Optimized Strategies for Managing Abdominal Hydatid Cysts and Their Complications
Abstract
1. Introduction
2. Material and Methods
- Patients aged over 18 years, with hydatid cysts, regardless of abdominal localization or complication status, who underwent surgical treatment during the admission.
- Pediatric patients, patients who were admitted but did not undergo any therapeutic procedures;
- Patients who died before receiving any surgical treatment.
2.1. Operative and Postoperative Data
2.1.1. Open Surgery
2.1.2. Laparoscopic Approach
2.1.3. Laparoscopic Approach Using Special Instruments
2.1.4. ERCP
2.2. Statistical Analysis
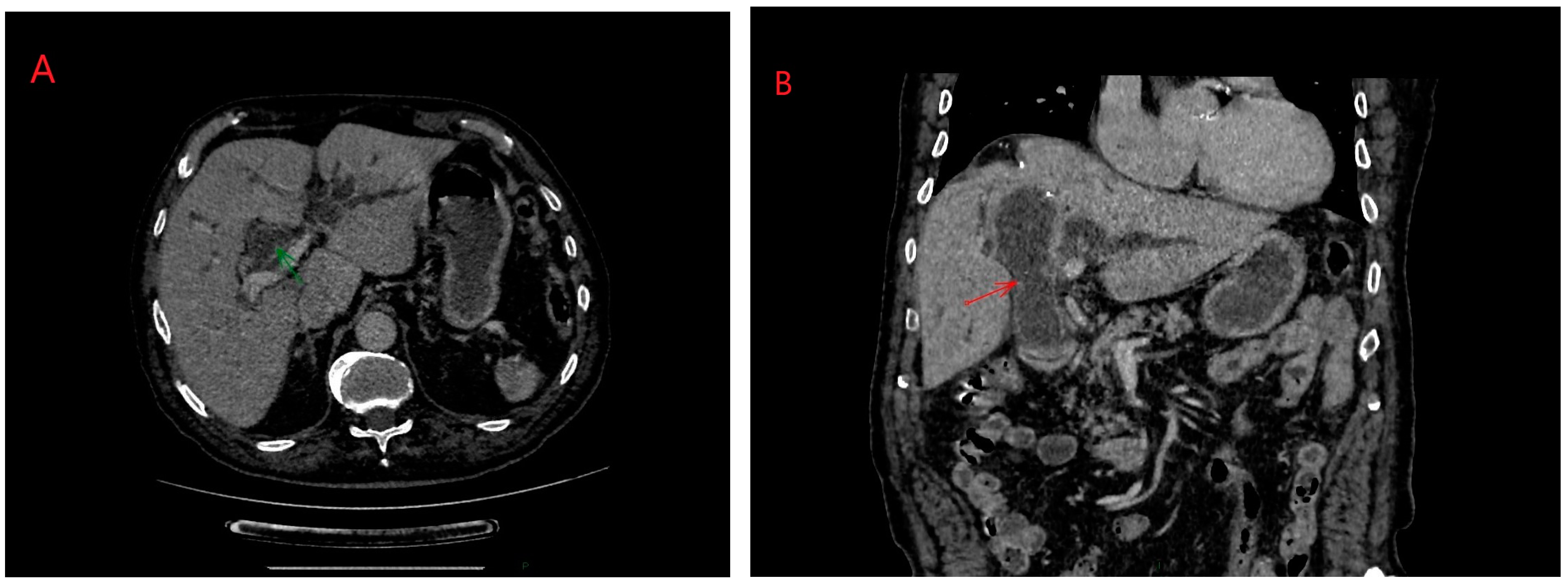
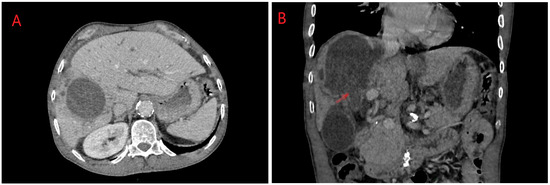
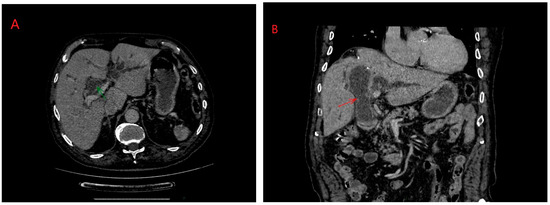
3. Results
4. Discussions
5. Conclusions
Author Contributions
Funding
Institutional Review Board Statement
Informed Consent Statement
Data Availability Statement
Conflicts of Interest
References
- Greco, S.; Cannella, R.; Giambelluca, D.; Pecoraro, G.; Battaglia, E.; Midiri, M.; Brancatelli, G.; Vernuccio, F. Complications of Hepatic Echinococcosis: Multimodality Imaging Approach. Insights Imaging 2019, 10, 113. [Google Scholar] [CrossRef] [PubMed]
- Theodossis, P. Hydatid Cysts. N. Am. J. Med. Sci. 2013, 5, 21. [Google Scholar] [PubMed]
- Khan, S.; Cable, J.; Younus, M.; Rashid, M.I.; Hailer, F.; Akbar, H. IEg67 kDa Bovine Hydatid Cyst Antigen: A Candidate for Developing Sero-Diagnostic Assays for Cystic Echinococcosis, a Disease of One Health Importance. Animals 2023, 13, 866. [Google Scholar] [CrossRef] [PubMed]
- Bhalla, V.P.; Paul, S.; Klar, E. Hydatid Disease of the Liver. Visc. Med. 2023, 39, 112–120. [Google Scholar] [CrossRef]
- Mahmood, Q.; Younus, M.; Sadiq, S.; Iqbal, S.; Idrees, A.; Khan, S.; Zia, R. Prevalence and Associated Risk Factors of Cystic Echinococcosis in Food Animals—A Neglected and Prevailing Zoonosis. Pak. Vet. J. 2022, 42, 59–64. [Google Scholar]
- Alvi, M.A.; Li, L.; Bahadur, S.U.K.; Saqib, M.; Ohiolei, J.A.; Ali, M.A.; Rashid, I.; Ashfaq, K.; Butt, A.A.; Abbas, M.Z.; et al. First Comparative Biochemical Profile Analysis of Cystic Fluids of Taenia Hydatigena and Echinococcus Granulosus Obtained from Slaughtered Sheep and Goats. Pak. Vet. J. 2022, 42, 215–221. [Google Scholar]
- Khan, S.; Younus, M.; Cable, J.; Hailer, F.; Idrees, A.; Rashid, I.; Akbar, H. Epidemiology of Bovine Hydatidosis: Urbanization, Dogs, Animal Care and Proximity to Slaughterhouses Are Important Risk Factors for Cattle. Pak. Vet. J. 2023, 43, 2074–7764. [Google Scholar] [CrossRef]
- Eckert, J.; Deplazes, P. Biological, Epidemiological, and Clinical Aspects of Echinococcosis, a Zoonosis of Increasing Concern. Clin. Microbiol. Rev. 2004, 17, 107–135. [Google Scholar] [CrossRef] [PubMed]
- Gessese, A.T. Review on Epidemiology and Public Health Significance of Hydatidosis. Vet. Med. Int. 2020, 2020, 8859116. [Google Scholar] [CrossRef]
- Cerda, J.R.; Buttke, D.E.; Ballweber, L.R. Echinococcus spp. Tapeworms in North America. Emerg. Infect. Dis. 2018, 24, 230–235. [Google Scholar] [CrossRef]
- Seven, R.; Berber, E.; Mercan, S.; Eminoglu, L.; Budak, D. Laparoscopic Treatment of Hepatic Hydatid Cysts. Surgery 2000, 128, 36–40. [Google Scholar] [CrossRef] [PubMed]
- Khuroo, M.S.; Zargar, S.A.; Mahajan, R. Echinococcus Granulosus Cysts in the Liver: Management with Percutaneous Drainage. Radiology 1991, 180, 141–145. [Google Scholar] [CrossRef] [PubMed]
- Khuroo, M.S. Percutaneous Drainage in Hepatic Hydatidosis-The PAIR Technique: Concept, Technique, and Results. J. Clin. Exp. Hepatol. 2021, 11, 592–602. [Google Scholar] [CrossRef] [PubMed]
- Dolay, K. Role of Endoscopic Retrograde Cholangiopancreatography in the Management of Hepatic Hydatid Disease. World J. Gastroenterol. 2014, 20, 15253. [Google Scholar] [CrossRef] [PubMed]
- Akaydin, M.; Erozgen, F.; Ersoy, Y.E.; Birol, S.; Kaplan, R. Treatment of Hepatic Hydatid Disease Complications Using Endoscopic Retrograde Cholangiopancreatography Procedures. Can. J. Surg. 2012, 55, 244–248. [Google Scholar] [CrossRef] [PubMed][Green Version]
- Boicean, A.; Birlutiu, V.; Ichim, C.; Todor, S.B.; Hasegan, A.; Bacila, C.; Solomon, A.; Cristian, A.; Dura, H. Predictors of Post-ERCP Pancreatitis (P.E.P.) in Choledochal Lithiasis Extraction. J. Pers. Med. 2023, 13, 1356. [Google Scholar] [CrossRef] [PubMed]
- Derbel, F.; Ben, M.; Hadj Hamida, M.B.; Mazhoud, J.; Youssef, S.; Ben, A.; Jemni, H.; Mama, N.; Ibtissem, H.; Nadia, A.; et al. Hydatid Cysts of the Liver—Diagnosis, Complications and Treatment. In Abdominal Surgery; Derbel, F., Ed.; InTech: London, UK, 2012; ISBN 978-953-51-0691-3. [Google Scholar]
- Drocchi, G.; Santucciu, C.; Mastrandrea, S.; Sanguedolce, F.; Madonia, M. Diagnosis and Treatment of Unusual Multiorgan Echinococcus Hydatid Cysts. Curr. Urol. 2024, 18, 75–77. [Google Scholar] [CrossRef] [PubMed]
- Singh, K. Complications of Hydatid Cyst of Liver and Its Management: A Review. Asian Pac. J. Health Sci. 2021, 8, 114–118. [Google Scholar] [CrossRef]
- Koc, C. Intraperitoneal Rupture of the Hydatid Cyst Disease: Single-Center Experience and Literature Review. Turk. J. Trauma Emerg. Surg. 2023, 26, 789–797. [Google Scholar] [CrossRef]
- Ammar, H.; Dammak, N.; Ben Latifa, M.; Said, M.A.; Azri, M.; Gupta, R.; Ben Hamada, H.; Belkacem, O.; Ben Mabrouk, M.; Ben Ali, A. Rupture of a Liver Hydatid Cyst into the Right Portal Vein Leading to Right Portal Vein Thrombosis: A Case Report and Literature Review. J. Int. Med. Res. 2023, 51, 03000605231191018. [Google Scholar] [CrossRef]
- Elmajdoubi, H.; Elbarkaoui, Z.; Sebbah, F.; Raiss, M.; Hrora, A. Rupture of Hydatid Cyst in the Gallbladder Leading to Acute Cholangitis. Case Rep. Infect. Dis. 2021, 2021, 9858658. [Google Scholar] [CrossRef]
- Borahma, M.; Jebari, Y.; Chabib, F.Z.; Lagdali, N.; Benelbarhdadi, I.; Ajana, F.Z. Endoscopic Treatment of a Liver Hydatid Cyst with Biliary Rupture. Endoscopy 2022, 54, E456–E457. [Google Scholar] [CrossRef] [PubMed]
- Al-Asbahi, H.; Jaradat, J.H.; Abu-Jeyyab, M.; Al-Dwairi, R.; Tailakh, B.W.; Almadadha, R.A.; Alkhawaldeh, I.M.; Nashwan, A.J. Intra-biliary Hydatid Cyst Rupture: A Rare Case Report with Superinfection. Clin. Case Rep. 2024, 12, e8581. [Google Scholar] [CrossRef]
- Adhikari, S.; Bhattarai, M.; Gyawali, S.; Subedi, S.; Bhattarai, A.; Awale, L.; Kansakar, P.B.S. Acute Abdomen Due to Rupture of a Hydatid Cyst of the Liver: A Rare Complication—A Case Report. Ann. Med. Surg. 2023, 85, 1172–1176. [Google Scholar] [CrossRef] [PubMed]
- Ben Ismail, I.; Sghaier, M.; Boujmil, K.; Rebii, S.; Zoghlami, A. Hydatid Cyst of the Liver Fistulized into the Inferior Vena Cava. Int. J. Surg. Case Rep. 2022, 94, 107060. [Google Scholar] [CrossRef] [PubMed]
- Zenati, H.; Chaouch, M.A.; Touir, W.; Jellali, M.; Gafsi, B.; Noomen, F. Hydatid Peritonitis Caused by Liver Hydatid Cyst Rupture into the Peritoneal Cavity: A Case Report. Int. J. Surg. Case Rep. 2024, 115, 109239. [Google Scholar] [CrossRef] [PubMed]
- Nayar, R.; Varshney, V.K.; Hussain, S.; Yadav, T.; Puranik, A. Left Hepatectomy for Hepatic Hydatid Cyst with Intra-Biliary Rupture: Better to Be Radical. Med. J. Armed Forces India 2023, 79, S325–S328. [Google Scholar] [CrossRef]
- Aghajanzadeh, M.; Ashoobi, M.T.; Hemmati, H.; Samidoust, P.; Delshad, M.S.E.; Pourahmadi, Y. Intrabiliary and Abdominal Rupture of Hepatic Hydatid Cyst Leading to Biliary Obstruction, Cholangitis, Pancreatitis, Peritonitis and Septicemia: A Case Report. J. Med. Case Rep. 2021, 15, 311. [Google Scholar] [CrossRef] [PubMed]
- Önder, R.O.; Bekci, T.; Yayla, D.İ. Ruptured Hepatic Hydatid Cyst Causing Cholangitis. Rev. Soc. Bras. Med. Trop. 2022, 55, e0530-2022. [Google Scholar] [CrossRef]
- Mejri, A.; Arfaoui, K.; Omry, A.; Yaakoubi, J.; Mseddi, M.A.; Rchidi, J.; Saad, S.; Ellouze, M.M. Acute Intraperitoneal Rupture of Hydatid Cysts of the Liver: Case Series. Medicine 2021, 100, e27552. [Google Scholar] [CrossRef]
- Biswas, S.N.; Kulkarni, A.; Jain, M.; Chaudhary, N.; Ghoshal, U.C. Intra-Biliary Rupture of Hepatic Hydatid Cyst: An Uncommon Presentation of a Common Disease. Indian. J. Gastroenterol. 2021, 40, 445–447. [Google Scholar] [CrossRef] [PubMed]
- Alimoradi, M.; El-Helou, E.; Sabra, H.; Hani, P.; Wakim, R. A Non-Klatskin Tumor: A Case Report and Review of Intrabiliary Hydatid Cyst Rupture. Int. J. Surg. Case Rep. 2020, 77, 260–263. [Google Scholar] [CrossRef] [PubMed]
- Toumi, O.; Ammar, H.; Gupta, R.; Ben Jabra, S.; Hamida, B.; Noomen, F.; Zouari, K.; Golli, M. Management of Liver Hydatid Cyst with Cystobiliary Communication and Acute Cholangitis: A 27-Year Experience. Eur. J. Trauma. Emerg. Surg. 2019, 45, 1115–1119. [Google Scholar] [CrossRef] [PubMed]
- Lahfidi, A.; Traore, W.M.; Diallo, I.D.; Abdellaoui, M.; El Fenni, J.; Saouab, R. Atypical Manifestation of a Fistula between a Hydatid Cyst of a Liver and a Gallbladder: A Case Report. Radiol. Case Rep. 2022, 17, 3735–3738. [Google Scholar] [CrossRef] [PubMed]
- Hamza, A.; Krasniqi, A.; Sada, F.; Zejnullahu, V.; Bicaj, B. ERCP Treatment of Obstructive Jaundice Caused by Hydatid Cyst in Extrahepatic Ducts 13 Years after Liver Hydatid Endocystectomy. A Case Report. Int. J. Surg. Case Rep. 2020, 74, 38–41. [Google Scholar] [CrossRef] [PubMed]
- Leeuw, D.; Van Der Schaar, P.J.; Zoutendijk, R. Biliary Obstruction Caused by an Erupted Hepatic Hydatid Cyst. Endoscopy 2022, 54, E98–E99. [Google Scholar] [CrossRef]
- Asadzadeh-Aghdaei, H.; Moshari, M.R.; Zandi, R.; Karimi, M.A.; Salari, S.; Ketabi Moghadam, P. An Uncommon Presentation of Hepatic Hydatid Cyst Leading to Biliary Cirrhosis and Portal Hypertension. Gastroenterol. Hepatol. Bed Bench 2020, 13, S145–S148. [Google Scholar] [PubMed]
- Ahire, P.; Iyer, N.; Gada, P.B. Complication of Hepatic Hydatid Cyst Surgery Presenting as Obstructive Jaundice. Cureus 2023, 15, e35410. [Google Scholar] [CrossRef] [PubMed]
- Chopra, N.; Gupta, V.; Rahul; Kumar, S.; Joshi, P.; Gupta, V.; Chandra, A. Liver Hydatid Cyst with Cystobiliary Communication: Laparoscopic Surgery Remains an Effective Option. J. Minimal Access Surg. 2018, 14, 230. [Google Scholar] [CrossRef]
- El Nakeeb, A.; Salem, A.; El Sorogy, M.; Mahdy, Y.; Abd Ellatif, M.; Moneer, A.; Said, R.; El Ghawalby, A.; Ezzat, H. Cystobiliary Communication in Hepatic Hydatid Cyst: Predictors and Outcome. Turk. J. Gastroenterol. 2017, 28, 125–130. [Google Scholar] [CrossRef]
- Hamamci, E.O.; Besim, H.; Sonisik, M.; Korkmaz, A. Occult Intrabiliary Rupture of Hydatid Cysts in the Liver. World J. Surg. 2005, 29, 224–226. [Google Scholar] [CrossRef] [PubMed]
- Atli, M. Intrabiliary Rupture of a Hepatic Hydatid Cyst: Associated Clinical Factors and Proper Management. Arch. Surg. 2001, 136, 1249. [Google Scholar] [CrossRef]
- Marrone, G. Multidisciplinary Imaging of Liver Hydatidosis. World J. Gastroenterol. 2012, 18, 1438. [Google Scholar] [CrossRef]
- Alshoabi, S.A.; Alkalady, A.H.; Almas, K.M.; Magram, A.O.; Algaberi, A.K.; Alareqi, A.A.; Hamid, A.M.; Alhazmi, F.H.; Qurashi, A.A.; Abdulaal, O.M.; et al. Hydatid Disease: A Radiological Pictorial Review of a Great Neoplasms Mimicker. Diagnostics 2023, 13, 1127. [Google Scholar] [CrossRef]
- Boicean, A.; Birlutiu, V.; Ichim, C.; Brusnic, O.; Onișor, D.M. Fecal Microbiota Transplantation in Liver Cirrhosis. Biomedicines 2023, 11, 2930. [Google Scholar] [CrossRef]
- Vintila, B.I.; Arseniu, A.M.; Morgovan, C.; Butuca, A.; Sava, M.; Bîrluțiu, V.; Rus, L.L.; Ghibu, S.; Bereanu, A.S.; Roxana Codru, I.; et al. A Pharmacovigilance Study Regarding the Risk of Antibiotic-Associated Clostridioides Difficile Infection Based on Reports from the EudraVigilance Database: Analysis of Some of the Most Used Antibiotics in Intensive Care Units. Pharmaceuticals 2023, 16, 1585. [Google Scholar] [CrossRef] [PubMed]
- Fasihi Karami, M.; Bahreini, A.; Rafiei, A.; Dastyar, A.A.; Beiromvand, M. Primary Disseminated Intraabdominal Hydatidosis: A Case Report. J. Med. Case Rep. 2022, 16, 35. [Google Scholar] [CrossRef] [PubMed]
- Jain, S.; Khanduri, S.; Sagar, U.F.; Yadav, P.; Husain, M.; Imam, T. Abdominal Hydatidosis: Unusual and Usual Locations in a North Indian Population. Cureus 2019, 11, e4380. [Google Scholar] [CrossRef]
- Mihetiu, A.; Bratu, D.G.; Tanasescu, C.; Vintilă, B.I.; Sandu, A.; Sandu, M.; Serban, D.; Sabau, D.; Hasegan, A. Laparoscopic Management of Multiple Liver, Omental, Mesenteric, Peritoneal, and Round Ligament Hydatid Cysts—A Rare Report of a Case and a Systematic Literature Review. J. Pers. Med. 2024, 14, 205. [Google Scholar] [CrossRef]
- Bayrak, M.; Altıntas, Y. Current Approaches in the Surgical Treatment of Liver Hydatid Disease: Single Center Experience. BMC Surg. 2019, 19, 95. [Google Scholar] [CrossRef]
- Chicea, R.; Bratu, D.; Chicea, A.L.; Mihetiu, A.; Preluca, V.; Tantar, C.; Sava, M. A Comparative Histologic and Immunohistochemistry Evaluation Between Normal Aponeurotic Tissue, Fibrotic Aponeurotic Scars and Polypropylene Embedded Aponeurotic Scars. Mater. Plast. 2017, 54, 510–512. [Google Scholar] [CrossRef]
- Slater, N.J.; Knaapen, L.; Van Goor, H. Abdominal Wall Defects: Pathogenesis, Prevention and Repair. Surg. Oxf. 2015, 33, 206–213. [Google Scholar] [CrossRef]
- Shalayiadang, P.; Abulizi, A.; Ahan, A.; Jiang, T.; Ran, B.; Zhang, R.; Guo, Q.; Wen, H.; Shao, Y.; Aji, T. Diagnosis and Treatment Modalities of Hilar Biliary Duct Stricture in Hepatic Cystic Echinococcosis after Endocystectomy. Parasite 2021, 28, 51. [Google Scholar] [CrossRef] [PubMed]
- Manouras, A.; Genetzakis, M.; Antonakis, P.T.; Lagoudianakis, E.; Pattas, M.; Papadima, A.; Giannopoulos, P.; Menenakos, E. Endoscopic Management of a Relapsing Hepatic Hydatid Cyst with Intrabiliary Rupture: A Case Report and Review of the Literature. Can. J. Gastroenterol. 2007, 21, 249–253. [Google Scholar] [CrossRef] [PubMed][Green Version]
- Acarli, K. Controversies in the Laparoscopic Treatment of Hepatic Hydatid Disease. HPB 2004, 6, 213–221. [Google Scholar] [CrossRef] [PubMed]
- Christodoulidis, G.; Samara, A.A.; Diamantis, A.; Floros, T.; Sgantzou, I.-K.; Karakantas, K.-S.; Zotos, P.-A.; Koutras, A.; Janho, M.B.; Tepetes, K. Reaching the Challenging Diagnosis of Complicated Liver Hydatid Disease: A Single Institution’s Experience from an Endemic Area. Medicina 2021, 57, 1210. [Google Scholar] [CrossRef] [PubMed]
- Manterola, C.; Rivadeneira, J.; Rojas-Pincheira, C.; Otzen, T.; Delgado, H.; Sotelo, C.; Sanhueza, A. Cholangiohydatidosis. Clinical Features, Postoperative Complications and Hospital Mortality. A Systematic Review. PLoS Negl. Trop. Dis. 2024, 18, e0011558. [Google Scholar] [CrossRef] [PubMed]
- Varela, G.; Bellvís, L.M.; Pérez, I.G.; Lledías, J.P.; García, M.B.; Sánchez, M.C.; Pardo, L.F.; Tirado, V.V. Primary Super-Infection of Hydatid Cyst—Clinical Setting and Microbiology in 37 Cases. Am. J. Trop. Med. Hyg. 2010, 82, 376–378. [Google Scholar] [CrossRef]
- Shahriarirad, R.; Shekouhi, R.; Erfani, A.; Rastegarian, M.; Eskandarisani, M.; Motamedi, M.; Sarkari, B. Evaluation of the Features of Cystic Echinococcosis with Concurrent Super-Infection: A Retrospective Study in Southern Iran. BMC Infect. Dis. 2023, 23, 525. [Google Scholar] [CrossRef]
- Castillo, S.; Manterola, C.; Grande, L.; Rojas, C. Infected Hepatic Echinococcosis. Clinical, Therapeutic, and Prognostic Aspects. A Systematic Review. Ann. Hepatol. 2021, 22, 100237. [Google Scholar] [CrossRef]





| Variable | Uncomplicated Hydatid Cyst (N = 58) | Complicated Hydatid Cyst (n = 18) | p-Value | |
|---|---|---|---|---|
| Demographic characteristics | ||||
| Gender | Male | 33 (56.92%) | 12 (66.67%) | p > 0.05 |
| Female | 25 (43.10%) | 6 (33.33%) | ||
| Age, yrs. | 51 ± 18.86 | 58.16 ± 15.41 | p > 0.05 | |
| Urban areas | 26 (47.37%) | 6 (33.33%) | p > 0.05 | |
| Presentation in emergency | 8 (13.8%) | 18 (100%) | p < 0.001 | |
| Location of the hydatid cyst | ||||
| Right lobe | 36 (62.06%) | 12 (66.66%) | p = 0.786 | |
| Left lobe | 13 (22.41%) | 2 (11.11%) | p = 0.498 | |
| Bilateral | 9 (15.51%) | 4 (22.22%) | p = 0.722 | |
| Admission Type | |||
|---|---|---|---|
| Complication Type | Emergency | Programmed | Total |
| n (%) | n (%) | n (%) | |
| Diaphragm penetration | 1 (4.55%) | 2 (9.09%) | 3 (13.64%) |
| Relapse, diaphragm penetration | 0 | 1 (4.55%) | 1 (4.55%) |
| Infected | 2 (9.09%) | 1 (4.55%) | 3 (13.64%) |
| Bile duct rupture | 5 (22.73%) | 0 | 5 (22.73%) |
| Abdominal echinococcosis | 1 (4.55%) | 2 (9.09%) | 3 (13.64%) |
| Relapse | 2 (9.09%) | 1 (4.55%) | 3 (13.64%) |
| Infected, bile duct rupture | 1 (4.55%) | 0 | 1 (4.55%) |
| Left portal vein compression | 0 | 1 (4.55%) | 1 (4.55%) |
| Relapse, infection | 0 | 2 (9.09%) | 2 (9.09%) |
| Total | 12 (54.55%) | 10 (45.45%) | 22 (100%) |
| Variable | Uncomplicated Hydatid Cyst (58) | Complicated Hydatid Cyst (18) | p-Value |
|---|---|---|---|
| Open surgery | 18 (31.03%) | 11 (61.11%) | p = 0.022 |
| Laparoscopic surgery | 17 (29.31%) | 3 (16.67%) | p > 0.05 |
| Laparoscopic with special devices | 23 (39.25%) | 3 (16.67%) | p > 0.05 |
| ERCP | 0 | 1 (5.55%) | p > 0.05 |
| Postoperative complications | 26 (37.9%) | 4 (22.22%) | p > 0.05 |
| Hospital stay, days | 11.67 ± 6.31 | 18.06 ± 15.94 | p = 0.023 |
| Approach Type | |||||
|---|---|---|---|---|---|
| Complication Type | Dedicated Laparoscopic Instruments | Laparoscopy | Laparotomy | ERCP | Total |
| n (%) | n (%) | n (%) | n (%) | n (%) | |
| Diaphragm penetration | 2 (9.09%) | 1 (4.55%) | 0 | 0 | 3 (13.64%) |
| Relapse, diaphragm penetration | 1 (4.55%) | 0 | 0 | 0 | 1 (4.55%) |
| Infection | 0 | 1 (4.55%) | 2 (9.09%) | 0 | 3 (13.64%) |
| Bile duct rupture | 0 | 1 (4.55%) | 3 (13.64%) | 1 (4.55%) | 5 (22.73%) |
| Abdominal hydatidosis | 0 | 1 (4.55%) | 2 (9.09%) | 0 | 3 (13.64%) |
| Relapse | 0 | 0 | 3 (13.64%) | 0 | 3 (13.64%) |
| Infected, bile duct rupture | 0 | 0 | 1 (4.55%) | 0 | 1 (4.55%) |
| Left portal vein compression | 0 | 0 | 1 (4.55%) | 0 | 1 (4.55%) |
| Relapse, infection | 0 | 0 | 2 (9.09%) | 0 | 2 (9.09%) |
| TOTAL | 3 (13.64%) | 4 (18.18%) | 14 (63.64%) | 1 (4.55%) | 22 (100%) |
| Pearson Correlation Analysis | r = 0.59, p < 0.001 |
| t-test | t = −12.14, df = 75, p < 0.001, Cohen’s d = 1.39 |
| Mann–Whitney U-Test | Z = −11.09, asymptotic p = <0.001, exact p = <0.001, r = 0.9 |
| Authors | Complication Type | Patient Number | Management | Complications |
|---|---|---|---|---|
| Koc C et al. [20] | Intraperitoneal rupture Biliary rupture | 29 | Laparotomy, pericystectomy Bile duct exploration and T-tube drainage procedure | 24.1% reccurence |
| Ammar H et al. [21] | Portal vein compression and rupture | 1 | Right hepatectomy | None |
| Elmajdoubi H et al. [22] | Gall bladder rupture | 1 | Laparotomy, cholecistetomy, trancistic drainage, perisistectomy | None |
| Borahma M et al. [23] | Bile duct rupture | 1 | ERCP | None |
| Al-Asbahi H et al. [24] | Bile duct rupture | 1 | Laparoscopic drainage | None |
| Adhikari S et al. [25] | Intraperitoneal rupture | 1 | Laparotomy | None |
| Ben Ismail et al. [26] | Inferior vena cava compression | 1 | Laparotomy Pericystectomy | None |
| Zenati H et al. [27] | Intraperitoneal rupture | 1 | Laparotomy Pericystectomy | None |
| Nayar R et al. [28] | Intrabiliary rupture | 1 | Left hepatectomy | None |
| Aghajanzadeh M et al. [29] | Intrabiliary rupture | 1 | Laparotomy, pericystectomy Bile duct exploration and T-tube drainage procedure | - |
| Önder RO et al. [30] | Intrabiliary rupture | 1 | ERCP | None |
| Mejri A et al. [31] | Intraperitoneal rupture | 15 | Laparotomy, pericystectomy | None |
| Biswas SN et al. [32] | Intrabiliary rupture | 3 | ERCP | None |
| Alimoradi M et al. [33] | Intrabiliary rupture | 1 | Laparomy, bile duct exploration and T-tube drainage | None |
| Toumi O et al. [34] | Intrabilary rupture | 55 | Laparotomy, pericystectmy Drainage 51 cases ERCP 4 cases | Fistula, Pulmonary infections, death. (n = 28) |
| Lahfidi A et al. [35] | Gall bladder rupture | 1 | Laparotomy, cholecystectomy, biliary drainage | None |
| Hamza A et al. [36] | Gall bladder rupture | 1 | ERCP, laparoscopic cholecystectomy | None |
| Leeuw D et al. [37] | Intrabiliary rupture | 1 | ERCP | None |
| Asadzadeh-Aghdaei H et al. [38] | Intrabiliary rupture | 1 | ERCP | None |
| Ahire P et al. [39] | Intrabiliary rupture | 1 | Laparoscopic pericystectomy, ERCP | None |
| Ufuk F et al. [29] | Intrabiliary rupture | 1 | ERCP, laparoscopic pericystectomy | None |
| Chopra N et al. [40] | Intrabiliary rupture | 16 | ERCP, laparoscopic pericystectomy | Biliary fistula (n = 5) |
| El Nakeeb A et al. [41] | Intrabiliary rupture | 26 | Laparotomy, T-tube, ERCP | Biliary fistula |
Disclaimer/Publisher’s Note: The statements, opinions and data contained in all publications are solely those of the individual author(s) and contributor(s) and not of MDPI and/or the editor(s). MDPI and/or the editor(s) disclaim responsibility for any injury to people or property resulting from any ideas, methods, instructions or products referred to in the content. |
© 2024 by the authors. Licensee MDPI, Basel, Switzerland. This article is an open access article distributed under the terms and conditions of the Creative Commons Attribution (CC BY) license (https://creativecommons.org/licenses/by/4.0/).
Share and Cite
Mihetiu, A.; Bratu, D.; Sabau, D.; Nastase, O.; Sandu, A.; Tanasescu, C.; Boicean, A.; Ichim, C.; Todor, S.B.; Serban, D.; et al. Optimized Strategies for Managing Abdominal Hydatid Cysts and Their Complications. Diagnostics 2024, 14, 1346. https://doi.org/10.3390/diagnostics14131346
Mihetiu A, Bratu D, Sabau D, Nastase O, Sandu A, Tanasescu C, Boicean A, Ichim C, Todor SB, Serban D, et al. Optimized Strategies for Managing Abdominal Hydatid Cysts and Their Complications. Diagnostics. 2024; 14(13):1346. https://doi.org/10.3390/diagnostics14131346
Chicago/Turabian StyleMihetiu, Alin, Dan Bratu, Dan Sabau, Octavian Nastase, Alexandra Sandu, Ciprian Tanasescu, Adrian Boicean, Cristian Ichim, Samuel Bogdan Todor, Dragos Serban, and et al. 2024. "Optimized Strategies for Managing Abdominal Hydatid Cysts and Their Complications" Diagnostics 14, no. 13: 1346. https://doi.org/10.3390/diagnostics14131346
APA StyleMihetiu, A., Bratu, D., Sabau, D., Nastase, O., Sandu, A., Tanasescu, C., Boicean, A., Ichim, C., Todor, S. B., Serban, D., & Hasegan, A. (2024). Optimized Strategies for Managing Abdominal Hydatid Cysts and Their Complications. Diagnostics, 14(13), 1346. https://doi.org/10.3390/diagnostics14131346

