Imaging of the Reconstructed Breast
Abstract
1. Introduction
2. Surgical Techniques for Breast Reconstruction
2.1. Autologous Reconstruction
2.1.1. Transverse Abdominal Myocutaneous Pedicle (TRAM) Flap
2.1.2. Latissimus Dorsi Myocutaneous (LD) Flap
2.1.3. Muscle Sparing Free Flaps
2.2. Alloplastic Reconstruction
2.2.1. Implants
2.2.2. Acellular Dermal Matrices (ADMs)
2.3. Autologous Fat Reconstruction
2.4. Nipple Areola Complex (NAC) Reconstruction
3. Preoperative Imaging
4. Normal Imaging Appearance of the Reconstructed Breast
4.1. Autologous Reconstruction
4.2. Implant Reconstruction
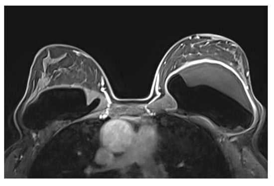
5. Complications
5.1. Autologous Reconstruction
5.1.1. Seromas and Hematomas
5.1.2. Skin Thickening and Fibrosis
5.1.3. Fat Necrosis
5.1.4. Donor Site Complications
5.2. Implants and Alloplastic Reconstruction
5.2.1. Seromas
5.2.2. Hematomas
5.2.3. Infection
5.2.4. Capsular Contracture
- Grade I—normal soft tissues implant texture;
- Grade II—firm texture with normal contour;
- Grade III—firm texture with altered contour;
- Grade IV—firm texture with altered contour with concomitant pain [75].
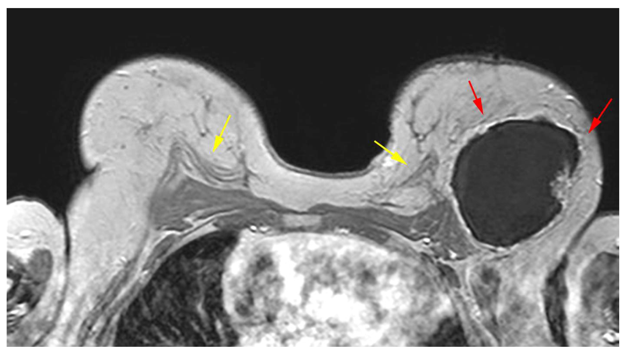
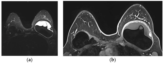
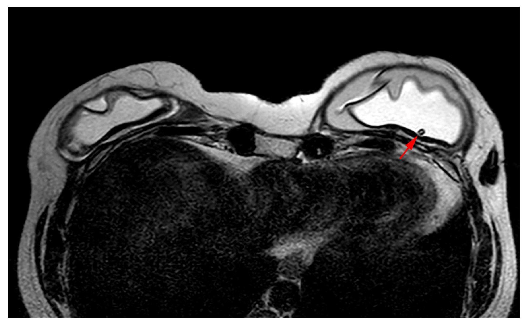
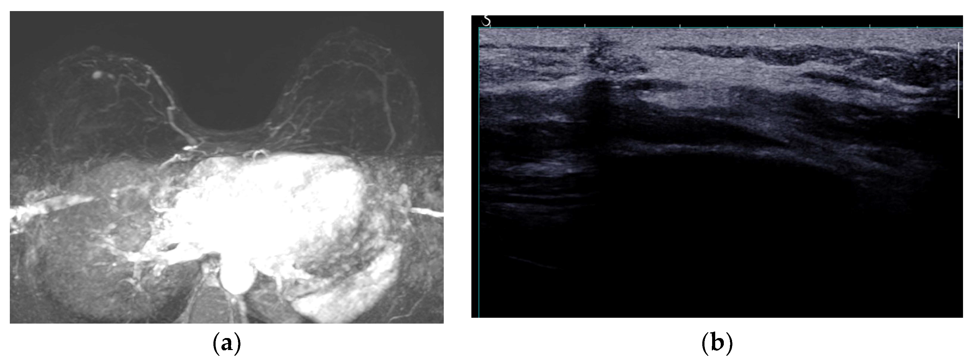
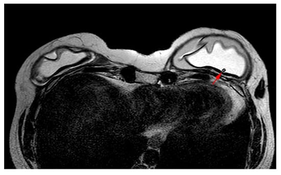
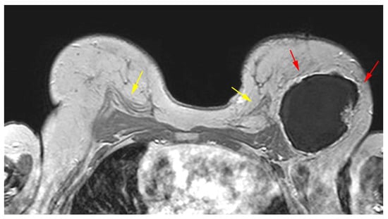
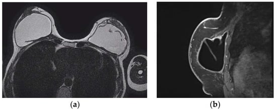
5.2.5. Implant Rupture
5.2.6. Breast Implant Associated Atypical Large Cell Lymphoma (BIA-ALCL)
5.2.7. Others
6. Recurrence of Breast Cancer
7. Male Breast
8. Conclusions
Author Contributions
Funding
Institutional Review Board Statement
Informed Consent Statement
Data Availability Statement
Conflicts of Interest
References
- Fefferman, M.; Nicholson, K.; Kuchta, K.; Pesce, C.; Kopkash, K.; Yao, K. Rates of Bilateral Mastectomy in Patients with Early-Stage Breast Cancer. JAMA Netw. Open 2023, 6, e2251348. [Google Scholar] [CrossRef]
- Sardanelli, F.; Trimboli, R.M.; Houssami, N.; Gilbert, F.J.; Helbich, T.H.; Alvarez Benito, M.; Balleyguier, C.; Bazzocchi, M.; Bult, P.; Calabrese, M.; et al. Magnetic resonance imaging before breast cancer surgery: Results of an observational multicenter international prospective analysis (MIPA). Eur. Radiol. 2022, 32, 1611–1623. [Google Scholar] [CrossRef] [PubMed]
- Taylor, A.; Tischkowitz, M. Informed decision-making is the key in women at high risk of breast cancer. Eur. J. Surg. Oncol. 2014, 40, 667–669. [Google Scholar] [CrossRef]
- Alaofi, R.K.; Nassif, M.O.; Al-Hajeili, M.R. Prophylactic mastectomy for the prevention of breast cancer: Review of the literature. Avicenna J. Med. 2018, 8, 67–77. [Google Scholar] [CrossRef] [PubMed]
- Kaidar-Person, O.; Poortmans, P.; Offersen, B.V.; Boersma, L.J.; de Ruysscher, D.; Noy, V.; Hermann, N.; Kuhn, T. What are the guidelines for immediate breast reconstruction? Eur. J. Surg. Oncol. 2021, 47, 1214–1215. [Google Scholar] [CrossRef] [PubMed]
- Popowich, B.; Kostaras, X.; Temple-Oberle, C. Breast reconstruction after therapeutic or prophylactic mastectomy for breast cancer: A comparison of guideline recommendations. Eur. J. Surg. Oncol. 2020, 46, 1046–1051. [Google Scholar] [CrossRef]
- Mureau, M.A.M.; Breast Reconstruction Guideline Working, G. Dutch breast reconstruction guideline. J. Plast. Reconstr. Aesthet. Surg. 2018, 71, 290–304. [Google Scholar] [CrossRef] [PubMed]
- Zehra, S.; Doyle, F.; Barry, M.; Walsh, S.; Kell, M.R. Health-related quality of life following breast reconstruction compared to total mastectomy and breast-conserving surgery among breast cancer survivors: A systematic review and meta-analysis. Breast Cancer 2020, 27, 534–566. [Google Scholar] [CrossRef] [PubMed]
- Nahabedian, M.Y.; Momen, B.; Galdino, G.; Manson, P.N. Breast Reconstruction with the free TRAM or DIEP flap: Patient selection, choice of flap, and outcome. Plast. Reconstr. Surg. 2002, 110, 466–475; discussion 476–467. [Google Scholar] [CrossRef]
- Nahabedian, M.Y.; Patel, K. Autologous flap breast reconstruction: Surgical algorithm and patient selection. J. Surg. Oncol. 2016, 113, 865–874. [Google Scholar] [CrossRef] [PubMed]
- Savalia, N.B.; Silverstein, M.J. Oncoplastic breast reconstruction: Patient selection and surgical techniques. J. Surg. Oncol. 2016, 113, 875–882. [Google Scholar] [CrossRef]
- Yun, J.H.; Diaz, R.; Orman, A.G. Breast Reconstruction and Radiation Therapy. Cancer Control 2018, 25, 1073274818795489. [Google Scholar] [CrossRef] [PubMed]
- Weber, W.P.; Shaw, J.; Pusic, A.; Wyld, L.; Morrow, M.; King, T.; Matrai, Z.; Heil, J.; Fitzal, F.; Potter, S.; et al. Oncoplastic breast consortium recommendations for mastectomy and whole breast reconstruction in the setting of post-mastectomy radiation therapy. Breast 2022, 63, 123–139. [Google Scholar] [CrossRef] [PubMed]
- Serletti, J.M. Breast reconstruction with the TRAM flap: Pedicled and free. J. Surg. Oncol. 2006, 94, 532–537. [Google Scholar] [CrossRef] [PubMed]
- Sood, R.; Easow, J.M.; Konopka, G.; Panthaki, Z.J. Latissimus Dorsi Flap in Breast Reconstruction: Recent Innovations in the Workhorse Flap. Cancer Control 2018, 25, 1073274817744638. [Google Scholar] [CrossRef] [PubMed]
- Escandon, J.M.; Escandon, L.; Ahmed, A.; Weiss, A.; Nazerali, R.; Ciudad, P.; Langstein, H.N.; Manrique, O.J. Breast reconstruction using the Latissimus Dorsi Flap and Immediate Fat Transfer (LIFT): A systematic review and meta-analysis. J. Plast. Reconstr. Aesthet. Surg. 2022, 75, 4106–4116. [Google Scholar] [CrossRef]
- Chang, D.W.; Youssef, A.; Cha, S.; Reece, G.P. Autologous breast reconstruction with the extended latissimus dorsi flap. Plast. Reconstr. Surg. 2002, 110, 751–759; discussion 760–751. [Google Scholar] [CrossRef]
- Elliott, L.F.; Ghazi, B.H.; Otterburn, D.M. The scarless latissimus dorsi flap for full muscle coverage in device-based immediate breast reconstruction: An autologous alternative to acellular dermal matrix. Plast. Reconstr. Surg. 2011, 128, 71–79. [Google Scholar] [CrossRef] [PubMed]
- Cook, J.; Waughtel, J.; Brooks, C.; Hardin, D.; Hwee, Y.K.; Barnavon, Y. The Muscle-Sparing Latissimus Dorsi Flap for Breast Reconstruction: A Retrospective Review of 126 Consecutive Flaps. Ann. Plast. Surg. 2017, 78 (Suppl. 5), S263–S268. [Google Scholar] [CrossRef] [PubMed]
- Chevray, P.M. Breast reconstruction with superficial inferior epigastric artery flaps: A prospective comparison with TRAM and DIEP flaps. Plast. Reconstr. Surg. 2004, 114, 1077–1083; discussion 1084–1075. [Google Scholar] [CrossRef] [PubMed]
- Jeong, W.; Lee, S.; Kim, J. Meta-analysis of flap perfusion and donor site complications for breast reconstruction using pedicled versus free TRAM and DIEP flaps. Breast 2018, 38, 45–51. [Google Scholar] [CrossRef]
- Lee, K.T.; Mun, G.H. Effects of Obesity on Postoperative Complications after Breast Reconstruction Using Free Muscle-Sparing Transverse Rectus Abdominis Myocutaneous, Deep Inferior Epigastric Perforator, and Superficial Inferior Epigastric Artery Flap: A Systematic Review and Meta-analysis. Ann. Plast. Surg. 2016, 76, 576–584. [Google Scholar] [PubMed]
- Healy, C.; Allen, R.J., Sr. The evolution of perforator flap breast reconstruction: Twenty years after the first DIEP flap. J. Reconstr. Microsurg. 2014, 30, 121–125. [Google Scholar] [PubMed]
- DellaCroce, F.J.; Sullivan, S.K.; Trahan, C. Stacked deep inferior epigastric perforator flap breast reconstruction: A review of 110 flaps in 55 cases over 3 years. Plast. Reconstr. Surg. 2011, 127, 1093–1099. [Google Scholar] [CrossRef] [PubMed]
- Kaoutzanis, C.; Winocour, J.; Unger, J.; Gabriel, A.; Maxwell, G.P. The Evolution of Breast Implants. Semin. Plast. Surg. 2019, 33, 217–223. [Google Scholar] [CrossRef] [PubMed]
- Sforza, M.; Hammond, D.C.; Botti, G.; Heden, P.; Chacon Quiros, M.; Munhoz, A.M.; Kinney, B.M.; Corduff, N. Expert Consensus on the Use of a New Bioengineered, Cell-Friendly, Smooth Surface Breast Implant. Aesthet. Surg. J. 2019, 39 (Suppl. 3), S95–S102. [Google Scholar] [CrossRef] [PubMed]
- Juanpere, S.; Perez, E.; Huc, O.; Motos, N.; Pont, J.; Pedraza, S. Imaging of breast Implants—A pictorial review. Insights Imaging 2011, 2, 653–670. [Google Scholar] [CrossRef] [PubMed]
- Spear, S.L.; Spittler, C.J. Breast reconstruction with implants and expanders. Plast. Reconstr. Surg. 2001, 107, 177–187; quiz 188. [Google Scholar] [CrossRef] [PubMed]
- Schiaffino, S.; Cozzi, A.; Pompei, B.; Scarano, A.L.; Catanese, C.; Catic, A.; Rossi, L.; Del Grande, F.; Harder, Y. MRI-Conditional Breast Tissue Expander: First In-Human Multi-Case Assessment of MRI-Related Complications and Image Quality. J. Clin. Med. 2023, 12, 4410. [Google Scholar] [CrossRef]
- Pacella, S.J. Evolution in Tissue Expander Design for Breast Reconstruction: Technological Innovation to Optimize Patient Outcomes. Plast. Reconstr. Surg. 2018, 142, 21S–30S. [Google Scholar] [CrossRef] [PubMed]
- Masia, J.; iBAG Working Group; Salgarello, M.; Cattelani, L.; Parodi, P.C.; Ribuffo, D.; Onesti, M.G.; Berna, G.; Cawthorn, S.J.; Bozza, F.; et al. The largest multicentre data collection on prepectoral breast reconstruction: The iBAG study. J. Surg. Oncol. 2020, 122, 848–860. [Google Scholar] [CrossRef]
- Preminger, B.A.; McCarthy, C.M.; Hu, Q.Y.; Mehrara, B.J.; Disa, J.J. The influence of AlloDerm on expander dynamics and complications in the setting of immediate tissue expander/implant reconstruction: A matched-cohort study. Ann. Plast. Surg. 2008, 60, 510–513. [Google Scholar] [CrossRef]
- Khouri, R.K., Jr.; Khouri, R.K. Current Clinical Applications of Fat Grafting. Plast. Reconstr. Surg. 2017, 140, 466e–486e. [Google Scholar] [CrossRef] [PubMed]
- Shamoun, F.; Asaad, M.; Hanson, S.E. Oncologic Safety of Autologous Fat Grafting in Breast Reconstruction. Clin. Breast Cancer 2021, 21, 271–277. [Google Scholar] [CrossRef]
- Dialani, V.; Lai, K.C.; Slanetz, P.J. MR imaging of the reconstructed breast: What the radiologist needs to know. Insights Imaging 2012, 3, 201–213. [Google Scholar] [CrossRef] [PubMed]
- Rozen, W.M.; Phillips, T.J.; Ashton, M.W.; Stella, D.L.; Taylor, G.I. A new preoperative imaging modality for free flaps in breast reconstruction: Computed tomographic angiography. Plast. Reconstr. Surg. 2008, 122, 38e–40e. [Google Scholar] [CrossRef]
- Agrawal, M.D.; Thimmappa, N.D.; Vasile, J.V.; Levine, J.L.; Allen, R.J.; Greenspun, D.T.; Ahn, C.Y.; Chen, C.M.; Hedgire, S.S.; Prince, M.R. Autologous breast reconstruction: Preoperative magnetic resonance angiography for perforator flap vessel mapping. J. Reconstr. Microsurg. 2015, 31, 1–11. [Google Scholar]
- Mohan, A.T.; Saint-Cyr, M. Advances in imaging technologies for planning breast reconstruction. Gland. Surg. 2016, 5, 242–254. [Google Scholar]
- Zhang, X.; Mu, D.; Yang, Y.; Li, W.; Lin, Y.; Li, H.; Luan, J. Predicting the Feasibility of Utilizing SIEA Flap for Breast Reconstruction with Preoperative BMI and Computed Tomography Angiography (CTA) Data. Aesthetic Plast. Surg. 2021, 45, 100–107. [Google Scholar] [CrossRef] [PubMed]
- Vasile, J.V.; Levine, J.L. Magnetic resonance angiography in perforator flap breast reconstruction. Gland. Surg. 2016, 5, 197–211. [Google Scholar] [PubMed]
- Rozen, W.M.; Phillips, T.J.; Ashton, M.W.; Stella, D.L.; Gibson, R.N.; Taylor, G.I. Preoperative imaging for DIEA perforator flaps: A comparative study of computed tomographic angiography and Doppler ultrasound. Plast. Reconstr. Surg. 2008, 121, 9–16. [Google Scholar] [CrossRef]
- Salgarello, M.; Visconti, G. Designing Lateral Thoracic Wall Perforator Flaps for Breast Reconstruction Using Ultrasound. J. Reconstr. Microsurg. 2022, 38, 228–232. [Google Scholar] [CrossRef] [PubMed]
- Thiessen, F.E.F.; Tondu, T.; Cloostermans, B.; Dirkx, Y.A.L.; Auman, D.; Cox, S.; Verhoeven, V.; Hubens, G.; Steenackers, G.; Tjalma, W.A.A. Dynamic InfraRed Thermography (DIRT) in DIEP-flap breast reconstruction: A review of the literature. Eur. J. Obstet. Gynecol. Reprod. Biol. 2019, 242, 47–55. [Google Scholar] [CrossRef] [PubMed]
- Hogge, J.P.; Zuurbier, R.A.; de Paredes, E.S. Mammography of autologous myocutaneous flaps. Radiographics 1999, 19, S63–S72. [Google Scholar] [CrossRef] [PubMed]
- Devon, R.K.; Rosen, M.A.; Mies, C.; Orel, S.G. Breast reconstruction with a transverse rectus abdominis myocutaneous flap: Spectrum of normal and abnormal MR imaging findings. Radiographics 2004, 24, 1287–1299. [Google Scholar] [CrossRef]
- Kang, B.J.; Jung, J.I.; Park, C.; Park, W.C.; Jeon, H.M.; Hahn, S.T.; Lee, J.M. Breast MRI findings after modified radical mastectomy and transverse rectus abdominis myocutaneous flap in patients with breast cancer. J. Magn. Reson. Imaging 2005, 21, 784–791. [Google Scholar] [CrossRef]
- Venkataraman, S.; Hines, N.; Slanetz, P.J. Challenges in mammography: Part 2, multimodality review of breast augmentation—Imaging findings and complications. Am. J. Roentgenol. 2011, 197, W1031–W1045. [Google Scholar] [CrossRef] [PubMed]
- Wong, T.; Lo, L.W.; Fung, P.Y.; Lai, H.Y.; She, H.L.; Ng, W.K.; Kwok, K.M.; Lee, C.M. Magnetic resonance imaging of breast augmentation: A pictorial review. Insights Imaging 2016, 7, 399–410. [Google Scholar] [CrossRef] [PubMed]
- Norena-Rengifo, B.D.; Sanin-Ramirez, M.P.; Adrada, B.E.; Luengas, A.B.; Martinez de Vega, V.; Guirguis, M.S.; Saldarriaga-Uribe, C. MRI for Evaluation of Complications of Breast Augmentation. Radiographics 2022, 42, 929–946. [Google Scholar] [CrossRef]
- Soo, M.S.; Kornguth, P.J.; Walsh, R.; Elenberger, C.D.; Georgiade, G.S. Complex radial folds versus subtle signs of intracapsular rupture of breast implants: MR findings with surgical correlation. AJR Am. J. Roentgenol. 1996, 166, 1421–1427. [Google Scholar] [CrossRef] [PubMed][Green Version]
- Pinel-Giroux, F.M.; El Khoury, M.M.; Trop, I.; Bernier, C.; David, J.; Lalonde, L. Breast reconstruction: Review of surgical methods and spectrum of imaging findings. Radiographics 2013, 33, 435–453. [Google Scholar] [CrossRef]
- Losken, A.; Nicholas, C.S.; Pinell, X.A.; Carlson, G.W. Outcomes evaluation following bilateral breast reconstruction using latissimus dorsi myocutaneous flaps. Ann. Plast. Surg. 2010, 65, 17–22. [Google Scholar] [CrossRef] [PubMed]
- Andrades, P.; Fix, R.J.; Danilla, S.; Howell, R.E., 3rd; Campbell, W.J.; De la Torre, J.; Vasconez, L.O. Ischemic complications in pedicle, free, and muscle sparing transverse rectus abdominis myocutaneous flaps for breast reconstruction. Ann. Plast. Surg. 2008, 60, 562–567. [Google Scholar] [CrossRef] [PubMed]
- Bajaj, A.K.; Chevray, P.M.; Chang, D.W. Comparison of donor-site complications and functional outcomes in free muscle-sparing TRAM flap and free DIEP flap breast reconstruction. Plast. Reconstr. Surg. 2006, 117, 737–746; discussion 747–750. [Google Scholar] [CrossRef] [PubMed]
- Mulvey, C.L.; Cooney, C.M.; Daily, F.F.; Colantuoni, E.; Ogbuago, O.U.; Cooney, D.S.; Rad, A.N.; Manahan, M.A.; Rosson, G.D.; Sacks, J.M. Increased Flap Weight and Decreased Perforator Number Predict Fat Necrosis in DIEP Breast Reconstruction. Plast. Reconstr. Surg. Glob. Open 2013, 1, 1–7. [Google Scholar] [CrossRef]
- Kerridge, W.D.; Kryvenko, O.N.; Thompson, A.; Shah, B.A. Fat Necrosis of the Breast: A Pictorial Review of the Mammographic, Ultrasound, CT, and MRI Findings with Histopathologic Correlation. Radiol. Res. Pract. 2015, 2015, 613139. [Google Scholar] [CrossRef] [PubMed]
- Taboada, J.L.; Stephens, T.W.; Krishnamurthy, S.; Brandt, K.R.; Whitman, G.J. The many faces of fat necrosis in the breast. Am. J. Roentgenol. 2009, 192, 815–825. [Google Scholar] [CrossRef] [PubMed]
- Daly, C.P.; Jaeger, B.; Sill, D.S. Variable appearances of fat necrosis on breast MRI. Am. J. Roentgenol. 2008, 191, 1374–1380. [Google Scholar] [CrossRef] [PubMed]
- Trimboli, R.M.; Carbonaro, L.A.; Cartia, F.; Di Leo, G.; Sardanelli, F. MRI of fat necrosis of the breast: The “black hole” sign at short tau inversion recovery. Eur. J. Radiol. 2012, 81, e573–e579. [Google Scholar] [CrossRef] [PubMed]
- Chirappapha, P.; Somintara, O.; Lertsithichai, P.; Kongdan, Y.; Supsamutchai, C.; Sukpanich, R. Complications and oncologic outcomes of pedicled transverse rectus abdominis myocutaneous flap in breast cancer patients. Gland. Surg. 2016, 5, 405–415. [Google Scholar] [CrossRef]
- Sailon, A.M.; Schachar, J.S.; Levine, J.P. Free transverse rectus abdominis myocutaneous and deep inferior epigastric perforator flaps for breast reconstruction: A systematic review of flap complication rates and donor-site morbidity. Ann. Plast. Surg. 2009, 62, 560–563. [Google Scholar] [CrossRef]
- Chirappapha, P.; Trikunagonvong, N.; Prapruttam, D.; Rongthong, S.; Lertsithichai, P.; Sukarayothin, T.; Leesombatpaiboon, M.; Panawattanakul, R.; Thaweepworadej, P. Donor-Site Complications and Remnant of Rectus Abdominis Muscle Status after Transverse Rectus Abdominis Myocutaneous Flap Reconstruction. Plast. Reconstr. Surg. Glob. Open 2017, 5, e1387. [Google Scholar] [CrossRef]
- Caputo, G.G.; Mura, S.; Albanese, R.; Zingaretti, N.; Pier Camillo, P. Seroma Formation in Pre-pectoral Implant-Based ADM Assisted Breast Reconstruction: A Comprehensive Review of Current Literature. Chirurgia 2021, 116 (Suppl. 2), 16–23. [Google Scholar] [CrossRef]
- Daar, D.A.; Bekisz, J.M.; Chiodo, M.V.; DeMitchell-Rodriguez, E.M.; Saadeh, P.B. Hematoma after Non-Oncologic Breast Procedures: A Comprehensive Review of the Evidence. Aesthetic Plast. Surg. 2021, 45, 2602–2617. [Google Scholar] [CrossRef]
- Dassoulas, K.R.; Wang, J.; Thuman, J.; Ndem, I.; Schaeffer, C.; Stovall, M.; Tilt, A.; Lee, A.; Lin, K.Y.; Campbell, C.A. Reducing Infection Rates in Implant-Based Breast Reconstruction: Impact of an Evidence-based Protocol. Ann. Plast. Surg. 2018, 80, 493–499. [Google Scholar] [CrossRef]
- Barr, S.P.; Topps, A.R.; Barnes, N.L.; Henderson, J.; Hignett, S.; Teasdale, R.L.; McKenna, A.; Harvey, J.R.; Kirwan, C.C.; Northwest Breast Surgical Research, C. Infection prevention in breast implant surgery—A review of the surgical evidence, guidelines and a checklist. Eur. J. Surg. Oncol. 2016, 42, 591–603. [Google Scholar] [CrossRef]
- Zhang, R.; Singh, D.; Parsa, F.D. Review of Early Signs of Breast Implant Infection. Aesthetic Plast. Surg. 2022, 46, 2152–2158. [Google Scholar] [CrossRef] [PubMed]
- Dobke, M.; Hauch, A.; Crowley, J. Subclinical Infection of the Silicone Breast Implant Surface as a Possible Cause of Capsular Contracture: A Follow-Up. Aesthetic Plast. Surg. 2020, 44, 1148–1150. [Google Scholar] [CrossRef] [PubMed]
- Driscoll, C.R.; Prabhu, S.S.; Davidson, A.L.; Katz, A.J. Quantity of Acellular Dermal Matrix in Immediate Breast Reconstruction and Outcomes. Ann. Plast. Surg. 2022, 88 (Suppl. 5), S410–S413. [Google Scholar] [CrossRef]
- Marques, M.; Brown, S.A.; Oliveira, I.; Cordeiro, M.; Morales-Helguera, A.; Rodrigues, A.; Amarante, J. Long-term follow-up of breast capsule contracture rates in cosmetic and reconstructive cases. Plast. Reconstr. Surg. 2010, 126, 769–778. [Google Scholar] [CrossRef] [PubMed]
- Bachour, Y. Capsular Contracture in Breast Implant Surgery: Where Are We Now and Where Are We Going? Aesthetic Plast. Surg. 2021, 45, 1328–1337. [Google Scholar] [CrossRef]
- Prantl, L.; Angele, P.; Schreml, S.; Ulrich, D.; Poppl, N.; Eisenmann-Klein, M. Determination of serum fibrosis indexes in patients with capsular contracture after augmentation with smooth silicone gel implants. Plast. Reconstr. Surg. 2006, 118, 224–229. [Google Scholar] [CrossRef] [PubMed]
- Graziano, F.D.; Henderson, P.W.; Jacobs, J.; Salzberg, C.A.; Sbitany, H. How to Optimize Prepectoral Breast Reconstruction. Aesthet. Surg. J. 2020, 40 (Suppl. 2), S22–S28. [Google Scholar] [CrossRef] [PubMed]
- Haran, O.; Bracha, G.; Tiosano, A.; Menes, T.; Madah, E.; Gur, E.; Barnea, Y.; Arad, E. Postirradiation Capsular Contracture in Implant-Based Breast Reconstruction: Management and Outcome. Plast. Reconstr. Surg. 2021, 147, 11–19. [Google Scholar] [CrossRef] [PubMed]
- Spear, S.L.; Baker, J.L., Jr. Classification of capsular contracture after prosthetic breast reconstruction. Plast. Reconstr. Surg. 1995, 96, 1119–1123; discussion 1124. [Google Scholar] [CrossRef] [PubMed]
- Green, L.A.; Karow, J.A.; Toman, J.E.; Lostumbo, A.; Xie, K. Review of breast augmentation and reconstruction for the radiologist with emphasis on MRI. Clin. Imaging 2018, 47, 101–117. [Google Scholar] [CrossRef]
- Holmich, L.R.; Kjoller, K.; Vejborg, I.; Conrad, C.; Sletting, S.; McLaughlin, J.K.; Fryzek, J.; Breiting, V.; Jorgensen, A.; Olsen, J.H. Prevalence of silicone breast implant rupture among Danish women. Plast. Reconstr. Surg. 2001, 108, 848–858; discussion 859–863. [Google Scholar] [CrossRef] [PubMed]
- Holmich, L.R.; Friis, S.; Fryzek, J.P.; Vejborg, I.M.; Conrad, C.; Sletting, S.; Kjoller, K.; McLaughlin, J.K.; Olsen, J.H. Incidence of silicone breast implant rupture. Arch. Surg. 2003, 138, 801–806. [Google Scholar] [CrossRef]
- Seiler, S.J.; Sharma, P.B.; Hayes, J.C.; Ganti, R.; Mootz, A.R.; Eads, E.D.; Teotia, S.S.; Evans, W.P. Multimodality Imaging-based Evaluation of Single-Lumen Silicone Breast Implants for Rupture. Radiographics 2017, 37, 366–382. [Google Scholar] [CrossRef] [PubMed]
- Ahn, C.Y.; DeBruhl, N.D.; Gorczyca, D.P.; Shaw, W.W.; Bassett, L.W. Comparative silicone breast implant evaluation using mammography, sonography, and magnetic resonance imaging: Experience with 59 implants. Plast. Reconstr. Surg. 1994, 94, 620–627. [Google Scholar] [CrossRef] [PubMed]
- Ikeda, D.M.; Borofsky, H.B.; Herfkens, R.J.; Sawyer-Glover, A.M.; Birdwell, R.L.; Glover, G.H. Silicone breast implant rupture: Pitfalls of magnetic resonance imaging and relative efficacies of magnetic resonance, mammography, and ultrasound. Plast. Reconstr. Surg. 1999, 104, 2054–2062. [Google Scholar] [CrossRef] [PubMed]
- O’Toole, M.; Caskey, C.I. Imaging spectrum of breast implant complications: Mammography, ultrasound, and magnetic resonance imaging. Semin. Ultrasound CT MRI 2000, 21, 351–361. [Google Scholar] [CrossRef] [PubMed]
- Chung, K.C.; Malay, S.; Shauver, M.J.; Kim, H.M. Economic analysis of screening strategies for rupture of silicone gel breast implants. Plast. Reconstr. Surg. 2012, 130, 225–237. [Google Scholar] [CrossRef] [PubMed]
- Salzman, M.J. Silent Rupture of Silicone Gel Breast Implants: High-Resolution Ultrasound Scans and Surveys of 584 Women. Plast. Reconstr. Surg. 2022, 149, 7–14. [Google Scholar] [CrossRef]
- Goldammer, F.; Pinsolle, V.; Dissaux, C.; Pelissier, P. Accuracy of mammography, sonography and magnetic resonance imaging for detecting silicone breast implant ruptures: A retrospective observational study of 367 cases. Ann. Chir. Plast. Esthet. 2021, 66, 25–41. [Google Scholar] [CrossRef]
- Rochira, D.; Cavalcanti, P.; Ottaviani, A.; Tambasco, D. Longitudinal Ultrasound Study of Breast Implant Rupture Over a Six-Year Interval. Ann. Plast. Surg. 2016, 76, 150–154. [Google Scholar] [CrossRef]
- Salemis, N.S. Axillary silicone lymphadenopathy. An important differential in patients with post-mastectomy reconstruction with silicone gel implants. Breast J. 2020, 26, 1821–1822. [Google Scholar] [CrossRef]
- Safvi, A. Linguine sign. Radiology 2000, 216, 838–839. [Google Scholar] [CrossRef]
- Soo, M.S.; Kornguth, P.J.; Walsh, R.; Elenberger, C.; Georgiade, G.S.; DeLong, D.; Spritzer, C.E. Intracapsular implant rupture: MR findings of incomplete shell collapse. J. Magn. Reson. Imaging 1997, 7, 724–730. [Google Scholar] [CrossRef] [PubMed]
- Fleury, E.F.; Rego, M.M.; Ramalho, L.C.; Ayres, V.J.; Seleti, R.O.; Ferreira, C.A.; Roveda, D., Jr. Silicone-induced granuloma of breast implant capsule (SIGBIC): Similarities and differences with anaplastic large cell lymphoma (ALCL) and their differential diagnosis. Breast Cancer 2017, 9, 133–140. [Google Scholar] [CrossRef]
- Castro, C.; Fernandes, D.; Mendonca, M.; Roveda Junior, D.; Badan, G.; Fleury, E.F.C. Silicone-induced granuloma of breast implant capsule mimicking anaplastic large cell lymphoma. Breast J. 2020, 26, 1028–1030. [Google Scholar] [CrossRef]
- Maijers, M.C.; Niessen, F.B.; Veldhuizen, J.F.; Ritt, M.J.; Manoliu, R.A. MRI screening for silicone breast implant rupture: Accuracy, inter- and intraobserver variability using explantation results as reference standard. Eur. Radiol. 2014, 24, 1167–1175. [Google Scholar] [CrossRef]
- Keech, J.A., Jr.; Creech, B.J. Anaplastic T-cell lymphoma in proximity to a saline-filled breast implant. Plast. Reconstr. Surg. 1997, 100, 554–555. [Google Scholar] [CrossRef] [PubMed]
- Siaghani, P.J.; Song, J.Y. Updates of Peripheral T Cell Lymphomas Based on the 2017 WHO Classification. Curr. Hematol. Malig. Rep. 2018, 13, 25–36. [Google Scholar] [CrossRef]
- Marra, A.; Viale, G.; Pileri, S.A.; Pravettoni, G.; Viale, G.; De Lorenzi, F.; Nole, F.; Veronesi, P.; Curigliano, G. Breast implant-associated anaplastic large cell lymphoma: A comprehensive review. Cancer Treat. Rev. 2020, 84, 101963. [Google Scholar] [CrossRef]
- Doren, E.L.; Miranda, R.N.; Selber, J.C.; Garvey, P.B.; Liu, J.; Medeiros, L.J.; Butler, C.E.; Clemens, M.W. U.S. Epidemiology of Breast Implant-Associated Anaplastic Large Cell Lymphoma. Plast. Reconstr. Surg. 2017, 139, 1042–1050. [Google Scholar] [CrossRef]
- Sharma, B.; Jurgensen-Rauch, A.; Pace, E.; Attygalle, A.D.; Sharma, R.; Bommier, C.; Wotherspoon, A.C.; Sharma, S.; Iyengar, S.; El-Sharkawi, D. Breast Implant-associated Anaplastic Large Cell Lymphoma: Review and Multiparametric Imaging Paradigms. Radiographics 2020, 40, 609–628. [Google Scholar] [CrossRef] [PubMed]
- Adrada, B.E.; Miranda, R.N.; Rauch, G.M.; Arribas, E.; Kanagal-Shamanna, R.; Clemens, M.W.; Fanale, M.; Haideri, N.; Mustafa, E.; Larrinaga, J.; et al. Breast implant-associated anaplastic large cell lymphoma: Sensitivity, specificity, and findings of imaging studies in 44 patients. Breast Cancer Res. Treat. 2014, 147, 1–14. [Google Scholar] [CrossRef] [PubMed]
- Rotili, A.; Ferrari, F.; Nicosia, L.; Pesapane, F.; Tabanelli, V.; Fiori, S.; Vanazzi, A.; Meneghetti, L.; Abbate, F.; Latronico, A.; et al. MRI features of breast implant-associated anaplastic large cell lymphoma. Br. J. Radiol. 2021, 94, 20210093. [Google Scholar] [CrossRef]
- Glasberg, S.B.; Sommers, C.A.; McClure, G.T. Breast Implant-associated Squamous Cell Carcinoma: Initial Review and Early Recommendations. Plast. Reconstr. Surg. Glob. Open 2023, 11, e5072. [Google Scholar] [CrossRef]
- Tzur, R.; Silberstein, E.; Krieger, Y.; Shoham, Y.; Rafaeli, Y.; Bogdanov-Berezovsky, A. Desmoid Tumor and Silicone Breast Implant Surgery: Is There Really a Connection? A Literature Review. Aesthetic Plast. Surg. 2018, 42, 59–63. [Google Scholar] [CrossRef] [PubMed]
- Grubstein, A.; Rapson, Y.; Zer, A.; Gadiel, I.; Atar, E.; Morgenstern, S.; Gutman, H. MRI diagnosis and follow-up of chest wall and breast desmoid tumours in patients with a history of oncologic breast surgery and silicone implants: A pictorial report. J. Med. Imaging Radiat. Oncol. 2019, 63, 47–53. [Google Scholar] [CrossRef] [PubMed]
- Expert Panel on Breast, I.; Heller, S.L.; Lourenco, A.P.; Niell, B.L.; Ajkay, N.; Brown, A.; Dibble, E.H.; Didwania, A.D.; Jochelson, M.S.; Klein, K.A.; et al. ACR Appropriateness Criteria® Imaging After Mastectomy and Breast Reconstruction. J. Am. Coll. Radiol. 2020, 17, S403–S414. [Google Scholar]
- Adrada, B.E.; Karbasian, N.; Huang, M.; Rauch, G.M.; Woodtichartpreecha, P.; Whitman, G. Imaging Surveillance of the Reconstructed Breast in a Subset of Patients May Aid in Early Detection of Breast Cancer Recurrence. J. Clin. Imaging Sci. 2021, 11, 58. [Google Scholar] [CrossRef]
- Bargon, C.A.; Young-Afat, D.A.; Ikinci, M.; Braakenburg, A.; Rakhorst, H.A.; Mureau, M.A.M.; Verkooijen, H.M.; Doeksen, A. Breast cancer recurrence after immediate and delayed postmastectomy breast reconstruction-A systematic review and meta-analysis. Cancer 2022, 128, 3449–3469. [Google Scholar] [CrossRef] [PubMed]
- Casey, W.J., 3rd; Rebecca, A.M.; Silverman, A.; Macias, L.H.; Kreymerman, P.A.; Pockaj, B.A.; Gray, R.J.; Chang, Y.H.; Smith, A.A. Etiology of breast masses after autologous breast reconstruction. Ann. Surg. Oncol. 2013, 20, 607–614. [Google Scholar] [CrossRef] [PubMed]
- Kaidar-Person, O.; Vrou Offersen, B.; Hol, S.; Arenas, M.; Aristei, C.; Bourgier, C.; Cardoso, M.J.; Chua, B.; Coles, C.E.; Engberg Damsgaard, T.; et al. ESTRO ACROP consensus guideline for target volume delineation in the setting of postmastectomy radiation therapy after implant-based immediate reconstruction for early stage breast cancer. Radiother. Oncol. 2019, 137, 159–166. [Google Scholar] [CrossRef]
- Joo, J.H.; Yang, J.D.; Park, H.Y.; Park, J.; Wu, Z.Y.; Ko, B.; Park, J.; Kim, S.S. The patterns and spatial locations of local recurrence in breast cancer with implant-based reconstruction after mastectomy. Radiother. Oncol. 2022, 170, 111–117. [Google Scholar] [CrossRef] [PubMed]
- Smith, D.; Sepehr, S.; Karakatsanis, A.; Strand, F.; Valachis, A. Yield of Surveillance Imaging After Mastectomy with or without Reconstruction for Patients With Prior Breast Cancer: A Systematic Review and Meta-analysis. JAMA Netw. Open 2022, 5, e2244212. [Google Scholar] [CrossRef]
- Edeiken, B.S.; Fornage, B.D.; Bedi, D.G.; Sneige, N.; Parulekar, S.G.; Pleasure, J. Recurrence in autogenous myocutaneous flap reconstruction after mastectomy for primary breast cancer: US diagnosis. Radiology 2003, 227, 542–548. [Google Scholar] [CrossRef]
- Fentiman, I.S. Surgical options for male breast cancer. Breast Cancer Res. Treat. 2018, 172, 539–544. [Google Scholar] [CrossRef] [PubMed]
- Al-Kalla, T.; Komorowska-Timek, E. Breast total male breast reconstruction with fat grafting. Plast. Reconstr. Surg. Glob. Open 2014, 2, e257. [Google Scholar] [CrossRef]
- Deldar, R.; Sayyed, A.A.; Towfighi, P.; Aminpour, N.; Sogunro, O.; Son, J.D.; Fan, K.L.; Song, D.H. Postmastectomy Reconstruction in Male Breast Cancer. Breast J. 2022, 2022, 5482261. [Google Scholar] [CrossRef] [PubMed]




















| Sequence | T1 TSE | T2 TSE | Dynamic 3D Fat Suppressed | DWI | Silicone Suppression (Fat Suppressed) | Silicone Excited (Water Suppressed) |
|---|---|---|---|---|---|---|
| Slice thickness (mm) | 2 | 4 | 2 | 4 | 4 | 4 |
| FOV (mm) | 360 | 360 | 220 | 360 | 360 | 360 |
| TR | 5.9 | 3500 | 4.8 | 3520 | 6470 | 4500 |
| TE | 2.46 | 86 | 1.73 | 54 | 88 | 54 |
| Time (min) | 1:19 | 2:27 | 6:46 | 4:00 | 4:46 | 3:20 |
| Checklist | Findings | Details | Diagnosis |
|---|---|---|---|
| Implant type | One compartment Two compartments | Single-lumen Double-lumen | |
| Implant composition | Saline | High T2; low T1 | |
| Silicone | High T2; hyperintense silicone-only sequences; hypointense silicone-suppression sequences | ||
| Implant location | Pre-pectoral Retro-pectoral | ||
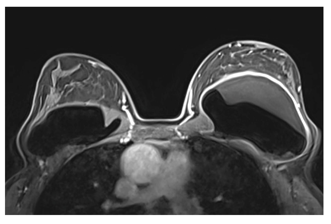
| Normal findings | Thin fibrous capsule Small peri-implant fluid | ||
| Radial folds | |||
| Rupture * | Implant shell | Intact fibrous capsule | Intracapsular |
| Implant shell and fibrous capsule | Extracapsular | ||
| Complications | Fluid | Early; low T1, high T2 | Seroma |
| Early; high T1, high T2 | Hematoma | ||
| Delayed, persistent (±mass) | BIA-ALCL, BIA-SCC | ||
| Thickened capsule | Irregular | Capsular contracture | |
| Enhancing with fluid | Infection | ||
| Mass | Cyst, complex cystic | Fat necrosis | |
| Fibrous capsule related | BIA-ALCL, BIA-SCC, desmoid, granuloma | ||
| Skin, subcutaneous | Fat necrosis, cancer recurrence, granuloma |
| Signs | Details | |
|---|---|---|
| Definitive rupture | Linguini sign | Low signal lines within the silicone |
| Subcapsular lines | Low signal lines parallel to the capsule surrounded by silicone | |
| Free Silicone | Extracapsular silicone | |
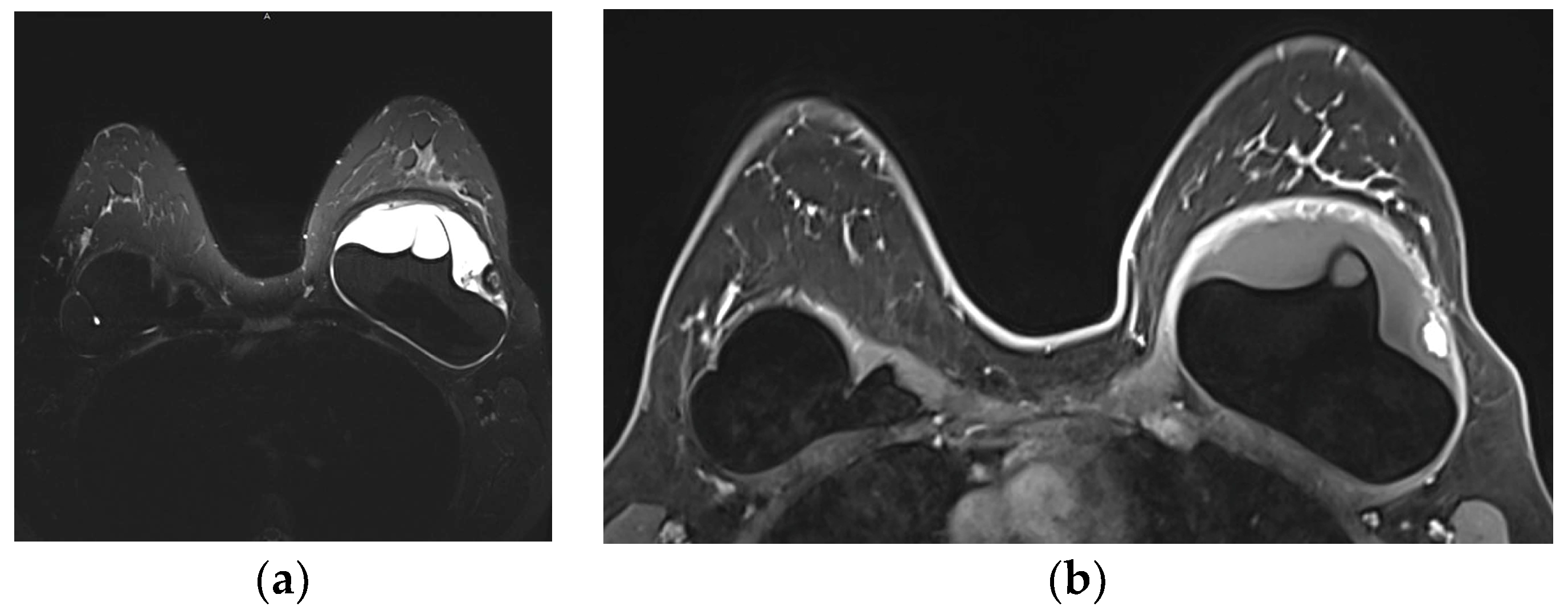
| Possible rupture | Keyhole or teardrop Sign | Focal silicone invagination between implant shell and fibrous capsule |
| Salad-oil sign Rat-tail sign | Silicone gel mixed with peri-implant fluid Contour irregularity extending along the chest wall | |
| Pitfalls | Complex radial folds | Long invaginations of the shell |
| Gel bleed | Silicone within the axillary lymph nodes | |
| Double-lumen implant | Inner compartment shell may mimic intracapsular rupture |
Disclaimer/Publisher’s Note: The statements, opinions and data contained in all publications are solely those of the individual author(s) and contributor(s) and not of MDPI and/or the editor(s). MDPI and/or the editor(s) disclaim responsibility for any injury to people or property resulting from any ideas, methods, instructions or products referred to in the content. |
© 2023 by the authors. Licensee MDPI, Basel, Switzerland. This article is an open access article distributed under the terms and conditions of the Creative Commons Attribution (CC BY) license (https://creativecommons.org/licenses/by/4.0/).
Share and Cite
Kanavou, T.; Mastorakos, D.P.; Mastorakos, P.D.; Faliakou, E.C.; Athanasiou, A. Imaging of the Reconstructed Breast. Diagnostics 2023, 13, 3186. https://doi.org/10.3390/diagnostics13203186
Kanavou T, Mastorakos DP, Mastorakos PD, Faliakou EC, Athanasiou A. Imaging of the Reconstructed Breast. Diagnostics. 2023; 13(20):3186. https://doi.org/10.3390/diagnostics13203186
Chicago/Turabian StyleKanavou, Theodora, Dimitrios P. Mastorakos, Panagiotis D. Mastorakos, Eleni C. Faliakou, and Alexandra Athanasiou. 2023. "Imaging of the Reconstructed Breast" Diagnostics 13, no. 20: 3186. https://doi.org/10.3390/diagnostics13203186
APA StyleKanavou, T., Mastorakos, D. P., Mastorakos, P. D., Faliakou, E. C., & Athanasiou, A. (2023). Imaging of the Reconstructed Breast. Diagnostics, 13(20), 3186. https://doi.org/10.3390/diagnostics13203186
