Abstract
Objectives: We aimed to provide data of nerve sizes and echogenicity reference values of the Lithuanian population. Methods: High-resolution ultrasound was bilaterally performed according to the Ultrasound Pattern Sum Score and Neuropathy ultrasound protocols for healthy Lithuanian adults. Cross-sectional area (CSA) measurement and echogenicity were used as the main parameters for investigation. Echogenicity was evaluated using ImageJ, and nerves were categorized in classes according to echogenicity. Results: Of 125 subjects enrolled, 63 were males (mean age 47.57 years, range 25–78 years) and 62 were females (mean age 50.50 years, range 25–80 years). Reference values of nerve sizes and values of echogenicity as a fraction of black in percentage of cervical roots, upper and middle trunks of the brachial plexus and the following nerves: vagal, median, ulnar, radial, superficial radial, tibial, fibular, and sural in standard regions were established. Mild to moderate correlations were found between nerves CSA, echogenicity values and anthropometric measurements with the differences according to sex. Inter-rater (ICC 0.93; 95% CI 0.92–0.94) and intra-rater (ICC 0.94; 95% CI 0.93–0.95) reliability was excellent. Conclusions: Reference values of nerve size and echogenicity of Lithuanians were presented for the first time as a novel such kind of publication from the Baltic countries.
1. Introduction
High-resolution ultrasound (HRUS) is used to investigate the anatomical structure of peripheral nerves. Due to its relatively simple application and widespread availability, it became a field of interest more than a decade ago and has come a long way since. In 2021, the cross-sectional area (CSA) of some specific sites’ measurements were included in the European Academy of Neurology/Peripheral Nerve Society guidelines on diagnosis and treatment of chronic inflammatory demyelinating polyradiculoneuropathy as a supportive diagnostic criterion [1]. This signifies the current importance of HRUS as a diagnostic tool and its growing significance.
Another aspect of HRUS, peripheral nerve echogenicity, has also been analyzed [2,3]. However, most studies describe changes in nerve echogenicity in various polyneuropathy treatment trials [4] and leave a gap in the literature about echogenicity reference values in a healthy population.
Despite the fact that several studies have been performed in various world regions [5,6,7], it remains unclear whether or how HRUS measurements of peripheral nerves vary between ethnicities and age groups or according to different anthropometric indicators [7]. Therefore, it is essential to establish HRUS reference values for our own population. We hypothesize that a specific pattern of nerve size and echogenicity might exist in the Lithuanian cohort. Also, nerve size probably has an association with anthropometric parameters.
Reference measurements are needed in many areas of medicine, in order not only to make a more accurate diagnosis and improve treatment options, but also to collect data for scientific purposes and to analyze external factors that may have some influence. For the introduction of reference values, not only the specificities of different medical machines are important, but also the experience of each researcher.
Therefore, the aim of our study was to establish reference values of CSA and echogenicity of peripheral nerves in a Lithuanian cohort of healthy adults in association with demographic and anthropometric data.
2. Methods
This study was approved by the Kaunas Regional Biomedical Research Ethics Committee with bioethical permission No. BE-2–29, issued on 14 April 2022. A prospective study was conducted at the Department of Neurology of the Hospital of Lithuanian University of Health Sciences Kauno Klinikos (Kaunas, Lithuania) from April 2022 to October 2023.
2.1. Selection of Participants
In total, 125 healthy subjects with an age range of 25–80 years were recruited for this study. We followed recommendations given by the task force of the American Association of Neuromuscular and Electrodiagnostic Medicine and included more than 100 subjects in order to establish high-quality reference values [8]. Subjects from medical staff and patients who were treated in the neurology department for conditions that do not affect the peripheral nervous system (epilepsy, transient ischemic attack, stroke, and headache) were invited to participate. The purpose of the study was explained, and all participants gave written consent. Participants have not received any honorarium and participation was voluntary. All the participants were Caucasian and we matched the number of male and female subjects in the study: groups separated according to sex were categorized every ten years and >20 subjects in each category were recruited.
All subjects underwent a routine neurological examination. Data on age, sex, weight, height, and body mass index (BMI), were collected according to the World Health Organization recommendations [9]. Individuals with signs of polyneuropathy (weak reflexes, sensory disturbances), known neuropathies, diabetes or other endocrine disease, frequent alcohol consumption, history of neurotoxic drug use, malabsorption, and oncological diseases were excluded from the study. Considering the fact that subjects who were treated in the neurology department for other pathologies did not have any clinical signs of peripheral nerve system injuries, they were interpreted as healthy subjects, together with the subjects from the medical staff.
2.2. Ultrasound Examination
Ultrasound examination of peripheral nerves was performed using a Philips EPIQ 7 ultrasound machine (Philips EPIQ Diagnostic Ultrasound System, Bothell, WA, USA, 2019) with a linear 4–18 MHz transducer (eL18-4, piezo elements 1920) in B mode. The main presets of parameters of ultrasonic scanning were as follows: initial scanning depth 2.5 cm, dynamic range was 77. Presets were constant during the entire study and only depth was adapted when needed. Focus was kept on the area of interest all the time. The goal was to analyze two main parameters: nerve size and nerve echogenicity.
Ultrasound examination was performed by two specialists: a neurologist with 2 years of experience (EG) and a physician with 1 year of experience (AS) in neuromuscular ultrasound. First, all subjects underwent an ultrasound examination by the first investigator (EG). Then, twenty subjects [10] were remeasured in the same locations by the second investigator (AS) to establish reliable inter-examiner reproducibility. Lastly, investigator EG performed an ultrasound for the second time for the twenty subjects (a few weeks after the first measurement) to determine the intra-rater reproducibility. Both investigators performed CSA measurements in real-time. Investigators were blinded by each other’s results and EG was also blinded from the first measurement results. Images were anonymized and saved in the ultrasound machine for further echogenicity investigation.
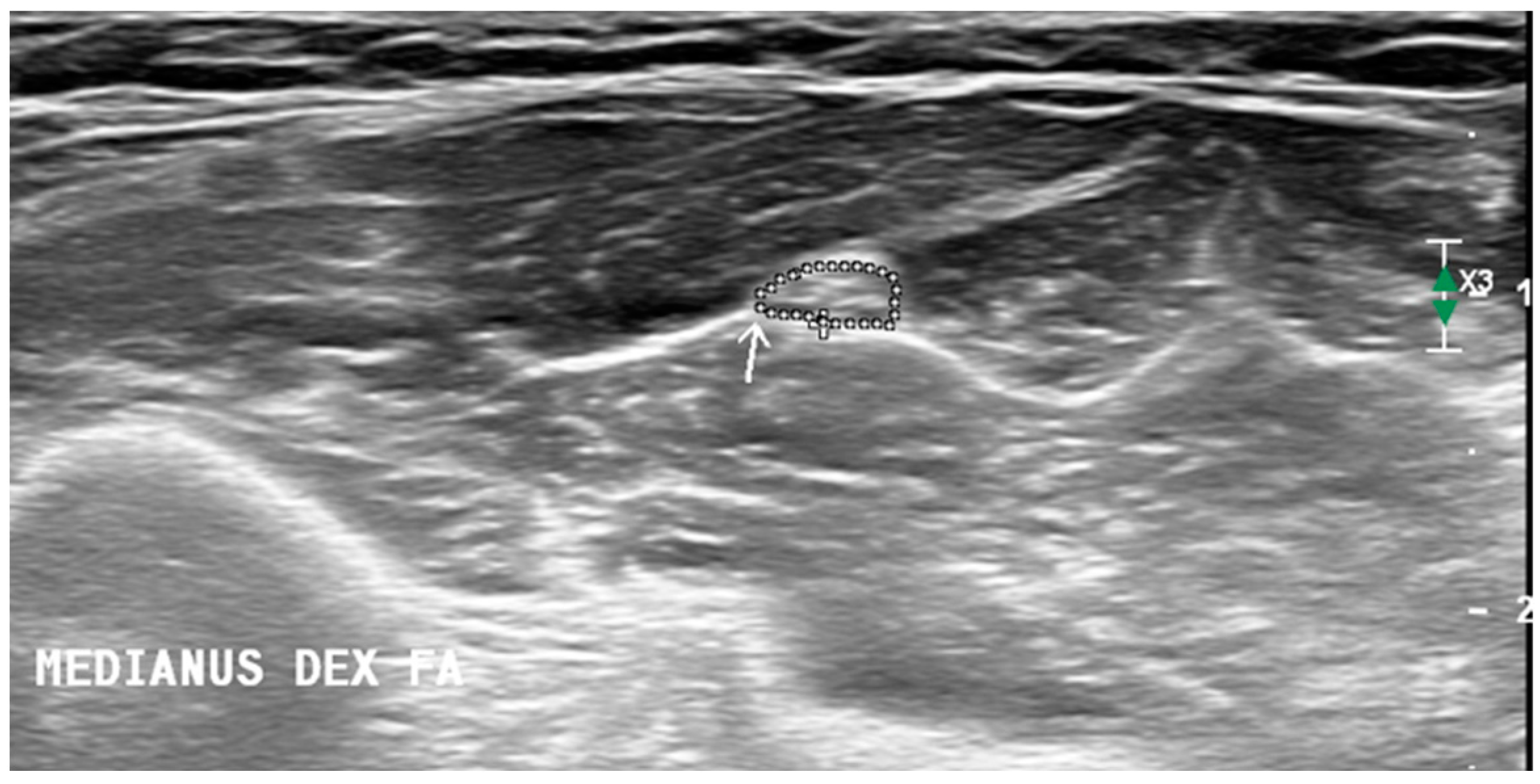
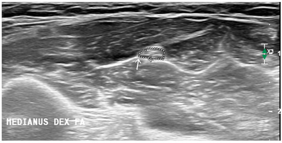
We performed an ultrasound of the peripheral nerves and brachial plexus bilaterally and chose which side to start the examination in a randomized manner. The upper (UT) and middle trunks (MT) of the brachial plexus were measured in interscalene space, and the fifth (C5) and the sixth (C6) cervical roots were measured in two ways: perpendicularly (at the point where roots appear between the anterior and posterior tubercle of the transverse process) and longitudinally (just after leaving the transverse process). The vagal nerve (VN) was measured at the level of the carotid triangle. Upper limb nerves: median (MN) and ulnar (UN) measurements were recorded at the middle of the upper arm, elbow, and the middle of the forearm (the MN was also measured at the wrist and UN at Guyon’s canal), the radial nerve (RN) was measured at the spiral groove, and superficial RN was recorded at the arcade of Frohse. Lower limb nerves: tibial nerve (TN) and fibular nerve (FN) were measured at the popliteal fossa, and TN was measured at the ankle beneath the vascular arcade the sural nerve (SN) was measured next to the saphenous vein at the lateral ankle and in the calf. These measurement sites were chosen based on the Neuropathy ultrasound protocol (NUP) [11] and Ultrasound Pattern Sum Score (UPSS) [12] protocols. The size of the brachial plexus (except longitudinal view) and peripheral nerves were assessed by measuring the cross-sectional area. The CSA of the nerve was calculated automatically by tracing the circumference of the nerve along the hyperechoic epineurium (Figure 1). A tracer tool was used for all the CSA measurements, except cervical roots and brachial plexus trunks were measured using the ellipse function. For longitudinal images of cervical roots, a diameter measurement was used, measuring the distance between one side of the epineurium to the other.
Figure 1.
Cross-sectional area measurement methodology. Arrow is pointing to the median nerve at the forearm. CSA of the nerve is circled along the hyperechoic epineurium.
To make echogenicity evaluation more objective, quantitative image analysis using ImageJ (National Institutes of Health, Bethesda, MD, USA), version 1.54d was performed. The same nerve boundaries were used for measuring CSA, avoiding white dots access into the area being measured. Then native images were converted into 8-bit images while ImageJ software transacted each pixel in a range between 0 (black) and 255 (white) (Figure 2). After that, the threshold function was used, and the hyperechoic volume or fraction of white was calculated automatically. The fraction of black was calculated by subtracting the fraction of white from 100 [2]. For echogenicity evaluation, only unilateral images were analyzed.
Figure 2.
Arrow is pointing to the median nerve at the forearm. Image converted into an 8-bit image, each pixel in a range calculated between 0 (black) and 255 (white).
All evaluated peripheral nerves were divided into three classes by the fraction of black percentage:
- Fraction of black > 67%—a hypoechogenic nerve;
- Fraction of black 33–67%—a mixed hypo-/hyperechogenic nerve;
- Fraction of black < 33%—a hyperechogenic nerve.
2.3. Statistics
SPSS version 21 (SPSS, Inc., Chicago, IL, USA) and Microsoft Excel for Windows version 2311 (Microsoft, Redmond, WA, USA) were used to analyze data. All parameters were checked for normal distribution, using a single-sample Kolmogorov-Smirnov test. The independent sample t test was used for the comparison of height and some CSA sites between males and females. The Mann–Whitney U test was used for the comparison of age, weight, and the rest of CSA sites, as well as echogenicity estimates (fraction of black in percentage) between sexes. The Kruskal–Wallis test was used to analyze CSA differences in age groups. For each subject, the CSA for each nerve site was calculated as a mean of both sides (right + left/2). Data of all cohort CSA size values are presented as mean, median, and 95% confidence interval (CI). Spearman’s and Pearson’s tests were used to assess for linear correlations. The strength of correlation was defined as weak if r was less than 0.4, moderate if 0.4–0.6, and strong if >0.6 [13]. Intra-class correlation (ICC) was used to establish the inter- and intra-rater reliability. ICC values were interpreted as poor (ICC < 0.40), fair (ICC = 0.40–0.59), good (ICC = 0.60–0.74), and excellent (ICC = 0.75–1.0) [14]. The chi-squared test was used to detect differences in frequencies of echogenicity categories between sexes. Statistical significance was assumed when p < 0.05.
3. Results
3.1. Demographic Data for CSA Study
We enrolled 125 subjects (63 males and 62 females), of whom 101 were from medical staff and 24 subjects were treated at the neurology department (four subjects were treated for epilepsy, seven for transient ischemic attack, four because of stroke, and nine subjects investigated because of headache). The mean age of the group was 49.02 years (range 25–80 years). Mean values of height, weight, and BMI were higher in men. Characteristics of study subjects are summarized in Table 1.
Table 1.
Demographic and clinical characteristics of the study participants for CSA analysis.
3.2. Ultrasound Examination Results
A total of 5690 measurement sites were analyzed. Both inter-rater and intra-rater reliability of nerves CSA measurements were excellent (ICC 0.93; 95% CI 0.92–0.94, and ICC 0.94; 95% CI 0.93–0.95, respectively).
Male subjects had larger CSA compared to female at most measurement sites (Figure 3). Therefore, normative reference values are presented for males (Table 2) and females (Table 3) separately.
Figure 3.
Overview over the significant findings among males and females. The figure shows the distribution of CSA of different nerves between males and females. The bars denote the mean and the SD for different measurement sites. Black bars denote females, and blue bars denote males. * p value < 0.05, ** p value < 0.001.
Table 2.
Reference values of peripheral nerve cross-sectional areas in males (N = 63).
Table 3.
Reference values of peripheral nerve cross-sectional areas in females (N = 62).
3.3. Nerve Size Correlation with Demographic and Anthropometric Parameters
Considering that nerve sizes differ according to sex, the correlation analysis between nerve CSA and anthropometric measurements was performed in males and females separately.
Correlations between C5 CSA and C5 diameter, as well as C6 CSA and C6 diameter were calculated. C5 CSA and C5 diameter positively moderately or mildly correlated both in men and women (r = 0.570, p < 0.001, and r = 0.398, p = 0.002, respectively). Also, C6 CSA and C6 diameter positively moderately or strongly correlated both in men and women (r = 0.516, p < 0.001, and r = 0.612, p < 0.001, respectively)).
Brachial plexus size was found to correlate with age in women since mild positive correlations between C5 CSA, C6 CSA, C5 diameter, and C6 diameter and age (r = 0.297, p = 0.026; r = 0.343, p = 0.01; r = 0.339, p = 0.007, and r = 0.281, p = 0.027) were found. On the other hand, no apparent differences were found in any of the measurement sites according to 10-year age groups.
The results showed that most of the upper limb nerves CSA in most measurement sites mildly or moderately correlated negatively with height in females and mildly or moderately positively with BMI in both sexes (Table 4). Also, it was found that CSA of all lower limb nerves in most measurement sites correlated mildly or moderately positively with BMI or weight predominantly in women. No apparent differences were found in most of the measurement sites according to BMI subclasses.
Table 4.
Nerve size correlation with anthropometric parameters.
No correlations were found between the UT or MT of the brachial plexus and height, weight, or BMI neither in women nor men.
3.4. Nerve Echogenicity Results
Of 104 subjects enrolled in nerve echogenicity analysis, 50 were males (mean age 46.70 years, range 25–78 years) and 54 were females (mean age 49.19 years (range 25–80 years)), p = 0.468.
Fractions of black in percentage of VN, brachial plexus UT, MN at wrist and FA were lower in men compared to women (median 18.63% (min 0.31, max 74.16) and median 45.21% (min 0.57, max 91.82), p = 0.005; median 46.76% (min 0.22, max 95.80) and median 63.38% (min 0.48, max 97.53), p = 0.047; median 74.61% (min 17.60, max 98.99) and median 83.44 (min 49.04, max 99.07), p = 0.008 and median 34.89% (min 0.46, max 88.17) and median 47.14% (min 3.15, max 91.28), p = 0.032, respectively). The fraction of black in the percentage of SFN was lower in women compared to men (median 23.12% (min 0.69, max 81.61) and (median 54.04% min 4.50, max 93.82), respectively (p < 0.01). Since some echogenicity differences were found by sexes, normative echogenicity reference values were presented for males (Table 5) and females (Table 6) separately and further analysis for correlations with age and anthropometric measurements was performed according to sex.
Table 5.
Reference values of echogenicity (fraction of black (%)) of peripheral nerves in males.
Table 6.
Reference values of echogenicity (fraction of black (%)) of peripheral nerves in females.
Mild positive correlations were found between echogenicity of vagal nerve (rs = 0.295, p = 0.037), FN at popliteal fossa (rs = 0.331, p = 0.002), SN at lower leg (rs = 0.362, p = 0.01), moderate correlations UT of brachial plexus (rs = 0.445, p = 0.001), SFN nerve (rs = 0.427, p = 0.002) and age in men. Moderate positive correlation of SN in calf (rs = 0.407, p = 0.002), mild negative correlation of echogenicity of median nerve at wrist (rs = −0.341, p = 0.012) and age were found in females only.
MN echogenicity in the upper arm mildly negatively correlated with weight (rs = −0.277, p = 0.043) and BMI (rs = −0.277, p = 0.043); also, MN echogenicity in elbow negatively correlated with weight (rs = −0.306, p = 0.0024) in women. Height had the least correlations with nerve echogenicity and mild positive correlation was found between echogenicity of SFN (rs = 0.319, p = 0.027) and height in men only.
The distribution of nerve echogenicity across echogenicity classes by sex is presented in Figure 4. Women were more likely to have a hypoechoic median nerve (class 1) at the forearm compared to men (p = 0.032). Values of fraction of black in percentage of UT of brachial plexus were more often corresponding to class 2 in women and more often corresponding to class 3 in men (p = 0.022). Also, it was found that according to the fraction of black percentage, echogenicity values in men had more mixed SFN nerves (class 2) than in women (class 3) (p = 0.02).

Figure 4.
Distribution of nerve echogenicity classes according to gender ((A) upper limb, (B) lower limb, vagal nerve, and brachial plexus). (A) Mean, p-values for difference between echogenicity classes between males and females. Black bars denote echogenicity class 1, grey bars denote echogenicity class 2, blue bars denote echogenicity class 3, N—subject number. (B) Mean, p-values for the difference between echogenicity classes between male and female. Black bars denote echogenicity class 1, grey bars denote echogenicity class 2, blue bars denote echogenicity class 3, N—subject number.
4. Discussion
In this study, we presented Lithuanian healthy subjects’ nerve sizes and echogenicity reference values of peripheral nerves. According to our knowledge, this is the first publication of its kind from the Baltic countries.
Several studies have been performed in Europe: twenty-three studies analyzing the upper limb, seven studies of the lower extremity, and five analyzing cervical nerve roots and vagal nerve, but none from the Baltic countries [5,6,7].
We provided normal reference values of sites which are suggested by well-known ultrasound protocols for polyneuropathies (Ultrasound Pattern Sum Score and Neuropathy ultrasound protocol) [11,12] and upper and middle trunks of brachial plexus additionally as a basis for further studies.
While published data are controversial [6,15], our study demonstrated a consistent size difference in most measurement sites between sexes. We suggest that separate values for men and women might be more accurate to use in daily clinical practice and especially in clinical trials.
We have performed nerve root measurements in two ways and the correlation between the fifth and sixth cervical root’s CSA mostly correlated with diameter values. This points to a choice of the most convenient measurement method according to the patient’s constitution.
Though we have noticed a number of similarities, some differences were found while comparing our data to the meta-analysis results. It has been shown that age influences nerve size in children [16]. A meta-analysis performed in a pediatric cohort showed that mean nerve CSA increases with age in the median, ulnar, radial, and tibial nerves. A different meta-analysis of nerve cross-sectional area reference values in an adult cohort did not find any age influence on nerve size, except a small possible effect of age on the median nerve at the wrist [5,6,7]. Our findings agree with the conclusions of this systematic review and meta-analysis as we have shown that age does not influence peripheral nerve size, except for the brachial plexus in the female subgroup. These findings allow us to speculate that nerve size changes while a child is growing and becomes stable when adulthood is reached.
The size of upper limb nerves showed an association with height in women and BMI in both sexes in the Lithuanian cohort. Data about nerve size and height association are controversial, and it seems that studies analyzing this association in different ethnic groups were mostly conducted in the Asian population [17,18,19].
Also, we have found that the size of lower limb nerves was associated with BMI and weight predominantly in women. CSA of the upper and middle trunks of the brachial plexus did not correlate with anthropometric data in any sex. We hypothesize that these findings might be associated with Lithuanian ethnicity’s anthropometric data specificity.
When comparing our results to a meta-analysis which analyzed 77 ultrasound studies on ulnar nerve CSA, we find that the measured ulnar nerve size is similar [20]. However, we have found differences of ulnar nerve CSA according to sex that were not described by this meta-analysis. Our results match meta-analysis data showing that ulnar nerve size may depend on BMI, as we found that most ulnar nerve measurements positively correlated with BMI.
According to our study, the median nerve at the carpal tunnel (pisiformis level), forearm, and upper arm levels correlates with weight and BMI selectively in the female group. We have found that the median nerve is smaller in women compared to men along its entire length. This statement agrees with the meta-analytical results which included 73 studies and stated that median nerve size values are higher in men than in women [21]. We could not state that age influences nerve size in the median nerve and this was a meaningful difference between the meta-analysis and our results. We have noticed that the median nerve is smaller along its length in the Lithuanian population compared to the meta-analysis with the given size numbers, which suggests that the approximate Lithuanian population wrist-to-forearm ratio is higher than the ratio of 1.5, which was suggested in a previous study [21].
A meta-analysis of CSA of the tibial nerve at the ankle level of 3295 subjects showed a positive correlation between age and tibial nerve size which was contrary to our results. In our study, we noticed that the tibial nerve at the ankle level correlates with weight and BMI, and there is a much stronger correlation with both weight and BMI to the tibial nerve at the popliteal fossa.
Another meta-analysis analyzing 2695 lower limb measurements [22] showed interesting results while comparing tibialis nerve size according to geographical regions. It was shown that healthy controls from Eastern Europe demonstrated larger tibial nerve CSA at the ankle level while Europeans had smaller tibial nerve size [23]. The Lithuanian cohort has smaller tibial nerves at the ankle compared to the Eastern European cohort which corresponds to the results of the European cohort. Unexpectedly, the tibial nerve CSA at popliteal fossa were larger in the Lithuanian cohort compared to both European geographical subgroups.
We have not measured the length of the arm or leg, but we hypothesize that some anthropometric features specific to Lithuanian ethnicity might exist. Ultrasound examination is not only inexpensive and well-tolerated but also relatively easy to learn [10,24]. The inter- and intra-reliability of the results were excellent in the present study, indicating that ultrasound is easy to perform and reliable to use, as was shown in other studies as well [25,26,27].
As invasive diagnostic methods, such as nerve biopsy, become rarely used, sono-histological studies are of growing importance. It was shown that different sonographic patterns exist in acute and chronic phases of peripheral neuropathies [28]. CSAs of the tibial and fibular nerves near the popliteal fossa from this study were comparable to those observed in an ex vivo study assessing the fibular and tibial divisions of the sciatic nerve with HRUS and histological cross-sections. These findings implicate the relevance of such studies in establishing baseline values and bridging the gap between basic and clinical knowledge [29]. Despite valuable studies conducted, there still is a lack of information about echogenicity changes in a healthy population. Gamber et al., 2020 [30] have shown that semiautomatic echogenicity measurement has excellent reliability. However, they did not establish cut-off values for healthy subjects because of the wide variability of the data. Similarly, even analyzing a sufficiently large cohort (104 subjects), we also demonstrated a wide range of echogenicity values which makes it difficult to establish accurate reference values.
Nerve echogenicity differences found between sexes let us assume that different patterns of echogenicity according to sex might exist. Also, additional differences between sexes appeared after nerve classification according to echogenicity values.
Echogenicity values have not shown many associations with anthropometric measurements, but it was found that nerve echogenicity becomes more hypoechoic with age.
We did not use any new methodologies or techniques in our study. On the contrary, we were trying to use the same protocols as previous studies to obtain comparable results. We believe that our study might have an important contribution to future studies analyzing if a disparity exists according to different ethnic groups and different world regions. Also, our study might have important implications for further nerve size studies analyzing gender differences and the impact of body anthropometric parameters on nerve size and echogenicity ultrasound measurement results. Further nerve echogenicity studies are needed for specific echogenicity pattern identification within a larger cohort.
Our study has several limitations. Firstly, a part of our cohort were patients treated in the neurology department, so they were not strictly healthy subjects. However, the pathologies they were hospitalized for did not damage the peripheral nerves. Also, these subjects underwent neurological examination, which was normal. Secondly, we calculated nerve size correlations with various anthropometric data except for correlations with the length of limbs. Thirdly, both investigators had a relatively short period of experience in neuromuscular HRUS. However, the inter-ratio and intra-ratio reliability was excellent. And lastly, we have not assessed the nerve fascicle’s size and the fascicle number which would have provided additional useful information next to CSA and echogenicity data.
Strengths: We have analyzed a large cohort of healthy Lithuanian subjects and made a substantial number of measurements which allowed us to establish high-quality nerve size reference values.
In conclusion, reference values of nerve size and echogenicity of the Lithuanian population are presented for the first time. Our study showed that HRUS measurements of nerve size obtained from a large Lithuanian cohort of healthy subjects are mostly similar to those published previously; however, some differences have been found which could show that features specific to the Baltic ethnicity might exist.
Author Contributions
Methodology, E.G., A.S. and E.Q.; Formal analysis, D.R.; Investigation, E.G. and A.S.; Data curation, E.G.; Writing—original draft, E.G.; Writing—review & editing, E.Q. and D.R.; Supervision, D.R. All authors have read and agreed to the published version of the manuscript.
Funding
This research received no external funding.
Institutional Review Board Statement
This study was approved by the Kaunas Regional Biomedical Research Ethics Committee with bioethical permission No. BE-2–29, issued on 14 April 2022. A prospective study was conducted at the Department of Neurology of the Hospital of Lithuanian University of Health Sciences Kauno Klinikos (Kaunas, Lithuania) from April 2022 to October 2023.
Informed Consent Statement
Informed consent was obtained from all subjects involved in the study.
Data Availability Statement
The data presented in this study are available on request from the corresponding author.
Conflicts of Interest
The authors declare no conflicts of interest.
Abbreviations
HRUS—high-resolution ultrasound, CSA—cross-sectional area, UT—upper trunk, MT—middle trunk, C5—cervical fifth root, C6—cervical sixth root, VN—vagal nerve, MN—median nerve, UN—ulnar nerve, RN—radial nerve, TN—tibial nerve, SN-sural nerve, SFN—superficial fibular nerve, FN—fibular nerve, NUP—Neuropathy ultrasound protocol, UPSS—Ultrasound Pattern Sum Score, UA—upper arm, FA—forearm.
References
- Van den Bergh, P.Y.K.; van Doorn, P.A.; Hadden, R.D.M.; Avau, B.; Vankrunkelsven, P.; Allen, J.A.; Attarian, S.; Blomkwist-Markens, P.H.; Cornblath, D.R.; Eftimov, F.; et al. European Academy of Neurology/Peripheral Nerve Society Guideline on Diagnosis and Treatment of Chronic Inflammatory Demyelinating Polyradiculoneuropathy: Report of a Joint Task Force-Second Revision. Eur. J. Neurol. 2021, 28, 3556–3583. [Google Scholar] [CrossRef] [PubMed]
- Erdmann, A.; Motte, J.; Brünger, J.; Grüter, T.; Gold, R.; Pitarokoili, K.; Fisse, A.L. Nerve Echogenicity in Polyneuropathies of Various Etiologies—Results of a Retrospective Semi-Automatic Analysis of High-Resolution Ultrasound Images. Diagnostics 2022, 12, 1341. [Google Scholar] [CrossRef] [PubMed]
- Laucius, O.; Drūteika, J.; Balnytė, R.; Petrikonis, K.; Ališauskienė, M.; Vaitkus, A. Sonographic Phrenic Nerve Changes in Amyotrophic Lateral Sclerosis. Medicina 2023, 59, 1745. [Google Scholar] [CrossRef] [PubMed]
- Padua, L.; Granata, G.; Sabatelli, M.; Inghilleri, M.; Lucchetta, M.; Luigetti, M.; Coraci, D.; Martinoli, C.; Briani, C. Heterogeneity of Root and Nerve Ultrasound Pattern in CIDP Patients. Clin. Neurophysiol. 2014, 125, 160–165. [Google Scholar] [CrossRef] [PubMed]
- Fisse, A.L.; Katsanos, A.H.; Gold, R.; Pitarokoili, K.; Krogias, C. Cross-sectional Area Reference Values for Peripheral Nerve Ultrasound in Adults: A Systematic Review and Meta-analysis—Part I: Upper Extremity Nerves. Eur. J. Neurol. 2021, 28, 1684–1691. [Google Scholar] [CrossRef] [PubMed]
- Fisse, A.L.; Katsanos, A.H.; Gold, R.; Pitarokoili, K.; Krogias, C. Cross-sectional Area Reference Values for Peripheral Nerve Ultrasound in Adults: A Systematic Review and Meta-analysis—Part III: Cervical Nerve Roots and Vagal Nerve. Eur. J. Neurol. 2021, 28, 2319–2326. [Google Scholar] [CrossRef]
- Fisse, A.L.; Katsanos, A.H.; Gold, R.; Krogias, C.; Pitarokoili, K. Cross-sectional Area Reference Values for Peripheral Nerve Ultrasound in Adults: A Systematic Review and Meta-analysis—Part II: Lower Extremity Nerves. Eur. J. Neurol. 2021, 28, 2313–2318. [Google Scholar] [CrossRef] [PubMed]
- Dillingham, T.; Chen, S.; Andary, M.; Buschbacher, R.; Del Toro, D.; Smith, B.; Zimmermann, K.; SO, Y. Establishing High-quality Reference Values for Nerve Conduction Studies: A Report from the Normative Data Task Force of the American Association of Neuromuscular & Electrodiagnostic Medicine. Muscle Nerve 2016, 54, 366–370. [Google Scholar] [CrossRef]
- Available online: https://www.who.int/publications/i/item/9241208546 (accessed on 5 April 2024).
- Telleman, J.A.; Herraets, I.J.T.; Goedee, H.S.; Verhamme, C.; Nikolakopoulos, S.; van Asseldonk, J.H.; van der Pol, W.L.; van den Berg, L.H.; Visser, L.H. Nerve ultrasound: A reproducible diagnostic tool in peripheral neuropathy. Neurology 2019, 92, e443–e450. [Google Scholar] [CrossRef]
- Kerasnoudis, A.; Pitarokoili, K.; Haghikia, A.; Gold, R.; Yoon, M.-S. Nerve Ultrasound Protocol in Differentiating Chronic Immune-Mediated Neuropathies. Muscle Nerve 2016, 54, 864–871. [Google Scholar] [CrossRef]
- Grimm, A.; Décard, B.F.; Axer, H.; Fuhr, P. The Ultrasound Pattern Sum Score–UPSS. A New Method to Differentiate Acute and Subacute Neuropathies Using Ultrasound of the Peripheral Nerves. Clin. Neurophysiol. 2015, 126, 2216–2225. [Google Scholar] [CrossRef] [PubMed]
- Dancey, C.P.; Reidy, J. Statistics without Maths for Psychology; Pearson Education: London, UK, 2007. [Google Scholar]
- Hallgren, K.A. Computing Inter-Rater Reliability for Observational Data: An Overview and Tutorial. Tutor. Quant. Methods Psychol. 2012, 8, 23–34. [Google Scholar] [CrossRef] [PubMed]
- Tan, C.-Y.; Omaira Razali, S.; Goh, K.-J.; Shahrizaila, N. Influence of Demographic Factors on Nerve Ultrasound of Healthy Participants in a Multiethnic Asian Population. J. Med. Ultrasound 2021, 29, 181. [Google Scholar] [CrossRef] [PubMed]
- Abdelnaby, R.; ELgenidy, A.; Mohamed, K.A.; Sonbol, Y.T.; Elwshahi, M.M.; Elnouty, M.M.; Aboutaleb, A.M.; Ebrahim, M.A.; Dardeer, K.T.; Heikal, H.A.; et al. Sonographic reference values of nerve size in children: A systematic review and meta-analysis. Muscle Nerve 2023, 67, 217–225. [Google Scholar] [CrossRef] [PubMed]
- Seok, H.Y.; Jang, J.H.; Won, S.J.; Yoon, J.S.; Park, K.S.; Kim, B.-J. Cross-sectional Area Reference Values of Nerves in the Lower Extremities Using Ultrasonography. Muscle Nerve 2014, 50, 564–570. [Google Scholar] [CrossRef] [PubMed]
- Sugimoto, T.; Ochi, K.; Hosomi, N.; Mukai, T.; Ueno, H.; Takahashi, T.; Ohtsuki, T.; Kohriyama, T.; Matsumoto, M. Ultrasonographic Reference Sizes of the Median and Ulnar Nerves and the Cervical Nerve Roots in Healthy Japanese Adults. Ultrasound Med. Biol. 2013, 39, 1560–1570. [Google Scholar] [CrossRef] [PubMed]
- Niu, J.; Li, Y.; Zhang, L.; Ding, Q.; Cui, L.; Liu, M. Cross-sectional Area Reference Values for Sonography of Nerves in the Upper Extremities. Muscle Nerve 2020, 61, 338–346. [Google Scholar] [CrossRef] [PubMed]
- Boers, N.; Martin, E.; Mazur, M.; Krijgh, D.D.; Vlak, M.H.M.; de Ruiter, G.C.W.; Goedee, H.S.; Coert, J.H. Sonographic normal values for the cross-sectional area of the ulnar nerve: A systematic review and meta-analysis. J. Ultrasound 2023, 26, 81–88. [Google Scholar] [CrossRef] [PubMed]
- Roll, S.C.; Takata, S.C.; Yao, B.; Kysh, L.; Mack, W.J. Sonographic Reference Values for Median Nerve Cross-sectional Area: A Meta-analysis of Data from Healthy Individuals. J. Diagn. Med. Sonogr. 2023, 39, 492–506. [Google Scholar] [CrossRef]
- Senarai, T.; Suwannakhan, A.; Pratipanawatr, T.; Yammine, K.; Yurasakpong, L.; Sathapornsermsuk, T.; Janta, S.; Kittiboonya, A. Normative Reference Values of the Tibial Nerve in Healthy Individuals Using Ultrasonography: A Systematic Review and Meta-Analysis. J. Clin. Med. 2023, 12, 6186. [Google Scholar] [CrossRef]
- Senarai, T.; Pratipanawatr, T.; Yurasakpong, L.; Kruepunga, N.; Limwachiranon, J.; Phanthong, P.; Meemon, K.; Yammine, K.; Suwannakhan, A. Cross-Sectional Area of the Tibial Nerve in Diabetic Peripheral Neuropathy Patients: A Systematic Review and Meta-Analysis of Ultrasonography Studies. Medicina 2022, 58, 1696. [Google Scholar] [CrossRef] [PubMed]
- Garcia-Santibanez, R.; Dietz, A.R.; Bucelli, R.C.; Zaidman, C.M. Nerve ultrasound reliability of upper limbs: Effects of examiner training. Muscle Nerve 2018, 57, 189–192. [Google Scholar] [CrossRef] [PubMed]
- Sindhu, D.; Huddar, A.; Saini, J.; Vengalil, S.; Nashi, S.; Bardhan, M.; Unnikrishnan, G.; Rajula, R.; Kandavel, T.; Bathala, L.; et al. Cross-Sectional Area Reference Values of Nerves in the Upper and Lower Extremities Using Ultrasonography in the Indian Population. Ann. Indian Acad. Neurol. 2022, 25, 449. [Google Scholar] [CrossRef] [PubMed]
- Pirri, C.; Todros, S.; Fede, C.; Pianigiani, S.; Fan, C.; Foti, C.; Stecco, C.; Pavan, P. Inter-rater reliability and variability of ultrasound measurements of abdominal muscles and fasciae thickness. Clin. Anat. 2019, 32, 948–960. [Google Scholar] [CrossRef] [PubMed]
- Härtig, F.; Ross, M.; Dammeier, N.M.; Fedtke, N.; Heiling, B.; Axer, H.; Décard, B.F.; Auffenberg, E.; Koch, M.; Rattay, T.W.; et al. Nerve Ultrasound Predicts Treatment Response in Chronic Inflammatory Demyelinating Polyradiculoneuropathy-a Prospective Follow-Up. Neurotherapeutics 2018, 15, 439–451. [Google Scholar] [CrossRef] [PubMed]
- Ricci, V.; Ricci, C.; Cocco, G.; Gervasoni, F.; Donati, D.; Farì, G.; Özçakar, L. Histopathology and high-resolution ultrasound imaging for peripheral nerve (injuries). J. Neurol. 2022, 269, 3663–3675. [Google Scholar] [CrossRef]
- Snoj, Ž.; Pušnik, L.; Cvetko, E.; Burica Matičič, U.; Jengojan, S.A.; Omejec, G. Sciatic nerve fascicle differentiation on high-resolution ultrasound with histological verification: An ex vivo study. In Muscle Nerve; Wiley Online Library: Hoboken, NJ, USA, 2024. [Google Scholar] [CrossRef]
- Gamber, D.; Motte, J.; Kerasnoudis, A.; Yoon, M.; Gold, R.; Pitarokoili, K.; Fisse, A.L. High-Resolution Nerve Ultrasound to Assess Nerve Echogenicity, Fascicular Count, and Cross-Sectional Area Using Semiautomated Analysis. J. Neuroimaging 2020, 30, 493–502. [Google Scholar] [CrossRef]
Disclaimer/Publisher’s Note: The statements, opinions and data contained in all publications are solely those of the individual author(s) and contributor(s) and not of MDPI and/or the editor(s). MDPI and/or the editor(s) disclaim responsibility for any injury to people or property resulting from any ideas, methods, instructions or products referred to in the content. |
© 2024 by the authors. Licensee MDPI, Basel, Switzerland. This article is an open access article distributed under the terms and conditions of the Creative Commons Attribution (CC BY) license (https://creativecommons.org/licenses/by/4.0/).




