Role of Clinical and Multimodality Neuroimaging in the Evaluation of Brain Death/Death by Neurologic Criteria and Recent Highlights from 2023 Updated Guidelines
Abstract
1. Introduction
2. History
3. Clinical Criteria and Declaration of Brain Death/Death by Neurologic Criteria (BD/DNC) in Light of the New 2023 AAN Guidelines
4. A Brief Overview of Clinical and Laboratory Criteria
- Be normothermic (core temperature of ≥36.5 degrees Celsius);
- Be hemodynamically stable (systolic blood pressure ≥100 mm Hg and mean arterial pressure ≥75 mm hg in adults, or, recently added in the new guidelines, a target blood pressure close to patient’s known chronic baseline if available);
- Have a confirmed absence of sedative and paralytic drugs;
- Have normal oxygenation (PaO2 ≥ 200 mmHg after 100% oxygenation);
- Have near-normal PaCO2 (35–45 mmHg), unless the patient is known to be hypercarbic;
- As per the updated 2023 guidelines, have an arterial pH of 7.35–7.45.
5. Declaration of the Brain Death/Death by Neurologic Criteria (BD/DNC)
6. Pathophysiology of BD/DNC
7. Neuroimaging Technique for BD/DNC
7.1. Nuclear Scintigraphy
7.2. Digital Subtraction Angiography (DSA)
7.3. Transcranial Doppler (TCD)
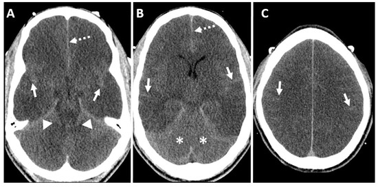
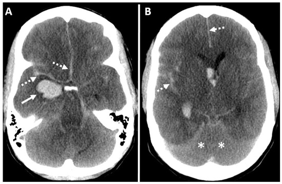
7.4. Computed Tomography (CT) Brain
7.5. Computed Tomography Angiography (CTA) Brain
7.6. Computed Tomography Perfusion (CTP) Brain
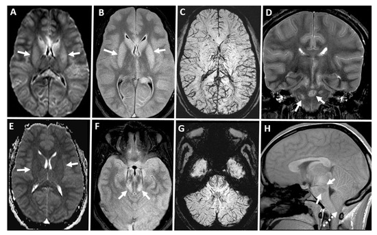
7.7. Magnetic Resonance Imaging (MRI) Brain
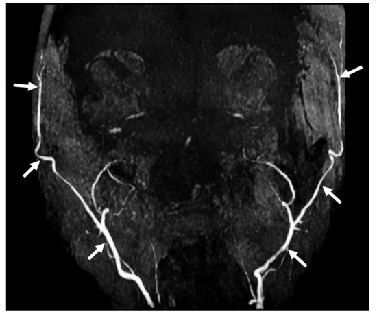
7.8. Magnetic Resonance Angiography (MRA) Brain
7.9. Magnetic Resonance Perfusion (MR Perfusion) Brain
7.10. Positron Emission Tomography (PET) Brain
8. Conclusions
Funding
Informed Consent Statement
Conflicts of Interest
Abbreviations
| AAN | American Academy of Neurology |
| ACA | Anterior cerebral artery |
| ADC | Apparent diffusion coefficient |
| BBB | Blood–brain barrier |
| BD/DNC | Brain death/Death by neurologic criteria |
| CT | Computed tomography |
| CTA | Computed tomography angiogram |
| CTP | Computed tomography perfusion |
| CBF | Cerebral blood flow |
| CPP | Cerebral perfusion pressure |
| CVR | Cerebrovascular resistance |
| DSA | Digital subtraction angiography |
| DWI | Diffusion-weighted imaging |
| EEG | Electroencephalogram |
| fMRI | Functional brain MR |
| GSV | Great cerebral vein |
| GRE | Gradient-recalled echo |
| ICP | Intracranial pressure |
| ICV | Internal cerebral vein |
| MRI | Magnetic resonance imaging |
| MRA | Magnetic resonance angiogram |
| MAP | Mean arterial pressure |
| MR perfusion | Magnetic resonance perfusion |
| MAP | Mean arterial pressure |
| PET | Positron emission tomography |
| PaO2 | Partial pressure of oxygen |
| PaCO2 | Partial pressure of carbon dioxide |
| SPECT | Single-photon emission computerized tomography |
| SNM | Society of nuclear medicine |
| SWI | Susceptibility-weighted image |
| TCD | Transcranial Doppler |
| UDDA | Uniform Determination of Death Act |
| 99mTc-ECD | 99m Technetium Ethyl cysteinate dimer |
| 99mTc-HMPAO | 99m Technetium Hexamethylpropyelene amine oxime |
| 99mTc-DTPA | 99m Technetium Diethylenetriaminepentaacetic acid |
References
- Siegler, J.E.; Galetta, S. Editors’ Note: Challenges to Brain Death in Revising the Uniform Determination of Death Act: The UDDA Revision Series. Neurology 2024, 102, e208046. [Google Scholar] [CrossRef] [PubMed] [PubMed Central]
- Aboubakr, M.; Yousaf, M.I.K.; Alameda, G. Brain Death Criteria. [Updated 27 December 2021]. In StatPearls [Internet]; StatPearls Publishing: Treasure Island, FL, USA, 2022. Available online: https://www.ncbi.nlm.nih.gov/books/NBK545144/ (accessed on 10 June 2024).
- Seifi, A.; Lacci, J.V.; Godoy, D.A. Incidence of brain death in the United States. Clin. Neurol. Neurosurg. 2020, 195, 105885. [Google Scholar] [CrossRef] [PubMed]
- Wijdicks, E.F. Determining brain death in adults. Neurology 1995, 45, 1003–1011. [Google Scholar] [CrossRef] [PubMed]
- Greer, D.M.; Kirschen, M.P.; Lewis, A.; Gronseth, G.S.; Rae-Grant, A.; Ashwal, S.; Babu, M.A.; Bauer, D.F.; Billinghurst, L.; Corey, A.; et al. Pediatric and Adult Brain Death/Death by Neurologic Criteria Consensus Guideline. Neurology 2023, 101, 1112–1132, Erratum in Neurology 2024, 102, e208108. [Google Scholar] [CrossRef] [PubMed] [PubMed Central]
- Mollaret, P.; Goulon, M. The depassed coma (preliminary memoir). Rev. Neurol. 1959, 101, 3–15. [Google Scholar] [PubMed]
- Anonymous. A definition of irreversible coma. Report of the Ad Hoc Committee of the Harvard Medical School to Examine the Definition of Brain Death. JAMA 1968, 205, 337–340. [Google Scholar] [CrossRef]
- Anonymous. Guidelines for the determination of death. Report of the medical consultants on the diagnosis of death to the President’s Commission for the Study of Ethical Problems in Medicine and Biomedical and Behavioral Research. JAMA 1981, 246, 2184–2186. [Google Scholar] [CrossRef]
- De Georgia, M.A. History of brain death as death: 1968 to the present. J. Crit. Care 2014, 29, 673–678. [Google Scholar] [CrossRef] [PubMed]
- Russell, J.A.; Epstein, L.G.; Greer, D.M.; Kirschen, M.; Rubin, M.A.; Lewis, A. Brain death, the determination of brain death, and member guidance for brain death accommodation requests: AAN position statement. Neurology 2019, 92, 228–232, Erratum in Neurology 2019, 92, 304. [Google Scholar] [CrossRef] [PubMed]
- Greer, D.M.; Shemie, S.D.; Lewis, A.; Torrance, S.; Varelas, P.; Goldenberg, F.D.; Bernat, J.L.; Souter, M.; Topcuoglu, M.A.; Alexandrov, A.W.; et al. Determination of Brain Death/Death by Neurologic Criteria: The World Brain Death Project. JAMA 2020, 324, 1078–1097. [Google Scholar] [CrossRef] [PubMed]
- Starr, R.; Tadi, P.; Pfleghaar, N. Brain Death. [Updated 21 March 2024]. In StatPearls [Internet]; StatPearls Publishing: Treasure Island, FL, USA, 2024. Available online: https://www.ncbi.nlm.nih.gov/books/NBK538159/ (accessed on 10 June 2024).
- Murphy, L.; Wolfer, H.; Hendrickson, R.G. Toxicologic Confounders of Brain Death Determination: A Narrative Review. Neurocrit. Care 2021, 34, 1072–1089. [Google Scholar] [CrossRef] [PubMed] [PubMed Central]
- Spears, W.; Mian, A.; Greer, D. Brain death: A clinical overview. J. Intensive Care 2022, 10, 16. [Google Scholar] [CrossRef] [PubMed] [PubMed Central]
- Walter, K. Brain Death. JAMA 2020, 324, 1116. [Google Scholar] [CrossRef] [PubMed]
- Lewis, A.; Kirschen, M.P.; Greer, D. The 2023 AAN/AAP/CNS/SCCM Pediatric and Adult Brain Death/Death by Neurologic Criteria Consensus Practice Guideline: A Comparison with the 2010 and 2011 Guidelines. Neurol. Clin. Pract. 2023, 13, e200189. [Google Scholar] [CrossRef] [PubMed] [PubMed Central]
- Shemie, S.D.; Wilson, L.C.; Hornby, L.; Basmaji, J.; Baker, A.J.; Bensimon, C.M.; Chandler, J.A.; Chassé, M.; Dawson, R.; Dhanani, S.; et al. A brain-based definition of death and criteria for its determination after arrest of circulation or neurologic function in Canada: A 2023 clinical practice guideline. Can. J. Anaesth. 2023, 70, 483–557. [Google Scholar] [CrossRef] [PubMed] [PubMed Central]
- Wijdicks, E.F.; Varelas, P.N.; Gronseth, G.S.; Greer, D.M.; American Academy of Neurology. Evidence-based guideline update: Determining brain death in adults: Report of the Quality Standards Subcommittee of the American Academy of Neurology. Neurology 2010, 74, 1911–1918. [Google Scholar] [CrossRef] [PubMed]
- Kumar, L. Brain death and care of the organ donor. J. Anaesthesiol. Clin. Pharmacol. 2016, 32, 146–152. [Google Scholar] [CrossRef] [PubMed] [PubMed Central]
- Greer, D.M.; Varelas, P.N.; Haque, S.; Wijdicks, E.F. Variability of brain death determination guidelines in leading US neurologic institutions. Neurology 2008, 70, 284–289. [Google Scholar] [CrossRef] [PubMed]
- Available online: http://www.braindeath.org/law.htm (accessed on 10 June 2024).
- Nakagawa, T.A.; Ashwal, S.; Mathur, M.; Mysore, M.R.; Bruce, D.; Conway, E.E., Jr.; Duthie, S.E.; Hamrick, S.; Harrison, R.; Kline, A.M.; et al. Guidelines for the determination of brain death in infants and children: An update of the 1987 Task Force recommendations. Crit. Care Med. 2011, 39, 2139–2155. [Google Scholar] [CrossRef] [PubMed]
- de Luzan, I.F.; Vormbrock, M.; Merkel, A.; Smith-Steinert, R. Evidence-Based Practice Guidelines for Organ Procurement. AANA J. 2023, 91, 291–297. [Google Scholar] [PubMed]
- Sarhadi, K.; Hendershot, K.A.; Smith, N.; Souter, M.; Creutzfeldt, C.; Lele, A.; Maciel, C.; Busl, K.; Balogh, J.; Greer, D.; et al. Verification of Death by Neurologic Criteria: A Survey of 12 Organ Procurement Organizations Across the United States. Neurocrit. Care 2024. [Google Scholar] [CrossRef] [PubMed]
- Greve, M.W.; Zink, B.J. Pathophysiology of traumatic brain injury. Mt. Sinai. J. Med. 2009, 76, 97–104. [Google Scholar] [CrossRef] [PubMed]
- Donohoe, K.J.; Frey, K.A.; Gerbaudo, V.H.; Mariani, G.; Nagel, J.S.; Shulkin, B. Procedure guideline for brain death scintigraphy. J. Nucl. Med. 2003, 44, 846–851. [Google Scholar] [PubMed]
- Donohoe, K.J.; Agrawal, G.; Frey, K.A.; Gerbaudo, V.H.; Mariani, G.; Nagel, J.S.; Shulkin, B.L.; Stabin, M.G.; Stokes, M.K. SNM practice guideline for brain death scintigraphy 2.0. J. Nucl. Med. Technol. 2012, 40, 198–203. [Google Scholar] [CrossRef] [PubMed]
- Al-Shammri, S.; Al-Feeli, M. Confirmation of brain death using brain radionuclide perfusion imaging technique. Med. Princ. Pract. 2004, 13, 267–272. [Google Scholar] [CrossRef] [PubMed]
- Rizvi, T.; Batchala, P.; Mukherjee, S. Brain Death: Diagnosis and Imaging Techniques. Semin. Ultrasound CT MR 2018, 39, 515–529. [Google Scholar] [CrossRef] [PubMed]
- de la Riva, A.; González, F.M.; Llamas-Elvira, J.M.; Latre, J.M.; Jiménez-Heffernan, A.; Vidal, E.; Martínez, M.; Torres, M.; Guerrero, R.; Alvarez, F.; et al. Diagnosis of brain death: Superiority of perfusion studies with 99Tcm-HMPAO over conventional radionuclide cerebral angiography. Br. J. Radiol. 1992, 65, 289–294. [Google Scholar] [CrossRef] [PubMed]
- Wilson, K.; Gordon, L.; Selby, J.B., Sr. The diagnosis of brain death with Tc-99m HMPAO. Clin. Nucl. Med. 1993, 18, 428–434. [Google Scholar] [CrossRef] [PubMed]
- Zuckier, L.S.; Kolano, J. Radionuclide studies in the determination of brain death: Criteria, concepts, and controversies. Semin. Nucl. Med. 2008, 38, 262–273. [Google Scholar] [CrossRef] [PubMed]
- Bertagna, F.; Barozzi, O.; Puta, E.; Lucchini, S.; Paghera, B.; Savelli, G.; Panarotto, B.; Rodella, C.A.; Rebuffoni, L.; Bosio, G.; et al. Residual brain viability, evaluated by (99m)Tc-ECD SPECT, in patients with suspected brain death and with confounding clinical factors. Nucl. Med. Commun. 2009, 30, 815–821. [Google Scholar] [CrossRef] [PubMed]
- Munari, M.; Zucchetta, P.; Carollo, C.; Gallo, F.; De Nardin, M.; Marzola, M.C.; Ferretti, S.; Facco, E. Confirmatory tests in the diagnosis of brain death: Comparison between SPECT and contrast angiography. Crit. Care Med. 2005, 33, 2068–2073. [Google Scholar] [CrossRef] [PubMed]
- Bonetti, M.G.; Ciritella, P.; Valle, G.; Perrone, E. 99mTc HM-PAO brain perfusion SPECT in brain death. Neuroradiology 1995, 37, 365–369. [Google Scholar] [CrossRef] [PubMed]
- Appelt, E.A.; Song, W.S.; Phillips, W.T.; Metter, D.F.; Salman, U.A.; Blumhardt, R. The “hot nose” sign on brain death nuclear scintigraphy: Where does the flow really go? Clin. Nucl. Med. 2008, 33, 55–57. [Google Scholar] [CrossRef] [PubMed]
- Mrhac, L.; Zakko, S.; Parikh, Y. Brain death: The evaluation of semi-quantitative parameters and other signs in HMPAO scintigraphy. Nucl. Med. Commun. 1995, 16, 1016–1020. [Google Scholar] [CrossRef] [PubMed]
- Lee, V.W.; Hauck, R.M.; Morrison, M.C.; Peng, T.T.; Fischer, E.; Carter, A. Scintigraphic evaluation of brain death: Significance of sagittal sinus visualization. J. Nucl. Med. 1987, 28, 1279–1283. [Google Scholar] [PubMed]
- Busl, K.M.; Greer, D.M. Pitfalls in the diagnosis of brain death. Neurocritical. Care 2009, 11, 276–287. [Google Scholar] [CrossRef] [PubMed]
- Sawicki, M.; Bohatyrewicz, R.; Safranow, K.; Walecka, A.; Walecki, J.; Rowinski, O.; Solek-Pastuszka, J.; Czajkowski, Z.; Marzec-Lewenstein, E.; Motyl, K.; et al. Dynamic evaluation of stasis filling phenomenon with computed tomography in diagnosis of brain death. Neuroradiology 2013, 55, 1061–1069. [Google Scholar] [CrossRef] [PubMed]
- Alvarez, L.A.; Lipton, R.B.; Hirschfeld, A.; Salamon, O.; Lantos, G. Brain death determination by angiography in the setting of a skull defect. Arch. Neurol. 1988, 45, 225–227. [Google Scholar] [CrossRef] [PubMed]
- Monteiro, L.M.; Bollen, C.W.; van Huffelen, A.C.; Ackerstaff, R.G.; Jansen, N.J.; van Vught, A.J. Transcranial Doppler ultrasonography to confirm brain death: A meta-analysis. Intensive Care Med. 2006, 32, 1937–1944. [Google Scholar] [CrossRef] [PubMed]
- Hadani, M.; Bruk, B.; Ram, Z.; Knoller, N.; Spiegelmann, R.; Segal, E. Application of transcranial doppler ultrasonography for the diagnosis of brain death. Intensive Care Med. 1999, 25, 822–828. [Google Scholar] [CrossRef] [PubMed]
- Riggs, B.J.; Cohen, J.S.; Shivakumar, B.; Trimboli-Heidler, C.; Patregnani, J.T.; Miller, M.M.; Spaeder, M.C.; Dean, N.P. Doppler Ultrasonography of the Central Retinal Vessels in Children with Brain Death. Pediatr Crit Care Med. 2017, 18, 258–264. [Google Scholar] [CrossRef] [PubMed]
- MacDonald, D.; Stewart-Perrin, B.; Shankar, J.J.S. The Role of Neuroimaging in the Determination of Brain Death. J. Neuroimaging 2018, 28, 374–379. [Google Scholar] [CrossRef] [PubMed] [PubMed Central]
- Zervas, N.T. Surgical results for pituitary adenomas: Results of an international survey. In Secretory Tumors of the Pituitary Gland; Black, P.M.c.L., Zervas, N.T., Ridgway, E.C., Jr., Martin, J.B., Eds.; Raven Press: New York, NY, USA, 1984; pp. 377–385. [Google Scholar]
- Raymond, J.; Hardy, J.; Czepko, R.; Roy, D. Arterial injuries in transsphenoidal surgery for pituitary adenoma; the role of angiography and endovascular treatment. AJNR Am. J. Neuroradiol. 1997, 18, 655–665. [Google Scholar] [PubMed] [PubMed Central]
- Dupas, B.; Gayet-Delacroix, M.; Villers, D.; Antonioli, D.; Veccherini, M.F.; Soulillou, J.P. Diagnosis of brain death using two-phase spiral CT. Am. J. Neuroradiol. 1998, 19, 641–647. [Google Scholar] [PubMed]
- Wijdicks, E.F.M. Brain death worldwide: Accepted fact but no global consensus in diagnostic criteria. Neurology 2002, 58, 20–25. [Google Scholar] [CrossRef] [PubMed]
- Beltramello, A.; Casartelli Liviero, M.; Bernardi, B.; Causin, F.; Di Paola, F.; Muto, M.; Ruggiero, M.; Procaccio, F. Computed tomography angiography: A double step methodology in brain death confirmation. Minerva Anestesiol. 2014, 80, 862–863. [Google Scholar] [PubMed]
- Hoffmann, O.; Salih, F.; Masuhr, F. Computed tomography angiography in the diagnosis of brain death: Implementation and results in Germany. Eur. J. Neurol. 2024, 31, e16209. [Google Scholar] [CrossRef] [PubMed]
- Dineen, R.A.; Thomas, E.O.; Mortimer, A.; Summers, D.M.; Manara, A.; Gardiner, D. Cerebral CT angiography as an ancillary investigation in the diagnosis of death using neurological criteria: A new UK guideline. Clin. Radiol. 2023, 78, e166–e168. [Google Scholar] [CrossRef] [PubMed]
- Thomas, E.O.; Manara, A.; Dineen, R.A.; Mortimer, A.; Aziz, O.; Dean, P.; Elliott, P.; Summers, D.M.; Whitfield, P.C.; Hutchinson, P.J.; et al. The use of cerebral computed tomographic angiography as an ancillary investigation to support a clinical diagnosis of death using neurological criteria: A consensus guideline. Anaesthesia 2023, 78, 330–336. [Google Scholar] [CrossRef] [PubMed]
- Sawicki, M.; Wojczal, J.; Birkenfeld, B.; Cyrylowski, L. Brain Death Imaging. In Neurovascular Imaging; Saba, L., Raz, E., Eds.; Springer: New York, NY, USA, 2014. [Google Scholar] [CrossRef]
- Leclerc, X.; Taschner, C.A.; Vidal, A.; Strecker, G.; Savage, J.; Gauvrit, J.Y.; Pruvo, J.P. The role of spiral CT for the assessment of the intracranial circulation in suspected brain-death. J. Neuroradiol. 2006, 33, 90–95. [Google Scholar] [CrossRef]
- Shankar, J.J.S.; Vandorpe, R. CT perfusion for confirmation of brain death. Am. J. Neuroradiol. 2013, 34, 1175–1179. [Google Scholar] [CrossRef] [PubMed]
- Escudero, D.; Otero, J.; Marqués, L.; Parra, D.; Gonzalo, J.A.; Albaiceta, G.M.; Cofiño, L.; Blanco, A.; Vega, P.; Murias, E.; et al. Diagnosing brain death by CT perfusion and multislice CT angiography. Neurocrit. Care 2009, 11, 261–271. [Google Scholar] [CrossRef] [PubMed]
- Ishii, K.; Onuma, T.; Kinoshita, T.; Shiina, G.; Kameyama, M.; Shimosegawa, Y. Brain death: MR and MR angiography. Am. J. Neuroradiol. 1996, 17, 731–735. [Google Scholar] [PubMed]
- Karantanas, A.H.; Hadjigeorgiou, G.M.; Paterakis, K.; Sfiras, D.; Komnos, A. Contribution of MRI and MR angiography in early diagnosis of brain death. Eur. Radiol. 2002, 12, 2710–2716. [Google Scholar] [CrossRef] [PubMed]
- Sohn, C.H.; Lee, H.P.; Park, J.B.; Chang, H.W.; Kim, E.; Kim, E.; Park, U.J.; Kim, H.T.; Ku, J. Imaging findings of brain death on 3-tesla MRI. Korean J. Radiol. 2012, 13, 541–549. [Google Scholar] [CrossRef] [PubMed] [PubMed Central]
- Luchtmann, M.; Bernarding, J.; Beuing, O.; Kohl, J.; Bondar, I.; Skalej, M.; Firsching, R. Controversies of diffusion weighted imaging in the diagnosis of brain death. J. Neuroimaging 2013, 23, 463–468. [Google Scholar] [CrossRef] [PubMed]
- Kato, T.; Tokumaru, A.; O’uchi, T.; Mikami, I.; Umeda, M.; Nose, K.; Eguchi, T.; Hasegawa, M.; Okuyama, K. Assessment of brain death in children by means of P-31 MR spectroscopy: Preliminary note. Work in progress. Radiology 1991, 179, 95–99. [Google Scholar] [CrossRef] [PubMed]
- Boly, M.; Tshibanda, L.; Vanhaudenhuyse, A.; Noirhomme, Q.; Schnakers, C.; Ledoux, D.; Boveroux, P.; Garweg, C.; Lambermont, B.; Phillips, C.; et al. Functional connectivity in the default network during resting state is preserved in a vegetative but not in a brain dead patient. Hum. Brain Mapp. 2009, 30, 2393–2400. [Google Scholar] [CrossRef] [PubMed] [PubMed Central]
- Drake, M.; Bernard, A.; Hessel, E. Brain death. Surg. Clin. N. Am. 2017, 97, 1255–1273. [Google Scholar] [CrossRef] [PubMed]
- Meyer, M.A. Evaluating brain death with positron emission tomography: Case report on dynamic imaging of 18F-fluorodeoxyglucose activity after intravenous bolus injection. J. Neuroimaging 1996, 6, 117–119. [Google Scholar] [CrossRef] [PubMed]












| Ancillary Testing for the Determination of Brain Death/Death by Neurologic Criteria (BD/DNC) |
|---|
Catheter cerebral angiography
|
Transcranial Doppler ultrasonography
|
Cerebral scintigraphy (Technetium Tc-99m hexametazime—HMPAO)
|
Prerequisites (All to be Verified):
Examination (Minimum of 1 in Adults and 2 in Pediatrics):
| Apnea Testing (1 test in Adults, 2 in Pediatrics):
Ancillary testing (Only One to Be Performed, and Only if Clinical Exam/Apnea Testing is inconclusive or Cannot Be Completed):
Time of Death (DD/MM/YYYY): _____/______/______ Name of Physician and Signature: __________________________________ |
| Etiology of brain death: | Pathophysiology of brain death: |
Intracranial causes
| ![]() |
Extracranial causes
|
Disclaimer/Publisher’s Note: The statements, opinions and data contained in all publications are solely those of the individual author(s) and contributor(s) and not of MDPI and/or the editor(s). MDPI and/or the editor(s) disclaim responsibility for any injury to people or property resulting from any ideas, methods, instructions or products referred to in the content. |
© 2024 by the authors. Licensee MDPI, Basel, Switzerland. This article is an open access article distributed under the terms and conditions of the Creative Commons Attribution (CC BY) license (https://creativecommons.org/licenses/by/4.0/).
Share and Cite
Suthar, P.P.; Jhaveri, M.D.; Kounsal, A.; Pierce, L.D.; Singh, J.S. Role of Clinical and Multimodality Neuroimaging in the Evaluation of Brain Death/Death by Neurologic Criteria and Recent Highlights from 2023 Updated Guidelines. Diagnostics 2024, 14, 1287. https://doi.org/10.3390/diagnostics14121287
Suthar PP, Jhaveri MD, Kounsal A, Pierce LD, Singh JS. Role of Clinical and Multimodality Neuroimaging in the Evaluation of Brain Death/Death by Neurologic Criteria and Recent Highlights from 2023 Updated Guidelines. Diagnostics. 2024; 14(12):1287. https://doi.org/10.3390/diagnostics14121287
Chicago/Turabian StyleSuthar, Pokhraj Prakashchandra, Miral D. Jhaveri, Avin Kounsal, Lillian D. Pierce, and Jagadeesh S. Singh. 2024. "Role of Clinical and Multimodality Neuroimaging in the Evaluation of Brain Death/Death by Neurologic Criteria and Recent Highlights from 2023 Updated Guidelines" Diagnostics 14, no. 12: 1287. https://doi.org/10.3390/diagnostics14121287
APA StyleSuthar, P. P., Jhaveri, M. D., Kounsal, A., Pierce, L. D., & Singh, J. S. (2024). Role of Clinical and Multimodality Neuroimaging in the Evaluation of Brain Death/Death by Neurologic Criteria and Recent Highlights from 2023 Updated Guidelines. Diagnostics, 14(12), 1287. https://doi.org/10.3390/diagnostics14121287


