Biparametric vs. Multiparametric MRI in the Detection of Cancer in Transperineal Targeted-Biopsy-Proven Peripheral Prostate Cancer Lesions Classified as PI-RADS Score 3 or 3+1: The Added Value of ADC Quantification
Abstract
1. Introduction
2. Materials and Methods
2.1. MRI
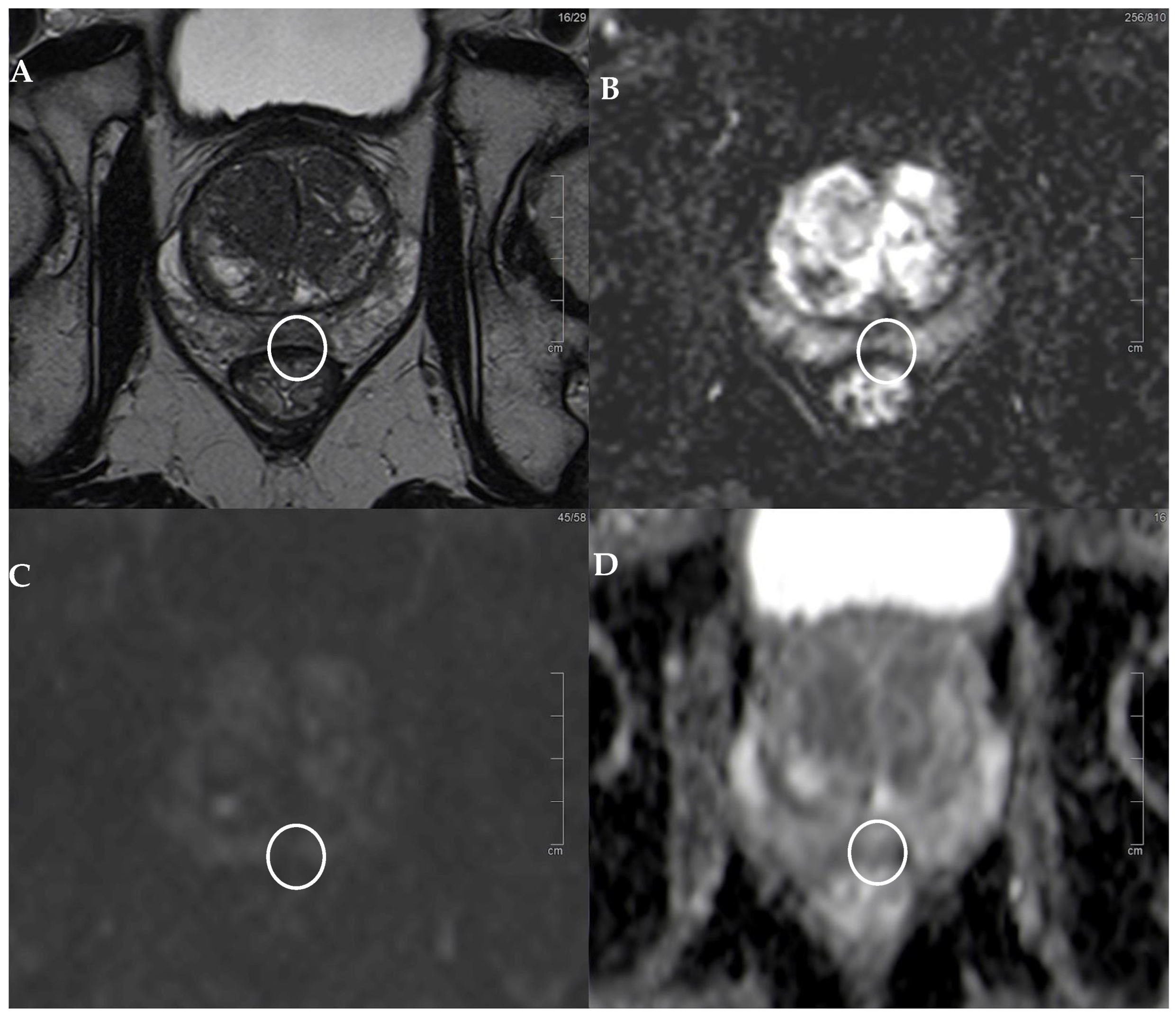
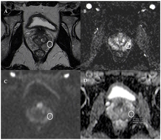
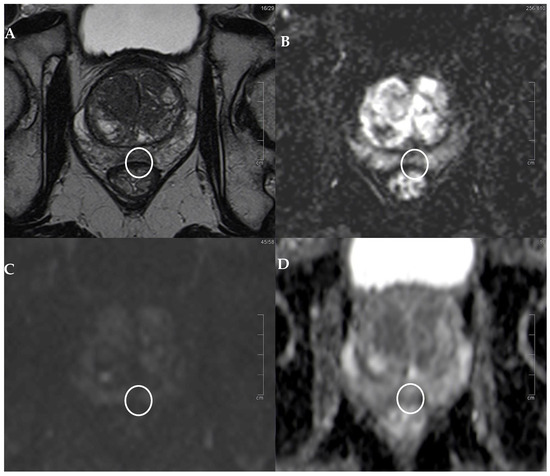
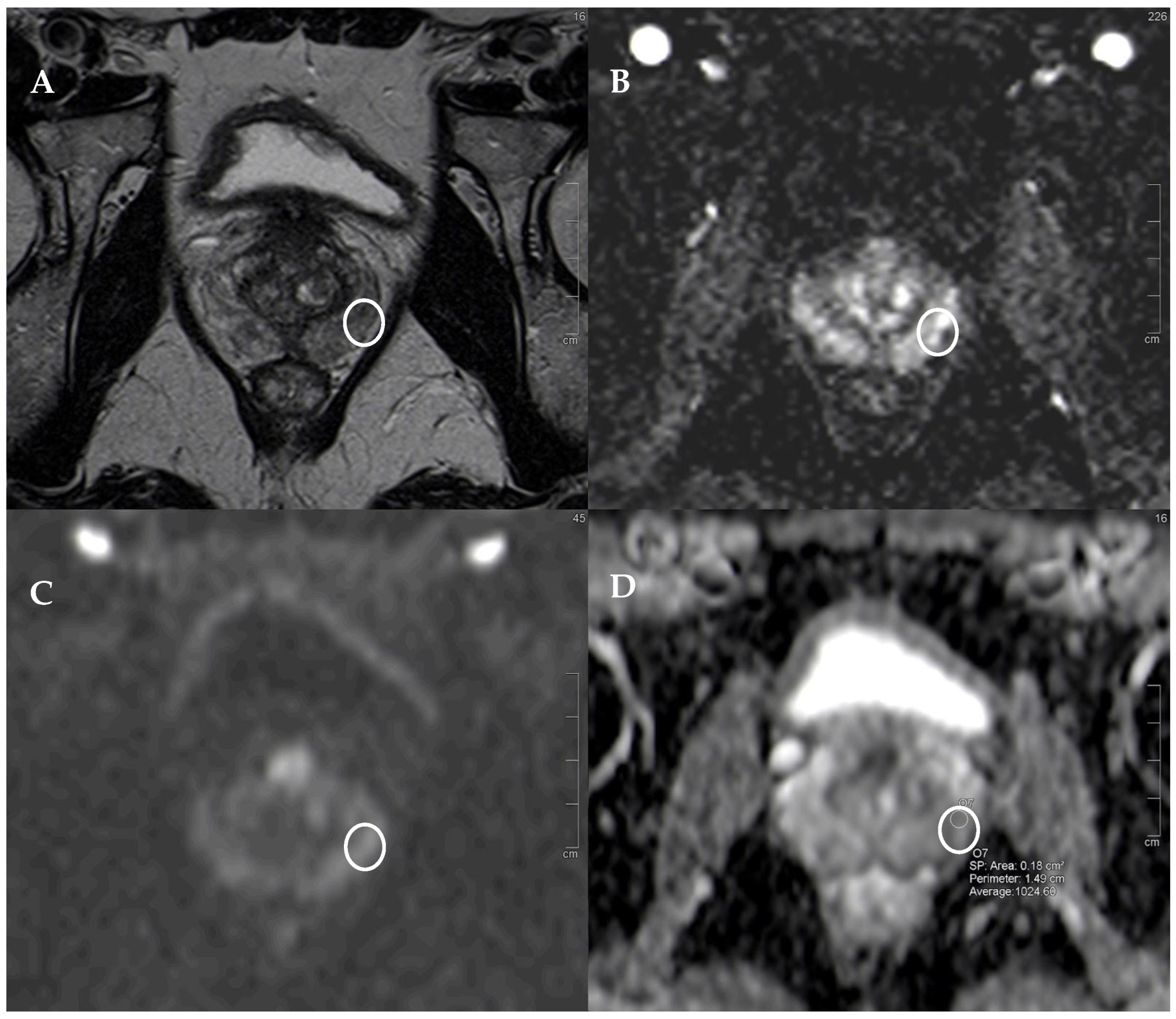
2.1.1. MRI Analysis
2.1.2. Quantitative Analysis
2.2. Fusion Targeted Biopsy
2.3. Histopathological Analysis
2.4. Statistical Analysis
3. Results
4. Discussion
- The number of patients is relatively small, although it should be noted that the cohort consists of a highly selected group of peripheral neoplastic lesions, all rated as PI-RADS 3 and 3+1, and all the lesions were histologically confirmed by transperineal MRI/US fusion-guided targeted biopsy;
- The variability of the ADC value differs between different MRI scanners, with the need to identify different suspected ADC value thresholds for each scanner. Scanner-specific ADC value thresholds should be identified in prostate MRI centers with an adequate caseload.
5. Conclusions
Author Contributions
Funding
Institutional Review Board Statement
Informed Consent Statement
Data Availability Statement
Acknowledgments
Conflicts of Interest
References
- De Angelis, R.; Sant, M.; Coleman, M.P.; Francisci, S.; Baili, P.; Pierannunzio, D.; Trama, A.; Visser, O.; Brenner, H.; Ardanaz, E.; et al. EUROCARE-5 Working Group. Cancer survival in Europe 1999–2007 by country and age: Results of EUROCARE5—A population-based study. Lancet Oncol. 2014, 15, 23–34. [Google Scholar] [CrossRef]
- Vietri, M.T.; D’elia, G.; Caliendo, G.; Resse, M.; Casamassimi, A.; Passariello, L.; Albanese, L.; Cioffi, M.; Molinari, A.M. Hereditary Prostate Cancer: Genes Related, Target Therapy and Prevention. Int. J. Mol. Sci. 2021, 22, 3753. [Google Scholar] [CrossRef]
- Culp, M.B.; Soerjomataram, I.; Efstathiou, J.A.; Bray, F.; Jemal, A. Recent Global Patterns in Prostate Cancer Incidence and Mortality Rates. Eur. Urol. 2020, 77, 38–52. [Google Scholar] [CrossRef] [PubMed]
- EAU Guidelines. Edn. Presented at the EAU Annual Congress Paris 2024; EAU Guidelines Office: Arnhem, The Netherlands, 2024; ISBN 978-94-92671-23-3. [Google Scholar]
- van der Leest, M.; Cornel, E.; Israël, B.; Hendriks, R.; Padhani, A.R.; Hoogenboom, M.; Zamecnik, P.; Bakker, D.; Setiasti, A.Y.; Veltman, J.; et al. Head-to-head Comparison of Transrectal Ultrasound-guided Prostate Biopsy Versus Multiparametric Prostate Resonance Imaging with Subsequent Magnetic Resonance-guided Biopsy in Biopsy-naive Men with Elevated Prostate-specific Antigen: A Large Prospective Multicenter Clinical Study. Eur. Urol. 2019, 75, 570–578. [Google Scholar] [CrossRef]
- Drost, F.-J.H.; Osses, D.F.; Nieboer, D.; Steyerberg, E.W.; Bangma, C.H.; Roobol, M.J.; Schoots, I.G. Prostate MRI, with or without MRI-targeted biopsy, and systematic biopsy for detecting prostate cancer. Cochrane Database Syst. Rev. 2019, 4, CD012663. [Google Scholar] [CrossRef]
- Porpiglia, F.; Manfredi, M.; Mele, F.; Cossu, M.; Bollito, E.; Veltri, A.; Cirillo, S.; Regge, D.; Faletti, R.; Passera, R.; et al. Diagnostic Pathway with Multiparametric Magnetic Resonance Imaging Versus Standard Pathway: Results from a Randomized Prospective Study in Biopsy-naive Patients with Suspected Prostate Cancer. Eur. Urol. 2017, 72, 282–288. [Google Scholar] [CrossRef]
- Turkbey, B.; Rosenkrantz, A.B.; Haider, M.A.; Padhani, A.R.; Villeirs, G.; Macura, K.J.; Tempany, C.M.; Choyke, P.L.; Cornud, F.; Margolis, D.J.; et al. Prostate Imaging Reporting and Data System Version 2.1: 2019 Update of Prostate Imaging Reporting and Data System Version 2. Eur. Urol. 2019, 76, 340–351. [Google Scholar] [CrossRef]
- Tamada, T.; Kido, A.; Yamamoto, A.; Takeuchi, M.; Miyaji, Y.; Moriya, T.; Sone, T. Comparison of Biparametric and Multiparametric MRI for Clinically Significant Prostate Cancer Detection with PI-RADS Version 2.1. J. Magn. Reson. Imaging 2021, 53, 283–291. [Google Scholar] [CrossRef] [PubMed]
- Stabile, A.; Giganti, F.; Rosenkrantz, A.B.; Taneja, S.S.; Villeirs, G.; Gill, I.S.; Allen, C.; Emberton, M.; Moore, C.M.; Kasivisvanathan, V. Multiparametric MRI for prostate cancer diagnosis: Current status and future directions. Nat. Rev. Urol. 2020, 17, 41–61. [Google Scholar] [CrossRef]
- Wallström, J.; Geterud, K.; Kohestani, K.; Maier, S.E.; Månsson, M.; Pihl, C.-G.; Socratous, A.; Godtman, R.A.; Hellström, M.; Hugosson, J. Bi- or multiparametric MRI in a sequential screening program for prostate cancer with PSA followed by MRI? Results from the Göteborg prostate cancer screening 2 trial. Eur. Radiol. 2021, 31, 8692–8702. [Google Scholar] [CrossRef]
- Zawaideh, J.P.; Sala, E.; Shaida, N.; Koo, B.; Warren, A.Y.; Carmisciano, L.; Saeb-Parsy, K.; Gnanapragasam, V.J.; Kastner, C.; Barrett, T. Diagnostic accuracy of biparametric versus multiparametric prostate MRI: Assessment of contrast benefit in clinical practice. Eur. Radiol. 2020, 30, 4039–4049. [Google Scholar] [CrossRef] [PubMed]
- Caglic, I.; Sushentsev, N.; Syer, T.; Lee, K.-L.; Barrett, T. Biparametric MRI during active surveillance:is it safe? Eur. Urol. 2024; online ahead of print. [Google Scholar] [CrossRef]
- Chesnais, A.; Niaf, E.; Bratan, F.; Mège-Lechevallier, F.; Roche, S.; Rabilloud, M.; Colombel, M.; Rouvière, O. Differentiation of transitional zone prostate cancer from benign hyperplasia nodules: Evaluation of discriminant criteria at multiparametric, M.R.I. Clin. Radiol. 2013, 68, e323–e330. [Google Scholar] [CrossRef] [PubMed]
- Salami, S.S.; Ben-Levi, E.; Yaskiv, O.; Turkbey, B.; Villani, R.; Rastinehad, A.R. Risk stratification of prostate cancer utilizing apparent diffusion coefficient value lesion volume on multiparametric, M.R.I. J. Magn. Reason. Imaging 2017, 45, 610–616. [Google Scholar] [CrossRef] [PubMed]
- Bertelli, E.; Mercatelli, L.; Marzi, C.; Pachetti, E.; Baccini, M.; Barucci, A.; Colantonio, S.; Gherardini, L.; Lattavo, L.; Pascali, M.A.; et al. Machine deep learning prediction of prostate cancer aggressiveness using multiparametric, M.R.I. Front. Oncol. 2022, 11, 802964. [Google Scholar] [CrossRef] [PubMed]
- Epstein, J.I.; Egevad, L.; Amin, M.B.; Delahunt, B.; Srigley, J.R.; Humphrey, P.A. The 2014 International Society of Urological Pathology (ISUP) Consensus Conference on Gleason Grading of Prostatic Carcinoma: Definition of Grading Patterns and Proposal for a New Grading System. Am. J. Surg. Pathol. 2016, 40, 244–252. [Google Scholar] [CrossRef] [PubMed]
- Fawcett, T. An introduction to ROC analysis. Pattern Recognit. Lett. 2006, 27, 861–874. [Google Scholar] [CrossRef]
- Youden, W.J. Index for rating diagnostic tests. Cancer 1950, 3, 32–35. [Google Scholar] [CrossRef] [PubMed]
- Niu, X.-K.; Chen, X.-H.; Chen, Z.-F.; Chen, L.; Li, J.; Peng, T. Diagnostic performance of biparametric MRI for detection of prostate cancer: A systematic review and meta-analysis. AJR Am. J. Roentgenol. 2018, 211, 369–378. [Google Scholar] [CrossRef]
- Choi, M.H.; Lee, Y.J.; Jung, S.E. Tracking changes in clinical practice patterns following pre-biopsy biparametric prostate MRI. Acad. Radiol. 2020, 27, 1255–1260. [Google Scholar] [CrossRef] [PubMed]
- Iacob, R.; Stoicescu, E.-R.; Cerbu, S.; Manolescu, D.-L.; Bardan, R.; Cumpănaş, A. Could Biparametric MRI Replace Multiparametric MRI in the Management of Prostate Cancer? Life 2023, 13, 465. [Google Scholar] [CrossRef]
- Pan, Y.; Shen, C.; Chen, X.; Cao, D.; Jiang, J.; Xu, W.; Ji, C.; Pan, X.; Zheng, B. bpMRI and mpMRI for detecting prostate cancer: A retrospective cohort study. Front. Surg. 2023, 9, 1096387. [Google Scholar] [CrossRef] [PubMed]
- Roest, C.; Kwee, T.; Saha, A.; Fütterer, J.; Yakar, D.; Huisman, H. AI-assisted biparametric MRI surveillance of prostate cancer: Feasibility study. Eur. Radiol. 2023, 33, 89–96. [Google Scholar] [CrossRef] [PubMed]
- Borgheresi, R.; Barucci, A.; Colantonio, S.; Aghakhanyan, G.; Assante, M.; Bertelli, E.; Carlini, E.; Carpi, R.; Caudai, C.; Cavallero, D.; et al. NAVIGATOR an Italian regional imaging biobank to promote precision medicine for oncologic patients. Eur. Radiol. Exp. 2022, 6, 53. [Google Scholar] [CrossRef] [PubMed]
- Stefano, A.; Bertelli, E.; Comelli, A.; Gatti, M.; Stanzione, A. Editorial: Radiomics and radiogenomics in genitourinary oncology: Artificial intelligence and deep learning applications. Front. Radiol. 2023, 3, 1325594. [Google Scholar] [CrossRef] [PubMed]
- Jordan, E.J.; Fiske, C.; Zagoria, R.; Westphalen, A.C. PI-RADS v2 and ADC values: Is there room for improvement? Abdom. Radiol. 2018, 43, 3109–3116. [Google Scholar] [CrossRef] [PubMed]
- Lim, C.S.; Abreu-Gomez, J.; Thornhill, R.; James, N.; Al Kindi, A.; Lim, A.S.; Schieda, N. Utility of machine learning of apparent diffusion coefficient (ADC) and T2-weighted (T2w) radiomic features in PI-RADS version 2.1 category 3 lesions to predict prostate cancer diagnosis. Abdom. Radiol. 2021, 46, 5647–5658. [Google Scholar] [CrossRef] [PubMed]
- Corsi, A.; De Bernardi, E.; Bonaffini, P.A.; Franco, P.N.; Nicoletta, D.; Simonini, R.; Ippolito, D.; Perugini, G.; Occhipinti, M.; Da Pozzo, L.F.; et al. Radiomics in PI-RADS 3 multiparametric MRI for prostate cancer identification: Literature models re-implementation and proposal for clinical-radiological model. J. Cliln. Med. 2022, 11, 6304. [Google Scholar] [CrossRef] [PubMed]
- Teica, R.V.; Ciofiac, C.M.; Florescu, L.M.; Gheonea, I.-A. Should PI-RADS 3 be subclassified according to ADC values in the transition zone? Curr. Health Sci. J. 2023, 49, 564–570. [Google Scholar]
- Tavakoli, A.A.; Hielscher, T.; Badura, P.; Görtz, M.; Kuder, T.A.; Gnirs, R.; Schwab, C.; Hohenfellner, M.; Schlemmer, H.-P.; Bonekamp, D. Contribution of Dynamic Contrast-enhanced and Diffusion MRI to PI-RADS for detecting clinically significant prostate cancer. Radiology 2023, 306, 186–199. [Google Scholar] [CrossRef] [PubMed]
- Mayer, R.; Turkbey, B.; Choyke, P.L.; Simone, C.B. Application of Spectral Algorithm Applied to Spatially Registered Bi-Parametric MRI to Predict Prostate Tumor Aggressiveness: A Pilot Study. Diagnostics 2023, 13, 2008. [Google Scholar] [CrossRef]
- Kortenbach, K.-C.; Løgager, V.; Thomsen, H.S.; Boesen, L. Comparison of PSA density and lesion volume strategies for selecting men with equivocal PI-RADS 3 lesions on bpMRI for biopsies. Abdom. Radiol. 2023, 48, 688–693. [Google Scholar] [CrossRef] [PubMed]




| Variable | Value |
|---|---|
| Mean age, y | 64.6 (44–78) |
| Mean diameter, mm | 8.5 (4–30) |
| Total lesions | 104 |
| Adenocarcinomas | 49 (57.1%) |
| Clinically significant | 21 (20.2%) |
| PI-RADS | |
| 3 | 55 (52.9%) |
| 3+1 | 30 (28.8%) |
| Gleason score | |
| 3+3 | 9 (30%) |
| 3+4 | 14 (46.7%) |
| 4+3 | 7 (23.3%) |
| 104 Lesions | 30 Adenocarcinomas | 21 Clinically Significant | |
|---|---|---|---|
| DCE− | 55 | 15 | 11 |
| DCE+ | 49 | 15 | 10 |
| ADC above threshold | 50 (1103) | 6 (1103) | 3 (1103) |
| ADC under threshold | 54 (1103) | 24 (1103) | 18 (1103) |
| Positivity | ||
|---|---|---|
| PI-RADS v2.1 | 0 | 1 |
| 3 | 40 | 15 |
| 3+1 | 34 | 15 |
| Clinically Significant | ||
|---|---|---|
| PI-RADS v2.1 | 0 | 1 |
| 3 | 44 | 11 |
| 3+1 | 39 | 10 |
| DCE-MRI and Positivity for PCa | DCE-MRI and Positivity for Clinically Significant PCa | ADC and Positivity for PCa | ADC and Positivity for Clinically Significant PCa | |
|---|---|---|---|---|
| AUROC | - | - | 0.72 | 0.73 |
| ADC cut-offs | - | - | 1103 | 1098 |
| Sensitivity | 0.50 | 0.48 | 0.80 | 0.86 |
| Specificity | 0.54 | 0.53 | 0.59 | 0.59 |
Disclaimer/Publisher’s Note: The statements, opinions and data contained in all publications are solely those of the individual author(s) and contributor(s) and not of MDPI and/or the editor(s). MDPI and/or the editor(s) disclaim responsibility for any injury to people or property resulting from any ideas, methods, instructions or products referred to in the content. |
© 2024 by the authors. Licensee MDPI, Basel, Switzerland. This article is an open access article distributed under the terms and conditions of the Creative Commons Attribution (CC BY) license (https://creativecommons.org/licenses/by/4.0/).
Share and Cite
Bertelli, E.; Vizzi, M.; Marzi, C.; Pastacaldi, S.; Cinelli, A.; Legato, M.; Ruzga, R.; Bardazzi, F.; Valoriani, V.; Loverre, F.; et al. Biparametric vs. Multiparametric MRI in the Detection of Cancer in Transperineal Targeted-Biopsy-Proven Peripheral Prostate Cancer Lesions Classified as PI-RADS Score 3 or 3+1: The Added Value of ADC Quantification. Diagnostics 2024, 14, 1608. https://doi.org/10.3390/diagnostics14151608
Bertelli E, Vizzi M, Marzi C, Pastacaldi S, Cinelli A, Legato M, Ruzga R, Bardazzi F, Valoriani V, Loverre F, et al. Biparametric vs. Multiparametric MRI in the Detection of Cancer in Transperineal Targeted-Biopsy-Proven Peripheral Prostate Cancer Lesions Classified as PI-RADS Score 3 or 3+1: The Added Value of ADC Quantification. Diagnostics. 2024; 14(15):1608. https://doi.org/10.3390/diagnostics14151608
Chicago/Turabian StyleBertelli, Elena, Michele Vizzi, Chiara Marzi, Sandro Pastacaldi, Alberto Cinelli, Martina Legato, Ron Ruzga, Federico Bardazzi, Vittoria Valoriani, Francesco Loverre, and et al. 2024. "Biparametric vs. Multiparametric MRI in the Detection of Cancer in Transperineal Targeted-Biopsy-Proven Peripheral Prostate Cancer Lesions Classified as PI-RADS Score 3 or 3+1: The Added Value of ADC Quantification" Diagnostics 14, no. 15: 1608. https://doi.org/10.3390/diagnostics14151608
APA StyleBertelli, E., Vizzi, M., Marzi, C., Pastacaldi, S., Cinelli, A., Legato, M., Ruzga, R., Bardazzi, F., Valoriani, V., Loverre, F., Impagliazzo, F., Cozzi, D., Nardoni, S., Facchiano, D., Serni, S., Masieri, L., Minervini, A., Agostini, S., & Miele, V. (2024). Biparametric vs. Multiparametric MRI in the Detection of Cancer in Transperineal Targeted-Biopsy-Proven Peripheral Prostate Cancer Lesions Classified as PI-RADS Score 3 or 3+1: The Added Value of ADC Quantification. Diagnostics, 14(15), 1608. https://doi.org/10.3390/diagnostics14151608

