Skeletal Dysplasia: A Case Report
Abstract
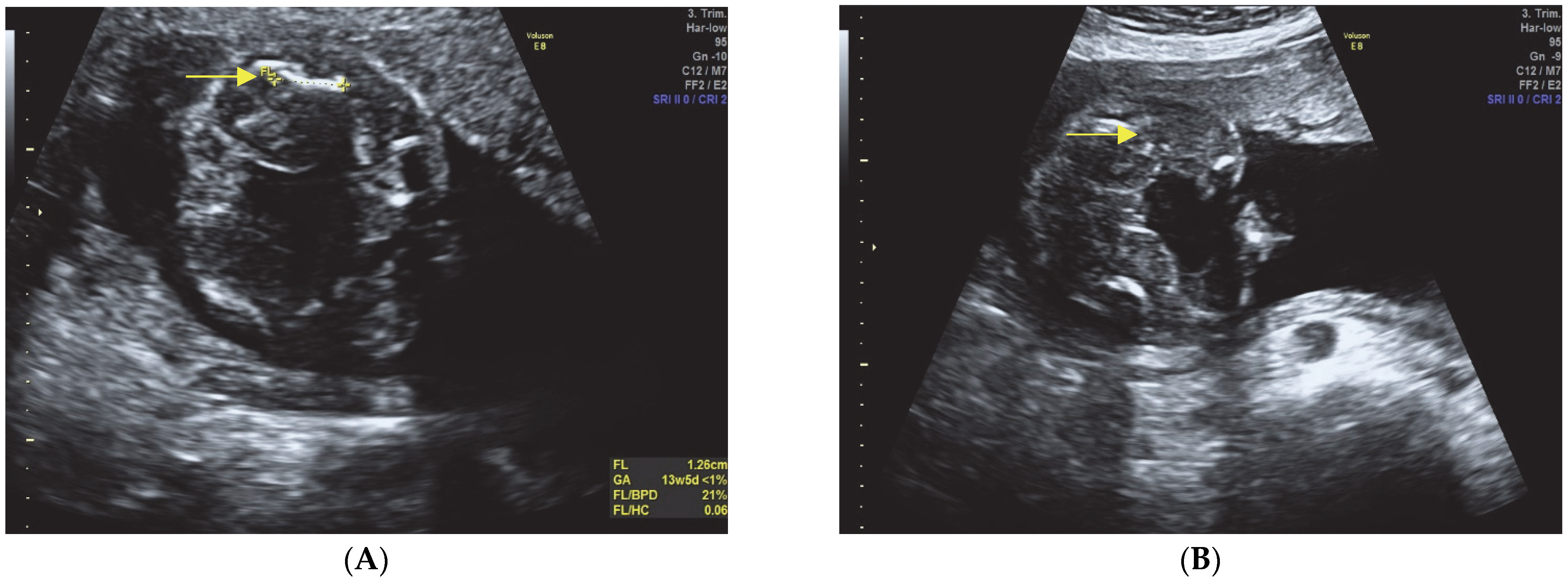
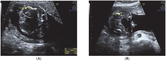
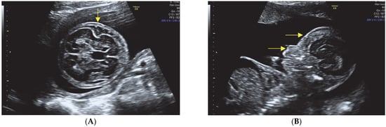
:- Short limbs with severe micromelia affecting all four limbs.
- Remarkably bowed femur and humerus.
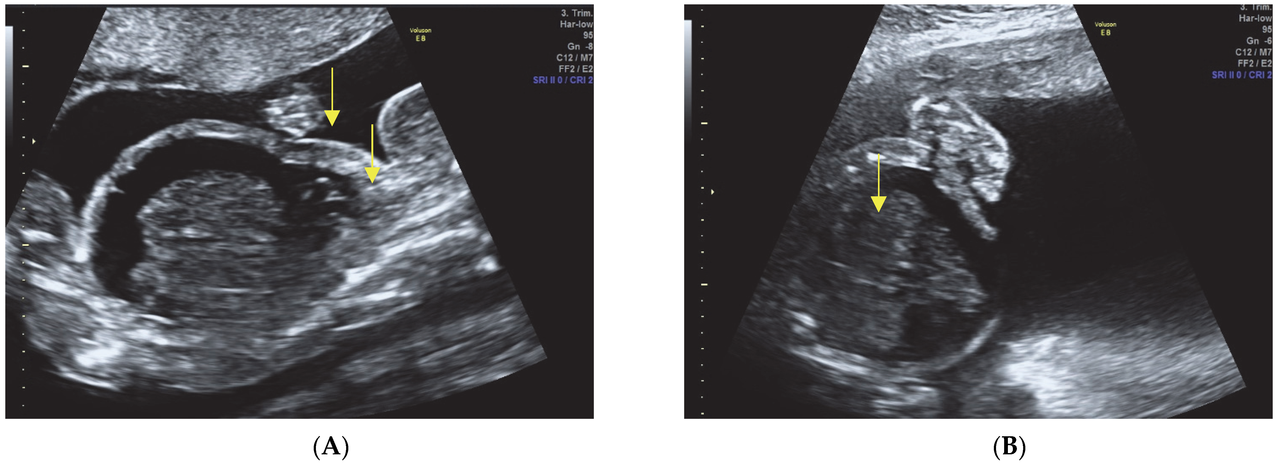
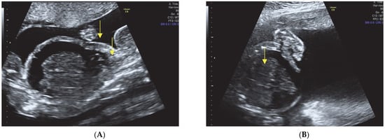
- Bilateral clubfoot.
- Hypomineralization of the skull bones.
- Enlarged head and small face.
- Narrow thorax with evidence of pulmonary hypoplasia.
- Multiple rib fractures.
- Presence of fetal hydrops, characterized by ascites, pleural effusion, and subcutaneous edema.

Author Contributions
Funding
Informed Consent Statement
Conflicts of Interest
References
- Vanegas, S.; Sua, L.F.; López-Tenorio, J.; Ramírez-Montaño, D.; Pachajoa, H. Achondrogenesis type 1A: Clinical, histologic, molecular, and prenatal ultrasound diagnosis. Appl. Clin. Genet. 2018, 11, 69–73. [Google Scholar] [CrossRef] [PubMed]
- Yang, K.; Shen, M.; Yan, Y.; Tan, Y.A.; Zhang, J.; Wu, J.; Yang, G.; Li, S.; Wang, J.; Ren, Z.; et al. Genetic Analysis in Fetal Skeletal Dysplasias by Trio Whole-Exome Sequencing. BioMed Res. Int. 2019, 2019, 2492590. [Google Scholar] [CrossRef] [PubMed]
- Pemberton, L.; Barker, R.; Cockell, A.; Ramachandran, V.; Haworth, A.; Homfray, T. Case report: Targeted whole exome sequencing enables the first prenatal diagnosis of the lethal skeletal dysplasia Osteocraniostenosis. BMC Med. Genet. 2020, 21, 7. [Google Scholar] [CrossRef] [PubMed]
- Jimah, B.B.; Mensah, T.A.; Ulzen-Appiah, K.; Sarkodie, B.D.; Anim, D.A.; Amoako, E.; Gyamfi, E.A. Prenatal Diagnosis of Skeletal Dysplasia and Review of the Literature. Case Rep. Obstet. Gynecol. 2021, 2021, 9940063. [Google Scholar] [CrossRef] [PubMed]
- Huang, Y.Y.; Chang, Y.J.; Chen, L.J.; Lee, C.H.; Chen, H.N.; Chen, J.Y.; Chen, M.; Hsiao, C.C. Survival of Hydrops Fetalis with and without Fetal Intervention. Children 2022, 9, 530. [Google Scholar] [CrossRef] [PubMed]



Disclaimer/Publisher’s Note: The statements, opinions and data contained in all publications are solely those of the individual author(s) and contributor(s) and not of MDPI and/or the editor(s). MDPI and/or the editor(s) disclaim responsibility for any injury to people or property resulting from any ideas, methods, instructions or products referred to in the content. |
© 2023 by the authors. Licensee MDPI, Basel, Switzerland. This article is an open access article distributed under the terms and conditions of the Creative Commons Attribution (CC BY) license (https://creativecommons.org/licenses/by/4.0/).
Share and Cite
Gică, N.; Mîrza, G.; Gică, C.; Panaitescu, A.M.; Ciobanu, A.M.; Peltecu, G.; Huluță, I. Skeletal Dysplasia: A Case Report. Diagnostics 2023, 13, 2905. https://doi.org/10.3390/diagnostics13182905
Gică N, Mîrza G, Gică C, Panaitescu AM, Ciobanu AM, Peltecu G, Huluță I. Skeletal Dysplasia: A Case Report. Diagnostics. 2023; 13(18):2905. https://doi.org/10.3390/diagnostics13182905
Chicago/Turabian StyleGică, Nicolae, Gabriela Mîrza, Corina Gică, Anca Maria Panaitescu, Anca Marina Ciobanu, Gheorghe Peltecu, and Iulia Huluță. 2023. "Skeletal Dysplasia: A Case Report" Diagnostics 13, no. 18: 2905. https://doi.org/10.3390/diagnostics13182905
APA StyleGică, N., Mîrza, G., Gică, C., Panaitescu, A. M., Ciobanu, A. M., Peltecu, G., & Huluță, I. (2023). Skeletal Dysplasia: A Case Report. Diagnostics, 13(18), 2905. https://doi.org/10.3390/diagnostics13182905

