Performance of IOTA Simple Rules Risks, ADNEX Model, Subjective Assessment Compared to CA125 and HE4 with ROMA Algorithm in Discriminating between Benign, Borderline and Stage I Malignant Adnexal Lesions
Abstract
1. Introduction
2. Materials and Methods
2.1. Prognostic Models
2.2. Statistical Methods
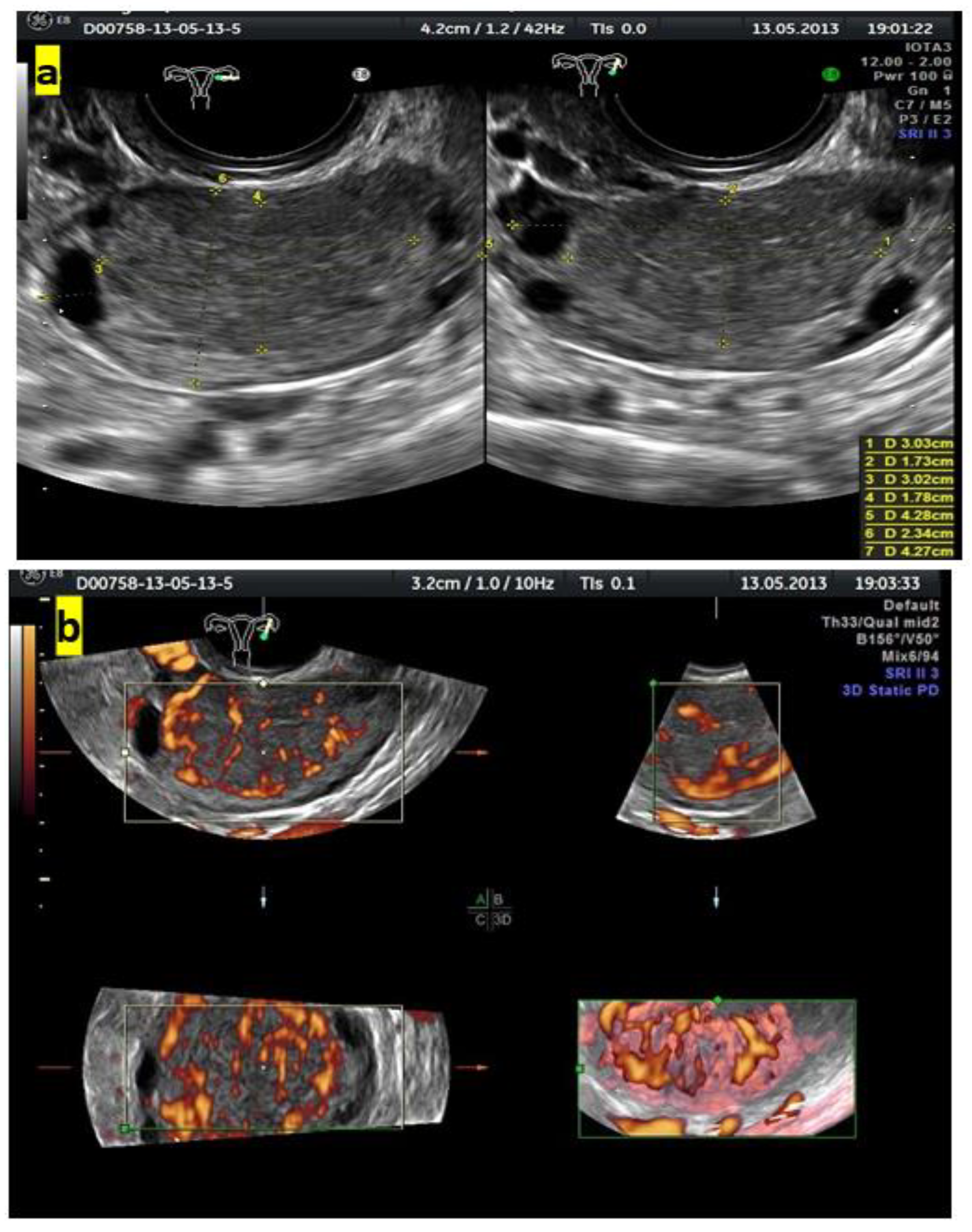
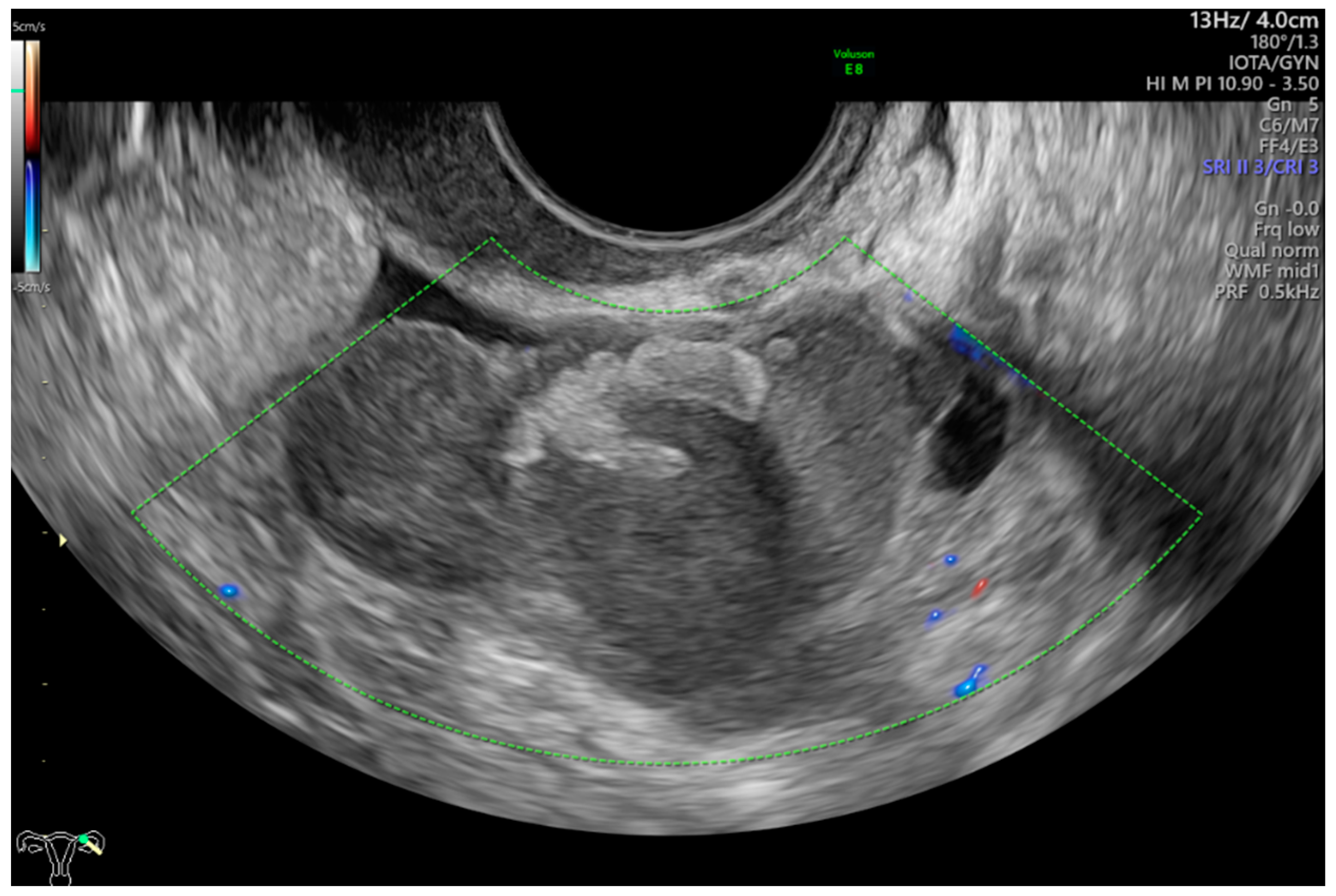
3. Results
4. Discussion
5. Conclusions
Supplementary Materials
Author Contributions
Funding
Institutional Review Board Statement
Informed Consent Statement
Data Availability Statement
Conflicts of Interest
References
- Dalmartello, M.; La Vecchia, C.; Bertuccio, P.; Boffetta, P.; Levi, F.; Negri, E.; Malvezzi, M. European cancer mortality predictions for the year 2022 with focus on ovarian cancer. Ann. Oncol. 2022, 33, 330–339. [Google Scholar] [CrossRef]
- Forstner, R. Early detection of ovarian cancer. Eur. Radiol. 2020, 30, 5370–5373. [Google Scholar] [CrossRef] [PubMed]
- Dioun, S.; Wu, J.; Chen, L.; Kaplan, S.; Huang, Y.; Melamed, A.; Gockley, A.; Clair, C.M.S.; Hou, J.Y.; Tergas, A.I.; et al. Intraoperative Rupture of the Ovarian Capsule in Early-Stage Ovarian Cancer. Obstet. Gynecol. 2021, 138, 261–271. [Google Scholar] [CrossRef]
- Zhou, A.G.; Levinson, K.L.; Rosenthal, D.L.; VandenBussche, C. Performance of ovarian cyst fluid fine-needle aspiration cytology. Cancer Cytopathol. 2017, 126, 112–121. [Google Scholar] [CrossRef] [PubMed]
- Nezhat, F.R.; Pejovic, T.; Finger, T.N.; Khalil, S.S. Role of Minimally Invasive Surgery in Ovarian Cancer. J. Minim. Invasive Gynecol. 2013, 20, 754–765. [Google Scholar] [CrossRef] [PubMed]
- Fagotti, A.; Perelli, F.; Pedone, L.; Scambia, G. Current Recommendations for Minimally Invasive Surgical Staging in Ovarian Cancer. Curr. Treat. Options Oncol. 2016, 17, 3. [Google Scholar] [CrossRef]
- Bast, R.C., Jr.; Lu, Z.; Han, C.Y.; Lu, K.H.; Anderson, K.S.; Drescher, C.W.; Skates, S.J. Biomarkers and Strategies for Early Detection of Ovarian Cancer. Cancer Epidemiol. Biomark. Prev. 2020, 29, 2504–2512. [Google Scholar] [CrossRef]
- Nebgen, D.R.; Lu, K.H.; Bast, R.C., Jr. Novel Approaches to Ovarian Cancer Screening. Curr. Oncol. Rep. 2019, 21, 75. [Google Scholar] [CrossRef]
- Dochez, V.; Caillon, H.; Vaucel, E.; Dimet, J.; Winer, N.; Ducarme, G. Biomarkers and algorithms for diagnosis of ovarian cancer: CA125, HE4, RMI and ROMA, a review. J. Ovarian Res. 2019, 12, 28. [Google Scholar] [CrossRef]
- Chan, K.K.; Chen, C.-A.; Nam, J.-H.; Ochiai, K.; Wilailak, S.; Choon, A.-T.; Sabaratnam, S.; Hebbar, S.; Sickan, J.; Schodin, B.A.; et al. The use of HE4 in the prediction of ovarian cancer in Asian women with a pelvic mass. Gynecol. Oncol. 2013, 128, 239–244. [Google Scholar] [CrossRef]
- Wang, Z.; Tao, X.; Ying, C. CPH-I and HE4 Are More Favorable Than CA125 in Differentiating Borderline Ovarian Tumors from Epithelial Ovarian Cancer at Early Stages. Dis. Markers 2019, 2019, 6241743. [Google Scholar] [CrossRef]
- Kaijser, J.; Van Gorp, T.; Smet, M.-E.; Van Holsbeke, C.; Sayasneh, A.; Epstein, E.; Bourne, T.; Vergote, I.; Van Calster, B.; Timmerman, D. Are serum HE4 or ROMA scores useful to experienced examiners for improving characterization of adnexal masses after transvaginal ultrasonography? Ultrasound Obstet. Gynecol. 2014, 43, 89–97. [Google Scholar] [CrossRef] [PubMed]
- Stein, E.B.; Roseland, M.E.; Shampain, K.L.; Wasnik, A.P.; Maturen, K.E. Contemporary Guidelines for Adnexal Mass Imaging: A 2020 Update. Abdom. Imaging 2020, 46, 2127–2139. [Google Scholar] [CrossRef] [PubMed]
- Sadowski, E.A.; Maturen, K.E.; Rockall, A.; Reinhold, C.; Addley, H.; Jha, P.; Bharwani, N.; Thomassin-Naggara, I. Ovary: MRI characterisation and O-RADS MRI. Br. J. Radiol. 2021, 94, 20210157. [Google Scholar] [CrossRef] [PubMed]
- Meys, E.; Kaijser, J.; Kruitwagen, R.; Slangen, B.; Van Calster, B.; Aertgeerts, B.; Verbakel, J.; Timmerman, D.; Van Gorp, T. Subjective assessment versus ultrasound models to diagnose ovarian cancer: A systematic review and meta-analysis. Eur. J. Cancer 2016, 58, 17–29. [Google Scholar] [CrossRef] [PubMed]
- Koneczny, J.; Czekierdowski, A.; Florczak, M.; Poziemski, P.; Stachowicz, N.; Borowski, D. The use of sonographic subjective tumor assessment, IOTA logistic regression model 1, IOTA Simple Rules and GI-RADS system in the preoperative prediction of malignancy in women with adnexal masses. Ginekol. Polska 2017, 88, 647–653. [Google Scholar] [CrossRef] [PubMed]
- Moro, F.; Esposito, R.; Landolfo, C.; Froyman, W.; Timmerman, D.; Bourne, T.; Scambia, G.; Valentin, L.; Testa, A.C. Ultrasound evaluation of ovarian masses and assessment of the extension of ovarian malignancy. Br. J. Radiol. 2021, 94, 20201375. [Google Scholar] [CrossRef] [PubMed]
- Timmerman, D.; Ameye, L.; Fischerová, D.; Epstein, E.; Melis, G.B.; Guerriero, S.; Van Holsbeke, C.; Savelli, L.; Fruscio, R.; Lissoni, A.A.; et al. Simple ultrasound rules to distinguish between benign and malignant adnexal masses before surgery: Prospective validation by IOTA group. BMJ 2010, 341, c6839. [Google Scholar] [CrossRef] [PubMed]
- Sadowski, E.A.; Paroder, V.; Patel-Lippmann, K.; Robbins, J.B.; Barroilhet, L.; Maddox, E.; McMahon, T.; Sampene, E.; Wasnik, A.P.; Blaty, A.D.; et al. Indeterminate Adnexal Cysts at US: Prevalence and Characteristics of Ovarian Cancer. Radiology 2018, 287, 1041–1049. [Google Scholar] [CrossRef]
- Froyman, W.; Landolfo, C.; De Cock, B.; Wynants, L.; Sladkevicius, P.; Testa, A.C.; Van Holsbeke, C.; Domali, E.; Fruscio, R.; Epstein, E.; et al. Risk of complications in patients with conservatively managed ovarian tumours (IOTA5): A 2-year interim analysis of a multicentre, prospective, cohort study. Lancet Oncol. 2019, 20, 448–458. [Google Scholar] [CrossRef]
- Timmerman, D.; Van Calster, B.; Testa, A.; Savelli, L.; Fischerova, D.; Froyman, W.; Wynants, L.; Van Holsbeke, C.; Epstein, E.; Franchi, D.; et al. Predicting the risk of malignancy in adnexal masses based on the Simple Rules from the International Ovarian Tumor Analysis group. Am. J. Obstet. Gynecol. 2016, 214, 424–437. [Google Scholar] [CrossRef] [PubMed]
- Viora, E.; Piovano, E.; Poma, C.B.; Cotrino, I.; Castiglione, A.; Cavallero, C.; Sciarrone, A.; Bastonero, S.; Iskra, L.; Zola, P. The ADNEX model to triage adnexal masses: An external validation study and comparison with the IOTA two-step strategy and subjective assessment by an experienced ultrasound operator. Eur. J. Obstet. Gynecol. Reprod. Biol. 2020, 247, 207–211. [Google Scholar] [CrossRef] [PubMed]
- Hiett, A.K.; Sonek, J.D.; Guy, M.; Reid, T.J. Performance of IOTA Simple Rules, Simple Rules risk assessment, ADNEX model and O-RADS in differentiating between benign and malignant adnexal lesions in North American women. Ultrasound Obstet. Gynecol. 2021, 59, 668–676. [Google Scholar] [CrossRef] [PubMed]
- Valentin, L.; Ameye, L.; Savelli, L.; Fruscio, R.; Leone, F.P.G.; Czekierdowski, A.; Lissoni, A.A.; Fischerová, D.; Guerriero, S.; Van Holsbeke, C.; et al. Adnexal masses difficult to classify as benign or malignant using subjective assessment of gray-scale and Doppler ultrasound findings: Logistic regression models do not help. Ultrasound Obstet. Gynecol. 2011, 38, 456–465. [Google Scholar] [CrossRef] [PubMed]
- Di Legge, A.; Testa, A.C.; Ameye, L.; Van Calster, B.; Lissoni, A.; Leone, F.; Savelli, L.; Franchi, D.; Czekierdowski, A.; Trio, D.; et al. Lesion size affects diagnostic performance of IOTA logistic regression models, IOTA simple rules and risk of malignancy index in discriminating between benign and malignant adnexal masses. Ultrasound Obstet. Gynecol. 2012, 40, 345–354. [Google Scholar] [CrossRef]
- Zeppernick, F.; Meinhold-Heerlein, I. The new FIGO staging system for ovarian, fallopian tube, and primary peritoneal cancer. Arch. Gynecol. Obstet. 2014, 290, 839–842. [Google Scholar] [CrossRef] [PubMed]
- Education and Practical Standards Committee, European Federation of Societies for Ultrasound in Medicine and Biology. Minimum training recommendations for the practice of medical ultrasound. Ultraschall Med. 2006, 27, 79–105. [Google Scholar] [CrossRef]
- Timmerman, D.; Valentin, L.; Bourne, T.H.; Collins, W.P.; Verrelst, H.; Vergote, I.; International Ovarian Tumor Analysis (IOTA) Group. Terms, definitions and measurements to describe the sonographic features of adnexal tumors: A consensus opinion from the International Ovarian Tumor Analysis (IOTA) group. Ultrasound Obstet. Gynecol. 2000, 16, 500–505. [Google Scholar] [CrossRef]
- SRR Calculation Tool. Available online: https://www.iotagroup.org/research/iota-models-software/iota-simple-rules-and-srrisk-calculator-diagnose-ovarian-cancer (accessed on 12 December 2021).
- IOTA-ADNEX Model. Available online: https://www.iotagroup.org/sites/default/files/adnexmodel/IOTA%20-%20ADNEX%20model.html (accessed on 3 March 2021).
- Van Calster, B.; Van Hoorde, K.; Froyman, W.; Kaijser, J.; Wynants, L.; Landolfo, C.; Anthoulakis, C.; Vergote, I.; Bourne, T.; Timmerman, D. Practical guidance for applying the ADNEX model from the IOTA group to discriminate between different subtypes of adnexal tumors. Facts Views Vis. ObGyn. 2015, 7, 32–41. [Google Scholar]
- ROMA Model Calculation Tool. Available online: https://diagnostics.roche.com/global/en/article-listing/roma-calculator.html (accessed on 1 March 2021).
- Menon, U.; Gentry-Maharaj, A.; Burnell, M.; Singh, N.; Ryan, A.; Karpinskyj, C.; Carlino, G.; Taylor, J.; Massingham, S.K.; Raikou, M.; et al. Ovarian cancer population screening and mortality after long-term follow-up in the UK Collaborative Trial of Ovarian Cancer Screening (UKCTOCS): A randomised controlled trial. Lancet 2021, 397, 2182–2193. [Google Scholar] [CrossRef]
- Van Gorp, T.; Cadron, I.; Despierre, E.; Daemen, M.; Leunen, K.; Amant, F.; Timmerman, D.; De Moor, B.; Vergote, I. HE4 and CA125 as a diagnostic test in ovarian cancer: Prospective validation of the Risk of Ovarian Malignancy Algorithm. Br. J. Cancer 2011, 104, 863–870. [Google Scholar] [CrossRef]
- Van Calster, B.; Valentin, L.; Froyman, W.; Landolfo, C.; Ceusters, J.; Testa, A.C.; Wynants, L.; Sladkevicius, P.; Van Holsbeke, C.; Domali, E.; et al. Validation of models to diagnose ovarian cancer in patients managed surgically or conservatively: Multicentre cohort study. BMJ 2020, 370, m2614. [Google Scholar] [CrossRef] [PubMed]
- Patel-Lippmann, K.K.; Sadowski, E.A.; Robbins, J.B.; Paroder, V.; Barroilhet, L.; Maddox, E.; McMahon, T.; Sampene, E.; Wasnik, A.P.; Blaty, A.D.; et al. Comparison of International Ovarian Tumor Analysis Simple Rules to Society of Radiologists in Ultrasound Guidelines for Detection of Malignancy in Adnexal Cysts. Am. J. Roentgenol. 2020, 214, 694–700. [Google Scholar] [CrossRef] [PubMed]
- Wang, P.S.; Schoeck, O.G.; Horrow, M.M. Benign-appearing Incidental Adnexal Cysts at US, CT, and MRI: Putting the ACR, O-RADS, and SRU Guidelines All Together. Radiographics 2022, 42, 609–624. [Google Scholar] [CrossRef] [PubMed]
- Valentin, L.; Ameye, L.; Franchi, D.; Guerriero, S.; Jurkovic, D.; Savelli, L.; Fischerova, D.; Lissoni, A.; Van Holsbeke, C.; Fruscio, R.; et al. Risk of malignancy in unilocular cysts: A study of 1148 adnexal masses classified as unilocular cysts at transvaginal ultrasound and review of the literature. Ultrasound Obstet. Gynecol. 2012, 41, 80–89. [Google Scholar] [CrossRef]
- Virgilio, B.A.; Blasis, I.D.E.; Sladkevicius, P.; Moro, F.; Zannoni, G.F.; Arciuolo, D.; Mascilini, F.; Ciccarone, F.; Timmerman, D.; Kaijser, J.; et al. Imaging in gynecological disease (16): Clinical and ultrasound characteristics of serous cystadenofibromas in adnexa. Ultrasound Obstet. Gynecol. 2019, 54, 823–830. [Google Scholar] [CrossRef]
- Testa, A.C.; Timmerman, D.; Van Holsbeke, C.; Zannoni, G.F.; Fransis, S.; Moerman, P.; Vellone, V.; Mascilini, F.; Licameli, A.; Ludovisi, M.; et al. Ovarian cancer arising in endometrioid cysts: Ultrasound findings. Ultrasound Obstet. Gynecol. 2011, 38, 99–106. [Google Scholar] [CrossRef] [PubMed]
- Moro, F.; Poma, C.B.; Zannoni, G.F.; Urbinati, A.V.; Pasciuto, T.; Ludovisi, M.; Moruzzi, M.C.; Carinelli, S.; Franchi, D.; Scambia, G.; et al. Imaging in gynecological disease (12): Clinical and ultrasound features of invasive and non-invasive malignant serous ovarian tumors. Ultrasound Obstet. Gynecol. 2017, 50, 788–799. [Google Scholar] [CrossRef] [PubMed]
- Mukama, T.; Fortner, R.T.; Katzke, V.; Hynes, L.C.; Petrera, A.; Hauck, S.M.; Johnson, T.; Schulze, M.; Schiborn, C.; Rostgaard-Hansen, A.L.; et al. Prospective evaluation of 92 serum protein biomarkers for early detection of ovarian cancer. Br. J. Cancer 2022, 126, 1301–1309. [Google Scholar] [CrossRef]
- Srivastava, A.; Gupta, A.; Patidar, S. Review of biomarker systems as an alternative for early diagnosis of ovarian carcinoma. Clin. Transl. Oncol. 2021, 23, 1967–1978. [Google Scholar] [CrossRef]
- Davenport, C.F.; Rai, N.; Sharma, P.; Deeks, J.; Berhane, S.; Mallett, S.; Saha, P.; Solanki, R.; Bayliss, S.; Snell, K.; et al. Diagnostic Models Combining Clinical Information, Ultrasound and Biochemical Markers for Ovarian Cancer: Cochrane Systematic Review and Meta-Analysis. Cancers 2022, 14, 3621. [Google Scholar] [CrossRef] [PubMed]
- Chen, H.; Qian, L.; Jiang, M.; Du, Q.; Yuan, F.; Feng, W. Performance of IOTA ADNEX model in evaluating adnexal masses in a gynecological oncology center in China. Ultrasound Obstet. Gynecol. 2019, 54, 815–822. [Google Scholar] [CrossRef] [PubMed]
- He, P.; Wang, J.-J.; Duan, W.; Song, C.; Yang, Y.; Wu, Q.-Q. Estimating the risk of malignancy of adnexal masses: Validation of the ADNEX model in the hands of nonexpert ultrasonographers in a gynaecological oncology centre in China. J. Ovarian Res. 2021, 14, 169. [Google Scholar] [CrossRef] [PubMed]
- Peng, X.-S.; Ma, Y.; Wang, L.-L.; Li, H.-X.; Zheng, X.-L.; Liu, Y. Evaluation of the Diagnostic Value of the Ultrasound ADNEX Model for Benign and Malignant Ovarian Tumors. Int. J. Gen. Med. 2021, 14, 5665–5673. [Google Scholar] [CrossRef] [PubMed]
- Gaurilcikas, A.; Gedgaudaite, M.; Cizauskas, A.; Atstupenaite, V.; Paskauskas, S.; Gaurilcikiene, D.; Birzietis, T.; Vaitkiene, D.; Nadisauskiene, R. Performance of the IOTA ADNEX Model on Selected Group of Patients with Borderline Ovarian Tumours. Medicina 2020, 56, 690. [Google Scholar] [CrossRef]





| Tumor Histology | (n = 108) |
|---|---|
| Benign tumors | 62 |
| Dermoid * | 19 |
| Endometrioma | 16 |
| Serous cystadenofibroma | 12 |
| Mucinous cystadenofibroma | 5 |
| Serous cystadenoma | 4 |
| Fibroma/fibrothecoma | 4 |
| Others ** | 2 |
| Borderline tumors | 26 |
| Serous | 16 |
| Mucinous | 7 |
| Endometrioid | 2 |
| Clear cell | 1 |
| Malignant stage I adnexal tumors | 20 |
| Serous ovarian cancer | 7 |
| Endometrioid ovarian cancer | 5 |
| Mucinous ovarian cancer | 1 |
| Granulosa cell tumor (adult-type) | 5 |
| Oviductal serous cancer | 1 |
| Mixed sex cord–stromal tumor | 1 |
| Age and Menopausal Status | BEN n = 62 (57.4%) | BOT n = 26 (24.1%) | MOL n = 20 (18.5%) | p-Value |
|---|---|---|---|---|
| Age at diagnosis (years) Median (25th–75th percentile) (min–max) | 42.5 (30–54) (22–72) | 58 (35–66) (16–74) | 53.5 (38–60) (16–69) | 0.02 BEN vs. BOT 0.03 |
| Postmenopausal status (%) | 16 (25.8) | 16 (61.5) | 12 (60) | 0.001 |
| Max diameter (mm) Median (25th–75th percentile) (min–max) | 70.5 (50–92) (32–235) | 74 (42–124) (23–280) | 76 (53.5–113.5) (38–400) | 0.46 |
| Max diameter | ||||
| <40 mm | 4 (6.5) | 6 (23.1) | 1 (5) | 0.002 |
| 40–100 mm | 48 (77.4) | 9 (34.6) | 12 (60) | |
| >100 mm | 10 (16.1) | 11 (42.3) | 7 (35) | |
| Type of tumor | ||||
| Unilocular | 12 (19.4) | 0 (0) | 0 (0) | 0.06 |
| Multilocular | 8 (12.9) | 5 (19.2) | 3 (15) | |
| Unilocular–solid | 15 (24.2) | 10 (38.5) | 5 (25) | |
| Multilocular–solid | 24 (38.7) | 9 (34.6) | 8 (40) | |
| Solid | 3 (4.8) | 2 (7.7) | 4 (20) | |
| Type of echogenicity | ||||
| Anechogenic | 19 (30.6) | 2 (7.7) | 7 (35) | 0.0002 |
| Low level | 15 (24.2) | 17 (65.4) | 7 (35) | |
| Ground glass | 5 (8.1) | 4 (15.4) | 4 (20) | |
| Mixed | 12 (19.4) | 0 (0) | 0 (0) | |
| Not applicable (solid) | 11 (17.7) | 3 (10.1) | 2 (10) |
| Sonographic Features | BEN n = 62 (57.4%) | BOT n = 26 (24.1%) | MOL n = 20 (18.5%) | p-Value |
|---|---|---|---|---|
| Largest solid component (mm) Median (25th–75th percentile) (min–max) | 0 (0–17) (0–102) | 19 (0–29) (0–190) | 31.5 (9.5–40.5) (0–102) | 0.0006 BEN vs. MAL 0.002 |
| Papillary projections | ||||
| Present (%) | 19 (30.6) | 13 (50) | 7 (35) | 0.22 |
| Number of papillary projections | ||||
| 0 | 43 (69.4) | 13 (50) | 13 (65) | 0.01 |
| 1 | 16 (25.8) | 4 (15.4) | 1 (5) | |
| 2 | 2 (3.2) | 1 (3.9) | 2 (10) | |
| 3 | 0 (0) | 3 (11.5) | 1 (5) | |
| 4 | 1 (1.6) | 3 (11.5) | 1 (5) | |
| >4 | 0 (0) | 2 (7.7) | 2 (10) | |
| Papillation size Median (25th–75th percentile) (min–max) | 0 (0–11) (0–24) | 4 (0–17) (0–52) | 0 (0–17) (0–35) | 0.16 |
| Height of the largest papillary projection (mm) Median (25th–75th percentile) (min–max) | 0 (0–8) (0–21) | 3 (0–11) (0–45) | 0 (0–10) (0–26) | 0.21 |
| Crescent sign present | 14 (22.6) | 3 (11.5) | 1 (5) | 0.13 |
| Papillation contour | ||||
| No papillations | 44 (71) | 13 (50) | 13 (65) | 0.008 |
| Smooth | 10 (16.1) | 1 (3.8) | 4 (20) | |
| Irregular | 8 (12.9) | 12 (46.2) | 3 (15) | |
| Papillation flow | ||||
| Absent | 58 (93.6) | 21 (80.8) | 15 (75) | 0.05 |
| Present | 4 (6.4) | 5 (19.2) | 5 (25) | |
| Acoustic shadows | ||||
| Absent | 39 (62.9) | 21 (80.8) | 16 (80) | 0.14 |
| Present | 23 (37.1) | 5 (19.2) | 4 (20) | |
| Microcystic pattern | ||||
| Absent | 52 (83.9) | 20 (76.9) | 18 (90) | 0.49 |
| Present | 10 (16.1) | 6 (23.1) | 2 (10) | |
| Color Score | ||||
| 1 | 33 (53.2) | 6 (23.1) | 4 (20) | 0.0009 |
| 2 | 13 (21) | 13 (50) | 4 (20) | |
| 3 | 15 (24.2) | 5 (19.2) | 8 (40) | |
| 4 | 1 (1.6) | 2 (7.7) | 4 (20) |
| Tumor Marker Concentrations | BEN n = 62 (57.4%) | BOT n = 26 (24.1%) | MOL n = 20 (18.5%) | p-Value |
|---|---|---|---|---|
| Ca125 (U/mL) Median (25th–75th percentile) (min–max) | 21.31 (13.09–35.18) (5–551.9) | 18.53 (14.41–45.82) (4.3–627.2) | 21.2 (13.7–40.46) (6.23–395.6) | 0.77 |
| HE4 Median (25th–75th percentile) (min–max) | 48.1 (39.9–60.6) (27.4–120.3) | 54.46 (47.9–76) (33.6–147.2) | 59.15 (44.95–71.2) (32.6–202.4) | 0.09 |
| Test Type | BEN n = 62 (57.4%) | BOT n = 26 (24.1%) | MOL n = 20 (18.5%) | p-Value |
|---|---|---|---|---|
| ROMA Median (25th–75th percentile) (min–max) | 7.9 (5.2–13.5) (1.9–42.1) | 13.45 (9.49–24.9) (3.4–80.2) | 13.95 (7.75–21.25) (2.9–51) | 0.001 BEN vs. BOT 0.003 BEN vs. MAL 0.047 |
| ROMA class | ||||
| Low risk | 53 (85.5) | 16 (61.5) | 7 (35) | <0.001 |
| High risk | 9 (14.5) | 10 (38.5) | 13 (65) | |
| SRR Median (25th–75th percentile) (min-max) | 15.2 (1.1–27.5) (0.1–81.4) | 38.1 (27.5–71.7) (1.1–98.4) | 48.7 (27.5–76.55) (0.9–81.7) | <0.001 BEN vs. BOT <0.001 BEN vs. MAL <0.001 |
| SRR risk of malignancy stratification | ||||
| Low risk | 2 (3.2) | 2 (7.7) | 0 (0) | <0.001 |
| Intermediate risk | 33 (53.2) | 4 (15.4) | 3 (15) | |
| High risk | 27 (43.6) | 20 (76.9) | 17 (85) | |
| ADNEX risk (%) Median (25th–75th percentile) (min–max) | 5.2 (0.8–16.9) (0.3–58.3) | 37.25 (5.7–72.8) (1.6–97.6) | 33.95 (18.65–52.8) (2.9–82.1) | <0.001 BEN vs. BOT <0.001 BOT vs. MAL <0.001 |
| ADNEX risk of malignancy | ||||
| Low risk | 22 (35.5) | 3 (11.5) | 1 (5) | <0.001 |
| Intermediate risk | 28 (45.2) | 6 (23.1) | 4 (20) | |
| High risk | 12 (19.3) | 17 (65.4) | 15 (75) | |
| ADNEX Risk | ||||
| BEN | 50 (80.7) | 9 (34.6) | 5 (25) | <0.001 |
| MAL | 12 (19.3) | 17 (65.4) | 15 (75) | |
| SA risk of malignancy | ||||
| BEN | 47 (75.8) | 8 (30.8) | 4 (20) | <0.001 |
| BOT | 11 (17.7) | 10 (38.4) | 5 (25) | |
| MAL | 4 (6.5) | 8 (30.8) | 11 (55) |
| Index Test | TP | FP | FN | TN | SENS | SPEC | LR+ | LR− | PPV | NPV | ACC | Chi2 | p Value |
|---|---|---|---|---|---|---|---|---|---|---|---|---|---|
| ROMA | 23 | 9 | 23 | 53 | 0.50 | 0.85 | 3.44 | 0.58 | 0.72 | 0.70 | 0.70 | chi2 = 15.9 | p < 0.0001 |
| ADNEX | 32 | 12 | 14 | 50 | 0.70 | 0.81 | 3.59 | 0.38 | 0.73 | 0.78 | 0.76 | chi2 = 27.6 | p < 0.0001 |
| SA | 19 | 4 | 27 | 58 | 0.41 | 0.94 | 6.40 | 0.63 | 0.83 | 0.68 | 0.71 | chi2 = 17.1 | p < 0.0001 |
| SRR | 37 | 27 | 9 | 35 | 0.80 | 0.56 | 1.85 | 0.35 | 0.58 | 0.80 | 067 | chi2 = 14.9 | p = 0.0001 |
Disclaimer/Publisher’s Note: The statements, opinions and data contained in all publications are solely those of the individual author(s) and contributor(s) and not of MDPI and/or the editor(s). MDPI and/or the editor(s) disclaim responsibility for any injury to people or property resulting from any ideas, methods, instructions or products referred to in the content. |
© 2023 by the authors. Licensee MDPI, Basel, Switzerland. This article is an open access article distributed under the terms and conditions of the Creative Commons Attribution (CC BY) license (https://creativecommons.org/licenses/by/4.0/).
Share and Cite
Czekierdowski, A.; Stachowicz, N.; Smolen, A.; Łoziński, T.; Guzik, P.; Kluz, T. Performance of IOTA Simple Rules Risks, ADNEX Model, Subjective Assessment Compared to CA125 and HE4 with ROMA Algorithm in Discriminating between Benign, Borderline and Stage I Malignant Adnexal Lesions. Diagnostics 2023, 13, 885. https://doi.org/10.3390/diagnostics13050885
Czekierdowski A, Stachowicz N, Smolen A, Łoziński T, Guzik P, Kluz T. Performance of IOTA Simple Rules Risks, ADNEX Model, Subjective Assessment Compared to CA125 and HE4 with ROMA Algorithm in Discriminating between Benign, Borderline and Stage I Malignant Adnexal Lesions. Diagnostics. 2023; 13(5):885. https://doi.org/10.3390/diagnostics13050885
Chicago/Turabian StyleCzekierdowski, Artur, Norbert Stachowicz, Agata Smolen, Tomasz Łoziński, Paweł Guzik, and Tomasz Kluz. 2023. "Performance of IOTA Simple Rules Risks, ADNEX Model, Subjective Assessment Compared to CA125 and HE4 with ROMA Algorithm in Discriminating between Benign, Borderline and Stage I Malignant Adnexal Lesions" Diagnostics 13, no. 5: 885. https://doi.org/10.3390/diagnostics13050885
APA StyleCzekierdowski, A., Stachowicz, N., Smolen, A., Łoziński, T., Guzik, P., & Kluz, T. (2023). Performance of IOTA Simple Rules Risks, ADNEX Model, Subjective Assessment Compared to CA125 and HE4 with ROMA Algorithm in Discriminating between Benign, Borderline and Stage I Malignant Adnexal Lesions. Diagnostics, 13(5), 885. https://doi.org/10.3390/diagnostics13050885

