Abstract
Primary squamous cell carcinoma or squamous intraepithelial lesion of the fallopian tube is a very rare finding with only a small number of cases worldwide. We describe the case of a 51-year-old woman, undergoing an abdominal hysterectomy after the diagnosis of an HPV-associated invasive squamous cell carcinoma of the uterine cervix with the unexpected detection of an HPV16-positive high-grade squamous intraepithelial lesion of the fimbria of the right fallopian tube in the resection specimen. The finding of an isolated, HPV-associated squamous intraepithelial lesion in the fallopian tube raises the question of a de novo development in this body compartment (after exclusion of a continuous metastatic spread from the uterine cervix) by taking a virus-associated field effect into account and should encourage the inclusion of this possibility when examining the fallopian tube in a routine setting.
Intraepithelial neoplasia of the fallopian tube, by definition of the WHO classification of female genital tumors, includes serous tubal intraepithelial lesions (STIL) or serous tubal intraepithelial carcinoma (STIC). They are regarded as precursor lesions of a high-grade serous carcinoma (HGSC) of the fallopian tube of the ovary, whereas a squamous intraepithelial lesion is not listed in the WHO classification [1]. The epithelium of the fallopian tube can not only undergo neoplastic changes, but can also show variations due to metaplastic changes. Mucinous metaplasia, with additional gastric differentiation, transitional metaplasia (similar to that seen in Walthard cell rests) or squamous metaplasia have been described. Other epithelial alterations include papillary hyperplasia and epithelial pseudoneoplasia associated with salpingitis and Arias-Stella effects. These changes are usually seen following inflammatory processes, and variations in cellular structures depend on reproductive age, hormonal status and location of the tube [2,3,4,5,6]. Generally speaking, a squamous metaplasia can be a precursor for a primary squamous lesion, either intraepithelial or invasive [7]. Nevertheless, squamous lesions in the fallopian tube are rarely described in the literature and the WHO classification does not acknowledge the squamous lesion of the fallopian tube (neither intraepithelial nor invasive). Secondary, metastatic involvement of the fallopian tube in cases with primary carcinoma of the uterine cervix is also not very common and even less so in squamous cell carcinomas than in adenocarcinomas [8,9]. Regarding these cases, the majority do show a continuous infiltrative growth involving the uterine cervix, isthmus and corpus/cavity, spreading in a “carpet-like” pattern [10,11]. But, the evidence of a squamous intraepithelial lesion without local invasion and without infiltration of the uterine corpus is extremely rare, displaying a synchronous and independent lesion rather than a “skip lesion” of the high-grade intraepithelial lesion or the invasive carcinoma of the cervix [12,13].
A 51-year-old woman presented with a positive Pap smear (Pap V, nomenclature München III for gynecological cytodiagnostics; SCC–squamous cell carcinoma, Bethesda system) and a positive test for human papilloma virus (HPV) type 16. Clinical examination revealed a macroscopically visible lesion, leading to a stage FIGO IB (with no evidence of infiltration to the parametria) and a loop electrosurgical excision procedure (LEEP) was performed. A preoperative ultrasound did not show any suspicious changes in the adnexa. The histopathological finding was an HPV-associated, high-grade invasive squamous cell carcinoma with an adjacent high-grade squamous intraepithelial lesion (HSIL) of the uterine cervix.
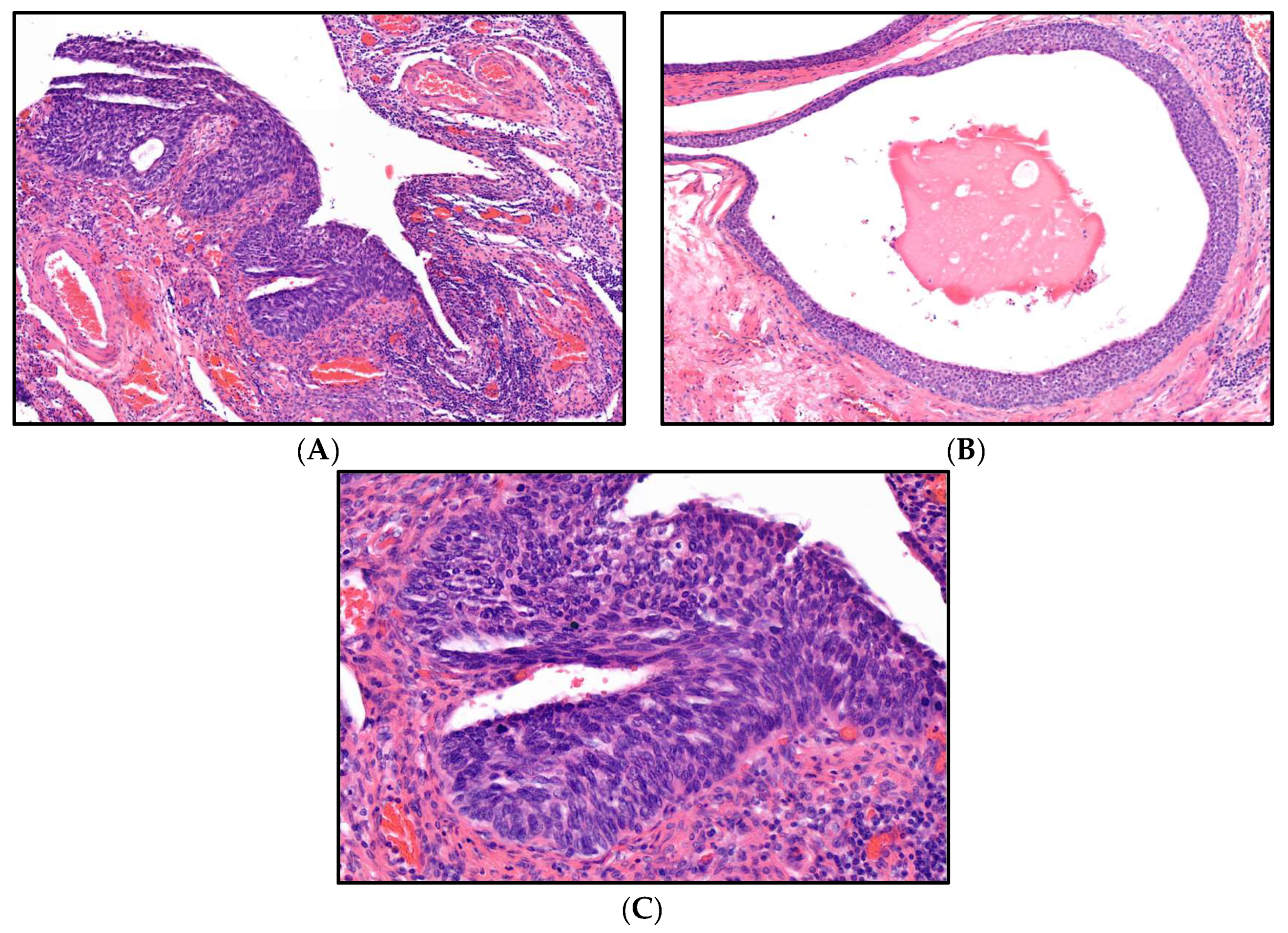
Following a frozen section procedure of pelvic sentinel node biopsies (detected with use of indocyanine green, ICG), where no metastatic spread could be detected, a hysterectomy with bilateral adnexectomy (Wertheim-Meigs surgical procedure) was performed. In the postoperative workup of the specimen, the previously diagnosed invasive squamous cell carcinoma showed a diameter of 3.8 cm with an infiltration of the cervix wall of 1.6 cm, the uterine cervix almost completely invaded up to the isthmus without infiltration of the parametria and without angioinvasion of lymph or blood vessels, showing local resection margins without atypia (G3, pT2a1, pN0, L0, V0, R0 according to TNM classification of tumors, 8th edition [14]). Neither the endometrium or myometrium of the uterine corpus nor the isthmus of the tube/intramural part of the uterus showed infiltration by the cervical carcinoma. The histological routine examination of the adnexa unexpectedly revealed several foci of a high-grade squamous intraepithelial lesion with a maximum diameter of 1 mm each within the fimbria of the right fallopian tube (Figure 1A–C).
Figure 1.
(A,B): Microscopic sections of two foci of a high-grade squamous intraepithelial lesion (HSIL) in the fimbria of the fallopian tube, overview, H&E stain (magnification level 10×), (C): High magnification of HSIL as displayed in (A,B); H&E stain (magnification level 20×).
This diagnosis, which was initially made on the basis of an H&E-stained slide showing abnormal variation in cell shape and size and hyperchromatic nuclei as well as atypical mitotic figures, was complemented with immunohistochemical stains, showing a positivity for p63 and CK5/14 (Figure 2A,B) without an expression of GATA3 (Figure 2D), as a lead for a squamous differentiation, accompanied by positivity for p16 (Figure 2C) and a high proliferation rate (Ki67) without the detection of a p53 mutation.
Figure 2.
(A–C): Immunohistochemical staining of the HSIL in the fimbria with CK 5/14 (A), p63 (B) and p16 (C), a potential surrogate marker of persistent high-risk HPV infection [15], which was complemented with a molecular detection of HPV (magnification level 10×), (D) GATA3, a nuclear marker, is negative in the HSIL (with positive on-slide control, not shown; magnification level 40×).
HPV testing using the APTIMA HPV Assay (HOLOGIC, San Diego CA) on stained smears and stained FFPE tissue sections was internally validated by comparing samples of both types of material (regular Aptima tubes as well as smears/FFPE tissues) available.
There was no evidence of a concomitant serous intraepithelial lesion (STIL or STIC). The left fallopian tube, including the fimbria, and both ovaries did not show neoplastic changes, a peritoneal carcinosis was not detected either.
After presentation of the case to the interdisciplinary tumor board, the patient was advised to undergo vaginal brachytherapy, considering the diagnosis of an invasive carcinoma of the uterine cervix.
To summarize, we could not prove angioinvasion in the primary carcinoma of the uterine cervix, invasive spread throughout the uterine cavity, nor invasion of the parametric tissue or peritoneal carcinosis and there was no evidence of the invasive growth of the only focal lesions in the macroscopically inconspicuous fimbria of the fallopian tube, using H&E staining and immunohistochemical analysis. An intracavitary or continuous expansion therefore seems implausible. So, the question arises, of how this lesion should be interpreted. The most probable explanation would be that an HPV infection over a longer period of time induced additional neoplastic changes in the fallopian tube in analogy to the so-called field effect observed in other tissues or organs such as the uterine cervix, anal canal, vagina, vulva or otolaryngologic area [12,13].
In the patient presented here, the diagnosis of the synchronous lesion in the fimbria of the fallopian tube was not clinically or therapeutically relevant at this time, as there was no transition of the HSIL into an invasive carcinoma in the fallopian tube yet. The literature until now gives no information about this biological/clinical behavior. Since such a lesion, as in the case presented here, does not cause any symptoms and is furthermore not detectible by macroscopical inspection, it may be overlooked in patients that are treated for HPV-associated intraepithelial lesions or invasive neoplasia elsewhere in the lower anogenital tract, especially in the uterine cervix. We conclude that squamous lesions should be included in the spectrum of differential diagnosis of neoplastic changes of the fallopian tube.
Author Contributions
Conceptualization, A.-S.W., N.T., K.G., C.L. and A.N.; writing—original draft preparation, A.-S.W., N.T. and A.N.; writing—review and editing, A.-S.W., N.T., K.G., C.L. and A.N.; analysis and investigation, A.-S.W., N.T., G.Z., M.B., C.L. and A.N.; supervision, C.L. and A.N. All authors have read and agreed to the published version of the manuscript.
Funding
This research received no external funding.
Institutional Review Board Statement
Not applicable.
Informed Consent Statement
Informed consent was obtained from the subject included in this work.
Data Availability Statement
Not applicable.
Conflicts of Interest
The authors declare no conflict of interest.
Abbreviations
| H + E | hematoxylin and eosin |
| HPV | human papilloma virus |
| LEEP | loop electrosurgical excision procedure |
| STIL | serous tubal intraepithelial lesion |
| STIC | serous tubal intraepithelial carcinoma |
References
- WHO Classification of Tumours Editorial Board. Female Genital Tumours, 5th ed.; International Agency for Research on Cancer: Lyon, France, 2020; Volume 4.
- Kaur, H.; Levinsky, E.; Colgan, T.J. Papillary syncytial metaplasia of fallopian tube endometriosis: A potential pitfall in the diagnosis of serous tubal intraepithelial carcinoma. Arch. Pathol. Lab. Med. 2013, 137, 126–129. [Google Scholar] [CrossRef] [PubMed]
- Wong, A.K.; Seidman, J.D.; Barbuto, D.A.; McPhaul, L.W.; Silva, E.G. Mucinous metaplasia of the fallopian tube: A diagnostic pitfall mimicking metastasis. Int. J. Gynecol. Pathol. 2011, 30, 36–40. [Google Scholar] [CrossRef] [PubMed]
- Rabban, J.T.; Crawford, B.; Chen, L.M.; Powell, C.B.; Zaloudek, C.J. Transitional cell metaplasia of fallopian tube fimbriae: A potential mimic of early tubal carcinoma in risk reduction salpingo-oophorectomies from women with BRCA mutations. Am. J. Surg. Pathol. 2009, 33, 111–119. [Google Scholar] [CrossRef] [PubMed]
- Xu, H.; Chen, Y.; Zhou, S.; Zhao, C.; Wang, Q.; Tang, M.; Zhang, W.; Zhang, H. Synchronous mucinous metaplasia and neoplasia of the female genital tract (SMMN-FGT): A case report and literature review. Exp. Ther. Med. 2022, 25, 73. [Google Scholar] [CrossRef] [PubMed]
- Crum, C.P.; Nucci, M.R.; Lee, K.R. Diagnostic Gynecologic and Obstetric Pathology, 2nd ed.; Elsevier Saunders: Amsterdam, The Netherlands, 2011. [Google Scholar]
- Giroux, V.; Rustgi, A.K. Metaplasia: Tissue injury adaptation and a precursor to the dysplasia-cancer sequence. Nat. Rev. Cancer 2017, 17, 594–604. [Google Scholar] [CrossRef] [PubMed]
- Deel, C.D.; Allen, R.A.; Holman, L.L.; Zuna, R.E. Adenocarcinoma of the cervix involving the fallopian tube mucosa: Report of a case. Diagn. Pathol. 2016, 11, 77. [Google Scholar] [CrossRef] [PubMed]
- Nakanishi, T.; Wakai, K.; Ishikawa, H.; Nawa, A.; Suzuki, Y.; Nakamura, S.; Kuzuya, K. A comparison of ovarian metastasis between squamous cell carcinoma and adenocarcinoma of the uterine cervix. Gynecol. Oncol. 2001, 82, 504–509. [Google Scholar] [CrossRef] [PubMed]
- Gungor, T.; Altinkaya, S.O.; Ozat, M.; Akbay, S.; Mollamahmutoglu, L. Unusual form of superficial spreading squamous cell carcinoma of cervix involving the endometrium, bilateral tubes and ovaries: A case report with literature review. Arch. Gynecol. Obstet. 2011, 283, 323–327. [Google Scholar] [CrossRef] [PubMed]
- Reyes, C.; Murali, R.; Park, K.J. Secondary Involvement of the Adnexa and Uterine Corpus by Carcinomas of the Uterine Cervix: A Detailed Morphologic Description. Int. J. Gynecol. Pathol. 2015, 34, 551–563. [Google Scholar] [CrossRef] [PubMed]
- Pins, M.R.; Young, R.H.; Crum, C.P.; Leach, I.H.; Scully, R.E. Cervical squamous cell carcinoma in situ with intraepithelial extension to the upper genital tract and invasion of tubes and ovaries: Report of a case with human papilloma virus analysis. Int. J. Gynecol. Pathol. 1997, 16, 272–278. [Google Scholar] [CrossRef] [PubMed]
- Wang, Z.; Dong, J.; Eyzaguirre, E.J.; Tang, W.W.; Eltorky, M.A.; Qiu, S. Detection of human papilloma virus subtypes 16 and P16(ink4a) in invasive squamous cell carcinoma of the fallopian tube and concomitant squamous cell carcinoma in situ of the cervix. J. Obstet. Gynaecol. Res. 2009, 35, 385–389. [Google Scholar] [CrossRef] [PubMed]
- International Union Against Cancer (UICC). TNM Classification of Malignant Tumours, 8th ed.; Brierley, J.D., Gospodarowicz, M.K., Wittekind, C., Eds.; Wiley: New York, NY, USA, 2017. [Google Scholar]
- Hu, L.; Guo, M.; He, Z.; Thornton, J.; McDaniel, L.S.; Hughson, M.D. Human papillomavirus genotyping and p16INK4a expression in cervical intraepithelial neoplasia of adolescents. Mod. Pathol. 2005, 18, 267–273. [Google Scholar] [CrossRef] [PubMed]
Disclaimer/Publisher’s Note: The statements, opinions and data contained in all publications are solely those of the individual author(s) and contributor(s) and not of MDPI and/or the editor(s). MDPI and/or the editor(s) disclaim responsibility for any injury to people or property resulting from any ideas, methods, instructions or products referred to in the content. |
© 2023 by the authors. Licensee MDPI, Basel, Switzerland. This article is an open access article distributed under the terms and conditions of the Creative Commons Attribution (CC BY) license (https://creativecommons.org/licenses/by/4.0/).

