Can Perfusion-Based Brain Tissue Oxygenation MRI Support the Understanding of Cerebral Abscesses In Vivo?
Abstract
:1. Introduction
2. Material and Methods
2.1. Patients
2.2. Imaging
2.3. Postprocessing
2.4. Diagnostic Microbiology
2.5. Statistical Analysis
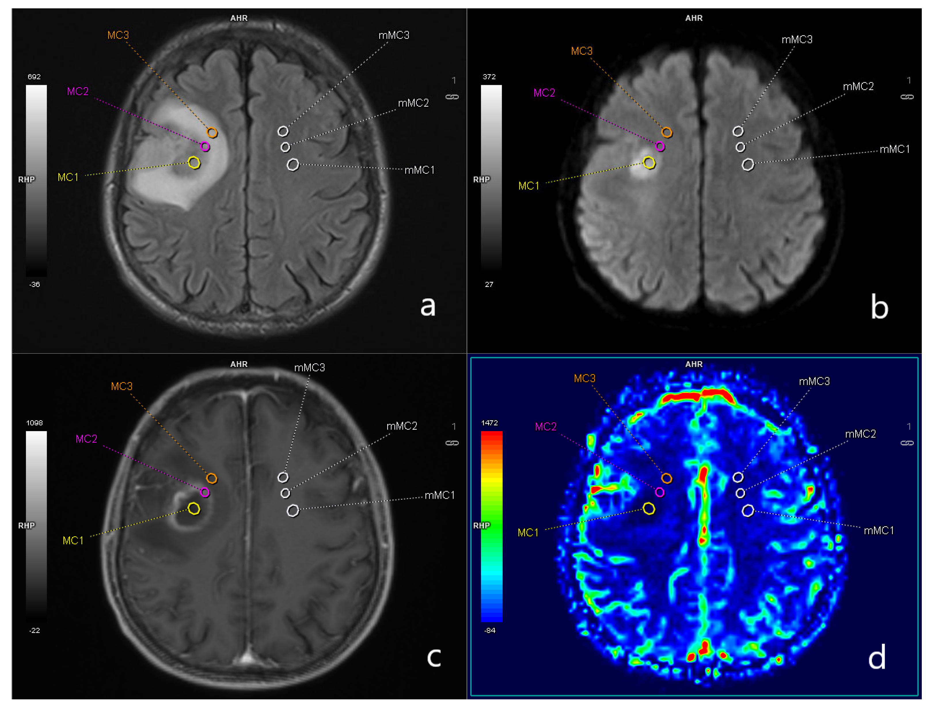
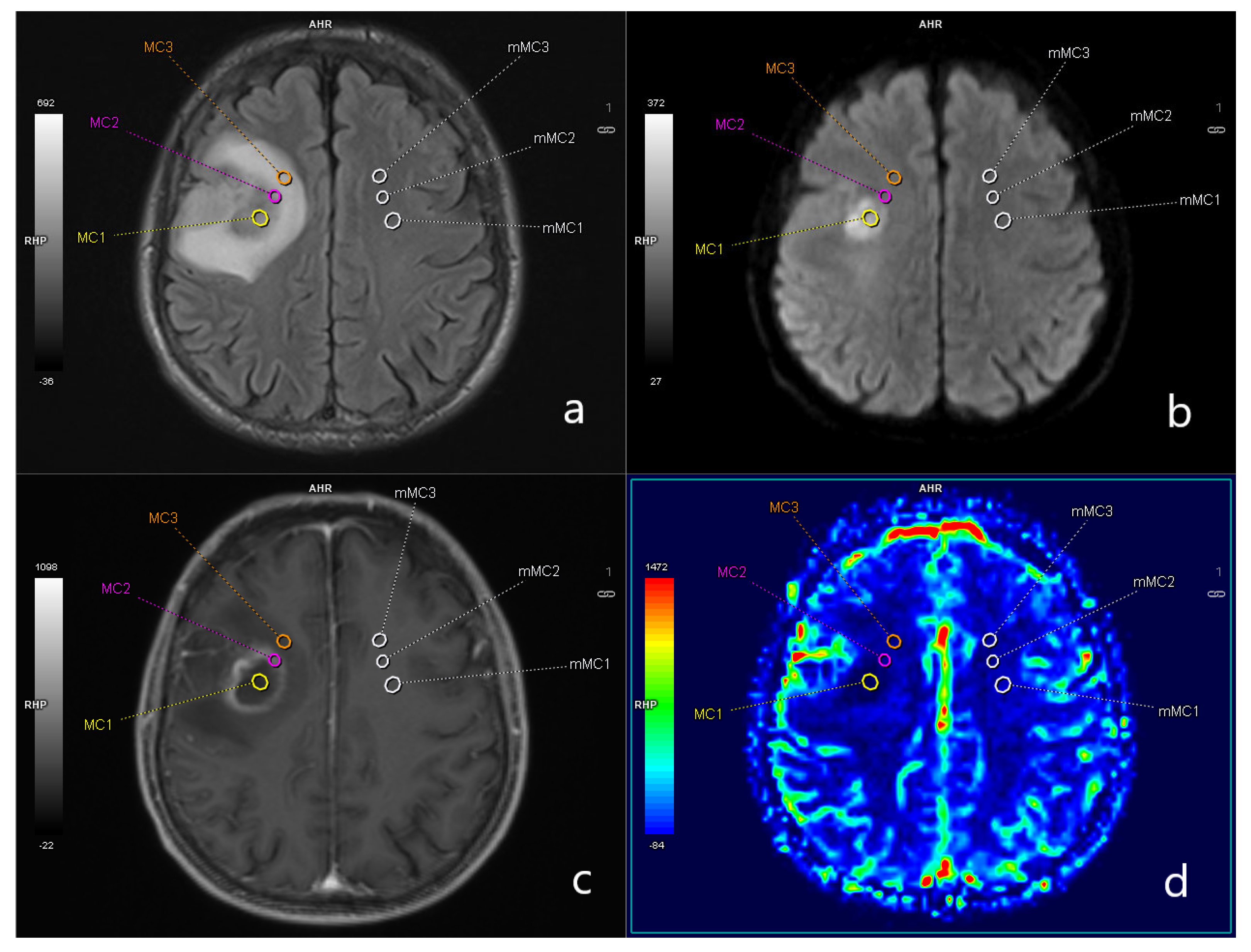
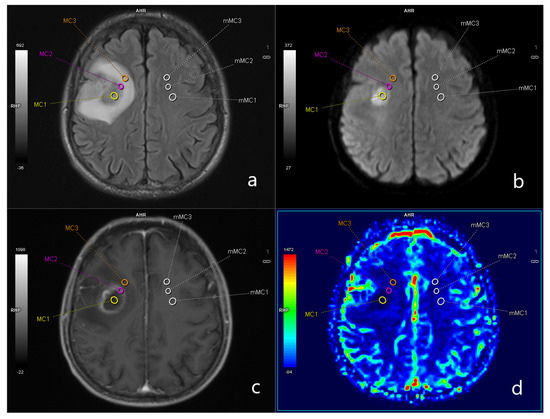
3. Results
4. Discussion
Author Contributions
Funding
Institutional Review Board Statement
Informed Consent Statement
Data Availability Statement
Conflicts of Interest
References
- Bodilsen, J.; Dalager-Pedersen, M.; van de Beek, D.; Brouwer, M.C.; Nielsen, H. Incidence and mortality of brain abscess in Denmark: A nationwide population-based study. Clin. Microbiol. Infect. Off. Publ. Eur. Soc. Clin. Microbiol. Infect. Dis. 2020, 26, 95–100. [Google Scholar] [CrossRef]
- Sonneville, R.; Ruimy, R.; Benzonana, N.; Riffaud, L.; Carsin, A.; Tadié, J.M.; Piau, C.; Revest, M.; Tattevin, P.; ESCMID Study Group for Infectious Diseases of the Brain (ESGIB). An update on bacterial brain abscess in immunocompetent patients. Clin. Microbiol. Infect. Off. Publ. Eur. Soc. Clin. Microbiol. Infect. Dis. 2017, 23, 614–620. [Google Scholar] [CrossRef]
- Bodilsen, J.; Dalager-Pedersen, M.; van de Beek, D.; Brouwer, M.C.; Nielsen, H. Long-term Mortality and Epilepsy in Patients After Brain Abscess: A Nationwide Population-Based Matched Cohort Study. Clin. Infect. Dis. Off. Publ. Infect. Dis. Soc. Am. 2020, 71, 2825–2832. [Google Scholar] [CrossRef] [PubMed]
- Brouwer, M.C.; Coutinho, J.M.; van de Beek, D. Clinical characteristics and outcome of brain abscess: Systematic review and meta-analysis. Neurology 2014, 82, 806–813. [Google Scholar] [CrossRef]
- Nau, R.; Behnke-Mursch, J.; Beck, J.; Bodilsen, J.; Eiffert, H.; Pfausler, B.; Pfister, H.-W.; Riedel, C.; Stadelmann-Nessler, C.; Z’Graggen, W. German Guideline for Brain Abscess (Hirnabszess, S1-Leitlinie), in Leitlinien für Diagnostik und Therapie in der Neurologie, Deutsche Gesellschaft für Neurologie (Hrsg.). 2021. Available online: www.dgn.org/leitlinien (accessed on 21 January 2023).
- Brouwer, M.C.; Tunkel, A.R.; McKhann, G.M., 2nd; van de Beek, D. Brain abscess. N. Engl. J. Med. 2014, 371, 447–456. [Google Scholar] [CrossRef] [PubMed]
- Sharma, R.; Mohandas, K.; Cooke, R.P. Intracranial abscesses: Changes in epidemiology and management over five decades in Merseyside. Infection 2009, 37, 39–43. [Google Scholar] [CrossRef]
- Reddy, J.S.; Mishra, A.M.; Behari, S.; Husain, M.; Gupta, V.; Rastogi, M.; Gupta, R.K. The role of diffusion-weighted imaging in the differential diagnosis of intracranial cystic mass lesions: A report of 147 lesions. Surg. Neurol. 2006, 66, 246–251. [Google Scholar] [CrossRef]
- Xu, X.X.; Li, B.; Yang, H.F.; Du, Y.; Li, Y.; Wang, W.X.; Zheng, H.J.; Gong, Q.Y. Can diffusion-weighted imaging be used to differentiate brain abscess from other ring-enhancing brain lesions? A meta-analysis. Clin. Radiol. 2014, 69, 909–915. [Google Scholar] [CrossRef] [PubMed]
- Erdogan, C.; Hakyemez, B.; Yildirim, N.; Parlak, M. Brain abscess and cystic brain tumor: Discrimination with dynamic susceptibility contrast perfusion-weighted MRI. J. Comput. Assist. Tomogr. 2005, 29, 663–667. [Google Scholar] [CrossRef]
- Muccio, C.F.; Esposito, G.; Bartolini, A.; Cerase, A. Cerebral abscesses and necrotic cerebral tumours: Differential diagnosis by perfusion-weighted magnetic resonance imaging. Radiol. Med. 2008, 113, 747–757. [Google Scholar] [CrossRef]
- Ostergaard, L.; Tietze, A.; Nielsen, T.; Drasbek, K.R.; Mouridsen, K.; Jespersen, S.N.; Horsman, M.R. The relationship between tumor blood flow, angiogenesis, tumor hypoxia, and aerobic glycolysis. Cancer Res. 2013, 73, 5618–5624. [Google Scholar] [CrossRef]
- Tietze, A.; Mouridsen, K.; Lassen-Ramshad, Y.; Østergaard, L. Perfusion MRI derived indices of microvascular shunting and flow control correlate with tumor grade and outcome in patients with cerebral glioma. PLoS ONE 2015, 10, e0123044. [Google Scholar] [CrossRef]
- Stadlbauer, A.; Mouridsen, K.; Doerfler, A.; Bo Hansen, M.; Oberndorfer, S.; Zimmermann, M.; Buchfelder, M.; Heinz, G.; Roessler, K. Recurrence of glioblastoma is associated with elevated microvascular transit time heterogeneity and increased hypoxia. J. Cereb. Blood Flow Metab. Off. J. Int. Soc. Cereb. Blood Flow Metab. 2018, 38, 422–432. [Google Scholar] [CrossRef] [PubMed]
- Stadlbauer, A.; Heinz, G.; Marhold, F.; Meyer-Bäse, A.; Ganslandt, O.; Buchfelder, M.; Oberndorfer, S. Differentiation of Glioblastoma and Brain Metastases by MRI-Based Oxygen Metabolomic Radiomics and Deep Learning. Metabolites 2022, 12, 1264. [Google Scholar] [CrossRef] [PubMed]
- Petrella, J.R.; Provenzale, J.M. MR perfusion imaging of the brain: Techniques and applications. AJR Am. J. Roentgenol. 2000, 175, 207–219. [Google Scholar] [CrossRef]
- Bonekamp, D.; Mouridsen, K.; Radbruch, A.; Kurz, F.T.; Eidel, O.; Wick, A.; Schlemmer, H.P.; Wick, W.; Bendszus, M.; Østergaard, L.; et al. Assessment of tumor oxygenation and its impact on treatment response in bevacizumab-treated recurrent glioblastoma. J. Cereb. Blood Flow Metab. Off. J. Int. Soc. Cereb. Blood Flow Metab. 2017, 37, 485–494. [Google Scholar] [CrossRef] [PubMed]
- Jespersen, S.N.; Østergaard, L. The roles of cerebral blood flow, capillary transit time heterogeneity, and oxygen tension in brain oxygenation and metabolism. J. Cereb. Blood Flow Metab. Off. J. Int. Soc. Cereb. Blood Flow Metab. 2012, 32, 264–277. [Google Scholar] [CrossRef]
- Xie, S. MR OEF imaging in MELAS. Methods Enzymol. 2014, 547, 433–444. [Google Scholar] [CrossRef]
- CERCARE PERFUSION, Instructions for use Release 2020-03-01, Cercare Medical. Available online: https://cercare-medical.com/support (accessed on 18 April 2021).
- Copen, W.A.; Schaefer, P.W.; Wu, O. MR perfusion imaging in acute ischemic stroke. Neuroimaging Clin. N. Am. 2011, 21, 259–283. [Google Scholar] [CrossRef]
- Thust, S.C.; Heiland, S.; Falini, A.; Jäger, H.R.; Waldman, A.D.; Sundgren, P.C.; Godi, C.; Katsaros, V.K.; Ramos, A.; Bargallo, N.; et al. Glioma imaging in Europe: A survey of 220 centres and recommendations for best clinical practice. Eur. Radiol. 2018, 28, 3306–3317. [Google Scholar] [CrossRef]
- Sugahara, T.; Korogi, Y.; Tomiguchi, S.; Shigematsu, Y.; Ikushima, I.; Kira, T.; Liang, L.; Ushio, Y.; Takahashi, M. Posttherapeutic intraaxial brain tumor: The value of perfusion-sensitive contrast-enhanced MR imaging for differentiating tumor recurrence from nonneoplastic contrast-enhancing tissue. AJNR Am. J. Neuroradiol. 2000, 21, 901–909. [Google Scholar]
- Haertl, T.; Owsienko, D.; Schwinn, L.; Hirsch, C.; Eskofier, B.M.; Lang, R.; Wirtz, S.; Loos, H.M. Exploring the interrelationship between the skin microbiome and skin volatiles: A pilot study. Front. Ecol. Evol. 2023, 11, 1107463. [Google Scholar] [CrossRef]
- Stebner, A.; Ensser, A.; Geißdörfer, W.; Bozhkov, Y.; Lang, R. Molecular diagnosis of polymicrobial brain abscesses with 16S-rDNA-based next-generation sequencing. Clin. Microbiol.Infect. Off. Publ. Eur. Soc. Clin. Microbiol. Infect. Dis. 2021, 27, 76–82. [Google Scholar] [CrossRef] [PubMed]
- Liu, P.; Huang, H.; Rollins, N.; Chalak, L.F.; Jeon, T.; Halovanic, C.; Lu, H. Quantitative assessment of global cerebral metabolic rate of oxygen (CMRO2) in neonates using MRI. NMR Biomed. 2014, 27, 332–340. [Google Scholar] [CrossRef] [PubMed]
- Grimstad, I.A.; Hirschberg, H.; Rootwelt, K. 99mTc-hexamethylpropyleneamine oxime leukocyte scintigraphy and C-reactive protein levels in the differential diagnosis of brain abscesses. J. Neurosurg. 1992, 77, 732–736. [Google Scholar] [CrossRef] [PubMed]



| FLAIR | DWI | DSC Perfusion with Leakage Correction | Contrast-Enhanced T1 MP-RAGE | |
|---|---|---|---|---|
| TR (ms) | 9000 | 7600 | 2010 | 2200 |
| TE (ms) | 110 | 86 | 30 | 2.67 |
| Flip angle (°) | 150 | 90 | 90 | 8 |
| FOV (mm2) | 230 | 230 | 230 | 250 |
| Matrix (pixel) | 256 × 256 | 324 × 372 | 128 × 128 | 256 × 256 |
| Voxel size (mm) | 0.9 × 0.9 × 5 | 1.2 × 1.2 × 5 | 1.8 × 1.8 × 3 | 1.0 × 1.0 × 1.0 |
| Acquisition time (min) | 2:26 | 1:25 | 1:48 | 4:59 |
| Parameter | Description | Acquisition |
|---|---|---|
| Cerebral blood flow (CBF) | Reflecting the angiogenesis | Software-based measurement |
| Cerebral blood volume (CBV) | Reflecting the oxygenation/microvascular status | Software-based measurement |
| Cerebral metabolic rate of oxygen (CMRO2) | Reflecting the oxygenation/microvascular status | Calculated using OEF and CBF |
| Coefficient of variance (COV) | Reflecting relative transit-time heterogeneity | Calculated using CTH, CBF and CBV |
| Capillary transit time heterogeneity (CTH) | Reflecting the distribution of microvascular flow patterns | Software-based measurement |
| Oxygen extraction fraction (OEF) | Reflecting the efficiency of oxygen utilization by the tissue | Calculated using CBV |
| Patients without Microbiological Result (7 Patients; 8 Abscesses) | Patients with Microbiological Result (27 Patients; 37 Abscesses) | p-Value | |
|---|---|---|---|
| Age in years | 59.43 (± 19.865) | 56.15 (± 14.912) | 0.456 |
| Gender | |||
| 1 (14.3%) | 15 (55.6%) | 0.055 |
| 6 (85.7%) | 12 (44.4%) | |
| Number of abscesses | 1 [1-1]//6 × 1, 1 × 2 | 1 [1-1]//21 × 1, 3 × 2, 1 × 4, 1 × 7 | 0.748 |
| Side | |||
| 4 (50%) | 17 (45.9%) | |
| 3 (37.5%) | 18 (48.6%) | |
| 1 (12.5%) | 2 (5.4%) | |
| Location | |||
| 3 (37.5%) | 14 (37.8%) | |
| 1 (12.5%) | 7 (18.9%) | |
| 2 (25%) | 7 (18.9%) | |
| 1 (12.5%) | 6 (16.2%) | |
| 1 (12.5%) | 2 (5.4%) | |
| 0 | 1 (2.7%) | |
| CRP (mg/dl) | 2.1 [0.9–5.1] | 28.3 [10.4–71.4] | 0.003 |
| Pathologic CRP (>5mg/dL) | 2 (28.6%) | 23 (85.2%) | |
| Leucocyte count (×10³/µL) | 6.89 [5.43–12.16] | 10.69 [8.7–14.96] | 0.025 |
| Leucocytes in relation to reverence | |||
| 1 (14.3%) | 0 | |
| 2 (28.6%) | 12 (44.4%) | |
| Additional PCR testing for microbiological analysis | 4 (57.1%) | 15 (55.6%) | |
| Volume of abscess (in mL) | 3.927 [1.463–34.684] | 7.487 [2.499–27.36] | 0.677 |
| DWI * | 2.84 [2.05–4.59] | 2.85 [2.42–3.42] | 0.782 |
| ADC * | |||
| 0.766 [0.544–0.863] | 0.732 [0.585–0.892] | 0.949 |
| 1.153 [0.72–1.652] | 1.171 [1.02–1.652] | 0.209 |
| 1.689 [1.229–2.24] | 1.643 [1.457–2.026] | 0.779 |
| Volume of oedema (in ml) | 26.643 [12.761–77.427] | 45.705 [20.319–91.73] | 0.427 |
| Carecare–COV [CMN] * | |||
| 0.108 [0.71–1.16] | 1.12 [1.04–1.27] | 0.268 |
| 0.68 [0.56–0.8] | 0.8 [0.71–0.9] | 0.153 |
| 0.935 [0.89–1.11] | 0.93 [0.89–1.02] | 0.64 |
| Carecare–rCMRO2 * | |||
| 0.3 [0.23–0.44] | 0.21 [0.12–0.34] | 0.269 |
| 0.71 [0.67–1.13] | 0.84 [0.57–1.22] | 0.609 |
| 0.37 [0.208–0.695] | 0.82 [0.55–1.19] | 0.022 |
| Carecare–OEF [CMN] * | |||
| 1.17 [0.92–1.48] | 1.14 [0.95–1.37] | 0.686 |
| 1.39 [1.05–1.52] | 1.31 [1.07–1.56] | 0.881 |
| 1.17 [1.04–1.615] | 1.1 [0.91–1.19] | 0.225 |
| Carecare–CTH [CMN] * | |||
| 1.54 [0.81–1.92] | 1.78 [1.38–2.75] | 0.154 |
| 0.94 [0.9–1.05] | 1.16 [0.84–1.47] | 0.154 |
| 1.155 [1–2.113] | 1.03 [0.67–1.37] | 0.262 |
| Carecare–rCBV [CMN] * | |||
| 0.36 [0.33–0.42] | 0.29 [1.5–0.54] | 0.406 |
| 0.87 [0.67–1.21] | 1.01 [0.73–1.54] | 0.58 |
| 0.44 [0.203–0.72] | 0.87 [0.67–1.2] | 0.018 |
| Carecare–rCBF [CMN] * | |||
| 0.24 [0.19–0.39] | 0.18 [0.08–0.43] | 0.406 |
| 0.57 [0.44–0.77] | 0.68 [0.37–0.93] | 0.848 |
| 0.335 [0.18–0.613] | 0.81 [0.49–1.08] | 0.015 |
| Microbiological Result | Frequency |
|---|---|
| No microbiological result | 7 |
| Streptococcus intermedius | 11 |
| Staphylococcus aureus | 4 |
| Fusobacterium nucleatum | 4 |
| Streptococcus constellatus | 3 |
| Agregatibacter aphrophilus | 2 |
| Streptococcus pneumonia | 1 |
| Nocardia farcinica | 1 |
| Prevotella oris | 1 |
| Cladophialophora bantiana | 1 |
| Parvimonas micra | 1 |
| Actinomyces meyeri | 1 |
| Propionibacterium acnes | 1 |
| Finegoldia magna | 1 |
| Enterococcus faecalis | 1 |
| Peptostreptococcus | 1 |
| Gram negative rods * | 1 |
| Mixed flora * | 2 |
| Inflammatory Focus | Frequency | Percent |
|---|---|---|
| No focus | 17 | 50.0 |
| Iatrogenic | 2 | 5.9 |
| Immunocompromised | 7 | 20.6 |
| ENT | 5 | 14.7 |
| Cardiopulmonary | 2 | 5.9 |
| Septic condition | 1 | 2.9 |
| Side | Location | Core Volume (in mL) | Oedema Volume (in mL) | Capsula Thickness (in mm) | Oedema rCMRO2 ‡ | Oedema rCBV (CMN) ‡ | Oedema rCBF (CMN) ‡ | |
|---|---|---|---|---|---|---|---|---|
| Abscess 1 * | Right | Parietal | 10.15 | 49.45 | 3 | 1.33 | 1.49 | 1.32 |
| Abscess 2 | Right | Temporal | 7.83 | 13.31 | 2 | 1.08 | 1.19 | 0.97 |
| Abscess 3 * | Right | Occipital | 16.53 | 24.6 | 4 | 0.62 | 0.74 | 0.58 |
| Abscess 4 | Right | Frontal | 4.42 | 30.74 | 4 | 1.26 | 1.18 | 1.08 |
| Abscess 5 | Left | Frontal | 0.5 | 0.68 | 2 | 1.4 | 1.38 | 1.4 |
| Abscess 6 | Right | Frontal | 1.26 | 0.76 | 3 | 0.25 | 0.35 | 0.16 |
| Abscess 7 | Right | Temporal | 0.86 | 1.18 | 3 | 1.95 | 1.43 | 2.01 |
Disclaimer/Publisher’s Note: The statements, opinions and data contained in all publications are solely those of the individual author(s) and contributor(s) and not of MDPI and/or the editor(s). MDPI and/or the editor(s) disclaim responsibility for any injury to people or property resulting from any ideas, methods, instructions or products referred to in the content. |
© 2023 by the authors. Licensee MDPI, Basel, Switzerland. This article is an open access article distributed under the terms and conditions of the Creative Commons Attribution (CC BY) license (https://creativecommons.org/licenses/by/4.0/).
Share and Cite
Knott, M.; Hoelter, P.; Soder, L.; Schlaffer, S.; Hoffmanns, S.; Lang, R.; Doerfler, A.; Schmidt, M.A. Can Perfusion-Based Brain Tissue Oxygenation MRI Support the Understanding of Cerebral Abscesses In Vivo? Diagnostics 2023, 13, 3346. https://doi.org/10.3390/diagnostics13213346
Knott M, Hoelter P, Soder L, Schlaffer S, Hoffmanns S, Lang R, Doerfler A, Schmidt MA. Can Perfusion-Based Brain Tissue Oxygenation MRI Support the Understanding of Cerebral Abscesses In Vivo? Diagnostics. 2023; 13(21):3346. https://doi.org/10.3390/diagnostics13213346
Chicago/Turabian StyleKnott, Michael, Philip Hoelter, Liam Soder, Sven Schlaffer, Sophia Hoffmanns, Roland Lang, Arnd Doerfler, and Manuel Alexander Schmidt. 2023. "Can Perfusion-Based Brain Tissue Oxygenation MRI Support the Understanding of Cerebral Abscesses In Vivo?" Diagnostics 13, no. 21: 3346. https://doi.org/10.3390/diagnostics13213346
APA StyleKnott, M., Hoelter, P., Soder, L., Schlaffer, S., Hoffmanns, S., Lang, R., Doerfler, A., & Schmidt, M. A. (2023). Can Perfusion-Based Brain Tissue Oxygenation MRI Support the Understanding of Cerebral Abscesses In Vivo? Diagnostics, 13(21), 3346. https://doi.org/10.3390/diagnostics13213346

