Clinical Implications and Management of Spontaneous Portosystemic Shunts in Liver Cirrhosis
Abstract
1. Introduction
2. Clinical Implications
2.1. Variceal Bleeding
2.2. Neurological Complications
2.3. Portopulmonary Hypertension
2.4. Portal Vein Thrombosis
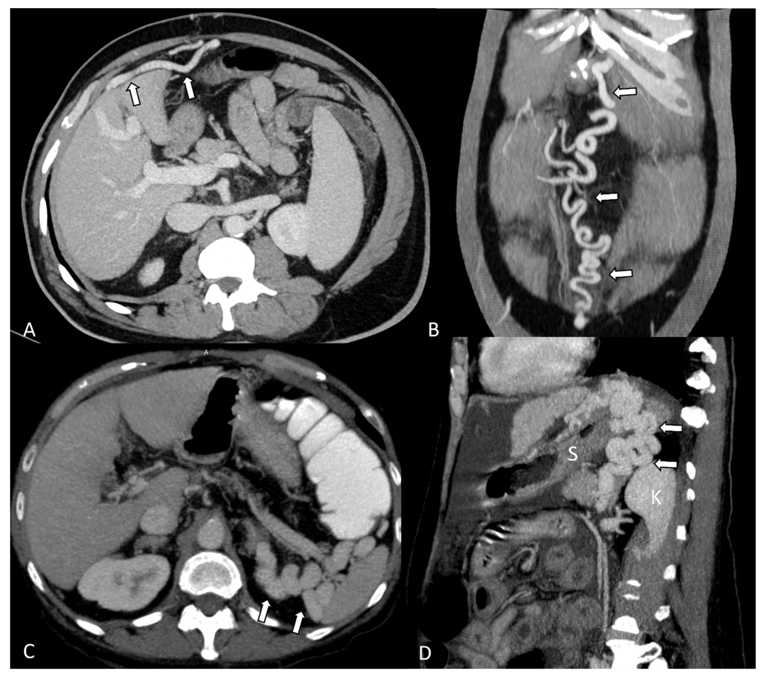
3. Imaging and Measurements
4. Medical Treatment
5. Radiological Shunt Occlusion
6. Surgical Approach
7. Impact of Liver Transplantation
8. Conclusions
Funding
Conflicts of Interest
References
- Alvarez-Lopez, P.; Campos-Varelaa, I.; Quirogac, S.; Díezd, I.; Charco, R.; Simon-Talero, M.; Castellsa, L. Spontaneous portosystemic shunt embolization in liver transplant recipients with recurrent hepatic encephalopathy. Ann. Hepatol. 2022, 27, 100687. [Google Scholar] [CrossRef] [PubMed]
- Vidal-González, J.; Quiroga, S.; Simón-Talero, M.; Genescà, J. Spontaneous portosystemic shunts in liver cirrhosis: New approaches to an old problem. Ther. Adv. Gastroenterol. 2020, 13, 1756284820961287. [Google Scholar] [CrossRef] [PubMed]
- Bosch, J.; Abraldes, J.G.; Fernández, M.; García-Pagán, J.C. Hepatic endothelial dysfunction and abnormal angiogenesis: New targets in the treatment of portal hypertension. J. Hepatol. 2010, 53, 558–567. [Google Scholar] [CrossRef] [PubMed]
- Rajesh, S.; Philips, C.A.; Ahamed, R.; Abduljaleel, J.K.; Nair, D.C.; Augustine, P. Friend of Foe? Spontaneous portosystemic shunts in Cirrhosis—Current understanding and Future prospects. Can. J. Gastroenterol. Hepatol. 2021, 19, 8795115. [Google Scholar] [CrossRef] [PubMed]
- Simón-Talero, M.; Roccarina, D.; Martínez, J.; Lampichler, K.; Baiges, A.; Low, G.; Llop, E.; Praktiknjo, M.; Maurer, M.H.; Zipprich, A.; et al. Association between portosystemic shunts and increased complications and mortality in patients with cirrhosis. Gastroenterology 2018, 154, 1694–1705. [Google Scholar] [CrossRef] [PubMed]
- Dajti, E.; Renzulli, M.; Colecchia, A.; Bacchi-Reggiani, M.L.; Milandri, M.; Rossini, B.; Ravaioli, F.; Marasco, G.; Alemanni, L.V.; Ierardi, A.M.; et al. Size and location of spontaneous portosystemic shunts predict the risk of decompensation in cirrhotic patients. Dig. Liver. Dis. 2022, 54, 103–110. [Google Scholar] [CrossRef] [PubMed]
- Guillaume, M.; Bureau, C. Should the Presence of Spontaneous Portosystemic Shunts Be Implemented to the Model for End-Stage Liver Disease Score for a Better Prediction of Outcome? Gastroenterology 2018, 154, 1569–1571. [Google Scholar] [CrossRef] [PubMed]
- Philips, C.A.; Rajesh, S.; Augustine, P.; Padsalgi, G.; Ahamed, R. Portosystemic shunts and refractory hepatic encephalopathy: Patient selection and current options. Hepatic Med. 2019, 11, 23–34. [Google Scholar] [CrossRef] [PubMed]
- Sharma, M.; Rameshbabu, C.S. Collateral pathways in portal hypertension. J. Clin. Exp. Hepatol. 2012, 2, 338–352. [Google Scholar] [CrossRef]
- Riggio, O.; Efrati, C.; Catalano, C.; Pediconi, F.; Mecarelli, O.; Accornero, N.; Nicolao, F.; Angeloni, S.; Masini, A.; Ridola, L.; et al. High prevalence of spontaneous portal-systemic shunts in persistent hepatic encephalopathy: A case-control study. Hepatology 2005, 42, 1158–1165. [Google Scholar] [CrossRef]
- Kothari, R.; Khanna, D.; Kar, P. To evaluate the prevalence of spontaneous portosystemic shunts in decompensated cirrhosis patients and its prognostic significance. Indian J. Gastroenterol. 2023, 42, 677–685. [Google Scholar] [CrossRef] [PubMed]
- Rathi, S.; Brocco, S.; Formentin, C.; Zarantonello, L.; Mangini, C.; Meneghello, G.; Merkel, C.; Angeli, P.; Stramare, R.; Montagnese, S.; et al. Spontaneous portosystemic shunts in cirrhosis: Detection, implications, and clinical associations. Dig. Liver. Dis. 2021, 53, 1468–1475. [Google Scholar] [CrossRef] [PubMed]
- Berzigotti, A.; Merkel, C.; Magalotti, D.; Tiani, C.; Gaiani, S.; Sacerdoti, D.; Zoli, M. New abdominal collaterals at ultrasound: A clue of progression of portal hypertension. Dig. Liv. Dis. 2008, 40, 62–67. [Google Scholar] [CrossRef] [PubMed]
- Praktiknjo, M.; Simón-Talero, M.; Römer, J.; Roccarina, D.; Martínez, J.; Lampichler, K.; Baiges, A.; Low, G.; Llop, E.; Maurer, M.H.; et al. Total area of spontaneous portosystemic shunts independently predicts hepatic encephalopathy and mortality in liver cirrhosis. J. Hepatol. 2020, 72, 1140–1150. [Google Scholar] [CrossRef]
- Rajesh, S.; Philips, C.A.; Ahamed, R.; Singh, S.; Abduljaleel, J.K.; Tharakan, A.; Augustine, P. Clinical outcomes related to portal pressures before and after embolization of large portosystemic shunts in cirrhosis. SAGE Open Med. 2023, 11, 20503121231208655. [Google Scholar] [CrossRef] [PubMed]
- Nardelli, S.; Riggio, O.; Gioia, S.; Puzzono, M.; Pelle, G.; Ridola, L. Spontaneous porto-systemic shunts in liver cirrhosis: Clinical and therapeutical aspects. World J. Gastroenterol. 2020, 26, 1726–1732. [Google Scholar] [CrossRef]
- Vidal-González, J.; Martínez, J.; Mulay, A.; López, M.; Baiges, A.; Elmahdy, A.; Lampichler, K.; Maleux, G.; Chang, J.; Poncela, M.; et al. Evolution of spontaneous portosystemic shunts over time and following aetiological intervention in patients with cirrhosis. JHEP Rep. 2024, 6, 100977. [Google Scholar] [CrossRef] [PubMed]
- Temmerman, F.; Laleman, W.; Maleux, G.; Nevens, F. Treatment of recurrent severe hepatic encephalopathy in patients with large porto-collaterals shunts or transjugular portosystemic shunt. Acta Gastroenterol. Belg. 2020, 83, 67–71. [Google Scholar]
- Nicoletti, V.; Gioia, S.; Lucatelli, P.; Nardelli, S.; Pasquale, C.; Nogas Sobrinho, S.; Pentassuglio, I.; Greco, F.; De Santis, A.; Merli, M.; et al. Hepatic encephalopathy in patients with non-cirrhotic portal hypertension: Description, prevalence, and risk factors. Dig. Liver Dis. 2016, 48, 1072–1077. [Google Scholar] [CrossRef]
- Chirchiglia, D. A discussion of new-onset extrapyramidal syndrome without tremor and neuroimaging signs of encephalopathy following hepatic cirrhosis. Interdiscip. Neurosurg. 2019, 175, 407–409. [Google Scholar] [CrossRef]
- Butterworth, R.F. Hepatic Encephalopathy in Cirrhosis: Pathology and Pathophysiology. Drugs 2019, 79, 17–21. [Google Scholar] [CrossRef]
- Li, J.; Wan, S.; Wen, F.; Li, Q.; Cui, Y.; Lu, Z.; Lin, H. Liver Transplantation Reverses Hepatic Myelopathy in the Decompensated Phase of Cirrhosis: Case Report and Literature Review. J. Clin. Transl. Hepatol. 2024, 12, 436–442. [Google Scholar] [CrossRef]
- Philips, C.A.; Kumar, L.; Augustine, P. Partial splenic artery embolization for severe hepatic myelopathy in cirrhosis. Hepatology 2018, 67, 1169–1171. [Google Scholar] [CrossRef]
- Pacher, P.; Beckman, J.S.; Liaudet, L. Nitric oxide and peroxynitrite in health and disease. Physiol. Rev. 2007, 87, 315–424. [Google Scholar] [CrossRef]
- Raevens, S.; Geerts, A.; Van Steenkiste, C.; Verhelst, X.; Van Vlierberghe, H.; Colle, I. Hepatopulmonary syndrome and portopulmonary hypertension: Recent knowledge in pathogenesis and overview of clinical assessment. Liver Int. 2015, 35, 1646–1660. [Google Scholar] [CrossRef] [PubMed]
- Al-Naamani, N.; Krowka, M.J.; Forde, K.A.; Krok, K.L.; Feng, R.; Heresi, G.A.; Dweik, R.A.; Bartolome, S.; Bull, T.M.; Roberts, K.E.; et al. Estrogen Signaling and Portopulmonary Hypertension: The Pulmonary Vascular Complications of Liver Disease Study (PVCLD2). Hepatology 2020, 73, 726–737. [Google Scholar] [CrossRef] [PubMed]
- Swanson, K.L.; Wiesner, R.H.; Nyberg, S.L.; Rosen, C.B.; Krowka, M.J. Survival in portopulmonary hypertension: Mayo Clinic experience categorized by treatment subgroups. Am. J. Transplant. 2008, 8, 2445–2453. [Google Scholar] [CrossRef] [PubMed]
- Beshay, S.; Sahay, S.; Humbert, M. Evaluation, and management of pulmonary arterial hypertension. Respir. Med. 2020, 171, 106099. [Google Scholar] [CrossRef] [PubMed]
- DuBrock, H.M.; Cartin-Ceba, R.; Channick, R.N.; Kawut, S.M.; Krowka, M.J. Sex Differences in Portopulmonary Hypertension. Chest 2021, 159, 328–336. [Google Scholar] [CrossRef]
- Chhabria, M.S.; Boppana, L.K.T.; Manek, G.; Tonelli, A.R. Portopulmonary hypertension: A focused review for the internist. Cleve Clin. J. Med. 2023, 90, 632–639. [Google Scholar] [CrossRef]
- AbuHalimeh, B.; Krowka, M.J.; Tonelli, A.R. Treatment Barriers in Portopulmonary Hypertension. Hepatology 2019, 69, 431–443. [Google Scholar] [CrossRef]
- Nardelli, S.; Riggio, O.; Turco, L.; Gioia, S.; Puzzono, M.; Bianchini, M.; Ridola, L.; Aprile, F.; Gitto, S.; Pelle, G.; et al. Relevance of Spontaneous Portosystemic Shunts Detected with CT in Patients with Cirrhosis. Radiology 2021, 299, 133–140. [Google Scholar] [CrossRef]
- Tallón Aguilar, L.; Jiménez Riera, G.; Suárez Artacho, G.; Marín Gómez, L.M.; Serrano Díaz-Canedo, J.; Gómez Bravo, M. Posttransplantation portal thrombosis secondary to splenorenal shunt persistence. Transplant. Proc. 2010, 42, 3169–3170. [Google Scholar] [CrossRef] [PubMed]
- Henseler, K.P.; Pozniak, M.A.; Lee, F.T.; Winter, T.C. Three-dimensional CT angiography of spontaneous portosystemic shunts. Radiographics 2001, 21, 691–704. [Google Scholar] [CrossRef]
- Reeder, S.B. Portosystemic Shunts: Should We Pay Closer Attention with Cross-Sectional Imaging? Radiology 2021, 299, 141–142. [Google Scholar] [CrossRef]
- Yi, F.; Guo, X.; Zeng, Q.L.; Yang, B.; He, Y.; Yuan, S.; Arora, A.; Qi, X. Computed Tomography Images of Spontaneous Portosystemic Shunt in Liver Cirrhosis. Can. J. Gastroenterol. Hepatol. 2022, 2022, 3231144. [Google Scholar] [CrossRef] [PubMed]
- Tatsumi, A.; Maekawa, S.; Osawa, L.; Katoh, R.; Komiyama, Y.; Nakakuki, N.; Takada, H.; Matsuda, S.; Muraoka, M.; Suzuki, Y.; et al. Spontaneous portosystemic shunt diameter predicts liver function after balloon-occluded retrograde transvenous obliteration. JGH Open 2022, 6, 139–147. [Google Scholar] [CrossRef]
- Nardelli, S.; Gioia, S.; Ridola, L.; Riggio, O. Radiological Intervention for Shunt Related Encephalopathy. J. Clin. Exp. Hepatol. 2018, 8, 452–459. [Google Scholar] [CrossRef] [PubMed]
- Gwon, D.I.; Ko, G.Y.; Kwon, Y.B.; Yoon, H.K.; Sung, K.B. Plug-Assisted Retrograde Transvenous Obliteration for the Treatment of Gastric Varices: The Role of Intra-Procedural Cone-Beam Computed Tomography. Korean J. Radiol. 2018, 19, 223–229. [Google Scholar] [CrossRef]
- Terada, K.; Ogi, T.; Yoneda, N.; Yokka, A.; Sugiura, T.; Koda, W.; Kobayashi, S.; Gabata, T. Coil-assisted retrograde transvenous obliteration (CARTO) for the treatment of gastric varices via a single access route using steerable microcatheter: A case report. CVIR Endovasc. 2020, 3, 30. [Google Scholar] [CrossRef]
- Brand, M.; Prodehl, L.; Ede, C.J. Surgical portosystemic shunts versus transjugular intrahepatic portosystemic shunt for variceal haemorrhage in people with cirrhosis. Cochrane Database Syst. Rev. 2018, 10, CD001023. [Google Scholar] [CrossRef] [PubMed]
- Orozco, H.; Mercado, M.A. The evolution of portal hypertension surgery: Lessons from 1000 operations and 50 Years’ experience. Arch. Surg. 2000, 135, 1389–1393; discussion 1394. [Google Scholar] [CrossRef] [PubMed]
- Elshobary, M.; Shehta, A.; Salah, T.; Sultan, A.M.; Shiha, U.; Elghawalby, A.N.; Monier, A.; Elsadany, M.; Yassen, A.; Fathy, O.; et al. Ligation of huge spontaneous porto-systemic collaterals to avoid portal inflow steal in adult living donor liver transplantation: A case-report. Int. J. Surg. Case Rep. 2017, 31, 214–217. [Google Scholar] [CrossRef] [PubMed]
- Abdelaziz, O.; Attia, H. Doppler ultrasonography in living donor liver transplantation recipients: Intra- and post-operative vascular complications. World J. Gastroenterol. 2016, 22, 6145–6172. [Google Scholar] [CrossRef] [PubMed]
- Braun, M.M.; Bar-Nathan, N.; Shaharabani, E.; Aizner, S.; Tur-Kaspa, R.; Belenky, A.; Mor, E.; Ben-Ari, Z.Z. Postshunt hepatic encephalopathy in liver transplant recipients. Transplantation 2009, 87, 734–739. [Google Scholar] [CrossRef] [PubMed]
- Ikegami, T.; Shirabe, K.; Yoshizumi, T.; Yoshiya, S.; Toshima, T.; Motomura, T.; Soejima, Y.; Uchiyama, H.; Maehara, Y. En bloc stapling division of the gastroesophageal vessels controlling portal hemodynamic status in living donor liver transplantation. J. Am. Coll. Surg. 2012, 214, e53–e56. [Google Scholar] [CrossRef] [PubMed]
- Kamei, H.; Onishi, Y.; Ishigami, M.; Ishizu, Y.; Suzuki, K.; Ogura, Y. Development of extensive inferior vena cava thrombosis due to the ligation of a large mesenteric-caval shunt during liver transplantation: A case report. Int. J. Surg. Case Rep. 2016, 29, 211–214. [Google Scholar] [CrossRef] [PubMed]
- Kim, S.H.; Lee, J.M.; Choi, J.Y.; Suh, K.S.; Yi, N.J.; Han, J.K.; Choi, B.I. Changes of portosystemic collaterals and splenic volume on CT after liver transplantation and factors influencing those changes. Am. J. Roentgenol. 2008, 191, W8–W16. [Google Scholar] [CrossRef] [PubMed]
- Gomez Gavara, C.; Bhangui, P.; Salloum, C.; Osseis, M.; Esposito, F.; Moussallem, T.; Lahat, E.; Fuentes, L.; Compagnon, P.; Ngongang, N.; et al. Ligation versus no ligation of spontaneous portosystemic shunts during liver transplantation: Audit of a prospective series of 66 consecutive patients. Liver Transpl. 2018, 24, 505–515. [Google Scholar] [CrossRef]
- Centonze, L.; Gorga, G.; De Carlis, R.; Bernasconi, D.; Lauterio, A.; Carbonaro, L.; Vella, I.; Sgrazzutti, C.; Incarbone, N.; Rizzetto, F.; et al. Clinical Impact of Spontaneous Portosystemic Shunts in Liver Transplantation: A Comprehensive Assessment Through Total Shunt Area Measurement. Transplantation 2023, 107, 913–924. [Google Scholar] [CrossRef]
- Rodriguez, E.A.; Perez, R.; Zhang, N.; Lim, E.S.; Miller, C.; Schwartz, M.A.; McGirr, A.J.; Srinivasan, A.; Hewitt, W.; Silva, A.C.; et al. Clinical Outcomes of Portosystemic Shunts on the Outcome of Liver Transplantation. Liver Transpl. 2020, 26, 693–701. [Google Scholar] [CrossRef] [PubMed]
- Cusumano, C.; Gussago, S.; Guerra, M.; Paul, C.; Faitot, F.; Bachellier, P.; Addeo, P. Management of spontaneous portosystemic shunts at the time of liver transplantation: Treatment or observation? Results of a systematic review. Hepatol. Int. 2022, 16, 983–992. [Google Scholar] [CrossRef] [PubMed]


Disclaimer/Publisher’s Note: The statements, opinions and data contained in all publications are solely those of the individual author(s) and contributor(s) and not of MDPI and/or the editor(s). MDPI and/or the editor(s) disclaim responsibility for any injury to people or property resulting from any ideas, methods, instructions or products referred to in the content. |
© 2024 by the authors. Licensee MDPI, Basel, Switzerland. This article is an open access article distributed under the terms and conditions of the Creative Commons Attribution (CC BY) license (https://creativecommons.org/licenses/by/4.0/).
Share and Cite
Juncu, S.; Minea, H.; Girleanu, I.; Huiban, L.; Muzica, C.; Chiriac, S.; Timofeiov, S.; Mihai, F.; Cojocariu, C.; Stanciu, C.; et al. Clinical Implications and Management of Spontaneous Portosystemic Shunts in Liver Cirrhosis. Diagnostics 2024, 14, 1372. https://doi.org/10.3390/diagnostics14131372
Juncu S, Minea H, Girleanu I, Huiban L, Muzica C, Chiriac S, Timofeiov S, Mihai F, Cojocariu C, Stanciu C, et al. Clinical Implications and Management of Spontaneous Portosystemic Shunts in Liver Cirrhosis. Diagnostics. 2024; 14(13):1372. https://doi.org/10.3390/diagnostics14131372
Chicago/Turabian StyleJuncu, Simona, Horia Minea, Irina Girleanu, Laura Huiban, Cristina Muzica, Stefan Chiriac, Sergiu Timofeiov, Florin Mihai, Camelia Cojocariu, Carol Stanciu, and et al. 2024. "Clinical Implications and Management of Spontaneous Portosystemic Shunts in Liver Cirrhosis" Diagnostics 14, no. 13: 1372. https://doi.org/10.3390/diagnostics14131372
APA StyleJuncu, S., Minea, H., Girleanu, I., Huiban, L., Muzica, C., Chiriac, S., Timofeiov, S., Mihai, F., Cojocariu, C., Stanciu, C., Trifan, A., & Singeap, A.-M. (2024). Clinical Implications and Management of Spontaneous Portosystemic Shunts in Liver Cirrhosis. Diagnostics, 14(13), 1372. https://doi.org/10.3390/diagnostics14131372

