Missed and Detected Incidental Breast Cancers on Contrast Enhanced Chest CT: Detection Rates and CT Features
Abstract
1. Introduction
2. Materials and Methods
2.1. Compliance with Ethical Standards
2.2. Patients
2.3. Chest CT Scan Protocol
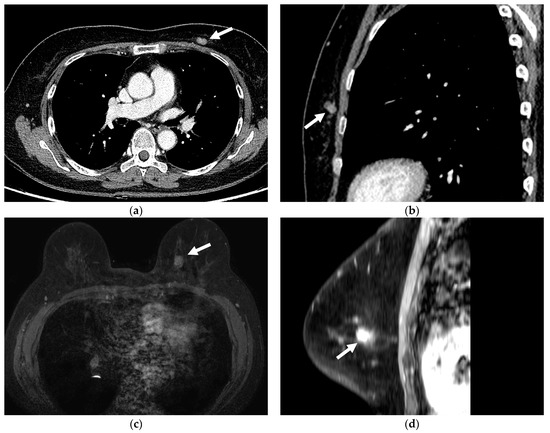
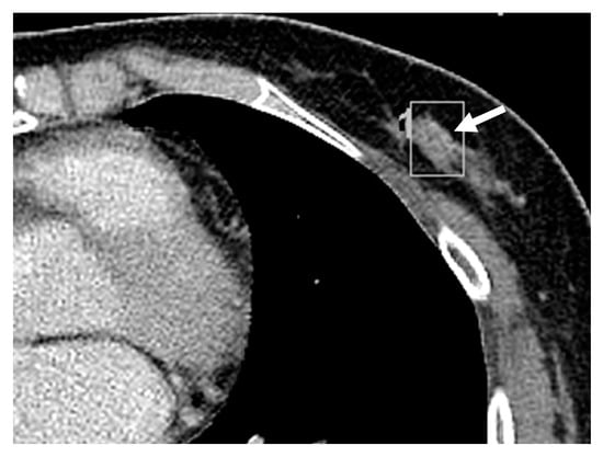
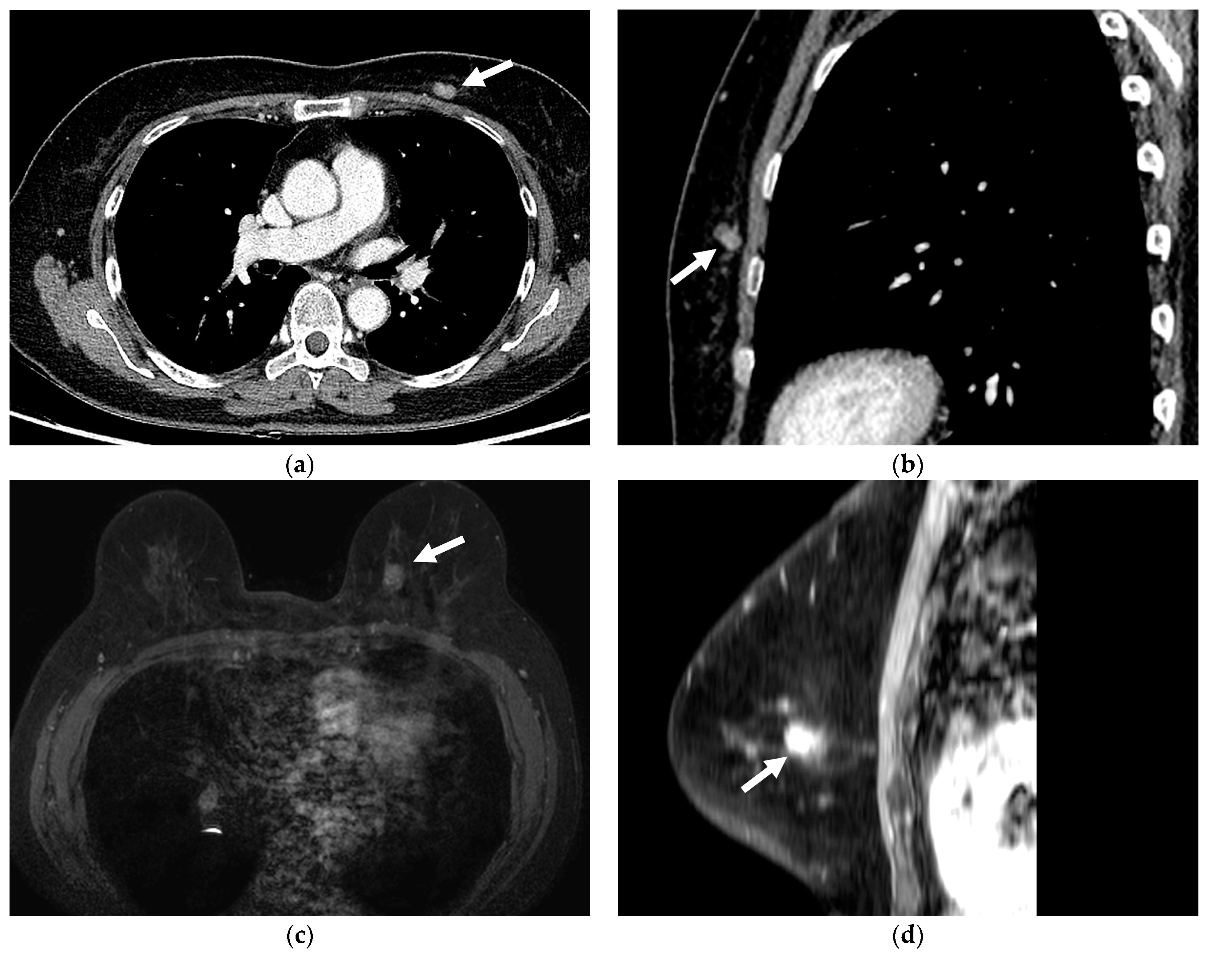
2.4. Assessment of Breast Cancers on Chest CT and Other Breast Imaging Modalities
2.5. Analysis of Imaging Findings of Breast Cancer on Chest CT
2.6. Re-Assessment of the Detection Rate of Breast Cancers on Chest CT
2.7. Statistical Analysis
3. Results
3.1. Characteristics of Missed Breast Lesions Group and Detected Breast Lesions Group
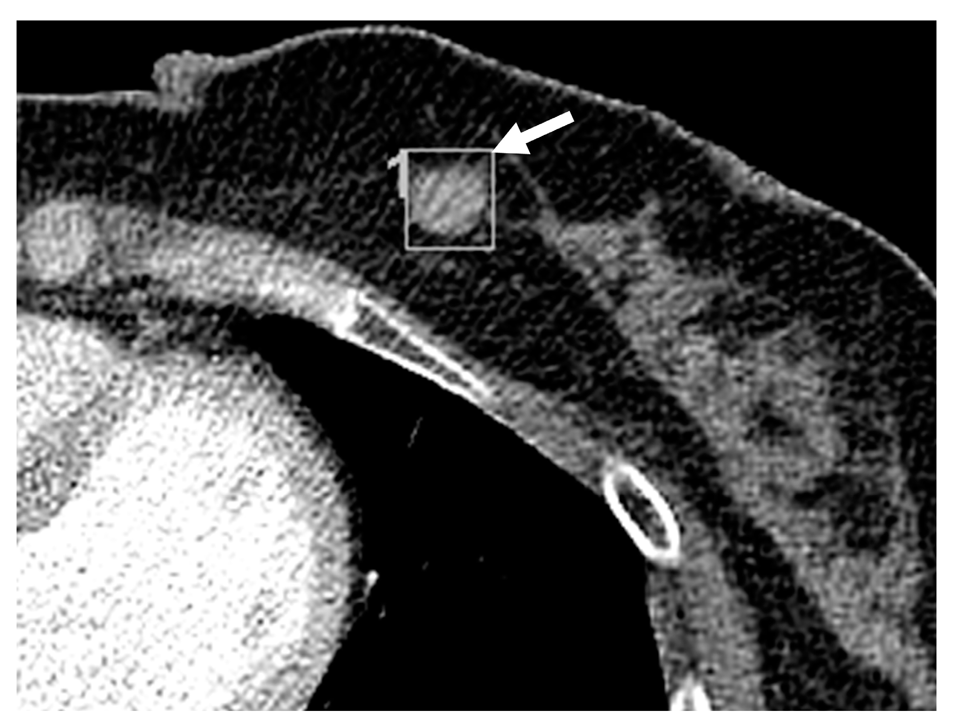
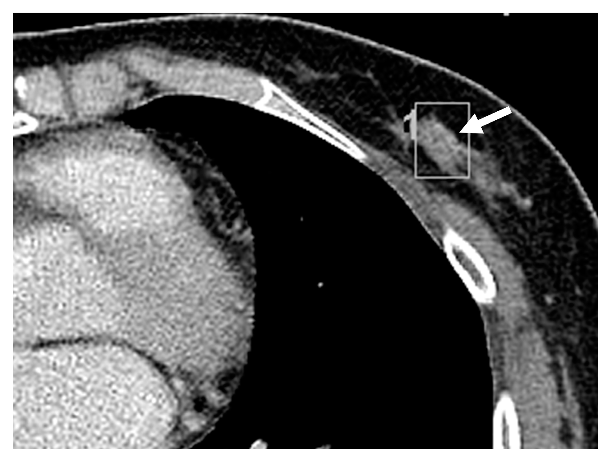
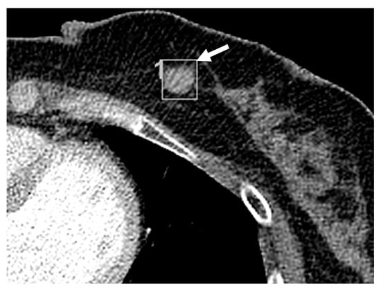
3.2. Imaging Features of Missed and Detected Breast Cancers
3.3. Imaging Features Associated with Missed Breast Lesions Group
3.4. Re-Assessment of the Detection Rate of Breast Cancers on Chest CT
4. Discussion
5. Conclusions
Author Contributions
Funding
Institutional Review Board Statement
Informed Consent Statement
Data Availability Statement
Acknowledgments
Conflicts of Interest
References
- Sung, H.; Ferlay, J.; Siegel, R.L.; Laversanne, M.; Soerjomataram, I.; Jemal, A.; Bray, F. Global Cancer Statistics 2020: Globocan Estimates of Incidence and Mortality Worldwide for 36 Cancers in 185 Countries. CA Cancer J. Clin. 2021, 71, 209–249. [Google Scholar] [CrossRef] [PubMed]
- Smith, R.A.; Duffy, S.W.; Gabe, R.; Tabar, L.; Yen, A.M.; Chen, T.H. The Randomized Trials of Breast Cancer Screening: What Have We Learned? Radiol. Clin. N. Am. 2004, 42, 793–806. [Google Scholar] [CrossRef] [PubMed]
- Gossner, J. Intramammary Findings on Ct of the Chest—A Review of Normal Anatomy and Possible Findings. Pol. J. Radiol. 2016, 81, 415–421. [Google Scholar] [CrossRef] [PubMed]
- Monzawa, S.; Washio, T.; Yasuoka, R.; Mitsuo, M.; Kadotani, Y.; Hanioka, K. Incidental Detection of Clinically Unexpected Breast Lesions by Computed Tomography. Acta Radiol. 2013, 54, 374–379. [Google Scholar] [CrossRef] [PubMed]
- Lin, W.C.; Hsu, H.H.; Li, C.S.; Yu, J.C.; Hsu, G.C.; Yu, C.P.; Chang, T.H.; Huang, G.S. Incidentally Detected Enhancing Breast Lesions on Chest Computed Tomography. Korean J. Radiol. 2011, 12, 44–51. [Google Scholar] [CrossRef] [PubMed]
- Shojaku, H.; Seto, H.; Iwai, H.; Kitazawa, S.; Fukushima, W.; Saito, K. Detection of Incidental Breast Tumors by Noncontrast Spiral Computed Tomography of the Chest. Radiat. Med. 2008, 26, 362–367. [Google Scholar] [CrossRef] [PubMed]
- Jacobs, P.C.; Mali, W.P.; Grobbee, D.E.; van der Graaf, Y. Prevalence of Incidental Findings in Computed Tomographic Screening of the Chest: A Systematic Review. J. Comput. Assist. Tomogr. 2008, 32, 214–221. [Google Scholar] [CrossRef] [PubMed]
- Hussain, A.; Gordon-Dixon, A.; Almusawy, H.; Sinha, P.; Desai, A. The Incidence and Outcome of Incidental Breast Lesions Detected by Computed Tomography. Ann. R. Coll. Surg. Engl. 2010, 92, 124–126. [Google Scholar] [CrossRef] [PubMed]
- Salvatore, M.; Margolies, L.; Kale, M.; Wisnivesky, J.; Kotkin, S.; Henschke, C.I.; Yankelevitz, D.F. Breast Density: Comparison of Chest Ct with Mammography. Radiology 2014, 270, 67–73. [Google Scholar] [CrossRef] [PubMed]
- Choi, Y.J.; Kim, T.H.; Cha, Y.J.; Son, E.J.; Gweon, H.M.; Park, C.H. Incidental Breast Lesions on Chest Ct: Clinical Significance and Differential Features Requiring Referral. J. Korean Soc. Radiol. 2018, 79, 303–310. [Google Scholar] [CrossRef]
- Harish, M.G.; Konda, S.D.; MacMahon, H.; Newstead, G.M. Breast Lesions Incidentally Detected with Ct: What the General Radiologist Needs to Know. Radiographics 2007, 27 (Suppl. S1), S37–S51. [Google Scholar] [CrossRef] [PubMed]
- Inoue, M.; Sano, T.; Watai, R.; Ashikaga, R.; Ueda, K.; Watatani, M.; Nishimura, Y. Dynamic Multidetector Ct of Breast Tumors: Diagnostic Features and Comparison with Conventional Techniques. AJR Am. J. Roentgenol. 2003, 181, 679–686. [Google Scholar] [CrossRef] [PubMed]
- Liberman, L.; EMorris, A.; Lee, M.J.; Kaplan, J.B.; LaTrenta, L.R.; Menell, J.H.; Abramson, A.F.; Dashnaw, S.M.; Ballon, D.J.; Dershaw, D.D. Breast Lesions Detected on Mr Imaging: Features and Positive Predictive Value. AJR Am. J. Roentgenol. 2002, 179, 171–178. [Google Scholar] [CrossRef] [PubMed]
- Bach, A.G.; Abbas, J.; Jasaabuu, C.; Schramm, D.; Wienke, A.; Surov, A. Comparison between Incidental Malignant and Benign Breast Lesions Detected by Computed Tomography: A Systematic Review. J. Med. Imaging Radiat. Oncol. 2013, 57, 529–533. [Google Scholar] [CrossRef] [PubMed]




| Variable | Missed Breast Lesions (n = 54) | Detected Breast Lesions (n = 30) | p-Value |
|---|---|---|---|
| General characteristic | |||
| Sex | |||
| Female | 54 (64.3) | 30 (35.7) | |
| Mean age (years) | 58.2 ± 11.5 | 61.8 ± 11.5 | 0.17 |
| Reason for chest CT examinations | 0.36 | ||
| Malignancy | 44 (52.3) | 27 (32.1) | |
| Lung cancer | 12 (14.3) | 21 (25.0) | |
| Malignancy other than lung cancer | 32 (38.1) | 6 (7.1) | |
| Others | 10 (11.9) | 3 (3.6) | |
| Follow-up of lung nodules | 3 (3.6) | 1 (1.2) | |
| Pulmonary infection | 3 (3.6) | 0 (0) | |
| Chest pain or palpitation | 2 (2.4) | 1 (1.2) | |
| Others | 2 (2.4) | 1 (1.2) | |
| Breast cancer type | 0.06 | ||
| DCIS | 13 (15.5) | 2 (2.4) | |
| IDC | 36 (42.9) | 27 (32.1) | |
| Others | 5 (6.0) | 1 (1.2) | |
| Breast cancer stage | 0.11 | ||
| Stage 0 | 12 (14.2) | 2 (2.4) | |
| Stage 1 | 25 (29.8)) | 15 (17.9) | |
| Stage 2,3,4 | 9 (10.7) | 9 (10.7) | |
| Missing date | 8 (9.5) | 4 (4.8) | |
| Delay between chest CT scan and treatment | 0.004 | ||
| Mean ± SD (months) | 9.08 ± 6.52 | 5.90 ± 6.58 | |
| Median (months) | 6.70 | 2.30 | |
| Initial treatment | |||
| Surgery | 39 (46.4) | 26 (31.0) | |
| Chemotherapy | 7 (8.3) | 2 (2.4) | |
| Follow up loss/No treatment | 8 (9.5) | 2 (2.4) |
| Variable | Missed Breast Lesions (n = 54) | Detected Breast Lesions (n = 30) | p-Value |
|---|---|---|---|
| Number of lesions | 0.99 | ||
| One | 43 (79.6) | 22 (60.6) | |
| Two | 1 (1.9) | 1 (3.3) | |
| Three or more | 10 (18.5) | 7 (23.3) | |
| Size | 0.046 | ||
| Mean ± SD (mm) | 8.77 ± 4.01 | 10.75 ± 4.63 | |
| Median (mm) | 7.95 | 10.30 | |
| Location | 0.58 | ||
| Right breast | 24 (28.6) | 16 (19.0) | |
| Left breast | 30 (35.7) | 14 (16.7) | |
| Shape | 0.94 | ||
| Round | 20 (23.8) | 10 (11.9) | |
| Oval | 5 (6.0) | 2 (2.4) | |
| Irregular | 29 (34.5) | 18 (21.4) | |
| Margin | 0.50 | ||
| Well-circumscribed | 25 (29.8) | 17 (20.2) | |
| Not well-circumscribed | 29 (34.5) | 13 (15.4) | |
| Enhancement pattern | 0.27 | ||
| Homogeneous | 26 (31.0) | 19 (22.6) | |
| Heterogeneous | 28 (33.3) | 11 (13.1) | |
| Enhancement ratio * | 0.024 | ||
| Mean ± SD | 1.37 ± 0.48 | 1.55 ± 0.36 | |
| Median | 1.21 | 1.54 | |
| Breast density | 0.90 | ||
| BI-RADS grade 1 | 6 (7.1) | 5 (6.0) | |
| BI-RADS grade 2 | 32(38.1) | 16 (19.0) | |
| BI-RADS grade 3 | 12 (14.3) | 7 (8.3) | |
| BI-RADS grade 4 | 4 (4.8) | 2 (2.4) |
| Variable | Odds Ratio (95% CI) | p-Value |
|---|---|---|
| Size [ref: ≥9.0 mm] | 4.33 (1.40–13.35) | 0.011 |
| Location | ||
| Right [ref: left] | 0.74 (0.27–2.05) | 0.56 |
| Shape | ||
| Oval [ref: Irregular] | 5.07 (0.49–52.93) | 0.18 |
| Round [ref: Irregular] | 2.49 (0.67–9.27) | 0.18 |
| Margin | ||
| Well-circumscribed [ref: Not well-circumscribed] | 1.03 (0.29–3.64) | 0.96 |
| Enhance pattern | ||
| Homogeneous [ref: Heterogeneous] | 0.4 (0.1–1.61) | 0.20 |
| Enhancement ratio * [ref: ≥1.4] | 4.58 (1.46–14.4) | 0.009 |
| Breast density | ||
| BI-RADS grade 2 [ref: Grade 1] | 1.64 (0.36–7.59) | 0.53 |
| BI-RADS grade 3 [ref: Grade 1] | 3.09 (0.49–19.42) | 0.23 |
| BI-RADS grade 4 [ref: Grade 1] | 1.13 (0.11–11.74) | 0.92 |
Disclaimer/Publisher’s Note: The statements, opinions and data contained in all publications are solely those of the individual author(s) and contributor(s) and not of MDPI and/or the editor(s). MDPI and/or the editor(s) disclaim responsibility for any injury to people or property resulting from any ideas, methods, instructions or products referred to in the content. |
© 2023 by the authors. Licensee MDPI, Basel, Switzerland. This article is an open access article distributed under the terms and conditions of the Creative Commons Attribution (CC BY) license (https://creativecommons.org/licenses/by/4.0/).
Share and Cite
Park, J.; Kim, C.; Cha, Y.K.; Chung, M.J. Missed and Detected Incidental Breast Cancers on Contrast Enhanced Chest CT: Detection Rates and CT Features. Diagnostics 2023, 13, 1522. https://doi.org/10.3390/diagnostics13091522
Park J, Kim C, Cha YK, Chung MJ. Missed and Detected Incidental Breast Cancers on Contrast Enhanced Chest CT: Detection Rates and CT Features. Diagnostics. 2023; 13(9):1522. https://doi.org/10.3390/diagnostics13091522
Chicago/Turabian StylePark, Jiyeon, Chohee Kim, Yoon Ki Cha, and Myung Jin Chung. 2023. "Missed and Detected Incidental Breast Cancers on Contrast Enhanced Chest CT: Detection Rates and CT Features" Diagnostics 13, no. 9: 1522. https://doi.org/10.3390/diagnostics13091522
APA StylePark, J., Kim, C., Cha, Y. K., & Chung, M. J. (2023). Missed and Detected Incidental Breast Cancers on Contrast Enhanced Chest CT: Detection Rates and CT Features. Diagnostics, 13(9), 1522. https://doi.org/10.3390/diagnostics13091522

