Histological Changes in Portal Cavernoma Cholangiopathy
Abstract
1. Introduction
2. Patients and Methods
2.1. Patients
2.2. Methods
2.2.1. Histopathology
2.2.2. Histopathological Characteristics Assessed
2.2.3. Statistical Analysis
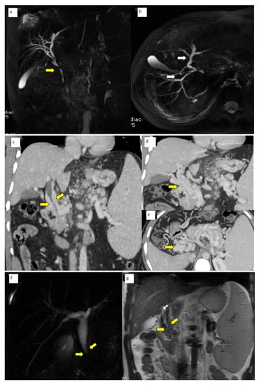
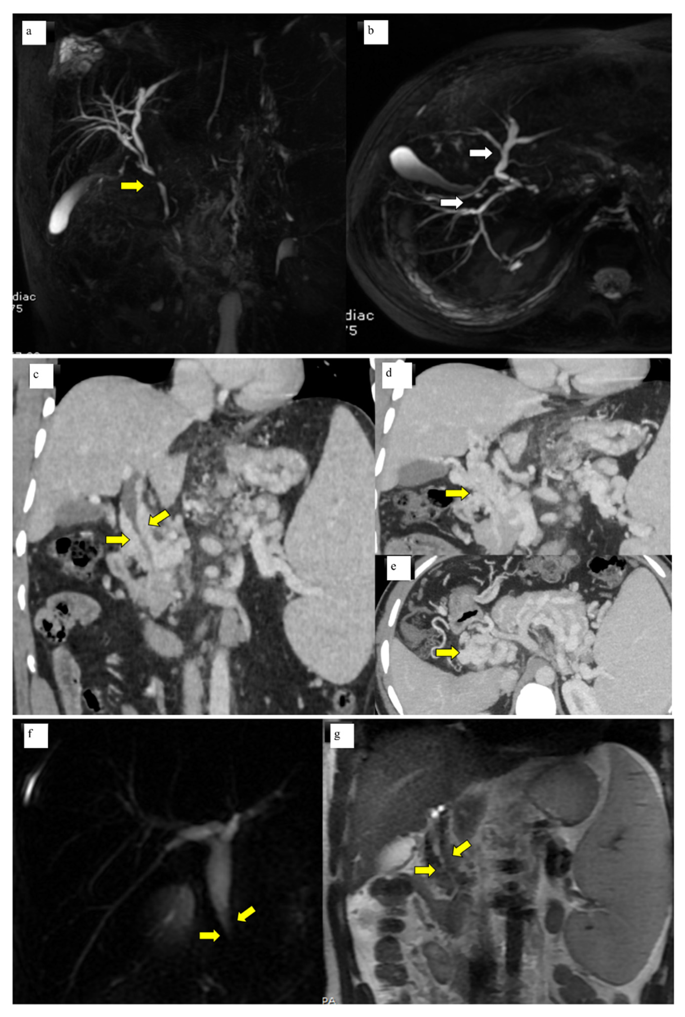
3. Results
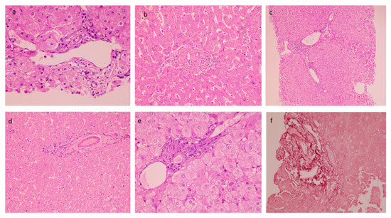
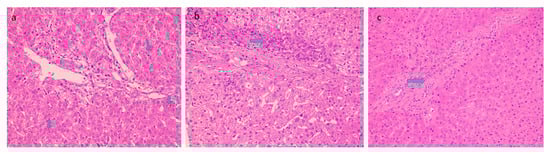
Histopathology
4. Discussion
5. Conclusions
Author Contributions
Funding
Institutional Review Board Statement
Informed Consent Statement
Data Availability Statement
Acknowledgments
Conflicts of Interest
References
- Sarin, S.K.; Sollano, J.D.; Chawla, Y.K.; Baijal, S.S.; Dhiman, R.K.; Jafri, W.; Amarapurkar, D.; Hamid, S.; Hashizume, M.; Jafri, W.; et al. Consensus on extra-hepatic portal vein obstruction. Liver Int. 2006, 26, 512–519. [Google Scholar] [CrossRef] [PubMed]
- Sarin, S.K.; Bhatia, V.; Makwane, U. Portal biliopathy in extrahepatic portal vein obstruction. Indian J. Gastroenterol. 1992, 2, A82. [Google Scholar]
- Khuroo, M.S.; Yatoo, G.N.; Zargar, S.A.; Javid, G.; Dar, M.Y.; Khan, B.A.; Boda, M.I. Biliary abnormalities associated with extrahepatic portal venous obstruction. Hepatology 1993, 17, 807–813. [Google Scholar] [CrossRef]
- Chandra, R.; Tharakan, A.; Kapoor, D.; Sarin, S.K. Comparative study of portal biliopathy in patients with portal hypertension due to different aetiologies. Indian J. Gastroenterol. 1997, 15, A59. [Google Scholar]
- Dilawari, J.B.; Chawla, Y.K. Pseudosclerosing cholangitis in extrahepatic portal venous obstruction. Gut 1992, 33, 272–276. [Google Scholar] [CrossRef]
- Khuroo, M.S.; Rather, A.A.; Khuroo, N.S.; Khuroo, M.S. Portal biliopathy. World J. Gastroenterol. 2016, 22, 7973–7982. [Google Scholar] [CrossRef]
- Pittman, M.E.; Kierans, A.S.; Rao, D.; Yantiss, R.K.; Samstein, B.; Jessurun, J. Portal Cavernoma Cholangiopathy: Histologic Features and Differential Diagnosis. Am. J. Clin. Pathol. 2019, 151, 255–262. [Google Scholar] [CrossRef]
- Weiss, B.; Shteyer, E.; Vivante, A.; Berkowitz, D.; Reif, S.; Weizman, Z.; Bujanover, Y.; Shapiro, R. Etiology and long-term outcome of extrahepatic portal vein obstruction in children. World J. Gastroenterol. 2010, 16, 4968–4972. [Google Scholar] [CrossRef]
- Flores-Calderon, J.; Moran-Villota, S.; Rouassant, S.H.; Nares-Cisneros, J.; Zarate-Mondragon, F.; Gonzalez-Ortiz, B.; Varela-Fascinetto, G.V. Guidelines for the diagnosis and treatment of extrahepatic portal vein obstruction (EHPVO) in children. Ann. Hepatol. 2013, 12, S3–S24. [Google Scholar] [CrossRef]
- Chawla, Y.; Agrawal, S. Portal cavernoma cholangiopathy—History, definition and nomenclature. J. Clin. Exp. Hepatol. 2014, 4, S15–S17. [Google Scholar] [CrossRef][Green Version]
- Bayraktar, Y. Portal ductopathy: Clinical importance and nomenclature. World J. Gastroenterol. 2011, 17, 1410–1415. [Google Scholar] [CrossRef]
- Duseja, A. Portal cavernoma cholangiopathy (PCC)—Clinical characteristics. J. Clin. Exp. Hepatol. 2014, 4, S34–S36. [Google Scholar]
- Sarin, S.K.; Kapoor, D. Non-cirrhotic portal fibrosis: Current concepts and management. J. Gastroenterol. Hepatol. 2002, 17, 526–534. [Google Scholar] [CrossRef]
- Premkumar, M.; Dhiman, R.K. Portal Cavernoma Cholangiopathy: Indian Perspective. Clin. Liver Dis. 2021, 18, 127–137. [Google Scholar] [CrossRef]
- Suárez, V.; Puerta, A.; Santos, L.F.; Pérez, J.M.; Varón, A.; Botero, R.C. Portal hypertensive biliopathy: A single center experience and literature review. World J. Hepatol. 2013, 5, 137–144. [Google Scholar] [CrossRef]
- Khanna, R.; Sarin, S.K. Noncirrhotic portal hypertension: Current and emerging perspectives. Clin. Liver Dis. 2019, 23, 781–807. [Google Scholar] [CrossRef]
- Schouten, J.; Garcia-Pagan, J.C.; Valla, D.C.; Janssen, H.L. Idiopathic noncirrhotic portal hypertension. Hepatology 2011, 54, 1071–1081. [Google Scholar] [CrossRef]
- Sarin, S.K.; Khanna, R. Non-cirrhotic portal hypertension. Clin Liver Dis. 2014, 18, 451–476. [Google Scholar] [CrossRef]
- Petren, T. The veins of extrahepatic biliary system and their pathologic anatomic significance. Verh. Anat. Ges. 1932, 41, 139–143. [Google Scholar]
- Saint, O.A. The epicholedochal venous plexus and its importance as a mean of identifying the common bile duct during operations on extrahepatic biliary tract. Br. J. Surg. 1971, 46, 489–498. [Google Scholar]
- Condat, B.; Vilgrain, V.; Asselah, T.; O'Toole, D.; Rufat, P.; Zappa, M.; Moreau, R.; Valla, D. Portal cavernoma-associated cholangiopathy: A clinical and MR cholangiography coupled with MR portography imaging study. Hepatology 2003, 37, 1302–1308. [Google Scholar] [CrossRef] [PubMed]
- Dhiman, R.K.; Puri, P.; Chawla, Y.; Minz, M.; Bapuraj, J.R.; Gupta, S.; Nagi, B.; Suri, S. Biliary changes in extrahepatic portal venous obstruction: Compression by collaterals or ischaemic? Gastrointest Endosc. 1999, 50, 646–652. [Google Scholar] [CrossRef] [PubMed]
- Schlansky, B.; Kaufman, J.A.; Bakis, G.; Naugler, W.E. Portal Biliopathy Causing Recurrent Biliary Obstruction and Hemobilia. ACG Case Rep. J. 2013, 1, 44–46. [Google Scholar] [CrossRef] [PubMed]



| Parameters | Values |
|---|---|
| Age, years | 27 (15–35) |
| Gender, M:F | 36:14 |
| Hemoglobin, g/dL | 10.8 (9–12) |
| Total leukococyte count/L × 10−6 | 6 (4.6–8) |
| Platelet count/L × 10−9 | 89 (68–118) |
| Serum Bilirubin, mg/dL | 1.5 (0.8–2.4) |
| Serum alkaline phosphatase, IU/L | 109 (70–193) |
| Gamma Gultamyl transpeptidase, IU/L | 25.5 (14.7–74) |
| Coagulation abnormalities, None/JAK2/MTHFR/Factor V leidon/Protein C/S deficient | 41/1/4/2/2 |
| Spleen size, cm | 17 (14.7–22) |
| Varices, no/yes | 10/40 |
| Ascites, no/yes | 46/4 |
| Radiological Features | Frequencies |
|---|---|
| Thrombus length, mm | 23 (10–45) |
| Thrombus location, along with portal vein-Splenic Vein/Superior mesenteric vein/both | 17/3/10 |
| Portal Cavernoma Cholangiopathy, classification 1/2/3a/3b | 8/9/5/28 |
| Associated Intrahepatic cavernoma, no/yes | 11/39 |
| Portosystemic collaterals, no/yes | 8/42 |
| Bilobar intrahepatic biliary radical dilatation, none/mild to moderate/severe | 24/10/16 |
| Common bile duct contours smooth/wavy or mild indentation/stricture | 5/45/1 |
| Common bile duct calculi, no/yes | 41/9 |
| Common bile duct angle, degree | 140 (130–157) |
| Extrahepatic Common bile duct stricture, no/yes | 42/8 |
| Shunting-Proximal Lienorenal Shunt/mesocaval shunt/gastrorenal shunt | 14/34/1/1 |
| Histopathology Parameters | Mean ± SD |
|---|---|
| Mean biopsy length (cm) | 1.67 ± 0.28 |
| The average number of portal tracts | 9.72 ± 3.04 |
| Portal mononuclear inflammation | 41 (82%) |
| Portal mixed inflammation | 9 (18%) |
| Bile ductular reaction; of which mild ductular reaction | 22 (44%) 19 (86%) |
| Reactive biliary changes | 5 (10%) |
| Portal vein narrowing or obliteration | 16 (32%) |
| Arterialized vein wall with elastosis | 3 (6%) |
| Recanalized dilated multiple venous channels replacing portal vein | 36 (72%) |
| Para-portal dilated veins and sinusoids | 27 (54%) |
| Hepatic arteries—thickened wall and increased number of profiles | 35 (70%) |
| Increased periportal and/or zone 3 perisinusoidal fibrosis | 19 (38%) |
| Occasional thin fibrous septal fibrosis—none of the cases developed cirrhosis | 6 (12%) |
| Sinusoidal dilatation | 13 (26%) |
| Central vein dilatation | 20 (40%) |
| Remnant portal tracts | 10 (20%) |
| Hepato-canalicular bile | 9 (18%) |
| Concomitant minimal to mild steatosis | 12 (24%) |
Disclaimer/Publisher’s Note: The statements, opinions and data contained in all publications are solely those of the individual author(s) and contributor(s) and not of MDPI and/or the editor(s). MDPI and/or the editor(s) disclaim responsibility for any injury to people or property resulting from any ideas, methods, instructions or products referred to in the content. |
© 2023 by the authors. Licensee MDPI, Basel, Switzerland. This article is an open access article distributed under the terms and conditions of the Creative Commons Attribution (CC BY) license (https://creativecommons.org/licenses/by/4.0/).
Share and Cite
Rastogi, A.; Bihari, C.; Thapar, S.L.; Bhatia, V. Histological Changes in Portal Cavernoma Cholangiopathy. Diagnostics 2023, 13, 436. https://doi.org/10.3390/diagnostics13030436
Rastogi A, Bihari C, Thapar SL, Bhatia V. Histological Changes in Portal Cavernoma Cholangiopathy. Diagnostics. 2023; 13(3):436. https://doi.org/10.3390/diagnostics13030436
Chicago/Turabian StyleRastogi, Archana, Chhagan Bihari, Shalini L. Thapar, and Vikram Bhatia. 2023. "Histological Changes in Portal Cavernoma Cholangiopathy" Diagnostics 13, no. 3: 436. https://doi.org/10.3390/diagnostics13030436
APA StyleRastogi, A., Bihari, C., Thapar, S. L., & Bhatia, V. (2023). Histological Changes in Portal Cavernoma Cholangiopathy. Diagnostics, 13(3), 436. https://doi.org/10.3390/diagnostics13030436

