The Value of Contrast-Enhanced Ultrasound (CEUS) in the Evaluation of Central Lung Cancer with Obstructive Atelectasis
Abstract
1. Introduction
2. Materials and Methods
2.1. Ultrasound Examination
2.2. B-LUS
2.3. CEUS
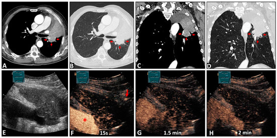
3. Results
3.1. Demographic and Clinical Data
3.2. B-US
3.2.1. Differentiation between the Tumor and Atelectatic Tissue on B-US
3.2.2. Echogenicity of the Tumor
3.2.3. Homogeneity of the Tumor
3.3. CEUS Data
3.3.1. Differentiation between the Tumor and Atelectatic Tissue on CEUS
3.3.2. Extent of Enhancement
3.3.3. Homogeneity of Enhancement
3.3.4. Decrease in Enhancement
4. Discussion
5. Limitations of the Study
6. Conclusions
Supplementary Materials
Author Contributions
Funding
Institutional Review Board Statement
Informed Consent Statement
Data Availability Statement
Acknowledgments
Conflicts of Interest
References
- Schindler, M.B. Treatment of atelectasis: Where is the evidence? Crit. Care 2005, 9, 341–342. [Google Scholar] [CrossRef] [PubMed]
- Yang, R.-M.; Li, L.; Wei, X.-H.; Guo, Y.-M.; Huang, Y.-H.; Lai, L.-S.; Chen, A.-M.; Liu, G.-S.; Xiong, W.-F.; Luo, L.-P.; et al. Differentiation of Central Lung Cancer from Atelectasis: Comparison of Diffusion-Weighted MRI with PET/CT. PLoS ONE 2013, 8, e60279. [Google Scholar] [CrossRef] [PubMed]
- Vaaler, A.K.; Forrester, J.M.; Lesar, M.; Edison, M.; Venzon, D.; Johnson, B.E. Obstructive atelectasis in patients with small cell lung cancer. Incidence and response to treatment. Chest 1997, 111, 115–120. [Google Scholar] [CrossRef] [PubMed]
- Goeckenjan, G.; Sitter, H.; Thomas, M.; Branscheid, D.; Flentje, M.; Griesinger, F.; Niederle, N.; Stuschke, M.; Blum, T.; Deppermann, K.-M.; et al. Prevention, Diagnosis, Therapy, and Follow-up of Lung Cancer. Pneumologie 2011, 65, 39–59. [Google Scholar] [CrossRef]
- Silvestri, G.A.; Gonzalez, A.V.; Jantz, M.A.; Margolis, M.L.; Gould, M.K.; Tanoue, L.T.; Harris, L.J.; Detterbeck, F.C. Methods for staging non-small cell lung cancer: Diagnosis and management of lung cancer, 3rd ed: American College of Chest Physicians evidence-based clinical practice guidelines. Chest 2013, 143, e211S–e250S. [Google Scholar] [CrossRef] [PubMed]
- Kalemkerian, G.P.; Loo, B.W.; Akerley, W.; Attia, A.; Bassetti, M.; Boumber, Y.; Decker, R.; Dobelbower, M.C.; Dowlati, A.; Downey, R.J.; et al. NCCN Guidelines Insights: Small Cell Lung Cancer, Version 2.2018. J. Natl. Compr. Cancer Netw. 2018, 16, 1171–1182. [Google Scholar] [CrossRef] [PubMed]
- Tobler, J.; Levitt, R.G.; Glazer, H.S.; Moran, J.; Crouch, E.; Evens, R.G. Differentiation of proximal bronchogenic carcinoma from postobstructive lobar collapse by magnetic resonance imaging. Comparison with computed tomography. Investig. Radiol. 1987, 22, 538–543. [Google Scholar] [CrossRef] [PubMed]
- Qi, L.P.; Zhang, X.P.; Tang, L.; Li, J.; Sun, Y.S.; Zhu, G.Y. Using diffusion-weighted MR imaging for tumor detection in the collapsed lung: A preliminary study. Eur. Radiol. 2009, 19, 333–341. [Google Scholar] [CrossRef] [PubMed]
- Mathis, G. Chest Sonography; Springer: Cham, Switzerland, 2017. [Google Scholar]
- Findeisen, H.; Trenker, C.; Figiel, J.; Greene, B.H.; Görg, K.; Görg, C. Vascularization of Primary, Peripheral Lung Carcinoma in CEUS—A Retrospective Study (n = 89 Patients). Ultraschall Med. 2019, 40, 603–608. [Google Scholar] [CrossRef]
- Findeisen, H.; Trenker, C.; Zadeh, E.S.; Görg, C. Further aspects concering peripheral lung carcinoma in CEUS. Ultraschall Med.-Eur. J. Ultrasound 2020, 42, 323. [Google Scholar] [CrossRef]
- Görg, C.; Bert, T.; Kring, R.; Dempfle, A. Transcutaneous contrast enhanced sonography of the chest for evaluation of pleural based pulmonary lesions: Experience in 137 patients. Ultraschall Med. 2006, 27, 437–444. [Google Scholar] [CrossRef] [PubMed]
- Görg, C.; Kring, R.; Bert, T. Transcutaneous contrast-enhanced sonography of peripheral lung lesions. AJR Am. J. Roentgenol. 2006, 187, W420–W429. [Google Scholar] [CrossRef] [PubMed]
- Görg, C.; Bert, T.; Kring, R. Contrast-enhanced sonography of the lung for differential diagnosis of atelectasis. J. Ultrasound Med. 2006, 25, 35–39. [Google Scholar] [CrossRef] [PubMed]
- Sartori, S. Contrast-enhanced ultrasonography in peripheral lung consolidations: What’s its actual role? World J. Radiol. 2013, 5, 372. [Google Scholar] [CrossRef] [PubMed]
- Caremani, M.; Benci, A.; Lapini, L.; Tacconi, D.; Caremani, A.; Ciccotosto, C.; Magnolfi, A.L. Contrast enhanced ultrasonography (CEUS) in peripheral lung lesions: A study of 60 cases. J. Ultrasound 2008, 11, 89–96. [Google Scholar] [CrossRef] [PubMed]
- Safai Zadeh, E.; Görg, C.; Dietrich, C.F.; Görlach, J.; Alhyari, A.; Trenker, C. Contrast-Enhanced Ultrasound for Evaluation of Pleural Effusion: A Pictorial Essay. J. Ultrasound Med. 2021, 41, 485–503. [Google Scholar] [CrossRef] [PubMed]
- Safai Zadeh, E.; Weide, J.; Dietrich, C.F.; Trenker, C.; Koczulla, A.R.; Görg, C. Diagnostic Accuracy of B-Mode- and Contrast-Enhanced Ultrasound in Differentiating Malignant from Benign Pleural Effusions. Diagnostics 2021, 11, 1293. [Google Scholar] [CrossRef] [PubMed]
- Lei, Z.; Lou, J.; Bao, L.; Lv, Z. Contrast-enhanced ultrasound for needle biopsy of central lung cancer with atelectasis. J. Med. Ultrason. 2018, 45, 461–467. [Google Scholar] [CrossRef]
- Heese, F.; Görg, C. Diagnostische Wertigkeit einer internistischen Referenzsonographie (DEGUM-Stufe 3). Ultraschall Med.-Eur. J. Ultrasound 2006, 27, 220–224. [Google Scholar] [CrossRef]
- De Leyn, P.; Dooms, C.; Kuzdzal, J.; Lardinois, D.; Passlick, B.; Rami-Porta, R.; Turna, A.; Van Schil, P.; Venuta, F.; Waller, D.; et al. Revised ESTS guidelines for preoperative mediastinal lymph node staging for non-small-cell lung cancer. Eur. J. Cardiothorac. Surg. 2014, 45, 787–798. [Google Scholar] [CrossRef] [PubMed]
- Sidhu, P.; Cantisani, V.; Dietrich, C.; Gilja, O.; Saftoiu, A.; Bartels, E.; Bertolotto, M.; Calliada, F.; Clevert, D.-A.; Cosgrove, D.; et al. The EFSUMB Guidelines and Recommendations for the Clinical Practice of Contrast-Enhanced Ultrasound (CEUS) in Non-Hepatic Applications: Update 2017 (Long Version). Ultraschall Med.-Eur. J. Ultrasound 2018, 39, e2–e44. [Google Scholar] [CrossRef] [PubMed]
- Safai Zadeh, E.; Keber, C.U.; Dietrich, C.F.; Westhoff, C.C.; Günter, C.; Beutel, B.; Alhyari, A.; Trenker, C.; Görg, C. Perfusion Patterns of Peripheral Pulmonary Granulomatous Lesions Using Contrast-Enhanced Ultrasound (CEUS) and Their Correlation with Immunohistochemically Detected Vascularization Patterns. J. Ultrasound Med. 2021, 41, 565–574. [Google Scholar] [CrossRef] [PubMed]
- Bartelt, S.; Trenker, C.; Görg, C.; Neesse, A. Contrast-enhanced ultrasound of embolic consolidations in patients with pulmonary embolism: A pilot study. J. Clin. Ultrasound 2016, 44, 129–135. [Google Scholar] [CrossRef] [PubMed]
- Trenker, C.; Dohse, M.; Ramaswamy, A.; Michel, C.; Gorg, C. Histological validation of pulmonary infarction detected with contrast-enhanced ultrasound in patients with negative computed tomography pulmonary angiogram: A case series. J. Clin. Ultrasound 2019, 47, 461–465. [Google Scholar] [CrossRef]
- Jung, E.M.; Stroszczynski, C.; Jung, F. Contrast enhanced ultrasound (CEUS) to assess pleural pulmonal changes in severe COVID-19 infection: First results. Clin. Hemorheol. Microcirc. 2020, 75, 19–26. [Google Scholar] [CrossRef] [PubMed]
- National Institute for Health and Care Excellence: Guidelines. In Lung Cancer: Diagnosis and Management; National Institute for Health and Care Excellence (NICE): London, UK, 2023. Available online: https://www.ncbi.nlm.nih.gov/books/NBK542463/ (accessed on 8 March 2024).
- Del Giudice, M.E.; Young, S.M.; Vella, E.T.; Ash, M.; Bansal, P.; Robinson, A.; Skrastins, R.; Ung, Y.; Zeldin, R.; Levitt, C. Guideline for referral of patients with suspected lung cancer by family physicians and other primary care providers. Can. Fam. Phys. 2014, 60, e376–e782. [Google Scholar]
- Prosch, H.; Strasser, G.; Sonka, C.; Oschatz, E.; Mashaal, S.; Mohn-Staudner, A.; Mostbeck, G.H. Cervical ultrasound (US) and US-guided lymph node biopsy as a routine procedure for staging of lung cancer. Ultraschall Med. 2007, 28, 598–603. [Google Scholar] [CrossRef] [PubMed]
- Rivera, M.P.; Mehta, A.C.; Wahidi, M.M. Establishing the diagnosis of lung cancer: Diagnosis and management of lung cancer, 3rd ed: American College of Chest Physicians evidence-based clinical practice guidelines. Chest 2013, 143, e142S–e165S. [Google Scholar] [CrossRef] [PubMed]
- Hafez, M.R.; Sobh, E.S.; Elsawy, S.B.; Abo-Elkheir, O.I. The usefulness of thoracic ultrasonography in diagnosis and staging of bronchogenic carcinoma. Ultrasound 2017, 25, 200–212. [Google Scholar] [CrossRef]
- Huo, Y.R.; Chan, M.V.; Habib, A.R.; Lui, I.; Ridley, L. Pneumothorax rates in CT-Guided lung biopsies: A comprehensive systematic review and meta-analysis of risk factors. Br. J. Radiol. 2020, 93, 20190866. [Google Scholar] [CrossRef]
- Yusuf, G.T.; Fang, C.; Tran, S.; Rao, D.; Bartlett-Pestell, S.; Stefanidis, K.; Huang, D.Y.; Sidhu, P.S. A pictorial review of the utility of CEUS in thoracic biopsies. InsightsImaging 2021, 12, 9. [Google Scholar] [CrossRef] [PubMed]
- Eldridge, L.; Wagner, E.M. Angiogenesis in the lung. J. Physiol. 2019, 597, 1023–1032. [Google Scholar] [CrossRef] [PubMed]
- Eldridge, L.; Moldobaeva, A.; Zhong, Q.; Jenkins, J.; Snyder, M.; Brown, R.H.; Mitzner, W.; Wagner, E.M. Bronchial Artery Angiogenesis Drives Lung Tumor Growth. Cancer Res. 2016, 76, 5962–5969. [Google Scholar] [CrossRef] [PubMed]
- Linde, H.N.; Holland, A.; Greene, B.H.; Görg, C. Contrast-enhancend sonography (CEUS) in pneumonia: Typical patterns and clinical value—A retrospective study on n = 50 patients. Ultraschall Med. 2012, 33, 146–151. [Google Scholar] [CrossRef] [PubMed]
- Safai Zadeh, E.; Görg, C.; Prosch, H.; Jenssen, C.; Blaivas, M.; Laursen, C.B.; Jacobsen, N.; Dietrich, C.F. WFUMB Technological Review: How to Perform Contrast-Enhanced Ultrasound of the Lung. Ultrasound Med. Biol. 2022, 48, 598–616. [Google Scholar] [CrossRef] [PubMed]
- Quarato, C.M.I.; Feragalli, B.; Lacedonia, D.; Rea, G.; Scioscia, G.; Maiello, E.; Di Micco, C.; Borelli, C.; Mirijello, A.; Graziano, P.; et al. Contrast-Enhanced Ultrasound in Distinguishing between Malignant and Benign Peripheral Pulmonary Consolidations: The Debated Utility of the Contrast Enhancement Arrival Time. Diagnostics 2023, 13, 666. [Google Scholar] [CrossRef] [PubMed]
- Safai Zadeh, E.; Westhoff, C.C.; Keber, C.U.; Trenker, C.; Dietrich, C.F.; Alhyari, A.; Mohr, C.G.L.; Görg, C. Perfusion Patterns of Peripheral Organizing Pneumonia (POP) Using Contrast-Enhanced Ultrasound (CEUS) and Their Correlation with Immunohistochemically Detected Vascularization Patterns. Diagnostics 2021, 11, 1601. [Google Scholar] [CrossRef] [PubMed]
- Pries, A.R.; Höpfner, M.; le Noble, F.; Dewhirst, M.W.; Secomb, T.W. The shunt problem: Control of functional shunting in normal and tumour vasculature. Nat. Rev. Cancer 2010, 10, 587–593. [Google Scholar] [CrossRef]
- Reissig, A.; Copetti, R.; Mathis, G.; Mempel, C.; Schuler, A.; Zechner, P.; Aliberti, S.; Neumann, R.; Kroegel, C.; Hoyer, H. Lung Ultrasound in the Diagnosis and Follow-up of Community-Acquired Pneumonia. Chest 2012, 142, 965–972. [Google Scholar] [CrossRef]
- Trenker, C.; Wilhelm, C.; Neesse, A.; Rexin, P.; Görg, C. Contrast-Enhanced Ultrasound in Pulmonary Lymphoma: A Small Pilot Study. J. Ultrasound Med. 2018, 37, 2943–2947. [Google Scholar] [CrossRef]
- Hansell, L.; Milross, M.; Delaney, A.; Tian, D.H.; Ntoumenopoulos, G. Interrater reliability in assigning a lung ultrasound score. Aust. Crit. Care 2023, 36, 732–736. [Google Scholar] [CrossRef] [PubMed]
- Liang, J.; Wang, D.; Li, H.; Zhao, S.; Chen, M.; Li, H.; Ding, Z.; Liu, J.; Liu, L. Contrast-enhanced ultrasound for needle biopsy of thoracic lesions. Oncol. Lett. 2020, 20, 75. [Google Scholar] [CrossRef] [PubMed]
- Messina, G.; Bove, M.; Natale, G.; Di Filippo, V.; Opromolla, G.; Rainone, A.; Leonardi, B.; Martone, M.; Fiorelli, A.; Vicidomini, G.; et al. Diagnosis of malignant pleural disease: Ultrasound as “a detective probe”. Thorac. Cancer 2023, 14, 223–230. [Google Scholar] [CrossRef] [PubMed]




| Imaging Modality | Demarcation of Tumor from Atelectasis |
|---|---|
| B-LUS | 23/54 (42.6%) |
| CECT | 41/54 (75.9%) |
| CEUS | 48/54 (88.9%) |
| CEUS and CECT | 50/54 (92.6%) |
| Underlying Disease | Central Lung Cancer | Peripheral Lung Cancer | Lung Lymphoma | Obstructive Atelectasis | Acute Pneumonia | Granulomatous Disease | Organized Pneumonia |
|---|---|---|---|---|---|---|---|
| Author | Present study | Findeisen et al. [10] | Trenker et al. [42] | Present study | Linde et al. [36] | Safai Zadeh et al. [23] | Safai Zadeh et al. [39] |
| No. of cases | 48 | 89 | 6 | 54 | 50 | 10 | 38 |
| Year | 2024 | 2019 | 2018 | 2024 | 2012 | 2021 | 2021 |
| Pattern of enhancement on CEUS | |||||||
| OE (TE): PA BA | 10.4% 89.6% | 28.1% 71.9% | 83.3% 16.7% | 85.2% 14.8% | 92.0% 8.0% | 0% 100% | 28.9% 71.1% |
| EE: Marked Reduced | 8.3% 91.7% | 59.5% 40.5% | 100% 0.0% | n.a. | 74.0% 26.0% | 0% 100% | 76.3% 23.7% |
| HE: Hom Inhom | 91.7% 8.3% | 23.6% 76.4% | 66.7% 33.3% | 72.2% 27.8% | 78.0% 22.0% | 0% 100% | 18.4% 81.6% |
| DE: Rapid Late | 79.2% 20.8% | n.a. | 50.0% 50.0% | 27.8% 72.2% | n.a. | 100% 0% | 50.0% 50.0% |
Disclaimer/Publisher’s Note: The statements, opinions and data contained in all publications are solely those of the individual author(s) and contributor(s) and not of MDPI and/or the editor(s). MDPI and/or the editor(s) disclaim responsibility for any injury to people or property resulting from any ideas, methods, instructions or products referred to in the content. |
© 2024 by the authors. Licensee MDPI, Basel, Switzerland. This article is an open access article distributed under the terms and conditions of the Creative Commons Attribution (CC BY) license (https://creativecommons.org/licenses/by/4.0/).
Share and Cite
Safai Zadeh, E.; Huber, K.P.; Görg, C.; Prosch, H.; Findeisen, H. The Value of Contrast-Enhanced Ultrasound (CEUS) in the Evaluation of Central Lung Cancer with Obstructive Atelectasis. Diagnostics 2024, 14, 1051. https://doi.org/10.3390/diagnostics14101051
Safai Zadeh E, Huber KP, Görg C, Prosch H, Findeisen H. The Value of Contrast-Enhanced Ultrasound (CEUS) in the Evaluation of Central Lung Cancer with Obstructive Atelectasis. Diagnostics. 2024; 14(10):1051. https://doi.org/10.3390/diagnostics14101051
Chicago/Turabian StyleSafai Zadeh, Ehsan, Katharina Paulina Huber, Christian Görg, Helmut Prosch, and Hajo Findeisen. 2024. "The Value of Contrast-Enhanced Ultrasound (CEUS) in the Evaluation of Central Lung Cancer with Obstructive Atelectasis" Diagnostics 14, no. 10: 1051. https://doi.org/10.3390/diagnostics14101051
APA StyleSafai Zadeh, E., Huber, K. P., Görg, C., Prosch, H., & Findeisen, H. (2024). The Value of Contrast-Enhanced Ultrasound (CEUS) in the Evaluation of Central Lung Cancer with Obstructive Atelectasis. Diagnostics, 14(10), 1051. https://doi.org/10.3390/diagnostics14101051

