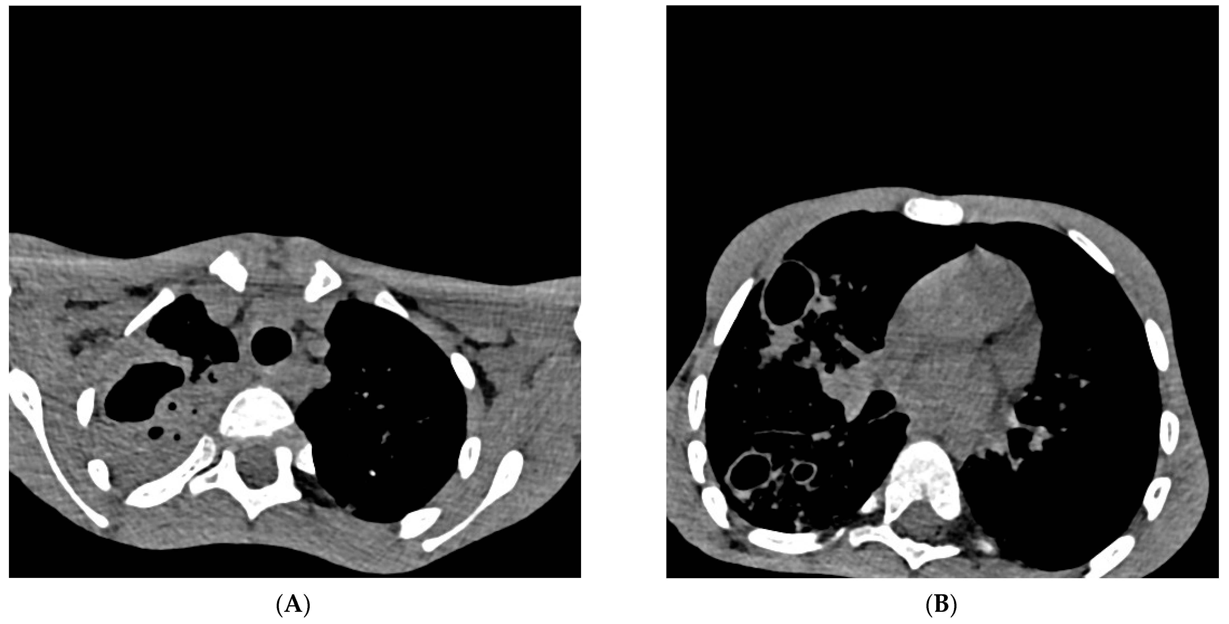
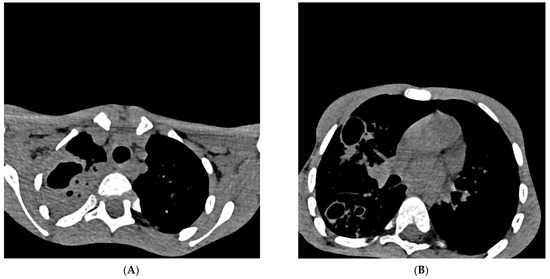
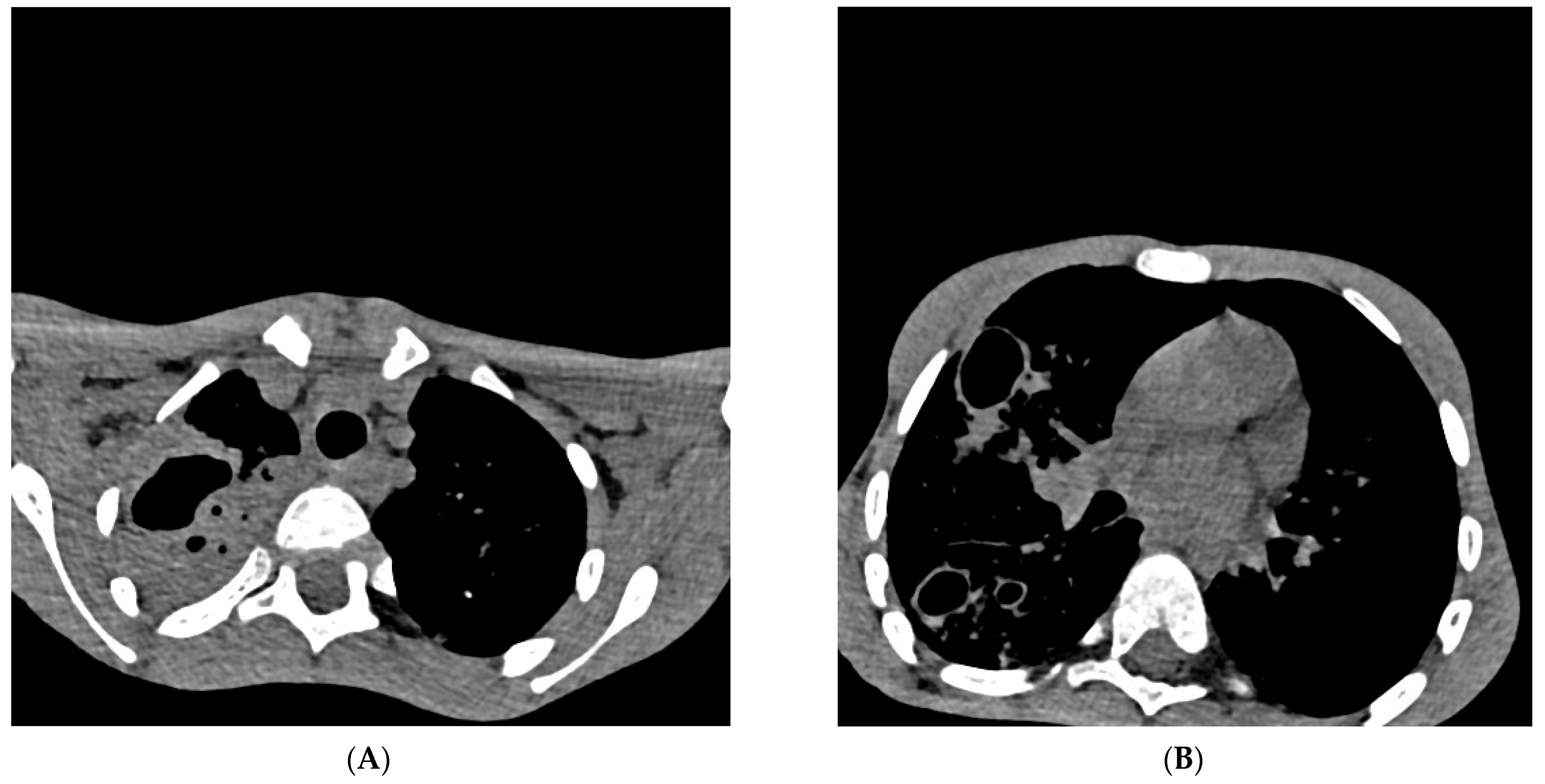
The Difficulty Detecting Tuberculosis in a Child with Post-COVID-19 and Cerebral Palsy
Abstract


Author Contributions
Funding
Institutional Review Board Statement
Informed Consent Statement
Data Availability Statement
Acknowledgments
Conflicts of Interest
References
- Channappanavar, R. Interferons in coronavirus pathogenesis: The good, the bad, and the ugly. Cell Host Microbe 2022, 30, 427–430. [Google Scholar] [CrossRef] [PubMed]
- Oronsky, B.; Larson, C.; Hammond, T.C.; Oronsky, A.; Kesari, S.; Lybeck, M.; Reid, T.R. A Review of Persistent Post-COVID Syndrome (PPCS). Clin. Rev. Allergy Immunol. 2021, 64, 66–74. [Google Scholar] [CrossRef]
- Nalbandian, A.; Sehgal, K.; Gupta, A.; Madhavan, M.V.; McGroder, C.; Stevens, J.S.; Cook, J.R.; Nordvig, A.S.; Shalev, D.; Sehrawat, T.S.; et al. Post-acute COVID-19 syndrome. Nat. Med. 2021, 27, 601–615. [Google Scholar] [CrossRef]
- Kılınç, E.; Baranoğlu, Y. Mast cell stabilizers as a supportive therapy can contribute to alleviate fatal inflammatory responses and severity of pulmonary complications in COVID-19 infection. Anadolu Klin. 2020, 25, 111–118. [Google Scholar] [CrossRef][Green Version]
- Sun, B.; Tang, N.; Peluso, M.J.; Iyer, N.S.; Torres, L.; Donatelli, J.L.; Munter, S.E.; Nixon, C.C.; Rutishauser, R.L.; Rodriguez-Barraquer, I.; et al. Characterization and Biomarker Analyses of Post-COVID-19 Complications and Neurological Manifestations. Cells 2021, 10, 386. [Google Scholar] [CrossRef]
- Lewis, D. Long COVID and kids: Scientists race to find answers. Nature 2021, 595, 482–483. [Google Scholar] [CrossRef]
- Buonsenso, D.; Munblit, D.; De Rose, C.; Sinatti, D.; Ricchiuto, A.; Carfi, A.; Valentini, P. Preliminary evidence on long COVID in children. Acta Paediatr. 2021, 110, 2208–2211. [Google Scholar] [CrossRef]
- Osmanov, I.M.; Spiridonova, E.; Bobkova, P.; Gamirova, A.; Shikhaleva, A.; Andreeva, M.; Blyuss, O.; El-Taravi, Y.; DunnGalvin, A.; Comberiati, P. Risk factors for long covid in previously hospitalized children using the ISARIC Global follow-up protocol: A prospective cohort study. medRxiv 2021. [Google Scholar] [CrossRef]
- Diagnosis of TB in Children. In Guidance for National Tuberculosis Programs on the Management of Tuberculosis in Children, 2nd ed.; World Health Organization: Geneva, Switzerland, 2014.
- Crofton, J.; Horne, N.; Miller, F. Klinička Tuberkuloza, 2nd ed.; Ministarstvo Zdravlja Republike Srbije: Belgrade, Serbia; Stojkov: Novi Sad, Serbia, 2005; pp. 29–90. [Google Scholar]
- Global Tuberculosis Report 2021. World Health Organization. 2021. Available online: https://www.who.int/publications/i/item/9789240037021 (accessed on 10 March 2023).
- Hypostatic Pneumonia. Merriam-Webster.com Medical Dictionary, Merriam-Webster. Available online: https://www.merriam-webster.com/medical/hypostatic%20pneumonia (accessed on 17 April 2022).
- Cellina, M.; Orsi, M.A.; Oliva, G. Peribronchial Consolidation with Surrounding Ground-Glass Opacity in COVID-19 Pneumonia: 3D Reconstruction of a Chest Computed Tomography. Am. J. Trop. Med. Hyg. 2020, 103, 7. [Google Scholar] [CrossRef] [PubMed]
- Sinigaglia, A.; Peta, E.; Riccetti, S.; Venkateswaran, S.; Manganelli, R.; Barzon, L. Tuberculosis-Associated MicroRNAs: From Pathogenesis to Disease Biomarkers. Cells 2020, 9, 2160. [Google Scholar] [CrossRef]
- Visca, D.; Ong, C.; Tiberi, S.; Centis, R.; D’ambrosio, L.; Chen, B.; Mueller, J.; Mueller, P.; Duarte, R.; Dalcolmo, M.; et al. Tuberculosis and COVID-19 interaction: A review of biological, clinical and public health effects. Pulmonology 2021, 27, 151–165. [Google Scholar] [CrossRef] [PubMed]
- Gopalaswamy, R.; Subbian, S. Corticosteroids for COVID-19 Therapy: Potential Implications on Tuberculosis. Int. J. Mol. Sci. 2021, 22, 3773. [Google Scholar] [CrossRef] [PubMed]
| Results | Admission | In the Meantime | Released 35th Day | IMC 36th Day |
|---|---|---|---|---|
| SE 1 h | 41 | 125, 110 | 70 | |
| CRP (mg/L) | 75 | 72, 68, 84, 36, 60, 59, 49, 30, 66, 91, 62 | 70 | |
| PCT (ng/mL) | 2.6 | 1.7, 0.9, 0.3, 0.4, 0.1, 0.1, 0.2, 0.3, 0.4, 0.4 | 0.44 | |
| Le (×10/9 L) | 9.8 | 11.1, 8.7, 6.7, 11.8, 16.4, 16.8, 18.2, 11.6 | 12.8 | |
| n (%) | 72 | 71, 69, 57, 81, 88, 74, 85, 75 | 68 | |
| ly (%) | 17 | 18, 16, 31, 13, 8, 14, 9, 15 | 20 | |
| Tr (×10/9 L) | 491 | 545, 454, 474, 503, 394, 414, 432, 423 | 433 | |
| hemoglobin (g/L) | 108 | 106, 96, 104, 106, 104, 103, 107, 98 | 97 | |
| LDH (IU/L) | 774 | 868 | 815 | |
| Feritin (g/L) | 200 | 194, 259, 118 | 113 | |
| IL6 (pg/mL) | 33 | 31, 203, 15, 18 | 28 | |
| INR | 1.04 | 1.2, 1.3, 1.3, 1.1, 1.2 | 1.4 | |
| d-dimer (ng/mL) | 15.8 | 2.7, 2.3, 1.4, 2.0, 1.6, 1.4, 1.3, 1.9 | 1.9 | |
| Fibrinogen (g/L) | 2.8 | 4.7, 5.2, 4.3, 4.6, 2.1 | 1.4 | |
| Troponin (mcg/L) | <0.01 | <0.01 | ||
| IgA (g/L) | 5.1 | 4.6 | ||
| IgG (g/L) | 18.5 | 14.8 | ||
| IgM (g/L) | 2.0 | 1.7 | ||
| IgG-SARSCoV2 (BAU/mL) | 40.6 | |||
| PCR-respiratory panel | ∅ | ∅, Adenovirus + RSV | ||
| IgM-mycopl.pn. | ∅ | |||
| Tracheal aspirate | ∅ | ∅, ∅ | ∅ | |
| Blood culture I | Coag.nSt (from the skin) | ∅, ∅, ∅, ∅, ∅, Str.virid, ∅, ∅, ∅ | ∅ | |
| Blood culture II | ∅ | ∅, ∅, ∅, ∅, ∅, ∅, ∅, ∅, ∅ | ∅ | |
| Feces on Clostridium difficile | ∅ | ∅ | ||
| Swab of the left ear | S. aureus | |||
| Mannan test | ∅ | |||
| Galactomannan test | ∅ | |||
| QuantiFERON-TB Gold | ∅ | |||
| Tracheal aspirate and gastric washings-BK (Ziehl–Neelsen) | no found I, II, III | IV no found | ||
| Tracheal aspirate and gastric washings-Lowenstein | culture I positive culture II, III negative | IV positive | ||
| Tuberculin skin test (TST) | ∅ | |||
| Fiberaspirate (Ziehl–Neelsen, (BD BACTEC MGIT 960) | ∅ | |||
| Fiberaspirate-pathohistological f. | ∅ | |||
Disclaimer/Publisher’s Note: The statements, opinions and data contained in all publications are solely those of the individual author(s) and contributor(s) and not of MDPI and/or the editor(s). MDPI and/or the editor(s) disclaim responsibility for any injury to people or property resulting from any ideas, methods, instructions or products referred to in the content. |
© 2023 by the authors. Licensee MDPI, Basel, Switzerland. This article is an open access article distributed under the terms and conditions of the Creative Commons Attribution (CC BY) license (https://creativecommons.org/licenses/by/4.0/).
Share and Cite
Stojkovic, A.; Ilic, I.; Kostic, A.; Dajic, K.; Raskovic, Z.; Nestorovic, J.; Ilic, M. The Difficulty Detecting Tuberculosis in a Child with Post-COVID-19 and Cerebral Palsy. Diagnostics 2023, 13, 2826. https://doi.org/10.3390/diagnostics13172826
Stojkovic A, Ilic I, Kostic A, Dajic K, Raskovic Z, Nestorovic J, Ilic M. The Difficulty Detecting Tuberculosis in a Child with Post-COVID-19 and Cerebral Palsy. Diagnostics. 2023; 13(17):2826. https://doi.org/10.3390/diagnostics13172826
Chicago/Turabian StyleStojkovic, Andjelka, Irena Ilic, Andrijana Kostic, Katerina Dajic, Zorica Raskovic, Jelena Nestorovic, and Milena Ilic. 2023. "The Difficulty Detecting Tuberculosis in a Child with Post-COVID-19 and Cerebral Palsy" Diagnostics 13, no. 17: 2826. https://doi.org/10.3390/diagnostics13172826
APA StyleStojkovic, A., Ilic, I., Kostic, A., Dajic, K., Raskovic, Z., Nestorovic, J., & Ilic, M. (2023). The Difficulty Detecting Tuberculosis in a Child with Post-COVID-19 and Cerebral Palsy. Diagnostics, 13(17), 2826. https://doi.org/10.3390/diagnostics13172826

