Brain and Ventricle Volume Alterations in Idiopathic Normal Pressure Hydrocephalus Determined by Artificial Intelligence-Based MRI Volumetry
Abstract
1. Introduction
2. Materials and Methods
2.1. Study Population
- A record of walking difficulties, advancing cognitive decline, and a sense of urgency or loss of control over urination;
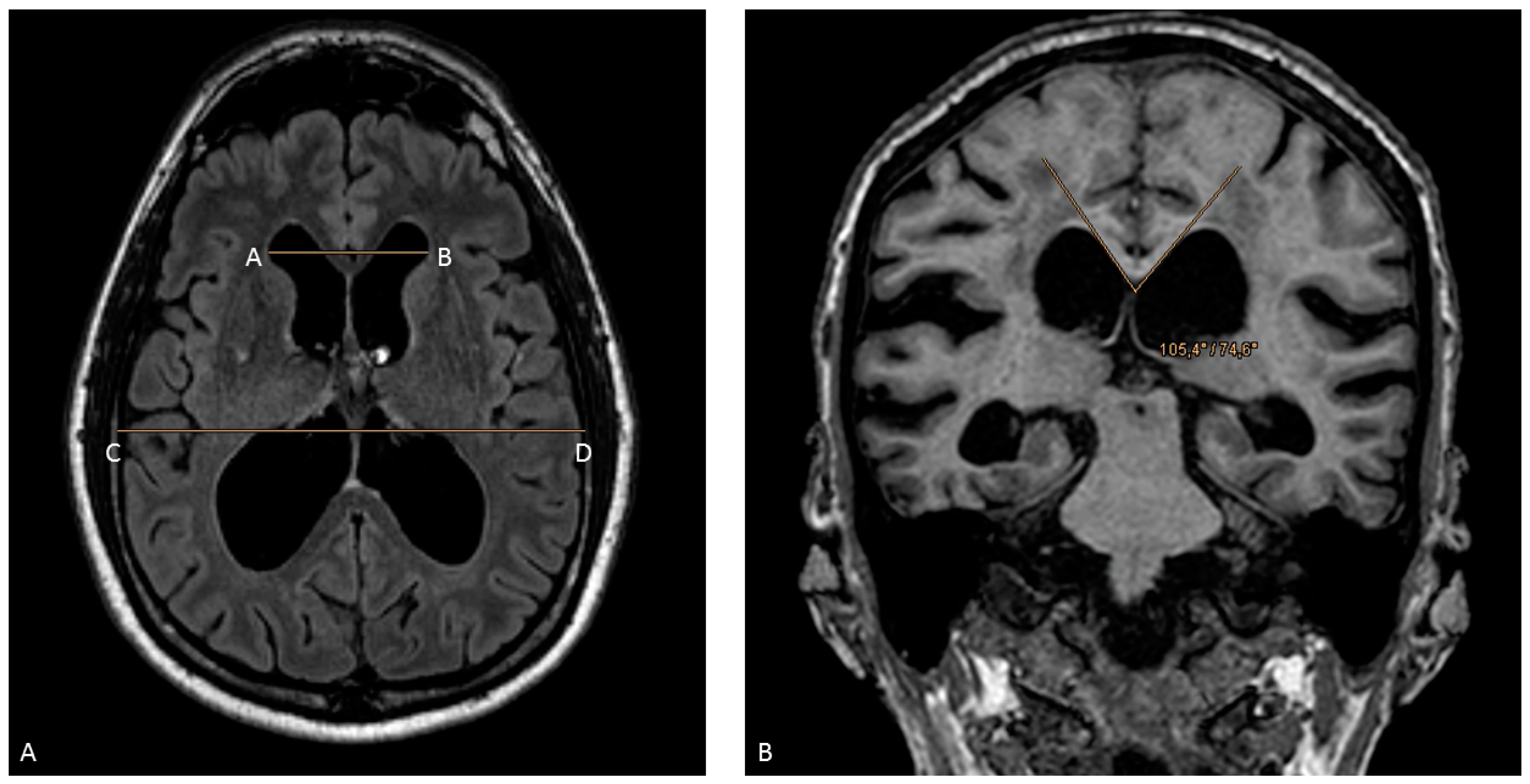
 - Imaging characteristics of hydrocephalus with disproportionated enlargement of the ventricles in comparison to the outer subarachnoid spaces, whereby an Evans’ index >0.30 was indicative of iNPH on computed tomography (CT) or magnetic resonance (MR) imaging;
 - A CSF opening pressure (appropriately measured) of <24 cm of water.
 
- Expansion of the ventricles that cannot be fully ascribed to cerebral shrinkage or congenital enlargement (Evans’ index > 0.3).
 - Absence of any visible blockage impeding the flow of CSF.
 - Presence of at least one of the following indicative characteristics:
- Enlargement of the temporal horns of the lateral ventricles not entirely attributable to hippocampus atrophy;
 - Callosal angle of <90°;
 - Evidence of altered brain water content, including periventricular signal changes on CT and MRI not attributable to microvascular ischemic changes or demyelination;
 - An aqueductal or fourth ventricular flow void on MRI.
 
 
2.2. Magnetic Resonance Imaging
2.3. Image Analysis
2.4. Post-Processing and Artificial Intelligence (AI)-Based Volumetry
- Segmenting the structures of interest. A custom deep learning segmentation model, based on the 3D U-Net architecture [25], is utilized for this purpose. Input to the model is a 3D T1 MRI scan (cropped to include only the head and resampled to a uniform size), and the output of the model is a 3D segmentation mask, containing segmentation of various brain structures as listed above. The model was trained using the Adam optimization algorithm, a variant of stochastic gradient descent. The training dataset consisted of 2869 gender-balanced MRI scans and corresponding segmentation annotations created through a proprietary multi-rater annotation process. Various augmentation techniques, such as contrast, resolution, rotation, and elastic deformation adjustments, were applied during training to enhance the model’s generalizability. The algorithm was validated on a test dataset consisting of MRI scans from 121 subjects and the corresponding manual segmentations by human experts.
 - Calculating the volume of the segmented structures by counting the number of voxels in the segmentation mask and multiplying by the voxel volume.
 - Comparing the calculated volumes to a reference population of healthy individuals (n = 6099, balanced for gender, mean age 41 ± 23 years, age range 10–97 years, with diverse image sources from Europe, the United States, Australia, and China) to determine percentiles, accounting for age, sex, and total intracranial volume.
 
- Use is restricted to certain allowed MR scan parameter ranges (for example, the spacing between slices must be below 2 mm);
 - Quality of results cannot be guaranteed for patients with an age outside the range of 10–99 years or those with tumor or stroke;
 - Comparability of results is not guaranteed if the image data were recorded with different MR sequences.
 
2.5. Statistical Analysis
3. Results
3.1. Brain Volume Deviations in iNPH Patients as Compared to a Norm Collective
3.2. Artificial Intelligence-Based Volumetric Results
3.3. Semi-Quantitative Markers for the Diagnosis of iNPH
4. Discussion
5. Conclusions
Supplementary Materials
Author Contributions
Funding
Institutional Review Board Statement
Informed Consent Statement
Data Availability Statement
Acknowledgments
Conflicts of Interest
References
- Adams, R.D.; Fisher, C.M.; Hakim, S.; Ojemann, R.G.; Sweet, W.H. Symptomatic occult hydrocephalus with “normal” cerebrospinal-fluid pressure: A treatable syndrome. N. Engl. J. Med. 1965, 273, 117–126. [Google Scholar] [CrossRef] [PubMed]
 - Relkin, N.; Marmarou, A.; Klinge, P.; Bergsneider, M.; Black, P.M. Diagnosing idiopathic normal-pressure hydrocephalus. Neurosurgery 2005, 57, S4–S16. [Google Scholar] [CrossRef] [PubMed]
 - Hebb, A.O.; Cusimano, M.D. Idiopathic normal pressure hydrocephalus: A systematic review of diagnosis and outcome. Neurosurgery 2001, 49, 1166–1186. [Google Scholar] [CrossRef] [PubMed]
 - Silverberg, G.D. Normal pressure hydrocephalus (NPH): Ischaemia, CSF stagnation or both. Brain 2004, 127, 947–948. [Google Scholar] [CrossRef]
 - Ries, M.L.; Carlsson, C.M.; Rowley, H.A.; Sager, M.A.; Gleason, C.E.; Asthana, S.; Johnson, S.C. Magnetic resonance imaging characterization of brain structure and function in mild cognitive impairment: A review. J. Am. Geriatr. Soc. 2008, 56, 920–934. [Google Scholar] [CrossRef] [PubMed]
 - Gallia, G.L.; Rigamonti, D.; Williams, M.A. The diagnosis and treatment of idiopathic normal pressure hydrocephalus. Nat. Clin. Pract. Neurol. 2006, 2, 375–381. [Google Scholar] [CrossRef] [PubMed]
 - Kuroda, T.; Honma, M.; Mori, Y.; Futamura, A.; Sugimoto, A.; Kasai, H.; Yano, S.; Hieda, S.; Kasuga, K.; Ikeuchi, T.; et al. White Matter Lesions May Aid in Differentiating Idiopathic Normal Pressure Hydrocephalus and Alzheimer’s Disease. J. Alzheimer’s Dis. 2022, 85, 851–862. [Google Scholar] [CrossRef] [PubMed]
 - Owler, B.K.; Pickard, J.D. Normal pressure hydrocephalus and cerebral blood flow: A review. Acta Neurol. Scand. 2001, 104, 325–342. [Google Scholar] [CrossRef]
 - Evans, W.A. An encephalographic ratio for estimating the size of the cerebral ventricles: Further experience with serial observations. Am. J. Dis. Child. 1942, 64, 820–830. [Google Scholar] [CrossRef]
 - Hashimoto, M.; Ishikawa, M.; Mori, E.; Kuwana, N. Study of INPH on neurological improvement (SINPHONI). Diagnosis of idiopathic normal pressure hydrocephalus is supported by MRI-based scheme: A prospective cohort study. Cerebrospinal Fluid. Res. 2010, 7, 18. [Google Scholar] [CrossRef]
 - Kitagaki, H.; Mori, E.; Ishii, K.; Hirono, N.; Imamura, T. CSF spaces in idiopathic normal pressure hydrocephalus: Morphology and volumetry. AJNR Am. J. Neuroradiol. 1998, 19, 1277–1284. [Google Scholar] [PubMed]
 - Ishii, K.; Kanda, T.; Harada, A.; Miyamoto, N.; Kawaguchi, T.; Shimada, K.; Ohkawa, S.; Uemura, T.; Yoshikawa, T.; Mori, E. Clinical impact of the callosal angle in the diagnosis of idiopathic normal pressure hydrocephalus. Eur. Radiol. 2008, 18, 2678–2683. [Google Scholar] [CrossRef] [PubMed]
 - Wikkelso, C.; Andersson, H.; Blomstrand, C.; Lindqvist, G.; Svendsen, P. Normal pressure hydrocephalus: Predictive value of the cerebrospinal fluid tap-test. Acta Neurol. Scand. 1986, 73, 566–573. [Google Scholar] [CrossRef]
 - Damasceno, B.P. Normal pressure hydrocephalus: Diagnostic and predictive evaluation. Dement. Neuropsychol. 2009, 3, 8–15. [Google Scholar] [CrossRef] [PubMed]
 - Damasceno, B.P. Neuroimaging in normal pressure hydrocephalus. Dement. Neuropsychol. 2015, 9, 350–355. [Google Scholar] [CrossRef]
 - Nakajima, M.; Yamada, S.; Miyajima, M.; Ishii, K.; Kuriyama, N.; Kazui, H.; Kanemoto, H.; Suehiro, T.; Yoshiyama, K.; Kameda, M.; et al. Guidelines for management of idiopathic normal pressure hydrocephalus (third edition): Endorsed by the Japanese society of normal pressure hydrocephalus. Neurol. Med. Chir. 2021, 61, 63–97. [Google Scholar] [CrossRef] [PubMed]
 - Evans, W. An Encephalographic Ratio for Estimating Ventricular Enlargement and Cerebral Atrophy. Arch. Neurol. Psychiatry 1942, 47, 931. [Google Scholar] [CrossRef]
 - Brix, M.; Westman, E.; Simmons, A.; Ringstad, G.A.; Eide, P.K.; Wagner-Larsen, K.; Page, C.M.; Vitelli, V.; Beyer, M.K. The Evans’ Index Revisited: New Cut-Off Levels for Use in Radiological Assessment of Ventricular Enlargement in the Elderly. Eur. J. Radiol. 2017, 95, 28–32. [Google Scholar] [CrossRef] [PubMed]
 - Virhammar, J.; Laurell, K.; Cesarini, K.G.; Larsson, E.M. The callosal angle measured on MRI as a predictor of outcome in idiopathic normal-pressure hydrocephalus. J. Neurosurg. 2014, 120, 178–184. [Google Scholar] [CrossRef]
 - ISO 13485:2016; Medical Devices—Quality Management Systems—Requirements for Regulatory Purposes. ISO: Geneva, Switzerland, 2016. Available online: https://www.iso.org/obp/ui/en/#iso:std:59752:en (accessed on 1 July 2024).
 - Dieckmeyer, M.; Roy, A.G.; Senapati, J.; Wachinger, C.; Grundl, L.; Dopfert, J.; Bertran, P.F.; Lemke, A.; Zimmer, C.; Kirschke, J.S.; et al. Effect of MRI acquisition acceleration via compressed sensing and parallel imaging on brain volumetry. Magn. Reson. Mater. Phys. Biol. Med. 2021, 34, 487–497. [Google Scholar] [CrossRef]
 - Haase, R.; Lehnen, N.C.; Schmeel, F.C.; Deike, K.; Rüber, T.; Radbruch, A.; Paech, D. External evaluation of a deep learning-based approach for automated brain volumetry in patients with huntington’s disease. Sci. Rep. 2024, 14, 9243. [Google Scholar] [CrossRef] [PubMed]
 - Ronneberger, O.; Fischer, P.; Brox, T. U-net: Convolutional networks for biomedical image segmentation. In Medical Image Computing and Computer-Assisted Intervention—Proceedings of the 2015 18th International Conference, Munich, Germany, 5–9 October 2015; Proceedings, Part III 18; Springer International Publishing: Cham, Switzerland, 2015; Volume 9351, pp. 234–241. [Google Scholar]
 - Kingma, D.P.; Ba, J. Adam: A Method for Stochastic Optimization. In Proceedings of the International Conference on Learning Representations (ICLR), San Diego, CA, USA, 7–9 May 2015. [Google Scholar]
 - Çiçek, Ö.; Abdulkadir, A.; Lienkamp, S.S.; Brox, T.; Ronneberger, O. 3D U-Net: Learning dense volumetric segmentation from sparse annotation. In Medical Image Computing and Computer-Assisted Intervention—Proceedings of the MICCAI 2016: 19th International Conference, Athens, Greece, 17–21 October 2016; Proceedings, Part II 19; Springer International Publishing: Cham, Switzerland, 2016; pp. 424–432. [Google Scholar]
 - Tullberg, M.; Rosengren, L.; Blomsterwall, E.; Karlsson, J.E.; Wikkelso, C. CSF neurofilament and glial fibrillary acidic protein in normal pressure hydrocephalus. Neurology 1998, 50, 1122–1127. [Google Scholar] [CrossRef] [PubMed]
 - Zhao, Z.; He, J.; Chen, Y.; Wang, Y.; Wang, C.; Tan, C.; Liao, J.; Xiao, G. The pathogenesis of idiopathic normal pressure hydrocephalus based on the understanding of AQP1 and AQP4. Front. Mol. Neurosci. 2022, 15, 952036. [Google Scholar] [CrossRef] [PubMed]
 - Traini, E.; Carotenuto, A.; Fasanaro, A.M.; Amenta, F. Volume analysis of brain cognitive areas in Alzheimer’s disease: Interim 3-year results from the ASCOMALVA trial. J. Alzheimer’s Dis. 2020, 76, 317–329. [Google Scholar] [CrossRef] [PubMed]
 - Harper, L.; Bouwman, F.; Burton, E.J.; Barkhof, F.; Scheltens, P.; O’Brien, J.T.; Fox, N.C.; Ridgway, G.R.; Schott, J.M. Patterns of atrophy in pathologically confirmed dementias: A voxelwise analysis. J. Neurol. Neurosurg. Psychiatry 2017, 88, 908–916. [Google Scholar] [CrossRef] [PubMed]
 - Ishii, K.; Soma, T.; Kono, A.K.; Sofue, K.; Miyamoto, N.; Yoshikawa, T.; Mori, E.; Murase, K. Comparison of regional brain volume and glucose metabolism between patients with mild dementia with lewy bodies and those with mild Alzheimer’s disease. J. Nucl. Med. 2007, 48, 704–711. [Google Scholar] [CrossRef] [PubMed]
 - Yun, S.Y.; Choi, K.S.; Suh, C.H.; Kim, S.C.; Heo, H.; Shim, W.H.; Jo, S.; Chung, S.J.; Lim, J.S.; Lee, J.H.; et al. Risk estimation for idiopathic normal-pressure hydrocephalus: Development and validation of a brain morphometry-based nomogram. Eur. Radiol. 2023, 33, 6145–6156. [Google Scholar] [CrossRef]
 - Anderson, R.C.; Grant, J.J.; de la Paz, R.; Frucht, S.; Goodman, R.R. Volumetric measurements in the detection of reduced ventricular volume in patients with normalpressure hydrocephalus whose clinical condition improved after ventriculoperitoneal shunt placement. J. Neurosurg. 2002, 97, 73–79. [Google Scholar] [CrossRef] [PubMed]
 - Toma, A.K.; Holl, E.; Kitchen, N.D.; Watkins, L.D. Evans’ index revisited: The need for an alternative in normal pressure hydrocephalus. Neurosurgery 2011, 68, 939–944. [Google Scholar] [CrossRef]
 - Ambarki, K.; Israelsson, H.; Wahlin, A.; Birgander, R.; Eklund, A.; Malm, J. Brain ventricular size in healthy elderly: Comparison between Evans’ index and volume measurement. Neurosurgery 2010, 67, 94–99; discussion 99. [Google Scholar] [CrossRef]
 - Williams, M.A.; Relkin, N.R. Diagnosis and management of idiopathic normal-pressure hydrocephalus. Neurol. Clin. Pract. 2013, 3, 375–385. [Google Scholar] [CrossRef] [PubMed]
 - Park, H.Y.; Kim, M.; Suh, C.H.; Lee, D.H.; Shim, W.H.; Kim, S.J. Diagnostic performance and interobserver agreement of the callosal angle and Evans’ index in idiopathic normal pressure hydrocephalus: A systematic review and meta-analysis. Eur. Radiol. 2021, 31, 5300–5311. [Google Scholar] [CrossRef] [PubMed]
 - Takagi, K.; Watahiki, R.; Machida, T.; Onouchi, K.; Kato, K.; Oshima, M. Reliability and interobserver variability of Evans’’ index and disproportionately enlarged subarachnoid space hydrocephalus as diagnostic criteria for idiopathic normal pressure hydrocephalus. Asian J. Neurosurg. 2020, 15, 107–112. [Google Scholar] [CrossRef] [PubMed]
 - Tsunoda, A.; Mitsuoka, H.; Bandai, H.; Arai, H.; Sato, K.; Makita, J. Intracranial cerebrospinal fluid distribution and its postoperative changes in normal pressure hydrocephalus. Acta Neurochir. 2001, 143, 493–499. [Google Scholar] [CrossRef]
 - Reisberg, B.; Ferris, S.H.; de Leon, M.J.; Crook, T. The Global Deterioration Scale for assessment of primary degenerative dementia. Am. J. Psychiatry 1982, 139, 1136–1139. [Google Scholar] [CrossRef]
 





| NPH (n = 41) | Control Group (n = 41) | Alzheimer’s Disease (n = 41) | p-Value † | |
|---|---|---|---|---|
| Age—yr | 79.4 ± 7.5 | 79.0 ± 4.9 | 81.6 ± 8.4 | 0.766 | 
| Male sex—No. (%) | 28 (68%) | 27 (66%) | 21 (51%) | 0.817 | 
| Sequence | Pulse Type | Orientation | TR (ms) | TE (ms) | Reconstructed Voxel Size (mm) | Matrix (mm) | Slices | 
|---|---|---|---|---|---|---|---|
| T2w | Turbo spin echo | axial | 13.257 | 90 | 0.94 × 0.94 × 1 | 240 × 174 | 140 | 
| SWI | 3D fast field echo | axial | 31 | 0 | 0.6 × 0.6 × 2 | 384 × 316 | 145 | 
| DWI | b values (0, 500, 1000 s/mm2) | axial | 2725 | 41 | 1 × 1 × 5 | 128 × 127 | 24 | 
| T1w | MPRAGE | sagittal | 7.3 | 3.9 | 1 × 1 × 1 | 256 × 256 | 180 | 
| FLAIR | 3D gradient echo | sagittal | 4800 | 275.776 | 1.12 × 1.12 × 1.12 | 240 × 240 | 321 | 
| iNPH (n = 41)  | Control Group (CG) (n = 41)  | Alzheimer’s Disease (AD) (n = 41) | iNPH vs. CG | iNPH vs. AD | p-Value # | ||||
|---|---|---|---|---|---|---|---|---|---|
| Mean | SD | Mean | SD | Mean | SD | % Δ | % Δ | ||
| ICV | 1231.8122 | 144.1960 | 1181.1659 | 97.8317 | 1115.9610 | 115.0844 | 4 | 10 | 0.000 | 
| Total brain volume | 1102.4610 | 122.2758 | 1138.4146 | 93.2713 | 1050.7220 | 110.5777 | −3 | 5 | 0.003 | 
| White matter | 462.0683 | 82.6898 | 496.8659 | 45.7924 | 474.2415 | 56.4358 | −8 | −3 | 0.025 | 
| Gray matter | 638.6902 | 64.4441 | 641.5390 | 54.7634 | 576.4780 | 58.6856 | 0 | 10 | 0.000 | 
| Cortical gray matter | 417.1683 | 46.5077 | 437.2683 | 39.6168 | 377.9537 | 70.0438 | −5 | 9 | 0.000 | 
| Frontal lobe | |||||||||
| Total | 155.5732 | 18.5901 | 157.3951 | 15.6656 | 145.6000 | 17.3142 | −1 | 6 | 0.006 | 
| Right | 79.5854 | 9.5334 | 79.6146 | 8.1767 | 73.5463 | 8.7155 | 0 | 8 | 0.002 | 
| Left | 75.9878 | 9.2762 | 77.7805 | 7.5898 | 72.0537 | 8.8034 | −3 | 5 | 0.018 | 
| Parietal lobe | |||||||||
| Total | 84.8756 | 12.3904 | 86.3463 | 8.0252 | 78.1098 | 9.4089 | −2 | 8 | 0.000 | 
| Right | 41.8171 | 6.4713 | 41.9829 | 3.9911 | 38.4707 | 4.8411 | 0 | 8 | 0.002 | 
| Left | 43.0585 | 6.3699 | 44.3634 | 4.1813 | 39.6390 | 4.9422 | −3 | 8 | 0.000 | 
| Precuneus lobe | |||||||||
| Total | 17.8976 | 5.8758 | 20.9902 | 2.4871 | 18.1268 | 3.0642 | −16 | 0 | 0.000 | 
| Right | 8.8927 | 3.0532 | 10.2854 | 1.2165 | 9.0951 | 1.5105 | −14 | 0 | 0.001 | 
| Left | 9.0049 | 2.9051 | 10.7049 | 1.3405 | 9.0317 | 1.6951 | −18 | 0 | 0.000 | 
| Occipital lobe | |||||||||
| Total | 60.6756 | 11.5576 | 63.3610 | 7.1624 | 57.9146 | 8.0108 | −5 | 5 | 0.004 | 
| Right | 29.4439 | 5.8061 | 30.3220 | 3.3806 | 27.9439 | 4.1954 | −3 | 6 | 0.013 | 
| Left | 31.2317 | 6.1485 | 33.0390 | 4.0683 | 29.9707 | 4.0727 | −7 | 4 | 0.006 | 
| Temporal lobe | |||||||||
| Total | 116.0268 | 15.5967 | 130.1073 | 11.7281 | 103.7902 | 14.0070 | −12 | 11 | 0.000 | 
| Right | 58.7976 | 9.0286 | 66.2951 | 6.2910 | 52.5171 | 7.4310 | −13 | 10 | 0.000 | 
| Left | 57.2293 | 7.4943 | 63.8122 | 5.7790 | 51.2732 | 7.1145 | −11 | 11 | 0.000 | 
| Hippocampus | |||||||||
| Total | 5.7683 | 1.0999 | 6.7171 | 0.7466 | 5.7927 | 3.8273 | −14 | 0 | 0.000 | 
| Right | 2.9854 | 0.5677 | 3.5683 | 0.4245 | 3.3171 | 3.8189 | −29 | −14 | 0.000 | 
| Left | 2.7829 | 0.5749 | 3.1488 | 0.3565 | 2.4756 | 0.4603 | −13 | 12 | 0.000 | 
| Parahippocampus | |||||||||
| Total | 5.3683 | 1.4093 | 6.4756 | 0.8040 | 5.4220 | 0.8027 | −21 | −1 | 0.000 | 
| Right | 2.6146 | 0.7562 | 3.1902 | 0.4364 | 2.6439 | 0.4411 | −22 | 0 | 0.000 | 
| Left | 2.7537 | 0.7036 | 3.2854 | 0.3997 | 2.7780 | 0.3947 | −19 | −1 | 0.000 | 
| Entorhinal lobe | |||||||||
| Total | 3.9732 | 0.9260 | 4.7585 | 0.7050 | 3.4732 | 0.7934 | −20 | 12 | 0.000 | 
| Right | 1.9878 | 0.5109 | 2.4220 | 0.3883 | 1.7341 | 0.4059 | −23 | 13 | 0.000 | 
| Left | 1.9854 | 0.4503 | 2.3366 | 0.3569 | 1.7390 | 0.4254 | −19 | 13 | 0.000 | 
| Caudate | |||||||||
| Total | 6.0902 | 2.1805 | 6.0634 | 1.2397 | 5.9049 | 1.5079 | 1 | 3 | 0.662 | 
| Right | 3.1878 | 1.1860 | 3.1976 | 0.6436 | 3.0805 | 0.8054 | 0 | 4 | 0.534 | 
| Left | 2.9024 | 1.0613 | 2.8659 | 0.6315 | 2.8244 | 0.7599 | 2 | 3 | 0.713 | 
| Putamen | |||||||||
| Total | 7.0854 | 1.6249 | 7.8927 | 0.9863 | 2.5976 | 0.3453 | −12 | 64 | 0.731 | 
| Right | 3.5707 | 0.7329 | 3.9049 | 0.5059 | 3.7439 | 0.5714 | −9 | −6 | 0.136 | 
| Left | 3.5146 | 0.9372 | 3.9878 | 0.5154 | 3.7878 | 0.6282 | −13 | −7 | 0.069 | 
| Pallidum | |||||||||
| Total | 2.4902 | 0.4415 | 2.5512 | 0.3487 | 2.5463 | 0.3805 | −2 | −2 | 0.731 | 
| Right | 1.2098 | 0.2300 | 1.2634 | 0.1959 | 1.2951 | 0.1788 | −5 | −8 | 0.446 | 
| Left | 1.2805 | 0.2283 | 1.2878 | 0.1646 | 1.3024 | 0.1753 | 0 | −3 | 0.807 | 
| Thalamus | |||||||||
| Total | 12.7439 | 2.6397 | 14.6122 | 1.1752 | 15.5951 | 9.0255 | −14 | −22 | 0.000 | 
| Right | 6.3390 | 1.3687 | 7.1244 | 0.6041 | 6.9951 | 0.6753 | −12 | −10 | 0.001 | 
| Left | 6.4049 | 1.3638 | 7.4878 | 0.6133 | 8.6000 | 9.0765 | −17 | −34 | 0.000 | 
| Brainstem | 25.4146 | 3.6199 | 26.2366 | 2.3313 | 27.0537 | 2.6888 | −3 | −6 | 0.055 | 
| Mesencephalon | 7.1073 | 0.9429 | 7.3390 | 0.6016 | 8.1707 | 3.4995 | −3 | −15 | 0.016 | 
| Pons | 13.9805 | 2.4003 | 14.9317 | 3.9517 | 14.2951 | 2.5724 | −7 | −2 | 0.304 | 
| Cerebellum | 90.5610 | 11.1429 | 99.7610 | 9.8351 | 94.0366 | 17.9692 | −10 | −4 | 0.001 | 
| Ventricle volume | 129.3512 | 50.0321 | 42.7512 | 16.5050 | 65.2390 | 19.4649 | 67 | 50 | 0.000 | 
| Lateral ventricle | |||||||||
| Total | 124.8488 | 49.0248 | 39.8000 | 16.0337 | 61.9976 | 19.1541 | 68 | 50 | 0.000 | 
| Right | 60.6195 | 23.0739 | 18.6829 | 8.0216 | 30.5244 | 10.8250 | 69 | 50 | 0.000 | 
| Left | 64.2293 | 26.8961 | 21.1171 | 8.3129 | 31.4732 | 9.7894 | 67 | 51 | 0.000 | 
| Third ventricle | 2.4902 | 0.7816 | 1.5390 | 0.5098 | 1.8049 | 0.4779 | 38 | 28 | 0.000 | 
| Fourth ventricle | 2.0122 | 0.8051 | 1.4122 | 0.4008 | 1.4366 | 0.3352 | 31 | 29 | 0.000 | 
| iNPH (n = 41)  | Control Group (CG) (n = 41)  | Alzheimer’s Disease (AD) (n = 41)  | iNPH vs. CG | iNPH vs. AD | p-Value # | ||||
|---|---|---|---|---|---|---|---|---|---|
| Mean | SD | Mean | SD | Mean | SD | % Δ | % Δ | ||
| ICV | 1.000 | 1.000 | 1.000 | ||||||
| Total brain volume | 0.8961 | 0.0341 | 0.9640 | 0.0128 | 0.9414 | 0.0161 | −9 | −5 | 0.000 | 
| White matter | 0.3743 | 0.0397 | 0.4207 | 0.0175 | 0.4246 | 0.1753 | −11 | −11 | 0.000 | 
| Gray matter | 0.5214 | 0.0398 | 0.5433 | 0.0167 | 0.5168 | 0.1521 | 0 | 0 | 0.000 | 
| Cortical gray matter | 0.3391 | 0.0257 | 0.3702 | 0.1404 | 0.3382 | 0.0509 | −13 | 0 | 0.000 | 
| Frontal lobe | |||||||||
| Total | 0.1271 | 0.0118 | 0.1333 | 0.0074 | 0.1305 | 0.0085 | −6 | −3 | 0.005 | 
| Right | 0.0653 | 0.0060 | 0.0674 | 0.0039 | 0.0659 | 0.0039 | 0 | 0 | 0.028 | 
| Left | 0.0622 | 0.0060 | 0.0659 | 0.0036 | 0.0646 | 0.0048 | −7 | 0 | 0.001 | 
| Parietal lobe | |||||||||
| Total | 0.0693 | 0.0095 | 0.0731 | 0.0037 | 0.0699 | 0.0041 | −6 | 0 | 0.009 | 
| Right | 0.0342 | 0.0050 | 0.0356 | 0.0019 | 0.0345 | 0.0026 | −13 | 0 | 0.204 | 
| Left | 0.0352 | 0.0048 | 0.0376 | 0.0020 | 0.0355 | 0.0021 | 0 | 0 | 0.000 | 
| Precuneus lobe | |||||||||
| Total | 0.0151 | 0.0049 | 0.0178 | 0.0015 | 0.0162 | 0.0017 | 0 | 1 | 0.000 | 
| Right | 0.0071 | 0.0026 | 0.0087 | 0.0008 | 0.0081 | 0.0010 | −24 | −16 | 0.009 | 
| Left | 0.0070 | 0.0024 | 0.0091 | 0.0008 | 0.0081 | 0.0009 | −29 | −16 | 0.000 | 
| Occipital lobe | |||||||||
| Total | 0.0502 | 0.0086 | 0.0536 | 0.0038 | 0.0519 | 0.0047 | −7 | −4 | 0.063 | 
| Right | 0.0243 | 0.0042 | 0.0257 | 0.0019 | 0.0250 | 0.0025 | −7 | −3 | 0.243 | 
| Left | 0.0263 | 0.0047 | 0.0279 | 0.0023 | 0.0269 | 0.0026 | −6 | −3 | 0.042 | 
| Temporal lobe | |||||||||
| Total | 0.0944 | 0.0072 | 0.1102 | 0.0046 | 0.0929 | 0.0067 | −17 | 1 | 0.000 | 
| Right | 0.0484 | 0.0050 | 0.0561 | 0.0027 | 0.0469 | 0.0038 | −17 | 8 | 0.000 | 
| Left | 0.0470 | 0.0035 | 0.0540 | 0.0025 | 0.0459 | 0.0038 | −15 | 3 | 0.000 | 
| Hippocampus | |||||||||
| Total | 0.0050 | 0.0008 | 0.0057 | 0.0005 | 0.0053 | 0.0040 | −17 | −8 | 0.000 | 
| Right | 0.0021 | 0.0004 | 0.0030 | 0.0003 | 0.0031 | 0.0039 | −43 | −49 | 0.000 | 
| Left | 0.0022 | 0.0004 | 0.0027 | 0.0002 | 0.0022 | 0.0004 | −23 | 0 | 0.000 | 
| Parahippocampus | |||||||||
| Total | 0.0041 | 0.0011 | 0.0055 | 0.0005 | 0.0049 | 0.0006 | −34 | −20 | 0.000 | 
| Right | 0.0023 | 0.0006 | 0.0027 | 0.0003 | 0.0024 | 0.0003 | −17 | −4 | 0.000 | 
| Left | 0.0024 | 0.0005 | 0.0028 | 0.0002 | 0.0025 | 0.0003 | −17 | −4 | 0.000 | 
| Entorhinal lobe | |||||||||
| Total | 0.0031 | 0.0007 | 0.0040 | 0.0005 | 0.0031 | 0.0006 | −29 | 0 | 0.000 | 
| Right | 0.0022 | 0.0004 | 0.0020 | 0.0003 | 0.0015 | 0.0003 | 9 | 27 | 0.000 | 
| Left | 0.0021 | 0.0003 | 0.0020 | 0.0003 | 0.0016 | 0.0003 | 5 | 24 | 0.000 | 
| Caudate | |||||||||
| Total | 0.0051 | 0.0018 | 0.0051 | 0.0010 | 0.0053 | 0.0012 | 0 | −4 | 0.748 | 
| Right | 0.0032 | 0.0010 | 0.0027 | 0.0005 | 0.0028 | 0.0007 | 16 | 13 | 0.985 | 
| Left | 0.0021 | 0.0009 | 0.0024 | 0.0005 | 0.0025 | 0.0006 | −14 | −19 | 0.478 | 
| Putamen | |||||||||
| Total | 0.0061 | 0.0014 | 0.0067 | 0.0007 | 0.0068 | 0.0008 | −9 | −11 | 0.000 | 
| Right | 0.0031 | 0.0007 | 0.0033 | 0.0004 | 0.0034 | 0.0004 | −6 | −10 | 0.001 | 
| Left | 0.0032 | 0.0008 | 0.0034 | 0.0004 | 0.0034 | 0.0005 | −6 | −6 | 0.002 | 
| Pallidum | |||||||||
| Total | 0.0022 | 0.0004 | 0.0022 | 0.0002 | 0.0023 | 0.0002 | 0 | −4 | 0.000 | 
| Right | 0.0012 | 0.0002 | 0.0011 | 0.0001 | 0.0012 | 0.0001 | 9 | 0 | 0.000 | 
| Left | 0.0013 | 0.0002 | 0.0011 | 0.0001 | 0.0012 | 0.0001 | 15 | 8 | 0.002 | 
| Thalamus | |||||||||
| Total | 0.0111 | 0.0023 | 0.0124 | 0.0008 | 0.0115 | 0.0094 | −11 | −3 | 0.000 | 
| Right | 0.0053 | 0.0012 | 0.0060 | 0.0004 | 0.0063 | 0.0003 | −13 | −19 | 0.000 | 
| Left | 0.0052 | 0.0012 | 0.0064 | 0.0004 | 0.0079 | 0.0097 | −23 | −52 | 0.000 | 
| Brainstem | 0.0211 | 0.0025 | 0.0223 | 0.0016 | 0.0243 | 0.0019 | −6 | −15 | 0.000 | 
| Mesencephalon | 0.0063 | 0.0008 | 0.0062 | 0.0004 | 0.0073 | 0.0031 | 2 | −16 | 0.000 | 
| Pons | 0.0114 | 0.0016 | 0.0127 | 0.0032 | 0.0129 | 0.0022 | −12 | −13 | 0.000 | 
| Cerebellum | 0.0743 | 0.0083 | 0.0846 | 0.0068 | 0.0846 | 0.0156 | −14 | −14 | 0.000 | 
| Ventricle volume | 0.1042 | 0.0341 | 0.0360 | 0.0128 | 0.0586 | 0.0161 | 65 | 44 | 0.000 | 
| Lateral ventricle | |||||||||
| Total | 0.1001 | 0.0335 | 0.0335 | 0.0125 | 0.0556 | 0.0159 | 67 | 44 | 0.000 | 
| Right | 0.0491 | 0.0159 | 0.0157 | 0.0063 | 0.0274 | 0.0089 | 68 | 44 | 0.000 | 
| Left | 0.0523 | 0.0185 | 0.0178 | 0.0065 | 0.0283 | 0.0085 | 66 | 46 | 0.000 | 
| Third ventricle | 0.0022 | 0.0006 | 0.0013 | 0.0004 | 0.0016 | 0.0004 | 41 | 27 | 0.000 | 
| Fourth ventricle | 0.0022 | 0.0006 | 0.0012 | 0.003 | 0.0013 | 0.0003 | 45 | 41 | 0.003 | 
| Variable | Subgroups iNPH, CG, and AD | Mean Difference | SE | p | 
|---|---|---|---|---|
| total ventricle volume | iNPH vs. CG | 86.60 | 7.16 | 0.000 * | 
| iNPH vs. AD | 64.11 | 7.16 | 0.000 * | |
| CG vs. AD | 22.49 | 7.16 | 0.006 * | |
| total lateral ventricle volume | iNPH vs. CG | 85.05 | 7.02 | 0.006 * | 
| iNPH vs. AD | 62.85 | 7.02 | 0.000 * | |
| CG vs. AD | 22.20 | 7.02 | 0.006 * | |
| right ventricle volume | iNPH vs. CG | 41.94 | 3.41 | 0.000 * | 
| iNPH vs. AD | 30.10 | 3.41 | 0.000 * | |
| CG vs. AD | 11.84 | 3.41 | 0.002 * | |
| left ventricle volume | iNPH vs. CG | 43.11 | 3.80 | 0.000 * | 
| iNPH vs. AD | 32.76 | 3.80 | 0.000 * | |
| CG vs. AD | 10.36 | 3.80 | 0.022 * | |
| third ventricle volume | iNPH vs. CG | 0.95 | 0.13 | 0.000 * | 
| iNPH vs. AD | 0.69 | 0.13 | 0.000 * | |
| CG vs. AD | 0.27 | 0.13 | 0.147 | |
| fourth ventricle volume | iNPH vs. CG | 0.60 | 0.12 | 0.000 * | 
| iNPH vs. AD | 0.58 | 0.12 | 0.000 * | |
| CG vs. AD | 0.02 | 0.12 | 1.000 | |
| total brain volume | iNPH vs. CG | −35.95 | 24.15 | 0.418 | 
| iNPH vs. AD | 51.74 | 24.15 | 0.103 | |
| CG vs. AD | −87.69 | 24.15 | 0.001 * | |
| white matter | iNPH vs. CG | −34.80 | 14.04 | 0.044 * | 
| iNPH vs. AD | −12.17 | 14.04 | 1.000 | |
| CG vs. AD | −22.62 | 14.04 | 0.329 | |
| cortical gray matter | iNPH vs. CG | −20.10 | 11.85 | 0.277 | 
| iNPH vs. AD | 39.21 | 11.85 | 0.004 * | |
| CG vs. AD | −59.31 | 11.85 | 0.000 * | |
| frontal lobe right | iNPH vs. CG | −0.03 | 1.95 | 1.000 | 
| iNPH vs. AD | 6.04 | 1.95 | 0.007 * | |
| CG vs. AD | −6.07 | 1.95 | 0.007 * | |
| frontal lobe left | iNPH vs. CG | −1.79 | 1.90 | 1.000 | 
| iNPH vs. AD | 3.93 | 1.90 | 0.120 | |
| CG vs. AD | −5.73 | 1.90 | 0.009 * | |
| parietal lobe right | iNPH vs. CG | −0.166 | 1.15 | 1.000 | 
| iNPH vs. AD | 3.35 | 1.15 | 0.013 * | |
| CG vs. AD | −3.51 | 1.15 | 0.008 * | |
| parietal lobe left | iNPH vs. CG | −1.30 | 1.16 | 0.786 | 
| iNPH vs. AD | 3.42 | 1.16 | 0.011 * | |
| CG vs. AD | −4.72 | 1.16 | 0.000 * | |
| precuneus lobe right | iNPH vs. CG | −1.39 | 0.46 | 0.009 * | 
| iNPH vs. AD | −0.20 | 0.46 | 1.000 | |
| CG vs. AD | −1.19 | 0.46 | 0.033 * | |
| precuneus lobe left | iNPH vs. CG | −1.70 | 0.46 | 0.001 * | 
| iNPH vs. AD | −0.027 | 0.46 | 1.000 | |
| CG vs. AD | −1.67 | 0.46 | 0.001 * | |
| temporal lobe right | iNPH vs. CG | −7.50 | 1.69 | 0.000 * | 
| iNPH vs. AD | 6.28 | 1.69 | 0.001 * | |
| CG vs. AD | −13.78 | 1.69 | 0.000 * | |
| temporal lobe left | iNPH vs. CG | −6.58 | 1.51 | 0.000 * | 
| iNPH vs. AD | 5.96 | 1.51 | 0.000 * | |
| CG vs. AD | −12.54 | 1.51 | 0.000 * | 
| Variable | Subgroups iNPH, CG, and AD | Mean | SE | p | 
|---|---|---|---|---|
| total ventricle volume | iNPH vs. CG | 129.35 vs. 42.75 | 50.03 vs. 16.51 | 0.000 * | 
| iNPH vs. AD | 129.35 vs. 65.24 | 50.03 vs. 19.46 | 0.000 * | |
| total lateral ventricle volume | iNPH vs. CG | 124.85 vs. 39.80 | 49.02 vs. 16.03 | 0.000 * | 
| iNPH vs. AD | 124.85 vs. 62.00 | 49.02 vs. 19.15 | 0.000 * | |
| right ventricle volume | iNPH vs. CG | 60.62 vs. 18.68 | 23.07 vs. 8.02 | 0.000 * | 
| iNPH vs. AD | 60.62 vs. 30.52 | 23.07 vs. 10.83 | 0.000 * | |
| left ventricle volume | iNPH vs. CG | 64.23 vs. 21.12 | 26.90 vs. 8.31 | 0.000 * | 
| iNPH vs. AD | 64.23 vs. 31.47 | 26.90 vs. 9.79 | 0.000 * | |
| third ventricle volume | iNPH vs. CG | 2.49 vs. 1.54 | 0.78 vs. 0.51 | 0.000 * | 
| iNPH vs. AD | 2.49 vs. 1.80 | 0.78 vs. 0.48 | 0.000 * | |
| fourth ventricle volume | iNPH vs. CG | 2.01 vs. 1.41 | 0.81 vs. 0.40 | 0.000 * | 
| iNPH vs. AD | 2.01 vs. 1.44 | 0.81 vs. 0.34 | 0.000 * | |
| total brain volume | iNPH vs. CG | 1102.46 vs. 1138.41 | 122.28 vs. 93.27 | 0.206 | 
| iNPH vs. AD | 1102.46 vs. 1050.72 | 122.28 vs. 110.58 | 0.046 * | |
| white matter | iNPH vs. CG | 462.07 vs. 496.87 | 82.69 vs. 45.79 | 0.017 * | 
| iNPH vs. AD | 462.07 vs. 474.24 | 82.69 vs. 56.44 | 0.319 | |
| gray matter | iNPH vs. CG | 638.69 vs. 641.54 | 64.44 vs. 54.76 | 0.952 | 
| iNPH vs. AD | 638.69 vs. 576.48 | 64.44 vs. 58.69 | 0.000 * | |
| cortical gray matter | iNPH vs. CG | 417.17 vs. 437.27 | 46.51 vs. 39.62 | 0.070 * | 
| iNPH vs. AD | 417.17 vs. 377.95 | 46.51 vs. 70.04 | 0.003 * | |
| frontal lobe right | iNPH vs. CG | 79.59 vs. 79.61 | 9.53 vs. 8.18 | 0.792 | 
| iNPH vs. AD | 79.59 vs. 73.55 | 9.53 vs. 8.72 | 0.003 * | |
| frontal lobe left | iNPH vs. CG | 75.99 vs. 77.78 | 9.28 vs. 7.59 | 0.603 | 
| iNPH vs. AD | 75.99 vs. 72.05 | 9.28 vs. 8.80 | 0.067 | |
| total frontal lobe | iNPH vs. CG | 155.57 vs. 157.40 | 18.59 vs. 15.67 | 0.853 | 
| iNPH vs. AD | 155.57 vs. 145.60 | 18.59 vs. 17.31 | 0.012 * | |
| parietal lobe right | iNPH vs. CG | 41.82 vs. 41.98 | 6.47 vs. 3.99 | 0.842 | 
| iNPH vs. AD | 41.82 vs. 38.47 | 6.47 vs. 4.84 | 0.005 * | |
| parietal lobe left | iNPH vs. CG | 43.06 vs. 44.36 | 6.37 vs. 4.18 | 0.412 | 
| iNPH vs. AD | 43.06 vs. 39.64 | 6.37 vs. 4.94 | 0.004 * | |
| total parietal lobe | iNPH vs. CG | 84.88 vs. 86.35 | 12.39 vs. 8.03 | 0.767 | 
| iNPH vs. AD | 84.88 vs. 78.11 | 12.39 vs. 9.41 | 0.003 * | |
| precuneus lobe right | iNPH vs. CG | 8.89 vs. 10.29 | 3.05 vs. 1.22 | 0.073 * | 
| iNPH vs. AD | 8.89 vs. 9.10 | 3.05 vs. 1.51 | 0.200 | |
| precuneus lobe left | iNPH vs. CG | 9.00 vs. 10.70 | 2.91 vs. 1.34 | 0.003 * | 
| iNPH vs. AD | 9.00 vs. 9.03 | 2.91 vs. 1.70 | 0.177 | |
| total precuneus lobe | iNPH vs. CG | 17.90 vs. 20.99 | 5.88 vs. 2.49 | 0.013 * | 
| iNPH vs. AD | 17.90 vs. 18.13 | 5.88 vs. 3.06 | 0.196 | |
| occipital lobe right | iNPH vs. CG | 29.44 vs. 30.32 | 5.81 vs. 3.38 | 0.693 | 
| iNPH vs. AD | 29.44 vs. 27.94 | 5.81 vs. 4.20 | 0.053 * | |
| occipital lobe left | iNPH vs. CG | 31.23 vs. 33.04 | 6.15 vs. 4.07 | 0.235 | 
| iNPH vs. AD | 31.23 vs. 29.97 | 6.15 vs. 4.07 | 0.072 | |
| total occipital lobe | iNPH vs. CG | 60.68 vs. 63.36 | 11.56 vs. 7.16 | 0.386 | 
| iNPH vs. AD | 60.68 vs. 57.91 | 11.56 vs. 8.01 | 0.068 | |
| temporal lobe right | iNPH vs. CG | 58.80 vs. 66.30 | 9.03 vs. 6.29 | 0.000 * | 
| iNPH vs. AD | 58.80 vs. 52.52 | 9.03 vs. 7.43 | 0.001 * | |
| temporal lobe left | iNPH vs. CG | 57.23 vs. 63.81 | 7.49 vs. 5.78 | 0.000 * | 
| iNPH vs. AD | 57.23 vs. 51.27 | 7.49 vs. 7.11 | 0.001 * | |
| total temporal lobe | iNPH vs. CG | 116.03 vs. 130.11 | 15.60 vs. 11.73 | 0.000 * | 
| iNPH vs. AD | 116.03 vs. 103.79 | 15.60 vs. 14.01 | 0.000 * | |
| hippocampus right | iNPH vs. CG | 2.99 vs. 3.57 | 0.57 vs. 0.42 | 0.000 * | 
| iNPH vs. AD | 2.99 vs. 3.32 | 0.57 vs. 3.82 | 0.030 * | |
| hippocampus lobe left | iNPH vs. CG | 2.78 vs. 3.15 | 0.57 vs. 0.36 | 0.005 * | 
| iNPH vs. AD | 2.78 vs. 2.48 | 0.57 vs. 0.46 | 0.005 * | |
| total volume hippocampus | iNPH vs. CG | 5.77 vs. 6.72 | 1.10 vs. 0.75 | 0.000 * | 
| iNPH vs. AD | 5.77 vs. 5.79 | 1.10 vs. 3.83 | 0.015 * | |
| gyrus parahippocampalis right | iNPH vs. CG | 2.61 vs. 3.19 | 0.76 vs. 0.44 | 0.000 * | 
| iNPH vs. AD | 2.61 vs. 2.64 | 0.76 vs. 0.44 | 0.372 | |
| gyrus parahippocampalis left | iNPH vs. CG | 2.75 vs. 3.29 | 0.70 vs. 0.40 | 0.000 * | 
| iNPH vs. AD | 2.75 vs. 2.78 | 0.70 vs. 0.39 | 0.424 | |
| total volume parahippocampal | iNPH vs. CG | 5.37 vs. 6.48 | 1.41 vs. 0.80 | 0.000 * | 
| iNPH vs. AD | 5.37 vs. 5.42 | 1.41 vs. 0.80 | 0.380 | |
| regio entorhinalis right | iNPH vs. CG | 1.99 vs. 2.42 | 0.51 vs. 0.39 | 0.000 * | 
| iNPH vs. AD | 1.99 vs. 1.73 | 0.51 vs. 0.41 | 0.008 * | |
| regio entorhinalis left | iNPH vs. CG | 1.99 vs. 2.34 | 0.45 vs. 0.36 | 0.001 * | 
| iNPH vs. AD | 1.99 vs. 1.74 | 0.45 vs. 0.43 | 0.005 * | |
| total volume entorhinal | iNPH vs. CG | 3.97 vs. 4.76 | 0.93 vs. 0.70 | 0.000 * | 
| iNPH vs. AD | 3.97 vs. 3.47 | 0.93 vs. 0.79 | 0.004 * | |
| nucleus caudatus right | iNPH vs. CG | 3.19 vs. 3.20 | 1.19 vs. 0.64 | 0.662 | 
| iNPH vs. AD | 3.19 vs. 3.08 | 1.19 vs. 0.81 | 0.330 | |
| nucleus caudatus left | iNPH vs. CG | 2.90 vs. 2.87 | 1.06 vs. 0.63 | 0.411 | 
| iNPH vs. AD | 2.90 vs. 2.82 | 1.06 vs. 0.76 | 0.568 | |
| total volume nucleus caudatus | iNPH vs. CG | 6.09 vs. 6.06 | 2.18 vs. 1.24 | 0.516 | 
| iNPH vs. AD | 6.09 vs. 5.90 | 2.18 vs. 1.51 | 0.441 | |
| putamen right | iNPH vs. CG | 3.57 vs. 3.90 | 0.73 vs. 0.51 | 0.055 * | 
| iNPH vs. AD | 3.57 vs. 3.74 | 0.73 vs. 0.57 | 0.521 | |
| putamen left | iNPH vs. CG | 3.51 vs. 3.99 | 0.94 vs. 0.52 | 0.024 * | 
| iNPH vs. AD | 3.51 vs. 3.79 | 0.94 vs. 0.63 | 0.318 | |
| total volume putamen | iNPH vs. CG | 2.49 vs. 2.55 | 0.44 vs. 0.35 | 0.929 | 
| iNPH vs. AD | 2.49 vs. 2.60 | 0.44 vs. 0.35 | 0.496 | |
| pallidum right | iNPH vs. CG | 1.21 vs. 1.26 | 0.23 vs. 0.20 | 0.756 | 
| iNPH vs. AD | 1.21 vs. 1.30 | 0.23 vs. 0.18 | 0.218 | |
| pallidum left | iNPH vs. CG | 1.28 vs. 1.29 | 0.23 vs. 0.16 | 0.536 | 
| iNPH vs. AD | 1.28 vs. 1.30 | 0.23 vs. 0.18 | 0.996 | |
| total volume pallidum | iNPH vs. CG | 2.49 vs. 2.55 | 0.44 vs. 0.35 | 0.929 | 
| iNPH vs. AD | 2.49 vs. 2.60 | 0.44 vs. 0.35 | 0.496 | |
| thalamus right | iNPH vs. CG | 6.34 vs. 7.12 | 1.37 vs. 0.60 | 0.000 * | 
| iNPH vs. AD | 6.34 vs. 7.00 | 1.37 vs. 0.68 | 0.007 * | |
| thalamus left | iNPH vs. CG | 6.40 vs. 7.49 | 1.36 vs. 0.61 | 0.000 * | 
| iNPH vs. AD | 6.40 vs. 8.60 | 1.36 vs. 9.08 | 0.003 * | |
| total volume thalamus | iNPH vs. CG | 12.74 vs. 14.61 | 2.64 vs. 1.18 | 0.000 * | 
| iNPH vs. AD | 12.74 vs. 15.60 | 2.64 vs. 9.03 | 0.002 * | |
| brainstem volume | iNPH vs. CG | 25.41 vs. 26.24 | 3.62 vs. 2.33 | 0.292 | 
| iNPH vs. AD | 25.41 vs. 27.05 | 3.62 vs. 2.69 | 0.026 * | |
| mesencephalon volume | iNPH vs. CG | 7.11 vs. 7.34 | 0.94 vs. 0.60 | 0.336 | 
| iNPH vs. AD | 7.11 vs. 8.17 | 0.94 vs. 3.50 | 0.009 * | |
| pons volume | iNPH vs. CG | 13.98 vs. 14.93 | 2.40 vs. 3.95 | 0.260 | 
| iNPH vs. AD | 13.98 vs. 14.30 | 2.40 vs. 2.57 | 0.165 | |
| cerebellum volume | iNPH vs. CG | 90.56 vs. 99.76 | 11.14 vs. 9.84 | 0.000 * | 
| iNPH vs. AD | 90.56 vs. 94.04 | 11.14 vs. 17.97 | 0.032 * | 
| Parameter | AUC | SE | p | CI1 | CI2 | Cut-Off | Sen | Spec | Acc | 
|---|---|---|---|---|---|---|---|---|---|
| Evans’ index a | 0.935 | 0.023 | <0.001 | 0.890 | 0.979 | 0.3 | 0.829 | 0.951 | 0.9 | 
| Corpus callosum angle a | 0.613 | 0.049 | 0.049 | 0.517 | 0.710 | 90 | 1 | 0.464 | 0.68 | 
| Total ventricle volume a | 0.939 | 0.012 | <0.001 | 0.888 | 0.990 | 76.6 | 0.927 | 0.854 | 0.87 | 
Disclaimer/Publisher’s Note: The statements, opinions and data contained in all publications are solely those of the individual author(s) and contributor(s) and not of MDPI and/or the editor(s). MDPI and/or the editor(s) disclaim responsibility for any injury to people or property resulting from any ideas, methods, instructions or products referred to in the content.  | 
© 2024 by the authors. Licensee MDPI, Basel, Switzerland. This article is an open access article distributed under the terms and conditions of the Creative Commons Attribution (CC BY) license (https://creativecommons.org/licenses/by/4.0/).
Share and Cite
Bendella, Z.; Purrer, V.; Haase, R.; Zülow, S.; Kindler, C.; Borger, V.; Banat, M.; Dorn, F.; Wüllner, U.; Radbruch, A.; et al. Brain and Ventricle Volume Alterations in Idiopathic Normal Pressure Hydrocephalus Determined by Artificial Intelligence-Based MRI Volumetry. Diagnostics 2024, 14, 1422. https://doi.org/10.3390/diagnostics14131422
Bendella Z, Purrer V, Haase R, Zülow S, Kindler C, Borger V, Banat M, Dorn F, Wüllner U, Radbruch A, et al. Brain and Ventricle Volume Alterations in Idiopathic Normal Pressure Hydrocephalus Determined by Artificial Intelligence-Based MRI Volumetry. Diagnostics. 2024; 14(13):1422. https://doi.org/10.3390/diagnostics14131422
Chicago/Turabian StyleBendella, Zeynep, Veronika Purrer, Robert Haase, Stefan Zülow, Christine Kindler, Valerie Borger, Mohammed Banat, Franziska Dorn, Ullrich Wüllner, Alexander Radbruch, and et al. 2024. "Brain and Ventricle Volume Alterations in Idiopathic Normal Pressure Hydrocephalus Determined by Artificial Intelligence-Based MRI Volumetry" Diagnostics 14, no. 13: 1422. https://doi.org/10.3390/diagnostics14131422
APA StyleBendella, Z., Purrer, V., Haase, R., Zülow, S., Kindler, C., Borger, V., Banat, M., Dorn, F., Wüllner, U., Radbruch, A., & Schmeel, F. C. (2024). Brain and Ventricle Volume Alterations in Idiopathic Normal Pressure Hydrocephalus Determined by Artificial Intelligence-Based MRI Volumetry. Diagnostics, 14(13), 1422. https://doi.org/10.3390/diagnostics14131422
        
