Moll, F.L.; van Herwaarden, J.A. Oversizing of Aortic Stent Grafts for Abdominal Aneurysm Repair: A Systematic Review of the Benefits and Risks. Eur. J. Vasc. Endovasc. Surg. 2009, 38, 42–53. [Google Scholar] [CrossRef] [PubMed]
- Qiu, C.; Liu, Z.; Huang, L.; Guo, L.; Lu, W.; Zhang, H.; He, Y.; Tian, L.; Li, D.; Wang, X.; et al. Covered Stents for Treatment of Visceral Artery Aneurysms: A Multicenter Study. J. Vasc. Interv. Radiol. 2022, 33, 640–647. [Google Scholar] [CrossRef] [PubMed]








| Patient No | Age | Stent Type | Gender | Location | Size mm | Type of Aneurysm | DOP | Stent Size | Endoleak | Technical Success | Clinical Success | Patent at Latest FU |
|---|---|---|---|---|---|---|---|---|---|---|---|---|
| 1 | 53 | BE | F | RAA | 17.3 | S | 1/6/2021, 3/1/2021 | 6 mm × 39 mm Gore VBX and 6 mm × 19 mm Gore VBX | Endoleak Type IB | No | No | Yes |
| 2 | 68 | BE | F | RAA | 28.7 | S | 9/8/20 | 5 mm × 22 mm Atrium iCast | No | Yes | Yes | Yes |
| 3 | 64 | BE | M | HAA | 48.7 | S | 2/20/20 | 7 mm × 59 mm Gore VBX | No | Yes | Yes | Yes |
| 4 | 63 | BE | F | RAA | 14.8 | S | 10/18/19 | 5 × 22 mm Atrium iCast | No | Yes | Yes | Yes |
| 5 | 54 | BE | F | HAA | 19 | F | 8/2/2018, 8/15/2018, 11/1/2018 | 6 × 39 mm Gore VBX | Endoleak Type IA | No | No | No |
| 6 | 59 | BE | M | SAA | 20 | S | 8/9/17 | 8 × 59 mm Gore VBX | No | Yes | Yes | Yes |
| 7 | 62 | BE | M | SAA | 17 | S | 7/7/2017, 1/18/2018 | 6 × 39 mm Gore VBX and 8 × 39 mm Gore VBX | Endoleak Type IB | No | No | Yes |
| 8 | 67 | BE | M | GDA | 77.5 | F | 12/17/2016, 1/25/2017, 1/26/2017 | Procedure 1: 36 × 7 Atrium iCast Procedure 2: 7 mm × 22 Atrium iCast and 7 × 38 Atrium iCast Procedure 3: 8 mm × 50 Viabahn Stent graft and 9 mm × 38 mm Atrium iCast | Endoleak Type III | No | No | Yes |
| 9 | 52 | BE | F | HAA | 16 | S | 2/6/13 | 7 mm × 22 mm Atrium iCast and 6 mm × 22 mm Atrium iCast and 8 mm × 25 mm Viabahn stent graft | Endoleak Type I A | No | No | Yes |
| 10 | 71 | BE | F | RAA | 19.5 | S | 4/13/2011, 5/29/2020 | Procedure 1: 5 × 22 Atrium iCast Procedure 2: 6 × 19 mm Gore VBX | Endoleak Type IA | No | No | Yes |
| 11 | 79 | BE | M | Celiac AA | 33.8 | S | 2/19/09 | 7 mm × 38 cm Atrium iCast and 8 mm × 38 mm Atrium iCast | No | Yes | Yes | Yes |
| 12 | 70 | BE | F | Celiac AA | 36 | F | 4/26/07 | 9 mm × 59 mm Atrium iCast | Endoleak Type IB | No | No | Yes |
| 13 | 64 | BE | M | SAA | 18.6 | S | 4/27/16 | 7 × 22 Atrium iCast (×2) | Endoleak Type IA | No | No | Unclear (limited follow up; splenic artery subsequetly extensively embolized) |
| 14 | 35 | BE | M | SMA | 26.1 | S | 5/5/2017, 5/8/2017 | Procedure 1: 7 × 19 mm and 6 × 19 mm Gore VBX Procedure 2: 8 × 50 mm Gore VBX | Endoleak Type IA | No | No | No |
| 15 | 59 | BE | M | SAA | 20.7 | S | 8/9/17 | 8 mm × 59 mm Gore VBX. | Repeat (No endoleak) | No | No | Yes |
| 16 | 30 | SE | F | SAA | 20.4 | F | 6/4/18 | 6 mm × 5 cm Viabahn stent graft | Endoleak Type II (resolved) | No | No | Yes |
| 17 | 70 | SE | M | SAA | 21.1 | S | 5/4/18 | 8 × 50 mm Viabahn stent graft | No | Yes | Yes | Yes |
| 18 | 81 | SE | F | HAA | 18.3 | F | 10/26/16 | 5 mm × 4 cm Viabahn stent graft and 5 mm × 5 cm Viabahn stent graft | No | Yes | Yes | Yes |
| 19 | 66 | SE | M | HAA | 16.2 | S | 1/1/2016, 1/14/2016 | 6 × 25 Viabahn stent graft and 6 × 50 Viabahn stent graft | No | No | No | Yes |
| 20 | 66 | SE | M | SAA | 24 | S | 12/13/13 | 7 mm × 5 cm Viabahn stent graft | No | Yes | Yes | Yes |
| 21 | 69 | SE | M | SAA | 18.8 | F | 2/14/13 | 6 mm × 5 cm Viabahn stent graft | No | Yes | Yes | Yes |
| 22 | 58 | SE | F | SAA | 35.5 | F | 6/5/08 | 5 mm × 5 cm Viabahn stent graft | No | Yes | Yes | Yes |
| 23 | 47 | SE | M | HAA | ? | F | 9/16/06 | 6 × 40 Viabahn stent graft | No | Yes | Yes | Yes |
| Group | n | Mean | Std. Deviation | p-Value | |
|---|---|---|---|---|---|
| Angles | BE | 15 | 65.66 | 40.89 | 0.907 |
| SE | 7 | 63.29 | 46.34 |
| Endoleak | ||
|---|---|---|
| Angles | n | 22 |
| Correlation Coefficient | 0.110 | |
| p-value | 0.627 |
Disclaimer/Publisher’s Note: The statements, opinions and data contained in all publications are solely those of the individual author(s) and contributor(s) and not of MDPI and/or the editor(s). MDPI and/or the editor(s) disclaim responsibility for any injury to people or property resulting from any ideas, methods, instructions or products referred to in the content. |
© 2024 by the authors. Licensee MDPI, Basel, Switzerland. This article is an open access article distributed under the terms and conditions of the Creative Commons Attribution (CC BY) license (https://creativecommons.org/licenses/by/4.0/).
Share and Cite
Talaie, R.; Torkian, P.; Spano, A.; Mahjoubnia, A.; Flanagan, S.M.; Rosenberg, M.; Lin, J.; Golzarian, J.; Shrestha, P. Comparative Efficacy and Safety of Self-Expandable vs. Balloon-Expandable Stent Grafts in Visceral Artery Aneurysm Management. Diagnostics 2024, 14, 1695. https://doi.org/10.3390/diagnostics14151695
Talaie R, Torkian P, Spano A, Mahjoubnia A, Flanagan SM, Rosenberg M, Lin J, Golzarian J, Shrestha P. Comparative Efficacy and Safety of Self-Expandable vs. Balloon-Expandable Stent Grafts in Visceral Artery Aneurysm Management. Diagnostics. 2024; 14(15):1695. https://doi.org/10.3390/diagnostics14151695
Chicago/Turabian StyleTalaie, Reza, Pooya Torkian, Anthony Spano, Alireza Mahjoubnia, Siobhan M. Flanagan, Michael Rosenberg, Jian Lin, Jafar Golzarian, and Preshant Shrestha. 2024. "Comparative Efficacy and Safety of Self-Expandable vs. Balloon-Expandable Stent Grafts in Visceral Artery Aneurysm Management" Diagnostics 14, no. 15: 1695. https://doi.org/10.3390/diagnostics14151695
APA StyleTalaie, R., Torkian, P., Spano, A., Mahjoubnia, A., Flanagan, S. M., Rosenberg, M., Lin, J., Golzarian, J., & Shrestha, P. (2024). Comparative Efficacy and Safety of Self-Expandable vs. Balloon-Expandable Stent Grafts in Visceral Artery Aneurysm Management. Diagnostics, 14(15), 1695. https://doi.org/10.3390/diagnostics14151695
