Vertebra Plana: A Narrative Clinical and Imaging Overview among Possible Differential Diagnoses
Abstract
1. Introduction
2. Focus on the Literature and Search Strategy
3. Differential Diagnosis within Oncologic Diseases
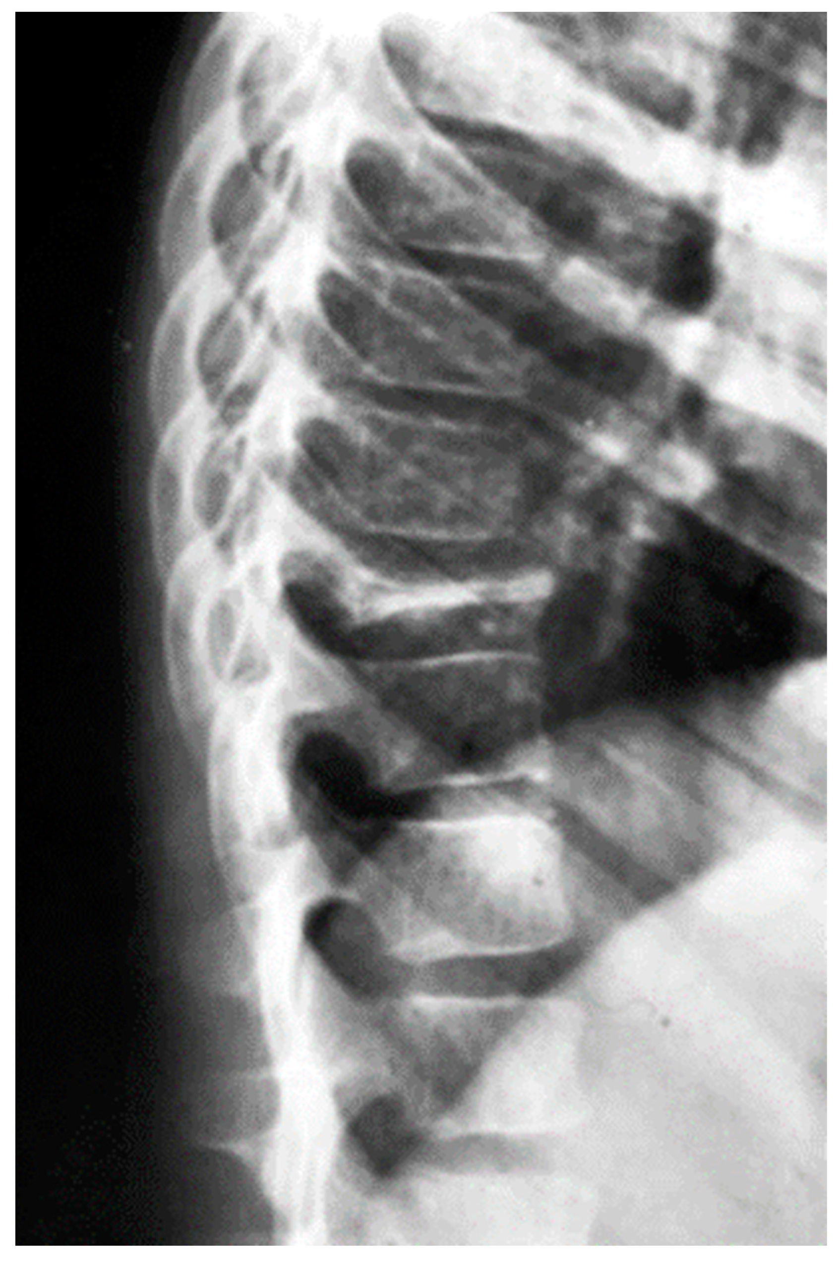
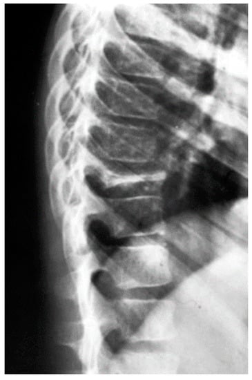
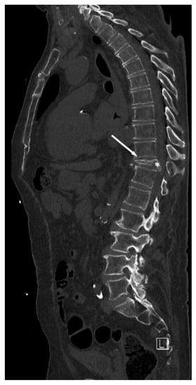
Langerhans Cell Histiocytosis
4. Ewing’s Sarcoma
5. Hematologic Neoplasms
6. Bone Metastases
7. Osteoblastoma
8. Giant Cell Tumor of Bone
9. Myofibromatosis
10. Rare Entities: Aneurysmal Bone Cyst, Hemangioma, Primary Germ Cell Tumor
11. Differential Diagnosis within Non-Oncologic Diseases
Infections
12. Chronic Recurrent Multifocal Osteomyelitis
13. Osteogenesis Imperfecta
14. Fractures
15. Principles of Treatment
16. Conclusions
17. Essentials
- A clear, widely accepted radiographic definition of vertebra plana is mandatory;
- Vertebra plana should be defined as a severe (reduction > 70% of anterior vertebra height compared to adjacent cephalic level vertebra) compression-induced vertebral collapse, with somatic flattening and local kyphosis angle > 15°;
- Vertebra plana is not a pathognomonic feature of eosinophilic granuloma (Langerhans cell histiocytosis), but other conditions should be considered;
- Differential diagnosis in the setting of a vertebra plana includes tumors and non-oncologic disease, justifying a systematic approach in these patients.
Author Contributions
Funding
Institutional Review Board Statement
Informed Consent Statement
Data Availability Statement
Conflicts of Interest
References
- Calve, J.A. Localized affection of the spine suggesting osteochondritis of the vertebral body, with the clinical aspects of Pott’s disease. J. Bone Joint. Surg. Am. 1925, 7, 41–49. [Google Scholar]
- Buchman, J. Osteochondritis of the vertebral body. J. Bone Joint. Surg. (Am.) 1927, 9, 55–66. [Google Scholar]
- Lee, J.H.; Lee, D.-O.; Lee, J.-H.; Lee, H.-S. Comparison of radiological and clinical results of balloon kyphoplasty according to anterior height loss in the osteoporotic vertebral fracture. Spine J. 2014, 14, 2281–2289. [Google Scholar] [CrossRef]
- Wu, M.-H.; Huang, T.-J.; Cheng, C.-C.; Li, Y.-Y.; Hsu, R.W.-W. Role of the supine lateral radiograph of the spine in vertebroplasty for osteoporotic vertebral compression fracture: A prospective study. BMC Musculoskelet. Disord. 2010, 11, 164. [Google Scholar] [CrossRef]
- Lim, J.; Choi, S.-W.; Youm, J.-Y.; Kwon, H.-J.; Kim, S.-H.; Koh, H.-S. Posttraumatic Delayed Vertebral Collapse: Kummell’s Disease. J. Korean Neurosurg. Soc. 2018, 61, 1–9. [Google Scholar] [CrossRef]
- Garg, S.; Mehta, S.; Dormans, J.P. Langerhans Cell Histiocytosis of the Spine in Children. J. Bone Jt. Surg. 2004, 86, 1740–1750. [Google Scholar] [CrossRef] [PubMed]
- Haupt, R.; Minkov, M.; Astigarraga, I.; Schäfer, E.; Nanduri, V.; Jubran, R.; Egeler, R.M.; Janka, G.; Micic, D.; Rodriguez-Galindo, C.; et al. Langerhans cell histiocytosis (LCH): Guidelines for diagnosis, clinical work-up, and treatment for patients till the age of 18 years. Pediatr. Blood Cancer 2012, 60, 175–184. [Google Scholar] [CrossRef]
- Yeom, J.S.; Lee, C.K.; Shin, H.Y.; Lee, C.S.; Han, C.S.; Chang, H. Langerhans’ cell histiocytosis of the spine. Analysis of twenty-three cases. Spine 1999, 24, 1740–1749. [Google Scholar] [CrossRef]
- Huang, W.; Yang, X.; Cao, N.; Xiao, J.; Yang, M.; Feng, D.; Huang, Q.; Wu, Z.; Zheng, W.; Jia, L.; et al. Eosinophilic granuloma of spine in adults: A report of 30 cases and outcome. Acta Neurochir. 2010, 152, 1129–1137. [Google Scholar] [CrossRef]
- Angelini, A.; Mavrogenis, A.F.; Rimondi, E.; Rossi, G.; Ruggieri, P. Current concepts for the diagnosis and management of eosinophilic granuloma of bone. J. Orthop. Traumatol. 2016, 18, 83–90. [Google Scholar] [CrossRef]
- Lehman, R.A., Jr.; Kang, D.G.; Wagner, S.C. Management of osteoporosis in spine surgery. J. Am. Acad. Orthop. Surg. 2015, 23, 253–263. [Google Scholar] [CrossRef] [PubMed]
- Pedicelli, A.; Lozupone, E.; Gatto, A.; Gulino, P.; D’Argento, F.; Capozzi, A.; Colosimo, C. Vertebra plana: Reappraisal of a contraindication to percutaneous vertebroplasty. Eur. J. Radiol. 2013, 82, 2303–2308. [Google Scholar] [CrossRef] [PubMed]
- Radvany, M.G.; Murphy, K.J.; Millward, S.F.; Barr, J.D.; Clark, T.W.; Halin, N.J.; Kinney, T.B.; Kundu, S.; Sacks, D.; Wallace, M.J.; et al. Research Reporting Standards for Percutaneous Vertebral Augmentation. J. Vasc. Interv. Radiol. 2009, 20, 1279–1286. [Google Scholar] [CrossRef]
- Poulsen, J.O.; Jensen, J.T.; Thommesen, P. Ewing’s Sarcoma Simulating Vertebra Plana. Acta Orthop. 1975, 46, 211–215. [Google Scholar] [CrossRef] [PubMed]
- Papagelopoulos, P.J.; Currier, B.L.; Galanis, E.; Grubb, M.J.; Pritchard, D.J.; Ebersold, M.J. Vertebra Plana Caused by Primary Ewing Sarcoma: Case Report and Review of the Literature. J. Spinal Disord. Tech. 2002, 15, 252–257. [Google Scholar] [CrossRef] [PubMed]
- Baky, F.; Milbrandt, T.A.; Arndt, C.; Houdek, M.T.; Larson, A.N. Vertebra Plana in Children May Result from Etiologies Other Than Eosinophilic Granuloma. Clin. Orthop. Relat. Res. 2020, 478. [Google Scholar] [CrossRef]
- Page, M.J.; McKenzie, J.E.; Bossuyt, P.M.; Boutron, I.; Hoffmann, T.C.; Mulrow, C.D.; Shamseer, L.; Tetzlaff, J.M.; Akl, E.A.; Brennan, S.E.; et al. The PRISMA 2020 Statement: An Updated Guideline for Reporting Systematic Reviews. BMJ 2021, 372, n71. [Google Scholar] [CrossRef]
- Cheyne, C. Histiocytosis X. J. Bone Joint. Surg. 1971, 53-B, 366–382. [Google Scholar]
- Adler, C.P. Knochenkrankheiten; Springer: Berlin/Heidelberg, Germany, 1983; pp. 153–157. [Google Scholar]
- Emile, J.; Abla, O.; Fraitag, S.; Horne, A.; Haroche, J.; Donadieu, J.; Requena-Caballero, L.; Jordan, M.B.; Abdel-Wahab, O.; Allen, C.E.; et al. Histiocyte Society. Revised classification of histocytoses and neoplasms of the mac-rophage-dendritic cell lineages. Blood 2016, 127, 2672–2681. [Google Scholar] [CrossRef]
- Abla, O.; Egeler, R.M.; Weitzman, S. Langerhans cell histiocytosis: Current concepts and treatments. Cancer Treat. Rev. 2010, 36, 354–359. [Google Scholar] [CrossRef]
- Bertram, C.; Madert, J.; Eggers, C. Eosinophilic Granuloma of the Cervical Spine. Spine 2002, 27, 1408–1413. [Google Scholar] [CrossRef]
- Brown, C.W.; Jarvis, J.G.; Letts, M.; Carpenter, B. Treatment and outcome of vertebral Langerhans cell histiocytosis at the Chil-dren’s Hospital of Eastern Ontario. Can. J. Surg. 2005, 48, 230–236. [Google Scholar] [PubMed]
- Howarth, D.M.; Gilchrist, G.S.; Mullan, B.P.; Wiseman, G.A.; Edmonson, J.H.; Schomberg, P.J. Langerhans cell histiocytosis: Diagnosis, natural history, management, and outcome. Cancer 1999, 85, 2278–2290. [Google Scholar] [CrossRef]
- Fowles, J.V.; Bobechko, W.P. Solitary eosinophilic granuloma in bone. J. Bone Jt. Surg. 1970, 52, 238–243. [Google Scholar] [CrossRef]
- Schajowicz, F.; Slullitel, J. Eosinophilic granuloma of bone and its relationship to Hand-Schüller-Christian and Letterer-Siwe syndromes. J. Bone Jt. Surg. 1973, 55, 545–565. [Google Scholar] [CrossRef]
- Nesbit, M.E.; Kieffer, S.; D’Angio, G.J. Reconstitution of vertebral height in histiocytosis X: A long-term follow-up. J. Bone Joint. Surg. 1969, 51, 1360–1368. [Google Scholar] [CrossRef]
- Slater, J.M.; Swarm, O.J. Eosinophilic granuloma of bone. Med. Pediatr. Oncol. 1980, 8, 151–164. [Google Scholar] [CrossRef]
- Abdelaal, A.H.K.; Sedky, M.; Gohar, S.; Zaki, I.; Salama, A.; Hassanain, O.; El Ghoneimy, A.M. Skeletal involvement in children with Langerhans cell histiocytosis: Healing, complications, and functional outcome. Sicot-J 2020, 6, 28. [Google Scholar] [CrossRef]
- Prasad, G.L.; Divya, S. Eosinophilic Granuloma of the Cervical Spine in Adults: A Review. World Neurosurg. 2019, 125, 301–311. [Google Scholar] [CrossRef]
- Hanapiah, F.; Yaacob, H.; A Ghani, K.S.; Hussin, A.S. Histiocytosis X: Evidence for a Genetic Etiology. J. Nihon Univ. Sch. Dent. 1993, 35, 171–174. [Google Scholar] [CrossRef]
- Rimondi, E.; Mavrogenis, A.F.; Rossi, G.; Ussia, G.; Angelini, A.; Ruggieri, P. CT-guided corticosteroid injection for solitary eosino-philic granuloma of the spine. Skeletal. Radiol. 2011, 40, 757–764. [Google Scholar] [CrossRef]
- Lichtenstein, L.; Jaffe, H.L. Histiocytosis X eosinophilic granuloma, Letterer-Siwe-disease and Schuller-Christian disease. J. Bone Joint. Surg. 1964, 46A, 76–90. [Google Scholar] [CrossRef]
- Shimakage, M.; Sasagawa, T.; Kimura, M.; Shimakage, T.; Seto, S.; Kodama, K.; Sakamoto, H. Expression of Epstein-Barr virus in Langerhans’ cell histiocytosis. Hum. Pathol. 2004, 35, 862–868. [Google Scholar] [CrossRef] [PubMed]
- Basset, F.; Escaig, J.; Le Crom, M. A cytoplasmic membranous complex in histiocytosis X. Cancer 1972, 29, 1380–1386. [Google Scholar] [CrossRef] [PubMed]
- Seimon, L.P. Eosinophil Granuloma of the Spine. J. Pediatr. Orthop. 1981, 1, 371–376. [Google Scholar] [CrossRef]
- Greenlee, J.D.; Fenoy, A.J.; Donovan, K.A.; Menezes, A.H. Eosinophilic Granuloma in the Pediatric Spine. Pediatr. Neurosurg. 2007, 43, 285–292. [Google Scholar] [CrossRef]
- Osenbach, R.K.; A Youngblood, L.; Menezes, A. Atlanto-axial instability secondary to solitary eosinophilic granuloma of C2 in a 12-year-old girl. J. Spinal Disord. 1990, 3, 408–412. [Google Scholar]
- Rimondi, E.; Rossi, G.; Bartalena, T.; Ciminari, R.; Alberghini, M.; Ruggieri, P.; Errani, C.; Angelini, A.; Calabrò, T.; Abati, C.N.; et al. Percutaneous CT-guided biopsy of the musculoskeletal system: Results of 2027 cases. Eur. J. Radiol. 2011, 77, 34–42. [Google Scholar] [CrossRef]
- Capanna, R.; Springfield, D.S.; Ruggieri, P.; Biagini, R.; Picci, P.; Bacci, G.; Giunti, A.; Lorenzi, E.G.; Campanacci, M. Direct cortisone injection in eosinophilic granuloma of bone: A preliminary re-port on 11 patients. J. Pediatr. Orthop. 1985, 5, 339–342. [Google Scholar] [CrossRef]
- Egeler, R.M.; Thompson, R.C.; Voute, P.A.; Nesbit, M.E. Intralesional Infiltration of corticosteroids in localized Langerhans’ cell his-tiocytosis. J. Pediatr. Orthop. 1992, 12, 811–814. [Google Scholar] [CrossRef]
- Yasko, A.W.; Fanning, C.V.; Ayala, A.G.; Carrasco, C.H.; Murray, J.A. Percutaneous techniques for the diagnosis and treatment of localized Langer-hans’-cell histiocytosis (eosinophilic granuloma of bone). J. Bone Joint. Surg. Am. 1998, 80, 219–228. [Google Scholar] [CrossRef]
- Elsheikh, T.; Silverman, J.F.; Wakely, P.E., Jr.; Holbrook, C.T.; Joshi, V.V. Fine-needle aspiration cytology of Langerhans’ cell histiocytosis (eosinophilic granuloma) of bone in children. Diagn Cytopathol. 1991, 7, 261–266. [Google Scholar] [CrossRef] [PubMed]
- Mavrogenis, A.F.; Angelini, A.; Vottis, C.; Palmerini, E.; Rimondi, E.; Rossi, G.; Papagelopoulos, P.J.; Ruggieri, P. State-of-the-art approach for bone sarcomas. Eur. J. Orthop. Surg. Traumatol. 2014, 25, 5–15. [Google Scholar] [CrossRef]
- Pilepich, M.V.; Vietti, T.J.; Nesbit, M.E.; Tefft, M.; Kissane, J.; Burgert, O.; Pritchard, D.; Gehan, E.A. Ewing’s sarcoma of the vertebral column. Int. J. Radiat. Oncol. Biol. Phys. 1981, 7, 27–31. [Google Scholar] [CrossRef] [PubMed]
- Reinus, W.R.; Gilula, L.A. Radiology of Ewing’s sarcoma: Ewing’s Sarcoma: Intergroup Ewing’s Sarcoma Study (IESS). Radi-ographics 1984, 4, 929–944. [Google Scholar]
- Emir, S.; Akyüz, C.; Yazici, M.; Büyükpamukçu, M. Vertebra plana as a manifestation of Ewing sarcoma in a child. Med. Pediatr. Oncol. 1999, 33, 594–595. [Google Scholar] [CrossRef]
- Ennis, J.; Whitehouse, G.; Ross, F.; Middlemiss, J. The radiology of the bone changes in histiocytosis X. Clin. Radiol. 1973, 24, 212–220. [Google Scholar] [CrossRef] [PubMed]
- Kager, L.; Zoubek, A.; Kotz, R.; Amann, G.; Wiesbauer, P.; Dobrowsky, W.; Gadner, H. Vertebra plana due to a Ewing tumor. Med. Pediatr Oncol. 1999, 32, 57–59. [Google Scholar] [CrossRef]
- O’Donnell, J.; Brown, L.; Herkowitz, H. Vertebra plana-like lesions in children: Case report with special emphasis on the differ-ential diagnosis and indications for biopsy. J. Spinal. Disord. 1991, 4, 480–485. [Google Scholar] [CrossRef]
- Patnaik, S.; Yarlagadda, J.; Susarla, R. Imaging features of Ewing’s sarcoma: Special reference to uncommon features and rare sites of presentation. J. Cancer Res. Ther. 2018, 14, 1014–1022. [Google Scholar] [CrossRef]
- Buhr, J. Differential diagnosis of vertebra plana: Isolated flat vertebra as an early symptom of acute leukemia. Kinderarztliche Prax. 1970, 38, 259–266. [Google Scholar]
- Kosenow, W.; Niederle, J. Roentgenologic spinal changes in malignant tumors in childhood. Monatsschrift fur Kinderheilkd. 1972, 120, 1–8. [Google Scholar]
- Solgaard, S.; Kristiansen, B. Vertebra Plana Due to a Malignant Lymphoma. Acta Orthop. 1980, 51, 267–269. [Google Scholar] [CrossRef] [PubMed]
- Zahid, M.; Ahamed, S.; Jain, J.K.; Chabra, R. Vertebra Plana with Paraplegia in a Middle-Aged Woman Caused by B-Cell Lymphoma: A Case Report. Case Rep. Orthop. 2012, 2012, 1–3. [Google Scholar] [CrossRef]
- Greenleaf, R.M.; Ricciardella, L.F.; Latona, C.R.; Sangimino, M.J. Vertebra Plana in an Adolescent Caused by Multiple Myeloma. J. Bone Jt. Surg. 2011, 93, e37. [Google Scholar] [CrossRef] [PubMed]
- Masala, S.; Fiori, R.; Massari, F.; Simonetti, G. Kyphoplasty: Indications, contraindications and technique. La Radiol. medica 2005, 110, 97–105. [Google Scholar]
- Pflugmacher, R.; Schleicher, P.; Schröder, R.J.; Melcher, I.; Klostermann, C.K. Maintained pain reduction in five patients with multiple myeloma. Acta Radiol. 2006, 47, 823–829. [Google Scholar] [CrossRef]
- Pflugmacher, R.; Schulz, A.; Schroeder, R.J.; Schaser, K.D.; Klostermann, C.K.; Melcher, I. A prospective two-year follow-up of thoracic and lumbar osteolytic vertebral fractures caused by multiple myeloma treated with balloon kyphoplasty. Z Orthop. Ihre. Grenzgeb. 2007, 145, 39–47. [Google Scholar] [CrossRef]
- Kasperk, C.; Grafe, I. Osteoplastic Procedures for the Treatment of Vertebral Complications in Multiple Myeloma Patients. Mult. Myeloma 2011, 183, 293–306. [Google Scholar] [CrossRef]
- Mavrogenis, A.F.; Angelini, A.; Pala, E.; Zinzani, P.; Ruggieri, P. The role of surgery for haematologic neoplasms of bone. Acta Orthop. Belg. 2012, 78, 382–392. [Google Scholar]
- Hentschel, S.J.; Rhines, L.D.; Shah, H.N.; Burton, A.W.; Mendel, E. Percutaneous vertebroplasty in vertebra plana secondary to me-tastasis. J. Spinal. Disord. Tech. 2004, 17, 554–557. [Google Scholar] [CrossRef]
- Shimony, J.S.; Gilula, L.A.; Zeller, A.J.; Brown, D.B. Percutaneous Vertebroplasty for Malignant Compression Fractures with Epidural Involvement. Radiology 2004, 232, 846–853. [Google Scholar] [CrossRef] [PubMed]
- Ruggieri, P.; Huch, K.; Mavrogenis, A.F.; Merlino, B.; Angelini, A. Osteoblastoma of the Sacrum: Report of 18 cases and analysis of the literature. Spine (Phila Pa 1976). Spine 2014, 39, E97–E103. [Google Scholar] [CrossRef] [PubMed]
- Liu, J.; Han, S.; Li, J.; Yuan, Y.; Guo, W.; Yuan, H. Spinal osteoblastoma: A retrospective study of 35 patients’ imaging findings with an emphasis on MRI. Insights into Imaging 2020, 11, 1–9. [Google Scholar] [CrossRef] [PubMed]
- Maharajan, K.; Hallinan, J.T.P.D.; Sitoula, P.; Pang, Y.H.; Zaw, A.S.; Kumar, N. Unusual presentation of osteoblastoma as vertebra plana—A case report and review of literature. Spine J. 2016, 17, e1–e5. [Google Scholar] [CrossRef]
- Kafchitsas, K.; Habermann, B.; Proschek, D.; Kurth, A.; Eberhardt, C. Functional results after giant cell tumor operation near knee joint and the cement radiolucent zone as indicator of recurrence. Anticancer. Res. 2010, 30, 3795–3799. [Google Scholar]
- Shankman, S.; Greenspan, A.; Klein, M.J.; Lewis, M.M. Giant cell tumor of the ischium. A report of two cases and review of the literature. Skeletal. Radiol. 1988, 17, 46–51. [Google Scholar] [CrossRef]
- van Langevelde, K.; Van Vucht, N.; Tsukamoto, S.; Mavrogenis, A.F.; Errani, C. Radiological Assessment of Giant Cell Tumour of Bone in the Sacrum: From Diagnosis to Treatment Response Evaluation. Curr. Med. Imaging Former. Curr. Med. Imaging Rev. 2022, 18, 162–169. [Google Scholar] [CrossRef]
- Ruggieri, P.; Mavrogenis, A.F.; Ussia, G.; Angelini, A.; Papagelopoulos, P.J.; Mercuri, M. Recurrence After and Complications Associated with Adjuvant Treatments for Sacral Giant Cell Tumor. Clin. Orthop. Relat. Res. 2010, 468, 2954–2961. [Google Scholar] [CrossRef]
- Müther, M.; Schwake, M.; Molina, E.S.; Schroeteler, J.; Stummer, W.; Klingenhöfer, M.; Ewelt, C. Multiprofessional Management of Giant Cell Tumors in the Cervical Spine: A Systematic Review. World Neurosurg. 2021, 151, 53–60. [Google Scholar] [CrossRef]
- Bidwell, J.K.; Young, J.W.; Khalluff, E. Giant cell tumor of the spine: Computed tomography appearance and review of the literature. J. Comput. Tomogr. 1987, 11, 307–311. [Google Scholar] [CrossRef]
- Saied, S.; Afsoun, S.; Amir, N.; Hamed, J. En-bloc resection of a giant cell tumor causing cervical vertebral collapse. Asian J. Neurosurg. 2018, 13, 150–153. [Google Scholar] [CrossRef]
- Hausbrandt, P.A.; Leithner, A.; Beham, A.; Bodo, K.; Raith, J.; Windhager, R. A rare case of infantile myofibromatosis and review of literature. J. Pediatr. Orthop. B 2010, 19, 122–126. [Google Scholar] [CrossRef] [PubMed]
- Larralde, M.; Hoffner, M.V.; Boggio, P.; Abad, M.E.; Luna, P.C.; Correa, N. Infantile myofibromatosis: Report of nine patients. Pediatr. Dermatol. 2010, 27, 29–33. [Google Scholar] [CrossRef]
- Dautenhahn, L.; Blaser, S.I.; Weitzman, S.; Crysdale, W.S. Infantile myofi- bromatosis: A cause of vertebra plana. AJNR Am. J. Neuroradiol. 1995, 16, 828–830. [Google Scholar]
- Holzer-Fruehwald, L.; Blaser, S.; Rossi, A.; Fruehwald-Pallamar, J.; Thurnher, M.M. Imaging findings in seven cases of congenital infantile myofibromatosis with cerebral, spinal, or head and neck involvement. Neuroradiology 2012, 54, 1389–1398. [Google Scholar] [CrossRef]
- Buonuomo, P.S.; Ruggiero, A.; Zampino, G.; Maurizi, P.; Attina, G.; Riccardi, R. A newborn with multiple fractures as first presentation of infantile myofibromatosis. J. Perinatol. 2006, 26, 653–655. [Google Scholar] [CrossRef]
- Wong, M.S.C.; Kwan, E.Y.W. Congenital infantile myofibromatosis: A case report and review of literature. HK J. Pediatr. 2004, 9, 162–166. [Google Scholar]
- Codd, P.J.; Risenburger, R.I.; Klimo, P., Jr.; Slotkin, J.R.; Smith, E.R. Vertebra plana due to an aneurysmal bone cyst of the lumbar spine. J. Neurosurg. 2006, 105, 490–495. [Google Scholar] [CrossRef] [PubMed]
- Schachar, N.S.; Edwards, G.E. Vertebra plana (Calve’s disease) due to aneurysmal bone cyst. J. Bone Joint. Surg. Br. 1974, 56, 586. [Google Scholar]
- Papagelopoulos, P.J.; Currier, B.L.; Galanis, E.C.; Sim, F.H. Vertebra plana of the lumbar spine caused by an aneurysmal bone cyst: A case report. Am. J. Orthop. 1999, 28, 119–124. [Google Scholar]
- Seilanian Toosi, F.; Aminzadeh, B.; Faraji Rad, M.; Nekooei, S.; Nahidi, M.; Keykhosravi, E. Pineal and Suprasellar Germinoma Cooccurence with Vertebra Plana: A Case Report. Brain Tumor Res Treat. 2018, 6, 73–77. [Google Scholar] [CrossRef] [PubMed]
- Tay, S.T.; Wong, P.L.; Chiu, C.K.; Tang, S.N.; Lee, J.L.; Hamdan, N.W.; Lee, C.K.; Karunakaran, R. Nocardia kroppenstedtii: A rare path-ogen isolated from the spinal vertebral abscess of a patient on long-term immunosuppressive therapy. Eur. Rev. Med. Pharmacol. Sci. 2021, 25, 605–608. [Google Scholar] [CrossRef] [PubMed]
- Johnson, P.; Ammar, H. Nocardia brasiliensis vertebral osteomyelitis and epidural abscess. BMJ Case Rep. 2013, 2013. [Google Scholar] [CrossRef]
- Nykamp, P.W. Vertebra plana: Two cases due to disseminated coccidioidomycosis. Ariz. Med. 1971, 28, 165–167. [Google Scholar] [PubMed]
- McGahan, J.P.; Graves, D.S.; E Palmer, P. Coccidioidal spondylitis: Usual and unusual radiographic manifestations. Radiology 1980, 136, 5–9. [Google Scholar] [CrossRef] [PubMed]
- Rahman, N.U. Atypical forms of spinal tuberculosis. J. Bone Jt. Surg. 1980, 62-B, 162–165. [Google Scholar] [CrossRef] [PubMed]
- A Obisesan, A.; Lagundoye, S.B.; A Lawson, E. Radiological features of tuberculosis of the spine in Ibadan, Nigeria. Afr. J. Med. Med Sci. 1977, 6, 55–67. [Google Scholar]
- Ramírez-Lapausa, M.; Pareja, J.F.P.; Gómez, R.C.; Martínez-Prieto, M.; Pérez, P.G.-R.; Asensio, A.N. Retrospective study of tolerability and efficacy of linezolid in patients with multidrug-resistant tuberculosis (1998–2014). Enferm. Infecc. Y Microbiol. Clin. 2016, 34, 85–90. [Google Scholar] [CrossRef]
- Sureka, J.; Samuel, S.; Keshava, S.; Venkatesh, K.; Sundararaj, G. MRI in patients with tuberculous spondylitis presenting as vertebra plana: A retrospective analysis and review of literature. Clin. Radiol. 2013, 68, e36–e42. [Google Scholar] [CrossRef]
- Kaila, R.; Malhi, A.M.; Mahmood, B.; Saifuddin, A. The Incidence of Multiple Level Noncontiguous Vertebral Tuberculosis Detected Using Whole Spine MRI. J. Spinal Disord. Tech. 2007, 20, 78–81. [Google Scholar] [CrossRef]
- Haghighatkhah, H.; Jafroodi, Y.; Taheri, M.S.; Pourghorban, R.; Dehkordy, A.S. Multifocal Skeletal Tuberculosis Mimicking Langerhans Cell Histiocytosis in a Child: A Case Report with a Long-Term Follow-Up. Iran. Red. Crescent. Med. J. 2015, 17, e19942. [Google Scholar] [CrossRef] [PubMed]
- Kaeser, M.A.; Kettner, N.W.; Albastaki, U.; Kotb, H.A.; Eldesouky, I.M.; Pierre-Jerome, C. Tuberculous Spondylitis Presenting as Severe Chest Pain. Clin. Pr. 2012, 2, 42. [Google Scholar] [CrossRef]
- Falip, C.; Alison, M.; Boutry, N.; Job-Deslandre, C.; Cotten, A.; Azoulay, R.; Adamsbaum, C. Chronic recurrent multifocal osteo- my-elitis (CRMO): A longitudinal case series review. Pediatr Radiol. 2013, 43, 355–375. [Google Scholar] [CrossRef] [PubMed]
- Anderson SEHeini, P.; Sauvain, M.J.; Stauffer, E.; Geiger, L.; Johnston, J.O.; Roggo, A.; Kalbermatten, D.; Steinbach, L.S. Imaging of chronic recurrent multifocal osteomyelitis of childhood first presenting with isolated primary spinal involvement. Skeletal Radiol. 2003, 32, 328–336. [Google Scholar] [CrossRef] [PubMed]
- Kahn, M.F. Chronic recurrent multifocal osteomyelitis. Association with vertebra plana. J. Bone Joint. Surg. Am. 1990, 72, 305–306. [Google Scholar] [CrossRef] [PubMed]
- Yu, L.; Kasser, J.R.; O’Rourke, E.; Kozakewich, H. Chronic recurrent multifocal osteomyelitis. Association with vertebra plana. J. Bone Joint. Surg. Am. 1989, 71, 105–112. [Google Scholar] [CrossRef] [PubMed]
- von Kalle, T.; Heim, N.; Hospach, T.; Langendörfer, M.; Winkler, P.; Stuber, T. Typical Patterns of Bone Involvement in Whole-Body MRI of Patients with Chronic Recurrent Multifocal Osteomyelitis (CRMO). Rofo 2013, 185, 655–661. [Google Scholar] [CrossRef]
- Hofmann, S.R.; Roesen-Wolff, A.; Hahn, G.; Hedrich, C.M. Update: Cytokine Dysregulation in Chronic Nonbacterial Osteomyelitis (CNO). Int. J. Rheumatol. 2012, 2012, 1–7. [Google Scholar] [CrossRef]
- Ishikawa, S.; Kumar, S.J.; Takahashi, H.E.; Homma, M. Vertebral body shape as a predictor of spinal deformity in osteogenesis imperfecta. JBJS 1996, 78, 212–219. [Google Scholar] [CrossRef]
- Kozlowski, K. Platyspondyly in childhood. Pediatr. Radiol. 1974, 2, 81–87. [Google Scholar] [CrossRef]
- Maselli, F.; Rossettini, G.; Viceconti, A.; Testa, M. Importance of screening in physical therapy: Vertebral fracture of thoracolum-bar junction in a recreational runner. BMJ Case Rep. 2019, 12, e229987. [Google Scholar] [CrossRef]
- Chen, X.; Wang, Z.; Duan, N.; Zhu, G.; Schwarz, E.M.; Xie, C. Osteoblast–osteoclast interactions. Connect. Tissue Res. 2017, 59, 99–107. [Google Scholar] [CrossRef] [PubMed]
- Freedman, B.A.; Heller, J.G. Kummel Disease: A Not-So-Rare Complication of Osteoporotic Vertebral Compression Fractures. J. Am. Board Fam. Med. 2009, 22, 75–78. [Google Scholar] [CrossRef] [PubMed]
- Tsai, P.-Y.; Tzeng, W.-S. Vertebra Plana with Spontaneous Healing. N. Engl. J. Med. 2012, 366, e30. [Google Scholar] [CrossRef]
- Raab, P.; Hohmann, F.; Kühl, J.; Krauspe, R. Vertebral Remodeling in Eosinophilic Granuloma of the Spine. A long-term follow-up. Spine (Phila Pa 1976). Spine 1998, 23, 1351–1354. [Google Scholar] [CrossRef] [PubMed]
- Ippolito, E.; Farsetti, P.; Tudisco, C. Vertebra plana. Long-term follow-up in five patients. J. Bone Jt. Surg. 1984, 66, 1364–1368. [Google Scholar] [CrossRef]
- Bouza, C.; Lopez, T.; Magro, A.; Navalpotro, L.; Amate, J.M. Efficacy and safety of balloon kyphoplasty in the treatment of verte-bral compression fractures: A systematic review. Eur. Spine J. 2006, 15, 1050–1067. [Google Scholar] [CrossRef]
- Becker, S.; Tuschel, A.; Chavanne, A.; Meissner, J.; Ogon, M. Balloon Kyphoplasty for Vertebra Plana with or without Osteonecrosis. J. Orthop. Surg. 2008, 16, 14–19. [Google Scholar] [CrossRef]
- Gangi, A.; Sabharwal, T.; Irani, F.G.; Buy, X.; Morales, J.P.; Adam, A. Standards of Practice Committee of the Society of Interventional Radiology. Quality Assurance Guidelines for Percutaneous Vertebroplasty. Cardiovasc. Interv. Radiol. 2005, 29, 173–178. [Google Scholar] [CrossRef]
- Layton, K.; Thielen, K.; Koch, C.; Luetmer, P.; Lane, J.; Wald, J.; Kallmes, D. Vertebroplasty, First 1000 Levels of a Single Center: Evaluation of the Outcomes and Complications. Am. J. Neuroradiol. 2007, 28, 683–689. [Google Scholar]
- E Jensen, M.; Evans, A.J.; Mathis, J.M.; Kallmes, D.F.; Cloft, H.J.; E Dion, J. Percutaneous polymethylmethacrylate vertebroplasty in the treatment of osteoporotic vertebral body compression fractures: Technical aspects. Am. J. Neuroradiol. 1997, 18, 1897–1904. [Google Scholar] [PubMed]
- Igoumenou, V.G.; Mavrogenis, A.F.; Angelini, A.; Baracco, R.; Benzakour, A.; Benzakour, T.; Bork, M.; Vazifehdan, F.; Nena, U.; Ruggieri, P. Complications of spine surgery for metastasis. Eur. J. Orthop. Surg. Traumatol. 2019, 30, 37–56. [Google Scholar] [CrossRef] [PubMed]
- Vanni, D.; Pantalone, A.; Magliani, V.; Salini, V.; Berjano, P. Corpectomy and expandable cage replacement versus third generation percutaneous augmentation system in case of vertebra plana: Rationale and recommendations. J. Spine Surg. 2017, 3, 379–386. [Google Scholar] [CrossRef] [PubMed]
- Pua, U.; Lim, G.H.T. Cone-Beam CT–Guided Vertebroplasty in a Patient with Vertebra Plana. Am. J. Roentgenol. 2016, 207, 196–199. [Google Scholar] [CrossRef]
- Joyce, D.M.; Granville, M.; Jacobson, R.E. Re-expansion and Stabilization of Vertebra Plana Fractures Using Bilateral SpineJack® Implants. Cureus 2021, 13, e13839. [Google Scholar] [CrossRef]













Disclaimer/Publisher’s Note: The statements, opinions and data contained in all publications are solely those of the individual author(s) and contributor(s) and not of MDPI and/or the editor(s). MDPI and/or the editor(s) disclaim responsibility for any injury to people or property resulting from any ideas, methods, instructions or products referred to in the content. |
© 2023 by the authors. Licensee MDPI, Basel, Switzerland. This article is an open access article distributed under the terms and conditions of the Creative Commons Attribution (CC BY) license (https://creativecommons.org/licenses/by/4.0/).
Share and Cite
Angelini, A.; Mosele, N.; Gnassi, A.; Baracco, R.; Rodà, M.G.; Cerchiaro, M.; Ruggieri, P. Vertebra Plana: A Narrative Clinical and Imaging Overview among Possible Differential Diagnoses. Diagnostics 2023, 13, 1438. https://doi.org/10.3390/diagnostics13081438
Angelini A, Mosele N, Gnassi A, Baracco R, Rodà MG, Cerchiaro M, Ruggieri P. Vertebra Plana: A Narrative Clinical and Imaging Overview among Possible Differential Diagnoses. Diagnostics. 2023; 13(8):1438. https://doi.org/10.3390/diagnostics13081438
Chicago/Turabian StyleAngelini, Andrea, Nicolò Mosele, Andrea Gnassi, Riccardo Baracco, Maria Grazia Rodà, Mariachiara Cerchiaro, and Pietro Ruggieri. 2023. "Vertebra Plana: A Narrative Clinical and Imaging Overview among Possible Differential Diagnoses" Diagnostics 13, no. 8: 1438. https://doi.org/10.3390/diagnostics13081438
APA StyleAngelini, A., Mosele, N., Gnassi, A., Baracco, R., Rodà, M. G., Cerchiaro, M., & Ruggieri, P. (2023). Vertebra Plana: A Narrative Clinical and Imaging Overview among Possible Differential Diagnoses. Diagnostics, 13(8), 1438. https://doi.org/10.3390/diagnostics13081438

