Acute Esophageal Necrosis in Acute Pancreatitis—Report of a Case and Endoscopic and Clinical Perspective
Abstract
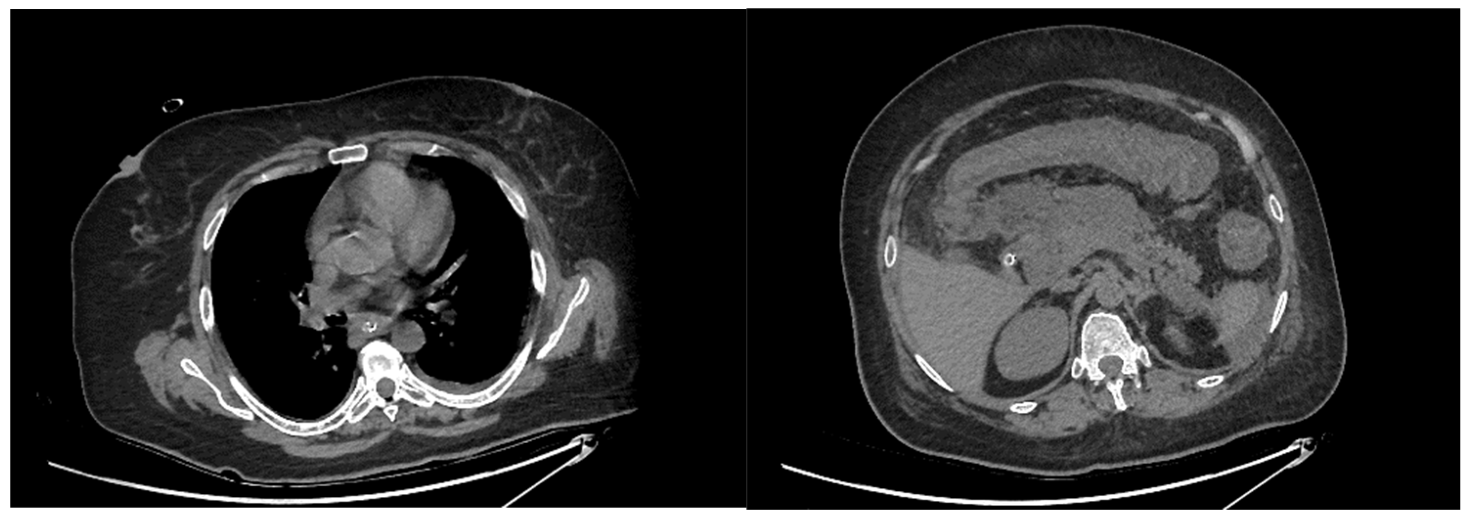
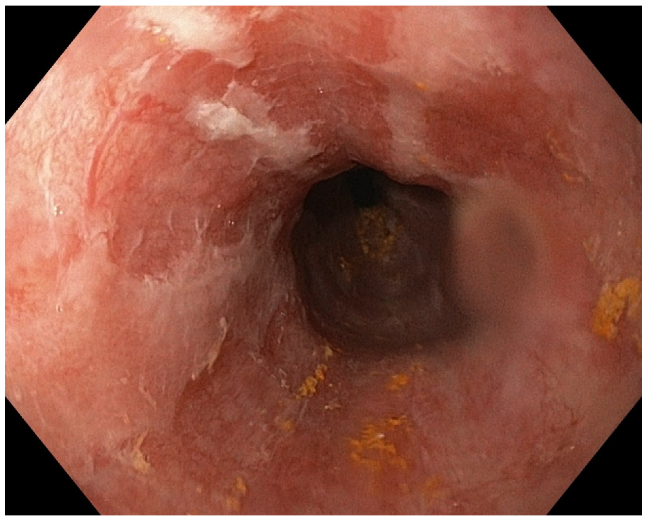
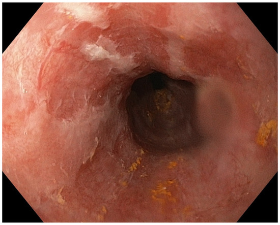
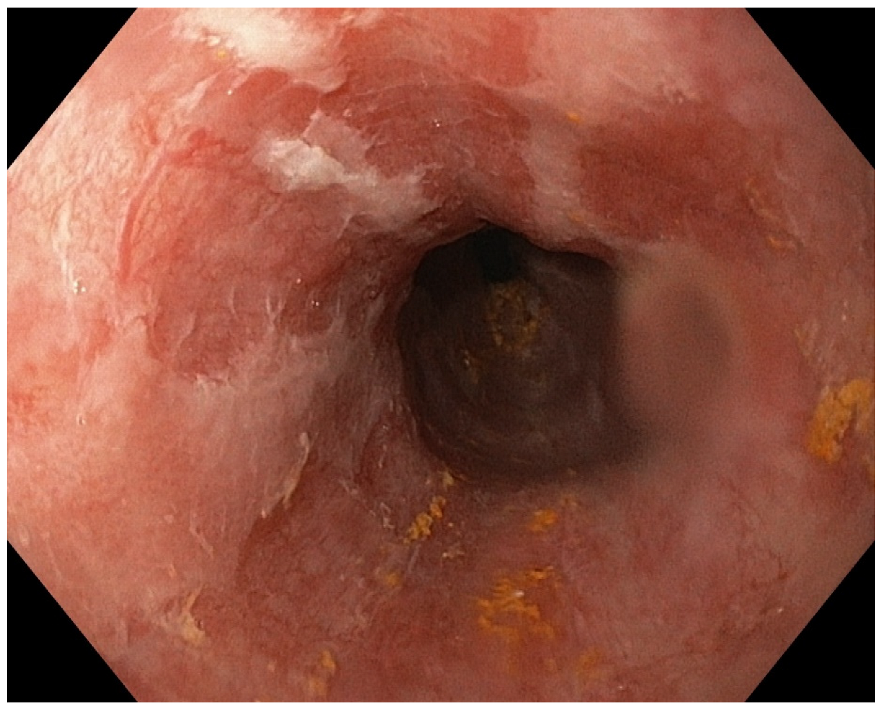
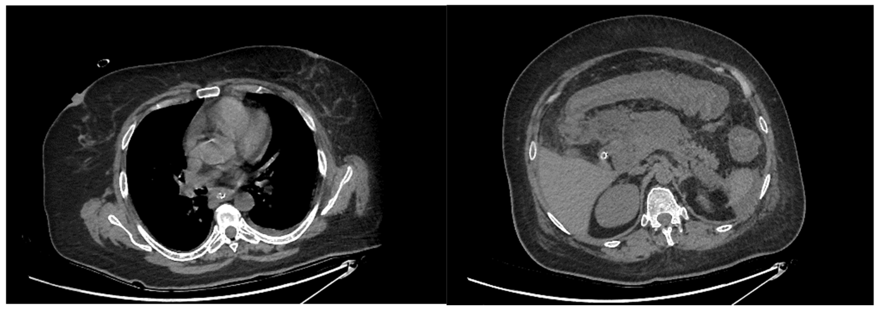
:




Author Contributions
Funding
Institutional Review Board Statement
Informed Consent Statement
Data Availability Statement
Conflicts of Interest
References
- Ramos, R.; Mascarenha, J.; Duarte, P.; Vicente, C.; Casteleiro, C. Acute esophageal necrosis: A retrospective case series. Rev. Esp. En. Dig. 2008, 100, 583–585. [Google Scholar]
- Augusto, F.; Fernandes, V.; Cremers, M.I.; Oliveira, A.P.; Lobato, C.; Alves, A.L.; Pinho, C.; de Freitas, J. Acute necrotizing esophagitis: A large retrospective case series. Endoscopy 2004, 36, 411–415. [Google Scholar] [CrossRef] [PubMed]
- Ben Soussan, E.; Savoye, G.; Hochain, P.; Hervé, S.; Antonietti, M.; Lemoine, F.; Ducrotté, P. Acute esophageal necrosis: A 1-year prospective study. Gastrointest. Endosc. 2002, 56, 213–217. [Google Scholar] [CrossRef]
- Davide, O.; Marilia, C.; Maurizio, R.; Gianluca, E.; Domenico, C.V.; Emilio, D.G.; Bruno, A. Occurrence of Acute Oesophageal Necrosis (Black Oesophagus) in a Single Tertiary Centre. J. Clin. Med. 2019, 8, 1532. [Google Scholar] [CrossRef] [PubMed]
- Gurvits, G.E.; Cherian, K.; Shami, M.N.; Korabathina, R.; El-Nader, E.M.; Rayapudi, K.; Gandolfo, F.J.; Alshumrany, M.; Patel, H.; Chowdhury, D.N.; et al. Black esophagus: New insights and multicenter international experience in 2014. Dig. Dis. Sci. 2015, 60, 444–453. [Google Scholar] [CrossRef] [PubMed]
- Dias, E.; Santos-Antunes, J.; Macedo, G. Diagnosis and management of acute esophageal necrosis. Ann. Gastroenterol. 2019, 32, 529–540. [Google Scholar] [CrossRef] [PubMed]
- Gurvits, G.E. Black esophagus: Acute esophageal necrosis syndrome. World J. Gastroenterol. 2010, 16, 3219–3225. [Google Scholar] [CrossRef] [PubMed]
- Ching, P.R.; Meddeb, M.; Marciniak, E.T.; Rubin, J.N.; Kim, R.E. Oesophageal necrosis and pneumomediastinum: Always examine X-rays assiduously. Lancet 2020, 395, e66. [Google Scholar] [CrossRef] [PubMed]
- Karle, E.; Patel, T.; Krvavac, A. The case of a 72-Year-Old Male with Hematemesis and Pneumomediastinum due to Acute Bacterial Esophageal Necrosis. Cureus 2019, 11, e5698. [Google Scholar] [CrossRef] [PubMed]
- Watanabe, S.; Nagashima, R.; Shimazaki, Y.; Takahashi, T.; Takeda, F.; Tamura, M.; Takahashi, T. Esophageal necrosis and bleeding gastric ulcer secondary to ruptured thoracic aortic aneurysm. Gastrointest. Endosc. 1999, 50, 847–849. [Google Scholar] [CrossRef] [PubMed]
- Polavarapu, A.; Gurala, D.; Mudduluru, B.; Idiculla, P.S.; Philipose, J.; Daoud, M.; Narula, N.; Gumaste, V. A Case of Acute Esophageal Necrosis from Unruptured Thoracic Aortic Aneurysm. Case Rep. Gastrointest. Med. 2020, 2020, 3575478. [Google Scholar] [CrossRef] [PubMed]
- Coles, M.; Madray, V.; Uy, P. Acute Esophageal Necrosis in a Septic Patient with a History of Cardiovascular Disease. Case. Rep. Gastrointest. Med. 2020, 2020, 1416743. [Google Scholar] [CrossRef] [PubMed]
- Gurvits, G.E.; Shapsis, A.; Lau, N.; Gualtieri, N.; Robilotti, J.G. Acute esophageal necrosis: A rare syndrome. J. Gastroenterol. 2007, 42, 29–38. [Google Scholar] [CrossRef] [PubMed]
- Jaiswal, P.; Araujo, J.L. Acute Esophageal Necrosis Associated with Acute Pancreatitis. ACG Case Rep. J. 2019, 6, e00295. [Google Scholar] [CrossRef] [PubMed]
Disclaimer/Publisher’s Note: The statements, opinions and data contained in all publications are solely those of the individual author(s) and contributor(s) and not of MDPI and/or the editor(s). MDPI and/or the editor(s) disclaim responsibility for any injury to people or property resulting from any ideas, methods, instructions or products referred to in the content. |
© 2023 by the authors. Licensee MDPI, Basel, Switzerland. This article is an open access article distributed under the terms and conditions of the Creative Commons Attribution (CC BY) license (https://creativecommons.org/licenses/by/4.0/).
Share and Cite
Grigore, M.; Enache, I.; Chirvase, M.; Popescu, A.L.; Ionita-Radu, F.; Jinga, M.; Bucurica, S. Acute Esophageal Necrosis in Acute Pancreatitis—Report of a Case and Endoscopic and Clinical Perspective. Diagnostics 2023, 13, 562. https://doi.org/10.3390/diagnostics13030562
Grigore M, Enache I, Chirvase M, Popescu AL, Ionita-Radu F, Jinga M, Bucurica S. Acute Esophageal Necrosis in Acute Pancreatitis—Report of a Case and Endoscopic and Clinical Perspective. Diagnostics. 2023; 13(3):562. https://doi.org/10.3390/diagnostics13030562
Chicago/Turabian StyleGrigore, Monica, Iulia Enache, Mirela Chirvase, Andrada Loredana Popescu, Florentina Ionita-Radu, Mariana Jinga, and Sandica Bucurica. 2023. "Acute Esophageal Necrosis in Acute Pancreatitis—Report of a Case and Endoscopic and Clinical Perspective" Diagnostics 13, no. 3: 562. https://doi.org/10.3390/diagnostics13030562
APA StyleGrigore, M., Enache, I., Chirvase, M., Popescu, A. L., Ionita-Radu, F., Jinga, M., & Bucurica, S. (2023). Acute Esophageal Necrosis in Acute Pancreatitis—Report of a Case and Endoscopic and Clinical Perspective. Diagnostics, 13(3), 562. https://doi.org/10.3390/diagnostics13030562

