Thyroid Collision Tumors: The Presence of the Medullary Thyroid Carcinoma Component Negatively Influences the Prognosis
Abstract
1. Introduction
2. Materials and Methods
2.1. Study Group
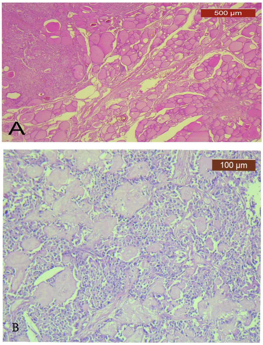
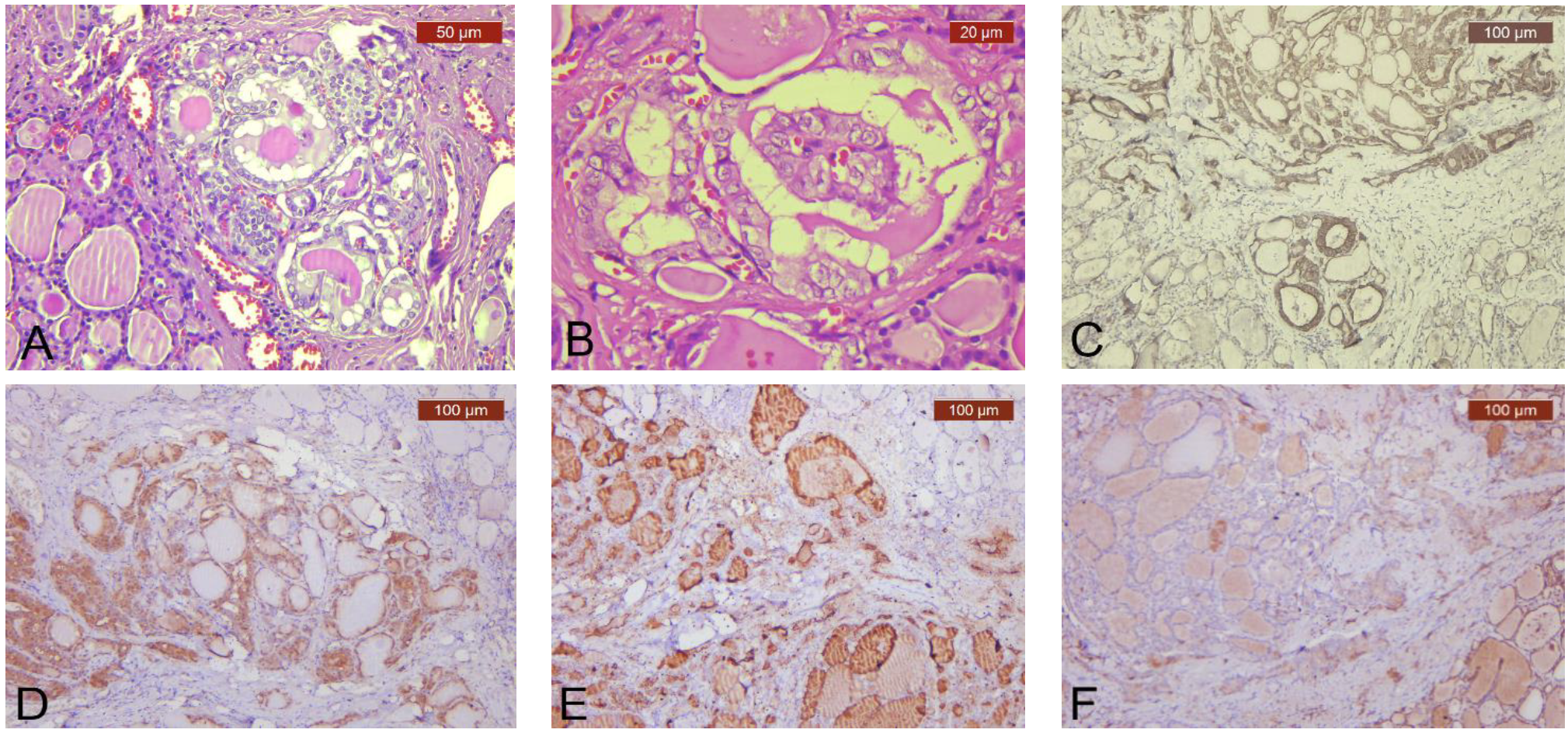
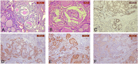
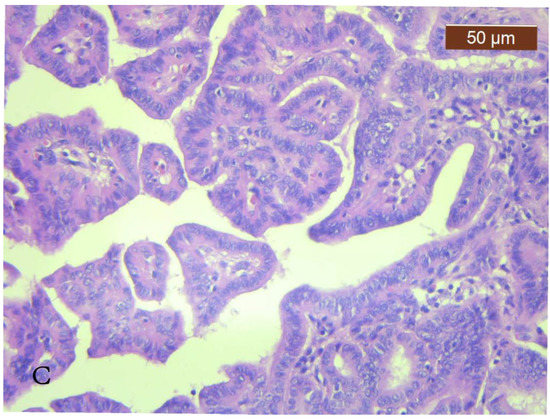
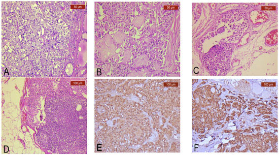
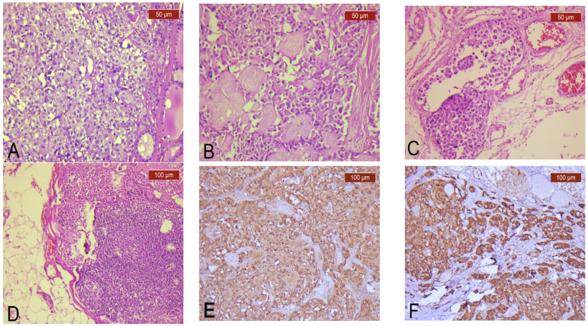
2.2. Pathological Evaluation
2.3. Statistical Analysis
3. Results
3.1. Epidemiological and Pathological Characteristics of Collision Tumors Cohort
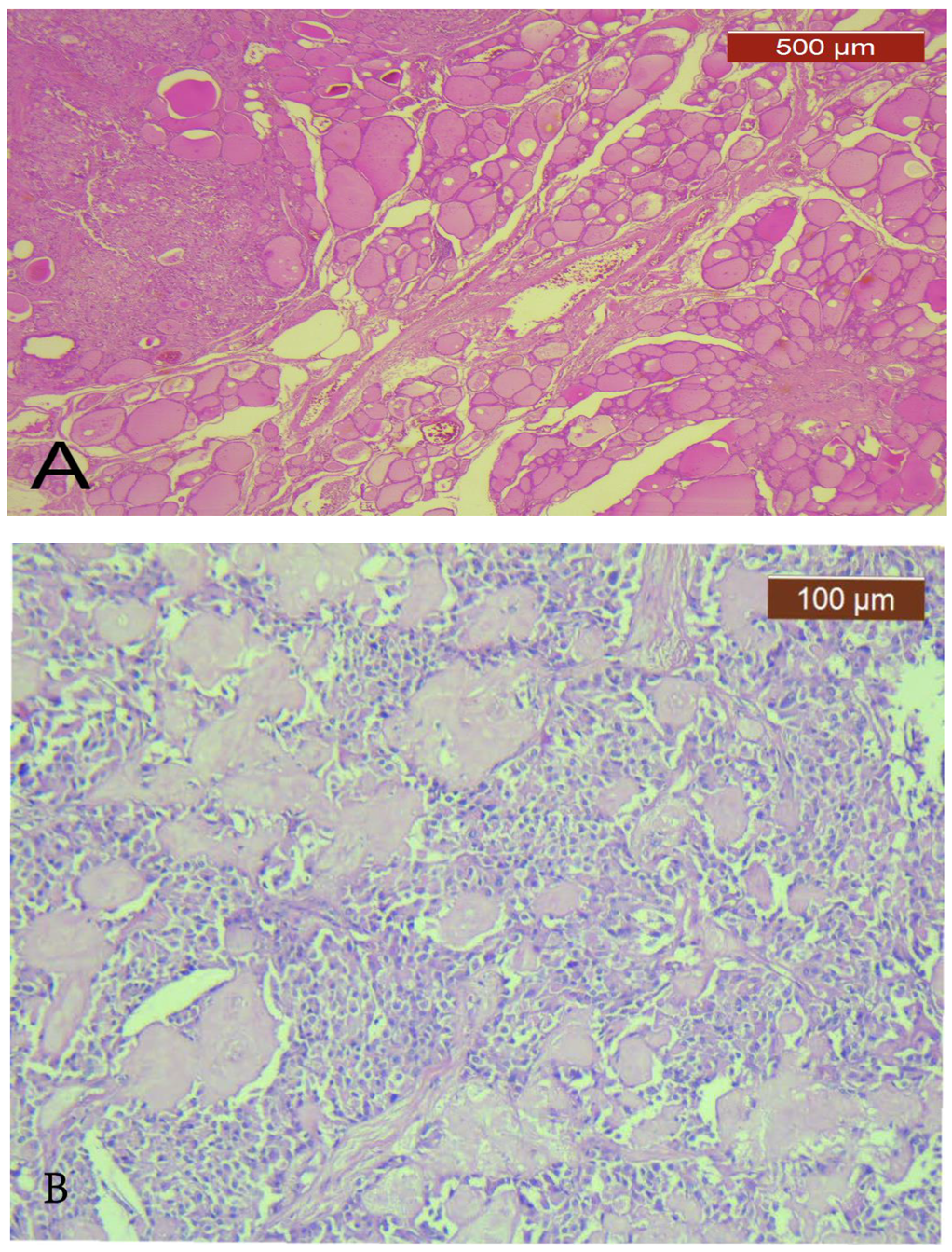
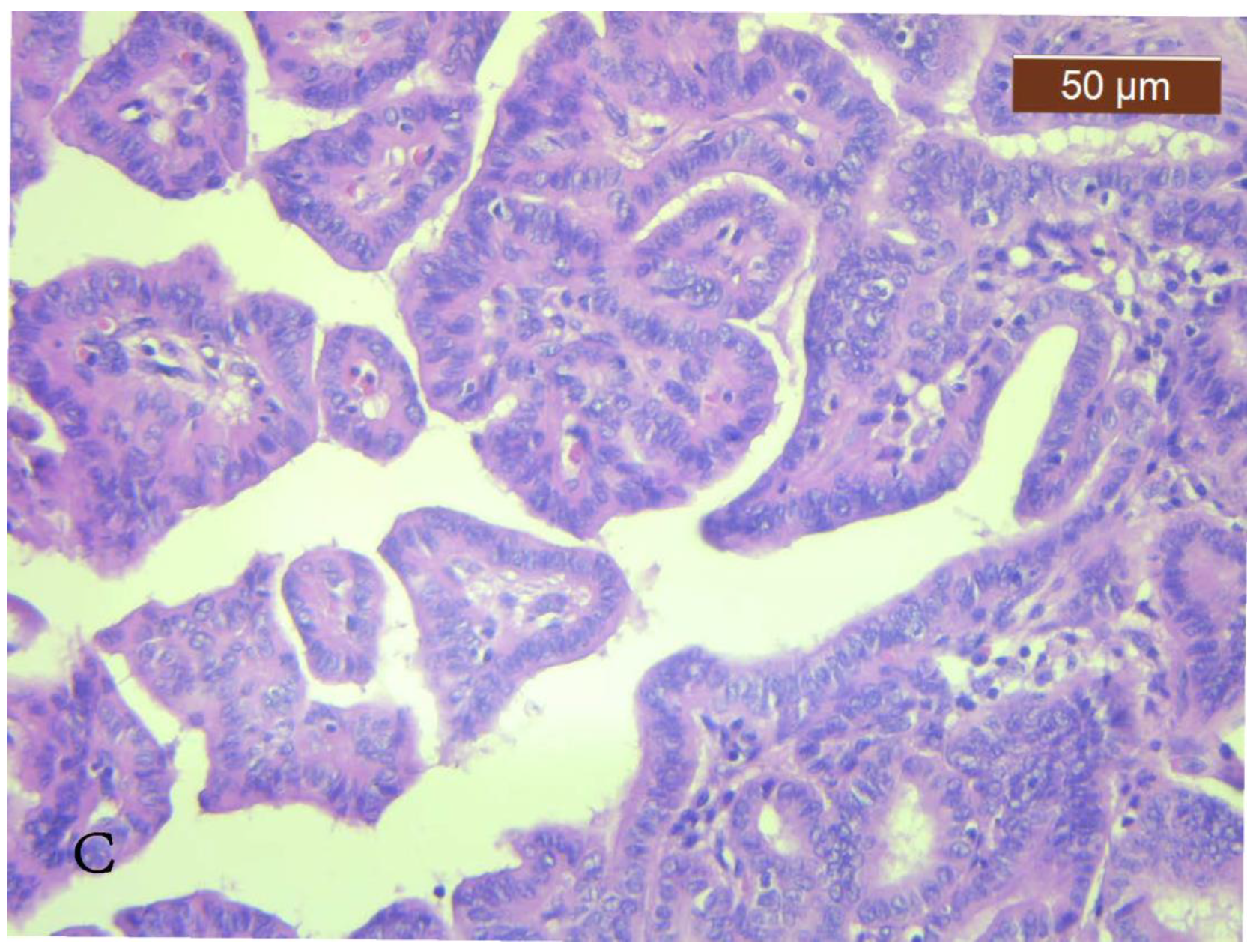
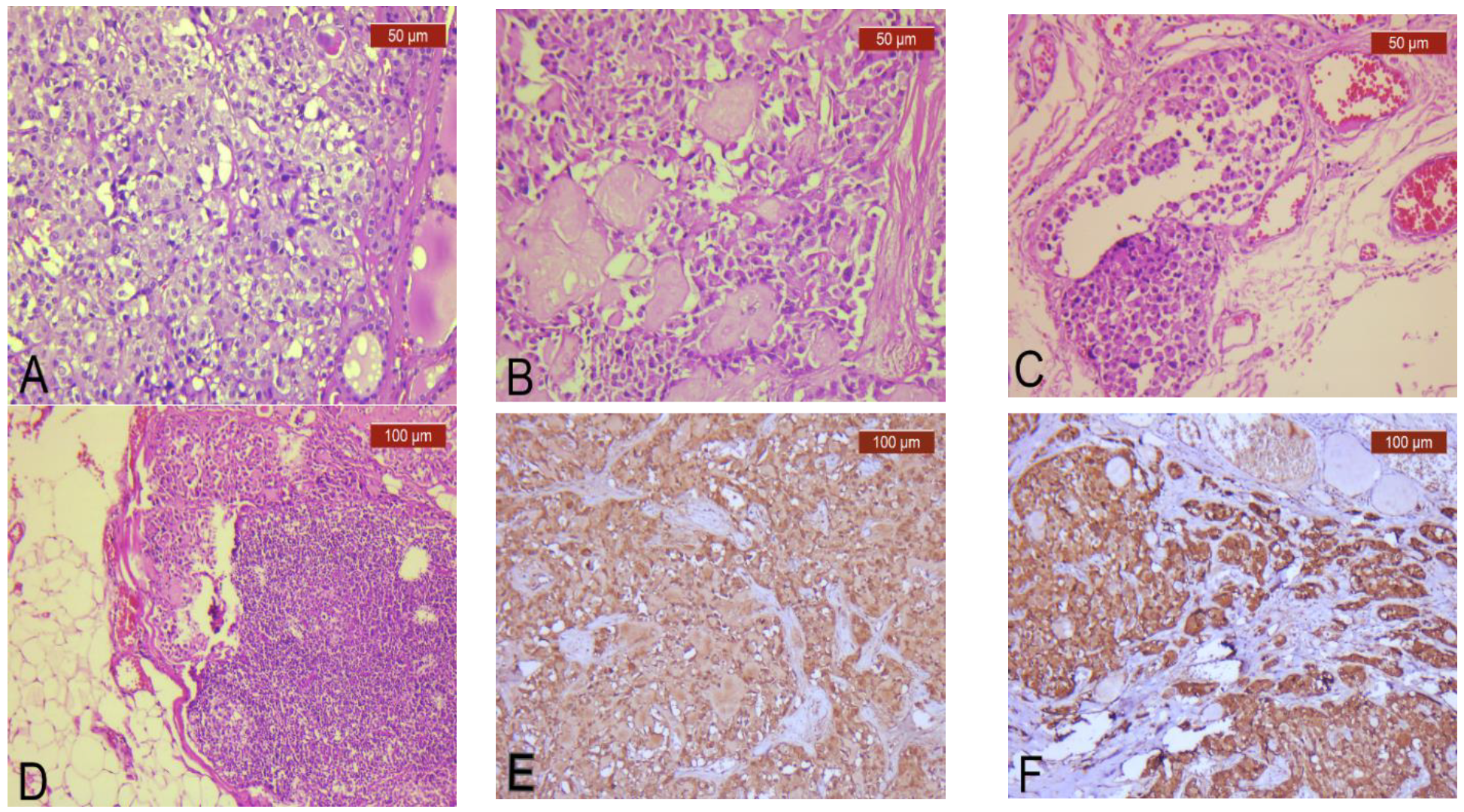
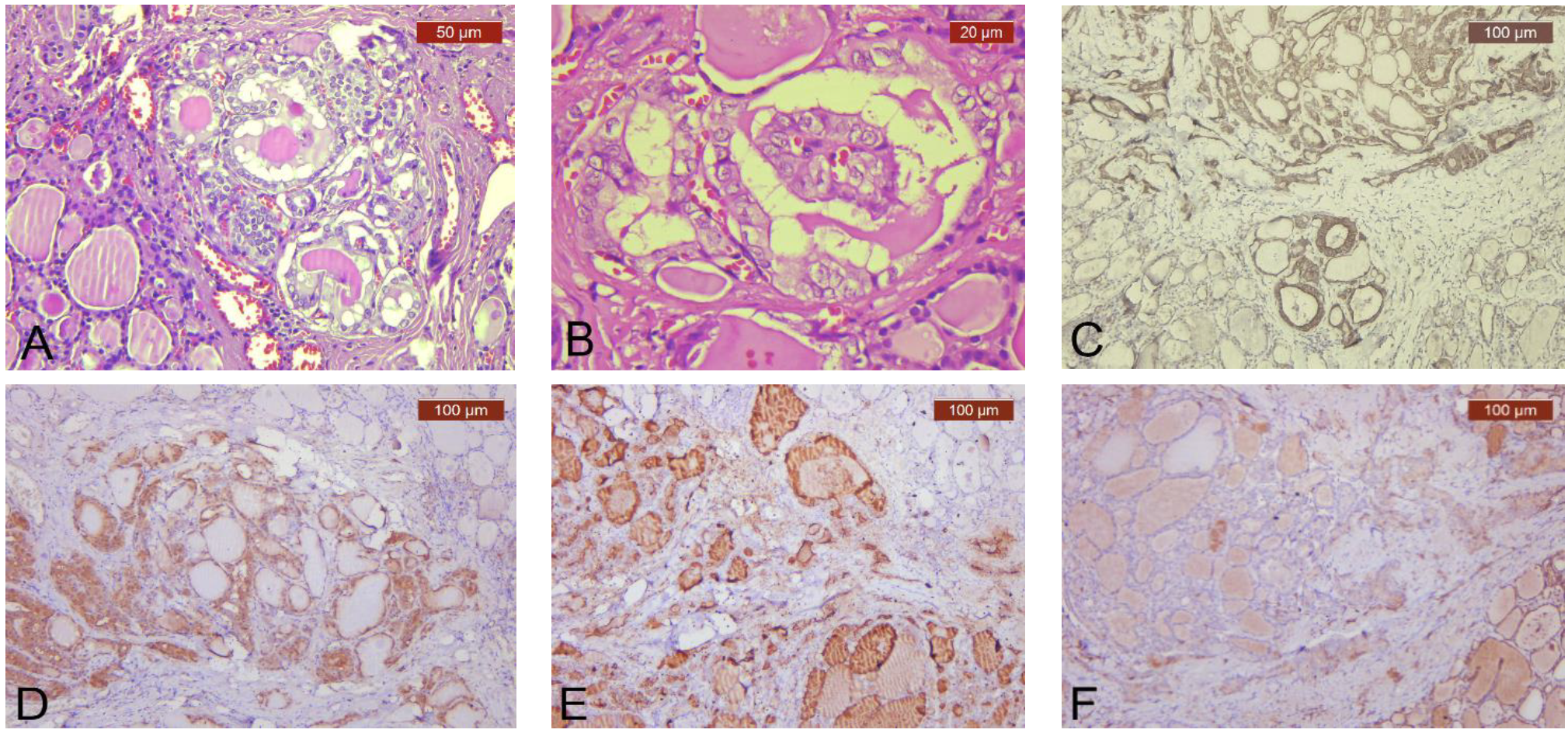
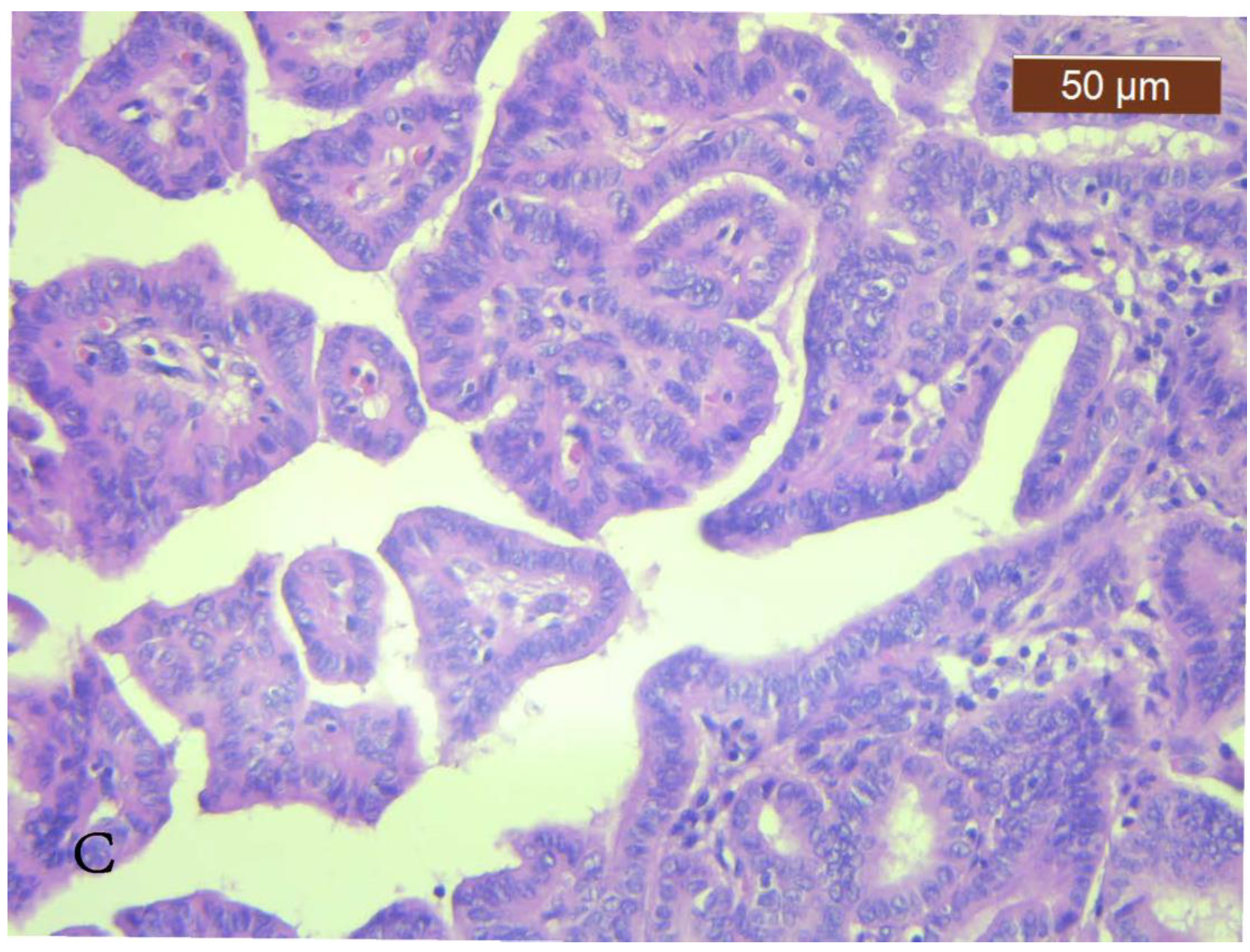
3.2. Pathological Characteristics of TCTs with MTC and PTC Components and Comparison with MTC-Only Tumors and PTCs
3.2.1. Comparison between MTC and PTC Components of TCTs
3.2.2. Analysis of Prognostic Factors of MTC Component of TCTs
3.2.3. Analysis of Prognostic Factors of MTC-Only Tumors
3.2.4. TCTs’ MTC Component vs. MTC-Only Tumors
3.2.5. Analysis of Prognostic Factors of PTC Component of TCTs
3.2.6. Analysis of Prognostic Factors of PTC-Only Tumors
3.2.7. TCTs’ PTC Component vs. PTC-Only tumors
4. Discussion
5. Conclusions
Supplementary Materials
Author Contributions
Funding
Institutional Review Board Statement
Informed Consent Statement
Data Availability Statement
Conflicts of Interest
References
- Appetecchia, M.; Lauretta, R.; Barnabei, A.; Pieruzzi, L.; Terrenato, I.; Cavedon, E.; Mian, C.; Castagna, M.G.; Elisei, R.; on behalf of the SIE (Italian Society of Endocrinology) Working Group. Epidemiology of Simultaneous Medullary and Papillary Thyroid Carcinomas (MTC/PTC): An Italian Multicenter Study. Cancers 2019, 11, 1516. [Google Scholar] [CrossRef] [PubMed]
- Jain, M.; Verma, D.; Thomas, S.; Chauhan, R. Mixed medullary–papillary carcinoma thyroid: An uncommon variant of thyroid carcinoma. J. Lab. Physicians 2014, 6, 133–135. [Google Scholar] [CrossRef]
- Bojoga, A.; Stănescu, L.; Badiu, C. Collision tumors of the thyroid. A special clinical and pathological entity. Arch. Clin. Cases 2021, 8, 84–90. [Google Scholar] [CrossRef] [PubMed]
- Lamprou, S.; Glykas, I.; Fragkoulis, C.; Theodoropoulou, G.; Koutsonikas, G.; Papadopoulos, G. Collision kidney tumor with clear cell renal cell carcinoma and papillary type 1 renal cell carcinoma. A case report and review of the literature. Urologia 2022, 89, 304–306. [Google Scholar] [CrossRef]
- Alayed, A.M.; Almawi, A.S.; Alghamdi, E.G.; Alfaleh, H.S.; Kadasah, N.S. Ovarian Collision Tumor, Massive Mucinous Cystadenoma, and Benign Mature Cystic Teratoma. Cureus 2021, 13, e16221. [Google Scholar] [CrossRef]
- Suzuki, S.; Ohtsuka, T.; Hato, T.; Kamiyama, I.; Goto, T.; Kohno, M.; Emoto, K.; Hayashi, Y. Primary pulmonary collision tumor with three components in the underlying interstitial lung disease. Thorac. Cancer 2014, 5, 460–462. [Google Scholar] [CrossRef] [PubMed]
- Kataoka, J.; Nitta, T.; Ota, M.; Fujii, K.; Ishii, M.; Senpuku, S.; Ueda, Y.; Tsuchimoto, Y.; Takeshita, A.; Miyatake, J.; et al. Collision Tumor Comprising Primary Malignant Lymphoma and Adenocarcinoma in the Ascending Colon. Case Rep. Gastroenterol. 2021, 15, 379–388. [Google Scholar] [CrossRef] [PubMed]
- Kitagawa, H.; Kaneko, M.; Kano, M.; Ibuki, Y.; Amatya, V.J.; Takeshima, Y.; Hirabayashi, N.; Hirota, S. Coexistence of gastrointestinal stromal tumor and leiomyosarcoma of the stomach presenting as a collision tumor: A case report and review of literature. Pathol. Int. 2018, 68, 313–317. [Google Scholar] [CrossRef] [PubMed]
- Plauche, V.; Dewenter, T.; Walvekar, R.R. Follicular and papillary carcinoma: A thyroid collision tumor. Indian J. Otolaryngol. Head Neck Surg. 2013, 65, 182–184. [Google Scholar] [CrossRef]
- Brandwein-Gensler, M.; Urken, M.; Wang, B. Collision tumor of the thyroid: A case report of metastatic liposarcoma plus papillary thyroid carcinoma. Head Neck 2004, 26, 637–641. [Google Scholar] [CrossRef]
- Thomas, A.; Mittal, N.; Rane, S.U.; Bal, M.; Patil, A.; Ankathi, S.K.; Vaish, R. Papillary and Medullary Thyroid Carcinomas Presenting as Collision Tumors: A Case Series of 21 Cases at a Tertiary Care Cancer Center. Head Neck Pathol. 2021, 15, 1137–1146. [Google Scholar] [CrossRef] [PubMed]
- Ryan, N.; Walkden, G.; Lazic, D.; Tierney, P. Collision tumors of the thyroid: A case report and review of the literature. Head Neck 2015, 37, E125–E129. [Google Scholar] [CrossRef]
- Pishdad, R.; Cespedes, L.; Boutin, R.; Jaloudi, M.; Raghuwanshi, M. Coexistence of Two Different Thyroid Malignancies: A Collision Phenomenon. Cureus 2020, 12, e7539. [Google Scholar] [CrossRef] [PubMed]
- Toyoshima, M.T.K.; Domingues, R.B.; Soares, I.C.; Danilovic, D.L.S.; Amorim, L.C.; Cavalcante, E.R.C.; Antonacio, F.F.; Roitberg, F.S.R.; Hoff, A.O. Thyroid collision tumor containing oncocytic carcinoma, classical and hobnail variants of papillary carcinoma and areas of poorly differentiated carcinoma. Arch. Endocrinol. Metab. 2021, 65, 495–499. [Google Scholar] [CrossRef]
- Yeap, Z.H.; Arman, S.; Stenhouse, G.; Isa, A. Synchronous Hürthle cell and medullary thyroid carcinomas. BMJ Case Rep. 2022, 15, e248879. [Google Scholar] [CrossRef]
- Rossi, S.; Fugazzola, L.; De Pasquale, L.; Braidotti, P.; Cirello, V.; Beck-Peccoz, P.; Bosari, S.; Bastagli, A. Medullary and papillary carcinoma of the thyroid gland occurring as a collision tumour: Report of three cases with molecular analysis and review of the literature. Endocr. Relat. Cancer 2005, 12, 281–289. [Google Scholar] [CrossRef]
- Furuya-Kanamori, L.; Bell, K.J.L.; Clark, J.; Glasziou, P.; Doi, S.A.R. Prevalence of Differentiated Thyroid Cancer in Autopsy Studies Over Six Decades: A Meta-Analysis. J. Clin. Oncol. 2016, 34, 3672–3679. [Google Scholar] [CrossRef]
- Bradley, N.L.; Wiseman, S.M. Papillary thyroid microcarcinoma: The significance of high risk features. BMC Cancer 2017, 17, 142. [Google Scholar] [CrossRef] [PubMed]
- Durante, C.; Filetti, S. Management of papillary thyroid cancer patients in absence of postoperative radioiodine remnant ablation: Tailoring follow-up by neck sonography. J. Clin. Endocrinol. Metab. 2011, 96, 3059–3061. [Google Scholar] [CrossRef]
- Xu, B.; Fuchs, T.L.; Ahmadi, S.; Alghamdi, M.; Alzumaili, B.; Bani, M.A.; Baudin, E.; Chou, A.; De Leo, A.; Fagin, J.A.; et al. International Medullary Thyroid Carcinoma Grading System: A Validated Grading System for Medullary Thyroid Carcinoma. J. Clin. Oncol. 2022, 40, 96–104. [Google Scholar] [CrossRef]
- Amin, M.B.; Greene, F.L.; Edge, S.B.; Compton, C.C.; Gershenwald, J.E.; Brookland, R.K.; Meyer, L.; Gress, D.M.; Byrd, D.R.; Winchester, D.P. The Eighth Edition AJCC Cancer Staging Manual: Continuing to build a bridge from a population-based to a more “personalized” approach to cancer staging. CA Cancer J. Clin. 2017, 67, 93–99. [Google Scholar] [CrossRef] [PubMed]
- DeLellis, R.A.; Ghuzlan, A.; Saavedra, A.J.; Baloch, Z.W.; Baloso, F.; Elisei, R.; Kaserer, K.; LiVolsi, V.; Matias-Guiu, X.; Mete, O.; et al. Medullary thyroid carcinoma. In World Health Organization (WHO) Classification of Tumours of Endocrine Organs, 4th ed.; Lloyd, R.V., Osamura, R.Y., Kloppel, G., Rosai, J., Eds.; WHO International Agency for Research on Cancer (IARC) Press: Lyon, France, 2017; Volume 10, pp. 108–116. [Google Scholar]
- Gurkan, E.; Gurbuz, Y.; Tarkun, I.; Canturk, Z.; Cetinarslan, B. Mixed medullary-papillary carcinoma of the thyroid: Report of two cases and review of the literature. Indian J. Pathol. Microbiol. 2014, 57, 598–602. [Google Scholar] [CrossRef] [PubMed]
- Dionigi, G.; Castano, P.; Bertolini, V.; Boni, L.; Rovera, F.; Tanda, M.L.; Capella, C.; Bartalena, L.; Dionigi, R. Simultaneous medullary and papillary thyroid cancer: Two case reports. J. Med. Case Rep. 2007, 1, 133. [Google Scholar] [CrossRef] [PubMed]
- Lax, S.F.; Beham, A.; Kronberger-Schönecker, D.; Langsteger, W.; Denk, H. Coexistence of papillary and medullary carcinoma of the thyroid gland-mixed or collision tumour? Clinicopathological analysis of three cases. Virchows Arch. 1994, 424, 441–447. [Google Scholar] [CrossRef]
- Chambers, M.; Tafe, L.J.; Gutmann, E.J.; Kerr, D.A. Cytologic features of a case of mixed medullary and follicular cell-derived thyroid carcinoma with review of the literature. Diagn. Cytopathol. 2021, 49, E125–E129. [Google Scholar] [CrossRef] [PubMed]
- Sung, C.T.; Shetty, A.; Menias, C.O.; Houshyar, R.; Chatterjee, S.; Lee, T.K.; Tung, P.; Helmy, M.; Lall, C. Collision and composite tumors; radiologic and pathologic correlation. Abdom. Radiol. 2017, 42, 2909–2926. [Google Scholar] [CrossRef]
- Ueki, I.; Ando, T.; Haraguchi, A.; Horie, I.; Imaizumi, M.; Hayashi, T.; Uga, T.; Usa, T.; Kawakami, A. A case of mixed medullary and follicular cell carcinoma of the thyroid. Intern. Med. 2011, 50, 1313–1316. [Google Scholar] [CrossRef]
- Biscolla, R.P.; Ugolini, C.; Sculli, M.; Bottici, V.; Castagna, M.G.; Romei, C.; Cosci, B.; Molinaro, E.; Faviana, P.; Basolo, F.; et al. Medullary and papillary tumors are frequently associated in the same thyroid gland without evidence of reciprocal influence in their biologic behavior. Thyroid 2004, 14, 946–952. [Google Scholar] [CrossRef]
- Papi, G.; Corrado, S.; Pomponi, M.G.; Carapezzi, C.; Cesinaro, A.; LiVolsi, V.A. Concurrent lymph node metastases of medullary and papillary thyroid carcinoma in a case with RET oncogene germline mutation. Endocr. Pathol. 2003, 14, 269–276. [Google Scholar] [CrossRef]
- Oliver, J.R.; Patel, K.N.; Chang, C.M.; Baldwin, C.K.; Brar, P.C.; Morris, L.G.T.; Givi, B. Lymph node metastases in pediatric medullary thyroid carcinoma. Surgery 2021, 170, 736–742. [Google Scholar] [CrossRef]
- Kim, M.; Kim, W.G.; Jeon, M.J.; Kim, H.K.; Yi, H.S.; Kim, E.S.; Kim, B.H.; Kim, W.B.; Shong, Y.K.; Kang, H.C.; et al. Modification of the Tumor-Node-Metastasis Staging System for Differentiated Thyroid Carcinoma by Considering Extra-Thyroidal Extension and Lateral Cervical Lymph Node Metastasis. Endocrinol. Metab. 2020, 35, 149–156. [Google Scholar] [CrossRef]
- Sezer, A.; Celik, M.; Yilmaz Bulbul, B.; Can, N.; Tastekin, E.; Ayturk, S.; Ustun, F.; Guldiken, S.; Sut, N. Relationship between lymphovascular invasion and clinicopathological features of papillary thyroid carcinoma. Bosn. J. Basic. Med. Sci. 2017, 17, 144–151. [Google Scholar] [CrossRef] [PubMed]
- Clark, J.R.; Fridman, T.R.; Odell, M.J.; Brierley, J.; Walfish, P.G.; Freeman, J.L. Prognostic variables and calcitonin in medullary thyroid cancer. Laryngoscope 2005, 115, 1445–1450. [Google Scholar] [CrossRef]
- Torresan, F.; Cavedon, E.; Mian, C.; Iacobone, M. Long-Term Outcome After Surgery for Medullary Thyroid Carcinoma: A Single-Center Experience. World J. Surg. 2018, 42, 367–375. [Google Scholar] [CrossRef] [PubMed]
- Thomas, C.M.; Asa, S.L.; Ezzat, S.; Sawka, A.M.; Goldstein, D. Diagnosis and pathologic characteristics of medullary thyroid carcinoma—Review of current guidelines. Curr. Oncol. 2019, 26, 338–344. [Google Scholar] [CrossRef]
- Mitchell, A.L.; Gandhi, A.; Scott-Coombes, D.; Perros, P. Management of thyroid cancer: United Kingdom National Multidisciplinary Guidelines. J. Laryngol. Otol. 2016, 130, S150–S160. [Google Scholar] [CrossRef] [PubMed]
- Griebeler, M.L.; Gharib, H.; Thompson, G.B. Medullary thyroid carcinoma. Endocr. Pract. 2013, 19, 703–711. [Google Scholar] [CrossRef]
- Machens, A.; Dralle, H. Surgical Treatment of Medullary Thyroid Cancer. Recent Results Cancer Res. 2015, 204, 187–205. [Google Scholar] [CrossRef] [PubMed]
- Wells, S.A., Jr.; Asa, S.L.; Dralle, H.; Elisei, R.; Evans, D.B.; Gagel, R.F.; Lee, N.; Machens, A.; Moley, J.F.; Pacini, F.; et al. Revised American Thyroid Association guidelines for the management of medullary thyroid carcinoma. Thyroid 2015, 25, 567–610. [Google Scholar] [CrossRef] [PubMed]
- Tuttle, R.M.; Alzahrani, A.S. Risk Stratification in Differentiated Thyroid Cancer: From Detection to Final Follow-up. J. Clin. Endocrinol. Metab. 2019, 104, 4087–4100. [Google Scholar] [CrossRef] [PubMed]
- Bojoga, A.; Koot, A.; Bonenkamp, J.; de Wilt, J.; IntHout, J.; Stalmeier, P.; Hermens, R.; Smit, J.; Ottevanger, P.; Netea-Maier, R. The Impact of the Extent of Surgery on the Long-Term Outcomes of Patients with Low-Risk Differentiated Non-Medullary Thyroid Cancer: A Systematic Meta-Analysis. J. Clin. Med. 2020, 9, 2316. [Google Scholar] [CrossRef] [PubMed]




| Parameter | Number of Cases | |
|---|---|---|
| Gender | M | 10 (28.57%) |
| F | 25 (71.42%) | |
| Age at diagnosis | <55 | 7 (20%) |
| ≥55 | 28 (80%) | |
| Location of the TCTs components | RTL | 29 (82.85%) |
| LTL | 23 (65.71%) | |
| Isthmus | 3 (8.57%) | |
| Associated components | MTC + PTC | 23 (65.71%) |
| FTC + PTC | 5 (14.28%) | |
| HTC + PTC | 4 (11.42%) | |
| ATC + PTC | 2 (5.71%) | |
| PDTC + PTC | 1 (2.85%) | |
| mETE | Main component | 15 (42.85%) |
| Minor component | 2 (5.71%) | |
| LVI | Main component | 23 (65.71%) |
| Minor component | 2 (5.71%) | |
| PNI | Main component | 4 (11.42%) |
| Minor component | 0 (0%) | |
| Multifocality | Main component | 5 (14.28%) |
| Minor component | 9 (25.71%) | |
| LNM | Main component | 9 (25.71%) |
| Minor component | 3 (8.57%) | |
| Pathological N category | ||
| pNx | 14 (40%) | |
| pN0 | 10 (28.57%) | |
| pN1a | Main component | 3 (8.57%) |
| Minor component | 2 (5.71%) | |
| pN1b | Main component | 6 (17.14%) |
| Minor component | 1 (2.85%) | |
| Pathological T category | ||
| pT1 | Main component | 12 (34.28%) |
| Minor component | 35 (100%) | |
| pT2 | Main component | 9 (25.71%) |
| Minor component | 0 (0%) | |
| pT3 | Main component | 11 (31.42%) |
| Minor component | 0 (0%) | |
| pT4 | Main component | 3 (8.57%) |
| Minor component | 0 (0%) | |
| AJCC stage | ||
| I | Main component | 19 (54.28%) |
| Minor component | 33 (94.28%) | |
| II | Main component | 7 (20%) |
| Minor component | 2 (5.71%) | |
| III | Main component | 2 (5.71%) |
| Minor component | 0 (0%) | |
| IV | Main component | 7 (20%) |
| Minor component | 0 (0%) | |
| Coexistent thyroid pathologies | ||
| Colloid goiter | 18 (51.42%) | |
| Nodular goiter | 11 (31.42%) | |
| Hashimoto thyroiditis | 6 (17.14%) | |
| Mean Value | p-Value | ||
|---|---|---|---|
| Diameter (mm) | M | 35.486 | 0.000 |
| m | 3.946 | ||
| Focality of the tumor (Unifocal/Multifocal) | M | 1.860 | 0.238 |
| m | 1.740 | ||
| mETE (Present/Absent) | M | 1.430 | 0.000 |
| m | 1.060 | ||
| LVI (Present/Absent) | M | 1.660 | 0.000 |
| m | 1.060 | ||
| PNI (Present/Absent) | M | 1.110 | 0.044 |
| m | 1.000 | ||
| Lymph node metastasis (Present/Absent) | M | 1.430 | 0.042 |
| m | 1.140 | ||
| Pathologic T category (T1/T2/T3/T4) | M | 2.140 | 0.000 |
| m | 1.000 | ||
| AJCC stage (I/II/III/IV) | M | 1.910 | 0.000 |
| m | 1.060 |
| Mean Value | p-Value | ||
|---|---|---|---|
| Diameter (mm) | MTC | 27.435 | 0.001 |
| PTC | 6.174 | ||
| Thyroid site (LTL/RTL/Isthmus) | MTC | 2.570 | 0.485 |
| PTC | 2.430 | ||
| Focality of the tumor (Unifocal/Multifocal) | MTC | 1.870 | 0.275 |
| PTC | 1.740 | ||
| mETE (Present/Absent) | MTC | 1.350 | 0.088 |
| PTC | 1.130 | ||
| LVI (Present/Absent) | MTC | 1.480 | 0.010 |
| PTC | 1.130 | ||
| PNI (Present/Absent) | MTC | 1.130 | 0.307 |
| PTC | 1.040 | ||
| Lymph node metastasis (Present/Absent) | MTC | 1.470 | 0.130 |
| PTC | 1.200 | ||
| pathologic T category (T1/T2/T3/T4) | MTC | 1.740 | 0.011 |
| PTC | 1.130 | ||
| AJCC stage (I/II/III/IV) | MTC | 1.960 | 0.004 |
| PTC | 1.090 |
| Pathological Characteristics | Tumor Focality | p-Value | LVI | p-Value | ||
|---|---|---|---|---|---|---|
| U (#20) | M (#3) | P (#8) | A (#15) | |||
| Tumor size (mm) | ||||||
| <10 mm | 4 (20%) | 1 (33.3%) | 0.124 | 0 (0%) | 5 (33.3%) | 0.032 |
| 10–40 mm | 11 (55%) | 0 (0%) | 3 (37.5%) | 8 (53.3%) | ||
| >40 mm | 5 (25%) | 2 (66.7%) | 5 (62.5%) | 2 (13.3%) | ||
| Growth pattern | ||||||
| Insular | 2 (10%) | 0 (0%) | 0.024 | 1 (12.5%) | 1 (6.7%) | 1.000 |
| Solid | 18 (90%) | 1 (33.3%) | 6 (75%) | 13 (86.7%) | ||
| Trabecular | 0 (0%) | 2 (66.7%) | 1 (12.5%) | 1 (6.7%) | ||
| AJCC stage | ||||||
| I | 12 (60%) | 1 (33.3%) | 0.163 | 3 (37.5%) | 10 (66.7%) | 0.023 |
| II | 4 (20%) | 0 (0%) | 1 (12.5%) | 3 (20%) | ||
| III | 2 (10%) | 0 (0%) | 0 (0%) | 2 (13.3%) | ||
| IV | 2 (10%) | 2 (66.7%) | 4 (50%) | 0 (0%) | ||
| Mean Value | t-Test Value | Degrees of Freedom (df) | p-Value | ||
|---|---|---|---|---|---|
| Age at diagnosis (years) | MTCc | 61.700 | 1.110 | 44.000 | 0.273 |
| MTC-only | 57.960 | ||||
| Sex (M/F) | MTCc | 1.300 | 0.660 | 44.000 | 0.513 |
| MTC-only | 1.220 | ||||
| Diameter (mm) | MTCc | 27.430 | 0.567 | 44.000 | 0.574 |
| MTC-only | 23.700 | ||||
| Thyroid site (LTL/RTL/Isthmus) | MTCc | 1.570 | 0.000 | 44.000 | 1.000 |
| MTC-only | 1.570 | ||||
| Growth pattern (Solid/Trabecular/Insular/Lobular) | MTCc | 2.740 | -0.736 | 44.000 | 0.466 |
| MTC-only | 2.910 | ||||
| Amyloid (Present/Absent) | MTCc | 1.570 | 0.290 | 44.000 | 0.773 |
| MTC-only | 1.520 | ||||
| Tumor focality (Unifocal/Multifocal) | MTCc | 1.870 | 0.000 | 44.000 | 1.000 |
| MTC-only | 1.870 | ||||
| mETE (Present/Absent) | MTCc | 1.350 | 2.755 | 29.804 | 0.010 |
| MTC-only | 1.040 | ||||
| LVI (Present/Absent) | MTCc | 1.480 | 0.886 | 44.000 | 0.380 |
| MTC-only | 1.350 | ||||
| PNI (Present/Absent) | MTCc | 1.130 | 1.036 | 36.221 | 0.307 |
| MTC-only | 1.040 | ||||
| Lymph node metastasis (Present/Absent) | MTCc | 1.470 | 0.502 | 29.000 | 0.619 |
| MTC-only | 1.380 | ||||
| pathologic T category (T1/T2/T3/T4) | MTCc | 1.740 | 0.152 | 44.000 | 0.880 |
| MTC-only | 1.700 | ||||
| AJCC stage (I/II/III/IV) | MTCc | 1.960 | 0.242 | 44.000 | 0.810 |
| MTC-only | 1.870 |
Disclaimer/Publisher’s Note: The statements, opinions and data contained in all publications are solely those of the individual author(s) and contributor(s) and not of MDPI and/or the editor(s). MDPI and/or the editor(s) disclaim responsibility for any injury to people or property resulting from any ideas, methods, instructions or products referred to in the content. |
© 2023 by the authors. Licensee MDPI, Basel, Switzerland. This article is an open access article distributed under the terms and conditions of the Creative Commons Attribution (CC BY) license (https://creativecommons.org/licenses/by/4.0/).
Share and Cite
Negura, I.; Ianole, V.; Danciu, M.; Preda, C.; Iosep, D.G.; Dănilă, R.; Grigorovici, A.; Ciobanu Apostol, D.G. Thyroid Collision Tumors: The Presence of the Medullary Thyroid Carcinoma Component Negatively Influences the Prognosis. Diagnostics 2023, 13, 285. https://doi.org/10.3390/diagnostics13020285
Negura I, Ianole V, Danciu M, Preda C, Iosep DG, Dănilă R, Grigorovici A, Ciobanu Apostol DG. Thyroid Collision Tumors: The Presence of the Medullary Thyroid Carcinoma Component Negatively Influences the Prognosis. Diagnostics. 2023; 13(2):285. https://doi.org/10.3390/diagnostics13020285
Chicago/Turabian StyleNegura, Ion, Victor Ianole, Mihai Danciu, Cristina Preda, Diana Gabriela Iosep, Radu Dănilă, Alexandru Grigorovici, and Delia Gabriela Ciobanu Apostol. 2023. "Thyroid Collision Tumors: The Presence of the Medullary Thyroid Carcinoma Component Negatively Influences the Prognosis" Diagnostics 13, no. 2: 285. https://doi.org/10.3390/diagnostics13020285
APA StyleNegura, I., Ianole, V., Danciu, M., Preda, C., Iosep, D. G., Dănilă, R., Grigorovici, A., & Ciobanu Apostol, D. G. (2023). Thyroid Collision Tumors: The Presence of the Medullary Thyroid Carcinoma Component Negatively Influences the Prognosis. Diagnostics, 13(2), 285. https://doi.org/10.3390/diagnostics13020285

