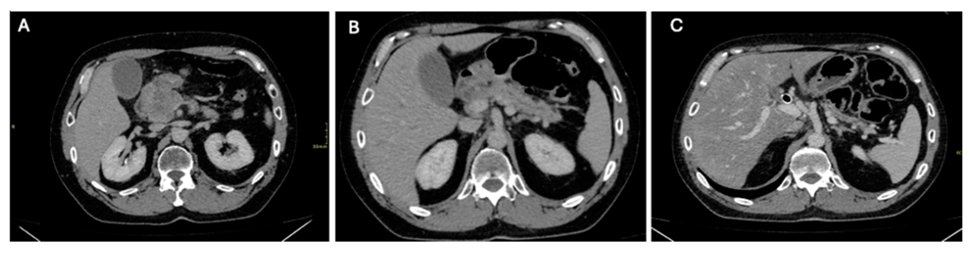
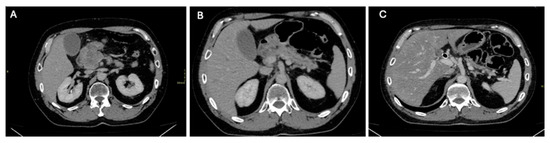
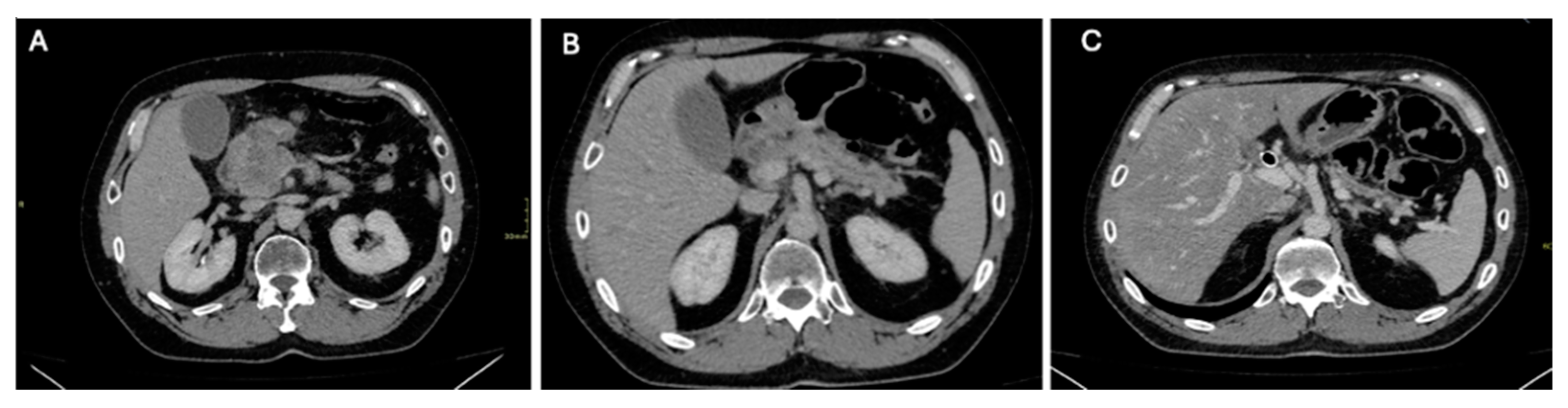
Enhanced Pancreatitis Detection: FAPI PET/CT Emerging Utility in Patient with Pancreatic Mass
Abstract


Author Contributions
Funding
Institutional Review Board Statement
Informed Consent Statement
Data Availability Statement
Conflicts of Interest
References
- Chen, H.; Pang, Y.; Wu, J.; Zhao, L.; Hao, B.; Wu, J.; Wei, J.; Wu, S.; Zhao, L.; Luo, Z.; et al. Comparison of [68Ga]Ga-DOTA-FAPI-04 and [18F] FDG PET/CT for the diagnosis of primary and metastatic lesions in patients with various types of cancer. Eur. J. Nucl. Med. Mol. Imaging 2020, 47, 1820–1832. [Google Scholar] [CrossRef] [PubMed]
- Mori, Y.; Dendl, K.; Cardinale, J.; Kratochwil, C.; Giesel, F.L.; Haberkorn, U. FAPI PET: Fibroblast Activation Protein Inhibitor Use in Oncologic and Nononcologic Disease. Radiology 2023, 306, e220749. [Google Scholar] [CrossRef] [PubMed]
- Shou, Y.; Xue, Q.; Yuan, J.; Zhao, J. 68Ga-FAPI-04 PET/MR is helpful in differential diagnosis of pancreatitis from pancreatic malignancy compared to 18F-FDG PET/CT: A case report. Eur. J. Hybrid Imaging 2021, 5, 12. [Google Scholar] [CrossRef] [PubMed]
- Luo, Y.; Pan, Q.; Yang, H.; Peng, L.; Zhang, W.; Li, F. Fibroblast Activation Protein-Targeted PET/CT with 68Ga-FAPI for Imaging IgG4-Related Disease: Comparison to 18F-FDG PET/CT. J. Nucl. Med. 2021, 62, 266–271. [Google Scholar] [CrossRef] [PubMed]
- Sugimoto, M.; Takagi, T.; Hikichi, T.; Suzuki, R.; Watanabe, K.; Nakamura, J.; Kikuchi, H.; Konno, N.; Waragai, Y.; Watanabe, H.; et al. Conventional versus contrast-enhanced harmonic endoscopic ultrasonography-guided fine-needle aspiration for diagnosis of solid pancreatic lesions: A prospective randomized trial. Pancreatology 2015, 15, 538–541. [Google Scholar] [CrossRef] [PubMed]
- Storm, A.C.; Lee, L.S. Endoscopic ultrasound-guided techniques for diagnosing pancreatic mass lesions: Can we do better? World J. Gastroenterol. 2016, 22, 8658–8669. [Google Scholar] [CrossRef] [PubMed]
- Larsen, M.H.; Fristrup, C.W.; Detlefsen, S.; Mortensen, M.B. Prospective evaluation of EUS-guided fine needle biopsy in pancreatic mass lesions. Endosc. Int. Open 2018, 6, e242–e248. [Google Scholar] [CrossRef] [PubMed]
- Sweeney, J.; Soong, L.; Goyal, A. Endoscopic ultrasound-guided tissue acquisition of solid mass lesions of the pancreas: A retrospective comparison study of fine-needle aspiration and fine-needle biopsy. Diagn. Cytopathol. 2020, 48, 322–329. [Google Scholar] [CrossRef] [PubMed]
Disclaimer/Publisher’s Note: The statements, opinions and data contained in all publications are solely those of the individual author(s) and contributor(s) and not of MDPI and/or the editor(s). MDPI and/or the editor(s) disclaim responsibility for any injury to people or property resulting from any ideas, methods, instructions or products referred to in the content. |
© 2024 by the authors. Licensee MDPI, Basel, Switzerland. This article is an open access article distributed under the terms and conditions of the Creative Commons Attribution (CC BY) license (https://creativecommons.org/licenses/by/4.0/).
Share and Cite
Abi Ghanem, A.; El Annan, T.; El Ghawi, N.; Omran, N.; Natout, M.; Assi, H.; Shamseddine, A.; Saliba, N.; Haidar, M. Enhanced Pancreatitis Detection: FAPI PET/CT Emerging Utility in Patient with Pancreatic Mass. Diagnostics 2024, 14, 1622. https://doi.org/10.3390/diagnostics14151622
Abi Ghanem A, El Annan T, El Ghawi N, Omran N, Natout M, Assi H, Shamseddine A, Saliba N, Haidar M. Enhanced Pancreatitis Detection: FAPI PET/CT Emerging Utility in Patient with Pancreatic Mass. Diagnostics. 2024; 14(15):1622. https://doi.org/10.3390/diagnostics14151622
Chicago/Turabian StyleAbi Ghanem, Alain, Tamara El Annan, Nour El Ghawi, Nadine Omran, Mustafa Natout, Hazem Assi, Ali Shamseddine, Nina Saliba, and Mohamad Haidar. 2024. "Enhanced Pancreatitis Detection: FAPI PET/CT Emerging Utility in Patient with Pancreatic Mass" Diagnostics 14, no. 15: 1622. https://doi.org/10.3390/diagnostics14151622
APA StyleAbi Ghanem, A., El Annan, T., El Ghawi, N., Omran, N., Natout, M., Assi, H., Shamseddine, A., Saliba, N., & Haidar, M. (2024). Enhanced Pancreatitis Detection: FAPI PET/CT Emerging Utility in Patient with Pancreatic Mass. Diagnostics, 14(15), 1622. https://doi.org/10.3390/diagnostics14151622

