Expression of Peptidyl Arginine Deiminase 2 Is Closely Associated with Recurrence in Patients with Hepatocellular Carcinoma
Abstract
1. Introduction
2. Materials and Methods
2.1. Patients and Tissue Microarray
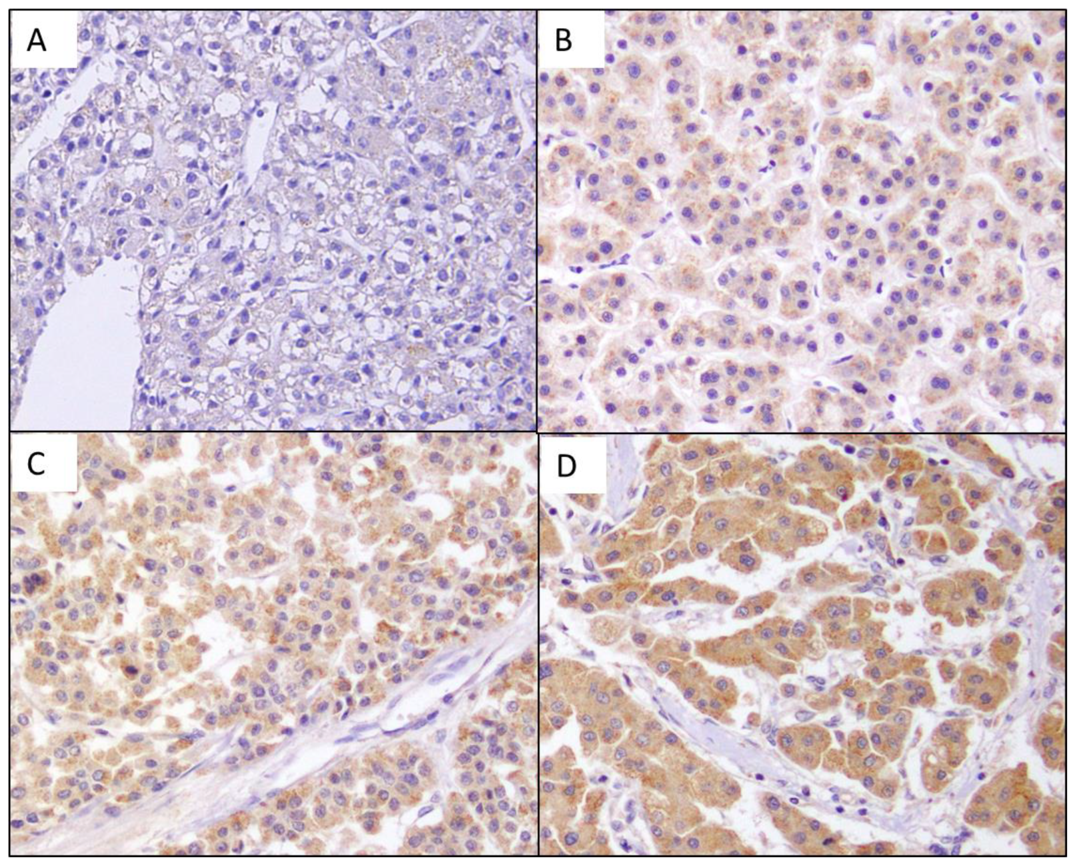
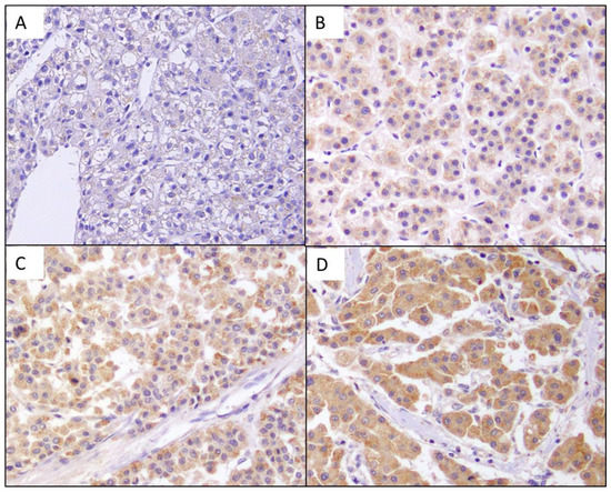
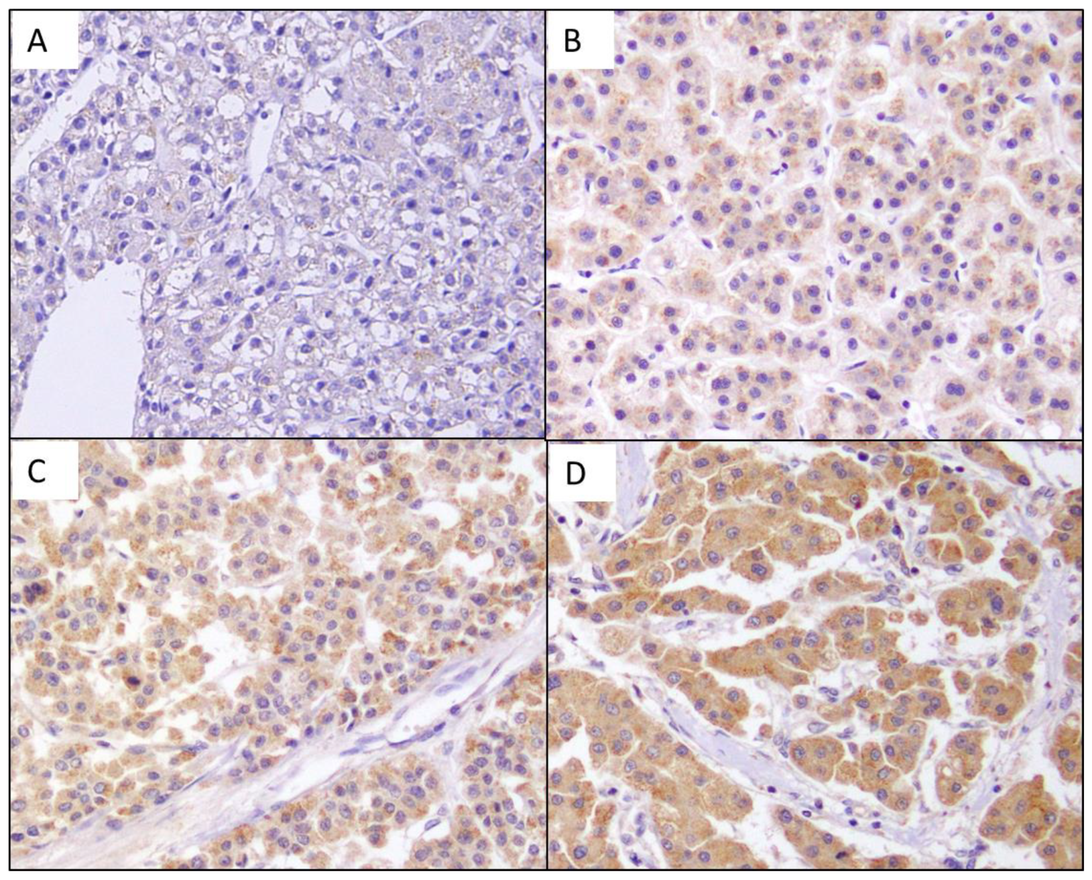
2.2. Immunohistochemical Staining of PAD2 in a Human HCC Tissue Microarray
2.3. Evaluation of Immunostaining
2.4. Statistical Analysis
3. Results
3.1. Baseline Characteristics of Enrolled Patients
3.2. Differences According to PAD2 Expression
3.3. Association of PAD2 Expression with Survival in HCC Patients Underwent Surgical Resection
3.4. Univariate and Multivariate Analysis of Overall Survival in HCC Patients Underwent Surgical Resection
3.5. Association of PAD2 Expression with Recurrence in HCC Patients Underwent Surgical Resection
3.6. Univariate and Multivariate Analysis of Recurrence in HCC Patients Underwent Surgical Reaction
4. Discussion
5. Conclusions
Author Contributions
Funding
Institutional Review Board Statement
Informed Consent Statement
Data Availability Statement
Conflicts of Interest
References
- Sharma, R. Descriptive epidemiology of incidence and mortality of primary liver cancer in 185 countries: Evidence from GLOBOCAN 2018. Jpn. J. Clin. Oncol. 2020, 50, 1370–1379. [Google Scholar] [CrossRef] [PubMed]
- Marrero, J.A.; Kulik, L.M.; Sirlin, C.B.; Zhu, A.X.; Finn, R.S.; Abecassis, M.M.; Roberts, L.R.; Heimbach, J.K. Diagnosis, Staging, and Management of Hepatocellular Carcinoma: 2018 Practice Guidance by the American Association for the Study of Liver Diseases. Hepatology 2018, 68, 723–750. [Google Scholar] [CrossRef]
- European Association for the Study of the Liver. EASL Clinical Practice Guidelines: Management of hepatocellular carcinoma. J. Hepatol. 2018, 69, 182–236. [Google Scholar] [CrossRef]
- Kim, B.H.; Park, J.-W. Systemic therapy for advanced hepatocellular carcinoma: Consideration for selecting second-line treatment. J. Liver Cancer 2021, 21, 124–138. [Google Scholar] [CrossRef]
- Ishigami, A.; Maruyama, N. Importance of research on peptidylarginine deiminase and citrullinated proteins in age-related disease. Geriatr. Gerontol. Int. 2010, 10, S53–S58. [Google Scholar] [CrossRef]
- Mondal, S.; Thompson, P.R. Protein Arginine Deiminases (PADs): Biochemistry and Chemical Biology of Protein Citrullination. Acc. Chem. Res. 2019, 52, 818–832. [Google Scholar] [CrossRef] [PubMed]
- Witalison, E.E.; Thompson, P.R.; Hofseth, L.J. Protein Arginine Deiminases and Associated Citrullination: Physiological Functions and Diseases Associated with Dysregulation. Curr. Drug Targets 2015, 16, 700–710. [Google Scholar] [CrossRef] [PubMed]
- Vossenaar, E.R.; Zendman, A.J.; van Venrooij, W.J.; Pruijn, G.J. PAD, a growing family of citrullinating enzymes: Genes, features and involvement in disease. Bioessays 2003, 25, 1106–1118. [Google Scholar] [CrossRef]
- Beato, M.; Sharma, P. Peptidyl Arginine Deiminase 2 (PADI2)-Mediated Arginine Citrullination Modulates Transcription in Cancer. Int. J. Mol. Sci. 2020, 21, 1351. [Google Scholar] [CrossRef]
- Méchin, M.-C.; Sebbag, M.; Arnaud, J.; Nachat, R.; Foulquier, C.; Adoue, V.; Coudane, F.; Duplan, H.; Schmitt, A.-M.; Chavanas, S.; et al. Update on peptidylarginine deiminases and deimination in skin physiology and severe human diseases. Int. J. Cosmet. Sci. 2007, 29, 147–168. [Google Scholar] [CrossRef]
- Guo, W.; Zheng, Y.; Xu, B.; Ma, F.; Li, C.; Zhang, X.; Wang, Y.; Chang, X. Investigating the expression, effect and tumorigenic pathway of PADI2 in tumors. Oncol. Targets Ther. 2017, 10, 1475–1485. [Google Scholar] [CrossRef] [PubMed]
- Yuzhalin, A.E. Citrullination in Cancer. Cancer Res 2019, 79, 1274–1284. [Google Scholar] [CrossRef] [PubMed]
- Funayama, R.; Taniguchi, H.; Mizuma, M.; Fujishima, F.; Kobayashi, M.; Ohnuma, S.; Unno, M.; Nakayama, K. Protein-arginine deiminase 2 suppresses proliferation of colon cancer cells through protein citrullination. Cancer Sci. 2017, 108, 713–718. [Google Scholar] [CrossRef]
- Cantariño, N.; Musulén, E.; Valero, V.; Peinado, M.A.; Perucho, M.; Moreno, V.; Forcales, S.-V.; Douet, J.; Buschbeck, M. Downregulation of the Deiminase PADI2 Is an Early Event in Colorectal Carcinogenesis and Indicates Poor Prognosis. Mol. Cancer Res. 2016, 14, 841–848. [Google Scholar] [CrossRef]
- Lee, T.; Park, C.K.; Ha, S.Y. Prognostic Role of Apelin Receptor Expression in Hepatocellular Carcinoma Treated With Curative Surgical Resection. Anticancer. Res. 2019, 39, 3025–3031. [Google Scholar] [CrossRef] [PubMed]
- Christophorou, M.A. The virtues and vices of protein citrullination. R. Soc. Open Sci. 2022, 9, 1–19. [Google Scholar] [CrossRef]
- Wang, Y.; Chen, R.; Gan, Y.; Ying, S. The roles of PAD2- and PAD4-mediated protein citrullination catalysis in cancers. Int. J. Cancer 2020, 148, 267–276. [Google Scholar] [CrossRef]
- Abdeen, S.M.; Olusi, S.O. Peptidyl arginine deiminase: A novel immunohistochemical marker for liver fibrosis in patients with chronic hepatitis. Acta Histochem. 2010, 112, 592–603. [Google Scholar] [CrossRef]
- Olusi, S.O.; Abdeen, S.; George, S. Serum anti-modified citrullinated vimentin antibody concentration is associated with liver fibrosis in patients with chronic hepatitis. Hepatic Med. Évid. Res. 2011, 3, 13–18. [Google Scholar] [CrossRef]
- Vassiliadis, E.; Oliveira, C.P.; Alvares-Da-Silva, M.R.; Zhang, C.; Carrilho, F.J.; Stefano, J.T.; Rabelo, F.; Pereira, L.; Kappel, C.R.; Henriksen, K.; et al. Circulating levels of citrullinated and MMP-degraded vimentin (VICM) in liver fibrosis related pathology. Am. J. Transl. Res. 2012, 4, 403–414. [Google Scholar]
- Vassiliadis, E.; Veidal, S.S.; Kristiansen, M.N.B.; Hansen, C.; Jorgensen, M.; Leeming, D.J.; Karsdal, M. Peptidyl arginine deiminase inhibitor effect on hepatic fibrogenesis in a CCl4 pre-clinical model of liver fibrosis. Am. J. Transl. Res. 2013, 5, 465–469. [Google Scholar] [PubMed]
- Kim, S.-E.; Park, J.W.; Kim, M.-J.; Jang, B.; Jeon, Y.-C.; Kim, H.-J.; Ishigami, A.; Kim, H.S.; Suk, K.T.; Kim, D.J.; et al. Accumulation of citrullinated glial fibrillary acidic protein in a mouse model of bile duct ligation-induced hepatic fibrosis. PLoS ONE 2018, 13, e0201744. [Google Scholar] [CrossRef] [PubMed]
- Qu, Y.; Olsen, J.R.; Yuan, X.; Cheng, P.F.; Levesque, M.P.; Brokstad, K.A.; Hoffman, P.S.; Oyan, A.M.; Zhang, W.; Kalland, K.-H.; et al. Small molecule promotes β-catenin citrullination and inhibits Wnt signaling in cancer. Nat. Chem. Biol. 2017, 14, 94–101. [Google Scholar] [CrossRef] [PubMed]
- Luo, Y.; Knuckley, B.; Lee, Y.-H.; Stallcup, M.R.; Thompson, P.R. A Fluoroacetamidine-Based Inactivator of Protein Arginine Deiminase 4: Design, Synthesis, and in Vitro and in Vivo Evaluation. J. Am. Chem. Soc. 2006, 128, 1092–1093. [Google Scholar] [CrossRef]
- Luo, Y.; Arita, K.; Bhatia, M.; Knuckley, B.; Lee, Y.-H.; Stallcup, M.R.; Sato, M.; Thompson, P.R. Inhibitors, and Inactivators of Protein Arginine Deiminase 4: Functional and Structural Characterization. Biochemistry 2006, 45, 11727–11736. [Google Scholar] [CrossRef]
- Slack, J.L.; Causey, C.P.; Thompson, P.R. Protein arginine deiminase 4: A target for an epigenetic cancer therapy. Cell. Mol. Life Sci. 2010, 68, 709–720. [Google Scholar] [CrossRef]
- Cui, X.; Witalison, E.E.; Chumanevich, A.P.; Chumanevich, A.A.; Poudyal, D.; Subramanian, V.; Schetter, A.J.; Harris, C.C.; Thompson, P.R.; Hofseth, L.J. The Induction of microRNA-16 in Colon Cancer Cells by Protein Arginine Deiminase Inhibition Causes a p53-Dependent Cell Cycle Arrest. PLoS ONE 2013, 8, e53791. [Google Scholar] [CrossRef] [PubMed]



| Variables | Total (n = 122) | Low (n = 24) | High (n = 98) | p Value |
|---|---|---|---|---|
| Age (years) | 62.74 ± 11.876 | 53.67 ± 11.82 | 64.96 ± 10.84 | <0.001 |
| Sex (male), n (%) | 104 (85.2) | 18 (75) | 86 (87.8) | 0.121 |
| HBsAg-positive (+), n (%) | 81 (66.4) | 21 (87.5) | 60 (61.2) | 0.016 |
| DM, n (%) | 33 (27.0) | 3 (12.5) | 30 (30.6) | 0.122 |
| HTN, n (%) | 58 (47.5) | 4 (16.7) | 54 (55.1) | 0.001 |
| LC, n (%) | 67 (54.9) | 13 (54.2) | 54 (55.1) | 0.934 |
| Child-Pugh class (B/A) | 10/112 | 2/22 | 8/90 | 0.978 |
| Tumor size (≥5 cm/<5 cm) | 34/88 | 8/16 | 26/72 | 0.505 |
| Tumor number | 1.24 ± 0.59 | 1.13 ± 0.34 | 1.27±0.64 | 0.298 |
| PVI | 3 (2.5) | 2 (8.3) | 1 (1.0) | 0.098 |
| Edmonson-Steiner (1, 2/3, 4) | 43/79 | 7/17 | 36/62 | 0.487 |
| WBC | 5800 (4575–7500) | 5400 (3775–7725) | 5850 (4800–7425) | 0.441 |
| Platelet | 167 (110–201) | 152.5 (110.5–195.75) | 170.5 (108.75–203) | 0.301 |
| Serum ALT (IU/L) | 29 (21.75–42.25) | 27.50 (21.25–46.25) | 29.5 (21.75–42.25) | 0.900 |
| Total bilirubin | 0.675 (0.558–0.962) | 0.7 (0.6–0.983) | 0.665 (0.55–0.962) | 0.604 |
| Albumin | 4.2 (3.775–4.4) | 4.2 (4.1–4.375) | 4.15 (3.7–4.4) | 0.824 |
| PT-INR | 1.065 (0.998–1.173) | 1.065 (1.013–1.188) | 1.065 (0.988–1.170) | 0.330 |
| AFP > 400, n (%) | 23 (18.9) | 9 (37.5) | 14 (14.3) | 0.009 |
| Variables | Univariate Analysis | Multivariate Analysis | ||||
|---|---|---|---|---|---|---|
| HR | 95% CI | p Value | HR | 95% CI | p Value | |
| Age (years) | 0.986 | 0.945–1.028 | 0.502 | |||
| Sex (male/female) | 37.535 | 0.093–15,164.5 | 0.236 | |||
| DM | 2.605 | 0.584–11.610 | 0.209 | |||
| HTN | 0.754 | 0.273–2.086 | 0.587 | |||
| HBsAg-positive (+) | 0.606 | 0.225–1.631 | 0.321 | |||
| LC | 0.684 | 0.254–1.845 | 0.453 | |||
| Child–Pugh class (B/A) | 0.870 | 0.114–6.620 | 0.893 | |||
| Tumor size (≥5 cm/<5 cm) | 4.213 | 1.488–11.929 | 0.007 | 4.213 | 1.488–11.929 | 0.007 |
| Tumor number (single vs. multiple) | 1.681 | 0.913–3.097 | 0.096 | |||
| Edmonson-Steiner (1, 2/3, 4) | 3.430 | 0.960–12.264 | 0.058 | |||
| Platelet | 1.004 | 0.996–1.012 | 0.326 | |||
| Serum ALT (IU/L) | 1.007 | 0.996–1.019 | 0.205 | |||
| AFP > 400 | 2.457 | 0.838–7.208 | 0.102 | |||
| PAD2 (high/low) | 0.608 | 0.209–1.774 | 0.362 | |||
| Variables | Univariate Analysis | Multivariate Analysis | ||||
|---|---|---|---|---|---|---|
| OR | 95% CI | p Value | OR | 95% CI | p Value | |
| Age (years) | 0.989 | 0.966–1.012 | 0.349 | |||
| Sex (male/female) | 0.498 | 0.256–0.966 | 0.039 | 0.500 | 0.253–0.986 | 0.045 |
| DM | 0.769 | 0.431–1.373 | 0.375 | |||
| HTN | 0.902 | 0.536–1.520 | 0.699 | |||
| HBsAg-positive (+) | 0.944 | 0.548–1.628 | 0.837 | |||
| LC | 0.690 | 0.410–1.160 | 0.161 | |||
| Child–Pugh class (B/A) | 1.697 | 0.726–3.964 | 0.222 | |||
| Tumor size (≥5 cm/<5 cm) | 2.392 | 1.392–4.111 | 0.002 | 2.552 | 1.430–4.554 | 0.002 |
| Tumor number | 1.263 | 0.829–1.924 | 0.278 | |||
| Edmonson–Steiner (1, 2/3, 4) | 1.096 | 0.640–1.875 | 0.739 | |||
| Platelet | 1.002 | 0.998–1.006 | 0.417 | |||
| Serum ALT (IU/L) | 1.009 | 0.999–1.017 | 0.068 | |||
| AFP > 400 | 2.062 | 1.087–3.909 | 0.027 | 1.049 | 0.498–2.210 | 0.900 |
| PAD2 (low/high) | 2.176 | 1.169–4.052 | 0.014 | 2.007 | 1.010–4.075 | 0.048 |
Disclaimer/Publisher’s Note: The statements, opinions and data contained in all publications are solely those of the individual author(s) and contributor(s) and not of MDPI and/or the editor(s). MDPI and/or the editor(s) disclaim responsibility for any injury to people or property resulting from any ideas, methods, instructions or products referred to in the content. |
© 2023 by the authors. Licensee MDPI, Basel, Switzerland. This article is an open access article distributed under the terms and conditions of the Creative Commons Attribution (CC BY) license (https://creativecommons.org/licenses/by/4.0/).
Share and Cite
Uhm, S.; Cho, Y.A.; Choe, J.-Y.; Park, J.W.; Kim, M.-J.; Han, W.-H.; Lee, J.; Lee, J.W.; Shin, D.W.; Soh, J.S.; et al. Expression of Peptidyl Arginine Deiminase 2 Is Closely Associated with Recurrence in Patients with Hepatocellular Carcinoma. Diagnostics 2023, 13, 659. https://doi.org/10.3390/diagnostics13040659
Uhm S, Cho YA, Choe J-Y, Park JW, Kim M-J, Han W-H, Lee J, Lee JW, Shin DW, Soh JS, et al. Expression of Peptidyl Arginine Deiminase 2 Is Closely Associated with Recurrence in Patients with Hepatocellular Carcinoma. Diagnostics. 2023; 13(4):659. https://doi.org/10.3390/diagnostics13040659
Chicago/Turabian StyleUhm, Sunho, Yoon Ah Cho, Ji-Young Choe, Ji Won Park, Min-Jeong Kim, Won-Ho Han, Junyong Lee, Jung Woo Lee, Dong Woo Shin, Jae Seung Soh, and et al. 2023. "Expression of Peptidyl Arginine Deiminase 2 Is Closely Associated with Recurrence in Patients with Hepatocellular Carcinoma" Diagnostics 13, no. 4: 659. https://doi.org/10.3390/diagnostics13040659
APA StyleUhm, S., Cho, Y. A., Choe, J.-Y., Park, J. W., Kim, M.-J., Han, W.-H., Lee, J., Lee, J. W., Shin, D. W., Soh, J. S., Lim, H., Kang, H. S., Moon, S.-H., & Kim, S.-E. (2023). Expression of Peptidyl Arginine Deiminase 2 Is Closely Associated with Recurrence in Patients with Hepatocellular Carcinoma. Diagnostics, 13(4), 659. https://doi.org/10.3390/diagnostics13040659

