Ultrasound on the Frontlines: Empowering Paramedics with Lung Ultrasound for Dyspnea Diagnosis in Adults—A Pilot Study
Abstract
:1. Introduction
2. Materials and Methods
2.1. Participants
2.2. Data Collection
2.3. Statistical Analysis
3. Results
3.1. Participants’ Characteristics
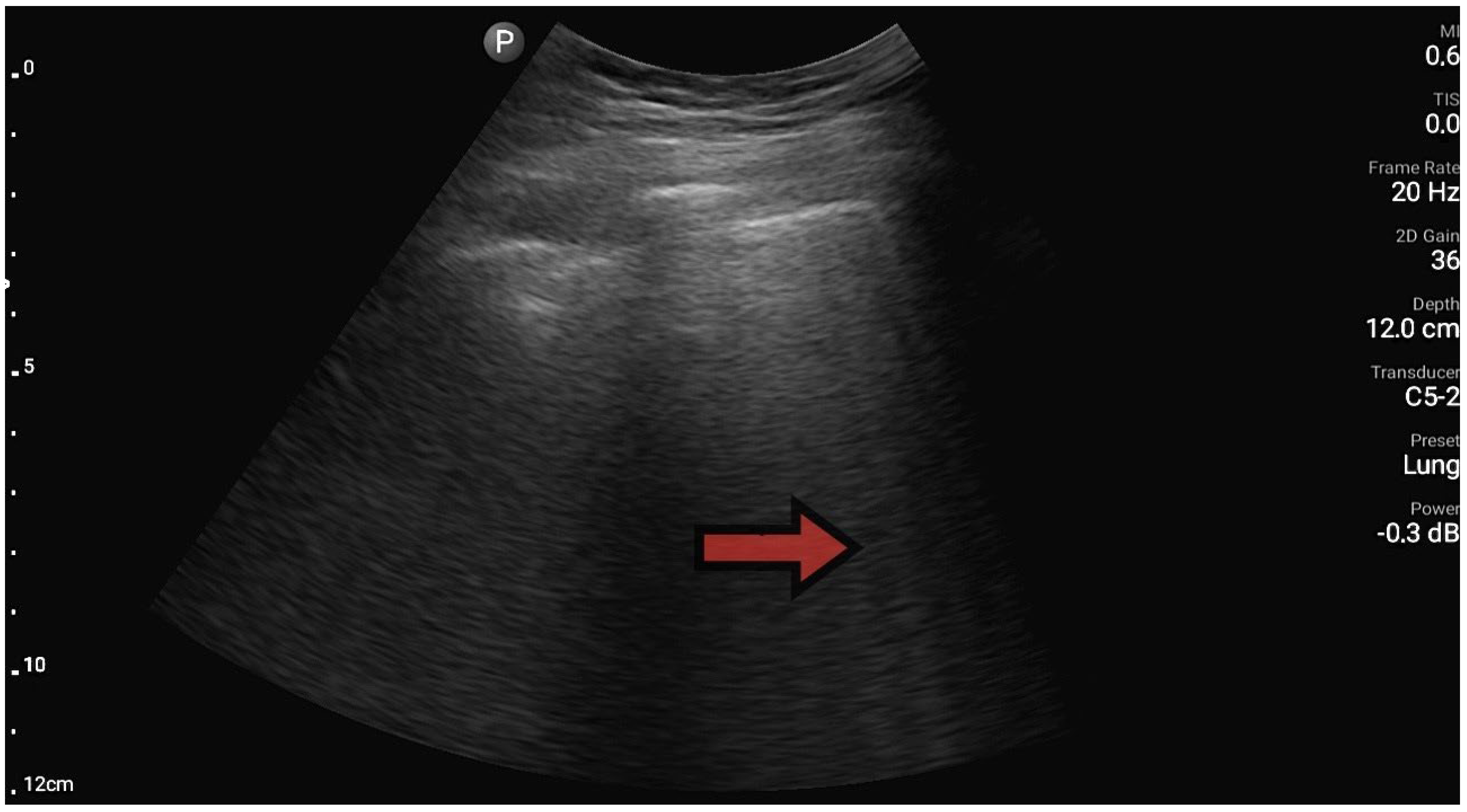
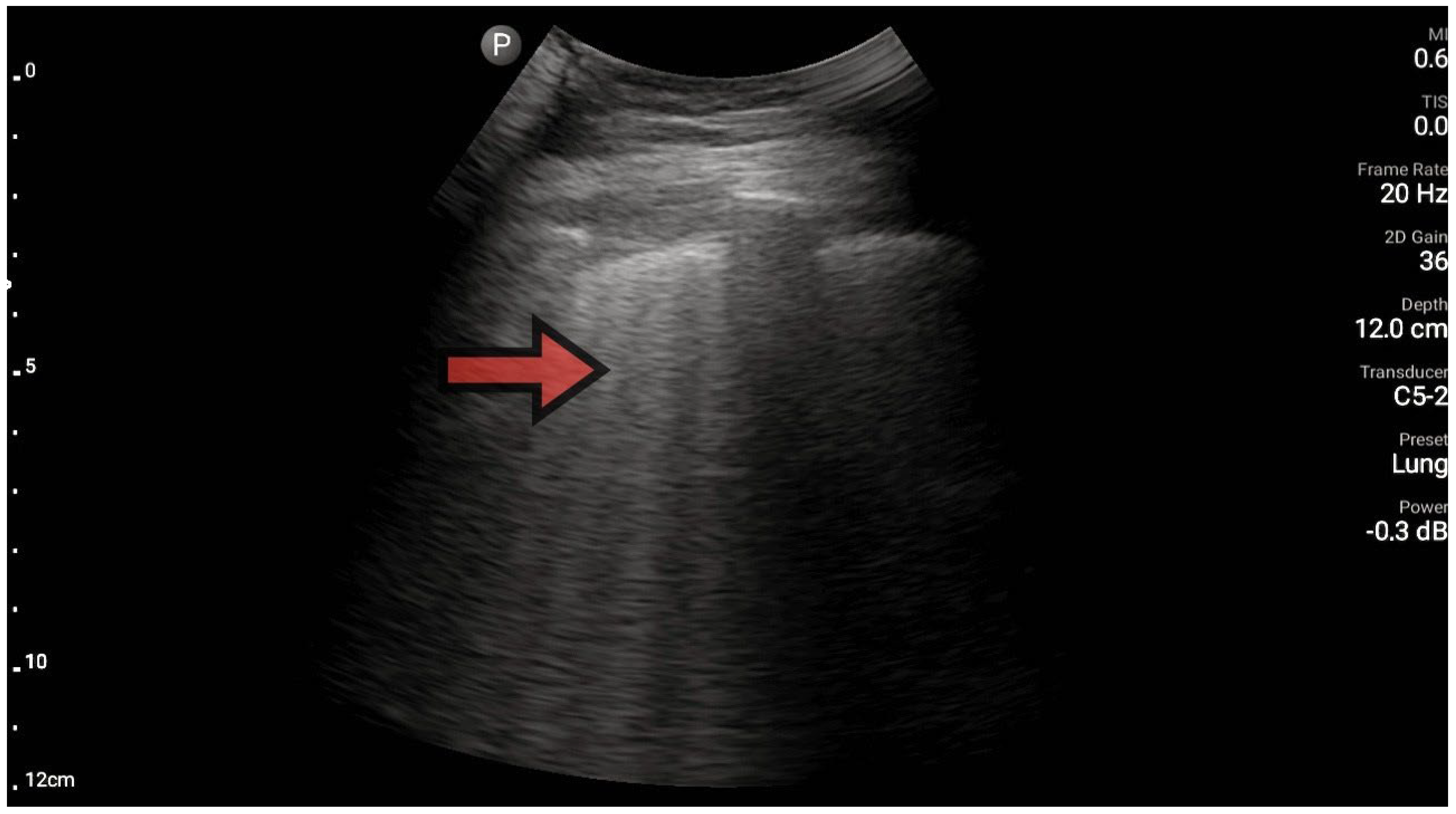
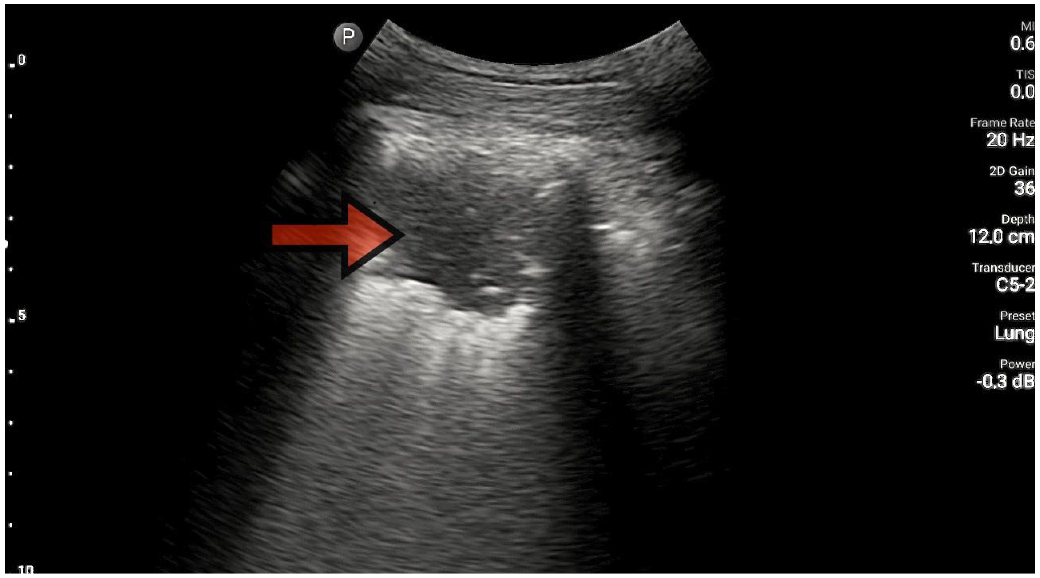
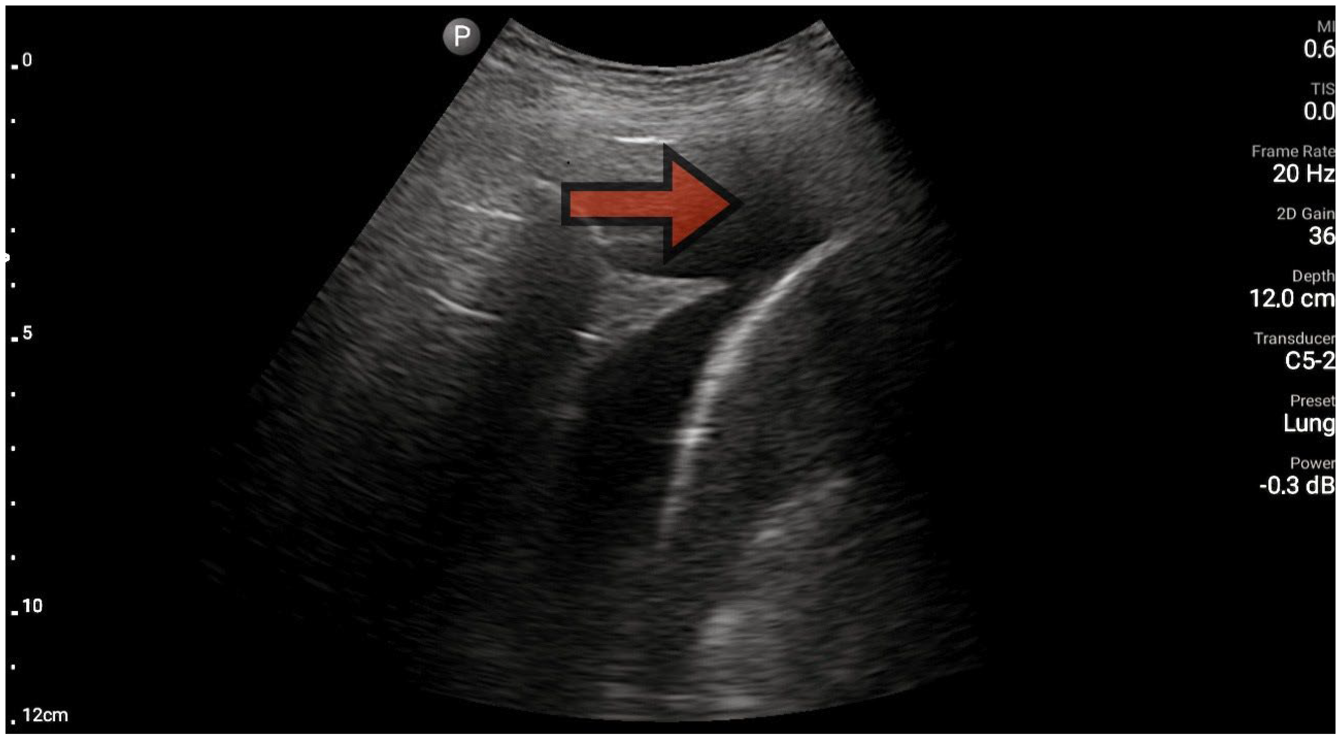
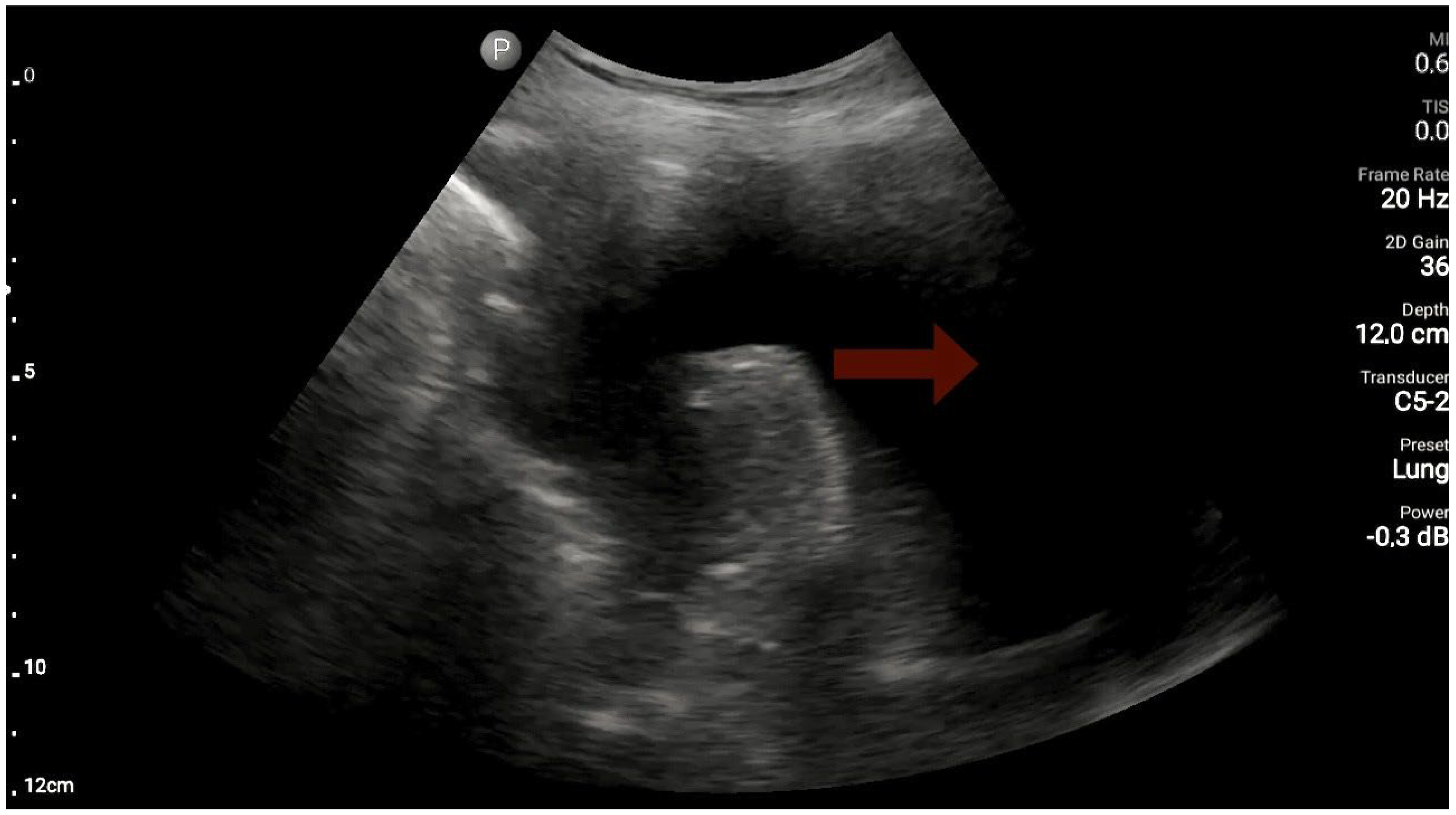
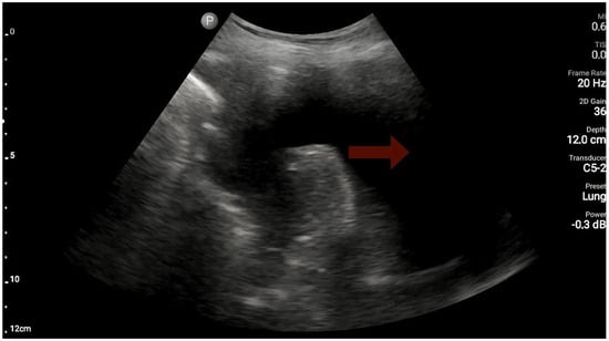
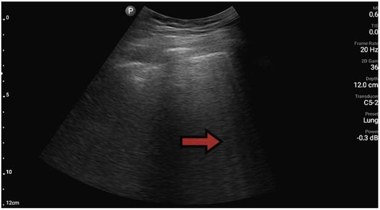
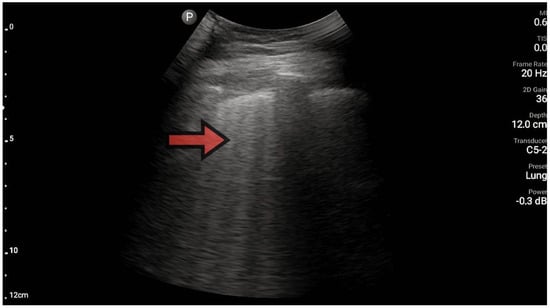
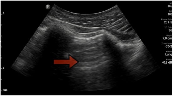
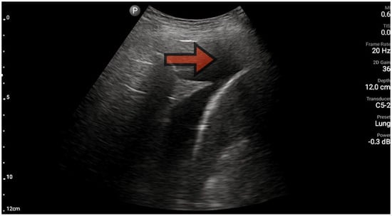
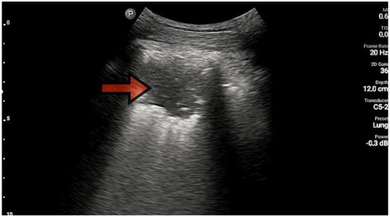
3.2. The Effectiveness of LUS in the Prehospital Setting
4. Discussion
5. Conclusions
Supplementary Materials
Author Contributions
Funding
Institutional Review Board Statement
Informed Consent Statement
Data Availability Statement
Conflicts of Interest
References
- Kowalczyk, D.; Piotrowski, W.J.; Rosiak, O.; Białas, A.J. Concise, Practical Review on Transthoracic Lung Ultrasound in Prehospital Diagnosis of Dyspnea in Adults. Medicina 2023, 59, 224. [Google Scholar] [CrossRef] [PubMed]
- DeVos, E.; Jacobson, L. Approach to Adult Patients with Acute Dyspnea. Emerg. Med. Clin. N. Am. 2016, 34, 129–149. [Google Scholar] [CrossRef] [PubMed]
- Cardinale, L.; Volpicelli, G.; Lamorte, A.; Martino, J. Andrea Veltri Revisiting Signs, Strengths and Weaknesses of Standard Chest Radiography in Patients of Acute Dyspnea in the Emergency Department. J. Thorac. Dis. 2012, 4, 398–407. [Google Scholar] [CrossRef] [PubMed]
- Staub, L.J.; Mazzali Biscaro, R.R.; Kaszubowski, E.; Maurici, R. Lung Ultrasound for the Emergency Diagnosis of Pneumonia, Acute Heart Failure, and Exacerbations of Chronic Obstructive Pulmonary Disease/Asthma in Adults: A Systematic Review and Meta-Analysis. J. Emerg. Med. 2019, 56, 53–69. [Google Scholar] [CrossRef] [PubMed]
- Radzina, M.; Biederer, J. Ultrasonography of the Lung. ROFO Fortschr. Geb. Rontgenstr. Nuklearmed. 2019, 191, 909–923. [Google Scholar] [CrossRef]
- Lichtenstein, D.A.; Mezière, G.A. Relevance of Lung Ultrasound in the Diagnosis of Acute Respiratory Failure: The BLUE Protocol. Chest 2008, 134, 117–125. [Google Scholar] [CrossRef]
- Kirkpatrick, A.W.; Sirois, M.; Laupland, K.B.; Liu, D.; Rowan, K.; Ball, C.G.; Hameed, S.M.; Brown, R.; Simons, R.; Dulchavsky, S.A.; et al. Hand-Held Thoracic Sonography for Detecting Post-Traumatic Pneumothoraces: The Extended Focused Assessment with Sonography for Trauma (EFAST). J. Trauma 2004, 57, 288–295. [Google Scholar] [CrossRef]
- McHugh, M.L. Interrater Reliability: The Kappa Statistic. Biochem. Medica 2012, 22, 276–282. [Google Scholar] [CrossRef]
- Brooke, M.; Walton, J.; Scutt, D.; Connolly, J.; Jarman, B. Acquisition and Interpretation of Focused Diagnostic Ultrasound Images by Ultrasound-Naive Advanced Paramedics: Trialling a PHUS Education Programme. Emerg. Med. J. EMJ 2012, 29, 322–326. [Google Scholar] [CrossRef]
- Schoeneck, J.H.; Coughlin, R.F.; Baloescu, C.; Cone, D.C.; Liu, R.B.; Kalam, S.; Medoro, A.K.; Medoro, I.; Joseph, D.; Burns, K.; et al. Paramedic-Performed Prehospital Point-of-Care Ultrasound for Patients with Undifferentiated Dyspnea: A Pilot Study. West. J. Emerg. Med. 2021, 22, 750–755. [Google Scholar] [CrossRef]
- Scharonow, M.; Weilbach, C. Prehospital Point-of-Care Emergency Ultrasound: A Cohort Study. Scand. J. Trauma Resusc. Emerg. Med. 2018, 26, 49. [Google Scholar] [CrossRef]
- Donovan, J.K.; Burton, S.O.; Jones, S.L.; Meadley, B.N. Use of Point-of-Care Ultrasound by Non-Physicians to Assess Respiratory Distress in the Out-of-Hospital Environment: A Scoping Review. Prehospital Disaster Med. 2022, 37, 520–528. [Google Scholar] [CrossRef] [PubMed]
- Swamy, V.; Brainin, P.; Biering-Sørensen, T.; Platz, E. Ability of Non-Physicians to Perform and Interpret Lung Ultrasound: A Systematic Review. Eur. J. Cardiovasc. Nurs. 2019, 18, 474–483. [Google Scholar] [CrossRef]
- Becker, T.K.; Martin-Gill, C.; Callaway, C.W.; Guyette, F.X.; Schott, C. Feasibility of Paramedic Performed Prehospital Lung Ultrasound in Medical Patients with Respiratory Distress. Prehosp. Emerg. Care 2018, 22, 175–179. [Google Scholar] [CrossRef] [PubMed]
- Guy, A.; Bryson, A.; Wheeler, S.; McLean, N.; Kanji, H.D. A Blended Prehospital Ultrasound Curriculum for Critical Care Paramedics. Air Med. J. 2019, 38, 426–430. [Google Scholar] [CrossRef]
- Yan, J.-H.; Yu, N.; Wang, Y.-H.; Gao, Y.-B.; Pan, L. Lung Ultrasound vs Chest Radiography in the Diagnosis of Children Pneumonia: Systematic Evidence. Medicine 2020, 99, e23671. [Google Scholar] [CrossRef]
- Pagano, A.; Numis, F.G.; Visone, G.; Pirozzi, C.; Masarone, M.; Olibet, M.; Nasti, R.; Schiraldi, F.; Paladino, F. Lung Ultrasound for Diagnosis of Pneumonia in Emergency Department. Intern. Emerg. Med. 2015, 10, 851–854. [Google Scholar] [CrossRef] [PubMed]
- Cortellaro, F.; Colombo, S.; Coen, D.; Duca, P.G. Lung Ultrasound Is an Accurate Diagnostic Tool for the Diagnosis of Pneumonia in the Emergency Department. Emerg. Med. J. EMJ 2012, 29, 19–23. [Google Scholar] [CrossRef]
- Caroselli, C.; Cherubini, A. Should Lung Ultrasound Be Always Performed in Older Patients with Possible COVID-19 Disease? Eur. Geriatr. Med. 2021, 12, 1123–1125. [Google Scholar] [CrossRef]
- Rocca, E.; Zanza, C.; Longhitano, Y.; Piccolella, F.; Romenskaya, T.; Racca, F.; Savioli, G.; Saviano, A.; Piccioni, A.; Mongodi, S. Lung Ultrasound in Critical Care and Emergency Medicine: Clinical Review. Adv. Respir. Med. 2023, 91, 203–223. [Google Scholar] [CrossRef]
- Değirmenci, S.; Kara, H.; Kayış, S.A.; Ak, A. Role of Ultrasound Simulators in the Training for Focused Assessment with Sonography for Trauma (FAST). Ulus. Travma Acil Cerrahi Derg. Turk. J. Trauma Emerg. Surg. TJTES 2021, 27, 303–309. [Google Scholar] [CrossRef] [PubMed]






| ER Concordant with Final Diagnosis | ER Not Concordant with Final Diagnosis | p-Value | |
|---|---|---|---|
| Pre-hospital LUS concordant with final diagnosis | 27 | 2 | 1.0 |
| Pre-hospital LUS not concordant with final diagnosis | 3 | 0 |
| Observation | Diagnosis Concordant n = 30 (90.91%) | Diagnosis Unconcordant n = 3 (9.09%) |
|---|---|---|
| Profile A | 2 (6.67%) | 0 (0%) |
| Profile A/B | 2 (6.67%) | 0 (0%) |
| Profile A/C | 2 (6.67%) | 0 (0%) |
| Profile B | 7 (23.33%) | 1 (0.33) |
| Profile B/C | 4 (13.33%) | 0 (0%) |
| Profile C | 9 (30%) | 2 (0.67) |
| Pleural effusion | 4 (13.33%) | 0 (0%) |
Disclaimer/Publisher’s Note: The statements, opinions and data contained in all publications are solely those of the individual author(s) and contributor(s) and not of MDPI and/or the editor(s). MDPI and/or the editor(s) disclaim responsibility for any injury to people or property resulting from any ideas, methods, instructions or products referred to in the content. |
© 2023 by the authors. Licensee MDPI, Basel, Switzerland. This article is an open access article distributed under the terms and conditions of the Creative Commons Attribution (CC BY) license (https://creativecommons.org/licenses/by/4.0/).
Share and Cite
Kowalczyk, D.; Turkowiak, M.; Piotrowski, W.J.; Rosiak, O.; Białas, A.J. Ultrasound on the Frontlines: Empowering Paramedics with Lung Ultrasound for Dyspnea Diagnosis in Adults—A Pilot Study. Diagnostics 2023, 13, 3412. https://doi.org/10.3390/diagnostics13223412
Kowalczyk D, Turkowiak M, Piotrowski WJ, Rosiak O, Białas AJ. Ultrasound on the Frontlines: Empowering Paramedics with Lung Ultrasound for Dyspnea Diagnosis in Adults—A Pilot Study. Diagnostics. 2023; 13(22):3412. https://doi.org/10.3390/diagnostics13223412
Chicago/Turabian StyleKowalczyk, Damian, Miłosz Turkowiak, Wojciech Jerzy Piotrowski, Oskar Rosiak, and Adam Jerzy Białas. 2023. "Ultrasound on the Frontlines: Empowering Paramedics with Lung Ultrasound for Dyspnea Diagnosis in Adults—A Pilot Study" Diagnostics 13, no. 22: 3412. https://doi.org/10.3390/diagnostics13223412
APA StyleKowalczyk, D., Turkowiak, M., Piotrowski, W. J., Rosiak, O., & Białas, A. J. (2023). Ultrasound on the Frontlines: Empowering Paramedics with Lung Ultrasound for Dyspnea Diagnosis in Adults—A Pilot Study. Diagnostics, 13(22), 3412. https://doi.org/10.3390/diagnostics13223412

