Clinical Low-Dose Photon-Counting CT for the Detection of Urolithiasis: Radiation Dose Reduction Is Possible without Compromising Image Quality
Abstract
1. Introduction
2. Material and Methods
2.1. Patient Population
2.2. CT Protocols and Image Acquisition
2.3. Radiation Dose
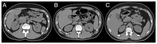
2.4. Quantitative Image Analysis
2.5. Qualitative Image Analysis
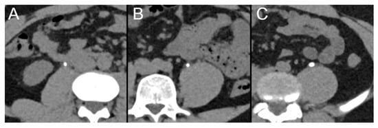
2.6. Stone Size Measurements
2.7. Statistical Analysis
3. Results
3.1. Patient Population
3.2. Radiation Dose
3.3. Quantitative Image Analysis
3.4. Qualitative Image Analysis
3.5. Stone Size Measurements
4. Discussion
5. Conclusions
Author Contributions
Funding
Institutional Review Board Statement
Informed Consent Statement
Data Availability Statement
Conflicts of Interest
References
- Brisbane, W.; Bailey, M.R.; Sorensen, M.D. An overview of kidney stone imaging techniques. Nat. Rev. Urol. 2016, 13, 654–662. [Google Scholar] [CrossRef] [PubMed]
- Fulgham, P.F.; Assimos, D.G.; Pearle, M.S.; Preminger, G.M. Clinical effectiveness protocols for imaging in the management of ureteral calculous disease: AUA technology assessment. J. Urol. 2013, 189, 1203–1213. [Google Scholar] [CrossRef] [PubMed]
- Ziemba, J.B.; Matlaga, B.R. Epidemiology and economics of nephrolithiasis. Investig. Clin. Urol. 2017, 58, 299–306. [Google Scholar] [CrossRef] [PubMed]
- Scales, C.D., Jr.; Smith, A.C.; Hanley, J.M.; Saigal, C.S. Prevalence of kidney stones in the United States. Eur. Urol. 2012, 62, 160–165. [Google Scholar] [CrossRef]
- Tundo, G.; Vollstedt, A.; Meeks, W.; Pais, V. Beyond Prevalence: Annual Cumulative Incidence of Kidney Stones in the United States. J. Urol. 2021, 205, 1704–1709. [Google Scholar] [CrossRef]
- Uribarri, J.; Oh, M.S.; Carroll, H.J. The first kidney stone. Ann. Intern. Med. 1989, 111, 1006–1009. [Google Scholar] [CrossRef] [PubMed]
- Poletti, P.-A.; Platon, A.; Rutschmann, O.T.; Schmidlin, F.R.; Iselin, C.E.; Becker, C.D. Low-Dose Versus Standard-Dose CT Protocol in Patients with Clinically Suspected Renal Colic. Am. J. Roentgenol. 2007, 188, 927–933. [Google Scholar] [CrossRef]
- Diel, J.; Perlmutter, S.; Venkataramanan, N.; Mueller, R.; Lane, M.J.; Katz, D.S. Unenhanced helical CT using increased pitch for suspected renal colic: An effective technique for radiation dose reduction? J. Comput. Assist. Tomogr. 2000, 24, 795–801. [Google Scholar] [CrossRef]
- Mozaffary, A.; Trabzonlu, T.A.; Kim, D.; Yaghmai, V. Comparison of Tin Filter–Based Spectral Shaping CT and Low-Dose Protocol for Detection of Urinary Calculi. Am. J. Roentgenol. 2019, 212, 808–814. [Google Scholar] [CrossRef]
- Große Hokamp, N.; Salem, J.; Hesse, A.; Holz, J.A.; Ritter, M.; Heidenreich, A.; Maintz, D.; Haneder, S. Low-Dose Characterization of Kidney Stones Using Spectral Detector Computed Tomography: An Ex Vivo Study. Invest. Radiol. 2018, 53, 457–462. [Google Scholar] [CrossRef]
- Hansmann, J.; Schoenberg, G.M.; Brix, G.; Henzler, T.; Meyer, M.; Attenberger, U.I.; Schoenberg, S.O.; Fink, C. CT of Urolithiasis: Comparison of Image Quality and Diagnostic Confidence Using Filtered Back Projection and Iterative Reconstruction Techniques. Acad. Radiol. 2013, 20, 1162–1167. [Google Scholar] [CrossRef] [PubMed]
- Reimer, R.P.; Klein, K.; Rinneburger, M.; Zopfs, D.; Lennartz, S.; Salem, J.; Heidenreich, A.; Maintz, D.; Haneder, S.; Hokamp, N.G. Manual kidney stone size measurements in computed tomography are most accurate using multiplanar image reformatations and bone window settings. Sci. Rep. 2021, 11, 16437. [Google Scholar] [CrossRef] [PubMed]
- Reimer, R.P.; Salem, J.; Merkt, M.; Sonnabend, K.; Lennartz, S.; Zopfs, D.; Heidenreich, A.; Maintz, D.; Haneder, S.; Hokamp, N.G. Size and volume of kidney stones in computed tomography: Influence of acquisition techniques and image reconstruction parameters. Eur. J. Radiol. 2020, 132, 109267. [Google Scholar] [CrossRef] [PubMed]
- Chang, D.-H.; Slebocki, K.; Khristenko, E.; Herden, J.; Salem, J.; Hokamp, N.G.; Mammadov, K.; Hellmich, M.; Kabbasch, C. Low-dose computed tomography of urolithiasis in obese patients: A feasibility study to evaluate image reconstruction algorithms. Diabetes. Metab. Syndr. Obes. 2019, 12, 439–445. [Google Scholar] [CrossRef] [PubMed]
- Willemink, M.J.; Persson, M.; Pourmorteza, A.; Pelc, N.J.; Fleischmann, D. Photon-counting CT: Technical Principles and Clinical Prospects. Radiology 2018, 289, 293–312. [Google Scholar] [CrossRef]
- Flohr, T.; Petersilka, M.; Henning, A.; Ulzheimer, S.; Ferda, J.; Schmidt, B. Photon-counting CT review. Phys. Medica 2020, 79, 126–136. [Google Scholar] [CrossRef]
- Niehoff, J.H.; Carmichael, A.F.; Woeltjen, M.M.; Boriesosdick, J.; Schmidt, I.L.; Michael, A.E.; Hokamp, N.G.; Piechota, H.; Borggrefe, J.; Kroeger, J.R. Clinical Low Dose Photon Counting CT for the Detection of Urolithiasis: Evaluation of Image Quality and Radiation Dose. Tomography 2022, 8, 1666–1675. [Google Scholar] [CrossRef]
- Stamm, G.; Nagel, H.D. CT-expo—A novel program for dose evaluation in CT. Rofo 2002, 174, 1570–1576. [Google Scholar] [CrossRef]
- Rob, S.; Bryant, T.; Wilson, I.; Somani, B. Ultra-low-dose, low-dose, and standard-dose CT of the kidney, ureters, and bladder: Is there a difference? Results from a systematic review of the literature. Clin. Radiol. 2017, 72, 11–15. [Google Scholar] [CrossRef]
- Tzou, D.T.; Zetumer, S.; Usawachintachit, M.; Taguchi, K.; Bechis, S.K.; Duty, B.D.; Harper, J.D.; Hsi, R.S.; Sorensen, M.; Sur, R.L.; et al. Computed Tomography Radiation Exposure Among Referred Kidney Stone Patients: Results from the Registry for Stones of the Kidney and Ureter. J. Endourol. 2019, 33, 619–624. [Google Scholar] [CrossRef]
- Smith-Bindman, R.; Moghadassi, M.; Griffey, R.T.; Camargo, C.A.; Bailitz, J.; Beland, M.; Miglioretti, D.L. Computed Tomography Radiation Dose in Patients with Suspected Urolithiasis. JAMA Intern. Med. 2015, 175, 1413–1416. [Google Scholar] [CrossRef] [PubMed]




| IQL 70 | IQL 60 | IQL 50 | Stat. Test | |||||||
|---|---|---|---|---|---|---|---|---|---|---|
| N | Mean | SD | N | Mean | SD | N | Mean | SD | ||
| Total | 31 | 27.52 | ±5.10 | 31 | 25.89 | ±5.10 | 36 | 28.85 | ±6.19 | p = 0.097 |
| BMI ≤ 30 | 23 | 25.14 | ±3.21 | 25 | 24.08 | ±3.68 | 23 | 25.22 | ±3.71 | p = 0.437 |
| BMI > 30 | 8 | 34.36 | ±2.64 | 6 | 33.43 | ±2.59 | 13 | 35.29 | ±4.03 | p = 0.774 |
| Male | 15 | 27.39 | ±4.52 | 13 | 27.10 | ±3.92 | 24 | 28.49 | ±4.95 | p = 0.632 |
| Female | 16 | 27.64 | ±5.74 | 18 | 25.02 | ±5.76 | 12 | 29.58 | ±8.34 | p = 0.161 |
| IQL 70 | IQL 60 | IQL 50 | Stat. Test | ||||
|---|---|---|---|---|---|---|---|
| Mean | SD | Mean | SD | Mean | SD | ||
| CTDIvol (mGy) | |||||||
| Total | †‡ 3.82 | ±1.22 | † 3.17 | ±0.83 | ‡ 3.11 | ±0.98 | p = 0.011 |
| BMI ≤ 30 | † 3.39 | ±0.78 | 2.91 | ±0.66 | † 2.70 | ±0.76 | p = 0.008 |
| BMI > 30 | † 5.04 | ±1.49 | 4.25 | ±0.60 | † 3.85 | ±0.89 | p = 0.050 |
| Male | 3.52 | ±0.74 | 3.38 | ±0.70 | 3.10 | ±0.88 | p = 0.236 |
| Female | 4.10 | ±1.52 | 3.02 | ±0.91 | 3.14 | ±1.18 | p = 0.065 |
| DLP (mGy*cm) | |||||||
| Total | 158.16 | ±57.98 | 128.90 | ±42.36 | 130.00 | ±45.75 | p = 0.030 |
| BMI ≤ 30 | † 138.26 | ±33.68 | 117.40 | ±33.48 | † 110.35 | ±32.55 | p = 0.033 |
| BMI > 30 | 215.38 | ±76.17 | 176.83 | ±44.36 | 164.77 | ±45.97 | p = 0.199 |
| Male | 144.73 | ±37.82 | 140.69 | ±41.20 | 131.63 | ±43.16 | p = 0.614 |
| Female | 170.75 | ±70.99 | 120.39 | ±42.25 | 126.75 | ±52.43 | p = 0.044 |
| Effective Dose (mSv) | |||||||
| Total | 2.43 | ±0.99 | 2.02 | ±0.67 | 1.97 | ±0.72 | p = 0.046 |
| BMI ≤ 30 | † 2.12 | ±0.58 | 1.85 | ±0.53 | † 1.65 | ±0.46 | p = 0.028 |
| BMI > 30 | 3.33 | ±1.36 | 2.75 | ±0.73 | 2.54 | ±0.76 | p = 0.304 |
| Male | 2.02 | ±0.54 | 2.01 | ±0.60 | 1.88 | ±0.62 | p = 0.739 |
| Female | 2.81 | ±1.16 | 2.03 | ±0.73 | 2.14 | ±0.90 | p = 0.066 |
| SSDE (mGy) | |||||||
| Total | † 4.57 | ±0.84 | ‡ 4.22 | ±0.80 | †‡ 3.53 | ±0.70 | p < 0.001 |
| BMI ≤ 30 | † 4.31 | ±0.59 | ‡ 4.01 | ±0.74 | †‡ 3.31 | ±0.70 | p < 0.001 |
| BMI > 30 | † 5.32 | ±1.04 | ‡ 5.11 | ±0.19 | †‡ 3.91 | ±0.54 | p < 0.001 |
| Male | † 4.33 | ±0.53 | ‡ 4.55 | ±0.54 | †‡ 3.51 | ±0.71 | p < 0.001 |
| Female | † 4.80 | ±1.02 | 3.99 | ±0.89 | † 3.56 | ±0.71 | p = 0.003 |
| IQL 70 | IQL 60 | IQL 50 | Stat. Test | ||||
|---|---|---|---|---|---|---|---|
| Mean | SD | Mean | SD | Mean | SD | ||
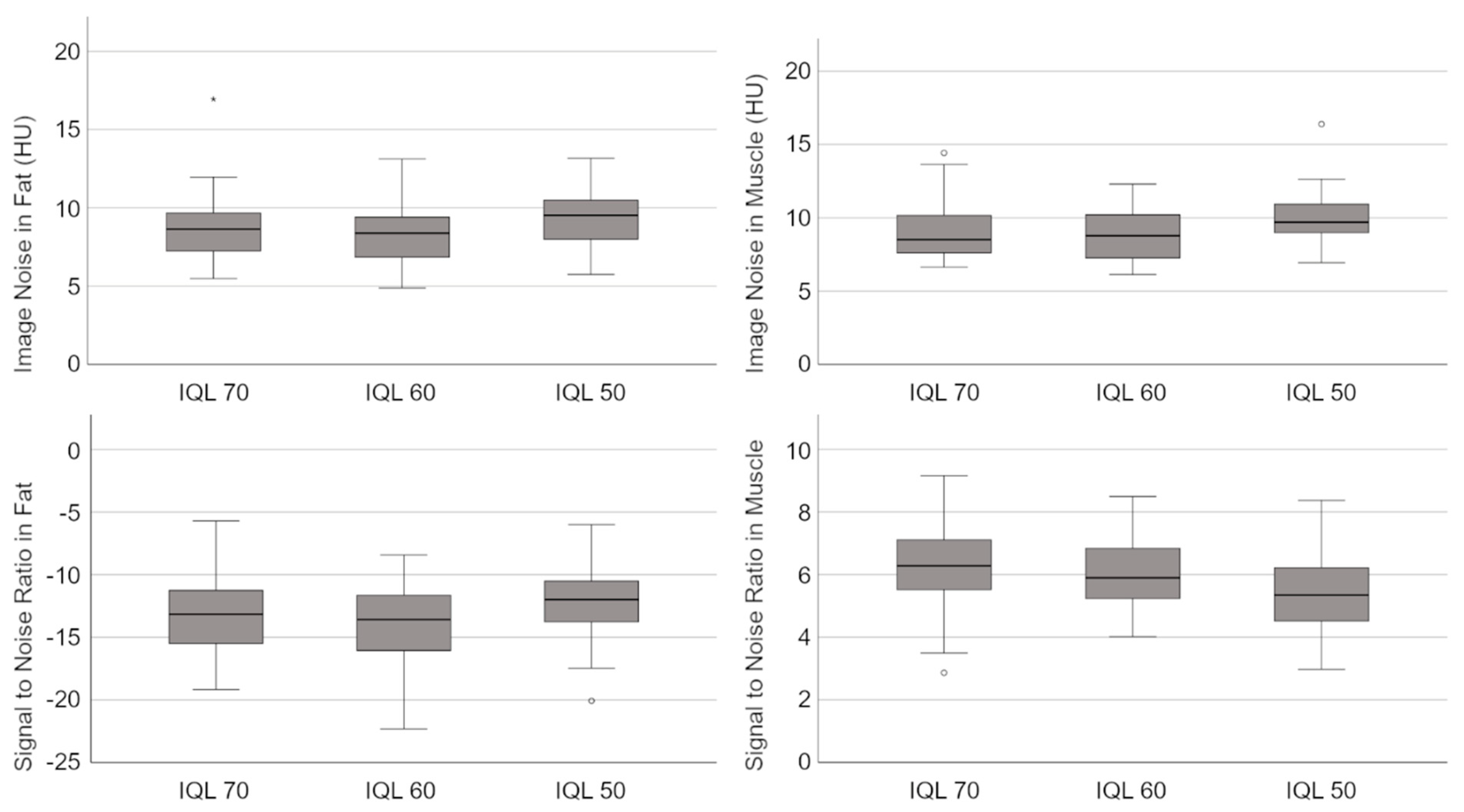
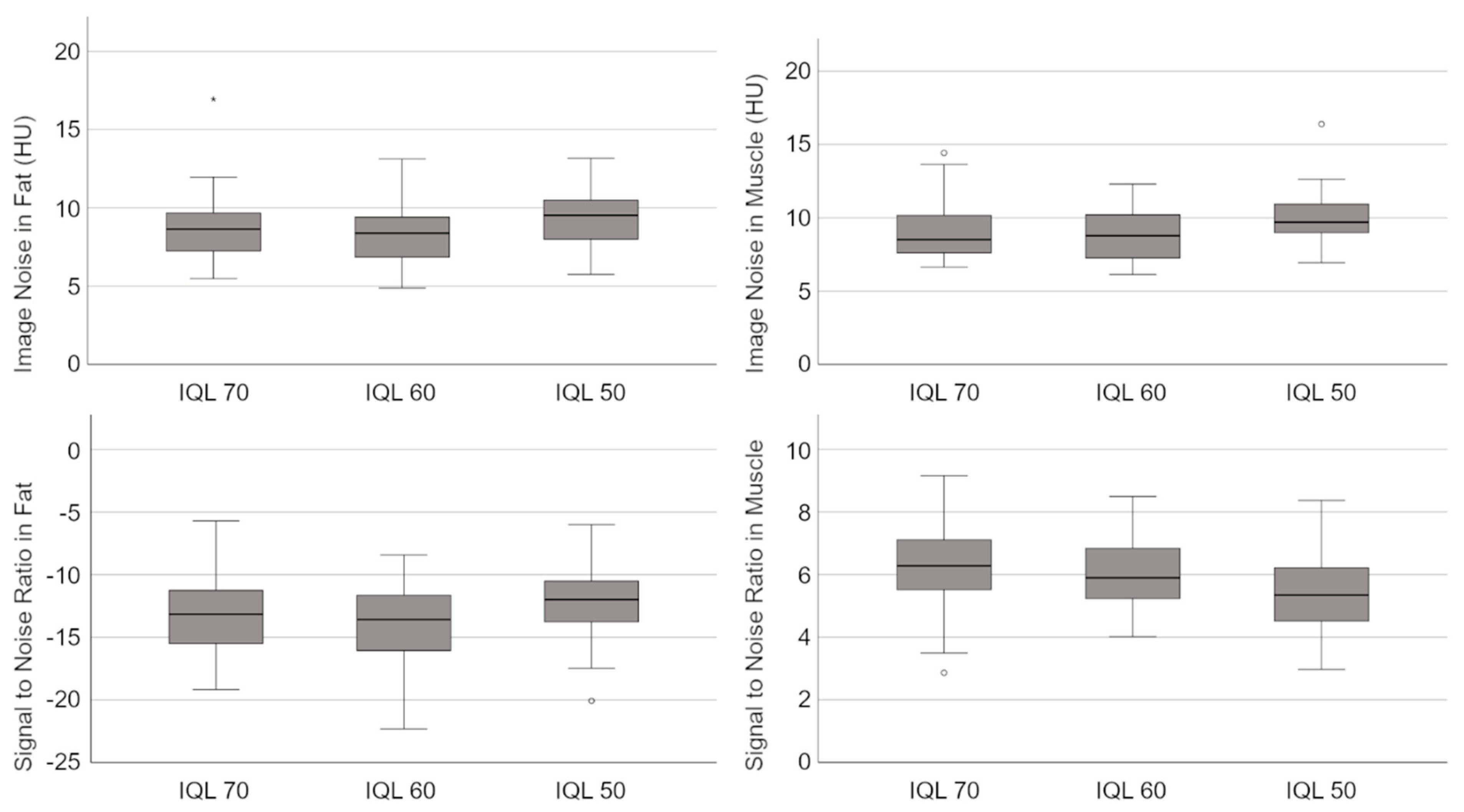
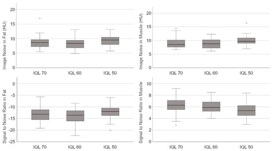
| Signal-to-Noise Ratio (SNR) | |||||||
| Muscle | † 6.20 | ±1.52 | 6.14 | ±1.22 | † 5.39 | ±1.25 | p = 0.023 |
| Fat | 13.33 | ±3.27 | 13.92 | ±3.30 | 12.20 | ±2.88 | p = 0.079 |
| Image Noise | |||||||
| Muscle | 9.13 | ±1.99 | 8.87 | ±1.65 | 9.91 | ±1.77 | p = 0.052 |
| Fat | 8.57 | ±2.25 | 8.20 | ±1.83 | 9.24 | ±1.86 | p = 0.099 |
| IQL 70 | IQL 60 | IQL 50 | Stat. Test | ||||
|---|---|---|---|---|---|---|---|
| Mean | SD | Mean | SD | Mean | SD | ||
| Diagnostic confidence | 4.44 | ±0.91 | 4.48 | ±0.94 | 4.47 | ±0.83 | p = 0.653 |
| Overall image quality | 4.19 | ±0.86 | 4.28 | ±0.94 | 4.07 | ±1.00 | p = 0.311 |
| Image noise | 3.85 | ±0.74 | 3.84 | ±0.83 | 3.76 | ±0.82 | p = 0.643 |
| Image sharpness | 4.22 | ±0.82 | 4.35 | ±0.82 | 4.17 | ±0.88 | p = 0.269 |
Disclaimer/Publisher’s Note: The statements, opinions and data contained in all publications are solely those of the individual author(s) and contributor(s) and not of MDPI and/or the editor(s). MDPI and/or the editor(s) disclaim responsibility for any injury to people or property resulting from any ideas, methods, instructions or products referred to in the content. |
© 2023 by the authors. Licensee MDPI, Basel, Switzerland. This article is an open access article distributed under the terms and conditions of the Creative Commons Attribution (CC BY) license (https://creativecommons.org/licenses/by/4.0/).
Share and Cite
Niehoff, J.H.; Carmichael, A.F.; Woeltjen, M.M.; Boriesosdick, J.; Michael, A.E.; Schmidt, B.; Panknin, C.; Flohr, T.G.; Shahzadi, I.; Piechota, H.; et al. Clinical Low-Dose Photon-Counting CT for the Detection of Urolithiasis: Radiation Dose Reduction Is Possible without Compromising Image Quality. Diagnostics 2023, 13, 458. https://doi.org/10.3390/diagnostics13030458
Niehoff JH, Carmichael AF, Woeltjen MM, Boriesosdick J, Michael AE, Schmidt B, Panknin C, Flohr TG, Shahzadi I, Piechota H, et al. Clinical Low-Dose Photon-Counting CT for the Detection of Urolithiasis: Radiation Dose Reduction Is Possible without Compromising Image Quality. Diagnostics. 2023; 13(3):458. https://doi.org/10.3390/diagnostics13030458
Chicago/Turabian StyleNiehoff, Julius Henning, Alexandra Fiona Carmichael, Matthias Michael Woeltjen, Jan Boriesosdick, Arwed Elias Michael, Bernhard Schmidt, Christoph Panknin, Thomas G. Flohr, Iram Shahzadi, Hansjuergen Piechota, and et al. 2023. "Clinical Low-Dose Photon-Counting CT for the Detection of Urolithiasis: Radiation Dose Reduction Is Possible without Compromising Image Quality" Diagnostics 13, no. 3: 458. https://doi.org/10.3390/diagnostics13030458
APA StyleNiehoff, J. H., Carmichael, A. F., Woeltjen, M. M., Boriesosdick, J., Michael, A. E., Schmidt, B., Panknin, C., Flohr, T. G., Shahzadi, I., Piechota, H., Borggrefe, J., & Kroeger, J. R. (2023). Clinical Low-Dose Photon-Counting CT for the Detection of Urolithiasis: Radiation Dose Reduction Is Possible without Compromising Image Quality. Diagnostics, 13(3), 458. https://doi.org/10.3390/diagnostics13030458

