Brain Metastases from Breast Cancer Histologically Exhibit Solid Growth Pattern with at Least Focal Comedonecrosis: A Histopathologic Study on a Monocentric Series of 30 Cases
Abstract
1. Introduction
2. Materials and Methods
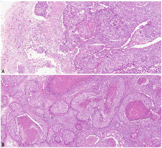
3. Results
3.1. Clinico-Pathologic Features
3.2. Immunohistochemical Features
4. Discussion
5. Conclusions
Author Contributions
Funding
Institutional Review Board Statement
Informed Consent Statement
Data Availability Statement
Acknowledgments
Conflicts of Interest
References
- Weil, R.J.; Palmieri, D.C.; Bronder, J.L.; Stark, A.M.; Steeg, P.S. Breast Cancer Metastasis to the Central Nervous System. Am. J. Pathol. 2005, 167, 913–920. [Google Scholar] [CrossRef]
- Lassman, A.B.; DeAngelis, L.M. Brain Metastases. Neurol. Clin. 2003, 21, 1–23. [Google Scholar] [CrossRef] [PubMed]
- Gil-Gil, M.J.; Martinez-Garcia, M.; Sierra, A.; Conesa, G.; Del Barco, S.; González-Jimenez, S.; Villà, S. Breast Cancer Brain Metastases: A Review of the Literature and a Current Multidisciplinary Management Guideline. Clin. Transl. Oncol. 2014, 16, 436–446. [Google Scholar] [CrossRef] [PubMed][Green Version]
- Koniali, L.; Hadjisavvas, A.; Constantinidou, A.; Christodoulou, K.; Christou, Y.; Demetriou, C.; Panayides, A.S.; Pitris, C.; Pattichis, C.S.; Zamba-Papanicolaou, E.; et al. Risk Factors for Breast Cancer Brain Metastases: A Systematic Review. Oncotarget 2020, 11, 650. [Google Scholar] [CrossRef] [PubMed]
- Watase, C.; Shiino, S.; Shimoi, T.; Noguchi, E.; Kaneda, T.; Yamamoto, Y.; Yonemori, K.; Takayama, S.; Suto, A. Breast Cancer Brain Metastasis—Overview of Disease State, Treatment Options and Future Perspectives. Cancers 2021, 13, 1078. [Google Scholar] [CrossRef]
- Sambade, M.J.; Prince, G.; Deal, A.M.; Trembath, D.; McKee, M.; Garrett, A.; Keith, K.; Ramirez, J.; Midkiff, B.; Blackwell, K.; et al. Examination and Prognostic Implications of the Unique Microenvironment of Breast Cancer Brain Metastases. Breast Cancer Res. Treat. 2019, 176, 321. [Google Scholar] [CrossRef]
- Ding, Q.; Huo, L.; Peng, Y.; Yoon, E.C.; Li, Z.; Sahin, A.A. Immunohistochemical Markers for Distinguishing Metastatic Breast Carcinoma from Other Common Malignancies: Update and Revisit. Semin. Diagn. Pathol. 2022, 39, 313–321. [Google Scholar] [CrossRef]
- Broggi, G.; Lo Giudice, A.; Di Mauro, M.; Asmundo, M.G.; Pricoco, E.; Piombino, E.; Caltabiano, R.; Morgia, G.; Russo, G.I. SRSF-1 and microvessel density immunohistochemical analysis by semi-automated tissue microarray in prostate cancer patients with diabetes (DIAMOND study). Prostate 2021, 81, 882–892. [Google Scholar] [CrossRef]
- Piombino, E.; Broggi, G.; Barbareschi, M.; Castorina, S.; Parenti, R.; Bartoloni, G.; Salvatorelli, L.; Magro, G. Wilms’ Tumor 1 (WT1): A Novel Immunomarker of Dermatofibrosarcoma Protuberans-An Immunohistochemical Study on a Series of 114 Cases of Bland-Looking Mesenchymal Spindle Cell Lesions of the Dermis/Subcutaneous Tissues. Cancers 2021, 13, 252. [Google Scholar] [CrossRef]
- Broggi, G.; Musumeci, G.; Puzzo, L.; Russo, A.; Reibaldi, M.; Ragusa, M.; Longo, A.; Caltabiano, R. Immunohistochemical Expression of ABCB5 as a Potential Prognostic Factor in Uveal Melanoma. Appl. Sci. 2019, 9, 1316. [Google Scholar] [CrossRef]
- Broggi, G.; Filetti, V.; Ieni, A.; Rapisarda, V.; Ledda, C.; Vitale, E.; Varricchio, S.; Russo, D.; Lombardo, C.; Tuccari, G.; et al. MacroH2A1 Immunoexpression in Breast Cancer. Front. Oncol. 2020, 10, 1519. [Google Scholar] [CrossRef] [PubMed]
- Magro, G.; Salvatorelli, L.; Puzzo, L.; Piombino, E.; Bartoloni, G.; Broggi, G.; Vecchio, G.M. Practical approach to diagnosis of bland-looking spindle cell lesions of the breast. Pathologica 2019, 111, 344–360. [Google Scholar] [CrossRef] [PubMed]
- Cammarata, F.P.; Forte, G.I.; Broggi, G.; Bravatà, V.; Minafra, L.; Pisciotta, P.; Calvaruso, M.; Tringali, R.; Tomasello, B.; Torrisi, F.; et al. Molecular Investigation on a Triple Negative Breast Cancer Xenograft Model Exposed to Proton Beams. Int. J. Mol. Sci. 2020, 21, 6337. [Google Scholar] [CrossRef] [PubMed]
- Morgan, A.J.; Giannoudis, A.; Palmieri, C. The genomic landscape of breast cancer brain metastases: A systematic review. Lancet Oncol. 2021, 22, e7–e17. [Google Scholar] [CrossRef] [PubMed]
- Kuksis, M.; Gao, Y.; Tran, W.; Hoey, C.; Kiss, A.; Komorowski, A.S.; Dhaliwal, A.J.; Sahgal, A.; Das, S.; Chan, K.K.; et al. The incidence of brain metastases among patients with metastatic breast cancer: A systematic review and meta-analysis. Neuro Oncol. 2021, 23, 894–904. [Google Scholar] [CrossRef] [PubMed]
- Martin, A.M.; Cagney, D.N.; Catalano, P.J.; Warren, L.E.; Bellon, J.R.; Punglia, R.S.; Claus, E.B.; Lee, E.Q.; Wen, P.Y.; Haas-Kogan, D.A.; et al. Brain Metastases in Newly Diagnosed Breast Cancer: A Population-Based Study. JAMA Oncol. 2017, 3, 1069–1077. [Google Scholar] [CrossRef] [PubMed]
- Bailleux, C.; Eberst, L.; Bachelot, T. Treatment strategies for breast cancer brain metastases. Br. J. Cancer 2021, 124, 142–155. [Google Scholar] [CrossRef] [PubMed]
- Corti, C.; Antonarelli, G.; Criscitiello, C.; Lin, N.U.; Carey, L.A.; Cortés, J.; Poortmans, P.; Curigliano, G. Targeting brain metastases in breast cancer. Cancer Treat. Rev. 2022, 103, 102324. [Google Scholar] [CrossRef]
- Shah, N.; Mohammad, A.S.; Saralkar, P.; Sprowls, S.A.; Vickers, S.D.; John, D.; Tallman, R.M.; Lucke-Wold, B.P.; Jarrell, K.E.; Pinti, M.; et al. Investigational chemotherapy and novel pharmacokinetic mechanisms for the treatment of breast cancer brain metastases. Pharmacol. Res. 2018, 132, 47–68. [Google Scholar] [CrossRef]
- Wang, Y.; Ye, F.; Liang, Y.; Yang, Q. Breast cancer brain metastasis: Insight into molecular mechanisms and therapeutic strategies. Br. J. Cancer 2021, 125, 1056–1067. [Google Scholar] [CrossRef]
- Anderson, G.G.; Weiss, L.M. Determining tissue of origin for metastatic cancers: Meta-analysis and literature review of immunohistochemistry performance. Appl. Immunohistochem. Mol. Morphol. 2010, 18, 3–8. [Google Scholar] [CrossRef] [PubMed]
- Duchnowska, R.; Dziadziuszko, R.; Trojanowski, T.; Mandat, T.; Och, W.; Czartoryska-Arłukowicz, B.; Radecka, B.; Olszewski, W.; Szubstarski, F.; Kozłowski, W.; et al. Conversion of epidermal growth factor receptor 2 and hormone receptor expression in breast cancer metastases to the brain. Breast Cancer Res. 2012, 14, R119. [Google Scholar] [CrossRef] [PubMed]
- Thomson, A.H.; McGrane, J.; Mathew, J.; Palmer, J.; Hilton, D.A.; Purvis, G.; Jenkins, R. Changing molecular profile of brain metastases compared with matched breast primary cancers and impact on clinical outcomes. Br. J. Cancer 2016, 114, 793–800. [Google Scholar] [CrossRef] [PubMed]
- Schrijver, W.A.M.E.; Suijkerbuijk, K.P.M.; Van Gils, C.H.; Van Der Wall, E.; Moelans, C.B.; Van Diest, P.J. Receptor Conversion in Distant Breast Cancer Metastases: A Systematic Review and Meta-analysis. JNCI J. Natl. Cancer Inst. 2018, 110, 568–580. [Google Scholar] [CrossRef]
- Yoo, J.; Cha, Y.J.; Park, H.H.; Park, M.; Joo, B.; Suh, S.H.; Ahn, S.J. The Extent of Necrosis in Brain Metastases May Predict Subtypes of Primary Cancer and Overall Survival in Patients Receiving Craniotomy. Cancers 2022, 14, 1694. [Google Scholar] [CrossRef] [PubMed]
- Tang, Z.; Zhang, T.; Yang, B.; Su, J.; Song, Q. spaCI: Deciphering spatial cellular communications through adaptive graph model. Brief. Bioinform. 2023, 24, bbac563. [Google Scholar] [CrossRef] [PubMed]
- Braxton, D.R.; Cohen, C.; Siddiqui, M.T. Utility of GATA3 immunohistochemistry for diagnosis of metastatic breast carcinoma in cytology specimens. Diagn. Cytopathol. 2015, 43, 271–277. [Google Scholar] [CrossRef] [PubMed]
- Yang, Y.; Lu, S.; Zeng, W.; Xie, S.; Xiao, S. GATA3 expression in clinically useful groups of breast carcinoma: A comparison with GCDFP15 and mammaglobin for identifying paired primary and metastatic tumors. Ann. Diagn. Pathol. 2017, 26, 1–5. [Google Scholar] [CrossRef]
- Sangoi, A.R.; Shrestha, B.; Yang, G.; Mego, O.; Beck, A.H. The Novel Marker GATA3 is Significantly More Sensitive Than Traditional Markers Mammaglobin and GCDFP15 for Identifying Breast Cancer in Surgical and Cytology Specimens of Metastatic and Matched Primary Tumors. Appl. Immunohistochem. Mol. Morphol. 2016, 24, 229–237. [Google Scholar] [CrossRef]
- Deftereos, G.; Sanguino Ramirez, A.M.; Silverman, J.F.; Krishnamurti, U. GATA3 immunohistochemistry expression in histologic subtypes of primary breast carcinoma and metastatic breast carcinoma cytology. Am. J. Surg. Pathol. 2015, 39, 1282–1289. [Google Scholar] [CrossRef]
- Liu, H. Application of immunohistochemistry in breast pathology: A review and update. Arch. Pathol. Lab. Med. 2014, 138, 1629–1642. [Google Scholar] [CrossRef]

| Cases | Age (Median Value) | Site | Solid Growth Pattern | Comedonecrosis | Glandular Differentiation | Immunophenotype |
|---|---|---|---|---|---|---|
| n = 30 | 51.6 y (range: 34–75) | Brain (n = 27) Cerebellum (n = 3) | Diffuse (n = 14) Heterogeneous(n = 9) Focal (n = 7) | Diffuse (n = 7) Heterogeneous (n = 11) Focal (n = 9) Absent (n = 3) | Heterogeneous (n = 8) Focal (n = 8) Absent (n = 14) | Luminal-A (n = 3) Luminal-B (n = 1) HER-2- enriched (n = 5) Triple-negative/basal-like (n = 8) NA (n = 13) |
Disclaimer/Publisher’s Note: The statements, opinions and data contained in all publications are solely those of the individual author(s) and contributor(s) and not of MDPI and/or the editor(s). MDPI and/or the editor(s) disclaim responsibility for any injury to people or property resulting from any ideas, methods, instructions or products referred to in the content. |
© 2023 by the authors. Licensee MDPI, Basel, Switzerland. This article is an open access article distributed under the terms and conditions of the Creative Commons Attribution (CC BY) license (https://creativecommons.org/licenses/by/4.0/).
Share and Cite
Farina, J.; Angelico, G.; Vecchio, G.M.; Salvatorelli, L.; Magro, G.; Puzzo, L.; Palicelli, A.; Zanelli, M.; Altieri, R.; Certo, F.; et al. Brain Metastases from Breast Cancer Histologically Exhibit Solid Growth Pattern with at Least Focal Comedonecrosis: A Histopathologic Study on a Monocentric Series of 30 Cases. Diagnostics 2023, 13, 3141. https://doi.org/10.3390/diagnostics13193141
Farina J, Angelico G, Vecchio GM, Salvatorelli L, Magro G, Puzzo L, Palicelli A, Zanelli M, Altieri R, Certo F, et al. Brain Metastases from Breast Cancer Histologically Exhibit Solid Growth Pattern with at Least Focal Comedonecrosis: A Histopathologic Study on a Monocentric Series of 30 Cases. Diagnostics. 2023; 13(19):3141. https://doi.org/10.3390/diagnostics13193141
Chicago/Turabian StyleFarina, Jessica, Giuseppe Angelico, Giada Maria Vecchio, Lucia Salvatorelli, Gaetano Magro, Lidia Puzzo, Andrea Palicelli, Magda Zanelli, Roberto Altieri, Francesco Certo, and et al. 2023. "Brain Metastases from Breast Cancer Histologically Exhibit Solid Growth Pattern with at Least Focal Comedonecrosis: A Histopathologic Study on a Monocentric Series of 30 Cases" Diagnostics 13, no. 19: 3141. https://doi.org/10.3390/diagnostics13193141
APA StyleFarina, J., Angelico, G., Vecchio, G. M., Salvatorelli, L., Magro, G., Puzzo, L., Palicelli, A., Zanelli, M., Altieri, R., Certo, F., Spadola, S., Zizzo, M., Barbagallo, G. M. V., Caltabiano, R., & Broggi, G. (2023). Brain Metastases from Breast Cancer Histologically Exhibit Solid Growth Pattern with at Least Focal Comedonecrosis: A Histopathologic Study on a Monocentric Series of 30 Cases. Diagnostics, 13(19), 3141. https://doi.org/10.3390/diagnostics13193141

