Endoscopic Ultrasound-Guided Tissue Sampling for the Cytohistological Diagnosis of Focal Liver Lesions
Abstract
1. Introduction
2. Materials and Methods
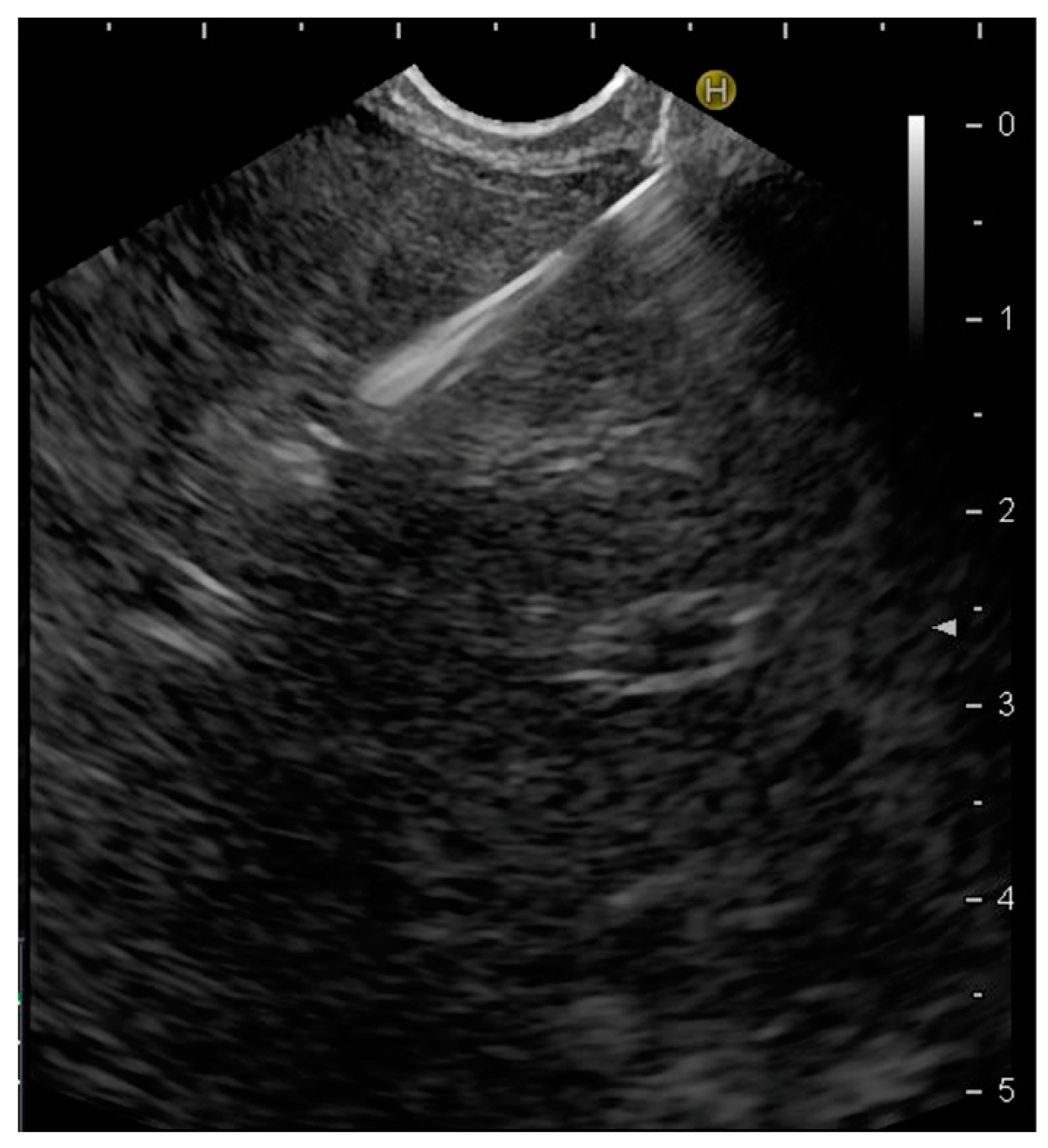
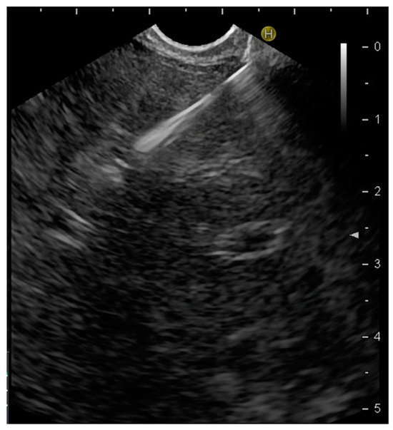
2.1. Patients and EUS-Guided Tissue Acquisition Method
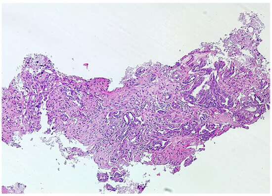
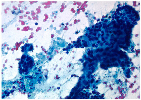
2.2. Cytohistological Evaluation
2.3. Endpoints and Definitions
2.4. Variables
2.5. Statistical Analysis
2.6. Ethical Aspects
3. Results
3.1. Diagnostic Yield
3.2. Factors Associated with the Diagnostic Yield of EUS-Guided Tissue Sampling
4. Discussion
5. Conclusions
Author Contributions
Funding
Institutional Review Board Statement
Informed Consent Statement
Data Availability Statement
Conflicts of Interest
References
- Elsayes, K.M.; Ellis, J.H.; Elkhouly, T.; Ream, J.M.; Bowerson, M.; Khan, A.; Caoili, E.M. Diagnostic yield of percutaneous image-guided tissue biopsy of focal hepatic lesions in cancer patients: Ten percent are not metastases from primary malignancy. Cancer 2011, 117, 4041–4048. [Google Scholar] [CrossRef] [PubMed]
- Stattaus, J.; Kuehl, H.; Ladd, S.; Schroeder, T.; Antoch, G.; Baba, H.A.; Barkhausen, J.; Forsting, M. CT-guided biopsy of small liver lesions: Visibility, artifacts, and corresponding diagnostic accuracy. Cardiovasc. Interv. Radiol. 2007, 30, 928–935. [Google Scholar] [CrossRef] [PubMed]
- Buscarini, L.; Fornari, F.; Bolondi, L.; Colombo, P.; Livraghi, T.; Magnolfi, F.; Rapaccini, G.L.; Salmi, A. Ultrasound-guided fine needle biopsy of focal liver lesions: Techniques, diagnostic accuracy, and complications. A retrospective study on 2091 biopsies. J. Hepatol. 1990, 11, 344–348. [Google Scholar] [CrossRef]
- Jearth, V.; Sundaram, S.; Rana, S.S. Diagnostic and interventional EUS in hepatology: An updated review. Endosc. Ultrasound 2022, 11, 355–370. [Google Scholar] [PubMed]
- Laleman, W.; Vandershueren, E.; Mehdi, Z.S.; Wiest, R.; Cardenas, A.; Trebicka, J. Endoscopic procedures in hepatology: Current trends and new developments. J. Hepatol. 2024, 80, 124–139. [Google Scholar] [CrossRef] [PubMed]
- Lee, F.; Rustagi, T.; Frederick, R.T. Endo-hepatology: Updates for the clinical hepatologist. Clin. Liver Dis. 2023, 22, 42–49. [Google Scholar] [CrossRef] [PubMed]
- Hollerbach, S.; Willert, J.; Topalidis, T.; Reiser, M.; Schmiegel, W. Endoscopic ultrasound-guided fine needle aspiration biopsy of liver lesions: Histological and cytological assessment. Endoscopy 2003, 35, 743–749. [Google Scholar] [CrossRef] [PubMed]
- Lariño-Noia, J.; Castroagudín, J.; de la Iglesia-García, D.; Lázare, H.; Nieto, L.; Porto, S.; Vallejo-Senra, N.; Molina, E.; San Bruno, A.; Martínez-Seara, X.; et al. Quality of Tissue Samples Obtained by Endoscopic Ultrasound-Guided Liver Biopsy: A Randomized, Controlled Clinical Trial. Am. J. Gastroenterol. 2023, 118, 1821–1828. [Google Scholar] [CrossRef] [PubMed]
- Hajifathalian, K.; Westerveld, D.; Kaplan, A.; Dawod, E.; Herr, A.; Ianelli, M.; Saggese, A.; Kumar, S.; Fortune, B.E.; Sharaiha, R.Z. Simultaneous EUS–guided portosystemic pressure measurement and liver biopsy sampling correlate with clinically meaningful outcomes. Gastrointest. Endosc. 2022, 95, 703–710. [Google Scholar] [CrossRef]
- Dumonceau, J.M.; Deprez, P.H.; Jenssen, C.; Iglesias-Garcia, J.; Larghi, A.; Vanbiervliet, G.; Aithal, G.P.; Arcidiacono, P.G.; Bastos, P.; Carrara, S.; et al. Indications, results, and clinical impact of endoscopic ultrasound (EUS)-guided sampling in gastroenterology: European Society of Gastrointestinal Endoscopy (ESGE) Clinical Guideline-Updated January 2017. Endoscopy 2017, 49, 695–714. [Google Scholar] [CrossRef]
- von Elm, E.; Altman, D.G.; Egger, M.; Pocock, S.J.; Gøtzsche, P.C.; Vandenbroucke, J.P. The Strengthening the Reporting of Observational Studies in Epidemiology (STROBE) Statement: Guidelines for reporting observational studies. Int. J. Surg. 2014, 12, 1495–1499. [Google Scholar] [CrossRef] [PubMed]
- Cotton, P.B.; Eisen, G.M.; Aabakken, L.; Baron, T.H.; Hutter, M.M.; Jacobson, B.C.; Mergener, K.; Nemcek, A., Jr.; Petersen, B.T.; Petrini, J.L.; et al. A lexicon for endoscopic adverse events: Report of an ASGE workshop. Gastrointest. Endosc. 2010, 71, 446–454. [Google Scholar] [CrossRef]
- Sbeit, W.; Kadah, A.; Mahamid, M.; Pellicano, R.; Mari, A.; Khoury, T. A State of the art review on the evolving utility of endoscopic ultrasound in liver disease diagnosis. Diagnostics 2020, 10, 512. [Google Scholar] [CrossRef] [PubMed]
- Iglesias-Garcia, J.; Lariño-Noia, J.; de la Iglesia-García, D.; Dominguez-Muñoz, J.E. Endoscopic ultrasonography: Enhancing diagnostic accuracy. Best Pract. Res. Clin. Gastroenterol. 2022, 60–61, 101808. [Google Scholar] [CrossRef]
- Hashimoto, R.; Chang, K.J. Endoscopic ultrasound guided hepatic interventions. Dig. Endosc. 2021, 33, 54–65. [Google Scholar] [CrossRef]
- Ichim, V.A.; Chira, R.I.; Mircea, P.A.; Nagy, G.A.; Crisan, D.; Socaciu, M.A. Accuracy of endoscopic ultrasound-guided biopsy of focal liver lesions. Med. Ultrason. 2020, 1, 22–27. [Google Scholar] [CrossRef] [PubMed]
- Lee, Y.N.; Moon, J.H.; Kim, H.K.; Choi, H.J.; Choi, M.H.; Kim, D.C.; Lee, T.H.; Lee, T.H.; Cha, S.W.; Kim, S.G.; et al. Usefulness of endoscopic ultrasound-guided sampling using core biopsy needle as a percutaneous biopsy rescue for diagnosis of solid liver mass: Combined histological-cytological analysis. J. Gastroenterol. Hepatol. 2015, 30, 1161–1166. [Google Scholar] [CrossRef]
- Nguyen, P.; Feng, J.C.; Chang, K.J. Endoscopic ultrasound (EUS) and EUS-guided fine-needle aspiration (FNA) of liver lesions. Gastrointest. Endosc. 1999, 50, 357–361. [Google Scholar] [CrossRef]
- tenBerge, J.; Hoffman, B.J.; Hawes, R.H.; Van Enckevort, C.; Giovannini, M.; Erickson, R.A.; Catalano, M.F.; Fogel, R.; Mallery, S.; Faigel, D.O.; et al. EUS-fuided fine needle aspiration of the liver: Indications, yield and safety based on an international survey of 167 cases. Gastrointest. Endosc. 2002, 55, 859–862. [Google Scholar] [CrossRef] [PubMed]
- De Witt, J.; Leblanc, J.; Mchenry, L.; Ciaccia, D.; Imperiale, T.; Chappo, J.; Cramer, H.; McGreevy, K.; Chriswell, M.; Sherman, S. Endoscopic ultrasound-guided fine needle aspiration cytology of solid liver lesions: A large single-centre experience. Am. J. Gastroenterol. 2003, 98, 1976–1981. [Google Scholar]
- Oh, D.; Seo, D.W.; Hong, S.M.; Song, T.J.; Park, D.H.; Lee, S.S.; Lee, S.K.; Kim, M.H. Endoscopic ultrasound-guided fine needle aspiration can target right liver mass. Endosc. Ultrasound 2017, 6, 109–115. [Google Scholar] [PubMed]
- Chon, H.K.; Yang, H.C.; Choi, K.; Kim, T.H. Endoscopic ultrasound-guided liver biopsy using a core needle for hepatic solid mass. Clin. Endosc. 2019, 52, 340–346. [Google Scholar] [CrossRef] [PubMed]
- Hassan, G.M.; Laporte, L.; Paquin, S.C.; Menard, P.C.; Sahai, A.V.; Mâsse, B.; Trottier, H. Endoscopic Ultrasound Guided Fine Needle Aspiration versus Endoscopic Ultrasound Guided Fine Needle Biopsy for Pancreatic Cancer Diagnosis: A Systematic Review and Meta-Analysis. Diagnostics 2022, 12, 2951. [Google Scholar] [CrossRef] [PubMed]
- Ching-Companioni, R.A.; Diehl, D.L.; Johal, A.S.; Confer, B.D.; Khara, H.S. 19 G aspiration needle versus 19 G core biopsy needle for endoscopic ultrasound-guided liver biopsy: A prospective randomized trial. Endoscopy 2019, 51, 1059–1065. [Google Scholar] [CrossRef] [PubMed]
- Gheorghiu, M.; Seicean, A.; Bolboacă, S.D.; Rusu, I.; Seicean, R.; Pojoga, C.; Moșteanu, O.; Sparchez, Z. Endoscopic Ultrasound-Guided Fine-Needle Biopsy versus Fine-Needle Aspiration in the Diagnosis of Focal Liver Lesions: Prospective Head-to-Head Comparison. Diagnostics 2022, 12, 2214. [Google Scholar] [CrossRef] [PubMed]
- Iglesias-Garcia, J.; Dominguez-Munoz, J.E.; Abdulkader, I.; Larino-Noia, J.; Eugenyeva, E.; Lozano-Leon, A.; Forteza-Vila, J. Influence of on-site cytopathology evaluation on the diagnostic accuracy of endoscopic ultrasound-guided fine needle aspiration (EUS-FNA) of solid pancreatic masses. Am. J. Gastroenterol. 2011, 106, 1705–1710. [Google Scholar] [CrossRef] [PubMed]
- Crinò, S.F.; Di Mitri, R.; Nguyen, N.Q.; Tarantino, I.; de Nucci, G.; Deprez, P.H.; Carrara, S.; Kitano, M.; Shami, V.M.; Fernández-Esparrach, G.; et al. Endoscopic Ultrasound-guided Fine-needle Biopsy With or Without Rapid On-site Evaluation for Diagnosis of Solid Pancreatic Lesions: A Randomized Controlled Non-Inferiority Trial. Gastroenterology 2021, 161, 899–909.e5. [Google Scholar] [CrossRef] [PubMed]
- Ramai, D.; Pannu, V.; Facciorusso, A.; Dhindsa, B.; Heaton, J.; Ofosu, A.; Chandan, S.; Maida, M.; Lattanzi, B.; Rodriguez, E.; et al. Advances in Endoscopic Ultrasound (EUS)-Guided Liver Biopsy. Diagnostics 2023, 13, 784. [Google Scholar] [CrossRef] [PubMed]
- Chandan, S.; Deliwala, S.; Khan, S.R.; Mohan, B.P.; Dhindsa, B.S.; Bapaye, J.; Goyal, H.; Kassab, L.L.; Kamal, F.; Sayles, H.R.; et al. EUS-guided versus percutaneous liver biopsy: A comprehensive review and meta-analysis of outcomes. Endosc. Ultrasound 2023, 12, 171–180. [Google Scholar] [CrossRef]
- Takano, Y.; Noda, J.; Yamawaki, M.; Azami, T.; Kobayashi, T.; Niiya, F.; Maruoka, N.; Norose, T.; Ohike, N.; Wakabayashi, T.; et al. Comparative Study of an Ultrasound-guided Percutaneous Biopsy and Endoscopic Ultrasound-guided Fine-needle Aspiration for Liver Tumors. Intern. Med. 2021, 60, 1657–1664. [Google Scholar] [CrossRef]
- Ozono, Y.; Kawakami, H.; Uchiyama, N.; Hatada, H.; Ogawa, S. Current status and issues in genomic analysis using EUS-FNA/FNB specimens in hepatobiliary-pancreatic cancers. J. Gastroenterol. 2023, 58, 1081–1093. [Google Scholar] [CrossRef] [PubMed]
- Choi, H.J.; Moon, J.H.; Kim, H.K.; Lee, Y.N.; Lee, T.H.; Cha, S.W.; Cho, Y.D.; Park, S.H. KRAS mutation analysis by next-generation sequencing in endoscopic ultrasound guided sampling for solid liver masses. J. Gastroenterol. Hepatol. 2017, 32, 154–162. [Google Scholar] [CrossRef] [PubMed]



| Total of FLL | 114 |
|---|---|
| Location of FLL, n (%) | |
| LHL | 98 (85.9%) |
| RHL | 16 (14.1%) |
| Size of FLL, median (Range) | 20 mm (14.8–33.5) |
| Use of core needles (FNB), n (%) | 72 (63.2%) |
| Franseen-type | 11 (15.3%) |
| Fork-tip | 26 (36.1%) |
| Reverse bevel | 30 (41.7%) |
| Missing data | 5 (6.9%) |
| Use of cytological needles (FNA), n (%) | 42 (36.8%) |
| Number of needle passes, median (IQR) | 1 (1–2) |
| ROSE, n (%) | 28 (24.6%) |
| Extrahepatic Lesions Biopsy | Cytohistological Diagnosis | Final Diagnosis |
|---|---|---|
| Pancreatic mass (n = 4) | Adenocarcinoma (n = 3) | Metastasis of pancreatic ductal adenocarcinoma (n = 3) |
| NET (n = 1) | Metastatis of pancreatic NET (n = 1) | |
| Liver hilum lymph node | Carcinoma | Intrahepatic cholangiocarcinoma |
| Celiac axis lymph node | Gastrointestinal adenocarcinoma | Metastatis of colon cancer |
| Mediastinal lymph node (n = 2) | Biliopancreatic adenocarcinoma (n = 1) | Metastatic cholangiocarcinoma (n = 1) |
| Sample insufficient for diagnosis (n = 1) | Metastasis of lung cancer (n = 1) |
| EUS-Guided Tissue Acquisition | Diagnostic Yield | p-Value | |
|---|---|---|---|
| Core needles (FNB) | 25 G (25/28–89%) | p = 0.980 a | p = 0.786 b |
| 22 G (33/36–91%) | |||
| 19–20 G (8/8–100%) | |||
| Cytological needles (FNA) | 25 G (17/22–77%) | p = 0.972 a | |
| 22 G (16/19–84%) | |||
| 19–20 G (1/1–100%) | |||
| Focal liver lesion location | |||
| Left liver lobe | 85/98 (87%) | p = 0.841 | |
| Right liver lobe | 15/16 (94%) | ||
| Rapid on-site evaluation | |||
| Yes | 27/28 (96%) | p = 0.684 | |
| No | 73/86 (85%) | ||
| Number of passes | |||
| 1 | 58/66 (88%) | p = 0.992 | |
| 2 | 25/30 (83%) | ||
| 3 | 6/6 (100%) | ||
| 4 | 1/1 (100%) | ||
| Focal liver lesion size | |||
| ≤20 mm | 14/16 (88%) | p = 0.961 | |
| >20 mm | 9/10 (90%) | ||
| Diagnostic Yield | Univariate Analysis | Multivariate Analysis | ||
|---|---|---|---|---|
| OR (95IC) | p-Value | OR (95IC) | p-Value | |
| Core needle | 0.45 (0.09–2.15) | 0.317 | 0.56 (0.03–9.66) | 0.692 |
| Number of passes | 2.25 (0.65–7.84) | 0.203 | 2.29 (0.65–8.09) | 0.200 |
| ROSE | 4.57 (0.57–36.65) | 0.153 | 2.67 (0.16–45.62) | 0.497 |
Disclaimer/Publisher’s Note: The statements, opinions and data contained in all publications are solely those of the individual author(s) and contributor(s) and not of MDPI and/or the editor(s). MDPI and/or the editor(s) disclaim responsibility for any injury to people or property resulting from any ideas, methods, instructions or products referred to in the content. |
© 2024 by the authors. Licensee MDPI, Basel, Switzerland. This article is an open access article distributed under the terms and conditions of the Creative Commons Attribution (CC BY) license (https://creativecommons.org/licenses/by/4.0/).
Share and Cite
Lariño-Noia, J.; Jardi-Cuadrado, A.; Dominguez-Muñoz, J.E.; Domínguez-Novoa, Y.; Galego, M.; Rama, A.; de la Iglesia-Garcia, D.; Martinez-Seara, X.; Abdulkader-Nallib, I.; Iglesias-Garcia, J. Endoscopic Ultrasound-Guided Tissue Sampling for the Cytohistological Diagnosis of Focal Liver Lesions. Diagnostics 2024, 14, 1155. https://doi.org/10.3390/diagnostics14111155
Lariño-Noia J, Jardi-Cuadrado A, Dominguez-Muñoz JE, Domínguez-Novoa Y, Galego M, Rama A, de la Iglesia-Garcia D, Martinez-Seara X, Abdulkader-Nallib I, Iglesias-Garcia J. Endoscopic Ultrasound-Guided Tissue Sampling for the Cytohistological Diagnosis of Focal Liver Lesions. Diagnostics. 2024; 14(11):1155. https://doi.org/10.3390/diagnostics14111155
Chicago/Turabian StyleLariño-Noia, Jose, Andrea Jardi-Cuadrado, Juan Enrique Dominguez-Muñoz, Yessica Domínguez-Novoa, Marco Galego, Alberto Rama, Daniel de la Iglesia-Garcia, Xurxo Martinez-Seara, Ihab Abdulkader-Nallib, and Julio Iglesias-Garcia. 2024. "Endoscopic Ultrasound-Guided Tissue Sampling for the Cytohistological Diagnosis of Focal Liver Lesions" Diagnostics 14, no. 11: 1155. https://doi.org/10.3390/diagnostics14111155
APA StyleLariño-Noia, J., Jardi-Cuadrado, A., Dominguez-Muñoz, J. E., Domínguez-Novoa, Y., Galego, M., Rama, A., de la Iglesia-Garcia, D., Martinez-Seara, X., Abdulkader-Nallib, I., & Iglesias-Garcia, J. (2024). Endoscopic Ultrasound-Guided Tissue Sampling for the Cytohistological Diagnosis of Focal Liver Lesions. Diagnostics, 14(11), 1155. https://doi.org/10.3390/diagnostics14111155

