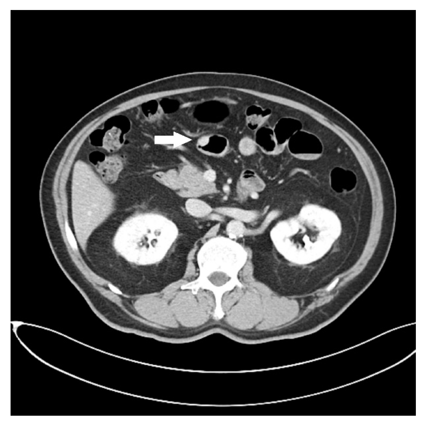
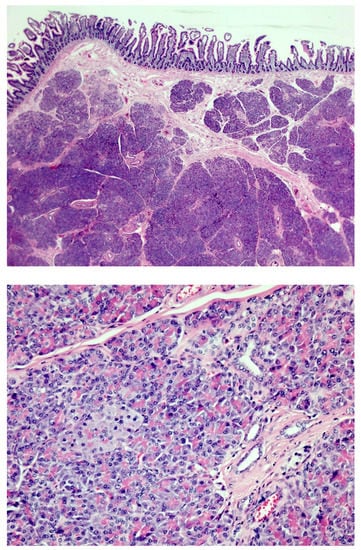
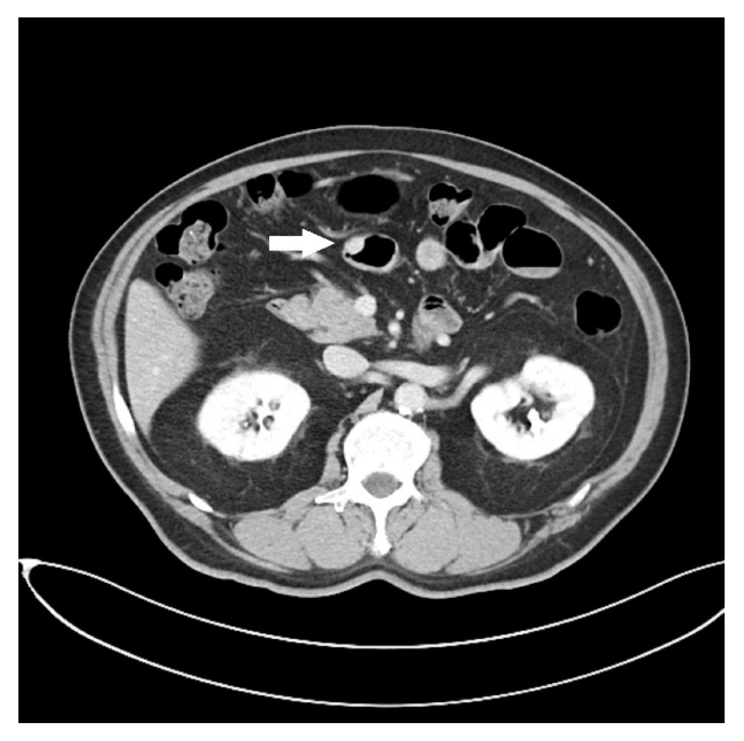
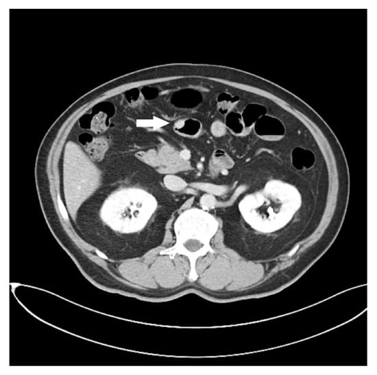
Endoscopic Ultrasound Appearance of Jejunal Ectopic Pancreas Mimicking Metastatic Nodule in a Cancer Patient
Abstract
:Author Contributions
Funding
Institutional Review Board Statement
Informed Consent Statement
Data Availability Statement
Conflicts of Interest
References
- Gurzu, S.; Bara, T., Jr.; Bara, T.; Fetyko, A.; Jung, I. Cystic jejunal duplication with Heinrich’s type I ectopic pancreas, incidentally discovered in a patient with pancreatic tail neoplasm. World J. Clin. Cases 2016, 4, 281–284. [Google Scholar] [CrossRef] [PubMed]
- Lee, H.S.; Kim, D.H.; Park, S.Y.; Kim, S.; Kim, G.T.; Cho, E.; Yoon, J.H.; Park, C.H.; Kim, H.S.; Choi, S.K.; et al. Endoscopic and Endosonographic Features of Histologically Proven Gastric Ectopic Pancreas by Endoscopic Resection. Korean J. Gastroenterol. 2020, 76, 9–16. [Google Scholar] [CrossRef] [PubMed]
- Gottschalk, U.; Dietrich, C.F.; Jenssen, C. Ectopic pancreas in the upper gastrointestinal tract: Is endosonographic diagnosis reliable? Data from the German Endoscopic Ultrasound Registry and review of the literature. Endosc. Ultrasound 2018, 7, 270–278. [Google Scholar] [CrossRef] [PubMed]
- Zhang, Y.; Huang, Q.; Zhu, L.H.; Zhou, X.B.; Ye, L.P.; Mao, X.L. Endoscopic excavation for gastric heterotopic pancreas: An analysis of 42 cases from a tertiary center. Wien. Klin. Wochenschr. 2014, 126, 509–514. [Google Scholar] [CrossRef] [PubMed]
- Kim, J.Y.; Lee, J.M.; Kim, K.W.; Park, H.S.; Choi, J.Y.; Kim, S.H.; Kim, M.A.; Lee, J.Y.; Han, J.K.; Choi, B.I. Ectopic pancreas: CT findings with emphasis on differentiation from small gastrointestinal stromal tumor and leiomyoma. Radiology 2009, 252, 92–100. [Google Scholar] [CrossRef] [PubMed]
- Hsu, S.D.; Chan, D.C.; Hsieh, H.F.; Chen, T.W.; Yu, J.C.; Chou, S.J. Ectopic pancreas presenting as ampulla of Vater tumor. Am. J. Surg. 2008, 195, 498–500. [Google Scholar] [CrossRef] [PubMed]
- Curfman, K.; Linders, M.; Poola, A.; O’Bryant, L.; Rashidi, L. Pancreatic rest disguised as inflammatory bowel disease in young adult. J. Surg. Case Rep. 2022, 2022, rjac153. [Google Scholar] [CrossRef] [PubMed]
- Dhruv, S.; Polavarapu, A.; Asuzu, I.; Andrawes, S.; Mukherjee, I. Jejunal Ectopic Pancreas: A Rare Cause of Small Intestinal Mass. Cureus 2021, 13, e15409. [Google Scholar] [CrossRef] [PubMed]
- Kumar, A.; Baksi, A.; Yadavalli, S.D.; Aggarwal, S. Incidental Jejunal Lesion Necessitating Intraoperative Change of Plan During Bariatric Surgery: A Video Case Report. Obes. Surg. 2021, 31, 2344–2345. [Google Scholar] [CrossRef] [PubMed]
- Mourra, N.; Tiret, E.; Caplin, S.; Gendre, J.P.; Parc, R.; Flejou, J.F. Involvement of Meckel diverticulum in Crohn disease associated with pancreatic heterotopia. Arch. Pathol. Lab. Med. 2003, 127, E99–E100. [Google Scholar] [CrossRef] [PubMed]
- Lu, X.; Tong, Y.; Bi, R.; Sun, Q.; Ding, J. Heterotopic Pancreas in Middle Ear: A Case Report. J. Int. Adv. Otol. 2022, 18, 537–540. [Google Scholar] [CrossRef] [PubMed]
- Chin, N.H.; Wu, J.M.; Chen, K.C.; Lee, T.H.; Lin, C.K.; Chung, C.S. Pancreatic Heterotopia in the Small Bowel: A Case Report and Literature Review. Pancreas 2022, 51, 700–704. [Google Scholar] [CrossRef] [PubMed]
- Ammar, H.; Said, M.A.; Mizouni, A.; Farhat, W.; Harrabi, F.; Ghabry, L.; Gupta, R.; Ben Mabrouk, M.; Ben Ali, A. Ectopic pancreas: A rare cause of occult gastrointestinal bleeding. Ann. Med. Surg. 2020, 59, 41–43. [Google Scholar] [CrossRef] [PubMed]
- Liu, Q.; Duan, J.; Zheng, Y.; Luo, J.; Cai, X.; Tan, H. Rare malignant insulinoma with multiple liver metastases derived from ectopic pancreas: 3-year follow-up and literature review. OncoTargets Ther. 2018, 11, 1813–1819. [Google Scholar] [CrossRef] [PubMed]
- Rodrigo Lara, H.; Amengual Antich, I.; Quintero Duarte, A.M.; De Juan Garcia, C.; Rodriguez Pino, J.C. Invasive ductal adenocarcinoma arising from heterotopic pancreas in the jejunum: Case report and literature review. Rev. Esp. Patol. 2019, 52, 194–198. [Google Scholar] [CrossRef] [PubMed]
- Daniel, N.E.; Rampersad, F.S.; Naraynsingh, V.; Barrow, S.; David, S. Jejunal Intussusception Due to Heterotopic Pancreas: A Case Report. Cureus 2021, 13, e14586. [Google Scholar] [CrossRef] [PubMed]
- Serrano, J.S.; Stauffer, J.A. Ectopic Pancreas in the Wall of the Small Intestine. J. Gastrointest. Surg. 2016, 20, 1407–1408. [Google Scholar] [CrossRef] [PubMed]
- Yang, C.W.; Che, F.; Liu, X.J.; Yin, Y.; Zhang, B.; Song, B. Insight into gastrointestinal heterotopic pancreas: Imaging evaluation and differential diagnosis. Insights Imaging 2021, 12, 144. [Google Scholar] [CrossRef] [PubMed]
- Sharzehi, K.; Sethi, A.; Savides, T. AGA Clinical Practice Update on Management of Subepithelial Lesions Encountered During Routine Endoscopy: Expert Review. Clin. Gastroenterol. Hepatol. 2022, 20, 2435–2443.e4. [Google Scholar] [CrossRef] [PubMed]
- Chou, J.W.; Chung, C.S.; Huang, T.Y.; Tu, C.H.; Chang, C.W.; Chang, C.H.; Wang, Y.P.; Hsu, W.H.; Yen, H.H.; Kuo, C.J.; et al. Meckel’s Diverticulum Diagnosed by Balloon-Assisted Enteroscopy: A Multicenter Report from the Taiwan Association for the Study of Small Intestinal Diseases (TASSID). Gastroenterol. Res. Pract. 2021, 2021, 9574737. [Google Scholar] [CrossRef] [PubMed]




Disclaimer/Publisher’s Note: The statements, opinions and data contained in all publications are solely those of the individual author(s) and contributor(s) and not of MDPI and/or the editor(s). MDPI and/or the editor(s) disclaim responsibility for any injury to people or property resulting from any ideas, methods, instructions or products referred to in the content. |
© 2023 by the authors. Licensee MDPI, Basel, Switzerland. This article is an open access article distributed under the terms and conditions of the Creative Commons Attribution (CC BY) license (https://creativecommons.org/licenses/by/4.0/).
Share and Cite
Lee, C.-W.; Lin, Y.-C.; Hsu, H.-T.; Chen, Y.-Y.; Yen, H.-H. Endoscopic Ultrasound Appearance of Jejunal Ectopic Pancreas Mimicking Metastatic Nodule in a Cancer Patient. Diagnostics 2023, 13, 660. https://doi.org/10.3390/diagnostics13040660
Lee C-W, Lin Y-C, Hsu H-T, Chen Y-Y, Yen H-H. Endoscopic Ultrasound Appearance of Jejunal Ectopic Pancreas Mimicking Metastatic Nodule in a Cancer Patient. Diagnostics. 2023; 13(4):660. https://doi.org/10.3390/diagnostics13040660
Chicago/Turabian StyleLee, Chien-Wei, Yen-Chih Lin, Hui-Ting Hsu, Yang-Yuan Chen, and Hsu-Heng Yen. 2023. "Endoscopic Ultrasound Appearance of Jejunal Ectopic Pancreas Mimicking Metastatic Nodule in a Cancer Patient" Diagnostics 13, no. 4: 660. https://doi.org/10.3390/diagnostics13040660
APA StyleLee, C.-W., Lin, Y.-C., Hsu, H.-T., Chen, Y.-Y., & Yen, H.-H. (2023). Endoscopic Ultrasound Appearance of Jejunal Ectopic Pancreas Mimicking Metastatic Nodule in a Cancer Patient. Diagnostics, 13(4), 660. https://doi.org/10.3390/diagnostics13040660

