Compressed SENSitivity Encoding (SENSE): Qualitative and Quantitative Analysis
Abstract
1. Introduction
2. Methods
2.1. Population
2.2. Protocol Optimisation
2.3. MRI Protocol
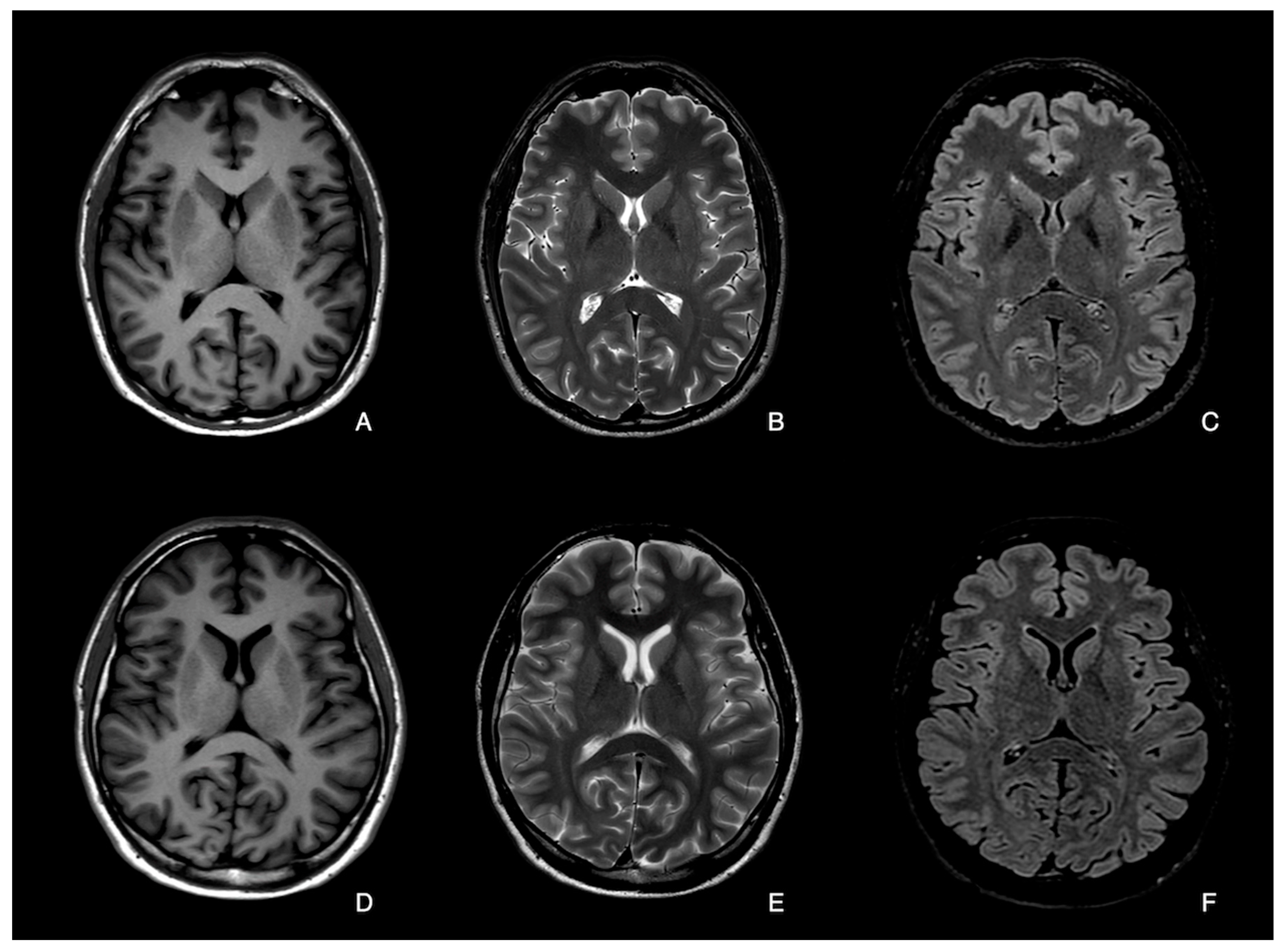
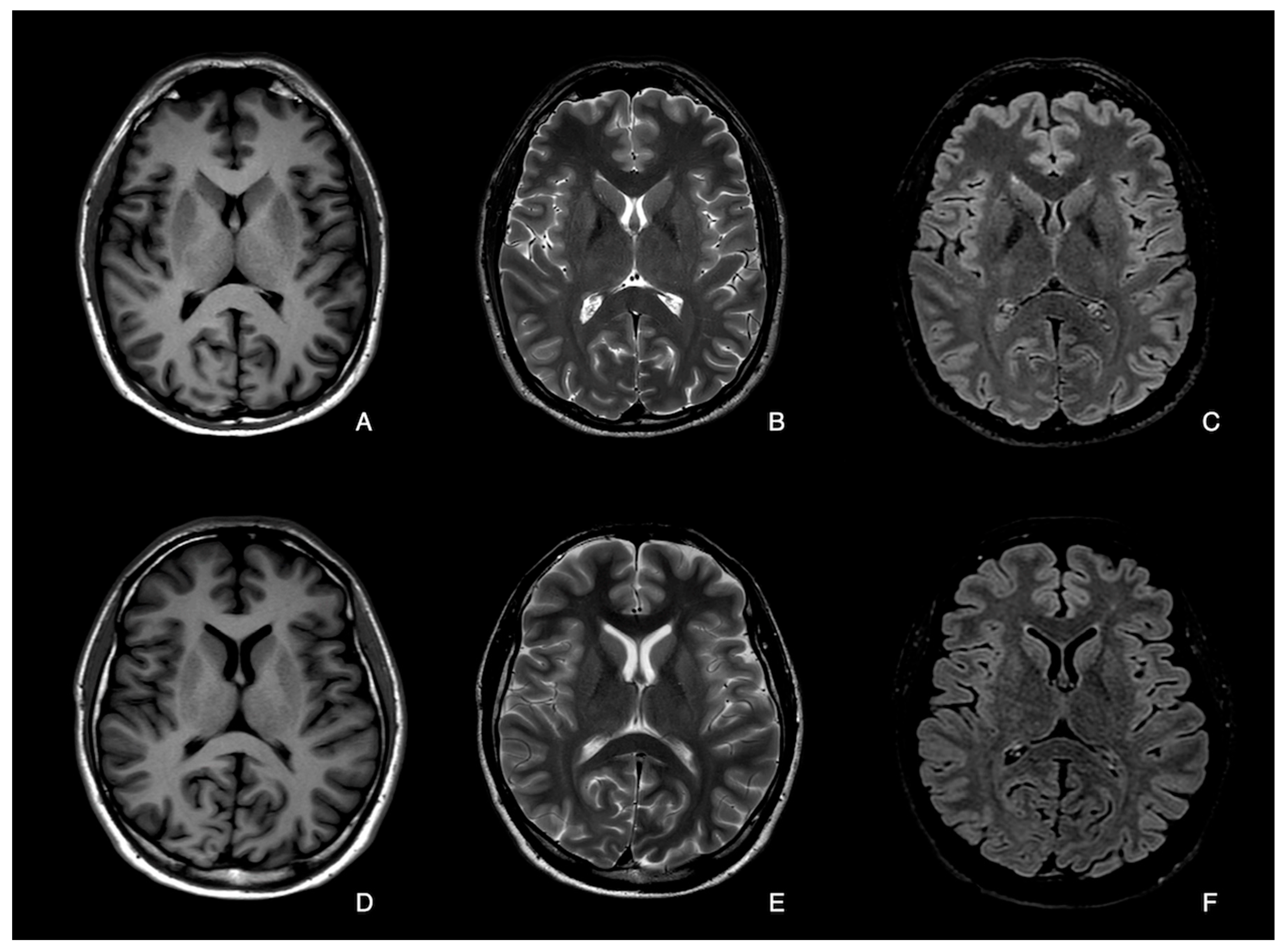
2.4. Qualitative Image Analysis
- Score 5: Excellent; acceptable for diagnostic use, complete absence of artefacts;
- Score 4: Good; acceptable for diagnostic use (only minor artefacts);
- Score 3: Fair; acceptable for diagnostic use but with minor issues;
- Score 2: Sufficient; acceptable for diagnostic use but severely mixed with the background;
- Score 1: Insufficient; not acceptable for diagnostic use.
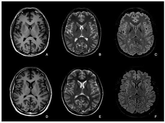
2.5. Quantitative Image Analysis
2.6. Statistical Analysis
3. Results
3.1. Qualitative Image Analysis
3.2. Quantitative Image Analysis
3.3. Subgroup Qualitative and Quantitative Image Analysis
4. Discussion
5. Conclusions
Supplementary Materials
Author Contributions
Funding
Institutional Review Board Statement
Informed Consent Statement
Data Availability Statement
Conflicts of Interest
Abbreviations
| FLAIR | Fluid Attenuated Inversion Recovery |
| C-SENSE | Compressed SENsing–Sensitivity Encoding |
| C | contrast |
| CNR | contrast-to-noise ratio |
| SNR | signal-to-noise ratio |
| MRI | magnetic resonance imaging |
| CNS | central nervous system |
| WM | white matter |
| GM | grey matter |
| CSF | cerebrospinal fluid |
| TSE | Turbo Spin Echo |
| SENSE | sensitivity encoding |
| CS | Compressed Sensing |
| ROI | Regions Of Interest |
| SWI | Susceptibility Weighted Imaging-phase |
| SAR | Specific Absorption Rate |
| TFE | Turbo Field Echo |
References
- Tsao, J.; Kozerke, S. MRI Temporal Acceleration Techniques. J. Magn. Reson. Imaging 2012, 36, 543–560. [Google Scholar] [CrossRef] [PubMed]
- Hamilton, J.; Franson, D.; Seiberlich, N. Recent Advances in Parallel Imaging for MRI. Prog. Nucl. Magn. Reson. Spectrosc. 2017, 101, 71–95. [Google Scholar] [CrossRef] [PubMed]
- Pruessmann, K.P.; Weiger, M.; Scheidegger, M.B.; Boesiger, P. SENSE: Sensitivity Encoding for Fast MRI. Magn. Reson. Med. 1999, 42, 952–962. [Google Scholar] [CrossRef]
- Liang, D.; Liu, B.; Wang, J.; Ying, L. Accelerating SENSE Using Compressed Sensing. Magn. Reson. Med. 2009, 62, 1574–1584. [Google Scholar] [CrossRef]
- Lustig, M.; Donoho, D.; Pauly, J.M. Sparse MRI: The Application of Compressed Sensing for Rapid MR Imaging. Magn. Reson. Med. 2007, 58, 1182–1195. [Google Scholar] [CrossRef] [PubMed]
- Fessler, J. Model-Based Image Reconstruction for MRI. IEEE Signal Process. Mag. 2010, 27, 81–89. [Google Scholar] [CrossRef] [PubMed]
- Toledano-Massiah, S.; Sayadi, A.; de Boer, R.; Gelderblom, J.; Mahdjoub, R.; Gerber, S.; Zuber, M.; Zins, M.; Hodel, J. Accuracy of the Compressed Sensing Accelerated 3D-FLAIR Sequence for the Detection of MS Plaques at 3T. Am. J. Neuroradiol. 2018, 39, 454–458. [Google Scholar] [CrossRef] [PubMed]
- Granberg, T.; Uppman, M.; Hashim, F.; Cananau, C.; Nordin, L.E.; Shams, S.; Berglund, J.; Forslin, Y.; Aspelin, P.; Fredrikson, S.; et al. Clinical Feasibility of Synthetic MRI in Multiple Sclerosis: A Diagnostic and Volumetric Validation Study. Am. J. Neuroradiol. 2016, 37, 1023–1029. [Google Scholar] [CrossRef] [PubMed]
- Blystad, I.; Warntjes, J.B.M.; Smedby, O.; Landtblom, A.M.; Lundberg, P.; Larsson, E.M. Synthetic MRI of the Brain in a Clinical Setting. Acta radiol. 2012, 53, 1158–1163. [Google Scholar] [CrossRef]
- Tanenbaum, L.N.; Tsiouris, A.J.; Johnson, A.N.; Naidich, T.P.; DeLano, M.C.; Melhem, E.R.; Quarterman, P.; Parameswaran, S.X.; Shankaranarayanan, A.; Goyen, M.; et al. Synthetic MRI for Clinical Neuroimaging: Results of the Magnetic Resonance Image Compilation (MAGiC) Prospective, Multicenter, Multireader Trial. Am. J. Neuroradiol. 2017, 38, 1103–1110. [Google Scholar] [CrossRef]
- Di Giuliano, F.; Minosse, S.; Picchi, E.; Marfia, G.A.; Da Ros, V.; Muto, M.; Muto, M.; Pistolese, C.A.; Laghi, A.; Garaci, F.; et al. Comparison between Synthetic and Conventional Magnetic Resonance Imaging in Patients with Multiple Sclerosis and Controls. Magn. Reson. Mater. Phys. Biol. Med. 2020, 33, 549–557. [Google Scholar] [CrossRef] [PubMed]
- Di Giuliano, F.; Minosse, S.; Picchi, E.; Ferrazzoli, V.; Da Ros, V.; Muto, M.; Pistolese, C.A.; Garaci, F.; Floris, R. Qualitative and Quantitative Analysis of 3D T1 Silent Imaging. Radiol. Medica 2021, 126, 1207–1215. [Google Scholar] [CrossRef] [PubMed]
- Chandarana, H.; Feng, L.; Block, T.K.; Rosenkrantz, A.B.; Lim, R.P.; Babb, J.S.; Sodickson, D.K.; Otazo, R. Free-Breathing Contrast-Enhanced Multiphase MRI of the Liver Using a Combination of Compressed Sensing, Parallel Imaging, and Golden-Angle Radial Sampling. Investig. Radiol. 2013, 48, 10–16. [Google Scholar] [CrossRef] [PubMed]
- Otazo, R.; Kim, D.; Axel, L.; Sodickson, D.K. Combination of Compressed Sensing and Parallel Imaging for Highly Accelerated First-pass Cardiac Perfusion MRI. Magn. Reson. Med. 2010, 64, 767–776. [Google Scholar] [CrossRef] [PubMed]
- Yoon, J.K.; Kim, M.-J.; Lee, S. Compressed Sensing and Parallel Imaging for Double Hepatic Arterial Phase Acquisition in Gadoxetate-Enhanced Dynamic Liver Magnetic Resonance Imaging. Investig. Radiol. 2019, 54, 374–382. [Google Scholar] [CrossRef] [PubMed]
- He, M.; Xu, J.; Sun, Z.; Wang, S.; Zhu, L.; Wang, X.; Wang, J.; Feng, F.; Xue, H.; Jin, Z. Comparison and Evaluation of the Efficacy of Compressed SENSE (CS) and Gradient- and Spin-echo (GRASE) in Breath-hold (BH) Magnetic Resonance Cholangiopancreatography (MRCP). J. Magn. Reson. Imaging 2020, 51, 824–832. [Google Scholar] [CrossRef] [PubMed]
- Vranic, J.E.; Cross, N.M.; Wang, Y.; Hippe, D.S.; de Weerdt, E.; Mossa-Basha, M. Compressed Sensing–Sensitivity Encoding (CS-SENSE) Accelerated Brain Imaging: Reduced Scan Time without Reduced Image Quality. Am. J. Neuroradiol. 2019, 40, 92–98. [Google Scholar] [CrossRef] [PubMed]
- Sasi S, D.; Ramaniharan, A.K.; Bhattacharjee, R.; Gupta, R.K.; Saha, I.; Van Cauteren, M.; Shah, T.; Gopalakrishnan, K.; Gupta, A.; Singh, A. Evaluating Feasibility of High Resolution T1-Perfusion MRI with Whole Brain Coverage Using Compressed SENSE: Application to Glioma Grading. Eur. J. Radiol. 2020, 129, 109049. [Google Scholar] [CrossRef] [PubMed]
- Meister, R.L.; Groth, M.; Jürgens, J.H.W.; Zhang, S.; Buhk, J.H.; Herrmann, J. Compressed SENSE in Pediatric Brain Tumor MR Imaging. Clin. Neuroradiol. 2022, 32, 725–733. [Google Scholar] [CrossRef]
- Cho, S.J.; Choi, Y.J.; Chung, S.R.; Lee, J.H.; Baek, J.H. High-Resolution MRI Using Compressed Sensing-Sensitivity Encoding (CS-SENSE) for Patients with Suspected Neurovascular Compression Syndrome: Comparison with the Conventional SENSE Parallel Acquisition Technique. Clin. Radiol. 2019, 74, 817.e9–817.e14. [Google Scholar] [CrossRef]
- Nagata, S.; Goshima, S.; Noda, Y.; Kawai, N.; Kajita, K.; Kawada, H.; Tanahashi, Y.; Matsuo, M. Magnetic Resonance Cholangiopancreatography Using Optimized Integrated Combination with Parallel Imaging and Compressed Sensing Technique. Abdom. Radiol. 2019, 44, 1766–1772. [Google Scholar] [CrossRef]
- Vasanawala, S.S.; Alley, M.T.; Hargreaves, B.A.; Barth, R.A.; Pauly, J.M.; Lustig, M. Improved Pediatric MR Imaging with Compressed Sensing. Radiology 2010, 256, 607–616. [Google Scholar] [CrossRef]
- Liu, F.; Duan, Y.; Peterson, B.S.; Kangarlu, A. Compressed Sensing MRI Combined with SENSE in Partial k -Space. Phys. Med. Biol. 2012, 57, N391–N403. [Google Scholar] [CrossRef] [PubMed]
- Mönch, S.; Sollmann, N.; Hock, A.; Zimmer, C.; Kirschke, J.S.; Hedderich, D.M. Magnetic Resonance Imaging of the Brain Using Compressed Sensing—Quality Assessment in Daily Clinical Routine. Clin. Neuroradiol. 2020, 30, 279–286. [Google Scholar] [CrossRef] [PubMed]
- Molnar, U.; Nikolov, J.; Nikolić, O.; Boban, N.; Subašić, V.; Till, V. Diagnostic Quality Assessment of Compressed SENSE Accelerated Magnetic Resonance Images in Standard Neuroimaging Protocol: Choosing the Right Acceleration. Phys. Medica 2021, 88, 158–166. [Google Scholar] [CrossRef]
- Robson, P.M.; Grant, A.K.; Madhuranthakam, A.J.; Lattanzi, R.; Sodickson, D.K.; Mckenzie, C.A. Comprehensive Quantification of Signal-to-Noise Ratio and g-Factor for Image-Based and k-Space-Based Parallel Imaging Reconstructions. Magn. Reson. Med. 2008, 60, 895–907. [Google Scholar] [CrossRef]
- Reeder, S.B.; Wintersperger, B.J.; Dietrich, O.; Lanz, T.; Greiser, A.; Reiser, M.F.; Glazer, G.M.; Schoenberg, S.O. Practical Approaches to the Evaluation of Signal-to-Noise Ratio Performance with Parallel Imaging: Application with Cardiac Imaging and a 32-Channel Cardiac Coil. Magn. Reson. Med. 2005, 54, 748–754. [Google Scholar] [CrossRef] [PubMed]
- Aja-Fernández, S.; Vegas-Sánchez-Ferrero, G.; Tristán-Vega, A. Noise Estimation in Parallel MRI: GRAPPA and SENSE. Magn. Reson. Imaging 2014, 32, 281–290. [Google Scholar] [CrossRef] [PubMed]
- Sartoretti, E.; Sartoretti, T.; Binkert, C.; Najafi, A.; Schwenk, Á.; Hinnen, M.; van Smoorenburg, L.; Eichenberger, B.; Sartoretti-Schefer, S. Reduction of Procedure Times in Routine Clinical Practice with Compressed SENSE Magnetic Resonance Imaging Technique. PLoS ONE 2019, 14, e0214887. [Google Scholar] [CrossRef]
- Duan, Y.; Zhang, J.; Zhuo, Z.; Ding, J.; Ju, R.; Wang, J.; Ma, T.; Haller, S.; Liu, Y.; Liu, Y. Accelerating Brain 3D T1-Weighted Turbo Field Echo MRI Using Compressed Sensing-Sensitivity Encoding (CS-SENSE). Eur. J. Radiol. 2020, 131, 109255. [Google Scholar] [CrossRef]
- Sartoretti, T.; Sartoretti, E.; van Smoorenburg, L.; Schwenk, Á.; Mannil, M.; Graf, N.; Binkert, C.A.; Wyss, M.; Sartoretti-Schefer, S. Spiral 3-Dimensional T1-Weighted Turbo Field Echo: Increased Speed for Magnetization-Prepared Gradient Echo Brain Magnetic Resonance Imaging. Investig. Radiol. 2020, 55, 775–784. [Google Scholar] [CrossRef] [PubMed]
- Okuchi, S.; Fushimi, Y.; Okada, T.; Yamamoto, A.; Okada, T.; Kikuchi, T.; Yoshida, K.; Miyamoto, S.; Togashi, K. Visualization of Carotid Vessel Wall and Atherosclerotic Plaque: T1-SPACE vs. Compressed Sensing T1-SPACE. Eur. Radiol. 2019, 29, 4114–4122. [Google Scholar] [CrossRef] [PubMed]
- Suh, C.H.; Jung, S.C.; Lee, H.B.; Cho, S.J. High-Resolution Magnetic Resonance Imaging Using Compressed Sensing for Intracranial and Extracranial Arteries: Comparison with Conventional Parallel Imaging. Korean J. Radiol. 2019, 20, 487. [Google Scholar] [CrossRef] [PubMed]
- Sartoretti, T.; Reischauer, C.; Sartoretti, E.; Binkert, C.; Najafi, A.; Sartoretti-Schefer, S. Common Artefacts Encountered on Images Acquired with Combined Compressed Sensing and SENSE. Insights Imaging 2018, 9, 1107–1115. [Google Scholar] [CrossRef] [PubMed]
- Yang, A.C.; Kretzler, M.; Sudarski, S.; Gulani, V.; Seiberlich, N. Sparse Reconstruction Techniques in Magnetic Resonance Imaging. Investig. Radiol. 2016, 51, 349–364. [Google Scholar] [CrossRef]
- Sharma, S.D.; Fong, C.L.; Tzung, B.S.; Law, M.; Nayak, K.S. Clinical Image Quality Assessment of Accelerated Magnetic Resonance Neuroimaging Using Compressed Sensing. Investig. Radiol. 2013, 48, 638–645. [Google Scholar] [CrossRef]

| Compressed-SENSE | No Compressed-SENSE | |||||
|---|---|---|---|---|---|---|
| T1-TSE | T2-TSE | 3D T2-FLAIR | T1-TSE | T2-TSE | 3D T2-FLAIR | |
| Acquisition matrix | 308 × 257 | 420 × 322 | 252 × 251 | 308 × 226 | 420 × 350 | 228 × 228 |
| Field of view (cm) | 23 | 23 | 25 | 23 | 23 | 25 |
| Repetition time (ms) | 2000 | 6200 | 6000 | 2000 | 3000 | 4800 |
| Echo time (ms) | 20 | 90 | 340 | 20 | 80 | 280 |
| Slice thickness (mm) | 3 | 1.5 | 1 | 4 | 4 | 1.1 |
| Intersection gap (mm) | 1 | 1 | −0.5 | 1 | 1 | −0.55 |
| Number of averages | 1 | 2 | 1 | 1 | 1 | 2 |
| Bandwidth (kHz) | 165.7 | 217.2 | 318.7 | 169.8 | 195.8 | 1166.5 |
| C-SENSE factor | 3 | 2 | 9 | - | - | - |
| Acquisition time | 2′34″ | 3′08″ | 3′50″ | 3′00″ | 2′42″ | 4′34″ |
| Sequences | Reader 1 | Reader 2 |
|---|---|---|
| T1-TSE Compressed-SENSE | 4.93 [4–5] | 4.78 [3–5] |
| T1-TSE No Compressed-SENSE | 4.95 [4–5] | 4.84 [4–5] |
| T2-TSE Compressed-SENSE | 4.93 [4–5] | 4.77 [4–5] |
| T2-TSE No Compressed-SENSE | 4.82 [4–5] | 4.70 [4–5] |
| 3D T2 FLAIR Compressed-SENSE | 4.78 [4–5] | 3.97 [3–5] |
| 3D T2 FLAIR No Compressed-SENSE | 4.89 [4–5] | 4.78 [4–5] |
| Compressed-SENSE | No Compressed-SENSE | |||||||
|---|---|---|---|---|---|---|---|---|
| Median | 25th | 75th | Median | 25th | 75th | p-Value | ||
| FLAIR | GM-WM | 0.09 | 0 | 0.17 | 0.08 | 0.01 | 0.15 | 0.130 |
| GM-CSF | 0.64 | 0.56 | 0.69 | 0.77 | 0.71 | 0.82 | <0.001 * | |
| WM-CSF | 0.58 | 0.51 | 0.64 | 0.74 | 0.66 | 0.79 | <0.001 * | |
| T1 | GM-WM | −0.17 | −0.24 | −0.13 | −0.19 | −0.25 | −0.13 | 0.009 * |
| GM-CSF | 0.68 | 0.64 | 0.71 | 0.65 | 0.59 | 0.7 | <0.001 * | |
| WM-CSF | 0.76 | 0.74 | 0.79 | 0.75 | 0.71 | 0.77 | <0.001 * | |
| T2 | GM-WM | 0.11 | 0.05 | 0.17 | 0.1 | 0.05 | 0.16 | 0.849 |
| GM-CSF | −0.52 | −0.55 | −0.47 | −0.39 | −0.43 | −0.33 | <0.001 * | |
| WM-CSF | −0.59 | −0.62 | −0.56 | −0.48 | −0.51 | −0.44 | <0.001 * | |
| Compressed-SENSE | No Compressed-SENSE | |||||||
|---|---|---|---|---|---|---|---|---|
| Median | 25th | 75th | Median | 25th | 75th | p-Value | ||
| FLAIR | GM-WM | 2.32 | 0.09 | 4.73 | 1.95 | 0.33 | 3.99 | 0.150 |
| GM-CSF | 11.38 | 8.81 | 14.51 | 12.82 | 10.10 | 15.46 | 0.002 * | |
| WM-CSF | 9.05 | 7.00 | 11.68 | 10.66 | 8.30 | 12.93 | <0.001 * | |
| T1 | GM-WM | −9.03 | −11.99 | −6.38 | −8.79 | −11.94 | −6.22 | 0.633 |
| GM-CSF | 17.05 | 13.85 | 20.63 | 15.03 | 12.03 | 18.65 | <0.001 * | |
| WM-CSF | 25.71 | 22.37 | 31.31 | 24.69 | 19.30 | 29.24 | 0.007 * | |
| T2 | GM-WM | 3.85 | 1.59 | 6.29 | 4.72 | 2.07 | 8.07 | <0.001 * |
| GM-CSF | −43.52 | −52.04 | −35.44 | −33.35 | −40.00 | −27.02 | <0.001 * | |
| WM-CSF | −47.30 | −57.74 | −39.84 | −38.82 | −45.99 | −31.38 | <0.001 * | |
| Compressed-SENSE | No Compressed-SENSE | |||||||
|---|---|---|---|---|---|---|---|---|
| Median | 25th | 75th | Median | 25th | 75th | p-Value | ||
| FLAIR | FC | 18.45 | 15.48 | 21.70 | 18.08 | 14.91 | 20.24 | 0.207 |
| Ge | 11.64 | 9.63 | 13.46 | 12.40 | 9.85 | 13.74 | 0.235 | |
| CSF | 3.26 | 2.90 | 3.81 | 1.90 | 1.51 | 2.39 | <0.001 * | |
| Sp | 10.73 | 9.08 | 13.65 | 11.39 | 9.26 | 13.04 | 0.797 | |
| CS | 14.93 | 13.10 | 18.29 | 15.17 | 12.44 | 17.47 | 0.540 | |
| OC | 14.02 | 11.95 | 16.73 | 14.62 | 12.13 | 16.43 | 0.803 | |
| Th | 12.32 | 10.95 | 15.94 | 12.99 | 11.21 | 15.38 | 0.841 | |
| T1 | FC | 18.83 | 14.40 | 21.91 | 16.51 | 13.63 | 19.49 | 0.025 * |
| Ge | 29.91 | 23.44 | 36.06 | 28.48 | 23.01 | 33.30 | 0.269 | |
| CSF | 4.00 | 3.44 | 4.87 | 4.21 | 3.62 | 5.00 | 0.331 | |
| Sp | 29.91 | 25.83 | 35.78 | 29.16 | 23.77 | 34.13 | 0.232 | |
| CS | 30.68 | 26.07 | 36.10 | 28.39 | 23.63 | 32.54 | 0.084 | |
| OC | 21.19 | 17.73 | 25.15 | 19.48 | 16.84 | 22.67 | 0.028 * | |
| Th | 23.69 | 20.56 | 28.08 | 22.27 | 18.82 | 26.44 | 0.201 | |
| T2 | FC | 23.45 | 20.07 | 27.88 | 30.32 | 27.07 | 36.43 | <0.001 * |
| Ge | 15.76 | 13.46 | 17.78 | 20.57 | 17.36 | 23.45 | <0.001 * | |
| CSF | 64.21 | 53.73 | 77.68 | 61.58 | 51.03 | 71.94 | 0.073 | |
| Sp | 15.97 | 13.12 | 18.84 | 20.29 | 16.16 | 23.71 | <0.001 * | |
| CS | 18.53 | 16.22 | 21.69 | 23.59 | 20.86 | 28.34 | <0.001 * | |
| OC | 18.39 | 15.42 | 21.01 | 24.05 | 19.91 | 27.95 | <0.001 * | |
| Th | 20.96 | 17.25 | 23.73 | 25.53 | 22.33 | 29.46 | <0.001 * | |
Disclaimer/Publisher’s Note: The statements, opinions and data contained in all publications are solely those of the individual author(s) and contributor(s) and not of MDPI and/or the editor(s). MDPI and/or the editor(s) disclaim responsibility for any injury to people or property resulting from any ideas, methods, instructions or products referred to in the content. |
© 2024 by the authors. Licensee MDPI, Basel, Switzerland. This article is an open access article distributed under the terms and conditions of the Creative Commons Attribution (CC BY) license (https://creativecommons.org/licenses/by/4.0/).
Share and Cite
Picchi, E.; Minosse, S.; Pucci, N.; Di Pietro, F.; Serio, M.L.; Ferrazzoli, V.; Da Ros, V.; Giocondo, R.; Garaci, F.; Di Giuliano, F. Compressed SENSitivity Encoding (SENSE): Qualitative and Quantitative Analysis. Diagnostics 2024, 14, 1693. https://doi.org/10.3390/diagnostics14151693
Picchi E, Minosse S, Pucci N, Di Pietro F, Serio ML, Ferrazzoli V, Da Ros V, Giocondo R, Garaci F, Di Giuliano F. Compressed SENSitivity Encoding (SENSE): Qualitative and Quantitative Analysis. Diagnostics. 2024; 14(15):1693. https://doi.org/10.3390/diagnostics14151693
Chicago/Turabian StylePicchi, Eliseo, Silvia Minosse, Noemi Pucci, Francesca Di Pietro, Maria Lina Serio, Valentina Ferrazzoli, Valerio Da Ros, Raffaella Giocondo, Francesco Garaci, and Francesca Di Giuliano. 2024. "Compressed SENSitivity Encoding (SENSE): Qualitative and Quantitative Analysis" Diagnostics 14, no. 15: 1693. https://doi.org/10.3390/diagnostics14151693
APA StylePicchi, E., Minosse, S., Pucci, N., Di Pietro, F., Serio, M. L., Ferrazzoli, V., Da Ros, V., Giocondo, R., Garaci, F., & Di Giuliano, F. (2024). Compressed SENSitivity Encoding (SENSE): Qualitative and Quantitative Analysis. Diagnostics, 14(15), 1693. https://doi.org/10.3390/diagnostics14151693

