Voltage-Dependent Anion Channel 1 Expression in Oral Malignant and Premalignant Lesions
Abstract
1. Introduction
2. Materials and Methods
2.1. Study Sample
2.2. Immunohistochemistry and Immunomorphometry
2.3. Statistical Analysis
3. Results
3.1. Study Groups Demography
3.2. Staging Grading and Risk Assessment
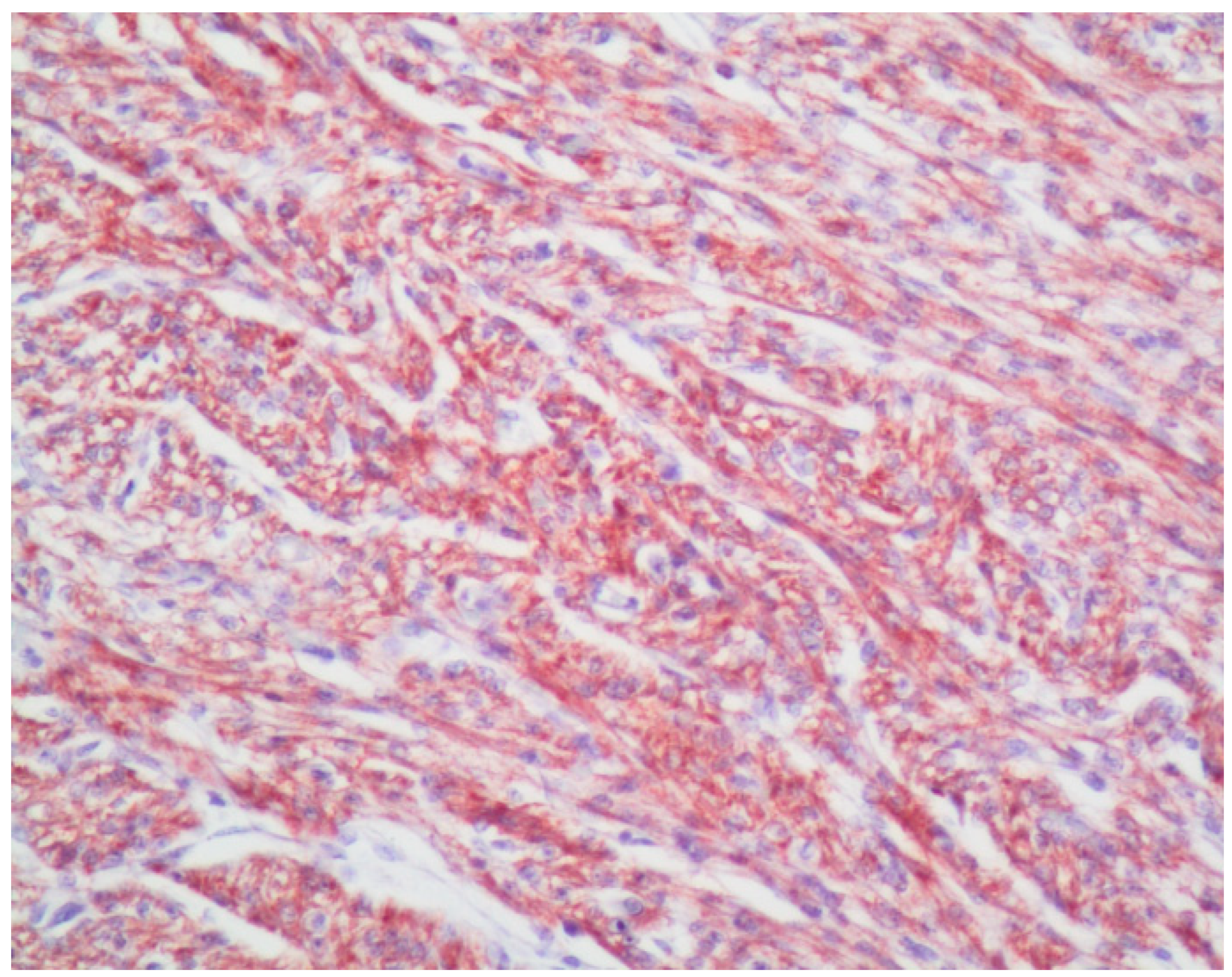
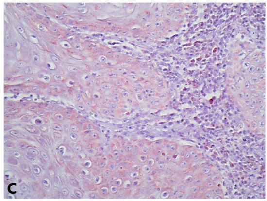
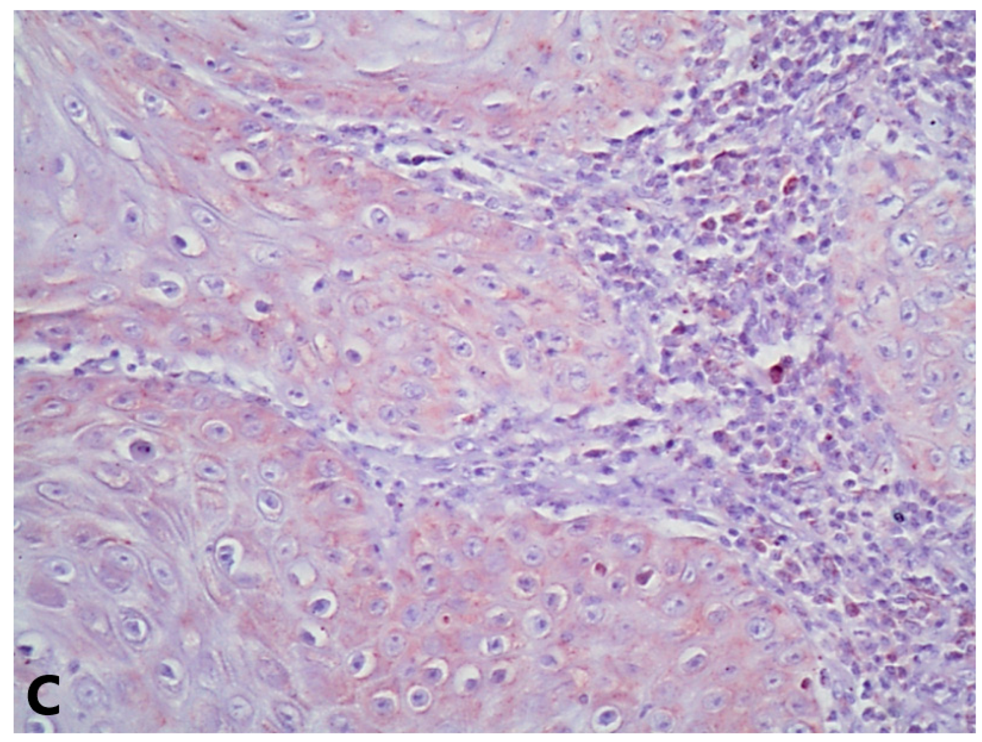
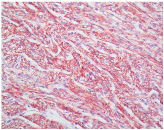
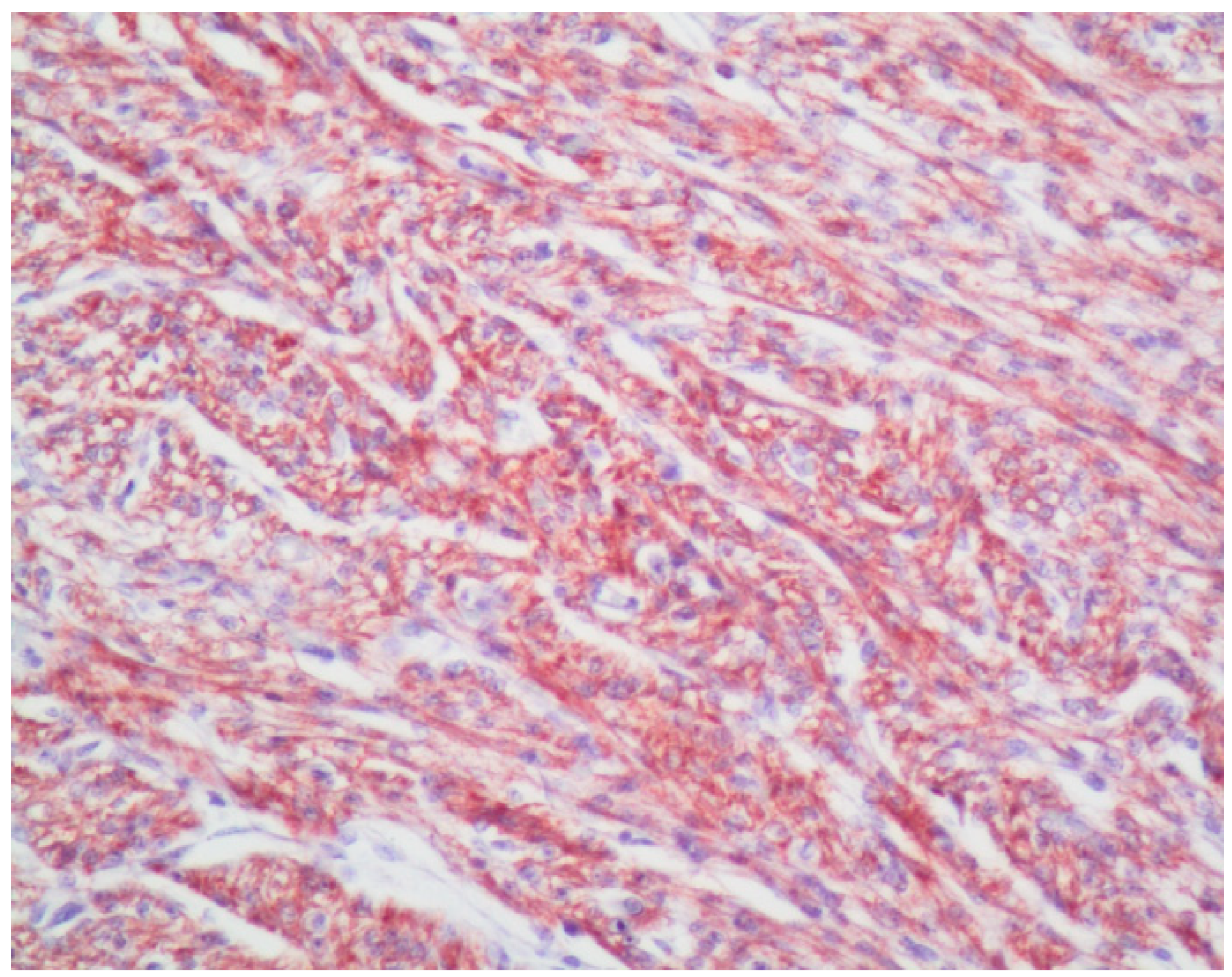
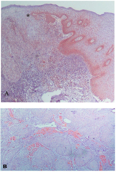
3.3. VDAC1 Expression
4. Discussion
4.1. VDAC1 Behavior in OSCC against Its Activities in Other Squamous Cell Carcinomas
4.2. VDAC1 Behavior in OED and Topic for Further Research
4.3. The Strength and Limitations of the Study
5. Conclusions
Author Contributions
Funding
Institutional Review Board Statement
Informed Consent Statement
Data Availability Statement
Acknowledgments
Conflicts of Interest
References
- Bray, F.; Ferlay, J.; Soerjomataram, I.; Siegel, R.L.; Torre, L.A.; Jemal, A. Global cancer statistics (2018): GLOBOCAN estimates of inci-dence and mortality worldwide for 36 cancers in 185 countries. CA Cancer J. Clin. 2018, 68, 394–424. [Google Scholar] [CrossRef] [PubMed]
- Lumerman, H.; Freedman, P.; Kerpel, S. Oral epithelial dysplasia and the development of invasive squamous cell carcinoma. Oral Surg. Oral Med. Oral Pathol. Oral Radiol. Endodontol. 1995, 79, 321–329. [Google Scholar] [CrossRef] [PubMed]
- Woo, S.-B. Oral Epithelial Dysplasia and Premalignancy. Head Neck Pathol. 2019, 13, 423–439. [Google Scholar] [CrossRef] [PubMed]
- Warnakulasuriya, S.; Johnson, N.W.; Van der Waal, I. Nomenclature and classification of potentially malignant disorders of the oral mucosa. J. Oral Pathol. Med. 2007, 36, 575–580. [Google Scholar] [CrossRef]
- Van der Waal, I. Potentially malignant disorders of the oral and oropharyngeal mucosa; terminology, classification and present concepts of management. Oral Oncol. 2009, 45, 317–323. [Google Scholar] [CrossRef]
- Colombini, M.; Blachly-Dyson, E.; Forte, M. VDAC, a Channel in the Outer Mitochondrial Membrane. In Ion Channels; Springer: Boston, MA, USA, 1996; Volume 4, pp. 169–202. [Google Scholar] [CrossRef]
- Shoshan Barmatz, V.; Arbel, N. VDAC, the voltage-dependent anion channel: Function, regulation & mitochondrial signaling in cell life and death. Cell Sci. 2008, 4, 74–118. [Google Scholar]
- Rostovtseva, T.; Colombini, M. VDAC channels mediate and gate the flow of ATP: Implications for the regulation of mito-chondrial function. Biophys. J. 1997, 72, 1954–1962. [Google Scholar] [CrossRef]
- Malia, T.J.; Wagner, G. NMR structural investigation of the mitochondrial outer membrane protein VDAC and its interaction with antiapoptotic Bcl-xL. Biochemistry 2007, 16, 514–525. [Google Scholar] [CrossRef]
- Keinan, N.; Tyomkin, D.; Shoshan-Barmatz, V. Oligomerization of the Mitochondrial Protein Voltage-Dependent Anion Channel Is Coupled to the Induction of Apoptosis. Mol. Cell. Biol. 2010, 30, 5698–5709. [Google Scholar] [CrossRef]
- Shimizu, S.; Narita, M.; Tsujimoto, Y. Bcl-2 family proteins regulate the release of apoptogenic cytochrome c by the mitochondrial channel VDAC. Nature 1999, 399, 483–487. [Google Scholar] [CrossRef]
- Pedersen, P.L. Warburg, me and Hexokinase 2: Multiple discoveries of key molecular events underlying one of cancers’ most common phenotypes, the “Warburg Effect”, i.e., elevated glycolysis in the presence of oxygen. J. Bioenerg. Biomembr. 2007, 39, 211–222. [Google Scholar] [CrossRef]
- Pedersen, P.L.; Mathupala, S.; Rempel, A.; Geschwind, J.; Ko, Y.H. Mitochondrial bound type II hexokinase: A key player in the growth and survival of many cancers and an ideal prospect for therapeutic intervention. Biochim. et Biophys. Acta (BBA)-Bioenerg. 2002, 1555, 14–20. [Google Scholar] [CrossRef]
- Bryson, J.M.; Coy, P.E.; Gottlob, K.; Hay, N.; Robey, R.B. Increased Hexokinase Activity, of Either Ectopic or Endogenous Origin, Protects Renal Epithelial Cells against Acute Oxidant-induced Cell Death. J. Biol. Chem. 2002, 277, 11392–11400. [Google Scholar] [CrossRef]
- Saxena, S.; Chattopadhyay, I.; Phukan, R.; Singh, A.; Vasudevan, M.; Purkayastha, J.; Hewitt, S.; Kataki, A.; Mahanta, J.; Kapur, S. Molecular profiling to identify molecular mechanism in esophageal cancer with familial clustering. Oncol. Rep. 2009, 21, 1135–1146. [Google Scholar] [CrossRef]
- Zhang, Q.; Wu, J.; Nguyen, A.; Wang, B.-D.; He, P.; Laurent, G.S.; Rennert, O.M.; Su, Y.A. Molecular mechanism underlying differential apoptosis between human melanoma cell lines UACC903 and UACC903(+6) revealed by mitochondria-focused cDNA microarrays. Apoptosis 2008, 13, 993–1004. [Google Scholar] [CrossRef]
- Poli, G.; Guasti, D.; Rapizzi, E.; Fucci, R.; Canu, L.; Bandinelli, A.; Cini, N.; Bani, D.; Mannelli, M.; Luconi, M. Morphofunctional effects of mitotane on mitochondria in human adreno-cortical cancer cells. Endocr.-Relat. Cancer 2013, 20, 537–550. [Google Scholar] [CrossRef]
- Liu, S.; Ishikawa, H.; Tsuyama, N.; Li, F.-J.; Abroun, S.; Otsuyama, K.-I.; Zheng, X.; Ma, Z.; Maki, Y.; Iqbal, M.S.; et al. Increased susceptibility to apoptosis in CD45+ myeloma cells accompanied by the increased expression of VDAC1. Oncogene 2005, 25, 419–429. [Google Scholar] [CrossRef]
- Arif, T.; Vasilkovsky, L.; Refaely, Y.; Konson, A.; Shoshan-Barmatz, V. Silencing VDAC1 Expression by siRNA Inhibits Cancer Cell Proliferation and Tumor Growth In Vivo. Mol. Ther.-Nucleic Acids 2014, 3, e159. [Google Scholar] [CrossRef]
- Grills, C.; Jithesh, P.V.; Blayney, J.; Zhang, S.-D.; Fennell, D.A. Gene Expression Meta-Analysis Identifies VDAC1 as a Predictor of Poor Outcome in Early Stage Non-Small Cell Lung Cancer. PLoS ONE 2011, 6, e14635. [Google Scholar] [CrossRef]
- Bai, Z.; Ye, Y.; Liang, B.; Xu, F.; Zhang, H.; Zhang, Y.; Peng, J.; Shen, D.; Cui, Z.; Zhang, Z.; et al. Proteomics-based identification of a group of apoptosis-related proteins and biomarkers in gastric cancer. Int. J. Oncol. 2011, 38, 375–383. [Google Scholar] [CrossRef]
- Grun, B.; Benjamin, E.; Sinclair, J.; Timms, J.F.; Jacobs, I.J.; Gayther, S.A.; Dafou, D. Three-dimensional in vitro cell biologymodels of ovarian and endometrial cancer. Cell Prolif. 2009, 42, 219–228. [Google Scholar] [CrossRef] [PubMed]
- Fang, Y.; Liu, J.; Zhang, Q.; She, C.; Zheng, R.; Zhang, R.; Chen, Z.; Chen, C.; Wu, J. Overexpressed VDAC1 in breast cancer as a novel prognostic biomarker and correlates with immune infiltrates. World J. Surg. Oncol. 2022, 20, 1–15. [Google Scholar] [CrossRef] [PubMed]
- Wersäll, O.C.; Löfstedt, L.; Govorov, I.; Mints, M.; Gabrielson, M.; Shoshan, M. PGC1α and VDAC1 expression in endometrial cancer. Mol. Clin. Oncol. 2020, 14, 42. [Google Scholar] [CrossRef]
- Neville, B.D.; Damm, D.; Allen, C.; Chi, A. Oral and Maxillofacial Pathology, 4th ed.; Elsevier: St. Louis, MO, USA, 2016; pp. 355–391. [Google Scholar]
- Brandwein-Gensler, M.; Teixeira, M.S.; Lewis, C.M.; Lee, B.; Rolnitzky, L.; Hille, J.J.; Genden, E.; Urken, M.L.; Wang, B.Y. Oral squamous cell carcinoma: Histologic risk assessment, but not margin status, is strongly predictive of local disease-free and overall survival. Am. J. Surg. Pathol. 2005, 29, 167–178. [Google Scholar] [CrossRef] [PubMed]
- Vered, M.; Allon, I.; Buchner, A.; Dayan, D. Stromal myofibroblasts and malignant transformation in a 4NQO rat tongue car-cinogenesis model. Oral Oncol. 2007, 43, 999–1006. [Google Scholar] [CrossRef]
- Simamura, E.; Shimada, H.; Hatta, T.; Hirai, K. Mitochondrial voltage-dependent anion channels (VDACs) as novel pharmaco-logical targets for anti-cancer agents. J. Bioenerg. Biomembr. 2008, 40, 213–217. [Google Scholar] [CrossRef]
- Shoshan-Barmatz, V.; Shteinfer-Kuzmine, A.; Verma, A. VDAC1 at the Intersection of Cell Metabolism, Apoptosis, and Diseases. Biomolecules 2020, 10, 1485. [Google Scholar] [CrossRef]
- Huang, H.; Hu, X.; Eno, C.O.; Zhao, G.; Li, C.; White, C. An interaction between Bcl-xL and the voltage-dependent anion channel (VDAC) promotes mitochondrial Ca2+ uptake. J. Biol. Chem. 2013, 288, 19870–19881. [Google Scholar] [CrossRef]
- Chen, Y.F.; Chen, Y.T.; Chiu, W.T.; Shen, M.R. Remodeling of calcium signaling in tumor progression. J. Biomed. Sci. 2013, 20, 23. [Google Scholar] [CrossRef]
- Magrì, A.; Reina, S.; De Pinto, V. VDAC1 as Pharmacological Target in Cancer and Neurodegeneration: Focus on Its Role in Apoptosis. Front. Chem. 2018, 6, 108. [Google Scholar] [CrossRef]
- Pandey, S.K.; Machlof-Cohen, R.; Santhanam, M.; Shteinfer-Kuzmine, A.; Shoshan-Barmatz, V. Silencing VDAC1 to Treat Mesothelioma Cancer: Tumor Reprograming and Altering Tumor Hallmarks. Biomolecules 2022, 12, 895. [Google Scholar] [CrossRef]
- Koppenol, W.H.; Bounds, P.L.; Dang, C.V. Otto Warburg’s contributions to current concepts of cancer metabolism. Nat. Rev. Cancer 2011, 11, 325–337. [Google Scholar] [CrossRef]
- Shoshan-Barmatz, V.; Zakar, M.; Rosenthal, K.; Abu-Hamad, S. Key regions of VDAC1 functioning in apoptosis induction and regulation by hexokinase. Biochim. Biophys. Acta (BBA)-Bioenerg. 2009, 1787, 421–430. [Google Scholar] [CrossRef]
- Zhang, C.; Ding, W.; Liu, Y.; Hu, Z.; Zhu, D.; Wang, X.; Yu, L.; Wang, L.; Shen, H.; Zhang, W.; et al. Proteomics-based identification of VDAC1 as a tumor promoter in cervical carcinoma. Oncotarget 2016, 7, 52317–52328. [Google Scholar] [CrossRef]
- Zhang, C.; Hua, Y.; Qiu, H.; Liu, T.; Long, Q.; Liao, W.; Qiu, J.; Wang, N.; Chen, M.; Shi, D.; et al. KMT2A regulates cervical cancer cell growth through targeting VDAC1. Aging 2020, 12, 9604–9620. [Google Scholar] [CrossRef]
- Wu, C.-H.; Lin, Y.-W.; Wu, T.-F.; Ko, J.-L.; Wang, P.-H. Clinical implication of voltage-dependent anion channel 1 in uterine cervical cancer and its action on cervical cancer cells. Oncotarget 2015, 7, 4210–4225. [Google Scholar] [CrossRef]
- Lang, L.; Loveless, R.; Dou, J.; Lam, T.; Chen, A.; Wang, F.; Sun, L.; Juarez, J.; Qin, Z.S.; Saba, N.F.; et al. ATAD3A mediates activation of RAS-independent mitochondrial ERK1/2 signaling, favoring head and neck cancer development. J. Exp. Clin. Cancer Res. 2022, 41, 1–16. [Google Scholar] [CrossRef]
- Castagna, A.; Antonioli, P.; Astner, H.; Hamdan, M.; Righetti, S.C.; Perego, P.; Zunino, F.; Righetti, P.G. A proteomic approach to cisplatin resistance in the cervix squamous cell carcinoma cell line A431. Proteomics 2004, 4, 3246–3267. [Google Scholar] [CrossRef]
- Gao, W.; Shen, H.; Liu, L.; Xu, J.; Xu, J.; Shu, Y. MiR-21 overexpression in human primary squamous cell lung carcinoma is associated with poor patient prognosis. J. Cancer Res. Clin. Oncol. 2010, 137, 557–566. [Google Scholar] [CrossRef]
- Wang, Z.; Cheng, Y.; Song, Z.; Zhao, R. Pan-Cancer Analysis of Voltage-Dependent Anion Channel (VDAC1) as a Cancer Therapeutic Target or Diagnostic Biomarker. Dis. Mark. 2022, 2022, 1–19. [Google Scholar] [CrossRef]
- Zhang, G.; Jiang, G.; Wang, C.; Zhong, K.; Zhang, J.; Xue, Q.; Li, X.; Jin, H.; Li, B. Decreased expression of microRNA-320a promotes proliferation and invasion of non-small cell lung cancer cells by increasing VDAC1 expression. Oncotarget 2016, 7, 49470–49480. [Google Scholar] [CrossRef] [PubMed]
- Odell, E.; Kujan, O.; Warnakulasuriya, S.; Sloan, P. Oral epithelial dysplasia: Recognition, grading and clinical significance. Oral Dis. 2021, 27, 1947–1976. [Google Scholar] [CrossRef] [PubMed]
- Hankinson, P.M.; Mohammed-Ali, R.I.; Smith, A.T.; Khurram, S.A. Malignant transformation in a cohort of patients with oral epithelial dysplasia. Br. J. Oral Maxillofac. Surg. 2021, 59, 1099–1101. [Google Scholar] [CrossRef] [PubMed]
- Yang, H.-L.; Lin, Y.-A.; Pandey, S.; Liao, J.-W.; Way, T.-D.; Yeh, Y.-L.; Chen, S.-J.; Hseu, Y.-C. In vitro and in vivo anti-tumor activity of Antrodia salmonea against twist-overexpressing HNSCC cells: Induction of ROS-mediated autophagic and apoptotic cell death. Food Chem. Toxicol. 2023, 172, 113564. [Google Scholar] [CrossRef]
- Cramer, P.; Stockfleth, E. Actinic keratosis: Where do we stand and where is the future going to take us? Expert Opin. Emerg. Drugs 2020, 25, 49–58. [Google Scholar] [CrossRef]
- Giorgini, E.; Sabbatini, S.; Rocchetti, R.; Notarstefano, V.; Rubini, C.; Conti, C.; Orilisi, G.; Mitri, E.; Bedolla, D.E.; Vaccari, L. In vitro FTIR microspectroscopy analysis of primary oral squamous carcinoma cells treated with cisplatin and 5-fluorouracil: A new spectroscopic approach for studying the drug–cell interaction. Analyst 2018, 143, 3317–3326. [Google Scholar] [CrossRef]
- Notarstefano, V.; Sabbatini, S.; Pro, C.; Belloni, A.; Orilisi, G.; Rubini, C.; Byrne, H.J.; Vaccari, L.; Giorgini, E. Exploiting fourier transform infrared and Raman microspectroscopies on cancer stem cells from oral squamous cells carcinoma: New evidence of acquired cisplatin chemoresistance. Analyst 2020, 145, 8038–8049. [Google Scholar] [CrossRef]
- Notarstefano, V.; Belloni, A.; Sabbatini, S.; Pro, C.; Orilisi, G.; Monterubbianesi, R.; Tosco, V.; Byrne, H.J.; Vaccari, L.; Giorgini, E. Cytotoxic Effects of 5-Azacytidine on Primary Tumour Cells and Cancer Stem Cells from Oral Squamous Cell Carcinoma: An In Vitro FTIRM Analysis. Cells 2021, 10, 2127. [Google Scholar] [CrossRef]
- Li, H.; Zhang, Y.; Xu, M.; Yang, D. Current trends of targeted therapy for oral squamous cell carcinoma. J. Cancer Res. Clin. Oncol. 2022, 148, 2169–2186. [Google Scholar] [CrossRef]





| ⁱ OSCC | ⁱ OED | ⁱ FH | |
|---|---|---|---|
| Mean age | 67.9 ± 16.62 | 73.16 ± 12.45 | 47.94 ± 17.66 |
| Age range | 22–81 | 40–91 | 29–91 |
| M:F ratio | 1.7:1 | 1.5:1 | 1:1 |
| OSCC | OED | FH | |
|---|---|---|---|
| Tongue | 21 (43%) | 9 (27%) | 10 (48%) |
| Lower lip | 7 (14%) | 13 (39%) | - |
| Buccal mucosa | 6 (12%) | 6 (18%) | 8 (38%) |
| Floor Of Mouth | 5 (10%) | 1 (3%) | - |
| Other sites ⁱ | 10 (21%) | 4 (13%) | 3 (14%) |
| Risk factor group 0 | 20 (51.3%) | 27 (51.3%) | 20 (95.2%) |
| Risk factor group 1 | 19 (48.7%) | 5 (15.2%) | 1 (4.8%) |
| Risk factor group 2 | 7 (14.2%) | - | - |
| Risk factor group 3 | 3 (7.7%) | - | - |
| Staging: | |||
| T 1 | 23 (47%) | - | - |
| T 2 | 14 (29%) | - | - |
| T 3 | 4 (10%) | - | - |
| T 4a | 5 (8%) | - | - |
| T 4b | 3 (6%) | - | - |
| N 0 | 33 (67%) | - | - |
| N 1 | 8 (16%) | - | - |
| N 2 | 5 (10%) | - | - |
| N 2b | 1 (2%) | - | - |
| N 3 | 2 (4%) | - | - |
| M 0 | 47 (96%) | - | - |
| M 1 | 2 (4%) | - | - |
| Risk assessment: | |||
| Low | 26 (53%) | - | - |
| Intermediate | 11 (22%) | - | - |
| High | 12 (24%) | - | - |
| Dysplasia severity: | |||
| Low grade | - | 7 (21%) | - |
| High grade | - | 11 (33%) | - |
| Solar cheilitis | - | 12 (36%) | - |
| Atypia | - | 3 (10%) | - |
Disclaimer/Publisher’s Note: The statements, opinions and data contained in all publications are solely those of the individual author(s) and contributor(s) and not of MDPI and/or the editor(s). MDPI and/or the editor(s) disclaim responsibility for any injury to people or property resulting from any ideas, methods, instructions or products referred to in the content. |
© 2023 by the authors. Licensee MDPI, Basel, Switzerland. This article is an open access article distributed under the terms and conditions of the Creative Commons Attribution (CC BY) license (https://creativecommons.org/licenses/by/4.0/).
Share and Cite
Allon, I.; Pettesh, J.; Livoff, A.; Schlapobersky, M.; Nahlieli, O.; Michaeli, E. Voltage-Dependent Anion Channel 1 Expression in Oral Malignant and Premalignant Lesions. Diagnostics 2023, 13, 1225. https://doi.org/10.3390/diagnostics13071225
Allon I, Pettesh J, Livoff A, Schlapobersky M, Nahlieli O, Michaeli E. Voltage-Dependent Anion Channel 1 Expression in Oral Malignant and Premalignant Lesions. Diagnostics. 2023; 13(7):1225. https://doi.org/10.3390/diagnostics13071225
Chicago/Turabian StyleAllon, Irit, Jacob Pettesh, Alejandro Livoff, Mark Schlapobersky, Oded Nahlieli, and Eli Michaeli. 2023. "Voltage-Dependent Anion Channel 1 Expression in Oral Malignant and Premalignant Lesions" Diagnostics 13, no. 7: 1225. https://doi.org/10.3390/diagnostics13071225
APA StyleAllon, I., Pettesh, J., Livoff, A., Schlapobersky, M., Nahlieli, O., & Michaeli, E. (2023). Voltage-Dependent Anion Channel 1 Expression in Oral Malignant and Premalignant Lesions. Diagnostics, 13(7), 1225. https://doi.org/10.3390/diagnostics13071225

