Sarcoidosis with Severe Bone Involvement: A Case Report and Literature Review
Abstract
:1. Introduction
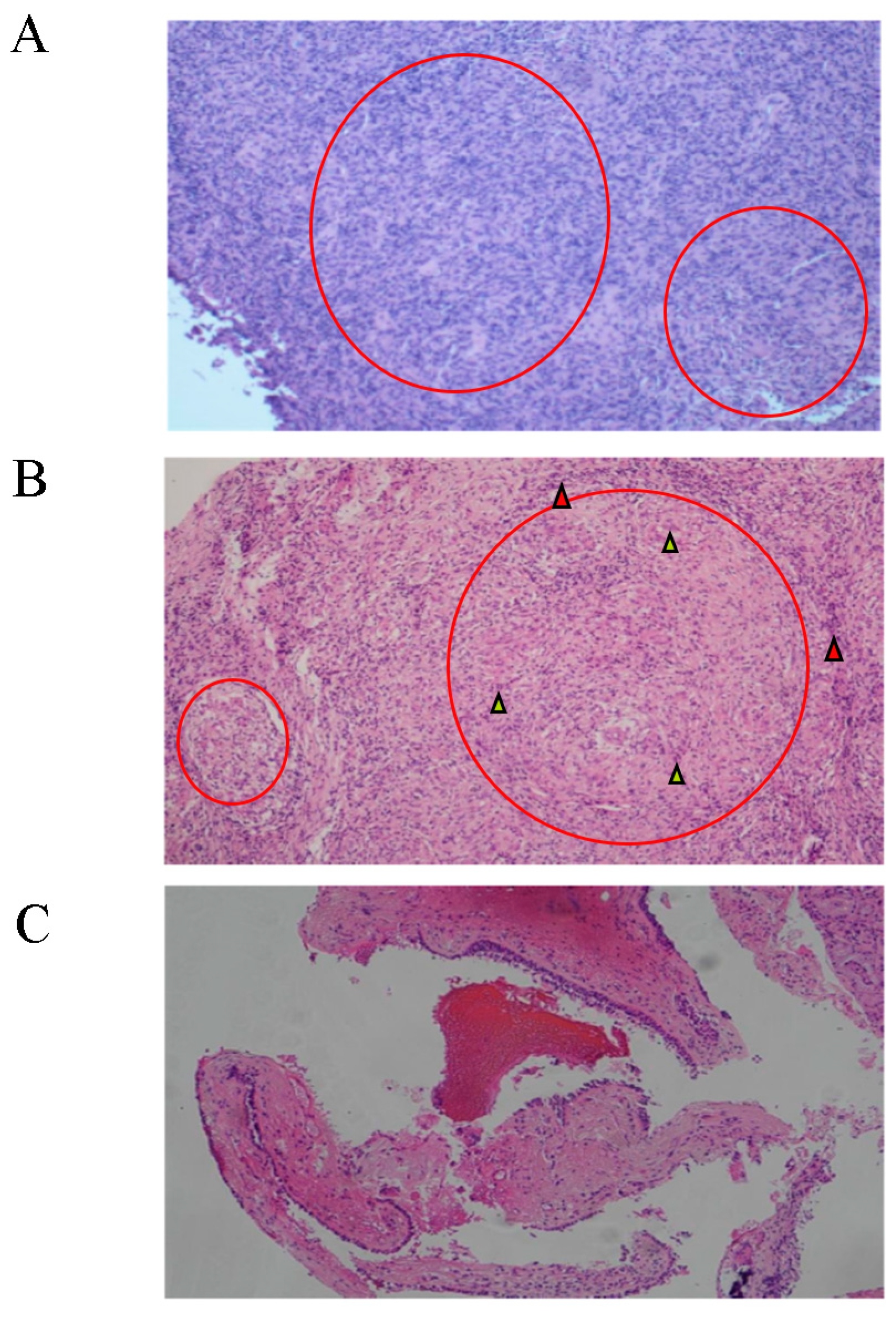
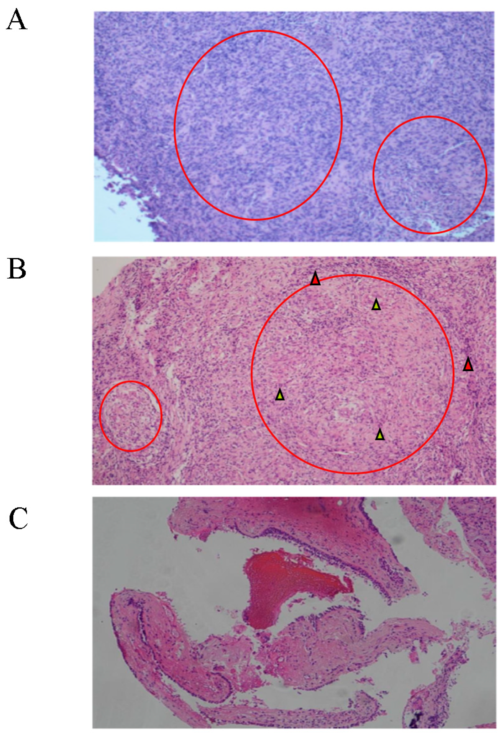
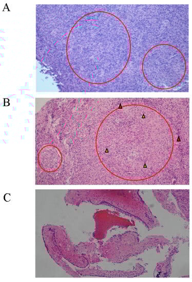
2. Case Presentation
3. Discussion
4. Conclusions
Author Contributions
Funding
Institutional Review Board Statement
Informed Consent Statement
Data Availability Statement
Conflicts of Interest
References
- Lazarus, A. Sarcoidosis: Epidemiology, etiology, pathogenesis, and genetics. Dis. Mon. 2009, 55, 649–660. [Google Scholar] [CrossRef] [PubMed]
- Baughman, R.P.; Grutters, J.C. New treatment strategies for pulmonary sarcoidosis: Antimetabolites, biological drugs, and other treatment approaches. Lancet Respir. Med. 2015, 3, 813–822. [Google Scholar] [CrossRef] [PubMed]
- Parrish, S.; Turner, J.F. Diagnosis of sarcoidosis. Dis. Mon. 2009, 55, 693–703. [Google Scholar] [CrossRef] [PubMed]
- Valeyre, D.; Prasse, A.; Nunes, H.; Uzunhan, Y.; Brillet, P.Y.; Müller-Quernheim, J. Sarcoidosis. Lancet 2014, 383, 1155–1167. [Google Scholar] [CrossRef]
- James, D.G.; Neville, E.; Siltzbach, L.E. A worldwide review of sarcoidosis. Ann. N. Y. Acad. Sci. 1976, 278, 321–334. [Google Scholar] [CrossRef]
- Braun, J.J.; Gentine, A.; Pauli, G. Sinonasal sarcoidosis: Review and report of fifteen cases. Laryngoscope 2004, 114, 1960–1963. [Google Scholar] [CrossRef]
- Aubart, F.C.; Ouayoun, M.; Brauner, M.; Attali, P.; Kambouchner, M.; Valeyre, D.; Nunes, H. Sinonasal involvement in sarcoidosis: A case-control study of 20 patients. Medicine 2006, 85, 365–371. [Google Scholar] [CrossRef]
- Dhillon, M.S.; Nagi, O.N. Tuberculosis of the foot and ankle. Clin. Orthop. Relat. Res. 2002, 398, 107–113. [Google Scholar] [CrossRef]
- Anderson, J.R.; Ritchie, A.W.; Scobie, W.G. Tuberculous osteitis of the talus. Tubercle 1979, 60, 115–118. [Google Scholar] [CrossRef]
- Muangchan, C.; Nilganuwong, S. The study of clinical manifestation of osteoarticular tuberculosis in Siriraj Hospital, Thailand. J. Med. Assoc. Thail. 2009, 92, S101-9. [Google Scholar]
- Bains, L.; Lal, P.; Chand, T.; Gautam, K.K.; Beg, M.Y.; Kumar, P. Isolated primary cold abscess of the sternum: A case report. J. Med. Case Rep. 2019, 13, 267. [Google Scholar] [CrossRef] [PubMed]
- Masi, A.T.; Hunder, G.G.; Lie, J.T.; Michel, B.A.; Bloch, D.A.; Arend, W.P.; Calabrese, L.H.; Edworthy, S.M.; Fauci, A.S.; Leavitt, R.Y. The American College of Rheumatology 1990 criteria for the classification of Churg-Strauss syndrome (allergic granulomatosis and angiitis). Arthritis Rheum. 1990, 33, 1094–1100. [Google Scholar] [CrossRef]
- Leavitt, R.Y.; Fauci, A.S.; Bloch, D.A.; Michel, B.A.; Hunder, G.G.; Arend, W.P.; Calabrese, L.H.; Fries, J.F.; Lie, J.T.; Lightfoot, R.W. The American College of Rheumatology 1990 criteria for the classification of Wegener’s granulomatosis. Arthritis Rheum. 1990, 33, 1101–1107. [Google Scholar] [CrossRef]
- Friedmann, I.; Sando, I.; Balkany, T. Idiopathic pleomorphic midfacial granuloma (Stewart’s type). J. Laryngol. Otol. 1978, 92, 601–611. [Google Scholar] [CrossRef]
- Forcucci, J.; Butler-Williams, S.; Miller, N.; Lazarchick, J. Plasma Cell Granuloma: An Entity within the Spectrum of IgG4-Related Disease. Ann. Clin. Lab. Sci. 2015, 45, 340–343. [Google Scholar] [PubMed]
- Zhou, Y.; Lower, E.E.; Li, H.; Farhey, Y.; Baughman, R.P. Clinical characteristics of patients with bone sarcoidosis. Semin. Arthritis Rheum. 2017, 47, 143–148. [Google Scholar] [CrossRef]
- Papiris, S.A.; Manali, E.D.; Papaioannou, A.I.; Georgakopoulos, A.; Kolilekas, L.; Pianou, N.K.; Kallergi, M.; Papaporfyriou, A.; Kallieri, M.; Apollonatou, V.; et al. Prevalence, distribution and clinical significance of joints, muscles and bones in sarcoidosis: An F-FDG-PET/CT study. Expert. Rev. Respir. Med. 2020, 14, 957–964. [Google Scholar] [CrossRef] [PubMed]
- Sparks, J.A.; McSparron, J.I.; Shah, N.; Aliabadi, P.; Paulson, V.; Fanta, C.H.; Coblyn, J.S. Osseous sarcoidosis: Clinical characteristics, treatment, and outcomes—Experience from a large, academic hospital. Semin. Arthritis Rheum. 2014, 44, 371–379. [Google Scholar] [CrossRef]
- Mostard, R.L.; Prompers, L.; Weijers, R.E.; van Kroonenburgh, M.J.; Wijnen, P.A.; Geusens, P.P.; Drent, M. F-18 FDG PET/CT for detecting bone and bone marrow involvement in sarcoidosis patients. Clin. Nucl. Med. 2012, 37, 21–25. [Google Scholar] [CrossRef]
- Grozdic, M.I.; Sobic-Saranovic, D.; Videnovic-Ivanov, J.; Saranovic, D.; Odalovic, S.; Artiko, V. FDG PET/CT in bone sarcoidosis. Sarcoidosis Vasc. Diffus. Lung Dis. 2016, 33, 66–74. [Google Scholar]
- Demaria, L.; Borie, R.; Benali, K.; Piekarski, E.; Goossens, J.; Palazzo, E.; Forien, M.; Dieudé, P.; Crestani, B.; Ottaviani, S. F-FDG PET/CT in bone sarcoidosis: An observational study. Clin. Rheumatol. 2020, 39, 2727–2734. [Google Scholar] [CrossRef] [PubMed]
- Neville, E.; Carstairs, L.S.; James, D.G. Bone sarcoidosis. Ann. N. Y. Acad. Sci. 1976, 278, 475–487. [Google Scholar] [CrossRef] [PubMed]
- Rizzato, G. Clinical impact of bone and calcium metabolism changes in sarcoidosis. Thorax 1998, 53, 425–429. [Google Scholar] [CrossRef] [PubMed]
- Mason, R.S.; Frankel, T.; Chan, Y.L.; Lissner, D.; Posen, S. Vitamin D conversion by sarcoid lymph node homogenate. Ann. Intern. Med. 1984, 100, 59–61. [Google Scholar] [CrossRef]
- Stoffels, K.; Overbergh, L.; Giulietti, A.; Verlinden, L.; Bouillon, R.; Mathieu, C. Immune regulation of 25-hydroxyvitamin-D3-1alpha-hydroxylase in human monocytes. J. Bone Miner. Res. 2006, 21, 37–47. [Google Scholar] [CrossRef]
- Fallon, M.D.; Perry, H.M.; Teitelbaum, S.L. Skeletal sarcoidosis with osteopenia. Metab. Bone Dis. Relat. Res. 1981, 3, 171–174. [Google Scholar] [CrossRef]
- Wilcox, A.; Bharadwaj, P.; Sharma, O.P. Bone sarcoidosis. Curr. Opin. Rheumatol. 2000, 12, 321–330. [Google Scholar] [CrossRef]
- Thirunavukarasu, V.; Thirunavukarasu, C.; Willis, T.; Tsahtsarlis, A. Osseous Sarcoidosis with a Solitary Lytic Skull Lesion: A Case Report. J. Neurol. Surg. Rep. 2019, 80, e27–e29. [Google Scholar] [CrossRef]
- Fergie, N.; Jones, N.S.; Havlat, M.F. The nasal manifestations of sarcoidosis: A review and report of eight cases. J. Laryngol. Otol. 1999, 113, 893–898. [Google Scholar] [CrossRef]
- Lawson, W.; Jiang, N.; Cheng, J. Sinonasal sarcoidosis: A new system of classification acting as a guide to diagnosis and treatment. Am. J. Rhinol. Allergy 2014, 28, 317–322. [Google Scholar] [CrossRef]
- Braun, J.J.; Imperiale, A.; Riehm, S.; Veillon, F. Imaging in sinonasal sarcoidosis: CT, MRI, 67Gallium scintigraphy and 18F-FDG PET/CT features. J. Neuroradiol. 2010, 37, 172–181. [Google Scholar] [CrossRef] [PubMed]
- Aloulah, M.; Manes, R.P.; Ng, Y.H.; Fitzgerald, J.E.; Glazer, C.S.; Ryan, M.W.; Marple, B.F.; Batra, P.S. Sinonasal manifestations of sarcoidosis: A single institution experience with 38 cases. Int. Forum Allergy Rhinol. 2013, 3, 567–572. [Google Scholar] [CrossRef] [PubMed]
- Wilson, R.; Lund, V.; Sweatman, M.; Mackay, I.S.; Mitchell, D.N. Upper respiratory tract involvement in sarcoidosis and its management. Eur. Respir. J. 1988, 1, 269–272. [Google Scholar] [CrossRef]
- Cereceda-Monteoliva, N.; Rouhani, M.J.; Maughan, E.F.; Rotman, A.; Orban, N.; Al Yaghchi, C.; Sandhu, G. Sarcoidosis of the ear, nose and throat: A review of the literature. Clin. Otolaryngol. 2021, 46, 935–940. [Google Scholar] [CrossRef]
- Krespi, Y.P.; Kuriloff, D.B.; Aner, M. Sarcoidosis of the sinonasal tract: A new staging system. Otolaryngol. Head Neck Surg. 1995, 112, 221–227. [Google Scholar] [CrossRef]





| Items | Result | Reference Range |
|---|---|---|
| White blood cell | 3.61 × 109/L | (3.5–9.5) × 109/L |
| Hemoglobin | 131 g/L | (110–150) g/L |
| Platelet | 239 × 109/L | (125–350) × 109/L |
| Calcium | 2.19 mmol/L | (2.1–2.52) mmol/L |
| Albumin | 38.7 g/L | (40–55) g/L |
| Aspartate transaminase | 16 U/L | (13–35) U/L |
| Brain natriuretic peptide | 34 pg/L | (0–100) pg/L |
| Creatinine | 56 umol/L | (41–81) umol/L |
| Urea | 7.00 mmol/L | (3.10–8.80) mmol/L |
| C-reactive protein | 8 mg/L | (0–8) mg/L |
| Erythrocyte sedimentation rate | 8 mm/h | (0–20) mm/h |
| PPD | Negative | |
| T-SPOT | Negative | |
| Glucatell test | Negative | |
| Glactomannan test | Negative | |
| Cryptococcus antigen test | Negative | |
| Rheumatoid antibody | Negative | |
| Anti-nuclear antibody | Negative | |
| Anti-double stranded DNA antibody | Negative | |
| Anti-Smith antibody | Negative | |
| Immunofixation electrophoresis | Negative | |
| Anti-neutrophil cytoplasmic antibodies | Negative | |
| IgG4 | 0.285 g/L | (0.030–2.010) g/L |
| Ferritin | 152 μg/L | (13–150) μg/L |
| Urinal red blood cells | 2.67/HPF | (0–2.5)/HPF |
| Urinal white blood cell | 4.04/HPF | (0.11–2.83)/HPF |
| Urinal calcium for 24 h | 3.54 mmol | (2.7–7.5) mmol |
| Studies | Numbers of Patients with Bone Involvement | Prevalence of Bone Involvement | Age (Median, Range) | The Female:Male Ratio | Numbers of Patients with Bone Symptoms (%) | Sites of Bone Involvement (%) | Image Modalitied (n) |
|---|---|---|---|---|---|---|---|
| Zhou et al., 2017 [16] | 64 | 3.4% | 46.5 (20–68) | 1.46:1 | 36 (56.3%) | Spine (68.8%) Pelvis (35.9%) Hands (15.6%) Femur (14.1%) Rib (10.9%) | MRI (36) PET-CT (32) CT (14) X-ray (8) |
| Papiris et al., 2020 [17] | 29 | 4.9% | NA | NA | NA | Femur (37.9%) Spine (31%) Ribs (24.1%) | PET/CT (29) |
| Sparks et al., 2014 [18] | 20 | 1.5% | 51 (40–74) | 1.2:1 | 10 (50%) | Spine (70%) Pelvis (65%) Scapula (35%) Sternum (15%) Femur (30%) Humerus (25%) Phalanges (10%) | MRI (13) PET-CT (9) CT (4) X-ray (2) |
| Mostard et al., 2012 [19] | 32 | 34% | 42 (26–65) | 1.9:1 | NA | Spine (47%) Pelvis (40%) Ribs (18%) Extremities (34%) | PET-CT (32) |
| Grozdic et al., 2016 [20] | 18 | 22% | 48 (33–72) | 1:1 | 10 (55%) | Pelvis (61.1%) Spine (44.4%) Ribs (27.8%) | PET-CT (18) |
| Demaria et al., 2020 [21] | 12 | 14% | 51.3 (35–75) | 1:1 | 5 (42%) | Spine (91.7%) Pelvis (66.7%) Sternum (33.3%) Humerus (25%) Femur (16.7%) | PET-CT (12) |
| Neville et al., 1976 [22] | 24 | NA | NA | 2:1 | 14 (58%) | Hands and/or feet (83.3%) | X-ray (24) |
| Studies | Numbers of Patients with Sinonasal Involvement | Prevalence of Sinonasal Involvement | Age (Median, Range) | Female:Male Ratio | Symptoms (%) | Manifestations in Endoscopy Examination (%) |
|---|---|---|---|---|---|---|
| Aubart et al., 2006 [7] | 20 | 1.6% | 32 (23–41) | 1.86:1 | Obstruction (90%) Rhinorrhea (70%) Anosmia (70%) Crusting (55%) Epistaxis (30%) | Mucosal hypertrophy (75%) Granular mucosa (50%) Nasal polyps (30%) Septal perforation (5%) |
| Braun et al., 2004 [6] | 15 | NA | 44 (31–73) | 1.1:1 | Obstruction (80%) Rhinorrhea (60%) Crusting (40%) Epistaxis (40%) Anosmia (13.3%) | NA |
| Fergie et al., 1999 [29] | 8 | NA | 44 (21–79) | 3:1 | Obstruction (87.5%) Epiphora (50%) Rhinorrhea (25%) Anosmia (12.5%) Epistaxis (12.5%) | Mucosal hypertrophy (25%) Congested mucosa (25%) Crusting (37.5%) Nasal polyps (25%) Granular mucosa (25%) |
| Lawson et al., 2014 [30] | 14 | NA | 42 (29–63) | 2.5:1 | Rhinorrhea (57.1%) Obstruction (42.9%) Crusting (42.9%) | Crusting (57.1%) Mucosal hypertrophy (28.6%) Septal perforation (28.6%) |
| Braun et al., 2010 [31] | 22 | NA | 50 (41–79) | 0.8:1 | Obstruction (81.8%) Rhinorrhea (72.7%) Crusting (40.9%) Epistaxis (40.9%) Anosmia (40.9%) | Granular mucosa (77.3%) Inflammatory mucosa (68.2%) Nasal crusting (45.5%) |
| Aloulah et al., 2013 [32] | 38 | NA | 52.5 (NA) | 2.8:1 | Obstruction (65.8%) Crusting (29.9%) Rhinorrhea (26.3%) Dysphagia (26.3%) Epistaxis (18.4%) | Nasal crusting (55.3%) Mucosal hypertrophy (44.7%) Granular mucosa (21%) Septal perforation (5.3%) |
| Wilson et al., 1988 [33] | 27 | 3.6% | 41 (22–63) | 1.1:1 | Obstruction (88.9%) Crusting (63.0%) Epistaxis (37.0%) Rhinorrhea (29.6%) Facial pain (22.2%) | NA |
Disclaimer/Publisher’s Note: The statements, opinions and data contained in all publications are solely those of the individual author(s) and contributor(s) and not of MDPI and/or the editor(s). MDPI and/or the editor(s) disclaim responsibility for any injury to people or property resulting from any ideas, methods, instructions or products referred to in the content. |
© 2023 by the authors. Licensee MDPI, Basel, Switzerland. This article is an open access article distributed under the terms and conditions of the Creative Commons Attribution (CC BY) license (https://creativecommons.org/licenses/by/4.0/).
Share and Cite
Feng, H.; Ma, J.; Zhao, Y.; Zheng, R.; Wang, W. Sarcoidosis with Severe Bone Involvement: A Case Report and Literature Review. Diagnostics 2023, 13, 2990. https://doi.org/10.3390/diagnostics13182990
Feng H, Ma J, Zhao Y, Zheng R, Wang W. Sarcoidosis with Severe Bone Involvement: A Case Report and Literature Review. Diagnostics. 2023; 13(18):2990. https://doi.org/10.3390/diagnostics13182990
Chicago/Turabian StyleFeng, Haoshen, Jiangwei Ma, Yabin Zhao, Rui Zheng, and Wei Wang. 2023. "Sarcoidosis with Severe Bone Involvement: A Case Report and Literature Review" Diagnostics 13, no. 18: 2990. https://doi.org/10.3390/diagnostics13182990
APA StyleFeng, H., Ma, J., Zhao, Y., Zheng, R., & Wang, W. (2023). Sarcoidosis with Severe Bone Involvement: A Case Report and Literature Review. Diagnostics, 13(18), 2990. https://doi.org/10.3390/diagnostics13182990
