The Usefulness of the Eosinophilic Esophagitis Histology Scoring System in Predicting Response to Proton Pump Inhibitor Monotherapy in Children with Eosinophilic Esophagitis
Abstract
:1. Introduction
2. Materials and Methods
2.1. Study Design and Patient Selection
2.2. Demographics, Clinical Characteristics and Endoscopy
2.3. Tissue Processing and Preparation of H&E Slides for Scoring
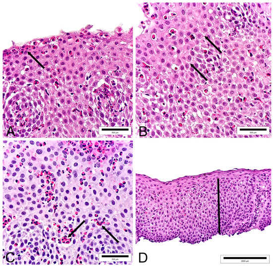
2.4. Biopsy Scoring
2.5. Statistical Analysis
3. Results
3.1. Demographic and Clinical Characteristics
3.2. Histological Characteristics
4. Discussion
5. Conclusions
Author Contributions
Funding
Institutional Review Board Statement
Informed Consent Statement
Data Availability Statement
Conflicts of Interest
References
- Dhar, A.; Haboubi, H.N.; Attwood, S.E.; Auth, M.K.H.; Dunn, J.M.; Sweis, R.; Morris, D.; Epstein, J.; Novelli, M.R.; Hunter, H.; et al. British Society of Gastroenterology (BSG) and British Society of Paediatric Gastroenterology, Hepatology and Nutrition (BSPGHAN) joint consensus guidelines on the diagnosis and management of eosinophilic oesophagitis in children and adults. Gut 2022, 71, 1459–1487. [Google Scholar] [CrossRef]
- Dellon, E.S.; Erichsen, R.; Baron, J.A.; Shaheen, N.J.; Vyberg, M.; Sorensen, H.T.; Pedersen, L. The increasing incidence and prevalence of eosinophilic oesophagitis outpaces changes in endoscopic and biopsy practice: National population-based estimates from Denmark. Aliment. Pharmacol. Ther. 2015, 41, 662–670. [Google Scholar] [CrossRef]
- Ristic, N.; Jankovic, R.; Dragutinovic, N.; Atanaskovic-Markovic, M.; Radusinovic, M.; Stevic, M.; Ristic, M.; Ristic, M.; Milovanovic, T. Diagnosis of Eosinophilic Esophagitis in Children: A Serbian Single-Center Experience from 2010 to 2017. Med. Princ. Pract. 2019, 28, 449–456. [Google Scholar] [CrossRef]
- Straumann, A.; Bussmann, C.; Zuber, M.; Vannini, S.; Simon, H.U.; Schoepfer, A. Eosinophilic esophagitis: Analysis of food impaction and perforation in 251 adolescent and adult patients. Clin. Gastroenterol. Hepatol. 2008, 6, 598–600. [Google Scholar] [CrossRef]
- Muir, A.; Falk, G.W. Eosinophilic Esophagitis: A Review. JAMA 2021, 326, 1310–1318. [Google Scholar] [CrossRef]
- Lucendo, A.J.; Arias, Á.; Molina-Infante, J. Efficacy of Proton Pump Inhibitor Drugs for Inducing Clinical and Histologic Remission in Patients With Symptomatic Esophageal Eosinophilia: A Systematic Review and Meta-Analysis. Clin. Gastroenterol. Hepatol. 2016, 14, 13–22.e1. [Google Scholar] [CrossRef]
- Franciosi, J.P.; Mougey, E.B.; Dellon, E.S.; Gutierrez-Junquera, C.; Fernandez-Fernandez, S.; Venkatesh, R.D.; Gupta, S.K. Proton Pump Inhibitor Therapy for Eosinophilic Esophagitis: History, Mechanisms, Efficacy, and Future Directions. J. Asthma Allergy 2022, 15, 281–302. [Google Scholar] [CrossRef]
- Collins, M.H.; Martin, L.J.; Alexander, E.S.; Boyd, J.T.; Sheridan, R.; He, H.; Pentiuk, S.; Putnam, P.E.; Abonia, J.P.; Mukkada, V.A.; et al. Newly developed and validated eosinophilic esophagitis histology scoring system and evidence that it outperforms peak eosinophil count for disease diagnosis and monitoring. Dis. Esophagus 2017, 30, 1–8. [Google Scholar] [CrossRef]
- Hirano, I.; Moy, N.; Heckman, M.G.; Thomas, C.S.; Gonsalves, N.; Achem, S.R. Endoscopic assessment of the oesophageal features of eosinophilic oesophagitis: Validation of a novel classification and grading system. Gut 2013, 62, 489–495. [Google Scholar] [CrossRef]
- Schroeder, S.; Capocelli, K.E.; Masterson, J.C.; Harris, R.; Protheroe, C.; Lee, J.J.; Furuta, G.T. Effect of proton pump inhibitor on esophageal eosinophilia. J. Pediatr. Gastroenterol. Nutr. 2013, 56, 166–172. [Google Scholar] [CrossRef]
- Molina-Infante, J.; Katzka, D.A.; Gisbert, J.P. Review article: Proton pump inhibitor therapy for suspected eosinophilic oesophagitis. Aliment. Pharmacol. Ther. 2013, 37, 1157–1164. [Google Scholar] [CrossRef]
- Cruz, J.; Irvine, M.A.; Avinashi, V.; Chan, E.S.; Vallance, B.A.; Soller, L.; Bush, J.W. Application of the Eosinophilic Esophagitis Histology Scoring System Grade Scores in Patients at British Columbia Children’s Hospital. Fetal Pediatr. Pathol. 2022, 41, 962–976. [Google Scholar] [CrossRef]
- Dobbins, J.W.; Sheahan, D.G.; Behar, J. Eosinophilic gastroenteritis with esophageal involvement. Gastroenterology 1977, 72, 1312–1316. [Google Scholar] [CrossRef]
- Koop, A.H.; Middleton, J.; Travers, P.M.; Ghoz, H.; Francis, D.; DeVault, K.R.; Pang, M. Number of bottles of esophageal biopsies in the evaluation of eosinophilic esophagitis and clinical outcomes. Clin. Res. Hepatol. Gastroenterol. 2023, 47, 102142. [Google Scholar] [CrossRef]
- Yantiss, R.K.; Greenson, J.K.; Spechler, S. American registry of pathology expert opinions: Evaluating patients with eosinophilic esophagitis: Practice points for endoscopists and pathologists. Ann. Diagn. Pathol. 2019, 43, 151418. [Google Scholar] [CrossRef]
- Dellon, E.S.; Speck, O.; Woodward, K.; Covey, S.; Rusin, S.; Shaheen, N.J.; Woosley, J.T. Distribution and variability of esophageal eosinophilia in patients undergoing upper endoscopy. Mod. Pathol. 2015, 28, 383–390. [Google Scholar] [CrossRef]
- Lin, B.; Rabinowitz, S.; Haseeb, M.A.; Gupta, R. Usefulness of the Eosinophilic Esophagitis Histologic Scoring System in Distinguishing Active Eosinophilic Esophagitis From Remission and Gastroesophageal Reflux Disease. Gastroenterol. Res. 2021, 14, 220–226. [Google Scholar] [CrossRef]
- Hiremath, G.; Sun, L.; Collins, M.H.; Bonis, P.A.; Arva, N.C.; Capocelli, K.E.; Chehade, M.; Davis, C.M.; Falk, G.W.; Gonsalves, N.; et al. Esophageal Epithelium and Lamina Propria Are Unevenly Involved in Eosinophilic Esophagitis. Clin. Gastroenterol. Hepatol. 2023, 21, 2807–2816.e3. [Google Scholar] [CrossRef]
- Zhang, X.; Zhang, N.; Wang, Z. Eosinophilic esophagitis and esophageal microbiota. Front. Cell Infect. Microbiol. 2023, 13, 1206343. [Google Scholar] [CrossRef]
- Angerami Almeida, K.; de Queiroz Andrade, E.; Burns, G.; Hoedt, E.C.; Mattes, J.; Keely, S.; Collison, A. The microbiota in eosinophilic esophagitis: A systematic review. J. Gastroenterol. Hepatol. 2022, 37, 1673–1684. [Google Scholar] [CrossRef]
- Massimino, L.; Barchi, A.; Mandarino, F.V.; Spanò, S.; Lamparelli, L.A.; Vespa, E.; Passaretti, S.; Peyrin-Biroulet, L.; Savarino, E.V.; Jairath, V.; et al. A multi-omic analysis reveals the esophageal dysbiosis as the predominant trait of eosinophilic esophagitis. J. Transl. Med. 2023, 21, 46. [Google Scholar] [CrossRef] [PubMed]
- Parashette, K.R.; Sarsani, V.K.; Toh, E.; Janga, S.C.; Nelson, D.E.; Gupta, S.K. Esophageal Microbiome in Healthy Children and Esophageal Eosinophilia. J. Pediatr. Gastroenterol. Nutr. 2022, 74, e109–e114. [Google Scholar] [CrossRef] [PubMed]



| Grade Score | |
|---|---|
| Peak eosinophil count (PEC) | |
| 0 | PEC 0 |
| 1 | PEC < 15/HPF |
| 2 | PEC 15–59/HPF |
| 3 | PEC > 60/HPF |
| Basal zone hyperplasia (BZH) | |
| 0 | BZH not present |
| 1 | BZH occupies >15% but <33% of the total thickness |
| 2 | BZH occupies 33–66% of the total thickness |
| 3 | BZH occupies >66% of the total thickness |
| Eosinophilic abscesses (EA) | |
| 0 | EA not present |
| 1 | EA consists of 4–9 eosinophils |
| 2 | EA consists of 10–20 eosinophils |
| 3 | EA consists of >20 eosinophils |
| Eosinophil surface layering (SL) | |
| 0 | SL not present |
| 1 | SL consists of 3–4 eosinophils |
| 2 | SL consists of 5–10 eosinophils |
| 3 | SL consists of >10 eosinophils |
| Dilated intercellular spaces (DIS) | |
| 0 | DIS not observed at any magnification |
| 1 | DIS are observed only at 400× magnification |
| 2 | DIS are observed at 200× magnification |
| 3 | DIS are observed at 100× magnification or lower |
| Stadium Score | |
|---|---|
| Peak eosinophil count (PEC) | |
| 0 | PEC 0–14/HPF |
| 1 | PEC ≥ 15/HPF in <33% HPFs |
| 2 | PEC ≥ 15/HPF in 33–66% HPFs |
| 3 | PEC ≥ 15/HPF in >66% HPFs |
| Basal zone hyperplasia (BZH) | |
| 0 | BZH not present |
| 1 | BZH of any grade > 0 occupying < 33% of the biopsy epithelium |
| 2 | BZH of any grade > 0 occupying 33–66% of the biopsy epithelium |
| 3 | BZH of any grade > 0 occupying > 66% of the biopsy epithelium |
| Eosinophilic abscesses (EA) | |
| 0 | EA not present |
| 1 | EA of any grade > 0 occupying < 33% of the biopsy epithelium |
| 2 | EA of any grade > 0 occupying 33–66% of the biopsy epithelium |
| 3 | EA of any grade > 0 occupying > 66% of the biopsy epithelium |
| Eosinophil surface layering (SL) | |
| 0 | SL not present |
| 1 | SL of any grade > 0 occupying < 33% of the biopsy epithelium |
| 2 | SL of any grade > 0 occupying 33–66% of the biopsy epithelium |
| 3 | SL of any grade > 0 occupying > 66% of the biopsy epithelium |
| Dilated intercellular spaces (DIS) | |
| 0 | DIS not present |
| 1 | DIS of any grade > 0 occupying < 33% of the biopsy epithelium |
| 2 | DIS of any grade > 0 occupying 33–66% of the biopsy epithelium |
| 3 | DIS of any grade > 0 occupying > 66% of the biopsy epithelium |
| Total (n = 89) | Response to Therapy | |||
|---|---|---|---|---|
| PPINREoE (n = 72) | PPIREoE (n = 17) | p | ||
| Gender, n (%) | 0.284 | |||
| Male | 70 (78.7) | 55 (76.4) | 15 (88.2) | |
| Female | 19 (21.3) | 17 (23.6) | 2 (11.8) | |
| Age, mean ± sd | 12.1 ± 3.8 | 12.3 ± 3.8 | 11.7 ± 3.5 | 0.594 |
| Atopy, n (%) | 20 (22.5) | 17 (23.6) | 3 (17.6) | 0.596 |
| Food Alergy—SPT, n (%) | 12 (13.5) | 10 (13.9) | 2 (11.8) | 0.818 |
| Food Alergy—IGE, n (%) | 24 (27.0) | 20 (27.8) | 4 (23.5) | 0.723 |
| Inhalation allergy panel test, n (%) | 23 (25.8) | 19 (26.4) | 4 (23.5) | 0.809 |
| Comorbidities, n (%) | 17 (19.1) | 17 (23.6) * | 0 (0.0) | 0.026 * |
| Regurgitation, n (%) | 4 (4.5) | 4 (5.6) | 0 (0) | 0.320 |
| Dysphagia, n (%) | 31 (34.8) | 25 (34.7) | 6 (35.3) | 0.964 |
| Impaction, n (%) | 34 (38.2) | 29 (40.3) | 5 (29.4) | 0.407 |
| Pain, n (%) | 21 (23.6) | 14 (19.4) | 7 (41.2) | 0.058 |
| Dyspepsia, n (%) | 13 (14.6) | 8 (11.1) | 5 (29.4) | 0.055 |
| Vomiting, n (%) | 12 (13.5) | 10 (13.9) | 2 (11.8) | 0.818 |
| EREFS, median (25th–75th percentile) | 2 (1–2) | 2 (1–2) | 2 (0.5–2) | 0.291 |
| EoEHSS | Response to Therapy | OR | p | |
|---|---|---|---|---|
| PPINREoE | PPIREoE | |||
| DG (n = 78) | ||||
| PEC | 2 (2–3) | 2 (2–3) | 0.676 | 0.403 |
| BZH | 2 (2–3) | 2 (2–3) | 0.694 | 0.296 |
| EA | 1 (0–1) | 0 (0–1) | 0.882 | 0.734 |
| SL | 1 (0–2) | 1 (0–1) | 0.814 | 0.495 |
| DIS | 3 (2–3) | 3 (2–3) | 0.755 | 0.428 |
| Final score | 0.6 (0.5–0.7) | 0.5 (0.4–0.7) | 0.225 | 0.327 |
| MG (n = 29) | ||||
| PEC | 3 (2–3) | 2 (1–2) | 0.392 | 0.112 |
| BZH | 3 (2–3) | 1 (1–3) | 0.562 | 0.144 |
| EA | 1 (0–1) * | 0 (0–0) | 0.106 | 0.044 * |
| SL | 1 (0–2) * | 0 (0–0) | 0.248 | 0.046 * |
| DIS | 3 (2–3) | 2 (1–3) | 0.712 | 0.305 |
| Final score | 0.5 (0.5–0.8) * | 0.3 (0.3–0.5) | 0.011 | 0.037 * |
| PG (n = 76) | ||||
| PEC | 2 (1–3) | 2 (0–3) | 0.648 | 0.154 |
| BZH | 3 (2–3) | 3 (0–3) | 0.669 | 0.147 |
| EA | 0 (0–1) | 0 (0–1) | 0.852 | 0.683 |
| SL | 0 (0–2) | 0 (0–1) | 0.914 | 0.763 |
| DIS | 3 (1–3) | 3 (0–3) | 0.759 | 0.293 |
| Final score | 0.6 (0.3–0.7) | 0.4 (0.2–0.6) | 0.278 | 0.253 |
| EoEHSS | Response to Therapy | OR | p | |
|---|---|---|---|---|
| PPINREoE | PPIREoE | |||
| DS (n = 78) | ||||
| PEC | 3 (2–3) | 3 (1–3) | 0.831 | 0.512 |
| BZH | 3 (3–3) | 3 (3–3) | 0.730 | 0.405 |
| EA | 1 (0–2) | 0 (0–2) | 0.890 | 0.705 |
| SL | 1 (0–2) | 1 (0–1) | 0.713 | 0.268 |
| DIS | 3 (2–3) | 3 (2–3) | 0.791 | 0.546 |
| Final score | 0.7 (0.5–0.8) | 0.6 (0.5–0.8) | 0.290 | 0.339 |
| MS (n = 29) | ||||
| PEC | 3 (1–3) | 1 (0–3) | 0.750 | 0.392 |
| BZH | 3 (3–3) | 3 (2–3) | 0.802 | 0.570 |
| EA | 1 (0–2) * | 0 (0–0) | 0.126 | 0.049 * |
| SL | 1 (0–2) | 0 (0–0) | 0.367 | 0.077 |
| DIS | 3 (2–3) | 2 (1–3) | 0.784 | 0.470 |
| Final score | 0.5 (0.4–0.8) | 0.4 (0.3–0.6) | 0.053 | 0.102 |
| PS (n = 76) | ||||
| PEC | 2 (1–3) | 2 (0–3) | 0.738 | 0.206 |
| BZH | 3 (2–3) | 3 (0–3) | 0.623 | 0.041 * |
| EA | 0 (0–1) | 0 (0–1) | 0.769 | 0.469 |
| SL | 0 (0–2) | 0 (0–1) | 0.852 | 0.614 |
| DIS | 3 (1–3) | 3 (0–3) | 0.923 | 0.745 |
| Final score | 0.6 (0.3–0.7) | 0.4 (0.2–0.6) | 0.276 | 0.212 |
Disclaimer/Publisher’s Note: The statements, opinions and data contained in all publications are solely those of the individual author(s) and contributor(s) and not of MDPI and/or the editor(s). MDPI and/or the editor(s) disclaim responsibility for any injury to people or property resulting from any ideas, methods, instructions or products referred to in the content. |
© 2023 by the authors. Licensee MDPI, Basel, Switzerland. This article is an open access article distributed under the terms and conditions of the Creative Commons Attribution (CC BY) license (https://creativecommons.org/licenses/by/4.0/).
Share and Cite
Jevtić, J.; Ristić, N.; Pavlović, V.; Svorcan, J.; Milovanovich, I.; Radusinović, M.; Popovac, N.; Simić, L.; Ćirović, A.; Đuknić, M.; et al. The Usefulness of the Eosinophilic Esophagitis Histology Scoring System in Predicting Response to Proton Pump Inhibitor Monotherapy in Children with Eosinophilic Esophagitis. Diagnostics 2023, 13, 3445. https://doi.org/10.3390/diagnostics13223445
Jevtić J, Ristić N, Pavlović V, Svorcan J, Milovanovich I, Radusinović M, Popovac N, Simić L, Ćirović A, Đuknić M, et al. The Usefulness of the Eosinophilic Esophagitis Histology Scoring System in Predicting Response to Proton Pump Inhibitor Monotherapy in Children with Eosinophilic Esophagitis. Diagnostics. 2023; 13(22):3445. https://doi.org/10.3390/diagnostics13223445
Chicago/Turabian StyleJevtić, Jovan, Nina Ristić, Vedrana Pavlović, Jovana Svorcan, Ivan Milovanovich, Milica Radusinović, Nevena Popovac, Ljubica Simić, Aleksandar Ćirović, Miloš Đuknić, and et al. 2023. "The Usefulness of the Eosinophilic Esophagitis Histology Scoring System in Predicting Response to Proton Pump Inhibitor Monotherapy in Children with Eosinophilic Esophagitis" Diagnostics 13, no. 22: 3445. https://doi.org/10.3390/diagnostics13223445
APA StyleJevtić, J., Ristić, N., Pavlović, V., Svorcan, J., Milovanovich, I., Radusinović, M., Popovac, N., Simić, L., Ćirović, A., Đuknić, M., Životić, M., Poljašević, N., Obradović, D., Filipović, J., & Janković, R. (2023). The Usefulness of the Eosinophilic Esophagitis Histology Scoring System in Predicting Response to Proton Pump Inhibitor Monotherapy in Children with Eosinophilic Esophagitis. Diagnostics, 13(22), 3445. https://doi.org/10.3390/diagnostics13223445

