Next Article in Journal
Brain and Ventricle Volume Alterations in Idiopathic Normal Pressure Hydrocephalus Determined by Artificial Intelligence-Based MRI Volumetry
Next Article in Special Issue
sCD14-ST and Related Osteoimmunological Biomarkers: A New Diagnostic Approach to Osteomyelitis
Previous Article in Journal
The Diagnostic Yield of [18F]FDG-PET/CT in a Heterogeneous In-Patient Population with Suspected Infection or Inflammation Is Comparable to Findings in Patients with Classic Fever of Unknown Origin
Previous Article in Special Issue
Comparative Performance of COVID-19 Test Methods in Healthcare Workers during the Omicron Wave
 
 
Font Type:
Arial Georgia Verdana
Font Size:
Aa Aa Aa
Line Spacing:
Column Width:
Background:
Interesting Images

Pulmonary Actinomycosis in a 65-Year-Old Female with Poor Oral Dentition

1
Department of Pathology and Laboratory Medicine, Brody School of Medicine, East Carolina University, Greenville, NC 27834, USA
2
Department of Medicine, Division of Infectious Diseases, Brody School of Medicine, East Carolina University, Greenville, NC 27834, USA
3
ECU Health, ECU Physicians-Pathology, Greenville, NC 27834, USA
*
Author to whom correspondence should be addressed.
Diagnostics 2024, 14(13), 1421; https://doi.org/10.3390/diagnostics14131421
Submission received: 31 May 2024 / Accepted: 28 June 2024 / Published: 3 July 2024
(This article belongs to the Special Issue Laboratory Diagnosis of Infectious Disease: Advances and Challenges)

Abstract

Pulmonary actinomycosis is an uncommon clinical entity that can be challenging to diagnose due to its non-specific symptomatology. Misdiagnosis and delayed treatment may result in invasive procedures and extended antimicrobial treatment courses. We report a case involving a 65-year-old female with poor oral dentition admitted for acute respiratory failure subsequently found to have a left-sided pleural effusion and perihepatic abscess formation. Cytopathology examination and microbiology studies confirmed the diagnosis of pulmonary actinomycosis.

A 65-year-old female with hypertension, hyperlipidemia, and peripheral vascular disease presented to the emergency department (ED) of an affiliated hospital with progressive shortness of breath, cough, upper abdominal pain, and subjective fever for two weeks. Additionally, she was seen at the same ED seven weeks prior to this presentation for left arm pain of several weeks duration and was found to have a significantly elevated erythrocyte sedimentation rate (>130 mm/h; reference range, <30 mm/h). This led to an initial diagnosis of polymyalgia rheumatica, for which she had recently completed a tapered course of oral prednisone.
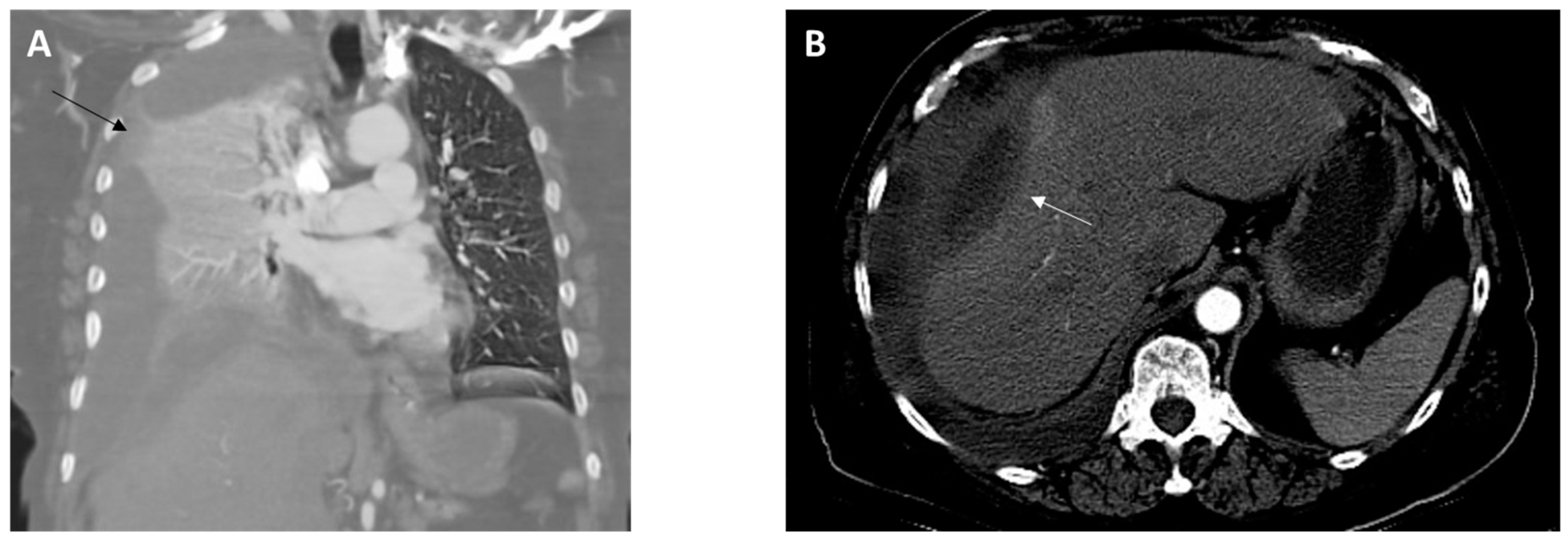
On arrival, she was found to be afebrile but tachycardic (116 beats per minute), tachypneic (26 breaths per minute), and hypoxic (SpO2 60–70% on room air). On physical examination, there was diminished air entry in the right lung and poor oral dentition, visualized with several loose or missing teeth along with visible tooth decay (dental caries). A complete blood count analysis revealed leukocytosis (25.57 k/µL; reference range, 4.50–11.00 k/uL). A comprehensive metabolic panel was unremarkable except for decreased carbon dioxide (14 mEq/L; reference range, 23–31 mEq/L). Elevated lactic acid (9.4 mmol/L; reference range, 0.5–2.0 mmol/L) and procalcitonin (10.05 ng/mL; reference range, 0.00–0.50 ng/mL) levels were detected. Chest X-ray imaging showed near-complete opacification of the right hemithorax. A computed tomography (CT) angiography of the chest revealed a large right hydropneumothorax with a leftward mediastinal shift (Figure 1A). The pleural fluid crossed the diaphragm, terminating in a thick-walled collection along the lateral aspect of the right lobe of the liver (Figure 1B). She developed progressive respiratory failure, requiring intubation and mechanical ventilation. The patient was administered intravenous (IV) vancomycin and piperacillin/tazobactam and was subsequently transferred to our facility for a thoracic surgery evaluation.
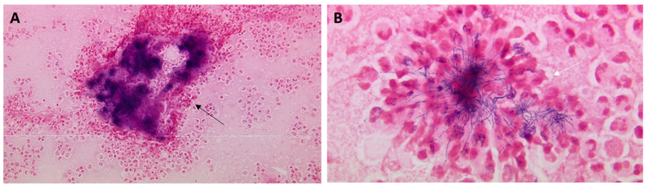
The patient underwent a right thoracostomy with a chest tube placement, yielding 1 L of purulent fluid. Her pleural fluid cell count analysis revealed >59 K red blood cells/µL and >45 K nucleated cells/µL with a neutrophilic predominance. Additional analysis of the fluid yielded pH 6.4, protein 4.3 g/dL (serum 6.1 g/dL; reference range, 6.2–8.1 g/dL), and a lactate dehydrogenase level of 9211 U/L (serum 213 U/L; reference range, 125–220 U/L). A cytological examination of the pleural fluid revealed large, intertwined aggregates of filamentous micro-organisms on Gomori methenamine silver staining (Figure 2). The organism was not highlighted by acid-fast staining. The Gram stain of the pleural fluid demonstrated large bacterial clusters (Figure 3A) composed of filamentous, branching Gram-positive bacilli with a beaded appearance (Figure 3B) measuring up to 31 mm in diameter. Notably, additional bacterial morphologies were not seen. The culture of the pleural fluid initially grew 1+ Pseudomonas aeruginosa with two morphologies of anaerobic Gram-negative rods identified on the fifth day of plate reading. These isolates were subsequently identified as a Fusobacterium species (4+) and Campylobacter gracilis (3+). Given that there was no organism isolated with a similar morphology to that seen on the direct Gram stain, the incubation of the primary plates was extended to 14 days. This was based on the clinical determination of the microbiology lab director to isolate the predominant organism seen on direct Gram stain.
On day 14 of incubation, tiny “spider” type microcolonies were noted on the chocolate agar plate incubated aerobically at 35 °C with 5% CO2 [1]. A secondary culture onto another chocolate agar plate and anaerobic incubation at 37 °C produced predominantly white, opaque, smooth, circular colonies as well as colonies with a “molar tooth” appearance (Figure 4, white arrow) [1]. Gram staining of these colonies revealed Gram-positive, beaded rods. A modified Kinyoun stain was negative. Identification of the isolate was attempted by matrix-assisted laser desorption/ionization time of flight mass spectroscopy (MALDI-TOF); however, identification was unsuccessful. The isolate was sent to Mayo Clinic Laboratories (Rochester, MN, USA), where it was identified as Actinomyces gerencseriae by 16S rRNA gene sequencing.
A right perihepatic drain was placed to address the thick-walled collection along the lateral aspect of the right liver lobe, with 35 mL of purulent material collected. The patient received four weeks of piperacillin/tazobactam prior to transitioning to amoxicillin-clavulanate. A CT scan of the abdomen performed at the completion of IV therapy revealed near resolution of the perihepatic abscess and a low-volume residual loculated pleural effusion. The perihepatic drain was removed, and the patient continued amoxicillin/clavulanate to complete a six-month total duration of antimicrobial therapy. A subsequent CT scan of the abdomen showed complete resolution of the perihepatic abscess (Figure 5A) and empyema (Figure 5B).
Actinomyces was initially discovered in 1877 by the pathologist Otto Bollinger [2,3]. Actinomycosis, a chronic granulomatous infection caused by the Actinomyces species, was first described in humans in 1896 [3,4]. Recent phylogenetic studies utilizing 16S rRNA gene sequencing and whole genome sequencing have reclassified many former Actinomyces species into several new genera (e.g., Schaalia, Winkia, etc.) [4,5]. Actinomyces species and related genera usually appear as filamentous, branching bacilli that stain Gram-positive with a beaded appearance on direct Gram staining of clinical samples [2,4]. On sub-culture to solid media, this morphology is often lost [4,6]. Most Actinomyces species and related genera are non-spore-forming aerotolerant anaerobes, but some are obligate anaerobes [2,6]. Colony morphology and microscopic characteristics can be highly variable in this family of organisms [6]. Isolation of the primary agent in cases of actinomycosis can be challenging due to their slow growth rate and the polymicrobial nature of these infections. Streptococcus anginosis group, Fusobacterium spp., Propionibacterium spp., Campylobacter gracilis, anaerobic Gram-positive cocci, and anaerobic Gram-negative rods are often identified as co-pathogens in actinomycosis [3,7]. Extended incubation of cultures may increase the identification yield for Actinomyces species and related genera; however, this is not a routine practice in most clinical laboratories [6]. The overall yield upon extension of incubation time is low with an increasing risk of contamination. Thus, the decision to extend incubation time should be carefully determined by the microbiology lab director based on clinical judgment. Due to the low diagnostic yield of culture in these cases, the diagnosis of actinomycosis is generally accomplished by clinical findings and cytohistologic evaluation of specimens [2,3,4].
In addition to microscopic evaluation of specimens and bacterial culturing, macroscopic evaluation of sampled purulent fluid for sulfur granules can aid in the diagnosis of actinomycosis [4]. When sulfur granules are crushed, stained, and viewed under a microscope, the characteristic morphology of Actinomyces species and related genera should be present [4]. It is important to note that not all Actinomyces species and related genera produce sulfur granules, and some Nocardia spp. can produce them as well. Due to differences in therapeutic strategies between these two organisms, it is important to distinguish them [8]. The modified acid-fast bacilli stain is an important tool that can support decision-making. Nocardia spp. stain positively, while Actinomyces species and related genera are negative [8]. This staining can be performed directly on specimens or on cultured isolates [4,6]. Definitive identification is generally accomplished through MALDI-TOF or sequencing [4,6,9]. These methods have largely replaced biochemical testing due to their ability to provide accurate genus-level identification [4].
The diagnosis of actinomycosis can be challenging for medical professionals, delaying the correct diagnosis in a high proportion of cases. This can result in prolonged antimicrobial courses and the need for invasive procedures. Isolation of Actinomyces species and related genera from culture can be challenging; diagnosis is often accomplished by cytohistologic evaluation.

Author Contributions

Conceptualization, J.E.M. and R.G.; investigation, J.E.M., R.G. and S.Y.; writing—original draft preparation, J.E.M., R.G. and S.Y.; writing—review and editing, A.T.S., D.A.L.F., J.E.M., R.G., S.Y. and T.A.S.; supervision, J.E.M. All authors have read and agreed to the published version of the manuscript.

Funding

This research received no external funding.

Institutional Review Board Statement

Ethical review and approval were waived for this study as the retrospective, deidentified case data and images did not meet the definition of human subject research per ECU University and Medical Center IRB criteria.

Informed Consent Statement

Informed consent was obtained from the patient.

Data Availability Statement

Data that may be potentially identifiable is not publicly available due to patient confidentiality and privacy considerations. The data presented in this study that are non-identifiable are available on request from the corresponding author.

Acknowledgments

I would like to acknowledge the ECU Health clinical microbiologists, Theodore Martin and Jeremy Yates, who isolated the organism from culture.

Conflicts of Interest

The authors declare no conflicts of interest.

References

  1. Brock, D.W.; Georg, L.K. Characterization of Actinomyces israelii serotypes 1 and 2. J. Bacteriol. 1969, 97, 589–593. [Google Scholar] [CrossRef] [PubMed]
  2. Boot, M.; Archer, J.; Ali, I. The diagnosis and management of pulmonary actinomycosis. J. Infect. Public Health 2023, 16, 490–500. [Google Scholar] [CrossRef] [PubMed]
  3. Könönen, E.; Wade, W.G. Actinomyces and related organisms in human infections. Clin. Microbiol. Rev. 2015, 28, 419–442. [Google Scholar] [CrossRef]
  4. Butler-Wu, S.M.; She, R.C. Anaerobic Non-Spore-Forming Gram-Positive Rods. In Manual of Clinical Microbiology, 13th ed.; Nagy, E., McAdam, A., Carroll, K.C., Pfaller, M.A., Eds.; ASM Press: Washington, DC, USA, 2023; Available online: https://www.clinmicronow.org/doi/abs/10.1128/9781683670438.MCM.ch54 (accessed on 28 May 2024).
  5. Clarridge, J.E., 3rd; Zhang, Q. Genotypic diversity of clinical Actinomyces species: Phenotype, source, and disease correlation among genospecies. J. Clin. Microbiol. 2002, 40, 3442–3448. [Google Scholar] [CrossRef]
  6. Bernard, K.; Hamula, C. Anaerobic Gram-Positive Bacilli. In Clinical Microbiology Procedures Handbook, 5th ed.; Schuetz, A.N., Leber, A.L., Burnham, C.D., Eds.; ASM Press: Washington, DC, USA, 2023; Available online: https://www.clinmicronow.org/doi/abs/10.1128/9781683670438.CMPH.ch4.14 (accessed on 28 May 2024).
  7. Sharma, S.; Hashmi, M.F.; Valentino, I.D. Actinomycosis. In StatPearls; StatPearls Publishing LLC.: St. Petersburg, FL, USA, 2024. [Google Scholar]
  8. McHugh, K.E.; Sturgis, C.D.; Procop, G.W.; Rhoads, D.D. The cytopathology of Actinomyces, Nocardia, and their mimickers. Diagn. Cytopathol. 2017, 45, 1105–1115. [Google Scholar] [CrossRef] [PubMed]
  9. Lynch, T.; Gregson, D.; Church, D.L. Species-Level Identification of Actinomyces Isolates Causing Invasive Infections: Multiyear Comparison of Vitek MS (Matrix-Assisted Laser Desorption Ionization-Time of Flight Mass Spectrometry) to Partial Sequencing of the 16S rRNA Gene. J. Clin. Microbiol. 2016, 54, 712–717. [Google Scholar] [CrossRef] [PubMed]
Figure 1. Images from computed tomography angiography of the chest obtained at admission. (A), Coronal view revealing a collapsed right lung due to a large pleural effusion (black arrow). (B), Axial view showing the presence of a perihepatic abscess (10.0 × 3.8 cm) (white arrow).
Figure 1. Images from computed tomography angiography of the chest obtained at admission. (A), Coronal view revealing a collapsed right lung due to a large pleural effusion (black arrow). (B), Axial view showing the presence of a perihepatic abscess (10.0 × 3.8 cm) (white arrow).
Diagnostics 14 01421 g001
Figure 2. Cytological examination of the pleural fluid revealed large, intertwined aggregates of filamentous, branching bacteria on Gomori methenamine silver stain (1000× original size, oil immersion).
Figure 2. Cytological examination of the pleural fluid revealed large, intertwined aggregates of filamentous, branching bacteria on Gomori methenamine silver stain (1000× original size, oil immersion).
Diagnostics 14 01421 g002
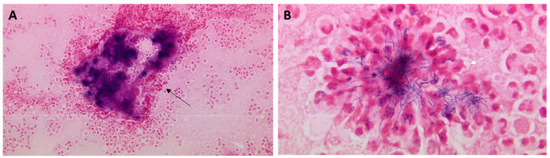
Figure 3. Photographic images of the Gram stain from the pleural fluid culture. (A), original magnification, 200×. (B), original magnification, 1000×, oil immersion. The Gram stain demonstrated large bacterial clusters of filamentous, branching bacteria surrounded by a dense collection of neutrophils (black arrow). Higher-power magnification (600×) revealed filamentous, branching, gram-positive bacilli with a beaded appearance (white arrow).
Figure 3. Photographic images of the Gram stain from the pleural fluid culture. (A), original magnification, 200×. (B), original magnification, 1000×, oil immersion. The Gram stain demonstrated large bacterial clusters of filamentous, branching bacteria surrounded by a dense collection of neutrophils (black arrow). Higher-power magnification (600×) revealed filamentous, branching, gram-positive bacilli with a beaded appearance (white arrow).
Diagnostics 14 01421 g003
Figure 4. Photographic image of isolated colonies of Actinomyces gerencseriae following sub-culture onto a chocolate agar plate and anaerobic incubation at 37 °C for 14 days. The larger, mature colonies are exhibiting the characteristic molar tooth-appearance seen in Actinomyces gerencseriae (white arrow).
Figure 4. Photographic image of isolated colonies of Actinomyces gerencseriae following sub-culture onto a chocolate agar plate and anaerobic incubation at 37 °C for 14 days. The larger, mature colonies are exhibiting the characteristic molar tooth-appearance seen in Actinomyces gerencseriae (white arrow).
Diagnostics 14 01421 g004
Figure 5. CT abdomen/pelvis with intravenous contrast obtained four months following hospital discharge shows resolution of the empyema ((A), coronal view) and perihepatic abscess ((B), axial view).
Figure 5. CT abdomen/pelvis with intravenous contrast obtained four months following hospital discharge shows resolution of the empyema ((A), coronal view) and perihepatic abscess ((B), axial view).
Diagnostics 14 01421 g005
Disclaimer/Publisher’s Note: The statements, opinions and data contained in all publications are solely those of the individual author(s) and contributor(s) and not of MDPI and/or the editor(s). MDPI and/or the editor(s) disclaim responsibility for any injury to people or property resulting from any ideas, methods, instructions or products referred to in the content.

Share and Cite

MDPI and ACS Style

Yi, S.; Ghimire, R.; Sporn, T.A.; Sutton, A.T.; Lebron Figueroa, D.A.; Markantonis, J.E. Pulmonary Actinomycosis in a 65-Year-Old Female with Poor Oral Dentition. Diagnostics 2024, 14, 1421. https://doi.org/10.3390/diagnostics14131421

AMA Style

Yi S, Ghimire R, Sporn TA, Sutton AT, Lebron Figueroa DA, Markantonis JE. Pulmonary Actinomycosis in a 65-Year-Old Female with Poor Oral Dentition. Diagnostics. 2024; 14(13):1421. https://doi.org/10.3390/diagnostics14131421

Chicago/Turabian Style

Yi, Sha, Rabindra Ghimire, Thomas A. Sporn, Ann T. Sutton, Dora A. Lebron Figueroa, and John E. Markantonis. 2024. "Pulmonary Actinomycosis in a 65-Year-Old Female with Poor Oral Dentition" Diagnostics 14, no. 13: 1421. https://doi.org/10.3390/diagnostics14131421

APA Style

Yi, S., Ghimire, R., Sporn, T. A., Sutton, A. T., Lebron Figueroa, D. A., & Markantonis, J. E. (2024). Pulmonary Actinomycosis in a 65-Year-Old Female with Poor Oral Dentition. Diagnostics, 14(13), 1421. https://doi.org/10.3390/diagnostics14131421

Note that from the first issue of 2016, this journal uses article numbers instead of page numbers. See further details here.

Article Metrics

Back to TopTop