[18F]FDG Uptake in Non-Infected Endovascular Grafts: A Retrospective Study
Abstract
1. Introduction
2. Materials and Methods
2.1. Patients Population
2.2. Ethical Requirements
2.3. Preoperative Work-Up, Intervention, Postoperative Follow-Up
2.4. [18F]FDG PET/CT
3. Statistical Analysis
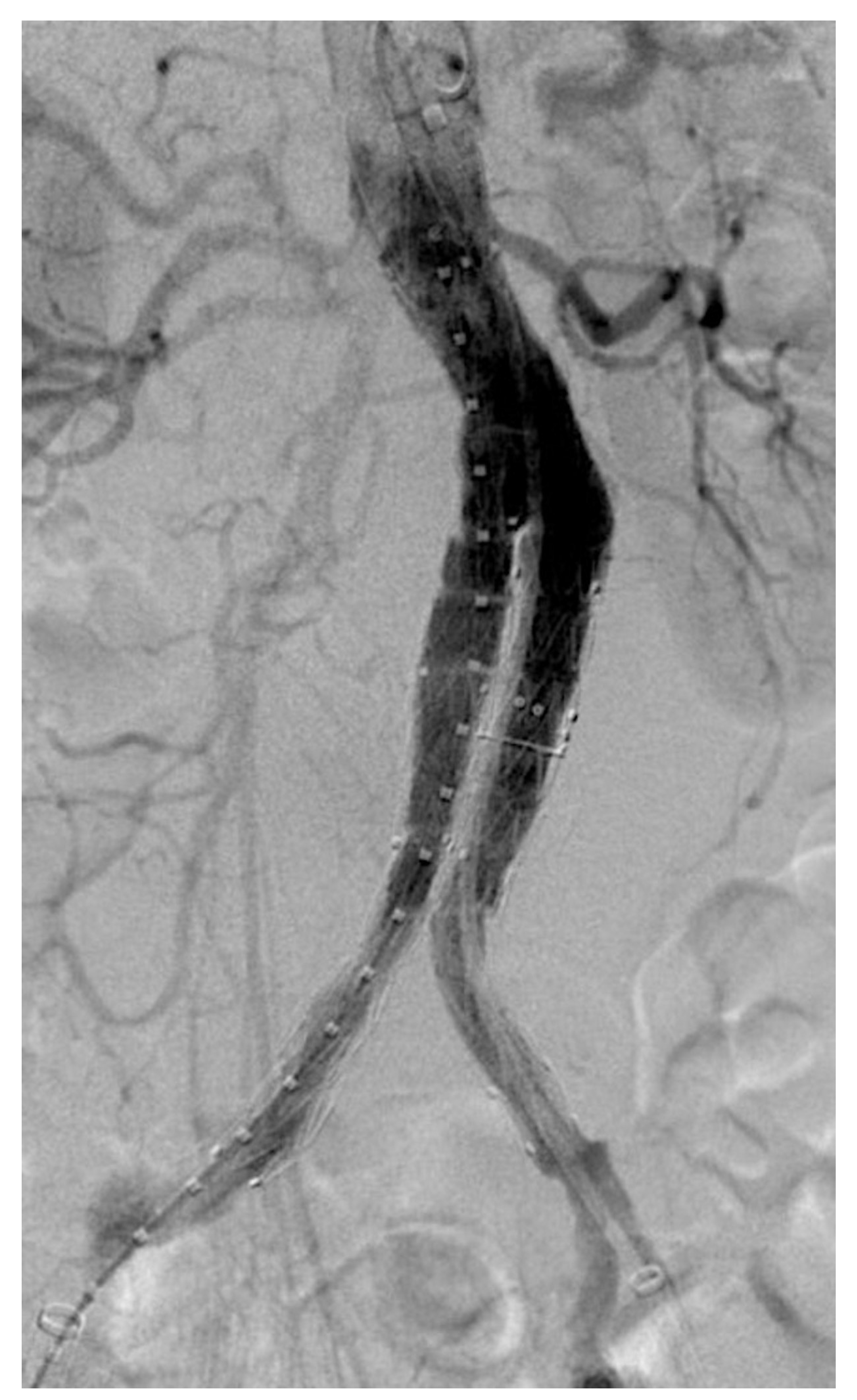
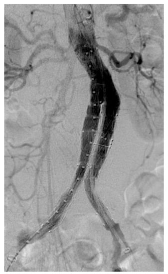
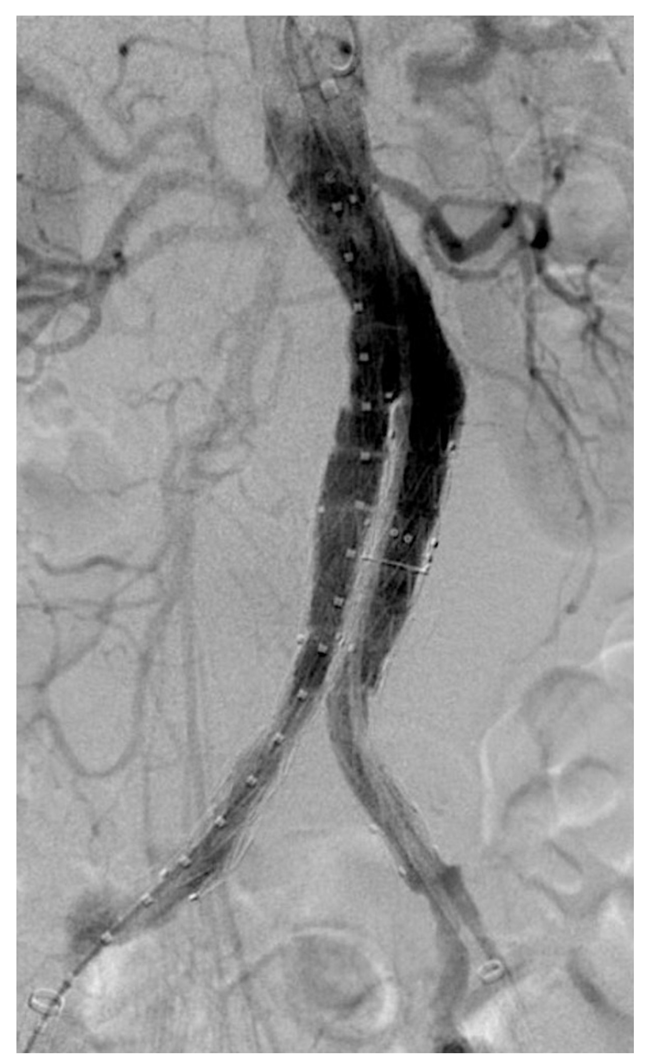
4. Results
5. Discussion
6. Conclusions
Author Contributions
Funding
Institutional Review Board Statement
Informed Consent Statement
Data Availability Statement
Conflicts of Interest
References
- Pratesi, C.; Esposito, D.; Apostolou, D.; Attisani, L.; Bellosta, R.; Benedetto, F.; Blangetti, I.; Bonardelli, S.; Casini, A.; Fargion, A.T.; et al. Italian Guidelines for Vascular Surgery Collaborators—AAA Group. Guidelines on the management of abdominal aortic aneurysms: Updates from the Italian Society of Vascular and Endovascular Surgery (SICVE). J. Cardiovasc. Surg. 2022, 63, 328–352. [Google Scholar] [CrossRef] [PubMed]
- Karaolanis, G.I.; Antonopoulos, C.N.; Charbonneau, P.; Georgakarakos, E.; Moris, D.; Scali, S.; Kotelis, D.; Donas, K. A systematic review and meta-analysis of stroke rates in patients undergoing thoracic endovascular aortic repair for descending thoracic aortic aneurysm and type B dissection. J. Vasc Surg. 2022, 76, 292–301.e3. [Google Scholar] [CrossRef] [PubMed]
- Swain, T.W., III; Calligaro, K.D.; Dougherty, M.D. Management of infected aortic prosthetic grafts. Vasc Endovascular. Surg. 2004, 38, 75–82. [Google Scholar] [CrossRef]
- Wanhainen, A.; Verzini, F.; Van Herzeele, I.; Allaire, E.; Bown, M.; Chohnert, T.; Dick, F.; van Herwaarden, J.; Karkos, C.; Koelemay, M.; et al. Editor’s Choice—European Society for Vascular Surgery (ESVS) 2019 Clinical Practice Guidelines on the Management of Abdominal Aorto-iliac Artery Aneurysms. Eur. J. Vasc. Endovasc. Surg. 2019, 57, 8–93, Erratum in Eur. J. Vasc. Endovasc. Surg. 2020, 59, 494. [Google Scholar] [CrossRef]
- Kouvelos, G.N.; Oikonomou, K.; Antoniou, G.A.; Verhoeven, E.L.; Katsargyris, A. A systematic review of proximal neck dilatation after endovascular repair for abdominal aortic aneurysm. J. Endovasc. Ther. 2017, 24, 59–67. [Google Scholar] [CrossRef] [PubMed]
- Paravastu, S.C.; Jayarajasingam, R.; Cottam, R.; Palfreyman, S.J.; Michaels, J.A.; Thomas, S.M. Endovascular repair of abdominal aortic aneurysm. Cochrane Database Syst. Rev. 2014, 23, CD004178. [Google Scholar] [CrossRef] [PubMed]
- Capoccia, L.; Speziale, F.; Menna, D.; Esposito, A.; Sirignano, P.; Rizzo, A.R.; Mansour, W.; Montelione, N.; Sbarigia, E.; Setacci, C. Collaborators. Preliminary Results from a National Enquiry of Infection in Abdominal Aortic Endovascular Repair (Registry of Infection in EVAR—R.I.EVAR). Ann. Vasc. Surg. 2016, 30, 198–204. [Google Scholar] [CrossRef]
- Lauri, C.; Signore, A.; Glaudemans, A.W.J.M.; Treglia, G.; Gheysens, O.; Slart, R.H.J.A.; Iezzi, R.; Prakken, N.H.J.; Debus, E.S.; Honig, S.; et al. Evidence-based guideline of the European Association of Nuclear Medicine (EANM) on imaging infection in vascular grafts. Eur. J. Nucl. Med. Mol. Imaging 2022, 49, 3430–3451. [Google Scholar] [CrossRef]
- Lauri, C.; Iezzi, R.; Rossi, M.; Tinelli, G.; Sica, S.; Signore, A.; Posa, A.; Tanzilli, A.; Panzera, C.; Taurino, M.; et al. Imaging Modalities for the Diagnosis of Vascular Graft Infections: A Consensus Paper amongst Different Specialists. J. Clin. Med. 2020, 9, 1510. [Google Scholar] [CrossRef]
- Jamar, F.; Buscombe, J.; Chiti, A.; Christian, P.E.; Delbeke, D.; Donohoe, K.J.; Israel, O.; Martin-Comin, J.; Signore, A. EANM/SNMMI guideline for 18F-FDG use in inflammation and infection. J. Nucl. Med. 2013, 54, 647–658. [Google Scholar] [CrossRef]
- Casali, M.; Lauri, C.; Altini, C.; Bertagna, F.; Cassarino, G.; Cistaro, A.; Erba, A.P.; Ferrari, C.; Mainolfi, C.G.; Palucci, A.; et al. State of the art of 18F-FDG PET/CT application in inflammation and infection: A guide for image acquisition and interpretation. Clin. Transl. Imaging 2021, 9, 299–339. [Google Scholar] [CrossRef] [PubMed]
- Signore, A.; Casali, M.; Lauri, C. An easy and practical guide for imaging infection/inflammation by [18F]FDG PET/CT. Clin. Transl. Imaging 2021, 9, 283–297. [Google Scholar] [CrossRef] [PubMed]
- Treglia, G.; Maggi, F.; Bonomo, L.; Giordano, A. Usefulness of fluorine-18 fluorodeoxyglucose PET/computed tomography in diagnosis of aortitis and treatment response evaluation in a patient with aortic prosthesis. J. Cardiovasc. Med. 2011, 12, 814–816. [Google Scholar] [CrossRef] [PubMed]
- Keidar, Z.; Pirmisashvili, N.; Leiderman, M.; Nitecki, S.; Israel, O. 18F-FDG uptake in noninfected prosthetic vascular grafts: Incidence, patterns, and changes over time. J. Nucl. Med. 2014, 55, 392–395. [Google Scholar] [CrossRef] [PubMed]
- Lyons, O.T.; Baguneid, M.; Barwick, T.D.; Bell, R.E.; Foster, N.; Homer-Vanniasinkam, S.; Hopkins, S.; Hussain, A.; Katsanos, K.; Modarai, B.; et al. Diagnosis of Aortic Graft Infection: A Case Definition by the Management of Aortic Graft Infection Collaboration (MAGIC). Eur. J. Vasc. Endovasc. Surg. 2016, 52, 758–763. [Google Scholar] [CrossRef]
- Faggioli, G.; Scalone, L.; Mantovani, L.; Borghetti, F.; Stella, A. Preferences of patients, their family caregivers and vascular surgeons in the choice of abdominal aortic aneurysms treatment options: The PREFER study. Eur. J. Vasc. Endovasc. Surg. 2011, 42, 26–34. [Google Scholar] [CrossRef]
- Setacci, F.; Sirignano, P.; Cappelli, A. The wonders of a newly available post-analysis CT software in the hands of vascular surgeons. Eur. J. Vasc. Endovasc. Surg. 2012, 43, 404–406. [Google Scholar] [CrossRef]
- Sah, B.R.; Husmann, L.; Mayer, D.; Scherrer, A.; Rancic, Z.; Puippe, G.; Weber, R.; Hasse, B. VASGRA Cohort. Diagnostic performance of 18F-FDG-PET/CT in vascular graft infections. Eur. J. Vasc. Endovasc. Surg. 2015, 49, 455–464. [Google Scholar] [CrossRef]
- Saleem, B.R.; Berger, P.; Vaartjes, I.; de Keizer, B.; Vonken, E.J.; Slart, R.H.; de Borst, G.J.; Zeebregts, C.J. Modest utility of quantitative measures in (18)F-fluorodeoxyglucose positron emission tomography scanning for the diagnosis of aortic prosthetic graft infection. J. Vasc. Surg. 2015, 61, 965–971. [Google Scholar] [CrossRef]
- Mitra, A.; Pencharz, D.; Davis, M.; Wagner, T. Determining the diagnostic value of 18F-fluorodeoxyglucose positron emission/computed tomography in detecting prosthetic aortic graft infection. Ann. Vasc. Surg. 2018, 53, 78–85. [Google Scholar] [CrossRef]
- Zogala, D.; Rucka, D.; Ptacnik, V.; Cerny, V.; Trnka, J.; Varejka, P.; Heller, S.; Lambert, L. How to recognize stent graft infection after endovascular aortic repair: The utility of 18F-FDG PET/CT in an infrequent but serious clinical setting. Ann. Nucl. Med. 2019, 33, 594–605. [Google Scholar] [CrossRef] [PubMed]
- Keidar, Z.; Engel, A.; Hoffman, A.; Israel, O.; Nitecki, S. Prosthetic vascular graft infection: The role of 18F-FDG PET/CT. J. Nucl. Med. 2007, 48, 1230–1236. [Google Scholar] [CrossRef] [PubMed]
- Lauwers, P.; Van den Broeck, S.; Carp, L.; Hendriks, J.; Van Schil, P.; Blockx, P. The use of positron emission tomography with (18)Ffluorodeoxyglucose for the diagnosis of vascular graft infection. Angiology 2007, 58, 717.e24. [Google Scholar] [CrossRef]
- Berger, P.; Vaartjes, I.; Scholtens, A.; Moll, F.L.; De Borst, G.J.; De Keizer, B.; Bots, M.L.; Blankensteijn, J.D. Differential FDG-PET Uptake Patterns in Uninfected and Infected Central Prosthetic Vascular Grafts. Eur. J. Vasc. Endovasc. Surg. 2015, 50, 376–383. [Google Scholar] [CrossRef]
- Tokuda, Y.; Oshima, H.; Araki, Y.; Narita, Y.; Mutsuga, M.; Kato, K.; Usui, A. Detection of thoracic aortic prosthetic graft infection with 18F-fluorodeoxyglucose positron emission tomography/computed tomography. Eur. J. Cardiothorac. Surg. 2013, 43, 1183–1187. [Google Scholar] [CrossRef] [PubMed]
- Guenther, S.P.; Cyran, C.C.; Rominger, A.; Saam, T.; Kazmierzcak, P.M.; Bagaev, E.; Pichlmaier, M.; Hagl, C.; Khaladj, N. The relevance of 18F-fluorodeoxyglucose positron emission tomography/computed tomography imaging in diagnosing prosthetic graft infections post cardiac and proximal thoracic aortic surgery. Interact. Cardiovasc. Thorac. Surg. 2015, 21, 450–458. [Google Scholar] [CrossRef]
- Rojoa, D.; Kontopodis, N.; Antoniou, S.A.; Ioannou, C.V.; Antoniou, G.A. 18F-FDG PET in the Diagnosis of Vascular Prosthetic Graft Infection: A Diagnostic Test Accuracy Meta-Analysis. Eur. J. Vasc. Endovasc. Surg. 2019, 57, 292–301. [Google Scholar] [CrossRef]
- Reinders Folmer, E.I.; von Meijenfeldt, G.C.I.; Te Riet Ook Genaamd Scholten, R.S.; van der Laan, M.J.; Glaudemans, A.W.J.M.; Slart, R.H.J.A.; Zeebregts, C.J.; Saleem, B.R. A systematic review and meta-analysis of 18F-fluoro-d-deoxyglucose positron emission tomography interpretation methods in vascular graft and endograft infection. J. Vasc. Surg. 2020, 72, 2174–2185.e2. [Google Scholar] [CrossRef]
- Martínez-López, D.; Rodríguez Alfonso, B.; Ramos Martínez, A.; Martín López, C.E.; de Villarreal Soto, J.E.; Ríos Rosado, E.C.; Villar García, S.; Ospina Mosquera, V.M.; Serrano Fiz, S.; Burgos Lázaro, R.; et al. Are 18F-fluorodeoxyglucose positron emission tomography results reliable in patients with ascending aortic grafts? A prospective study in non-infected patients. Eur. J. Cardiothorac. Surg. 2021, 60, 148–154. [Google Scholar] [CrossRef]
- Spacek, M.; Belohlavek, O.; Votrubova, J.; Sebesta, P.; Stadler, P. Diagnostics of “non-acute” vascular prosthesis infection using 18F-FDG PET/CT: Our experience with 96 prostheses. EJNMMI 2009, 36, 850–858. [Google Scholar]
- Bruggink, J.L.; Glaudemans, A.W.; Saleem, B.R.; Meerwaldt, R.; Alkefaji, H.; Prins, T.R.; Slart, R.H.; Zeebregts, C.J. Accuracy of FDG-PET-CT in the diagnostic work-up of vascular prosthetic graft infection. Eur. J. Vasc. Endovasc. Surg. 2010, 40, 348–354. [Google Scholar] [CrossRef] [PubMed]





| Parameter | Absolute Frequency (%) |
|---|---|
| Gender (male/female) | 13 (81.25)/3 (18.75) |
| Smoke (yes/no) | 6 (37.50)/10 (62.50) |
| Hypertension (yes/no) | 11 (68.75)/5 (31.25) |
| Dyslipidemia (yes/no) | 7 (43.75)/9 (56.25) |
| Diabetes (yes/no) | 3 (18.75)/13 (81.25) |
| Previous cardiac attack (yes/no) | 6 (37.50)/10 (62.50) |
| Parameter | Mean ± SD–(95% CI) |
| Age (years) | 71.81 ± 6.23–(68.49–75.13) |
| WBC count (103/µL) | 7.07 ± 1.87–(6.07–8.06) |
| CRP (mg/dL) | 2.08 ± 2.52–(0.73–3.42) |
| ESR (mm/h) | 9.50 ± 3.72–(7.51–11.48) |
| SUVmax | 2.63 ± 0.48–(2.38–2.88) |
| SUVmean | 1.90 ± 0.33–(1.72–2.08) |
| T/B ratio | 1.43 ± 0.41–(1.21–1.65) |
| Pt. | Time from Surgery (Months) | ESR (mm/h) | WBC Count (103/uL) | CRP (mg/dl) | SUVmax | SUVmean | T/B Ratio |
|---|---|---|---|---|---|---|---|
| 1 | 36 | 5 | 6.90 | 0.40 | 3.21 | 1.78 | 0.80 |
| 2 | 36 | 7 | 5.45 | 4.30 | 2.54 | 1.92 | 1.01 |
| 3 | 24 | 7 | 7.50 | 1.90 | 2.72 | 1.79 | 1.33 |
| 4 | 24 | 10 | 5.60 | 1.20 | 2.52 | 1.89 | 1.21 |
| 5 | 12 | 16 | 5.90 | 0.36 | 2.96 | 2.04 | 1.29 |
| 6 | 12 | 8 | 6.10 | 3.42 | 3.00 | 1.98 | 1.56 |
| 7 | 12 | 6 | 7.47 | 0.30 | 2.20 | 1.76 | 1.21 |
| 8 | 10 | 12 | 8.00 | 0.60 | 3.45 | 2.36 | 1.76 |
| 9 | 6 | 9 | 9.00 | 1.00 | 2.82 | 1.81 | 1.08 |
| 10 | 7 | 10 | 7.36 | 0.40 | 2.70 | 1.80 | 1.06 |
| 11 | 4 | 7 | 5.64 | 2.00 | 2.32 | 2.05 | 1.78 |
| 12 | 1 | 5 | 7.30 | 0.50 | 1.48 | 0.98 | 2.28 |
| 13 | 1 | 12 | 11.00 | 1.00 | 2.23 | 1.95 | 2.05 |
| 14 | 1 | 16 | 5.26 | 7.20 | 3.03 | 2.07 | 1.14 |
| 15 | 1 | 15 | 10.40 | 8.37 | 2.23 | 1.64 | 1.49 |
| 16 | 1 | 7 | 4.20 | 0.30 | 2.68 | 2.54 | 1.83 |
Disclaimer/Publisher’s Note: The statements, opinions and data contained in all publications are solely those of the individual author(s) and contributor(s) and not of MDPI and/or the editor(s). MDPI and/or the editor(s) disclaim responsibility for any injury to people or property resulting from any ideas, methods, instructions or products referred to in the content. |
© 2023 by the authors. Licensee MDPI, Basel, Switzerland. This article is an open access article distributed under the terms and conditions of the Creative Commons Attribution (CC BY) license (https://creativecommons.org/licenses/by/4.0/).
Share and Cite
Lauri, C.; Signore, A.; Campagna, G.; Aloisi, F.; Taurino, M.; Sirignano, P. [18F]FDG Uptake in Non-Infected Endovascular Grafts: A Retrospective Study. Diagnostics 2023, 13, 409. https://doi.org/10.3390/diagnostics13030409
Lauri C, Signore A, Campagna G, Aloisi F, Taurino M, Sirignano P. [18F]FDG Uptake in Non-Infected Endovascular Grafts: A Retrospective Study. Diagnostics. 2023; 13(3):409. https://doi.org/10.3390/diagnostics13030409
Chicago/Turabian StyleLauri, Chiara, Alberto Signore, Giuseppe Campagna, Francesco Aloisi, Maurizio Taurino, and Pasqualino Sirignano. 2023. "[18F]FDG Uptake in Non-Infected Endovascular Grafts: A Retrospective Study" Diagnostics 13, no. 3: 409. https://doi.org/10.3390/diagnostics13030409
APA StyleLauri, C., Signore, A., Campagna, G., Aloisi, F., Taurino, M., & Sirignano, P. (2023). [18F]FDG Uptake in Non-Infected Endovascular Grafts: A Retrospective Study. Diagnostics, 13(3), 409. https://doi.org/10.3390/diagnostics13030409

